Bilateral coxa vara and tibia vara associated with severe short stature in a girl manifesting a constellation of bone lesions with exclusive involvement of the lower limbs
- Authors: Al Kaissi A.1,2, Grill F.2, Ganger R.2, Kircher S.3
-
Affiliations:
- Ludwig Boltzmann Institute of Osteology, Hanusch Hospital, WGKK and AUVA Trauma Centre Meidling, First Medical Department, Hanusch Hospital
- Orthopaedic Hospital of Speising, Paediatric Department
- Medizinische Universität, Department für Medizinische Genetik
- Issue: Vol 6, No 3 (2018)
- Pages: 63-69
- Section: Clinical cases
- Submitted: 28.09.2018
- Accepted: 28.09.2018
- Published: 28.09.2018
- URL: https://journals.eco-vector.com/turner/article/view/10229
- DOI: https://doi.org/10.17816/PTORS6363-69
- ID: 10229
Cite item
Abstract
In most instances, a toddler is seen with unilateral varus of the tibia, usually the deformity appearing slightly more distal than the knee joint. Radiographs of the focal fibrocartilaginous dysplasia show a characteristic abrupt varus at the metaphyseal — diaphyseal junction of the tibia. Cortical sclerosis is in and around the area of the abrupt varus on the medial cortex. A radiolucency may appear just proximal to the area of cortical sclerosis. The aetiology of such defects and the pathogenesis of the deformity are mostly unknown. Many of the associated factors suggest that the condition at least partly results from a mechanical overload of the medioproximal tibial physis.
The evaluation of a child with suspected pathologic tibia vara begins with a thorough history. A complete birth and developmental history should include the age at which the child begun walking. The medical history should identify any renal disease, endocrinopathies, or known skeletal dysplasia. The physical examination also should include the child’s overall lower extremity alignment and symmetry, hip and knee motion, ligamentous hyperlaxity, and tibial torsion.
We describe on a 17 year-old-girl who manifests severe short stature associated with multiple orthopaedic abnormalities, namely, bilateral coxa vara and tibia vara. Radiographic documentation showed bilateral and symmetrical involvement of the lower limbs with the extensive form of fibrocartilaginous dysplasia, osteoporosis, and osteolytic lesions. The constellation of the malformation complex of osteolytic lesions, fibrocartilaginous changes and the polycystic like fibromas are not consistent to any previously published reports of fibrocartilaginous dysplasia. To the best of our knowledge, it seems that fibrocartilaginous changes are part of a novel type of skeletal dysplasia.
Full Text
Introduction
The bone changes in our patient are somehow similar but not consistent and or diagnostic with polyostotic fibrous dysplasia (FD). A fibrocartilaginous dysplasia (FCD) commonly occurs in the lower extremities, especially in the proximal femur, leading to disabling deformity of the limb [1]. In fibrocartilaginous dysplasia, the cartilage may develop in only one or in several segments of the affected bones. The appellation fibrocartilaginous dysplasia (FCD) has been used for those cases in which the cartilage is abundant [1–4]. In the latter situation, extensive deformity of the bone may develop and lead to significant therapeutic problems. Radiologically, FCD has been described as a lucent lesion, with well-to-ill defined borders, usually containing scattered punctate to ring-like annular calcification. The calcification may be so extensive as to mimic an enchondroma or chondrosarcoma. Histologically, FCD differs from conventional FD only by its additional component of cartilage, with the benign-appearing spindle cell stroma and irregular shaped trabeculae of metaplastic woven bone found in both. The origin of the cartilage in FCD is controversial, some believing that it derives from offshoots or rest of the epiphyseal plate that proliferate and grow [5–7]. Others believe, that it arises by direct stromal metaplasia, or that it develops from both processes. The rare occurrence of FCD in the calvarium and vertebral body , sites lacking an epiphyseal plate, would argue against the latter as the site of origin, at least in some cases. However, the irregularly bordered epiphyseal plates is some cases of FCD, with long columns of cartilage streaming into the adjacent metaphysis, would support this as a site origin for some of the cartilage [8]. None, of the above mentioned clinical entities were compatible with our patient. Generalized osteoporosis associated with numerous osteolytic changes and bands of fibrocartilaginous dysplasia were the main abnormal characteristics observed in our patient.
