小儿皮肤病学中的杜林氏疱疹样皮炎:诊断和治疗问题
- 作者: Novikov Y.A.1, Zaslavsky D.V.2, Pravdina O.V.3, Zykova E.A.3, Lipatnikova A.S.1, Bolshakova E.S.2, Manylova E.S.2, Drozdova L.N.2
-
隶属关系:
- Budgetary Healthcare Institution of the Omsk Region “Clinical Dermatovenerologic Dispensary”
- St. Petersburg State Pediatric Medical University of the Ministry of Health of the Russian Federation
- Omsk State Medical University of the Ministry of Health of the Russian Federation
- 期: 卷 11, 编号 6 (2020)
- 页面: 79-86
- 栏目: Clinical observation
- URL: https://journals.eco-vector.com/pediatr/article/view/64943
- DOI: https://doi.org/10.17816/PED11679-86
- ID: 64943
如何引用文章
详细
本文介绍了一个5岁的杜林氏疱疹样皮炎儿童的临床观察病例。这种罕见的皮肤病的特征是慢性复发过程,发痒的多形性皮疹的存在,典型的组织学和免疫形态学体征。诊断是根据临床表现,皮肤活检的组织学和免疫组织化学研究数据以及PCR方法进行的HLA分型研究结果进行的。由于在儿童中杜林氏疱疹样皮疹少见,鉴别诊断的复杂性,这种情况的临床观察对执业的皮肤科医生来说是有意义的,这需要使用组织学,免疫组织化学和分子遗传学研究方法进一步总结经验。疱疹样皮炎是一种慢性剧烈瘙痒性丘疹性水泡疹,通常在四肢伸肌表面对称分布。根据组织学、免疫学和胃肠道标准,本病与其他皮疹有明显区别,皮疹形成于表皮下水疱。欧洲种族的不同人群中,皮肤病的患病率在每10万人口中有10到39例不等。杜林氏疱疹样皮炎可以在任何年龄发展(已报道了童年时期杜林氏疱疹样皮炎的病例),但该病最常发生于40-50岁。疱疹样皮炎可无限持续存在,但病情轻重不一。杜林氏皮炎患者通常伴有麸质敏感型肠病,在大多数情况下无症状。
全文:
疱疹样皮炎(dermatitis herpetiformis Duhring;杜林病)是一种与乳糜泻相关的炎性皮肤疾病,其特征是发痒的多形性爆发,慢性复发过程,真皮乳头中的颗粒状IgA沉积。疱疹样皮炎是一种罕见病。1884年5月1日,由皮肤科医生首次展示L.A.杜林病(Louis Adolphus Duhring)早在1871年,他就谈到了美国医学协会对这种疾病的监视。根据北欧进行的流行病学研究,在各个国家,发病率范围为每年每100,000人 口0.4到3.5例,患病率从每100,000人口1.2到75.3例[1]。尽管该病主要发生在40至50岁之间,但在任何年龄(包括婴儿)都记录了该病的病例[2,5]。
如上所述,杜林氏皮炎被认为是腹腔疾病(乳糜泻疾病)的一种特殊的皮肤表现。这两种疾病都发生在具有相同HLA单倍型—DQ2和DQ8的面筋敏感患者中。易感人群中,面筋和麦醇溶蛋白的修饰形式无法吸收,其特征是随着炎症反应和肠粘膜萎缩的形成,形成了针对组织转谷氨酰胺酶和表皮转谷氨酰胺酶的IgA抗体。由于嗜中性白细胞参与而引起的皮肤特异性炎症[4]。疱疹样皮炎患者有时会出现吸收不良相关的主诉。60-70%的这种疾病患者中,注意到了严重程度不同的肠病,而在25%的乳糜泻患者中,发展了杜林氏皮炎[6,7]。发病机理中,对碘和溴的超敏反应,自身免疫性疾病很重要。转移性细菌和病毒性疾病(水痘,猩红热,呼吸道病毒性疾病,流行性感冒,肺炎),疫苗接种均可触发疱疹样皮炎的首次出现。儿童中,杜林氏疱疹样皮炎总是急性发作,伴有嗜睡,嗜睡,食欲不振和皮肤苍白[6]。
