Case report of a massive pseudoaneurysm of the anterior tibial artery
- Authors: Dorn A.1, Galkin P.1, Kalmykov E.1, Majd P.1
-
Affiliations:
- Evangelical Hospital Bergisch Gladbach
- Issue: Vol 29, No 2 (2021)
- Pages: 293-298
- Section: Clinical reports
- Submitted: 12.05.2021
- Accepted: 21.05.2021
- Published: 22.07.2021
- URL: https://journals.eco-vector.com/pavlovj/article/view/70498
- DOI: https://doi.org/10.17816/PAVLOVJ70498
- ID: 70498
Cite item
Abstract
The majority of arterial pseudoaneurysms treated in our department of vascular surgery are consequences of catheter-associated medical procedures and located in the groin region. Clinical signs, combined with the recent history of a percutaneous intervention, ensure quick diagnosis and therapy. However, pseudoaneurysms can develop after any artery of the body is injured. No consensus on the therapeutic strategy is achieved because of the rare nature of this injury. This study provided an overview of the methods described in previous studies and contributions to their clinical experience.
A case of a young man whose injury was not recognized immediately and who presented months after the accident with a pseudoaneurysm of unusual location and size was reported. Sonographic diagnosis was confirmed through computed tomography angiography, and open surgical repair was performed with satisfactory results.
Conclusion. This case is a reminder that seemingly minor accidents can cause arterial injury, and patients should be carefully examined to avoid delayed diagnosis and therapy.
Full Text
The majority of arteries pseudoaneurysms treated in our department of vascular surgery are the consequence of catheter-associated medical procedures and located in the groin region. The clinical signs in combination with the recent history of a percutaneous intervention ensure a quick diagnosis and therapy. But pseudoaneurysms can develop after injury of any artery of the body. Because of the rare nature of this injury, there is no consensus on the therapeutic strategy.
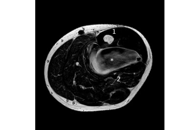
Case report. A 26 years old male presented with a painful swelling on the left lower leg with no history of recent trauma. An Magnetic Resonance Imaging (MRI) prompted by the general practitioner had showed a homogenous mass anterior to the fibula with contact to the bone and vascular structures (Figure 1). The radiologist‘s first suspicion was a highly vascularized tumour with the diffential diagnosis of an infected hematoma. The patient was referred to our department of vascular surgery.
Fig. 1. MRI (axial, T2) of the lower leg, 15 cm distal to the knee joint space (image courtesy of Radiologie 360°): (1) tibia, (2) fibula, (*) «tumor».
Upon physical examination there was no clinical sign of infection or recent trauma. The left lower leg had a greater circumference than the right. There were no signs of ischemia, the pulses of the anterior and posterior tibial arteries were equally perceived on both ankles.
At the lateral side of the proximal left lower leg, it was possible to palpate a pulse and upon further examination a small scar was visible. Asked about it, the patient recalled he had suffered from a stab wound with a small kitchen knife about eight months ago. The wound had not shown any unusual bleeding and healed rapidly.
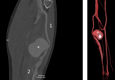
Sonography of the swelling showed a thin-walled anechoic structure of at least 50 mm diameter. Duplex revealed flow inside it and a connection to the anterior tibial artery. The accompanying deep veins showed arterial duplex signals as well. To assess the extent of the injury, a computed tomography (CT) angiography of the lower leg was performed (Figure 2).
Fig. 2. CT angiography scan of the left lower leg: (А) curved resonstruction along the anterior tibial artery, (B) 3D reconstruction: displacement of the artery by the pseudoaneurysm, contrasted deep and superficial veins (images courtesy of Radiologie 360°).
The CT scan confirmed our diagnosis of a pseudoaneurysm of the anterior tibial artery and an arterio-venous fistula. The findings and suggested procedure were carefully discussed with the patient. We carried out an open surgical repair via a vertical skin incision on the lateral side of the lower leg. Intraoperatively, we found the injury to the anterior tibial artery was too extended for a direct repair. Instead, a short vein interposition graft was implanted. For this purpose, a part of the distal greater saphenous vein was explanted at the left ankle. The lesion of the deep vein was treated by primary closure.
The postoperative recovery was slightly delayed by hematoma at the site of the operation, apart from that there were no pathological findings. The perfusion of the foot is unchanged. The swelling of the leg was reduced rapidly, the mobility of the patient was improved.
The last follow-up was carried out 16 months after the operation. Duplex sonography shows the vein graft is open with normal flow signals (Figure 3). The peripheral perfusion is normal, the patient is symptom-free.
