Трансназальная хирургия при внутричерепных риногенных осложнениях у детей. Разбор двух клинических случаев
- Авторы: Верезгов В.А.1, Бреусенко Д.В.1, Павлов П.В.1, Захарова М.Л.1, Сныткина А.С.1, Горкина О.К.1, Дмитренко В.В.1, Курьянова Ю.А.1, Кукушкина О.Е.1
- 
							Учреждения: 
							- Санкт-Петербургский государственный педиатрический медицинский университет
 
- Выпуск: Том 13, № 1 (2022)
- Страницы: 69-81
- Раздел: Клинический случай
- URL: https://journals.eco-vector.com/pediatr/article/view/108388
- DOI: https://doi.org/10.17816/PED13169-81
- ID: 108388
Цитировать
Аннотация
Риногенные внутричерепные осложнения, такие как абсцесс головного мозга и тромбоз вен и синусов головного мозга, по сей день остаются грозной, жизнеугрожающей патологией, не редко заканчивающейся летальным исходом, несмотря на широкое развитие антибактериальной терапии и приверженность пациентов к проводимому лечению. Нередко причиной развития внутричерепных осложнений служит обострение хронического воспалительного процесса в придаточных пазухах носа, тогда как острая ЛОР-патология синусов приводит к развитию риногенных осложнений лишь в небольшом проценте случаев. К сожалению, высокое развитие лучевой и лабораторной диагностики не всегда позволяет вовремя диагностировать данные состояния и оказать адекватную хирургическую помощь. В детском и подростковом возрасте важно выполнить своевременное полное и в то же время малоинвазивное, не приводящее к инвалидизации, хирургическое пособие. Анализ зарубежной литературы последних лет показывает, что нейрохирургические операции в различном объеме (от трепанопункции головного мозга до краниотомии) встречаются в подавляющем большинстве случаев лечения риногенных внутричерепных осложнений. В статье приводятся два клинических случая успешно пролеченных в отделении оториноларингологии Санкт-Петербургского государственного педиатрического медицинского университета пациентов с внутричерепными осложнениями без высокотравматичной нейрохирургической операции. Комбинация эндоназальной эндоскопической операции и массивной адекватной консервативной терапии (антибиотикотерапия в сочетании с применением антикоагулянтов при синус-тромбозе) позволяет добиться выздоровления пациента без обращения к нейрохирургическому вмешательству.
Полный текст
ВВЕДЕНИЕ
Риногенные внутричерепные осложнения — это жизнеугрожающие состояния, развивающиеся вследствие прогрессирующего воспалительного процесса в полости носа и околоносовых пазухах. Встречаются различные варианты данной патологии: абсцессы головного мозга (субдуральный, эпидурадный, вещества головного мозга), тромбозы вен и синусов головного мозга [10]. Залогом благоприятного исхода являются своевременная диагностика и хирургическое лечение очага инфекции [1, 3, 11]. В литературе не найдено систематизированных данных об эпидемиологии и хирургических подходах в лечении пациентов с внутричерепными риногенными осложнениями, а имеющиеся данные сводятся к описанию клинических случаев. Таким образом, изучение вопроса о тактике ведения данных пациентов остается открытым [10].
Эпидемиология
Возникновение риногенных внутричерепных осложнений напрямую связано с гнойным воспалением полости носа и околоносовых пазух, а также в сочетании нескольких гнойных очагов. Чаще всего осложнения являются следствием обострения хронического синусита, и, по мнению ряда авторов, всего 25 % случаев возникают вследствие острого воспаления придаточных пазух носа. По данным литературы, внутричерепные осложнения встречаются во всех возрастных группах, наибольшее их количество приходится на возраст от 11 до 30 лет [9]. Нет точных систематизированных данных о распространенности внутричерепных осложнений. По мнению многих авторов, несмотря на современные возможности диагностики данных состояний и активное применение антибактериальной терапии, распространенность внутричерепных осложнений не имеет тенденции к снижению. По отечественным и зарубежным источникам известно, что из всех внутричерепных осложнений чаще встречается эпидуральный и субдуральный абсцессы, реже — менингиты (серозный и гнойный), энцефалиты и тромбозы вен и синусов головного мозга [7].
Этиология и патогенез
Особенности анатомического расположения придаточных пазух носа вблизи жизненно важных структур полости черепа способствуют возникновению внутричерепных осложнений. Распространение инфекции происходит контактным путем посредством костных дегисценций и в результате разрушения костных стенок, периваскулярными и периневральными путями, метастатическими (гематогенный, реже лимфогенный). Варианты строения стенок придаточных пазух и прочих структур полости носа, их анатомические особенности (глубокие карманы и бухты, узкие естественные соустья) также способствуют распространению гнойно-воспалительного процесса [6, 7].
Воспаление в клиновидной пазухе, располагающейся в тесной близости с гипофизом, оболочками мозга, хиазмой зрительного нерва, пещеристым синусом, по данным литературы, становится причиной развития гнойного лептоменингита, менингоэнцефалита, абсцесса головного мозга, синус-тромбоза. Обострение хронических гнойных и гнойно-полипозных синуситов других локализаций могут служить причиной развития эпидуральных и субдуральных абсцессов головного мозга и гнойных менингитов [2, 6].
Отличительная особенность пещеристого синуса — это многослойные соединительнотканные перемычки, которые замедляют ток крови из вен в синус, что способствует развитию синус-тромбоза [4]. Не стоит забывать, что во время течения воспалительного процесса в организме изменяются реологические свойства крови, что так же приводит к развитию тромбоза сосудов и синусов.
