Differentiated approach to the treatment of patients with consequences of multiple localization hematogenic osteomyelitis (Clinical observation)
- Authors: Garkavenko Y.E.1,2, Belokrylov N.M.3
 - 
							Affiliations: 
							
- H. Turner National Medical Research Center for Children’s Orthopedics and Trauma Surgery
 - North-Western State Medical University named after I.I. Mechnikov
 - Regional Children’s Clinical Hospital
 
 - Issue: Vol 10, No 2 (2022)
 - Pages: 183-190
 - Section: Clinical cases
 - Submitted: 10.02.2022
 - Accepted: 14.04.2022
 - Published: 30.06.2022
 - URL: https://journals.eco-vector.com/turner/article/view/100476
 - DOI: https://doi.org/10.17816/PTORS100476
 - ID: 100476
 
Cite item
Abstract
BACKGROUND: Disseminated osteomyelitis in children leads to the demise of many joints. Osteolysis of the head and femoral neck leads to the complete degradation of the hip joint, while the possibilities of organ-preserving disorders are extremely rare. Damage to the epiphyseal zone during growth causes deformation and dysfunction of the joints of other segments, which requires staged treatment.
CLINICAL CASE: We presented the case of a patient with multiple consequences of epiphyseal osteomyelitis with pathological dislocation of the hips as a result of osteolysis of the heads and necks of the femur. Arthroplasty was performed successively at the age of 7 and 8 using demineralized bone and cartilage allografts according to the method stipulated by the Institute G.I. Turner with shortening osteotomies of the hips. At the age of 13, lengthening of the left femur was performed with correction of the axis of the affected segment of the lower limb.
DISCUSSION: Many authors refrain from or do not have the opportunity to use organ-preserving surgical aids, relying on early endoprosthetics for pathological dislocations. However, the lifespan of a joint and endoprosthesis makes it necessary to look for ways to extend the functional suitability of musculoskeletal system, especially during the growth phase of a child. In our opinion, the use of organ-preserving interventions at the level of the hip and other segments in children with the consequences of osteomyelitis is recommended. The possibility of elongation at the level of segments, where arthroplasty was performed was earlier with preservation of one’s own tissues. Correction of the axis and alignment of the length of the limbs can be effectively carried out on previously operated segments subject to certain technical features.
CONCLUSIONS: Bilateral arthroplasty of the proximal femur with demineralized cartilage allografts in osteomyelitis is a completely acceptable option for organ-preserving interventions. It is possible to effectively lengthen and correct the previously operated femur while maintaining good limb function. Ultimately, the expediency, the nature of surgical interventions, and the choice of a segment for correction in such patients are determined by the characteristics of the functional adaptation of the affected segment(s).
Full Text
BACKGROUND
The treatment of children with a history of hematogenous osteomyelitis represents a serious problem that requires a comprehensive solution [1, 2]. This is certainly true in early severe forms of epiphyseal osteomyelitis with bone epiphyseal and metaepiphyseal growth zone destruction, which leads to various deformities in the further growth process of the child and limb segment shortening [3, 4]. A deep infection in a hip joint lesion often causes osteolysis of the femoral proximal metaepiphysis, and normal joint function becomes impossible due to the femoral head and neck destruction. Pathological hip dislocation is an outcome of such conditions [5].
The organ-sparing surgical interventions for such severe orthopedic defects are not almost discussed by international literature. Starting from adolescence, early arthroplasty in these cases is usually used [6]. However, the philosophy of the organ-sparing approach suggests that the conditions for restoring the support capacity of the joints in pediatric patients after epiphysis osteolysis should be created by modeling or the maximum possible restoration of the supporting bone areas [7, 8]. The search for such methods continues. These problems have been solved at the H.I. Turner National Medical Research Center for Сhildren’s Orthopedics and Trauma Surgery for >30 years using original technologies based on the use of demineralized bone and cartilage allografts. Experience has been accumulated in the use of these methods in bilateral pathological hip dislocations [9, 10]. The problem of preserving and prolonging the life of the patient’s joint is newly discovered; however, it persists because new orthopedic disorders, shortening, and deformities of limb segments may occur in the growth process and development of a child, and the degree of joint stability may change [10, 11].
