Dynamics of the number of myocyte nuclei in muscle portions of arterial and venous homograft walls during long-term preservation
- Authors: Kalinin R.E.1, Suchkov I.A.1, Karpov V.V.1,2, Shvalb A.P.3, Guzairov D.V.1, Cherdantseva T.M.1
-
Affiliations:
- Ryazan State Medical University
- Regional Clinical Hospital
- Regional Clinical Tuberculosis Dispensary
- Issue: Vol 33, No 3 (2025)
- Pages: 345-360
- Section: Original study
- Submitted: 21.04.2025
- Accepted: 07.07.2025
- Published: 30.09.2025
- URL: https://journals.eco-vector.com/pavlovj/article/view/678783
- DOI: https://doi.org/10.17816/PAVLOVJ678783
- EDN: https://elibrary.ru/BIYONU
- ID: 678783
Cite item
Abstract
INTRODUCTION: An important issue of use of freshly prepared homograft’s in the reconstructive vascular surgery is the maximal length of their preservation for safe application. Histological examinations are required.
AIM: To determine the optimal timing of the use of homograft’s based on the dynamics of the number of myocyte nuclei of muscle portions of arterial and venous homograft walls preserved in RPMI 1640 solution with the addition of gentamicin and fluconazole at a temperature of +4°C.
MATERIALS AND METHODS: The study of arterial and venous homograft’s from a posthumous donor was performed in compliance with the rules for collecting organs and tissues. The homograft’s were preserved in RPMI 1640 solution with the addition of gentamicin (400 μg/ml) and fluconazole (20 μg/ml) at a temperature of +4°C. At intervals of 7 days up to 84 days, sections of the arterial and venous grafts were cut out and fixed in formalin. Then glass slides were prepared. A total of 120 arterial and 120 venous samples were studied. The number of myocyte nuclei in 0.01 mm2 muscle portions of the walls was estimated.
RESULTS: On day 42, a decrease in the number of myocyte nuclei in arterial homograft’s by 56% was recorded relative to the values of day 7 (p = 0.003), a decrease in the number of myocyte nuclei in venous homograft’s by 55% (p = 0.024); a decrease in nuclei was also recorded at all subsequent control points.
CONCLUSION: The optimal period for the use of arterial homograft’s can be considered the period of preservation in RPMI 1640 solution for up to 21 days. Venous homograft’s can be used for up to 42 days, despite the decrease in the number of myocyte nuclei after 35 days, since there is no edema of the venous homograft wall until the end of the 42 day.
Full Text
INTRODUCTION
Transplantation of human organs and/or tissues is a means of saving lives and restoring health of citizens and must be carried out on the basis of compliance with the legislation of the Russian Federation and human rights in accordance with the humane principles proclaimed by the Potentials or science1. According to the list of transplantation objects (Appendix to the Order of the Ministry of Health of the Russian Federation and the Russian Academy of Sciences of June 4, 2015 No. 306n/3), vessels (sections of the vascular bed) appear under paragraph 21 and can be used in licensed medical institutions specializing in transplantation2.
Potentials of organ and tissue transplantation find increasing application in various diseases. Thus, arterial and venous homografts have a special place in vascular surgery. In a number of nosological forms of diseases of the circulatory system, vascular cadaveric grafts have no real alternative.
The existence of paraprosthetic infection limits the potentials of the reconstructive vascular surgery using artificial prostheses. In the United States of America, a multicenter study was conducted with use of electronic databases, which included 14 medical institutions with the largest sample size of patients with paraprosthetic infection of the aorta. Homografts were used for reconstructive and restorative operations of the aorta in case of its infection or in case of high risk of infection of the synthetic graft. According to American colleagues, homografts should be used primarily in case of paraprosthetic infection of the aorta [1]. Paraprosthetic infection occurs in 1-6% of all surgical interventions using synthetic conduits [2, 3]. To date, there is no clear solution to this problem.
In the Russian Federation, there are no clinical guidelines for the management of patients with vascular paraprosthetic infection. The European Society for Vascular Surgery (ESVS) has developed Clinical Practice Guidelines on the Management of Vascular Graft and Endograft Infection [4]. According to this document, cryopreserved allografts should be considered possible solutions for repeated reconstruction (class and level of evidence — IIa C) [4].
The use of homografts is also possible in formation of a permanent vascular access for programmed hemodialysis. The use of a venous homograft in the formation of permanent vascular access shows that the use of freshly prepared cadaveric homografts from a multivisceral posthumous donor is an effective method in the infection of a permanent vascular access for programmed hemodialysis [5]. In the absence of autologous material, the use of synthetic prostheses in distal bypass of lower limb arteries is also possible, but the results of their use are debatable. Today, it is also possible to effectively use homografts in patients with aneurysms of the popliteal arteries [6].