Клинические проявления
По данным отечественных авторов, у пациентов с внутричерепными осложнениями доминируют интоксикационный синдром и общемозговая симптоматика, часто отмечается повышение артериального давления. По данным литературы, более чем у половины пациентов с внутричерепными осложнениями наблюдается интоксикационный синдром, треть пациентов страдает от повышения артериального давления во время заболевания, клиническая картина остальных характеризуется очаговой симптоматикой. Развитие симптомов в большинстве случаев имеет прогрессирующий характер с нарастанием общей интоксикации и неврологических симптомов и лишь в половине случаев сопровождается гипертермией. В литературе также описаны случаи латентного и молниеносного течения [6].
Основным симптомом внутричерепных осложнений является головная боль разлитого характера или в форме гемикрании (головная боль на стороне патологического очага). Нередко данное проявление наступившего осложнения сопровождается тошнотой и рвотой. Встречаются также случаи угнетения сознания пациента в виду повышения внутричерепного давления на фоне течения воспалительного заболевания. Стоит отметить, что угнетение сознания вплоть до комы может быть связано с развитием масс-эффекта от сдавления близлежащих структур [5].
По данным современной литературы, более чем у половины пациентов наблюдается очаговый неврологический дефицит, связанный с локализацией воспалительного процесса (афазия, гемипарез, изменение полей зрения, нистагм, мозжечковые расстройства, атаксия), в остальных случаях патологическое состояние сопровождается судорожным синдромом и застойными явлениями дисков зрительных нервов [6].
При синус-тромбозе помимо общемозговых симптомов и интоксикации характерны местные, орбитальные проявления, которые возникают вследствие нарушения кровообращения глазничных вен [2]. В литературе описывают появление у пациентов с синус-тромбозом экзофтальма, отека век и конъюнктивы, ограничение подвижности глазного яблока вследствие воспаления глазодвигательных нервов и отека орбитальной жировой ткани. При этом пальпация глазного яблока остается безболезненной. В некоторых случаях возникает слепота в виду нарушения питания зрительного нерва и сетчатки [5].
Диагностика
На современном этапе существует множество методов диагностики патологии полости носа и связанных с ним структур. Основные методы — компьютерная томография и магнитно-резонансная томография (МРТ). Также информативными признаются эндоскопическое исследование полости носа и общеклиническая лабораторная диагностика.
Лечение
Лечение больных должно быть комплексным, включать хирургическую санацию всех гнойных очагов полости носа и околоносовых пазух, а также массивную антибактериальную, противовоспалительную, десенсибилизирующую и дегидратационную терапию. При синус-тромбозе важным является активное применение антикоагулянтной терапии [8]. Хирургическое лечение должно включать санацию гнойного очага полости носа и околоносовых пазух, данное вмешательство выполняют как эндоназальным эндоскопическим доступом, так и наружным. Вопрос о нейрохирургическом вмешательстве при внутричерепных осложнениях остается открытым. В зарубежной литературе имеются сведения, что в подавляющем большинстве случаев выполняют нейрохирургическое вмешательство. Оно может заключаться в трепанопункции патологического очага головного мозга, а также могут проводить краниотомию [20].
В зарубежной литературе есть данные по количеству проведенных нейрохирургических вмешательств у детей с внутричерепными риногенными осложнениями. Количество выполненных нейрохирургических вмешательств варьирует от 0 % до более чем двух третей всех случаев внутричерепных осложнений. Так, в исследованиях разных лет авторами показано, что выполнение нейрохирургических операций при внутричерепных осложнениях выполнялось в 70–100 % случаев [12–19, 21–24].
Антибактериальная терапия в основном была представлена антибиотиками цефалоспоринового ряда III и IV поколений, метронидазолом, ванкомицином, реже использовали хлорамфеникол и антибиотики пенициллинового ряда [20].
КЛИНИЧЕСКИЙ СЛУЧАЙ 1
Пациент Х., 17 лет, поступил в отоларингологическое отделение Санкт-Петербургского государственного медицинского университета (СПбГПМУ) 04.06.2021. Жалобы при поступлении на головную боль в проекции левой лобной пазухи. Из анамнеза известно, что пациент болен с 10 мая, перенес острое респираторное заболевание, лечился самостоятельно, симптоматически — без эффекта. Госпитализирован в экстренном порядке в ГОБУЗ ОДКБ (Великий Новгород) с 18.05.2021 по 04.06.2021 с диагнозом: «Острый пансинусит». Сопутствующий диагноз: «Субдуральная эмпиема левой лобной области». В стационаре проводили пункции левой верхнечелюстной пазухи, антибактериальную терапию (цефтриаксон в дозе 1,0 г 2 раза в день внутривенно, амоксициллин в дозе 500 мг 3 раза в день внутрь), симптоматическую, противовоспалительную гормональную терапию (дексаметазон в дозах 12 мг – 8 мг – 8 мг – 4 мг – 4 мг). На фоне проводимой терапии отмечалось улучшение в виде нормализации температуры тела, однако сохранялись боли в лобной области. 19.05.2021 выполнена компьютерная томография околоносовых пазух (КТ ОНП) — картина полисинусита, ретенционной кисты правой верхнечелюстной пазухи, искривление перегородки носа. КТ ОНП от 26.05.2021 в динамике: положительная динамика, в левой лобной доле объемное образование.