本病的临床表现为多形性、对称性、分组性、瘙痒性,表现为红斑、荨麻疹斑、丘疹、水泡和大小不等的水泡。气泡是紧张的,有一个致密的覆盖物,充满透明或出血性内容物,在水肿充血的基底上形成。当水泡被打开时,就会形成腐蚀,很快就会上皮化,留下色素沉着。皮疹局限于四肢、膝盖、肘部、头皮的伸肌表面,以及肩部、臀部、骶骨区域。口腔粘膜很少受到影响[9, 10]。杜林皮炎患者的实验室诊断包括嗜酸性粒细胞增多症气泡内容物的研究、皮肤生物培养物的组织学研究、从新鲜病灶中提取的含有空腔(气泡)的皮肤生物培养物的直接免疫荧光研究,用免疫营养分析法(IFA)对血清进行研究(测定血液中组织转氨酶IGA抗体的含量;血液内膜异位症IGA抗体含量的测定)[4,11,12]。最困难的情况下,建议进行HLA分型(DQ2/DQ8)和十二指肠活检,吸收不良标志物(铁,维生素B12,叶酸的水平)的测定[13]。组织病理学检查发现真皮乳头顶部区域有表皮下小泡或水泡,中性粒细胞聚集(大量嗜酸性粒细胞混合)[15]。乳头组织中微脓肿的形成和坏死性改变以及表皮下裂隙的形成是特征性的。
疱疹样皮炎的鉴别诊断包括大疱性毒性皮肤病、渗出性多形红斑、大疱性类天疱疮、寻常性天疱疮、大疱性链霉菌、先天性大疱性表皮松解症和荨麻 疹[6]。碘试验(Jadasson试验)有助于杜林疱疹样皮炎的临床诊断。它以两种方式进行:以50%碘化钾软膏压敷的形式进行局部(皮肤)测试,并将其应用于健康的皮肤区域;以及—摄入一茶匙(大汤匙)的3%碘化钾。解决方案(对于儿童,由于可能会产生泛化反应,因此不宜进行一般测试)。呈阳性测试时,红斑,水泡,囊泡成分会在 1-2天内出现在皮肤上,并且瘙痒会加剧。对水疱和外周血中嗜酸性粒细胞的鉴定(10-30%)具有重要的诊断价值。可以进行组织学检查(膀胱的表皮位置)和细胞学研究-涂片痕迹中没有棘皮细胞,以及免疫荧光—识别基底膜下真皮乳头中免疫球蛋白A的沉积物[6]。
以下是疱疹样皮炎的临床类型:
- 大气泡,其中有水疱形式的异型皮疹,大小从榛子到鸽子的卵,甚至更大;
- 小气泡(疱疹样)形式,特征是皮疹多态性和大量小米粒大小的成组气泡;
- 鳞癣,皮疹成环排列;
- 类皮疹—皮疹由形成斑块的类脂蛋白,粟粒状和双突性丘疹组成。明显的瘙痒是特征。
- 植物性—该过程主要位于褶皱处,其特征在于肥大性丘疹和水泡相结合,张开后露出湿润的天鹅绒般的乳头状表面。这种形式通常并发继发感染。患者在病变中会感到疼痛[6]。
杜林氏疱疹样皮炎的治疗基础是无麸质饮食(不允许使用小麦和黑麦粉,面包,谷类食品,面食和头制成的食物),从而解决皮肤问题,消除肠病,麦醇溶蛋白,子宫内膜异位症和组织转谷氨酰胺酶的IgA抗体消失,以及氨苯砜的 任命。含碘产品(海鲜,海鱼,罐头食品,碘盐)不包括在患者和哺乳母亲的饮食中[6]。
为了说明该疾病临床过程的特征,我们提出了自己的临床观察结果。
M.患者,于2015年出生,于2019年6月10日在鄂木斯克的BUZ PO«临床皮肤性病病房»的2号皮肤科接受住院治疗,主诉上肢和下肢皮肤有皮疹,树干,伴有强烈的瘙痒。
从疾病的回忆中获悉:第一次怀孕的孩子,患有贫血,紧急分娩,出生体重2750克,身高47厘米,Apgar评分7/8,一级脑缺血,兴奋综合征,宫内发育迟缓的背景。这个孩子被母乳喂养长达1年,从6个月开始采用辅食。据我母亲说,她自2019年5月起就病了,当时是在急性呼吸道病毒感染并发急性中耳炎后的第一时间,额头上的皮疹以单囊泡的形式出现,并伴有剧烈瘙痒。我们在住所咨询了皮肤科医生。处方开了疗法(药物名称很难弄清楚)没有临床效果。病理过程逐渐扩散到皮肤的其他区域。该患者转入BUZ OO«KKVD»的2号皮肤科进行住院治疗,诊断为:杜林氏疱疹样皮炎并发脓皮病。
生活的回忆中:没有特殊性的过敏性回忆。世袭史没有负担。既往疾病:水痘,每年急性呼吸道病毒感染3-4次,急性中耳炎。
客观检查:病情满意。意识很明显。活动位置。身体是虚弱的。身高—100厘米,体重—12公斤(体重不足23%)。 皮下脂肪变薄。周围淋巴结未扩大。呼吸脆弱,不喘息。心音清晰,有节奏,节奏正确。脉冲-每分钟76。腹部柔软,触诊无痛,略肿。无周围水肿。生理功能 正常。
局部状态:病理过程广泛(图1)。
