Мукополисахаридоз IVВ типа и нейросенсорная глухота, ассоциированная с геном CDH23 (уникальный клинический случай)
- Авторы: Кенис В.М.1, Горобец Л.В.2, Димитриева А.Ю.1, Жмурова-Кривенцова А.А.3, Бычков И.О.4, Байдакова Г.В.4, Маркова Т.В.4, Захарова Е.Ю.4
-
Учреждения:
- Национальный медицинский исследовательский центр детской травматологии и ортопедии им. Г.И. Турнера
- Клинико-диагностический центр «Здоровое детство»
- ООО «Умка Фэмили»
- Медико-генетический научный центр им. академика Н.П. Бочкова
- Выпуск: Том 10, № 3 (2022)
- Страницы: 285-294
- Раздел: Клинические случаи
- Статья получена: 14.06.2022
- Статья одобрена: 20.07.2022
- Статья опубликована: 13.09.2022
- URL: https://journals.eco-vector.com/turner/article/view/108730
- DOI: https://doi.org/10.17816/PTORS108730
- ID: 108730
Цитировать
Аннотация
Обоснование. Мукополисахаридозы — группа лизосомных болезней накопления, относящихся к орфанным заболеваниям. Определенные типы мукополисахаридоза характеризуются типичной клинической картиной со стороны опорно-двигательного аппарата и изменениях на рентгенограммах. Мукополисахаридоз IVВ типа — редкий подтип. Более 95 % выявляемых случаев мукополисахаридоза IV типа относится к подтипу А.
Клиническое наблюдение. Представлено описание клинико-рентгенологической картины и генетического исследования пациента 9 лет с нейросенсорной тугоухостью IV степени, обратившегося в лечебное учреждение с жалобами на боль в области правого тазобедренного сустава и хромоту.
Обсуждение. На основании жалоб и рентгенографии тазобедренных суставов пациенту первично был поставлен диагноз «болезнь Легга – Кальве – Пертеса» по месту жительства. С учетом симметричного двустороннего процесса, патогномоничных изменений вертлужной впадины и головок бедренных костей и нетипичной для болезни Легга – Кальве – Пертеса клинической картины у пациента был заподозрен мукополисахаридоз. При биохимической диагностике отмечено снижение активности бета-D-галактозидазы. Были также обнаружены компаунд-гетерозиготные варианты в гене бета-D-галактозидазы (GLB1): патогенный вариант с.808T>G, унаследованный от отца, и инсерция мобильного генетического элемента, унаследованная от матери. У брата 2009 года рождения выявлен только один вариант в гене GLB1, у старшего брата, 2003 года рождения, вышеуказанные варианты в гене GLB1 отсутствовали. Пробанд с клинической картиной мукополисахаридоза IVВ и его брат 2009 года рождения (без мукополисахаридоза IVB) унаследовали патогенные варианты c.6992T>C (p.Val2331Ala) и c.805C>T (p.Arg269Trp) в гене CDH23 от матери и отца соответственно, что согласуется с существующей у них нейросенсорной тугоухостью IV степени.
Заключение. Уникальность данного клинического случая заключается в наличии у пациента редкого IVB типа мукополисахаридоза и не ассоциированной с ним нейросенсорной тугоухости IV степени. Диагноз мукополисахаридоза IVВ типа у пробанда подтвержден биохимическими и молекулярно-генетическими методами, а диагноз «нейросенсорная глухота, ассоциированная с геном CDH23» у пробанда и брата 2009 года рождения — молекулярно-генетическим методом.
Полный текст
ОБОСНОВАНИЕ
Мукополисахаридозы (МПС) относятся к лизосомным болезням накопления. В настоящее время известно семь типов МПС, обусловленных дефицитом одного из одиннадцати ферментов, участвующих в деградации гликозаминогликанов.