В ночь с 28.05.2021 на 29.05.2021 приступ клонико-тонических судорог, купирован диазепамом, пациент переведен в тяжелом состоянии в отделение реанимации и интенсивной терапии, начата противосудорожная терапия. МРТ головного мозга от 31.05.2021: воспалительные изменения околоносовых пазух, МР-картина риногенного менингита с субдуральной эмпиемой, зона патологического сигнала в левой лобной доле. 29.05.2021 и 31.05.2021 консультирован нейрохирургом Новгородской областной клинической больницы — показаний для экстренного оперативного вмешательства нет. По согласованию с администрацией пациент переведен 04.06.2021 в Педиатрический медицинский университет для продолжения лечения.
Объективно: лицевой скелет не изменен. Боли при перкуссии левой лобной пазухи. Слизистая носа отечна, гиперемирована, больше слева, в полости носа слизисто-гнойное отделяемое. Перегородка носа искривлена влево. Носовое дыхание затруднено. Определяется мелкоразмашистый горизонтальный спонтанный нистагм с акцентом влево. Менингиальные симптомы отрицательные.
Консультирован неврологом: сознание ясное, в пространстве и времени ориентирован верно. Несколько заторможен, отвечает на вопросы и выполняет просьбы с задержкой. Менингиальные симптомы отрицательные.
04.06.2021 выполнена мультиспиральная компьютерная томография (МСКТ) ОНП (рис. 1): определяется субтотальное снижение пневматизации левой половины лобной пазухи, задняя ее стенка сохранена, нельзя исключить щелевидные истончения. Затенение лобно-носового кармана слева, клетки решетчатого лабиринта слева частично затенены, деструкции в области переднего основания черепа убедительно не прослеживается. Отмечается пристеночное снижение пневматизации с уровнем жидкости в левой верхнечелюстной пазухе. Округлое новообразование в правой верхнечелюстной пазухе — киста. Пневматизация пазухи клиновидной кости, клеток сосцевидных отростков и барабанных полостей не нарушена.
Рис. 1. Мультиспиральная компьютерная томография околоносовых пазух и головного мозга от 04.06.2021: коронарная (а) и аксиальная (b) проекции в режиме skull, субтотальное затенение левой лобной пазухи, костная деструкция отсутствует; аксиальная (c) и сагиттальная (d) проекции в режиме brain, эпидуральная эмпиема левой лобной области головного мозга; коронарная (е) и аксиальная (f) проекции в режиме brain с контрастным усилением. Эпидуральная эмпиема левой лобной области головного мозга. Отчетливо прослеживается капсула
Fig. 1. Multispiral computed tomography of the paranasal sinuses and brain from 04.06.2021: coronal (а) and axial (b) projections in the protocol of the skull, subtotal shading of the left frontal sinus, no bone destruction; axial (c) and sagittal (d) projections in the brain mode, epidural empyema of the left frontal area of the brain; coronary (е) and axial (f) projections in brain mode with contrast enhancement. Epidural empyema of the left frontal region of the brain. The capsule is clearly visible
04.06.2021 выполнено МСКТ головного мозга: определяется наличие очага гнойного воспаления, исходящего из левой лобной пазухи и отграниченного от вещества мозга капсулой. Наличие двух очагов малого размера («отсевы»), менее 1 см, с признаками формирующейся капсулы. Отмечается зона отека мозгового вещества между очагами.
По результатам МСКТ головного мозга пациент консультирован нейрохирургом: на фоне проводимой в последние несколько дней массивной антибактериальной терапии отмечается положительная динамика в виде снижения температуры тела до нормальных цифр, уменьшение болевого синдрома, улучшение общего самочувствия, улучшение лабораторных показателей. В настоящий момент нейрохирургическое вмешательство не показано. Целесообразным остается дренирование лобной пазухи с продолжением массивной антибиотикотерапии.
Выставлен диагноз: «Острый левосторонний гнойный гемисинусит. Осложнение: эпидуральная эмпиема левой лобной области головного мозга». Учитывая наличие выраженной костной деформации перегородки носа, принято решение о выполнении септопластики как первого этапа.
04.06.2021 выполнена операция — септопластика. Левосторонняя синусотомия с использованием эндовидеоскопической техники, эндоназальное дренирование лобной пазухи под наркозом. После выполнения септопластики по методике Cottle, при помощи жесткого эндоскопа 0° осмотрена полость носа: в среднем носовом ходу слева визуализируется слизисто-гнойное вязкое отделяемое — взято на посев. Под эндоскопическим контролем выполнено удаление крючковидного отростка слева. Микрощипцами расширена область естественного соустья левой верхнечелюстной пазухи. Из просвета эвакуировано густое слизисто-гнойное отделяемое. Пазуха промыта раствором антисептика с дексаметазоном. Наконечником аспиратора и микрощипцами вскрыты и удалены передние и средние клетки решетчатого лабиринта слева с полипозно-измененной слизистой, так же отмечено слизистое содержимое. Микрощипцами изогнутыми на 45° расширена область лобно-носового кармана, из данной зоны удалена полипозно измененная слизистая, полностью блокирующая естественное соустье. После ревизии лобно-носового кармана из лобно-носового соустья отмечается отхождение густой слизи. В лобно-носовое соустье установлен изогнутый наконечник аспиратора, эвакуировано небольшое количество слизи. Лобная пазуха через канюлю промыта раствором антисептика с дексаметазоном. Операция закончена передней тампонадой полости носа полимерными губками, пропитанными антисептиком с дексаметазоном. Осложнений не отмечено. Кровотечения и кровопотери нет. Пациент переведен в палату.
Полученный интраоперационный материал отправлен на гистологическое и бактериологическое исследования. Заключение: в посевах рост не выявлен. Морфологическая картина соответствует острому гнойному риносинуситу.
Послеоперационный период спокойный. Тампоны из полости носа удалены на 2-е сутки. В раннем послеоперационном периоде головная боль в левой лобной области купирована полностью. Пациент отмечает значительное улучшение самочувствия, начал более четко выполнять команды, просьбы, без задержек, нистагм значительно уменьшился.