In Russia, freshly prepared wet-storage homografts are used [3, 5–9]. An important problem of using these grafts is the maximal duration of their preservation for safe use in the clinical practice. It is important to have a clear understanding of the shelf life of freshly prepared homografts and their ‘viability’. Histological studies are necessary to answer these questions.
Autolysis is self-digestion of tissues, cells or their parts by their own enzymes [10]. The morphological signs of necrosis include characteristic changes in the cell and intercellular substance — karyopyknosis (chromatin condensation), karyorrhexis (nucleus disintegration), karyolysis (nucleus dissolution), swelling of collagen and elastic fibers, their disintegration and lysis [11]. Pyknosis, rhexis and lysis of the nucleus are successive stages of the process that reflect the dynamics of activation of hydrolases — ribonuclease and deoxyribonuclease. Changes can affect a part of the cell (focal coagulative necrosis), which is rejected, or the entire cell (coagulation of the cytoplasm). Coagulation ends with plasmorrhexis — disintegration of the cytoplasm into lumps. The final stage is the destruction of the membrane structures of the cell, which leads to its hydration and to hydrolytic melting of the cytoplasm — plasmolysis. In some cases, melting affects the entire cell (cytolysis), in others, only part of it (focal colliquative necrosis) [11]. Since the homograft is preserved in RPMI 1640 solution, necrobiotic processes will probably proceed as colliquative necrosis.
In our opinion, the most ‘sensitive’ markers of tissue autolysis in the morphohistological examination of the graft wall are dynamics of its thickness at different preservation periods and the dynamics of the number of myocyte nuclei in the muscle portions of the walls of the arterial and venous homografts. The former has been already studied and published by us [12].
The aim of this study determines the optimal periods for use of arterial homografts on the basis of the dynamics of the number of myocyte nuclei in the muscle portions of the walls of the arterial and venous homografts preserved in RPMI 1640 solution with the addition of gentamicin (400 μg/ml) and fluconazole (20 μg/ml) at a temperature of +4°C for periods up to 84 days.
MATERIALS AND METHODS
From October to November 2024 a study of arterial and venous homografts from a posthumous donor was performed in compliance with the rules for collecting organs and tissues. Homografts were preserved in RPMI 1640 solution with the addition of gentamicin (400 μg/ml) and fluconazole (20 μg/ml) at a temperature of +4°C.
The study was approved from the Local Ethics Committee of the Ryazan State Medical University (Protocol No. 4 of November 09, 2021).
Sections of arterial and venous grafts were cut out and fixed in formalin at intervals of 7 days up to 84 days. Then glass slides were prepared. Cadaveric arteries and veins were cut out, then put in plastic cassettes and placed in a Tissue-Tek VIP 6 automatic histological processor (Sakura, Japan) for fixation and processing for 12 hours. Then the preparations were embedded in pure paraffin in the embedding molds with plastic rings in a Tissue-Tek TEK 5 dispenser (Sakura, Japan); after cooling, sections up to 5 microns thick were made on an Accu-Cut SRM rotary semiautomatic microtome (Sakura, Japan). The sections were placed on a 3 mm thick slide glass, then stained with ready-made dyes in a Tissue-Tek Prisma automatic multistainer for microslides (Sakura, Japan). Hematoxylin and eosin stain was used.
Histological examination was performed on days 7, 14, 21, 28, 35, 42, 49, 56, 63, 70, 77, 84 after homograft collection, ten arterial and ten venous preparations respectively. Twelve comparison groups of arterial and venous homografts were obtained. One hundred twenty arterial and 120 venous specimens were studied. The number of myocyte nuclei in the middle layer of homografts was estimated using automatic counting in the Image-PRO Plus 6.0 program (Figure 1) and recalculation of the obtained values per 0.01 mm2 (10,000 μm2) of the area of the middle layer of the vessel homograft wall. Counting was performed in 1 field of view at medium magnification (×100) using digital processing to visualize muscle cell nuclei. The software used was NDP.view2 (U12388-01; Hamamatsu Photonics KK).
Fig. 1. The stages of digital processing of the homograph wall (magnified ×100).
Statistical analysis of the data was performed using the statistical software package Statistica 10.0 (Stat Soft Inc., USA). Due to the normal nature of the data distribution (according to Shapiro–Wilk test), the statistical significance of dynamic differences of the number of myocyte nuclei of muscle portions of the walls of the arterial and venous homografts within the groups was assessed using the analysis of variance of repeated measurements (Repeated Measures ANOVA); pairwise post hoc comparisons were performed using Newman–Keuls test. Quantitative parameters are presented as mean values and standard deviations. The critical level of significance when testing statistical hypotheses was 0.05.