图. 1. M.患者,2015年出生,患有杜林氏疱疹样皮炎(治疗前)的照片:a—皮疹在背部皮肤上的定位;b—在臀部的皮肤上;c—在小腿前表面区域;d—在小腿内表面的区域 Fig. 1. Photo of patient M., born in 2015, suffering from Duhring dermatitis herpetiformis (before treatment): a – localization of rashes on the skin of the back; b – on the skin of the buttocks; c – in the anterior surface of the lower leg, d – in the area of the inner surface of the lower leg
躯干的皮肤,上,下肢的伸肌表面以及骨,臀部区域,有多个红斑,水疱,紫红色的双凸状丘疹,成簇的囊泡和各种大小的水泡。气泡位于充血的水肿基部上,时态紧张,衬有致密的衬里,充满浆液性出血性内容物。打开囊泡和气泡之后,形成了鲜红色的侵蚀,带有清晰的边界,直径达1厘米,是表皮角质层的碎片。整个皮肤上有多个脓疱,直径达 0.2厘米,浆液有化脓性硬皮。口腔粘膜不受影响。
进行了以下研究。
- 全血细胞计数:嗜酸性粒细胞 增多。
- 普通尿液分析:无病理。
- 生化验血:肝酶AsAt,胆固醇,甘油三酸酯水平升高。
- 嗜酸性粒细胞气泡含量的检查:在嗜酸性粒细胞新鲜气泡底部的涂片上以9%的量涂片。
- Tzank细胞气泡含量的研究 (5倍):未找到。
- 共同程序:大量稀疏的粪便,黏液适度,有脂肪滴,无细胞成分和内含物。
- 用过敏法研究蠕虫病的粪便:未发现变化。
- 肠道微生物菌血症的粪便研究:揭示了以双歧杆菌,大肠杆菌缺乏形式存在的肠道微生物菌病成分的定量变化。肠球菌的酶活性,减少了乳酸菌的数量。
- 纤维十二指肠镜检查:未发现器质性病变。
- 儿科医生咨询:胆管型括约肌Oddi功能障碍。
根据临床建议,开具了使用氨苯砜(DDS—二氨基-二苯砜)进行全身治疗的处方,开始剂量为每天口服50毫克,根据疾病的临床情况和剂量增加至 200毫克每天口服治疗期间的动态变化(直到无麸质饮食的背景下出现持续影响)。对于儿童,建议使用氨苯砜,初始剂量为2毫克/公斤,每天2次,间隔 5-6天,间隔1-3天。当达到控制时,以1-2年患者体重的0.5-1毫克/公斤的剂量开具药物剂量。但患者的母亲拒绝氨苯砜治疗,因为她不确定诊断。
医院期间,患者接受以下治疗: Aevit 0.2克,1粒,每天2次,共10天;泼尼松龙15毫克/天,持续10天,然后泼尼松龙10毫克/天,持续5天(剂量逐渐减少至每天5毫克);葡萄糖酸钙0.5克1/2片, 每天3次,持续10天;氯吡胺25毫克 1/2片,每天3次,连续10天;悬浮液 «阿莫西林»400毫克,每天5次,每次5毫升,持续10天;局部治疗:开水泡,每天用KMnO4溶液治疗3次;霜剂«甲泼尼龙甲泼尼松»,喷雾剂«倍他米松二丙酸酯», 霜剂«倍他米松二丙酸酯+庆大霉素»。她出院了,临床情况有所改善。为了排除腹腔疾病,通常建议患者在FGBOU HE SPbGPMU MH RF皮肤性皮肤科的情况下继续检查和治疗,进行了以下类型的实验室诊断研究和咨询。
小肠的组织学检查:从胃窦粘膜活检可见局灶性硬化,胸膜积水,小局灶性出血,弥漫性,轻度淋巴浆细胞浸润。Helicobacter pylori在上皮表面和腺腔中确定。绒毛-过多血管的间质中十二指肠粘膜的活检中,有少量局灶性出血,中度弥漫性淋巴浆细胞浸润和嗜酸性白细胞的混合。结论:«慢性非活动性幽门螺杆菌胃炎。慢性非活动性十二指肠炎。»
乳糜泻的诊断:正常范围内,组织转谷氨酰胺酶的IgA抗体为0.44 U/毫升,组织转谷氨酰胺酶的IgG抗体为 1.08 U/毫升。
果糖氢呼气试验:阳性。
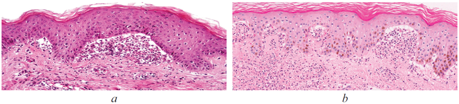
皮肤的组织学检查:表皮以分层的鳞状角化上皮为代表,并伴有过度角化,棘皮症。与真皮的边界处,可见充满纤维蛋白,嗜中性白细胞和嗜酸性白细胞的微脓肿(图2)。