Пациент получал терапию: цефтриаксон/сульбактам в дозе 1,5 мг 3 раза в день внутривенно № 18, Полидекса по 3 толчка 3 раза в день в нос, хлоропирамид внутрь, этамзилат в дозе 2,0 мл 2 раза в день внутривенно, ежедневно туалеты полости носа, аспирация содержимого послеоперационной полости решетчатого лабиринта.
По результатам МРТ головного мозга от 16.06.2021 (рис. 2): МР-признаки подоболочечного скопления жидкости с высоким содержанием белка, воспалительных изменений оболочек в левой лобной области. Картина соответствует субдуральной эмпиеме.
Рис. 2. Магнитно-резонансная томография головного мозга от 16.06.2021: а — сагиттальная проекция в режиме Т2. Прослеживаются воспалительные изменения оболочек в левой лобной области. Картина соответствует субдуральной эмпиеме; b — аксиальная проекция в режиме Т2. Снижение пневматизации левой верхнечелюстной пазухи, пристеночный отек слизистой; c — аксиальная проекция в режиме Т2. Снижение пневматизации клеток решетчатого лабиринта; d — аксиальная проекция в режиме Т2. Воспалительные изменения оболочек в левой лобной области, субдуральная эмпиема
Fig. 2. Magnetic resonance imaging of the brain from 16.06.2021; a – sagittal projection in T2 mode. Inflammatory changes in the membranes in the left frontal region are traced. Picture consistent with subdural empyema; b – axial projection in T2 mode. Decreased pneumatization of the left maxillary sinus, parietal edema; c – axial projection in T2 mode. Decreased pneumatization of cells of the ethmoid labyrinth; d – axial projection in T2 mode. Inflammatory changes in the membranes in the left frontal region, subdural empyema
По результатам МСКТ ОНП от 16.06.2021: КТ-признаки синусита, осложненного эмпиемой левой лобной доли (рис. 3). В сравнении с данными МСКТ от 04.06.2021 отмечается положительная динамика в виде улучшения пневматизации левой лобной и верхнечелюстной пазух, а также клеток решетчатого лабиринта.
Рис. 3. Мультиспиральная компьютерная томография околоносовых пазух и головного мозга от 16.06.2021: а — аксиальная проекция в режиме brain. Отмечается увеличение пневматизации лобной пазухи; b — коронарная проекция в режиме brain. Восстановлена пневматизация клеток решетчатого лабиринта слева, сохраняется очаг поражения левой лобной доли; c — коронарная проекция в режиме brain. Восстановлена пневматизация левой верхнечелюстной пазухи; d — сагитальная проекция в режиме brain. Улучшение пневматизации левой лобной пазухи; e — аксиальная проекция в режиме skull. Улучшение пневматизации левой лобной пазухи; f — коронарная проекция в режиме skull. Восстановлена пневматизация левой верхнечелюстной пазухи; g — коронарная проекция в режиме skull. Восстановлена пневматизация левой верхнечелюстной пазухи, пристеночный отек; h — сагиттальная проекция в режиме skull. Улучшение пневматизации клеток решетчатого лабиринта, лобной пазухи
Fig. 3. Multispiral computed tomography of the paranasal sinuses and brain from 06.16.2021: a – axial projection in brain mode. There is an increase in pneumatization of the frontal sinus; b – coronary projection in brain mode. The pneumatization of the cells of the ethmoid labyrinth on the left was restored, the lesion of the left frontal lobe remains; c – coronary projection in brain mode. Restored pneumatization of the left maxillary sinus; d – sagittal projection in brain mode. Improvement of pneumatization of the left frontal sinus; e – axial projection in skull mode. Improvement of pneumatization of the left frontal sinus; f – coronal projection in skull mode. Restored pneumatization of the left maxillary sinus; g – coronal projection in skull mode. Restored pneumatization of the left maxillary sinus, parietal edema; h – sagittal projection in skull mode. Improvement of pneumatization of cells of the ethmoid labyrinth, frontal sinus
Пациент повторно консультирован нейрохирургом 18.06.2021: на фоне проводимого лечения отмечается положительная динамика: лихорадки нет, болевой синдром купирован. В настоящий момент показаний к нейрохирургическому лечению нет. Рекомендовано продолжить консервативную терапию в прежнем объеме, выполнение люмбальной пункции. Определение дальнейшей тактики лечения по результатам анализа ликвора.
В общем анализе ликвора от 21.06.2021: показатели в пределах нормальных значений.
23.06.2021. Жалоб нет. Отмечает значительное улучшение носового дыхания. Состояние удовлетворительное, не лихорадит. Менингиальные симптомы отрицательные, в позе Ромберга устойчив, пальценосовую пробу выполняет. Нистагма нет. Головная боль в левой лобной области купирована, не возобновлялась. Перкуссия пазух безболезненна. Слизистая оболочка носа розовая, выделений нет. Перегородка носа по средней линии. Носовое дыхание удовлетворительное. В удовлетворительном состоянии пациент выписан 23.06.2021 на амбулаторное наблюдение специалистов по месту жительства.
КЛИНИЧЕСКИЙ СЛУЧАЙ 2
Пациент Г., 17 лет, поступил в ЛОР-отделение СПбГПМУ 11.11.2021. Жалобы при поступлении на головную боль в левой половине головы, отечность век левого глаза, двоение в глазах при отведении в сторону.