RESULTS
The mean values and standard deviations of the number of myocyte nuclei in 0.01 mm2 of the muscular portion of the arterial homograft wall are presented in Table 1, the dynamics of the number of myocyte nuclei of the arterial graft is presented in Figure 2. The obtained results show a decrease in the number of myocyte nuclei of the arterial homografts relative to the values of day 7 by 56% at the end of 42 days (p=0.003), by 59% at the end of 49 days (p <0.0001), by 62% at the end of 56 days (p <0.0001), by 59% at the end of 63 days (p <0.0001), by 62% at the end of 70 days (p <0.0001), by 60% at the end of 77 days (p <0.0001), by 62% at the end of 84 days (p <0.0001).
Table 1. The number of myocyte nuclei of the muscular portion of the arterial homograft wall at the control points of observation
Group of biospecimens | Observation period, days | Number of myocyte nuclei in 0.01 mm2 (M±SD) | р |
1 | 7 | 12.300±0.949 | >0.05 |
2 | 14 | 11.400±0.966 | >0.05 |
3 | 21 | 9.900±0.876 | >0.05 |
4 | 28 | 9.400±0.516 | >0.05 |
5 | 35 | 8.400±0.516 | >0.05 |
6 | 42 | 5.400±0.843 | 0.003 |
7 | 49 | 5.000±0.667 | <0.0001 |
8 | 56 | 4.700±0.823 | <0.0001 |
9 | 63 | 5.000±0.665 | <0.0001 |
10 | 70 | 4.700±0.675 | <0.0001 |
11 | 77 | 4.900±0.738 | <0.0001 |
12 | 84 | 4.700±0.675 | <0.0001 |
Fig. 2. Dynamics of the number of myocyte nuclei in 0.01 mm2 arterial graft (M±SD).
The mean values and standard deviations of the number of myocyte nuclei in 0.01 mm2 of the muscular portion of the venous homograft wall are presented in Table 2, the dynamics of the number of myocyte nuclei is shown in Figure 3. A decrease in the number of myocyte nuclei of venous homografts relative to the values of 7 days was recorded by 55% at the end of 42 days (p=0.024), by 50% at the end of 49 days (p <0.0001), by 53% at the end of 56 days (p <0.0001), by 50% at the end of 63 days (p <0.0001), by 53% at the end of 70 days (p <0.0001), by 55% at the end of 77 days (p <0.0001), by 58% at the end of 84 days (p <0.0001).
Table 2. The number of myocyte nuclei of the muscular portion of the venous homograft wall at the control points of observation
Group of biospecimens | Observation period, days | Number of myocyte nuclei in 0.01 mm2 (M±SD) | р |
1 | 7 | 10.400±0.966 | >0.05 |
2 | 14 | 9.900±1.449 | >0.05 |
3 | 21 | 8.600±0.516 | >0.05 |
4 | 28 | 8.500±0.527 | >0.05 |
5 | 35 | 7.500±0.524 | >0.05 |
6 | 42 | 5.700±0.675 | 0.024 |
7 | 49 | 5.200±0.789 | <0.001 |
8 | 56 | 4.900±0.738 | <0.001 |
9 | 63 | 5.200±0.632 | <0.001 |
10 | 70 | 4.900±0.738 | <0.001 |
11 | 77 | 4.700±0.675 | <0.001 |
12 | 84 | 4.400±0.516 | <0.001 |
Fig. 3. Dynamics of the number of myocyte nuclei in 0.01 mm2 of venous graft (M±SD).
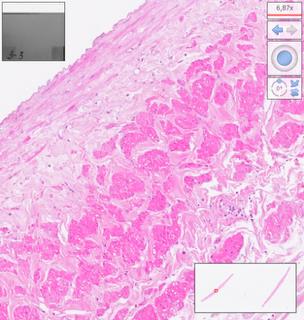
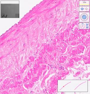
Portions of the muscle wall with areas of nuclei alterations in the form of fragmentation and lysis were identified (Figure 4). The obtained results are demonstrated by slides of histological preparations in a limited but representative assortment (Figures 5–16).
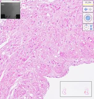
Fig. 4. Fragmentation and lysis of smooth myocyte nuclei in a homograph. Indicated by an arrow (magnified × 400).