Clinical report
A-17-year-old-girl was referred to our department for clinical evaluation. She was product of full term uneventful gestation. At birth her growth parameters were around the 50 th percentile. The mother was a 35-year-old gravida 2 abortus 0 married to a 43-year-old- unrelated man. She had no history of serious illnesses, apart from two femoral fractures were recorded at the age of 6 years. No more fractures were recorded thereafter. Her subsequent course of development was within normal limits. Since puberty the girl attained very short stature associated with bilateral tibia vara.
Clinical examination at the age of 17-years showed severe short stature of –3SD, her OFC was around the 50 percentile as well as her weight. No dysmorphic facial features were noted. Musculoskeletal examination showed mild ligamentous laxity of the upper limbs, though restrictions of the joints mobility were observed in her lower limbs. Her upper limbs were of normal development and her spine showed no peculiar deformities with normal trunk development. Her hands and feet were normal. Examination of the lower limbs showed very short lower segment in comparison with a normally developed upper segment. Muscular wasting was a notable feature. In her early life she was investigated for myopathy. Serum creatine kinase and plasma lactate were normal. Electromyography showed minimal changes, and past muscle magnetic resonance imagic (MRI) showed non-specific and non-diagnostic changes. Muscle biopsy and muscle respiratory chain were normal as well. No definite diagnosis has been established since the muscle biopsy and the other investigations were non-compatible with myopathy. Hormonal investigations included thyroid hormones; adrenocorticotropic hormone and growth hormone were negative as well.
Radiographic examination: AP radiograph of the pelvis showed bilateral coxa vara associated with expansile lytic lesion with ground glass matrix was seen bilaterally involving the proximal femora shaft and the greater trochanter with significant deformity seen in the proximal femoral region. Ring-like calcification suggesting cartilage was well appreciated. Note the hypoplastic capital femoral epiphyses and the defective modelling of the neck of the femur. There is a shortage of the femoral neck with pathologic ATD (articular trochanteric distance) of (minus) 7 mm left and (minus) 5 mm right (Fig. 1).
Fig. 1. AP radiograph of the pelvis showed bilateral coxa vara associated with expansile lytic lesion with ground glass matrix was seen bilaterally involving the proximal femora shaft and the greater trochanter with significant deformity seen in the proximal femoral region. Ring-like calcification suggesting cartilage was well appreciated. Note the hypoplastic capital femoral epiphyses and the defective modelling of the neck of the femur. There is a shortage of the femoral neck with pathologic ATD (articular trochanteric distance) of (minus) 7 mm left and (minus) 5 mm right
Lateral radiograph of the inferior femora and the super tibiae showed abundant calcification intermixed with areas of osteolytic lesions. Note multiple lucent lesions with bony islands and linear sclerotic changes, which extend from the epiphyses to involve the shafts (Fig. 2).
Fig. 2. Lateral radiograph of the inferior femora and the super tibiae showed abundant calcification intermixed with areas of osteolytic lesions. Note multiple lucent lesions with bony islands and linear sclerotic changes, which extend from the epiphyses to involve the shafts
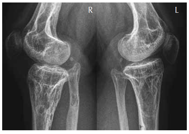
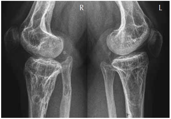
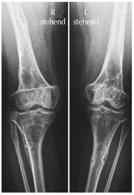
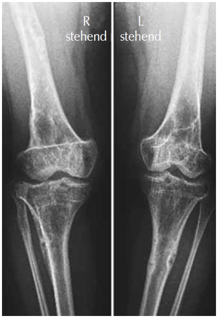
AP knees and lower femora radiographs showed a combination of osteoporosis, osteolytic islands along the cortices, and fibrocartilaginous changes (Fig. 3).