图. 2. M.患者的组织学检查,2015年出生:a—皮肤区域覆盖有分层的鳞状角化上皮。表皮中,未观察到变化;b—表皮下,在真皮的乳头(乳头)部分中,嗜中性白细胞积聚。苏木精伊红染色。增加×200 Fig. 2. Histological examination in patient M., born in 2015: a – an area of the skin covered with stratified squamous keratinizing epithelium. No changes are observed in the epidermis; b – subepidermal, papillary (nipple) parts of the dermis, accumulations of neutrophilic leukocytes are noted. Staining with hematoxylin and eosin. Magnification ×200
IgA抗体的免疫组织化学研究: 阳性。微脓肿和气泡周围的上皮细胞中注意到表达。腹部器官的超声检 查(超声):胆囊壁增厚。甲状腺超声检查:无病理。
HLA分型以通过PCR确定遗传性易感性:确定DQ2分子的单倍型,这是遗传性易感性乳糜泻的原因。
内分泌专家的咨询:«生长迟缓的速率是体质的和体细胞的。高脂血症»。
胃肠病专家咨询:«腹腔疾病,非典型形式。慢性胃十二指肠炎,亚缓解。二级蛋白质热量不足,混合成因»。
根据临床和实验室检查的结果,该患者的临床诊断为:«杜林疱疹性皮炎,并发脓皮病»。
进行以下治疗(根据FGBOU HE SPbGPMU MH RF的皮肤病学部门进行): 无麸质饮食,Aevit 0.2克,1粒,每天 2次,共10天,泼尼松龙15毫克,每天10天,然后泼尼松龙每天10毫克,持续5天(剂量逐渐减少到每天5毫克); 葡萄糖酸钙0.5克1/2片,每天3次,连续10天;局部治疗:开水疱,用盐酸洗必泰双葡萄糖酸盐溶液治疗,每日 3次,甲泼尼龙甲霜。还可以使用:Creon 5000 IU,每天3次,用餐3周。(每3个月1疗程),长时间每天2000 IU维生素Bifikol 5次,每天3次,持续3周,然后每天1次Bak-Set Forte 1包,共1个月, 150-200毫升,每天3次,持续很长时间。
讨论
治疗的第10天,病理过程开始恶化,病灶的红斑减少,丘疹达到健康皮肤的水平,囊泡和水泡干燥成硬皮,糜烂被上皮化,去除了浆液性出血外壳(图3)。
图. 3. M.病人的照片,2015年出生,患有杜林氏疱疹样皮炎(治疗期间,第10天):a—背部皮肤病理过程的消退;b—臀部;c,d—上肢 Fig. 3. Photo of patient M., born in 2015, suffering from Duhring’s dermatitis herpetiformis (during therapy, 10 day): a – regression of the pathological process on the skin of the back; b – buttocks; c, d – upper limbs
该患者出院后临床改善,诊断为杜林氏疱疹样皮炎。临床恢复并诊断 为«脓皮病»。
结论
作为治疗的结果,实现了皮肤病的临床缓解。该女孩出院回家的原因有以下建议:坚持无麸质饮食,每天服用氨苯砜1毫克/公斤,在住所的儿科医生,肠胃病学家,内分泌学家和皮肤科医生的监督下。建议饮食和治疗,因为根据我们的数据,青少年中有40.1%的父母和38.2%的父母更愿意不告诉医生有关饮食和治疗的违法行为[7,8,14,16]。
由于在儿童中杜林氏疱疹样皮疹少见,鉴别诊断的复杂性,这种情况的临床观察对执业的皮肤科医生来说是有意义的,这需要使用组织学,免疫组织化学和分子遗传学研究方法进一步总结经验。因此,有必要对这些患者的皮肤结构和功能特征以及其荷尔蒙状态特征进行全面研究,以全面了解其相互影响的机制以及对现有治疗和预防方案的纠正[3]。
资金来源:未指定。作者没有利益冲突。
作者简介
Yuri Novikov
Budgetary Healthcare Institution of the Omsk Region “Clinical Dermatovenerologic Dispensary”
编辑信件的主要联系方式.
Email: buzoo.kkvd@mail.ru
MD, PhD, Dr. Sci. (Med.), Associate Professor, Нead of the Department Dermatovenereology and Cosmetology, Сhief Physician