International authors mainly focus on early and accurate osteomyelitis diagnostics, which leads to decreased hazardous complications, which the reality is recognized by all experts [12–18]. However, despite the expansion of indications for early hip arthroplasty in pediatric patients [6], the relevance of the organ-sparing approach is extremely high and undeniable, including the preservation of support using own tissues, staged solution of issues of biomechanical favorability, and functional adaptation of the child in the growth process. Additionally, international authors point out the importance and possibility of using the greater trochanter in pediatric patients, the Ilizarov apparatus, to maintain the stability and functionality of the hip joint when using organ-sparing techniques, and the need to develop a flexible treatment approach for such patients. However, such reports are rare [19–22]. The available literature from international authors did not reveal the use of demineralized allografts to create a supporting remodeled surface of the femur after the lysis of its articular surface. All authors support the relevance of a holistic approach to patient treatments, but the solutions can be very diverse, and the complexity of choosing the surgical treatment approach remains indisputable. Multiple, multi-level growth zone lesions of the bones after osteomyelitis necessitates the staged orthopedic correction. Here, we present the treatment of a patient with severe consequences of osteomyelitis.
CLINICAL CASE
Patient P., aged 14 years, who had a history of disseminated hematogenous osteomyelitis in the neonatal period, with lesions of the hip, left knee, left elbow, and right radiocarpal joints, was conservatively under our follow-up. Active surgical aids were not provided to the child after birth, and he was treated. At the age of 3 years, an unsuccessful attempt was made at the primary healthcare facility to close the femoral bone reduction with adductor muscle tenotomy and subsequent Vilensky splint treatment due to the formation of pathological hip dislocations. Stabilization of the hip joints was not achieved due to the developed femoral head and neck lysis.
The child was admitted to the H.I. Turner National Medical Research Center for Сhildren’s Orthopedics and Trauma Surgery at the age of 6 years. He underwent surgical interventions to stabilize the hip joints, with an interval of 1.5 years. Therefore, in 2014 and 2015, hip arthroplasty was successively performed using demineralized bone and cartilage allografts. Concurrently, shortening detorsion osteotomies of the femoral bones were performed for joint decompression (Fig. 1).
Fig. 1. Appearance of the patient (a) and hip joint radiographs before (b) and at their surgical stabilization stages (c–e)
Regular rehabilitation measures in the postoperative period and the long term enabled stability maintenance and satisfactory hip joint function to date (Fig. 2).
Fig. 2. Appearance of the patient (a–c) and hip joint radiograph (d) after hip joint stabilization and left femur lengthening (2021)
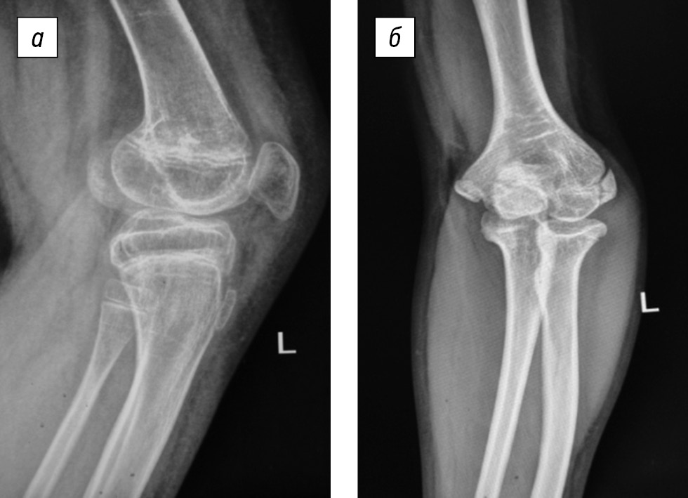
Concurrently, other anatomical and functional disorders of the affected limb segments appeared in the growth process, namely, left femur shortening and left femur and tibia antecurvation deformity, which imitates knee joint flexion contracture, as well as left elbow joint varus deformity (2020) (Fig. 3).