Fig. 3. AP knees and lower femora radiographs showed a combination of osteoporosis, osteolytic islands along the cortices, and fibrocartilaginous changes
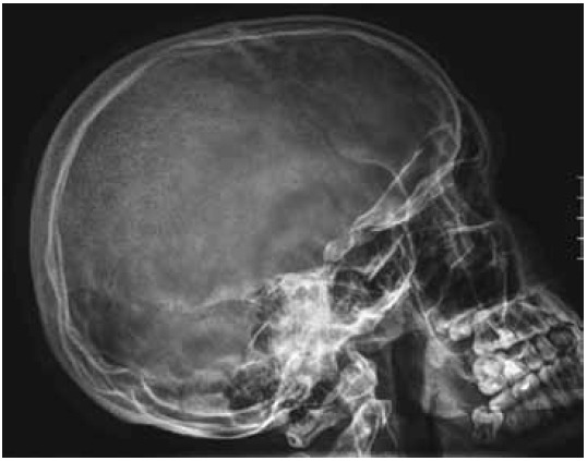
Lateral skull radiograph showed areas of osteolytic changes along the frontal and temporal bones, and osteolytic like area covering the most of the lambdoid sutures (Fig. 4).
Fig. 4. Lateral skull radiograph showed areas of osteolytic changes along the frontal and temporal bones, and osteolytic like area covering the most of the lambdoid sutures
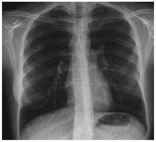
AP radiograph of the thorax showed areas of multiple lucent lesions with bony islands and linear sclerotic changes along the Ribs (Fig. 5). Lateral spine radiograph showed normal vertebral anatomy with no trace of osteogenic lesions (Fig. 6).
Fig. 5. AP radiograph of the thorax showed areas of multiple lucent lesions with bony islands and linear sclerotic changes along the Ribs
Fig. 6. Lateral spine radiograph showed normal vertebral anatomy with no trace of osteogenic lesions
Some of the bone lesions were tracer avid on Tc-99m MDP bone scans. Bone lesions showed non-specific increased 99m-Tc MDP. The bone scintigraphy role was helpful in conjunction with radiography to detect polyostotic involvement in different bones.
Discussion
Fibrocartilaginous dysplasia is a variant of fibrous dysplasia showing extensive cartilaginous differentiation (enchondroma-like areas). The amount of cartilage varies from case to case. This has been reported more commonly in polyostotic disease. It is well recognized that FD may contain cartilage, the amount of which, however, is variable. Lichtenstein and Jaffe in their original article on FD were of the opinion that cartilage was an integral part of the dysplastic process [6, 9, 10]. Kyriakos et al. [11] found 54 cases of FD in which cartilaginous differentiation was observed. At times this cartilage is abundant, such cases being designated under the rubric of either “fibrochondrodysplasia” a term introduced by Pelzmann et al. in 1980, or, more frequently as “fibrocartilaginous dysplasia” [12]. Radiologically, FCD is similar to conventional FD with the addition, in most cases, of ring-like (annular) or scattered punctate to flocculent calcifications that may be so extensive as to simulate a primary cartilaginous lesion. In polyostotic FD, the occurrence of lucent columns of uncalcified cartilage may produce a streak-like radiologic pattern that mimics that of enchondromatosis (Ollier’s disease). The abundant cartilage has also occasionally led to a histologic misdiagnosis of chondrosarcoma arising in FD. FCD has no relationship to the abnormality termed focal fibrocartilaginous dysplasia that involves the pes anserinus and causes tibia vara in young children [9, 10].
Histologically, FCD differs from conventional FD only by its additional component of cartilage, with benign appearing spindle cell stroma and irregularly shaped trabeculae of metaplastic woven bone found in both. The cartilage islands are well circumscribed, round nodules rimmed by a layer of woven or lamellar bone developing by enchondral ossification. At times the large cartilage islands may show increased cellularity, binucleate cells and nuclear atypical which could lead to a misdiagnosis of chondrosarcoma. The cartilaginous component can be massive as to mimic a chondroid neoplasm [13].
The key to the diagnosis is the identification of the classical areas of FD. Malignant transformation in FCD is a rare entity. Ozaki et al. [14] reported a case of de-differentiated chondrosarcoma arising in a case of Albright’s syndrome, probably arising in a pre-existing FCD.