俄罗斯联邦, OmskDenis Zaslavsky
St. Petersburg State Pediatric Medical University of the Ministry of Health of the Russian Federation
Email: venerology@gmail.com
MD, PhD, Dr. Sci. (Med.), Professor, Department of dermatovenereology
俄罗斯联邦, Saint PetersburgOlga Pravdina
Omsk State Medical University of the Ministry of Health of the Russian Federation
Email: pravdina76@yandex.ru
MD, PhD, Associate Professor, Department of dermatovenereology and cosmetology
俄罗斯联邦, OmskElena Zykova
Omsk State Medical University of the Ministry of Health of the Russian Federation
Email: zyk.alena@mail.ru
MD, PhD, Assistant Professor, Department of dermatovenereology and cosmetology
俄罗斯联邦, OmskAnastasia Lipatnikova
Budgetary Healthcare Institution of the Omsk Region “Clinical Dermatovenerologic Dispensary”
Email: Lime-as@mail.ru
Doctor-dermatovenereologist of the polyclinic department No. 1 KKVD
俄罗斯联邦, OmskElena Bolshakova
St. Petersburg State Pediatric Medical University of the Ministry of Health of the Russian Federation
Email: bolena2007@rambler.ru
Doctor-dermatovenerologist, Head of the dermatovenereological department of the clinic
俄罗斯联邦, Saint PetersburgElena Manylova
St. Petersburg State Pediatric Medical University of the Ministry of Health of the Russian Federation
Email: tulechka78@mail.ru
Doctor-dermatovenereologist of the clinic
俄罗斯联邦, Saint PetersburgLyudmila Drozdova
St. Petersburg State Pediatric Medical University of the Ministry of Health of the Russian Federation
Email: luddrozd@mail.ru
Doctor-dermatovenereologist of the clinic
俄罗斯联邦, Saint Petersburg参考
- Бонифаци Э. Дифференциальная диагностика в детской дерматологии. – М.: Издательство Панфилова, 2014. – C. 104–110. [Bonifaci E. Differential diagnosis in pediatric dermatology. Moscow: Panfilov Publishing House; 2014. P. 104-110. (In Russ.)]