- МПС I типа связан с дефицитом альфа-L-идуронидазы. Подразделяют на подтипы — синдром Гурлер, Гурлер – Шейе и Шейе, не отличающиеся столь выраженной клинической картиной [1].
- МПС II типа (синдром Хантера) вызван дефицитом идуронат-2-сульфатазы [2].
- МПС III типа (синдром Санфилиппо) подразделяют на подтипы: подтип А развивается при дефиците гепаран-N-сульфатазы; подтип В — при дефиците альфа-N-ацетилглюкозаминидазы; подтип С — при дефиците ацетил-КоА-альфа-глюкозаминидацетилтрансферазы; подтип D — при дефиците N-ацетилглюкозамин-6-сульфатазы [3].
- МПС IV типа (синдром Моркио) подразделяют на подтипы: подтип А вызван дефицитом N-ацетилгалактозамин-6-сульфат-сульфатазы; подтип В — дефицитом бета-галактозидазы [4].
- МПС VI типа (синдром Марото – Лами) связан с дефицитом арилсульфатазы В [5].
- МПС VII типа (синдром Слая) развивается при дефиците глюкуронидазы [1].
- МПС IX типа возникает при дефиците гиалуронидазы [6].
Все типы МПС характеризуются прогрессирующими изменениями костно-суставной системы. Патогенез заключается в избыточном накоплении недеградированных гликозаминогликанов, что приводит к активации провоспалительных цитокинов, апоптозу хондроцитов, вторичной гиперплазии синовиальной оболочки суставов [7–9]. Данные метаболические и воспалительные изменения проявляются типичной клинико-рентгенологической картиной [10].
Рентгенологическая картина при МПС представлена множественным дизостозом, характеризующимся аномалией формирования костно-суставной системы с течением времени. Наблюдаются макроцефалия, расширение ключиц, «весловидная» деформация ребер, гипоплазия зубовидного отростка II шейного позвонка, атланто-аксиальная нестабильность, вентральная деформация позвонков с формированием поясничного кифоза, анизоспондилия (неравномерность высоты позвонков в краниокаудальном направлении), уплощение эпифизов, расширение метафизарных зон, ацетабулярная дисплазия, недостаточная оссификация края вертлужной впадины и головок бедренных костей, изменение пропорций между шириной крыльев и тела подвздошных костей («симптом Микки-Мауса»), вальгусная деформация шеек бедренных костей [11].
К ортопедическим проявлениям МПС также относятся стеноз шейного и грудопоясничного отделов позвоночника, прогрессирующий сколиоз, множественные контрактуры, подвывихи и вывихи в суставах, аксиальные деформации конечностей, карпальный туннельный синдром [12].
МПС IVВ встречается редко. Более 95 % выявляемых случаев МПС IV типа относятся к подтипу А [13]. Возможно, это обусловлено наличием более «мягких» фенотипических форм МПС IV типа и сложностью их клинической диагностики [14].
В статье представлены результаты диагностики пациента с редкой формой МПС IVB типа и нейросенсорной глухотой, патогенетически не связанной с болезнью накопления.
КЛИНИЧЕСКОЕ НАБЛЮДЕНИЕ
Пациент К., 9лет.
Жалобы: на прием к ортопеду обратились родители с ребенком 2011 года рождения (9 лет на момент первого обращения) с жалобами на боль в области правого тазобедренного сустава и нарушение походки, которые появились около недели назад, травмы отрицал. Ранее ребенку поставлен диагноз «нейросенсорная тугоухость IV степени», кохлеарный имплантат установлен в 8 мес.
Анамнез жизни: акушерско-гинекологический анамнез не осложнен (роды третьи, срочные). Психомоторное развитие по возрасту. У пациента есть два старших брата: 2009 и 2003 года рождения. У брата 2009 года рождения диагностирована нейросенсорная тугоухость IV степени, кохлеарный имплантат установлен в 2011 г. В анамнезе у среднего брата отсутствовали жалобы на нарушение походки и боль. Были исключены мутации в гене GJB2, служащие наиболее частой причиной наследственной тугоухости. У старшего брат, 2003 года рождения, со стороны органа слуха и опорно-двигательного аппарата жалоб нет, хронические заболевания отсутствуют. Родословная семьи представлена на рис. 1 (ребенок 2011 года рождения отмечен в родословной как пробанд).