Fig. 3. Duplex sonograpy of the vein graft 16 months post-op.
Pseudoaneurysms of the femoral artery are a common entity in vascular surgery. The majority of them are the consequence of medical procedures. Femoral artery pseudoaneurysms have been recorded to occur in up to 8% of vascular interventional procedures [1]. Duplex sonography is considered the diagnostic gold standard for pseudoaneurysms in the groin region. The routine therapeutic methods for post-catheterization pseudoaneurysms and their results are well-documented. An ultrasound-guided compression therapy or percutaneous thrombine injection offer high success rates [2]. Failure of these methods, large pseudoaneurysms and complications like skin necrosis or infection prompt open surgical repair. Endovascular treatment, like implantation of covered stent grafts, is uncommon in the femoral artery because of the simplicity and good results of open surgery and the potential for complications like stent fracture and occlusion.
Pseudoaneurysms of the arteries of the lower leg can be caused by gunshot wounds, but outside of armed conflicts they are a rare entity. Injuries of the anterior tibial artery have been reported after penetrating (stab wounds [3]) and blunt trauma (with [4] or without [5] fractures of the long bones). Apart from that, they can be complications of surgery (vascular surgery [6]), ankle arthroscopy [7]), osteosyntheses of the tibia [8]).
Because they are less frequent than femoral pseudoaneurysms, the diagnostic and therapeutic strategies have not been evaluated with large patient groups. A pubmed search showed 61 individual case reports of posttraumatic or surgery-related anterior tibial artery pseudoaneuryms which were treated with more than 10 different methods. The authors agree that attention to the medical history and thorough clinical examination are important. Duplex songraphy is considered just as useful as it is in the groin region as it always led to the correct diagnosis, sometimes after inconclusive other imaging (like our patient‘s MRI). In the distal lower extremity, an additional CT or direct angiography may be necessary to assess the exact location and size of the arterial injury. The latter offers the opportunity for endovascular therapy in the same session.
Pseudoaneurysms of the anterior tibial artery were reported to be successfully treated with compression therapy [9], sonography guided thrombine injection [3], endovascular and open surgical approaches. The endovascular methods include implantation of covered stent grafts [10] and chemical or coil embolization of the pseudoaneurysm [5] or the artery itself [8]. Open surgery was performed with preservation of blood flow through direct repair [11], venous interposition [12] or bypass [13] grafts or by proximal and distal ligation of the anterior tibial artery [4)]. In otherwise healthy individuals, embolization or ligation of the affected artery does not necessarily lead to ischemic complications. Nevertheless, we believe it should be preserved if possible.
In our patient, the pseudoaneurysm was causing pain because of its size and location between the muscles of the lower leg. Any pseudoaneurysm poses a risk of growth and rupture and of secondary infection. Furthermore, thrombus formation inside the pseudoaneurysm could cause an acute arterial embolism leading to ischemia. We wanted to remove the mass, eliminate the aforementioned risks and preserve the anterior tibial artery. Because of the patient‘s young age, we were concerned about the reported poor long-term patency of endografts [6]. Therefore, an open repair was chosen. The extent of the damage to the anterior tibial artery prompted the implantation of a venous interposition graft. The postoperative result is satisfactory.
CONCLUSION
While pseudoaneurysms of the femoral artery are a well-known complication of coronary interventions and peripheral angiography, similar injuries can occur at any other site as well. In our patient, diagnosis and therapy was delayed, leading to the development of a large pseudoaneurysm. An open surgical reconstruction was carried out sucessfully.
Vascular injury can be caused by any kind of penetrating or blunt trauma or associated with surgical procedures. Obvious signs like strong bleeding or periphereal ischemia may not always be present. It is important to be alert to that and examine carefully even after seemingly minor injuries to ensure a quick diagnosis and therapy.
ADDITIONALLY
Conflict of interests. The authors declareno actual and potential conflict of interests which should be stated in connection with publication of the article.
Participation of authors. A. Dorn, P. Galkin, E. Kalmykov — patient management, clinical material analysis, article concept, literature selection and analysis, text writing, P. Majd — editing.
About the authors
Anna Dorn
Evangelical Hospital Bergisch Gladbach
Author for correspondence.