Пациент поступил переводом из областной детской больницы (Великий Новгород). Диагноз при переводе: «Острый правосторонний сфеноидит. Острый левосторонний гнойный верхнечелюстной синусит». Из анамнеза известно: болен около 1,5 нед., с 29.10.2021 началась головная боль, подъем температуры тела. С 03.11.2021 появилась отечность левого глаза. Получал обезболивающие препараты — без эффекта. 06.11.2021 поступил в ОДКБ (В. Новгород), где была начата комплексная терапия — цефтриаксон в дозе 1,5 г 2 раза в день внутривенно капельно, ампициллин/сульбактам в дозе 1,5 г 3 раза в день внутривенно капельно, метронидазол 100,0 мл 3 раза в день внутривенно капельно; противовоспалительная гормональная терапия — дексаметазон по схеме в дозе 12 мг – 8 мг – 8 мг внутримышечно); инфузионная дезинтоксикационая терапия. 10.11.2021 выполнена пункция левой верхнечелюстной пазухи — получен гной, пазуха промыта.
По результатам КТ ОНП от 08.11.2021: правосторонний сфеноидит с уровнем жидкости, левосторонний верхнечелюстной синусит с уровнем жидкости (рис. 4–6).
Рис. 4. Компьютерная томография околоносовых пазух и головного мозга от 08.11.2021: аксиальная проекция в режиме skull. Тотальное затенение правой половины пазухи клиновидной кости справа, уровень жидкости в левой верхнечелюстной пазухе
Fig. 4. Computed tomography of the paranasal sinuses and brain from 08.11.21: axial projection in skull mode. Total shading of the right half of the sphenoid sinus on the right, fluid level in the left maxillary sinus
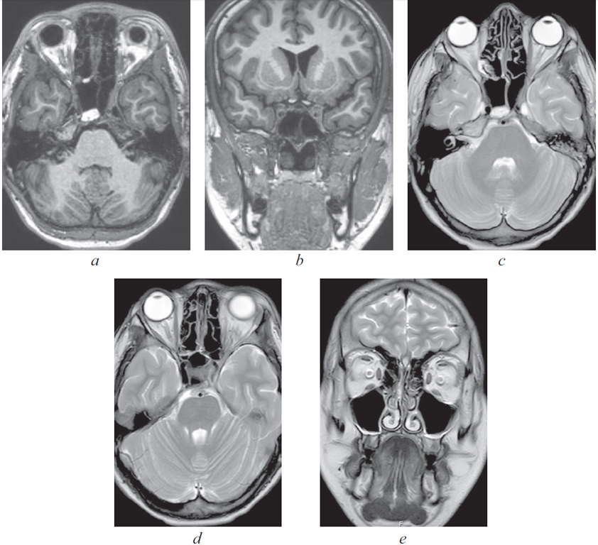
Рис. 5. Магниторезонансная томография головы от 10.11.2021: правосторонний сфеноидит, тромбоз кавернозного синуса слева. Слева — коронарная проекция в режиме Т2. Тотальное затенение правой половины пазухи клиновидной кости, сужение кавернозного синуса слева; справа — аксиальная проекция в режиме Т2. Признаки тромбоза кавернозного синуса слева
Fig. 5. Magnetic resonance imaging of the head from 10.11.2021: right-sided sphenoiditis, thrombosis of the cavernous sinus on the left. Left: coronal projection in T2 mode. Total shading of the right half of the sphenoid sinus, narrowing of the cavernous sinus on the left; right: axial projection in T2 mode. Signs of thrombosis of the cavernous sinus on the left
Рис. 6. Магнитно-резонансная томограмма головного мозга. Признаки тромбоза кавернозного синуса. 1 — Венозный застой в ретробульбарной клетчатке; 2 — cужение просвета сифона внутренней сонной артерии слева; 3 — неоднородность структуры
Fig. 6. Signs of cavernous sinus thrombosis on magnetic resonance imaging of the brain. 1 — Venous congestion in the retrobulbar tissue; 2 — narrowing of the lumen of the siphon of the internal carotid artery on the left; 3 — structure heterogeneity
Пациент переведен 11.11.2021 для дальнейшего лечения в Педиатрический университет. Объективно: в сознании, ориентирован верно, незначительно заторможен, на вопросы отвечает с небольшой задержкой, с незначительным запаздыванием выполняет простые команды. Обращает на себя внимание экзофтальм левого глаза, суженность глазной щели слева за счет отека верхнего века. Перкуссия незначительно болезненна в левых отделах головы. Слизистая носа ярко-розовая, отека нет, перегородка носа незначительно искривлена влево. Носовое дыхание незначительно ослаблено.
При поступлении выявлены изменения в коагулограмме: повышение фибриногена (Клаусс) — 6,87 г/л (2,00–4,00 г/л), протромбинового времени — 15,0 с (10,6–14,0 с), снижение протромбинового индекса — 68 % (80–120 %). В биохимическом анализе крови С-реактивный белок повышен до значения 31,3 мг/л (0,00–5,80 мг/л).
В ЛОР-отделении СПбГПМУ пациент осмотрен 11.11.2021 неврологом: выявлены положительные симптомы Кернига с двух сторон. Диагноз: «Синус-тромбоз. Менингизм». Консультирован нейрохирургом. Диагноз: «Синус-тромбоз. Правосторонний сфеноидит». Показаний к нейрохирургическому лечению нет, вскрытие кавернозного синуса не показано. Пациент также консультирован офтальмологом: данных о «застое» дисков зрительных нервов не получено.
11.11.2021 прооперирован в объеме эндоназальной сфенотомии под наркозом по экстренным показаниям. Эндоскопическая правосторонняя трансназальная сфенотомия, пункция левой верхнечелюстной пазухи под наркозом. Под контролем эндоскопа резецирована верхняя носовая раковина. При помощи наконечника аспиратора трепанирована передняя стенка пазухи клиновидной кости справа. Костное окно расширено при помощи микрощипцов, визуализирован просвет пазухи — из просвета эвакуирован осумкованный гной, густой секрет. Взят посев гноя. Взят материал на гистологическое исследование. Пазуха промыта раствором метронидазола. Выполнена пункция левой верхнечелюстной пазухи — при аспирации содержимого не получено, при промывании промывная жидкость чистая. Тампонада правой половины полости носа. Кровотечения нет, осложнений нет.
Полученный интраоперационный материал отправлен на гистологическое и бактериологическое исследования. Заключение: в посевах рост Pseudomonas putida. Морфологическое заключение: фрагменты стенки кисты клиновидной пазухи. Мелкие фрагменты полипа с выраженным отеком.
Послеоперационный период спокойный, однократный подъем температуры утром 12.11.2021 — 37,0 °C, далее не лихорадил. На первые сутки после операции отметил уменьшение головной боли. Пациент более активный. Сознание не нарушено. Менингеальных знаков нет. Сохраняется незначительный экзофтальм слева, отечность век слева немного уменьшилась. Тампоны из полости носа удалены в первые сутки.
Пациент получал терапию: цефоперазон/сульбактам в дозе 2,0 мл 3 раза в день внутривенно № 18, Полидекса в нос, хлоропирамин внутрь, далтепарин натрия по 5 тыс. ЕД подкожно 2 раза в день. Ежедневные туалеты полости носа.
В послеоперационном периоде выполняли туалеты полости носа под эндоскопическим контролем. Аспирация содержимого пазухи клиновидной кости.