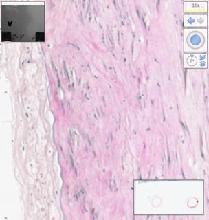
Fig. 5. Arterial homograph, day 7 of preservation in RPMI 1640 solution. Hematoxylin-eosin staining, digital magnification: endotheliocytes are partially preserved, their nuclei are hyperchromic, swollen, moderate edema of the intima, the inner elastic membrane is well differentiated, the cleavage sites of the inner elastic membrane, the contours of leiomyocytes are clearly defined, the nuclei are not swollen, vacuolization of individual myocytes (voids around the nuclei in the middle layer).
Fig. 6. Arterial homograph, day 7 of preservation in RPMI 1640 solution. Weigert–Van Gieson coloring, digital magnification: dark blue, well-defined inner elastic membrane in the form of two monolines, wavy thin elastic fibers in the middle layer, collagen in the form of a pinkish background without fiber visualization.
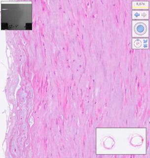
Fig. 7. Venous homograph, 7 days of preservation in RPMI 1640 solution. Hematoxylin-eosin staining, digital magnification: the endothelium is well preserved, the intima is wide, with thick collagen fibers, the myocytes of the middle layer are clearly differentiated; the well-preserved endothelium vasa vasorum attracts attention.
Fig. 8. Venous homograph, 7 days of preservation in RPMI 1640 solution. Weigert–Van Gieson coloring, digital magnification: collagen is well expressed in the form of thick fibers of purple shades.
Fig. 9. Arterial homograph, 21 days of preservation in RPMI 1640 solution. Hematoxylin-eosin staining, digital magnification: endotheliocytes are preserved in places, the basement membrane is clearly differentiated, the intima is thin, the inner elastic membrane is in the form of a wide red split line, the contours of smooth myocytes are preserved in places, the nuclei are thin, arranged with uneven density, forming areas of devastation.
Fig. 10. Arterial homograph, 21 days of preservation in RPMI 1640 solution. Weigert–Van Gieson coloring, digital magnification: the split inner elastic membrane is clearly defined, thin blue (elastic) filaments in the middle shell, with faintly noticeable eosinophilic collagen between them.
Fig. 11. Venous homograph, 21 days of preservation in RPMI 1640 solution. Hematoxylin-eosin staining, digital magnification: endotheliocytes are preserved in places, their nuclei are hyperchromic, the basement membrane is well differentiated, the intima is wide and dense, the contours of the myocytes are predominantly preserved, the endothelium vasa vasorum is preserved.
Fig. 12. Venous homograph, 21 days of preservation in RPMI 1640 solution. Weigert–Van Gieson coloring, digital magnification: collagen is pale colored in intimacy and well perceives the dye in the middle shell.
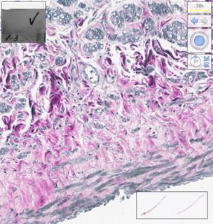
Fig. 13. Arterial homograph, 84 days of preservation in RPMI 1640 solution. Hematoxylin-eosin staining, digital magnification: single endotheliocytes with a flat pale nucleus, the basement membrane is fragmented, with areas of detachment, the intima is compacted, the inner elastic membrane in the form of fragments of different lengths and thicknesses; single myocytes, some retain contours, pale nuclei, wide areas of devastation.
Fig. 14. Arterial homograph, 84 days of preservation in RPMI 1640 solution. Weigert–Van Gieson coloring, digital magnification: intima fibers are pale, disconnected, the inner elastic membrane is in the form of a clear monoline, in the middle shell there is a light purple fibrous background of different coloring densities.
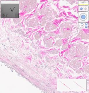
Fig. 15. Venous homograph, 84 days of preservation in RPMI 1640 solution. Hematoxylin-eosin staining, digital magnification: endotheliocytes are preserved in many areas, the basement membrane is thin, the contours of the myocytes of the middle shell are predominantly preserved, the nuclei are pale, not everywhere, multiple small areas of devastation, the endothelium vasa vasorum is not determined.
Fig. 16. Venous homograph, 84 days of preservation in RPMI 1640 solution. Weigert–Van Gieson coloring, digital magnification: pale coloration of collagen fibers in light red shades in the intima and muscle layer.
DISCUSSION
In our opinion, the dynamics of the number of myocyte nuclei in the arterial and venous homograft walls reflects the myolytic processes going on in the preserved graft, being one of most sensitive markers of cell death.