Email: as.dorn@yahoo.de
ORCID iD: 0000-0003-4822-5041
Physician of the Clinic for Vascular and Endovascular Surgery
Germany, Bergisch GladbachPeter Galkin
Evangelical Hospital Bergisch Gladbach
Email: p.galkin@uk-koeln.de
ORCID iD: 0000-0003-2666-5337
MD, Dr.Sci.(Med.), Senior Physician, Specialist in Vascular Surgery, Clinic for Vascular Surgery, Department of Vascular and Endovascular Surgery
Germany, Bergisch GladbachEgan Kalmykov
Evangelical Hospital Bergisch Gladbach
Email: info@helios-international.com
ORCID iD: 0000-0001-6784-2243
ResearcherId: K-9827-2013
MD, Dr.Sci.(Med.), Department of Vascular and Endovascular Surgery
Germany, Bergisch GladbachPayman Majd
Evangelical Hospital Bergisch Gladbach
Email: mir.majd@uk-koeln.de
ORCID iD: 0000-0002-5835-8318
Chief physician, Specialist in surgery, Specialist in vascular surgery, Endovascular surgeon, Clinic for Vascular Surgery, Department of Vascular and Endovascular Surgery
Germany, Bergisch GladbachReferences
- Tisi PV, Callam MJ. Treatment for femoral pseudoaneurysms. The Cochrane Database of Systematic Reviews. 2009; (2):CD004981. doi: 10.1002/14651858.CD004981.pub3
- Webber GW, Jang J, Gustavson S, et al. Contemporary management of postcatheterization pseudoaneurysms. Circulation. 2007;115(20):2666-74. doi: 10.1161/CIRCULATIONAHA.106.681973
- Fraser JD, Cully BE, Rivard DC, et al. Traumatic pseudoaneurysm of the anterior tibial artery treated with ultrasound-guided thrombin injection in a pediatric patient. Journal of Pediatric Surgery. 2009;44(2):444-7. doi: 10.1016/j.jpedsurg.2008.08.027
- Sautet P, Choufani E, Petit P, et al. Pseudoaneurysm of anterior tibial artery following a diaphyseal fracture of the tibia mimicking a malignant bone tumor. Archives of Orthopaedic and Trauma Surgery. 2016;136(9):1247-50. doi: 10.1007/s00402-016-2525-6
- Elens S, Bossu N, Puech P, et al. Two Rare Cases of Posttraumatic Peripheral Artery Pseudoaneurysm. Journal of the Belgian Society of Radiology. 2016;100(1):112. doi: 10.5334/jbr-btr.1150
- Gratl A, Klocker J, Glodny B, et al. Treatment options of crural pseudoaneurysms. Vasa. 2014;43(3):209-15. doi: 10.1024/0301-1526/a000351
- Yammine K, Kheir N, Daher J, et al. Pseudoaneurysm following ankle arthroscopy: a systematic review of case series. European Journal of Orthopaedic Surgery & Traumatology. 2019;29(3):689-96. doi: 10.1007/s00590-018-2324-6
- Gahlot N, Kanojia RK. Anterior tibial artery pseudoaneurysm due to interlocking bolt of tibial nail: A case report and review. Acta Orthopaedica et Traumatologica Turcica. 2017;51(1):77-83. doi: 10.1016/j.aott.2015.01.001
- Van Schaardenburgh P, Steenvoorde P, de Bruïne JF, et al. Thrombotic resolution of a traumatic pseudoaneurysm of the anterior tibial artery after external compression. The Journal of Trauma and Acute Care Surgery. 2003;55(3):561-5. doi: 10.1097/01.TA.0000031176.56759.21
- Spirito R, Trabattoni P, Pompilio G, et al. Endovascular treatment of a post-traumatic tibial pseudoaneurysm and arteriovenous fistula: case report and review of the literature. Journal of Vascular Surgery. 2007;45(5):1076-9. doi: 10.1016/j.jvs.2006.12.038
- Tomescot A, Mackowiak E, Coggia M, et al. Pseudoaneurysm of the anterior tibial artery after a tibial bone true-cut needle biopsy treated by an arterial resection and anastomosis. Annuals of Vascular Surgery. 2011;25(3):386.e13-15. doi: 10.1016/j.avsg.2010.10.014
- Vasilakis A, Jackson RJ, Rozar GE, et al. Revascularization of a symptomatic pseudoaneurysm of the anterior tibial artery. The American Surgeon. 1990;56(4):209-13.
- Bartoli MA, Lerussi GB, Gulino R, et al. False aneurysm at the origin of the anterior tibial artery after opening wedge osteotomy. Vascular. 2010;18(1):45-8. doi: 10.2310/6670.2009.00042
Supplementary files