На 5-е сутки после хирургического лечения и начала комплексной консервативной терапии, в том числе антикоагулянтной, выполнен контроль коагулограммы и С-реактивного белка. Наблюдалось снижение уровня фибриногена до 5,18 г/л, повышение показателей АПТВ 39,4 с (25,1–36,5 с), АПТВ Ratio 1,29 (0,80–1,20), тромбиновое время 28,0 с (15,8–24,9 с), нормализация значения С-реактивного белка 5,00 мг/л (0,00–5,80 мг/л).
Пациент консультирован гематологом: рекомендовано выполнить гематологическое обследование (фактор VIII и фактор Виллебранда, антитромбин, антифосфолипидные антитела, Д-димер, гомоцистеин), контроль коагулограммы 18.11.2021 и 23.11.2021.
Выполнено обследование системы гемостаза: фактор VIII 151,8 % (50,0–150,0 %), фактор Виллебранда 130,5 % (40,6–152,6 %), антитромбин 114 % (79–112 %), Д-димер 236 нг/мл (0–250 нг/мл), гомоцистеин 10,1 мкмоль/л (5,5–16,2 мкмоль/л).
В коагулограммах от 18.11.2021 и 23.11.2021 отмечается положительная динамика в виде снижения фибриногена — 4,01 г/л (от 18.11.2021) и 2,46 г/л (от 23.11.2021). Показатели АПТВ и АПТВ Ratio на 23.11.2021 остаются высокими (37,9 и 1,24 соответственно) и являются следствием проводимой адекватной антикоагулянтной терапии.
23.11.2021 консультирован гематологом: пациент получает адекватную антикоагулянтную терапию фрагмином под контролем уровня антиХа-активности — 0,43 МЕ/мл. В коагулограмме на старте увеличение фибриногена с дальнейшей положительной динамикой. Факторы VIII и Виллебранда как возможные предикторы повышения гемокоагуляции в норме, Д-димер и уровень гомоцистеина не увеличены, антифосфолипидные антитела не обнаружены. Уровень антитромбина в норме.
Ежедневно пациенту выполняли туалеты полости носа. На фоне лечения полностью прошли головные боли, экзофтальм левого глаза, улучшилось носовое дыхание, прекратилось двоение в глазах. Объективная картина в полости носа соответствует физиологической норме.
24.11.2021 выполнено МРТ головного мозга: отмечается улучшение пневматизации правых отделов пазухи клиновидной кости, левая верхнечелюстная пазуха полностью пневматизирована. Отмечается увеличение просвета сифона левой внутренней сонной артерии, отсутствие отека ретробульбарной клетчатки левого глаза, уменьшение объема тромба левого кавернозного синуса (рис. 7).
Рис. 7. Магниторезонансная томография головного мозга от 24.11.2021: а — аксиальная проекция в режиме Т1. Пневматизация пазухи клиновидной кости практически полностью восстановлена; b — коронарная проекция в режиме Т1. Сифоны внутренних сонных артерий имеют одинаковый просвет; c — аксиальная проекция в режиме Т2. Улучшение пневматизации правой основной пазухи; d — аксиальная проекция в режиме Т2. Отсутствие экзофтальма левого глаза, купирован отек ретробульбарной клетчатки слева. Увеличение просвета сифона внутренней сонной артерии слева; e — коронарная проекция в режиме Т2. Пневматизация верхнечелюстной пазухи слева полностью восстановлена
Fig. 7. Magnetic resonance imaging of the head from 24.11.2021: a – axial projection in T1 mode. Pneumatization of the sphenoid sinus is almost completely restored; b – coronal projection in T1 mode. Siphons of the internal carotid arteries have the same lumen; c – axial projection in T2 mode. Improvement of pneumatization of the right main sinus; d – axial projection in T2 mode. The absence of exophthalmos of the left eye, edema of the retrobulbar tissue on the left was stopped. Increase in the lumen of the siphon of the internal carotid artery on the left; e – coronal projection in T2 mode. Pneumatization of the maxillary sinus on the left was completely restored
26.11.2021 консультирован нейрохирургом: в настоящее время в нейрохирургическом лечении не нуждается.
В удовлетворительном состоянии пациент выписан 24.11.2021 под наблюдение специалистов по месту жительства. Рекомендован контроль коагулограммы, наблюдение гематолога.
ЗАКЛЮЧЕНИЕ
Внутричерепные риногенные осложнения по сей день остаются важной проблемой клиницистов, как в плане своевременной диагностики, так и в плане терапевтической и хирургической тактики. Представленные клинические случаи показывают слаженную работу региональных стационаров с федеральным центром — Педиатрическим медицинским университетом. Тромбозы вен и синусов головного мозга могут возникать из более отдаленного очага на стороне поражения и оставлять не тронутыми зоны головного мозга при имеющемся, более значимом воспалении с контрлатеральной стороны (клинический случай 2). При лечении данных пациентов успешно применена функциональная эндоскопическая синус-хирургия, которая позволила избежать травматичного наружного подхода, что важно при лечении детей и подростков.
В рассмотренных клинических случаях целенаправленное минимально инвазивное эндоскопическое вмешательство на околоносовых пазухах и мощная антибактериальная поддержка позволили избежать инвалидизирующих нейрохирургических операций, что, учитывая данные зарубежной литературы, является крайне редким обстоятельством.
ДОПОЛНИТЕЛЬНАЯ ИНФОРМАЦИЯ
Вклад авторов. Все авторы внесли существенный вклад в разработку концепции, проведение исследования и подготовку статьи, прочли и одобрили финальную версию перед публикацией.
Конфликт интересов. Авторы декларируют отсутствие явных и потенциальных конфликтов интересов, связанных с публикацией настоящей статьи.
Источник финансирования. Авторы заявляют об отсутствии внешнего финансирования при проведении исследования.
Информированное согласие на публикацию. Авторы получили письменное согласие пациентов на публикацию медицинских данных и фотографий.
Об авторах
Вячеслав Александрович Верезгов
Санкт-Петербургский государственный педиатрический медицинский университет
							Автор, ответственный за переписку.
							Email: verezgov@gmail.com
				                					                																			                								