- Бутов Ю.С., Потекаев Н.Н. Руководство для врачей по дерматовенерологии. – М.: Издательство ГЭОТАР-Медиа, 2017. – C. 276–301. [Butov YuS, Potekaev NN. Rukovodstvo dlya vrachej po dermatovenerologii. Moscow: Izdatel’stvo GEOTAR-Media; 2017. P. 276-301 (In Russ.)]
- Васильев А.Г., Заславский Д.В., Трашков А.П., и др. Изменения гормонального статуса у пациентов с очаговым вульгарным псориазом // Вестник дерматологии и венерологии. – 2011. – № 5. – С. 88–90. [Vasiliyev AG, Zaslavskiy DV, Trashkov AP, et al. Changes in the hormonal status of patients with focal psoriasis vulgaris. Vestnik dermatologii i venerologii. 2011;(5):88-90. (In Russ.)]
- Горланов И.А., Леина Л.М., Милявская И.Р., Заславский Д.В. Болезни кожи новорожденных и грудных детей. – М.: Издательство Фолиант; 2016. – С. 45–55. [Gorlanov IA, Leina LM, Milyavskaya IR, Zaslavsky DV. Bolezni kozhi novorozhdennyh i grudnyh detej. Moscow: Izdatel’stvo Foliant; 2016. P. 45-55. (In Russ).]
- Горланов И.А., Леина Л.М., Милявская И.Р., Куликова С.Ю. О заболеваниях, ассоциированных с нарушением барьерной функции кожи // Педиатр. – 2013. – Т. 4. – № 3. – С. 111–114. [Gorlanov IA, Leina LM, Milyavskaya IR, Kulikova SYu. About the diseases associated with impaired barrier functionof the skin. Pediatrician (St. Petersburg). 2013;4(3):111-114. (In Russ.)] https://doi.org/10.17816/PED43111-114.
- Горланов И.А., Заславский Д.В., Куликова С.Ю., и др. Детская дерматовенерология: учебник / под ред. И.А. Горланова. – М.: ГЕОТАР-Медиа, 2017. – C. 337–341. [Gorlanov IA, Zaslavsky DV, Kulikova SYu, et al. Detskaja dermatovenerologija: uchebnik. Gorlanov IA, ed. Moscow: GEOTAR-Media; 2017. P. 337-341 (In Russ).]
- Горланов И.А., Микиртичан Г.Л., Заславский Д.В. и др. Клинико-социологические проблемы комплаентности в детской дерматологии // Вестник дерматологии и венерологии. – 2011. – Т. 87. – № 1. – С. 36–40. [Gorlanov IA, Mikirtichan GL, Zaslavskij DV, et al. Clinical and social problems of compliance in pediatric dermatology. Vestnik dermatologii i venerologii. 2011;87(1)36-40. (In Russ).]