Smooth myocytes have an average size of 200×4 µm in section (conventional area of 800 µm2) and a nucleus size of 10×3 µm (conventional area of 30 µm2). From there, in 10 thousand µm2 (0.01 mm2) of the cross section of the artery in the media, about 13 smooth muscle cells can be located, and, respectively, the same amount of nuclei. Consequently, a change in the density of the nuclei (their number per unit area) can indicate the degree of myocyte autolysis and dehydration of the main substance.
Freshly prepared homografts surely preserve their ‘viability’. Homograft cells ‘live’ in the nutrient medium. There is no blood flow in vitro, therefore, metabolic products will lead to necrobiotic alterations of the homograft wall over a certain period in result of autolysis. In our opinion, the term ‘autolysis’ reflects the essence of this process [13].
The ‘strength’ of a cadaveric homograft is conditioned by collagen and elastic fibers. It is their ‘viability’ that determines biophysical properties of these fibrous structures.
Alterations of the intercellular substance in necrosis involve both the interstitial substance and fibrous structures. Collagen gibers also swell, turn into dense homogenous masses, disintegrate or undergo lysis. Changes in elastic fibers include swelling, disintegration, and melting (elastolysis). Reticular fibers often remain in the necrotic foci for a long time, but then undergo fragmentation and disintegration into clumps. Disintegration of fibrous structures is associated with the activation of specific enzymes — collagenases and elastases. Thus, in the intercellular substance during necrosis, changes characteristic of fibrinoid necrosis most often develop. The same changes occur in the walls of blood vessels having elastic and collagen fibers in their structure. In the dynamics of necrotic changes, especially in cells, there occurs a change in the processes of coagulation and colliquation, but the predominance of one of them is often noted [10].
Based on the data of morphological examination of the ‘viability’ of fresh venous and arterial homografts preserved in nutrient medium 199 (I.S. Mukhamadeev et al., 2007), starting from day 15, signs of swelling in histological preparations started to be detected in all the wall layers, as well as of destruction of leiomyocyte nuclei to 15-30%. On day 30 of the study, the share of destroyed nuclei was 50%. On day 40, extensive zones of leiomyocyte death and nuclear death in 75–90% were detected. The optimal period of preservation in medium 199 for the use of homografts in practice are the first 15–30 days [13].
In our morphological examinations of preserved cadaveric homografts, no total autolysis zones were found in the graft wall layers for periods of up to 84 days. In the study by I.S. Mukhamadeev et al. (2007) [13], the preserving solution was medium 199, in our study — RPMI 1640.
We propose preserving homografts in RPMI 1640 solution with the addition of gentamicin (400 μg/ml) and fluconazole (20 μg/ml) at a temperature of +4°C. Only one morphological study of cadaveric homografts using RPMI 1640 solution for preservation for periods of up to 42 days was found in the literature. In it, the structure of the native wall of cadaveric homografts was completely preserved throughout all control points, and there were no foci of total autolysis of the wall in any micropreparations. By day 28, rarefaction of the muscle portion of the wall, swelling of myocytes, and changes in nuclei in the form of fragmentation and lysis were detected [12].
Histological examinations in the periods up to 84 days were not found in the available literature. At the same time, in our study, no total autolysis of the wall was detected in the periods up to 84 days, which may also be due to the quality of the preservation medium.
In our study, a decrease in the number of myocyte nuclei in the muscular wall of arterial homografts by 56% at the end of 42 days (p=0.003), and in venous homografts by 55% at the end of 42 days (p=0.024) was recorded relative to the corresponding values for day 7. According to the authors, this is due to edema of the muscular portion and changes in the nuclei in the form of fragmentation and lysis.
Thus, by the end of 42 days, the necrobiosis processes occurring in preserved arterial and venous homografts can be verified by a simple histological examination, not requiring immunohistochemical examination. According to our previous study, an increase in the thickness of the muscle layer of the arterial homograft by day 28 (p=0.01) by 49.8% was revealed relative to the values on day 21, and in the venous homograft, a statistically significant decrease in the thickness of the vein wall without adventitia by the end of 42 days [12]. There is no contradiction here. By day 28, the thickness of the muscular portion increases, but a statistically significant decrease in the number of nuclei is noted by the end of 42 days. It is possible to judge the safety of using preserved grafts only in a comprehensive manner. By day 21, there is no wall edema and no decrease in the number of myocyte nuclei. Therefore, a period of up to 21 days can be considered safe for using arterial homografts. A different picture is seen in the venous graft. By day 42, a decrease in the number of nuclei in the muscle portion is noted, but there is no edema of the entire graft wall without adventitia. Being guided only by the data from the study of the number of myocyte nuclei in the muscle wall of the venous graft, then a safe period for using the venous graft can be considered up to 35 days, since there is no decrease in the number of myocyte nuclei during this preservation period. Our previous study of the thickness of the allograft wall without adventitia at different preservation periods showed that there is no thickening of the wall throughout the entire study period (up to the end of 42 days) [12], and wall thickening, according to the authors, is the ‘strongest’ predictor of wall autolysis. Consequently, a safe period for using venous homografts can be considered up to 42 days, despite the decrease in the number of myocyte nuclei after 35 days.