канд. мед. наук, врач-оториноларинголог
Россия, Санкт-ПетербургДмитрий Витальевич Бреусенко
Санкт-Петербургский государственный педиатрический медицинский университет
														Email: lor-gpma@mail.ru
				                					                																			                								
канд. мед. наук, заведующий отделением оториноларингологии
Россия, Санкт-ПетербургПавел Владимирович Павлов
Санкт-Петербургский государственный педиатрический медицинский университет
														Email: pvpavlov@mail.ru
				                	ORCID iD: 0000-0002-4626-201X
				                																			                								
д-р мед. наук, доцент, заведующий кафедрой оториноларингологии
Россия, Санкт-ПетербургМария Леонидовна Захарова
Санкт-Петербургский государственный педиатрический медицинский университет
														Email: dr.essina@mail.ru
				                	ORCID iD: 0000-0001-6410-3533
				                																			                								
д-р мед. наук, доцент кафедры оториноларингологии
Россия, Санкт-ПетербургАлександра Сергеевна Сныткина
Санкт-Петербургский государственный педиатрический медицинский университет
														Email: snytkina.aleksandra@mail.ru
				                	ORCID iD: 0000-0002-2282-8584
				                																			                								
клинический ординатор на кафедре оториноларингологии
Россия, Санкт-ПетербургОксана Константиновна Горкина
Санкт-Петербургский государственный педиатрический медицинский университет
														Email: gorkina-ok@yandex.ru
				                	ORCID iD: 0000-0002-2527-9023
				                																			                								
ассистент кафедры оториноларингологии
Россия, Санкт-ПетербургВалерий Викторович Дмитренко
Санкт-Петербургский государственный педиатрический медицинский университет
														Email: dmitrenko1411@mail.ru
				                	ORCID iD: 0000-0003-2766-6577
				                																			                								
врач-оториноларинголог
Россия, Санкт-ПетербургЮлия Анатольевна Курьянова
Санкт-Петербургский государственный педиатрический медицинский университет
														Email: Julia_ku@mail.ru
				                	ORCID iD: 0000-0003-3843-0201
				                																			                								
врач-отоларинголог
Россия, Санкт-ПетербургОльга Евгеньевна Кукушкина
Санкт-Петербургский государственный педиатрический медицинский университет
														Email: o.lka@mail.ru
				                	ORCID iD: 0000-0001-5351-3764
				                																			                								