Fig. 3. Left knee (a) and elbow (b) joint deformities at the treatment stage
Deformities 1, 2, and 3 required surgical correction. However, the patient was left-handed and the adaptation level to the left elbow joint work was very high. He is a prize-winner of the Russian championship and winner and prize-winner of many other All-Russian wheelchair tennis competitions in doubles and singles. Hence, we refrained from offering him a correction of the varus deformity of the left upper limb in the absence of complaints, at least at present time.
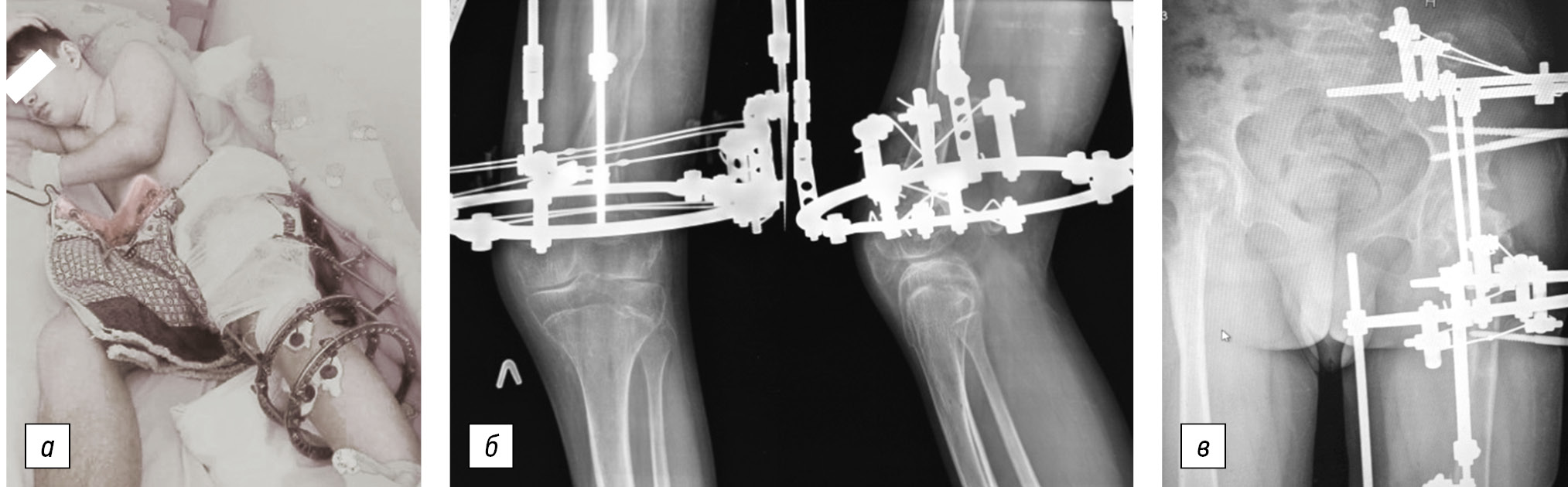
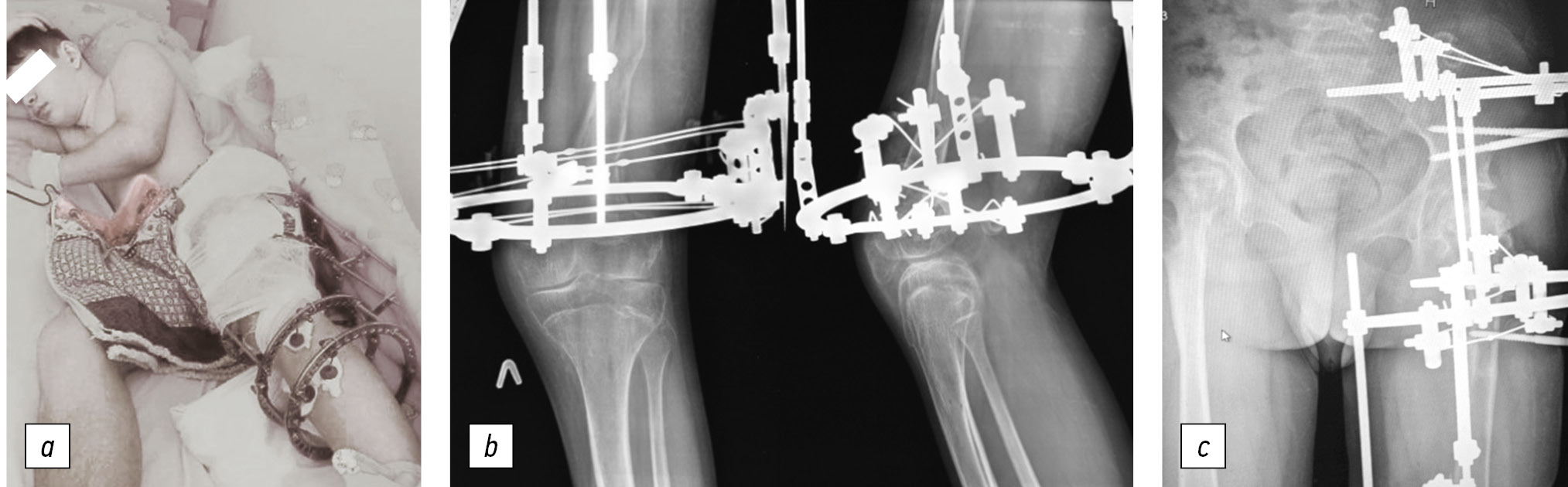
In this situation, lameness, leg size discrepancy, axial deformity, pelvic torsion during walking, and limited left knee joint extension became an indication for staged surgical treatment. The hip joints retained full extension with free flexion of up to 90°, abduction possibility of 25°–30°, and total rotation on each side of 15°–20° before the last surgical correction of the left femur in its distal part. The support ability of the left knee joint was reduced due to the rigid restriction of the extension within 15°, flexion of 30°, and an external rotational positioning of the left lower limb. A corrective detorsion-varus extensor osteotomy with fixation using the Ilizarov apparatus was performed in February 2021 to restore the left lower limb length and eliminate the left femur deformity in its lower third. Additionally, the hip joint was fixed with an apparatus to maintain stability and ensure unloading of the left hip joint at the time of distraction and for 4 weeks after its completion (Fig. 4). The load on the operated lower limb was permitted the next day postoperatively. The total left femur elongation was 4 cm along with deformity correction.
Fig. 4. Photograph of the patient (a) and left knee (b) and hip (c) joint radiograph at the stage of left femur lengthening
The difference in the length of the lower limbs was eliminated because of surgical intervention, and the patient was able to fully extend the knee joint. Pelvic torsion and static spinal deformity were eliminated. The patient continues rehabilitation and is satisfied with the result (Fig. 5).
Fig. 5. Photographs of the patient (a–c) after the treatment completion. The length of the left lower limb was restored, and the left knee joint deformity was corrected