Idiopathic osteolysis, or “disappearing bone disease”, is an extremely rare condition characterized by the spontaneous onset of rapid destruction and resorption of a single bone or multiple bones. This results in severe deformities, with joint subluxation and instability. Hardegger et al. [15] described the most commonly accepted classification; type 1, hereditary multicentric osteolysis with dominant transmission; type 2, hereditary multicentric osteolysis with recessive transmission, type 3, nonhereditary multicentric osteolysis with nephropathy; type 4, Gorham-Stout syndrome; and type 5, Winchester syndrome defined as a monocentric disease of autosomal recessive inheritance. Gorham disease has been considered as the most common form of idiopathic osteolysis. It may appear in any part of the skeleton and has been described in shoulder, pelvis, proximal femur, skull, and spine. It often involves multiple contiguous bones (ribs and spine, or pelvis, proximal femur, and sacrum). Presenting symptoms may be limb pain or weakness and depend on the site of involvement. The massive osteolysis results from vascular proliferation or angiomatosis within the involved bones and the surrounding soft tissue are characteristic features in connection with Gorham disease. Renal involvement is another clinical entity which is characterized by more severe and occurs more frequently in type 3 of Hardegger classification [16].
Conclusion
FD may show cartilaginous foci, the amount of which is variable with no bilateral or symmetrical presentation. As observed by many authors, presence of cartilage is an indicator of future progressive bone deformity. The cartilaginous differentiation in FCD can be easily mistaken for a benign or malignant chondroid neoplasm. In this patient and because of logistical reasons we were unable to carry on histological examinations. Our findings however might signify a new variant of FCD with bilateral and symmetrical involvement of the lower limbs and of less degree involvement of the thorax. Neither the spine nor the hands were involved in this pathological process. The overall clinical and radiographic phenotypes of our current patient were not consistent with any previously described conditions of fibrocartilaginous changes. There is another diagnostic possibility, which is, cystic angiomatosis. Of course, the possibility is less likely because of generalized osteopenia and short stature. We might postulate that this patient is another variant of Moog et al. [18] but nevertheless, the wormain bones described by Moog et al. and the cortical lesions are to certain extent different. We confess that there were some limitations in this paper; firstly pre-pubertal images were not available; secondly, the histological examination was not performed because of logistical reasons and for the same reason next generation exome sequencing has not been organized.
Additional information
Funding. There is no source of funding.
Conflicts of interest. The authors declare no conflicts of interest.
Ethical review. The legal guardians of the patient gave informed consent to process and publish personal data.
Acknowledgment. We wish to thank Mr. Hamza Al Kaissi student at the Slovak Medical University, Bratislava for his help in translating the German literature. We also wish to thank the patient’s family for their collaboration and permission to publish the clinical and the radiological data of their daughter.
About the authors
Ali Al Kaissi
Ludwig Boltzmann Institute of Osteology, Hanusch Hospital, WGKK and AUVA Trauma Centre Meidling, First Medical Department, Hanusch Hospital; Orthopaedic Hospital of Speising, Paediatric Department
Author for correspondence.
Email: ali.alkaissi@oss.at
MD, MSc, Ludwig-Boltzmann Institute of Osteology at the Hanusch Hospital of WGKK and AUVA Trauma Center Meidling, First Medical Department and Orthopaedic Hospital of Speising, Pediatric Department
Austria, ViennaFranz Grill
Orthopaedic Hospital of Speising, Paediatric Department
Email: franz.grill@oss.at
MD, Orthopaedic Hospital of Speising, Paediatric Department
Austria, ViennaRudolf Ganger
Orthopaedic Hospital of Speising, Paediatric Department
Email: rudolf.ganger@oss.at
MD, PhD, Orthopaedic Hospital of Speising, Paediatric Department
Austria, ViennaSusanne Gerit Kircher
Medizinische Universität, Department für Medizinische Genetik
Email: susanne.kircher@meduniwien.ac.at
MD, MSc, Medizinische Universität, Department für Medizinische Genetik
Austria, ViennaReferences
- Muezzinoglu B, Oztop F. Fibrocartilaginous dysplasia: a variant of fibrous dysplasia. Malays J Pathol. 2001;23(1):35-39.