Рис. 1. Родословная семьи пробанда. I поколение: белый квадрат — отец; белый круг — мать; II поколение: квадрат 1 — старший брат 2003 года рождения без тугоухости; квадрат 2 — старший брат 2009 года рождения с тугоухостью; квадрат 3 с черной стрелкой — исследуемый пациент с тугоухостью (пробанд). МПС — мукополисахаридоз
При осмотре: ребенок нормостенического телосложения, повышенного питания. Обращает на себя внимание наличие кохлеарного имплантата справа. Выраженного лицевого дисморфизма не отмечается.
Походка щадящая, прихрамывает на правую нижнюю конечность, ротируя ее кнаружи. При осмотре признаков воспалительных изменений нет. В связи с болевым синдромом ограничена амплитуда движений в правом тазобедренном суставе: сгибание — справа 100°/слева 120°, разгибание — справа 0–5°/слева 5–10°, отведение — справа 20°/слева 50°, приведение — справа 15°/слева 25°, внутренняя ротация — справа 0°/слева 10° и наружная ротация — справа 40°/слева 50°. Интенсивность болевого синдрома соответствует 7 из 10 баллов согласно визуальной аналоговой шкале. Предположительно установлен диагноз болезни Легга – Кальве – Пертеса.
Из анамнеза известно, что нарушение походки появилось в 6 лет 10 мес. после острой респираторной вирусной инфекции. Жалоб на боли не было. К моменту обращения походка визуально ухудшилась и появилась боль в области правого тазобедренного сустава, по поводу чего обратились к ортопеду.
Диагностика: на обзорной рентгенограмме костей таза определяется двусторонняя дисплазия вертлужных впадин, деформированные головки бедренных костей. По данным исследования получено заключение: двусторонняя болезнь Легга – Кальве – Пертеса.
Ребенок заочно консультирован сотрудниками НМИЦ детской травматологии и ортопедии имени Г.И. Турнера, ввиду симметричности поражения и нетипичной клинической картины для болезни Легга – Кальве – Пертеса предположен диагноз МПС. Рекомендовано выполнение рентгенографии позвоночника в боковой проекции, кистей и коленных суставов в прямой проекции.
На боковой рентгенограмме в грудопоясничном отделе позвоночника отмечаются изменения формы тел позвонков по типу языковидной деформации, анизоспондилия, «весловидная» деформация ребер; в шейном отделе — гипоплазия зубовидного отростка II шейного позвонка, атланто-аксиальная нестабильность, деформация вентральных отделов шейных позвонков (рис. 2).