DISCUSSION
Treatment of patients with multiple joint lesions after osteomyelitis continues during the child’s growth [3, 11, 23]. Over time, the patient may require hip arthroplasty [6]. However, the service life of the patient’s joint and endoprosthesis should be commensurate with the duration of the functional activity of a person and his life. Therefore, organ-preserving interventions are performed [7–10, 19, 21–23].
Femur lengthening is possible while maintaining the stability of the affected hip joint after organ-sparing interventions [8, 10]. An important prerequisite, in this case, is the creation of the joint decompression during the distraction, which in turn ensures its stability. The variant of maintaining stability in the affected hip joint presented in the clinical case should not be taken as a dogmatic assertion. There are other well-established variants of joint decompression during femur lengthening, in particular, tibial cuff traction in the position of moderate lower limb abduction [23]. Another segment (tibia) for restoring the lower limb length may be limited by ankle joint contracture and the patient’s unwillingness to obtain a different knee joint level position after elongation. Notably, intervention on an unaffected segment in the postoperative period can lead to complications, which can occur in anyone, and another affected segment of the lower limb is undesirable.
At present, the amplitude of flexion in the hip joints reaches 90°, with abduction amplitude of 25°–30° and rotational movements of 15°–20° in a patient with full extension. Full extension of the tibia was restored, but the limitation of the left knee joint flexion amplitude (0/0/45°) persists, and the rehabilitation process continues. The patient is favorable from the point of view of orthopedic rehabilitation prospects, as he is an athlete, and set his mind on a good functional result. Currently, the biomechanical axis of the lower extremities has been restored, and the physiologically favorable range of motion in all large joints of the upper and lower extremities has been preserved. Confidently, the patient will preserve a state of good functional compensation for a long time as the growth is completed.