- World Health Organization classification of tumors, pathology and genetics of tumors of soft tissue and bone. Ed by C.D.M. Fletcher, K.K. Unni, F. Mertens. Lyon: IARC press; 2002.
- Harris WH, Dudley HR, Jr, Barry RJ. The natural history of fibrous dysplasia. An orthopaedic, pathological, and roentgenographic study. J Bone Joint Surg Am. 1962;44-A:207-233.
- Wagoner HA, Steinmetz R, Bethin KE, et al. GNAS mutation detection is related to disease severity in girls with McCune-Albright syndrome and precocious puberty. Pediatr Endocrinol Rev. 2007;4 Suppl 4: 395-400.
- Vargas-Gonzalez R, Sanchez-Sosa S. Fibrocartilaginous dysplasia (Fibrous dysplasia with extensive cartilaginous differentiation). Pathol Oncol Res. 2006;12(2):111-114. doi: 10.1007/bf02893455.
- Lichtenstein L, Jaffe HL. Fibrous dysplasia of bone. A condition affecting one, several or many bones, the graver cases of which may present abnormal pigmentation of skin, premature sexual development, hyperthyroidism or still other extraskeletal abnormalities. Arch Pathol. 1942;33:777-816.
- Forest M, Tomeno B, Vanel D. Orthopedic surgical pathology: diagnosis of tumors and pseudotumoral lesions of bone and joints. Edinburgh: Churchill Livingstone; 1998.
- Morioka H, Kamata Y, Nishimoto K, et al. Fibrous Dysplasia with Massive Cartilaginous Differentiation (Fibrocartilaginous Dysplasia) in the Proximal Femur: A Case Report and Review of the Literature. Case Rep Oncol. 2016;9(1):126-133. doi: 10.1159/000443476.
- Hermann G, Klein M, Abdelwahab IF, Kenan S. Fibrocartilaginous dysplasia. Skeletal Radiol. 1996;25(5):509-511. doi: 10.1007/s002560050126.
- Ishida T, Dorfman HD. Massive chondroid differentiation in fibrous dysplasia of bone (fibrocartilaginous dysplasia). Am J Surg Pathol. 1993;17(9):924-930.
- Kyriakos M, McDonald DJ, Sundaram M. Fibrous dysplasia with cartilaginous differentiation (“fibrocartilaginous dysplasia”): a review, with an illustrative case followed for 18 years. Skeletal Radiol. 2004;33(1):51-62. doi: 10.1007/s00256-003-0718-x.
- Pelzmann KS, Nagel DZ, Salyer WR. Case report 114. Skeletal Radiol. 1980;5(2):116-118. doi: 10.1007/bf00347333.
- Bhaduri A, Deshpande RB. Fibrocartilagenous mesenchymoma versus fibrocartilagenous dysplasia: are these a single entity? Am J Surg Pathol. 1995;19(12):1447-1448.
- Ozaki T, Lindner N, Blasius S. Dedifferentiated chondrosarcoma in Albright syndrome. A case report and review of the literature. J Bone Joint Surg Am. 1997;79(10):1545-1551.
- Hardegger F, Simpson LA, Segmueller G. The syndrome of idiopathic osteolysis. Classification, review, and case report. J Bone Joint Surg Br. 1985;67-B(1):88-93. doi: 10.1302/0301-620x.67b1.3968152.
- Al Kaissi A, Scholl-Buergi S, Biedermann R, et al. The diagnosis and management of patients with idiopathic osteolysis. Pediatr Rheumatol. 2011;9(1):31. doi: 10.1186/1546-0096-9-31.
- Moog U, Maroteaux P, Schrander-Stumpel CT, et al. Two sibs with an unusual pattern of skeletal malformations resembling osteogenesis imperfecta: a new type of skeletal dysplasia? J Med Genet. 1999;36(11):856-858. doi: 10.1136/jmg.36.11.856.
Supplementary files