Рис. 2. Рентгенограммы шейного и грудного отдела позвоночника: а — белые стрелки — расширение межреберных промежутков, «весловидная» деформация ребер, деформация вентральных отделов позвонков; голубая пунктирная линия — анизоспондилия — неравномерность высоты позвонков в краниокаудальном направлении; б — белая линия — гипоплазия зубовидного отростка II шейного позвонка, черные стрелки — признаки атланто-аксиальной нестабильности, белые стрелки — деформация вентральных отделов шейных позвонков
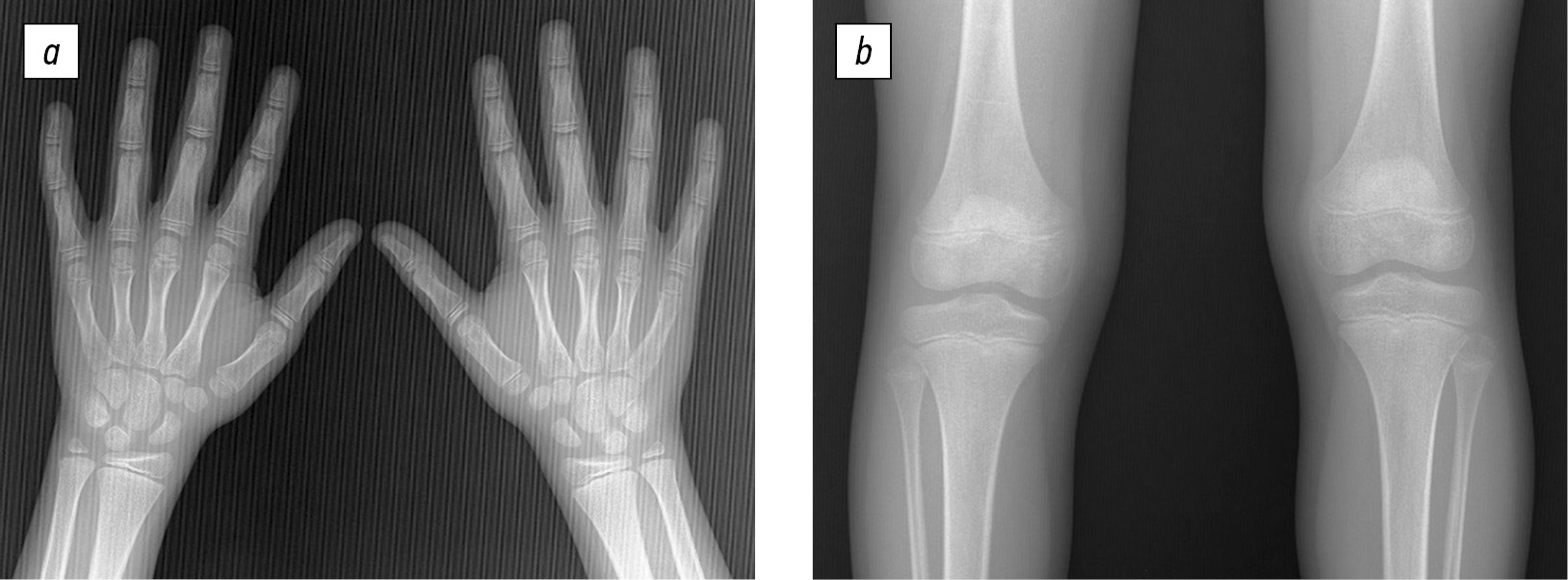
Рентгенограммы кистей и коленных суставов без значимых изменений (рис. 3).
Рис. 3. Рентгенограммы кистей и коленных суставов в прямой проекции
В то же время на рентгенограмме тазобедренных суставов обращают на себя внимание типичные признаки, обозначенные на рис. 4.
Рис. 4. Рентгенограмма тазобедренных суставов в прямой проекции: уплощение и нарушение оссификации эпифизов (голубая стрелка), расширение метафизарных зон, ацетабулярная дисплазия (угол голубого цвета), недостаточная оссификация края вертлужной впадины и головок бедренной кости (красная стрелка), изменение пропорций между шириной крыльев и тела подвздошных костей («симптом Микки-Мауса») (черные стрелки), вальгусная деформация шеек бедренных костей (красная линия), прерывистость линии Шентона (желтые линии)
В связи с наблюдаемой клинико-рентгенологической картиной была проведена ферментная диагностика (скрининг на лизосомные болезни накопления) в Медико-генетическом научном центре имени академика Н.П. Бочкова (Москва), по результатам которой обнаружено снижение активности фермента бета-D-галактозидазы, что служит биохимическим маркером МПС IVВ типа. По результатам повторного тестирования также зафиксировано снижение активности бета-D-галактозидазы. У братьев пробанда данных за снижение активности лизосомальных ферментов не получено (табл.).