Degradation mechanisms cover all structural elements of the vessel wall: cells, fibers, intercellular substance. The speed and mechanism of their involution are different. Cell composition includes vascular endothelial cells and vasa vasorum endothelial cells, pericytes, fibroblasts, fibrocytes, leiomyocytes; fibrous structures include basement membrane of endothelium, internal elastic membrane, collagen and elastic fibers of intima and media; the main substance — proteoglycans, glycoproteins and glycosaminoglycans, and also water and ions. According to the generally accepted idea, cooling reduces enzymatic activity and slows down biochemical reactions, but when the optimal temperature is restored, the activity returns to the initial level within up to 2–3 days. It should be noted that the tasks of our study did not include a detailed investigation of the mechanisms of degradation of wall structures; we touched on this problem exclusively from the point of view of maintaining the strength of the graft and the possibility of its transplantation in the long term (up to 6 weeks). This is why we began the histological study of the vessel walls at the end of the first week, and not from the first hour after extraction.
Cells. In the agonal period before material collection, the energy supply to cell decreases leading to its dystrophy, total or focal necrosis, apoptosis through the known mechanisms. After the extraction, all energy-dependent processes in the cell stop, including apoptosis Stopping of ATP-dependent pumps leads to osmotic equilibrium between the intra- and extracellular environment, swelling of the cytoplasm and focal or total destruction of membranes. Damage to lysosome membranes leads to cell necrosis, the scope of which depends on the activity and amount of enzymes, different for different types of cells. Destruction of cell membranes leads to the release of enzymes, including matrix metalloproteinases (MMPs), which destroy collagen and elastin. However, the amount of enzyme is limited and its activity under hypothermia conditions approaches zero. Endothelial cells lose their connection with the matrix due to the degradation of fixing proteins, but the absence of intravascular movement creates a deceptive histological picture of endothelial stability. Separately, we should touch upon the cells of the mononuclear series, which are always present in tissues to one degree or another. When they disintegrate, a large number of lysosomal enzymes is released, causing instantaneous lysis of the extracellular matrix and cell membranes. When the temperature decreases, their activity drops sharply.
Fibrous structures. As already noted, collagen and elastin come under the action of MMP and lysosomal enzymes, but for a short time (about 3 days) and in a limited amount. This ejection of enzymes, apparently, cannot significantly reduce the strength characteristics of the fibrous framework. Subsequently, with a decrease in temperature, hydrolytic destruction completely stops. Hydration of collagen occurs with swelling of the fibers and alteration of its physicochemical characteristics. Elastin being a hydrophobic material, is practically insensitive to water action. Thus, over several weeks, hydration of collagen occurs with thickening of the intima and media, more pronounced in the vein compared to the artery.
Main substance. MMP and lysosomal enzymes reduce the hydrophilism of the main substance and breaks down cellular-matrix connections. At a low positive temperature, enzymatic glycolysis slows down, but does not stop, however, enzymatic activity declines to zero within the first week. In parallel, proteoglycans and glycosaminoglycans are washed out into the surrounding solution, which is accompanied with thinning of the wall and densification of remaining myocytes.
The above speculations are considered by us from the point of view of the possibility of predicting the behavior of the graft in transplantation. According to the above conclusions, the use of a vessel in the first few days after its cooling and preservation should lead to ‘revitalization’ of enzymes released during ischemic damage and cause massive necrosis of cells and extracellular matrix with subsequent destruction of the wall. During the first week after the graft is extracted and placed in a preservative with a low positive temperature, the progressing enzymatic degradation of the wall structures ends. In the next weeks, collagen hydration occurs with the intact elastic fibers, partial loss of protein-carbohydrate complex of the main substance, swelling and dissociation of leiomyocytes, swelling and hydration of endothelial cells.
Thus, biomechanical strength of the graft is determined to the greatest extent by the remaining structures: mildly damaged elastic fibers and hydrated collagen fibers. Muscle cells are separated and no longer form fibers, and, consequently, are not a supporting structure. The remaining part of the protein-carbohydrate gel fulfils a connecting rather than a supporting function. Thus, when the functional load occurs, it is only the fibrous framework to rely on. Evidently, in transplantation, the wall of the vessel graft must withstand a longitudinal load at the place of suturing and a transverse load along the entire length, especially when replacing an arterial segment. It follows that the histological equivalent of the biomechanical strength at late stages of storage is the condition of elastic and collagen fibers.