CONCLUSION
Hip arthroplasty, using demineralized bone and cartilage allografts to restore and preserve joint function, is the method of choice in pediatric patients with destructive pathological hip dislocations after osteomyelitis.
Unloading the affected hip joint in the process of hip lengthening, as well as in subsequent rehabilitation, maintain its stability and satisfactory functional characteristics for a long time.
An individual rehabilitation program should be chosen, considering not only the existing deformities but also the affected segment and the conditions of its functioning. Correction is not paramount in the case of complete functional adaptation of the deformed limb segment and is inappropriate in some cases.
ADDITIONAL INFORMATION
Funding. The study had no external funding
Conflict of interest. The authors declare no conflict of interest.
Ethical considerations. The patient’s parents agreed to conduct the study and publish the patient’s treatment data and results.
Author contributions. Yu.E. Garkavenko created the study concept and design, analyzed the data, processed the material, edited the manuscript, performed surgical treatment of the patient, and determined the approach of the child’s treatment at further stages. N.M. Belokrylov analyzed the data, processed the material, analyzed the literature sources, wrote the manuscript, performed femur correction and lengthening, as well as staged surgical and conservative rehabilitation of the pediatric patient.
All authors made a significant contribution to the study and article preparation, as well as read and approved the final version before its publication.
About the authors
Yuriy E. Garkavenko
H. Turner National Medical Research Center for Children’s Orthopedics and Trauma Surgery; North-Western State Medical University named after I.I. Mechnikov
														Email: yurijgarkavenko@mail.ru
				                	ORCID iD: 0000-0001-9661-8718
				                	SPIN-code: 7546-3080
							Scopus Author ID: 57193271892
											                								
MD, PhD, Dr. Sci. (Med.)
Russian Federation, Saint Petersburg; Saint PetersburgNIkolay M. Belokrylov
Regional Children’s Clinical Hospital
							Author for correspondence.
							Email: belokrylov1958@mail.ru
				                	ORCID iD: 0000-0002-9359-034X
				                	SPIN-code: 7649-8548
																		                								
MD, PhD, Dr. Sci. (Med.), Assistant Professor, Honored Doctor of Russian Federation
Russian Federation, 17a Bauman str., Perm, 614066References
- Akhunzyanov AA, Skvortsov AP, Gil’mutdinov MR, Rashitov LF. Opyt lecheniya ostrogo gematogennogo osteomiyelita u detey. Prakticheskaya meditsina. 2010;(1):104−105. (In Russ.)
 - Roderick MR, Shah R, Rogers V, et al. Chronic recurrent multifocal osteomyelitis. Pediatric Rheumatology. 2016;(14):47. doi: 10.1186/s12969-016-0109-1
 - Akhtyamov IF, Gil’mutdinov MR, Skvortsov AP, Akhunzyanov AA. Ortopedicheskiye posledstviya u detey, perenesshikh ostryy gematogennyy osteomiyelit. Kazanskiy meditsinskiy zhurnal. 2010;XI(1):32−35. (In Russ.)
 - Labuzov DS, Salopenkova AB, Proshchenko YaN. Metody diagnostiki ostrogo epifizarnogo osteomiyelita u detey. Pediatric Traumatology, Orthopaedics and Reconstructive Surgery. 2017;5(2):59−64. (In Russ.)
 - Shikhabutdinova PA, Izrailov MI, Yakh’yayev YaM, et al. Patologicheskiy vyvikh bedra u detey, perenesshikh epifizarnyy osteomiyelit. Rossiyskiy pediatricheskiy zhurnal. 2019;22(6):354−358. (In Russ.)