Таблица. Результаты исследования активности фермента бета-D-галактозидазы
Пациент | Активность фермента | Референсное значение бета-D-галактозидазы | |
09.11.2020 | 24.02.2021 | ||
Пробанд 2011 года рождения | 0,72 | 0,4 | 2–30 нМ/мл в час |
Брат 2009 года рождения | 3,43 | Не проводилось | |
Брат 2003 года рождения | 5,57 | Не проводилось | |
В связи со снижением активности фермента бета-D-галактозидазы пробанду выполнен полный анализ гена GLB1 (NM_000404.3) методом прямого автоматического секвенирования, а также в рамках секвенирования экзома. В обоих случаях в экзоне 8 гена GLB1 выявлен лишь один патогенный вариант c.808T>G (p.Tyr270Asp) в гетерозиготном состоянии, что, учитывая аутосомно-рецессивный тип наследования МПС IVB, недостаточно для установления молекулярно-генетического диагноза. Для поиска второго патогенного варианта в гене проведено секвенирование генома, а также выполнен анализ гена GLB1 на уровне мРНК. По результатам анализа секвенирования генома в гене GLB1, помимо варианта c.808T>G (p.Tyr270Asp) в гетерозиготном состоянии, были получены данные в пользу инсерции мобильного генетического элемента из класса ретротранспозонов. При последующем функциональном анализе установили, что инсерция приводит к нарушению сплайсинга гена GLB1 и является вероятно патогенным вариантом [15]. Методом прямого автоматического секвенирования валидированы выявленные варианты у пробанда и его родственников. Оказалось, что родители, а также брат (2009 года рождения) пробанда — гетерозиготные носители обнаруженных вариантов (см. рис. 1), а у пробанда данные варианты присутствуют в компаунд-гетерозиготном состоянии.
Таким образом, диагноз МПС IVВ типа у пробанда подтвержден биохимическими и молекулярно-генетическими методами.
Поскольку у пробанда и его брата (2009 года рождения) существует нейросенсорная тугоухость IV степени, но у брата МПС IVВ исключен на основании результатов биохимического и молекулярно-генетического исследования, выполнен дополнительный анализ данных секвенирования экзома с целью выявления редких вариантов в генах, ассоциированных с изолированной потерей слуха.
Было обнаружено два редких не описанных ранее в литературе варианта в гене CDH23 (NM_022124.6). Первый вариант c.6992T>C (p.Val2331Ala) отсутствует в популяционных базах данных, находится в высококонсервативной позиции и по классификации ACMG расценивается лабораторией, проводившей исследование, как вариант неопределенного значения. Второй вариант c.805C>T (p.Arg269Trp) встречается в базах данных с очень низкой частотой и расценивается как вариант неопределенного значения. Патогенные варианты в гене CDH23 могут находиться в гомозиготном и компаунд-гетерозиготном состоянии у пациентов с аутосомно-рецессивной глухотой 12-го типа, а также у пациентов с синдромом Ушера 1D типа. В то же время у обследуемого пациента отсутствовал пигментный ретинит, свойственный синдрому Ушера, а была доречевая тугоухость тяжелой степени, что подтверждало диагноз.
При валидации данных вариантов методом прямого автоматического секвенирования установлено, что у пробанда и его брата (2009 года рождения) данные варианты присутствуют в компаунд-гетерозиготном состоянии, а у родителей — в гетерозиготном. Получив дополнительные критерии патогенности для данных вариантов, мы смогли классифицировать их согласно ACMG как вероятно патогенные и установить молекулярно-генетический диагноз «аутосомно-рецессивная глухота 12-го типа, ассоциированная с геном CDH23».
Таким образом, детальные молекулярно-генетическое, клиническое, рентгенологическое и биохимическое исследования позволили диагностировать два редких генетических заболеваний — МПС IVВ типа и нейросенсорную глухоту, ассоциированную с геном CDH23.
ОБСУЖДЕНИЕ
Мукополисахаридозы — группа редких заболеваний, относящихся к лизосомным болезням накопления. Первый случай МПС описал Чарлз Хантер в 1917 г. [16].