- Заславский Д.В., Харбедия Ш.Д., Хведелидзе М.Г., и др. Результаты оценки пациентами деятельности медицинского персонала // Новые горизонты: инновации и сотрудничество в медицине и здравоохранении: материалы IX Российско-немецкой научно-практической конференции Форума им. Р. Коха и И.И. Мечникова / под общей ред. О.В. Кравченко, Г. Хана. – Новосибирск: Сибирский Центр Деловых Технологий, 2010. – С. 28–29. [Zaslavsky DV., Harbedia SD., Hvedelidze MG., et al. Rezul’taty ocenki pacientami dejatel’nosti medicinskogo personala. In: Novye gorizonty: innovacii i sotrudnichestvo v medicine i zdravoohranenii: Materialy IX rossijsko-nemeckoj nauchno-prakticheskoj konferencii Foruma im. R. Koha i I.I. Mechnikova. Kravchenko OV, Han G, eds. Novosibirsk: Sibirskii Tsentr Delovykh Tekhnologii; 2010. P. 28-29. (In Russ.)]
- Потекаев Н.Н., Львов А.Н. Дерматология Фицпатрика в клинической практике. Москва: Издательство Панфилова. – 2015. – С. 714–720. [Potekaev NN., Lvov AN. Dermatologija Ficpatrika v klinicheskoj praktike. Moscow: Izdatel’stvo Panfilova. 2015;714-720 (in Russ.)]
- Родионов А.Н., Заславский Д.В., Сыдиков А.А. Дерматология. Иллюстрированное руководство клинической диагностики по профессору Родионову А.Н. / под ред. А.Н. Родионова. – М.: Издательский дом «Граница», 2018. – 944 с. [Rodionov AN, Zaslavsky DV, Sydikov AA. Dermatology: The illustrated guide to clinical diagnostics to professor Rodionov A.N. Moscow: Izdatel’skii dom “Granitsa”; 2018. 944 p (In Russ.)].
- Родионов А.Н., Заславский Д.В., Чупров И.Н., и др. Дерматопатология воспалительных заболеваний кожи. – Ташкент, 2014. – 208 с. [Rodionov AN, Zaslavskij DV, Chuprov IN, et al. Dermatopatologija vospalitel’nyh zabolevanij kozhi. Tashkent; 2014. 208 p. (In Russ.)]
- Тихоновская И.В., Катина М.А. Буллезные дерматозы: методические рекомендации. – Витебск: ВГМУ, 2018. – C. 25–32. [Tikhonovskaya IV, Katina MA. Bulljoznye dermatozy: metodicheskie rekomendacii. Vitebsk: Vitebskij gosudarstvennyj medicinskij universitet; 2018. P. 25-32. (In Russ.)]
- Шнайдерман П., Гроссман М. Дифференциальная диагностика в дерматологии. – М.: Бином, 2017. – C. 42–51. [Schneiderman P, Grossman M. Differencial’naja diagnostika v dermatologii. Moscow: Binom; 2017. P. 42-51. (In Russ.)]
- Харбердия Ш.Д., Моисеева К.Е., Заславский Д.D., Ермакова Н.С. Результаты оценки отдельных показателей работы дерматовенерологической службы Северо-Западного Федерального округа // Медицина и организация здравоохранения. – 2019. – Т. 4. – № 2. – С. 13–19. [Harberdiya ShD, Moiseeva KE, Zaslavskij DV, Ermakova NS. Results of the assessment of individual indicators of the work of the dermatovenerological service of the North-Western Federal District. Meditsina i organizatsiya zdravookhraneniya. 2019;4(2):13-19. (In Russ.)]
- Хэбиф Т.П. Кожные болезни. Диагностика и лечение. – М.: Медпресс-информ, 2016. – C. 341–344. [Нebif TP. Skin diseases. Diagnosis and treatment. Moscow: Medpress-inform; 2016. P. 341-344. (In Russ.)]
- Юрьев В.К., Заславский Д.В., Витенко Н.В., и др. Некоторые результаты оценки пациентами качества медицинской помощи // Ученые записки СПбГМУ им. акад. Павлова И.П. – 2010. – Т. 17. – № 2. – С. 5–7. [Yuryev VK, Zaslavsky DV, Vitenko NV, et al. Nekotorye rezul’taty ocenki pacientami kachestva medicinskoj pomoshhi. Uchenye zapiski SPbGMU im. akad. Pavlova IP. 2010;17(2):5-7. (In Russ)]
补充文件