 - Van de Velde SK, Loh B, Donnan L. Total hip arthroplasty in patients 16 years of age or younger. J Child Orthop. 2017;11(6):428–433. doi: 10.1302/1863-2548.11.170085
 - Belokrylov NM, Gonina OV, Polyakova NV. Vosstanovleniye oporosposobnosti pri patologicheskom vyvikhe bedra v rezul’tate osteolizay ego sheyki i golovki v detskom vozraste. Travmatologiya i ortopediya Rossii. 2007;(1):63−67. (In Russ.)
 - Toplen’kiy MP, OleynikovYeV, Bunov VS. Rekonstruktsiya tazobedrennogo sustava u detey s posledstviyami septicheskogo koksita. Pediatric Traumatology, Orthopaedics and Reconstructive Surgery. 2016;4(2):16−23. (In Russ.)
 - Pozdeev AP, Garkavenko YuE, Krasnov AI. Artroplastika v kompleksnom lechenii patologii tazobedrennogo sustava u detey. Travmatologiya i ortopediya Rossii. 2006;(2):240–241. (In Russ.)
 - Garkavenko YuE. Dvustoronniye patologicheskiye vyvikhi beder u detey. Pediatric Traumatology, Orthopaedics and Reconstructive Surgery. 2017;5(1):21−27. (In Russ.)
 - Gil’mutdinov MR, Akhtyamov IF, Skvortsov AP, Grebnev AP. Ortopedicheskiye oslozhneniya u detey, perenesshikh ostryy gematogennyy metaepifizarnyy osteomiyelit nizhnikh konechnostey. Vestnik sovremennoy klinicheskoy meditsiny. 2009;2(2):18−20. (In Russ.)
 - Shah SS. Abnormal gait in a child with fever: Diagnosing septic arthritis of the hip. Pediatr Emerg Care. 2005;21(5):336−341. doi: 10.1097/01.pec.0000159063.24820.73
 - Kang SN, Sanghera T, Mangwani J, et al. The management of septic arthritis in children: systematic review of the English language literature. J Bone Joint Surg Br. 2009;91(9):1127−1133. doi: 10.1302/0301-620X.91B9.22530
 - Cheung A, Lam A, Ho E. Sonography for the investigation of a child with a limp. Australas J Ultrasound Med. 2010;13(3):23−30. doi: 10.1002/j.2205-0140.2010.tb00160.x
 - Maas L, Thorp AW, Brown L. Etiology of septic arthritis in children: An update for the new millennium. Am J Emerg Med. 2011;29(8):899−902. doi: 10.1016/j.ajem.2010.04.008
 - Rutz E, Spoerri M. Septic arthritis of the pediatric hip-a review of current diagnostic approaches and therapeutic concepts. Acta Orthop Belg. 2013;79(2):123−134.
 - Anil A, Aditya NA. Pediatric Osteoarticular Infection. New Delhi: Edition Jaypee Brothers Medical Publishers; 2013:75−78.
 - Fatima F, Fei Y, Ali A, et al. Radiological deatures of experimental staphylococcal septic arthritis by micro computed tomography scan. PLoS One. 2017;12:e0171222. doi: 10.1371/journal.pone.0171222
 - Abrishami S, Karami M, Karimi A, et al. Greater trochanteric preserving hip arthroplasty in the treatment of infantile septic arthritis: Long-term results. J Child Orthop. 2010;4(2):137−141. doi: 10.1007/s11832-010-0238-x
 - Benum P. Transposition of the apophysis of the greater trochanter for reconstruction of the femoral head after septic hip arthritis in children. Acta Orthop. 2011;82:64−68. doi: 10.3109/17453674.2010.548030
 - El-Rosasy MA, Ayoub MA. Midterm results of Ilizarov hip reconstruction for late sequelae of childhood septic arthritis. Strategies Trauma Limb Reconstr. 2014;9(3):149−155. doi: 10.1007/s11751-014-0202-2
 - Gang Xu, Spoerri M, Rutz E. Surgical treatment options for septic arthritis of the hip in children. Afr J Paediatr Surg. 2016;13(1):1−5. doi: 10.4103/0189-6725.181621
 - Garkavenko YuE. Patologicheskiy vyvikh bedra: Uchebnoe posobie. Saint Petersburg: Publishing house North-Western State Medical; 2016. (In Russ.)
 
Supplementary files
				
			
					
						
						
									