Эпидемиология МПС демонстрирует расовые и этнические особенности в отношении преобладания того или иного типа в популяции [17]. Так, в исследовании, проведенном с 1984 по 2004 г. в Тайване, суммарная заболеваемость МПС составила 2,04 на 100 тыс. живорожденных. При этом МПС II типа встречался в 52 % случаев, МПС I типа — в 6,0 %, МПС III типа — в 19,0 %, МПС IV типа — в 16 %, МПС VI — в 7,0 %. В китайском исследовании 2006–2012 гг. МПС II типа также оказался самым распространенным — 47,4 % случаев. Затем следовали МПС IVA (26,8 %) и МПС I типа (16,3 %) [18, 19]. В то же время согласно американскому исследованию 1995–2005 гг. на долю МПС I типа приходится 31,7 % случаев, МПС II типа — 28,3 %, МПС III типа — 24,2 %, МПС IV типа — 7,5 %, МПС VI типа — 4,2 % [20]. В канадском исследовании (1969–1996) доля МПС I типа составила 30 %, МПС IV типа — 20 %, МПС VI типа — 15 %, МПС III типа — 15 % и МПС II типа — 5 % [21].
Довольно часто различные типы МПС ассоциированы с нейросенсорной и кондуктивной тугоухостью. Так, для МПС I типа характерно снижение слуха у 76,2–100 % пациентов [22]. Прогрессирующая нейросенсорная и смешанная тугоухость описана у 67,3–94,0 % пациентов с МПС II типа [23]. Проведено довольно мало исследований в отношении исследования слуха у пациентов с МПС III типа (A, B, C, D). Это обусловлено сложностью аудиологического скрининга у данной категории пациентов в связи с выраженными когнитивными нарушениями [24]. Степень тугоухости коррелирует с подтипом заболевания: при МПС IIID снижение слуха зарегистрировано у 25 % пациентов, а при подтипе В — у 100 % [25, 26]. При МПС IV типа снижение слуха ассоциировано с подтипом А (67,0–94,0 % пациентов) [27–29]. Для пациентов с МПС VI типа характерно наличие кондуктивной тугоухости в связи с рецидивирующими острыми отитами [30]. В одном из исследований, в которое вошли 56 пациентов с МПС VII типа, нейросенсорная тугоухость обнаружена в 41 % случаев [31]. На данный момент описано лишь 4 пациента с МПС IX типа, ни у одного из них тугоухости отмечено не было [6, 32].
Уникальность данного клинического случая состоит в наличии у пациента нейросенсорной тугоухости IV степени вне связи с лизосомными болезнями накопления. Согласно данным литературы для МПС IVB типа не установлено связи с тугоухостью, что позволило заподозрить иную причину потери слуха у описанного нами пациента, а также предположить, что у брата пробанда также существует нейросенсорная тугоухость IV степени, но при этом нет клинических и лабораторных данных МПС.
В нашем случае патогенный вариант с.808T>G в гене GLB1 получен от отца, а инсерция в том же гене унаследована от матери, то есть у пробанда эти варианты выявлены в компаунд-гетерозиготном состоянии, что определило клиническую картину МПС IVB типа. Вместе с тем в отношении тугоухости обнаружено, что пробанд и его брат (2009 года рождения) унаследовали оба варианта — c.6992T>C (p.Val2331Ala) и c.805C>T (p.Arg269Trp) от матери и отца соответственно, что согласуется с наблюдающейся клинической картиной.
Дифференциальную диагностику в первую очередь проводили с двусторонней формой болезни Легга – Кальве – Пертеса. Симметричный двусторонний процесс, патогномоничные изменения вертлужной впадины и головок бедренных костей [ацетабулярная дисплазия, недостаточная оссификация края вертлужной впадины и головок бедренных костей, изменение пропорций между шириной крыльев и тела подвздошных костей («симптом Микки-Мауса»), вальгусная деформация шеек бедренных костей], нетипичная для болезни Легга – Кальве – Пертеса клиническая картина позволили заподозрить у пациента МПС [33].