врач-оториноларинголог
Россия, Санкт-ПетербургСписок литературы
- Аванесян Р.И., Авдеева Т.Г., Алексеева Е.И., и др. Педиатрия: Национальное руководство. В 2-х т. Т. 1. Москва: ГЭОТАР-Медиа, 2009. 1017 с.
- Власова Г.В. Риносинусогенные орбитальные осложнения: Учебно-методическое пособие / под ред. Г.В. Власовой, П.В. Павлова. Санкт-Петербург: СПбГПМУ, 2017. 28 с.
- Дискаленко В.В. Отогенные и риногенные внутричерепные осложнения: учебно-методическое пособие / под ред. В.В. Дискаленко, К.А. Никитин. Санкт-Петербург: СПбГПМУ, 2002. 15 с.
- Карпищенко С.А. Оториноларингология / под ред. С.А. Карпищенко. Москва: ГЭОТАР-Медиа, 2018. 464 с.
- Киселев А.С., Ковалева Л.М. Зрительные и внутричерепные осложнения сфеноидита у детей // Новости оториноларингологии и логопатологии. 2002. № 1. C. 8–14.
- Кривопалов А.А. Комплексный подход к диагностике и лечениию больных с отогенными и риносинусогенными гнойно-воспалительными внутричерепными осложнениями в современных условиях: дис. … канд. мед. наук. Санкт-Петербург, 2017. 300 c. Режим доступа: https://search.rsl.ru/ru/record/01008582850. Дата обращения: 06.02.2022.
- Кривопалов А.А., Вахрушев С.Г., Болдырева О.В. Опыт применения функциональной эндоскопической риносинусохирургии в лечении больных с интракраниальными осложнениями воспалительных заболеваний околоносовых пазух // Российская оториноларингология. 2013. № 3(64). С. 85–88.
- Максимова М.Ю., Дубовицкая Ю.И., Шувахина Н.А. Клиника, диагностика и лечение тромбоза мозговых вен и венозных синусов // Журнал неврологии и психиатрии им. C.С. Корсакова. 2018. Т. 118, № 3–2. С. 3–8. doi: 10.17116/jnevro2018118323-8
- Сергеев М.М., Дружина С.П., Редько С.А. Особенности клиники и результаты лечения внутричерепных ото- и риносинусогенных осложнений // Российская оториноларингология. 2004. № 6. С. 31–36.
- Трусов Д.В., Бычкова М.В. Отогенные и риногенные внутричерепные осложнения. Статистика и анализ, проведенные за 50 лет // Вестник Тамбовского университета. Серия Естественные и технические науки. 2017. Т. 22, № 6. С. 1621–1628. doi: 10.20310/1810-0198-2017-22-6-1621-1628
- Храмцова Е.Г., Муравьева Н.Н., Клиорина Т.А., и др. Длительный субфебрилитет в детском возрасте: современные аспекты диагностического поиска // Педиатр. 2013. Т. 4, № 2. С. 97–105. doi: 10.17816/PED4297-105
- Acar M., Sutcu M., Akturk H., et al. Evaluation of Short-Term Neurological Outcomes in Children with Brain Abscesses // Turk Neurosurg. 2018. Vol. 28, No. 1. P. 79–87. doi: 10.5137/1019-5149.JTN.18672-16.1
- Atiq M., Ahmed U.S., Allana S.S., et al. Brain abscess in children // Indian J Pediatr. 2006. Vol. 73, No. 5. P. 401–404. doi: 10.1007/BF02758560
- Auvichayapat N., Auvichayapat P., Aungwarawong S. Brain abscess in infants and children: a retrospective study of 107 patients in Northeast Thailand // J Med Assoc Thail. 2007. Vol. 90, No. 8. P. 1601–1607.
- Brizuela M., Perez G., Martiren S., et al. Abscesso cerebral en ninos: experiencia en diez anos en un hospital pediatrico de alta complejidad // Arch Argent Pediatr. 2017. Vol. 115, No. 4. P. e230–e232. doi: 10.5546/aap.2017.e230
- Cole T.S., Clark M.E., Jenkins A.J., et al. Pediatric focal intracranial suppuration: a UK single-center experience // Childs Nerv Syst. 2016. Vol. 28, No. 12. P. 2109–2114. doi: 10.1007/s00381-012-1877-7
- Galabert-González M., Serramito-García R., García-Allut A., et al. Management of brain abscess in children // J Paediatr Child Helth. 2008. Vol. 44, No. 12. P. 731–735. doi: 10.1111/j.1440-1754.2008.01415.x
- Goodkin H.P., Harper M.B., Pomeroy S.L. Intracerebral abscess in children: historical trends at Childrens hospital Boston // Pediatrics. 2004. Vol. 113, No. 6. P. 1765–1770. doi: 10.1542/peds.113.6.1765
- Jain A., Arora N., Meher R., et al. Intracranial complications of CSOM in pediatric patients: a persisting problem in developing countries // Int J Pediatr Otorhinolaryngol. 2017. Vol. 100. P. 128–131. doi: 10.1016/j.ijporl.2017.06.038
- Mameli C., Geononi T., Madia C., et al. Brain abscess in pediatric age: a review // Childs Nervous Syst. 2019. Vol. 35, No. 7. P. 1117–1128. doi: 10.1007/s00381-019-04182-4
- Ozsürekci Y., Kara A., Cengiz A.B., et al. Brain abscess in childhood: a 28-year experience // Turk J Pediatr. 2012. Vol. 54, No. 2. P. 144–149.
- Raffaldi I., Garazzino S., Castelli G.G., et al. Brain abscesses registry. Brain abscesses in children: an Italian multicenter study // Epidemiol Infect. 2017. Vol. 145, No. 13. P. 2848–2855. doi: 10.1017/S0950268817001583
- Sahbudak Bal Z., Eraslan C., Bolat E., et al. Brain abscess in children: a rare but serious infection // Clin Pediatr (Phila). 2018. Vol. 57, No. 5. P. 574–579. doi: 10.1177/0009922817733301
- Shachor-Meyouhas Y., Bar-Joseph G., Guilburd J.N., et al. Brain abscess in children — epidemiology, predisposing factors and management in the modern medicine era // Acta Paediatr. 2010. Vol. 99, No. 8. P. 1163–1167. doi: 10.1111/j.1651-2227.2010.01780.x
Дополнительные файлы
 
				
			 
						 
					 
						 
									
 
  
  
  Отправить статью по E-mail
			Отправить статью по E-mail 

 Открытый доступ
		                                Открытый доступ Доступ предоставлен
						Доступ предоставлен Только для подписчиков
		                                		                                        Только для подписчиков
		                                					