CONCLUSION
By the end of 42 days of preservation of freshly prepared cadaveric homografts in RPMI 1640 solution with the addition of gentamicin (400 μg/ml) and fluconazole (20 μg/ml) at a temperature of +4°C, a decrease in the number of myocyte nuclei in the walls of arterial and venous homografts was detected relative to the values of day 7. In the preservation period of 42-84 days, there was no statistically significant decrease in the number of myocyte nuclei in the muscle wall of homografts of either arteries or veins.
Taking into account our morphological studies as a whole, the optimal period for using arterial homografts can be considered to be the period of up to 21 days of preservation in RPMI 1640 solution. Venous homografts can be used for up to 42 days, despite the decrease in the quantity of myocyte nuclei after 35 days, since there is no edema of the venous homograft wall until the end of 42 days.
ADDITIONAL INFORMATION
Author contributions. R.E. Kalinin ― concept and design of the study; I.A. Suchkov ― analysis of data, editing; V.V. Karpov ― collection of material, statistical processing of data, writing the text; A.P. Shvalb ― concept and design of the study; D.V. Guzairov ― analysis of data; T.M. Cherdantseva ― editing. All authors approved the manuscript (the publication version), and also agreed to be responsible for all aspects of the work, ensuring proper consideration and resolution of issues related to the accuracy and integrity of any part of it.
Ethics approval. The study was approved from the Local Ethics Committee of the Ryazan State Medical University (Protocol No. 4 of November 09, 2021). The study of arterial and venous homographs from a postmortem donor was performed in compliance with the rules for organ and tissue sampling (Federal Law No. 323-FL “On the Basics of Public Health Protection in the Russian Federation” (with amendments and additions on July 13, 2021); Law of the Russian Federation dated December 22, 1992 No. 4180-I “On transplantation of human organs and (or) tissues” (with amendments and additions); Order of the Ministry of Health of the Russian Federation and the Russian Academy of Sciences No. 306n/3 on June 04, 2015 “On Approval of the List of transplant facilities” (with amendments and additions); Appendix to Order of the Ministry of Health of the Russian Federation and the Russian Academy of Sciences No. 73n/2 on February 20, 2019).
Consent for publication. The study protocol was approved with the possibility of not signing informed consent for objective reasons — postmortem examination of biomaterials — subject to strict compliance with the Research Protocol and the regulations listed above.
Funding sources. No
funding.
Disclosure of interests. The authors have no relationships, activities or interests for the last three years related with for-profit or not-for-profit third parties whose interests may be affected by the content of the article.
Statement of originality. The authors did not use previously published information (text, illustrations, data) when creating this work.
Data availability statement. The editorial policy regarding data sharing does not applicable to this work, and no new data were collected or created.
Generative AI. Generative AI technologies were not used for this article creation.
Provenance and peer-review. This work was submitted to the journal on its own initiative and reviewed according to the usual procedure. Two external reviewers, a member of the editorial board and the scientific editor of the publication participated in the review.
1 Guide to the quality and safety of tissues and cells for human application [Internet]. Available from: https://freepub.edqm.eu/publications/AUTOPUB_17/detail. Accessed: 20.04.2025.
2 Law of the Russian Federation No. 4180-I of December 22, 1992 "About transplantation of human organs and (or) tissues (with amendments and additions)". Available from: http://base.garant.ru/ 136366/. Accessed: 20.04.2025.
About the authors
Roman E. Kalinin
Ryazan State Medical University
Email: kalinin-re@yandex.ru
ORCID iD: 0000-0002-0817-9573
SPIN-code: 5009-2318
MD, Dr. Sci. (Medicine); Professor
Russian Federation, RyazanIgor A. Suchkov
Ryazan State Medical University
Email: suchkov_med@mail.ru
ORCID iD: 0000-0002-1292-5452
SPIN-code: 6473-8662
MD, Dr. Sci. (Medicine), Professor
Russian Federation, RyazanVyacheslav V. Karpov
Ryazan State Medical University; Regional Clinical Hospital
Author for correspondence.