ЗАКЛЮЧЕНИЕ
Своевременная диагностика лизосомных болезней накопления, в том числе МПС, необходима для ранней ферментной заместительной терапии, которая на данном этапе существует для МПС I, II, IVA, VI, VII типов. На ранней стадии заболевания применяют также трансплантацию гемопоэтических стволовых клеток (МПС I, II, VI, VII типов).
Такие ортопедические проявления, как множественные лигаментиты суставов кисти, контрактуры суставов, патогномоничные изменения эпифизов, нетипичная форма двусторонней болезни Легга – Кальве – Пертеса, должны насторожить в отношении МПС.
Определение активности ферментов в пятнах высушенной крови — наиболее простой, малоинвазивный метод диагностики данных заболеваний, не требующий специальной подготовки как пациента, так и медицинского персонала.
ДОПОЛНИТЕЛЬНАЯ ИНФОРМАЦИЯ
Источник финансирования. Авторы заявляют об отсутствии финансирования при проведении исследования.
Конфликт интересов. Авторы декларируют отсутствие явных и потенциальных конфликтов интересов, связанных с публикацией настоящей статьи.
Этическая экспертиза. У родителей пробанда было получено письменное информированное согласие на проведение молекулярно-генетического тестирования образцов крови и на анонимную публикацию результатов исследования.
Вклад авторов. В.М. Кенис — клиническая диагностика, редактирование текста статьи. Л.В. Горобец, А.Ю. Димитриева — клиническая диагностика, анализ литературы, написание текста статьи. А.А. Жмурова-Кривенцова — написание текста статьи. И.О. Бычков — молекулярно-генетический, функциональный анализ, редактирование текста статьи. Г.В. Байдакова, Е.Ю. Захарова — биохимический анализ, редактирование текста статьи. Т.В. Маркова — редактирование текста статьи.
Все авторы внесли существенный вклад в проведение исследования и подготовку статьи, прочли и одобрили финальную версию перед публикацией.
Об авторах
Владимир Маркович Кенис
Национальный медицинский исследовательский центр детской травматологии и ортопедии им. Г.И. Турнера
Email: kenis@mail.ru
ORCID iD: 0000-0002-7651-8485
SPIN-код: 5597-8832
Scopus Author ID: 36191914200
ResearcherId: K-8112-2013
д-р мед. наук, профессор
Россия, Санкт-ПетербургЛеонид Владимирович Горобец
Клинико-диагностический центр «Здоровое детство»
Email: gorobetsleonid@gmail.com
ORCID iD: 0000-0001-9424-3713
врач — травматолог-ортопед
Россия, Ростов-на-ДонуАлёна Юрьевна Димитриева
Национальный медицинский исследовательский центр детской травматологии и ортопедии им. Г.И. Турнера
Автор, ответственный за переписку.