Email: sdrr.s@yandex.ru
ORCID iD: 0000-0001-5523-112X
SPIN-code: 6245-6292
MD, Cand. Sci. (Medicine)
Russian Federation, Ryazan; RyazanAlexander P. Shvalb
Regional Clinical Tuberculosis Dispensary
Email: shvalbalik@yandex.ru
ORCID iD: 0000-0001-8563-0439
MD, Cand. Sci. (Medicine)
Russian Federation, RyazanDmitry V. Guzairov
Ryazan State Medical University
Email: sdrr@mail.ru
ORCID iD: 0009-0002-1943-2244
SPIN-code: 3501-8157
Russian Federation, Ryazan
Tatyana M. Cherdantseva
Ryazan State Medical University
Email: cherdan.morf@yandex.ru
ORCID iD: 0000-0002-7292-4996
SPIN-code: 3773-8785
MD, Dr. Sci. (Medicine), Professor
Russian Federation, RyazanReferences
- Harlander–Locke MP, Harmon LK, Lawrence PF, et al. The use of cryopreserved aortoiliac allograft for aortic reconstruction in the United States. J Vasc Surg. 2014;59(3):669–674. doi: 10.1016/j.jvs.2013.09.009
- Kalinin RE, Suchkov IA, Karpov VV, et al. The First Experience of Using Allografts in Surgery of Main Arteries of Lower Limbs. Russian Sklifosovsky Journal “Emergency Medical Care”. 2020;9(3):442–448. doi: 10.23934/2223-9022-2020-9-3-442-448 EDN: IZFWQX
- Pokrovsky AV, Dan VN, Chupin AV, Gryaznov OG. The use of biological transplants in the femoral-popliteal-tibial position. Angiology and Vascular Surgery. 1996;(3):91–100.
- Chakfé N, Diener H, Lejay A, et al. Editor's Choice — European Society for Vascular Surgery (ESVS) 2020 Clinical Practice Guidelines on the Management of Vascular Graft and Endograft Infections. Eur J Vasc Endovasc Surg. 2020;59(3):339–384. doi: 10.1016/j.ejvs.2019.10.016 EDN: MKKSRL
- Kalinin RE, Suchkov IA, Egorov AA, et al. Permanent vascular access for hemodialysis using allogeneic vein. Russian Journal of Cardiology and Cardiovascular Surgery. 2021;14(1):98–103. doi: 10.17116/kardio20211401198 EDN: BXCVKF
- Kalinin RE, Suchkov IA, Karpov VV, Egorov AA. Potentials of Using Allografts in Surgical Treatment of Popliteal Artery Aneurysms. I.P. Pavlov Russian Medical Biological Herald. 2022;30(1):115–122. doi: 10.17816/PAVLOVJ76343 EDN: HZXZBU
- Dmitriev OV, Italiantsev AYu, Chernovalov DA, et al. Prosthetic repair of the aorta with a cadaveric homograft for infection of bifurcated synthetic vascular prosthesis. Angiology and Vascular Surgery. 2021;27(3):132–139. doi: 10.33529/ANGIO2021315 EDN: SJKLSV
- Dmitriev OV, Ital'iantsev AYu, Chernovalov DA, et al. The use of an aortic allograft in infection of an aortic prosthesis in a patient with a multi-storey lesion of the arterial bed of the lower extremities. Grekov's Bulletin of Surgery. 2023;182(4):53–59. doi: 10.24884/0042-4625-2023-182-4-53-59 EDN: FRIXHY
- Khomchuk IA, Kurilov AB, Platonov SA, et al. Extraanatomical surgical treatment of infection of the bifurcation aortic vascular prosthesis using cadaveric arteries. The Journal of “Emergency Surgery” named after I.I. Dzhanelidze. 2023;(2):56–61. EDN: PPBTVM
- Bogomolova IN, Bogomolov DV. Prizhiznennyy nekroz i posmertnyy autoliz: problema differentsial'noy diagnostiki. In: Avdeyev AI, Yevseyev AN, Vlasyuk IV, editors. Izbrannyye voprosy sudebno-meditsinskoy ekspertizy i patologicheskoy anatomii; Khabarovsk, 01 January – 31 December 2012. Khabarovsk; 2012;(12):25–31. (In Russ.) EDN: XNVJQL
- Strukov AI, Serov VV. Pathological anatomy. 5th ed. Moscow: Litterra; 2012. (In Russ.)
- Kalinin RE, Suchkov IA, Karpov VV, et al. Features of the morpho-histological picture of homografts in different periods of conservation. Clinical and Experimental Surgery. Petrovsky Journal. 2023;11(4):75–82. doi: 10.33029/2308-1198-2023-11-4-75-82 EDN: OQMJXT
- Muhamadeev IS, Friend GG, Berezina IA. The evaluation of arterial and venous allografts’ viablity in vitro depending on the period of preservation. Morphological Newletter. 2007;(1–2):197–201. EDN: MJCNOJ
Supplementary files






