Email: aloyna17@mail.ru
ORCID iD: 0000-0002-3610-7788
SPIN-код: 7112-8638
Scopus Author ID: 57194179597
ResearcherId: AGO-2659-2022
канд. мед. наук
Россия, Санкт-ПетербургАлиса Анатольевна Жмурова-Кривенцова
ООО «Умка Фэмили»
Email: alice.kriventsova@gmail.com
ORCID iD: 0000-0002-8257-2680
врач-невролог
Россия, Ростов-на-ДонуИгорь Олегович Бычков
Медико-генетический научный центр им. академика Н.П. Бочкова
Email: bychkov.nbo@gmail.com
ORCID iD: 0000-0002-6594-6126
Scopus Author ID: 57201638845
ResearcherId: J-6421-2018
канд. мед. наук
Россия, МоскваГалина Викторовна Байдакова
Медико-генетический научный центр им. академика Н.П. Бочкова
Email: labnbo@yandex.ru
ORCID iD: 0000-0001-8806-5287
Scopus Author ID: 25622266400
канд. биол. наук
Россия, МоскваТатьяна Владимировна Маркова
Медико-генетический научный центр им. академика Н.П. Бочкова
Email: markova@med-gen.ru
ORCID iD: 0000-0002-2672-6294
SPIN-код: 4707-9184
Scopus Author ID: 57204436561
ResearcherId: AAJ-8352-2021
канд. мед. наук
Россия, МоскваЕкатерина Юрьевна Захарова
Медико-генетический научный центр им. академика Н.П. Бочкова
Email: doctor.zakharova@gmail.com
ORCID iD: 0000-0002-5020-1180
SPIN-код: 7296-6097
Scopus Author ID: 7102655877
ResearcherId: K-3413-2018
д-р мед. наук, профессор
Россия, МоскваСписок литературы
- Wraith J.E., Rogers J.G., Danks D.M. The mucopolysaccharidoses // J. Paediatr. Child. Health. 1987. Vol. 23. P. 329–334. doi: 10.1111/j.1440-1754.1987.tb00284.x
- Demydchuk M., Hill C.H., Zhou A. et al. Insights into Hunter syndrome from the structure of iduronate-2-sulfatase // Nat. Commun. 2017. Vol. 8. No. 1. doi: 10.1038/ncomms15786
- Andrade F., Aldámiz-Echevarría L., Llarena M., Couce M.L. Sanfilippo syndrome: Overall review // Pediatr. Int. 2015. Vol. 57. No. 3. P. 331–338. doi: 10.1111/ped.12636
- Shimada T., Tomatsu S., Mason R.W. et al. Di-sulfated keratan sulfate as a novel biomarker for mucopolysaccharidosis II, IVA, and IVB // JIMD Reports. 2014. Vol. 21. P. 1–13. doi: 10.1007/8904_2014_330
- Tomanin R., Karageorgos L., Zanetti A. et al. Mucopolysaccharidosis type VI (MPS VI) and molecular analysis: Review and classification of published variants in the ARSB gene // Hum. Mutat. 2018. Vol. 39. No. 12. P. 1788–1802. doi: 10.1002/humu.23613
- Natowicz M.R., Short M.P., Wang Y. et al. Clinical and biochemical manifestations of hyaluronidase deficiency // N. Engl. J. Med. 1996. Vol. 335. No. 14. P. 1029–1033. doi: 10.1056/nejm199610033351405
- Simonaro C.M., Haskins M.E., Schuchman E.H. Articular chondrocytes from animals with a dermatan sulfate storage disease undergo a high rate of apoptosis and release nitric oxide and inflammatory cytokines: A possible mechanism underlying degenerative joint disease in the mucopolysaccharidoses // Lab. Invest. 2001. Vol. 81. No. 9. P. 1319–1328. doi: 10.1038/labinvest.3780345
- Wang J.Y., Roehrl M.H. Glycosaminoglycans are a potential cause of rheumatoid arthritis // Proc. Natl. Acad. Sci. USA. 2002. Vol. 99. No. 22. P. 14362–13367. doi: 10.1073/pnas.222536599
- Simonaro C.M., D’Angelo M., He X. et al. Mechanism of glycosaminoglycan-mediated bone and joint disease // Am. J. Pathol. 2008. Vol. 172. No. 1. P. 112–122. doi: 10.2353/ajpath.2008.070564
- Opoka-Winiarska V., Jurecka A., Emeryk A., Tylki-Szymańska A. Osteoimmunology in mucopolysaccharidoses type I, II, VI and VII. Immunological regulation of the osteoarticular system in the course of metabolic inflammation // Osteoarthritis Cartilage. 2013. Vol. 21. No. 12. P. 1813–1823. doi: 10.1016/j.joca.2013.08.001
- White K.K. Orthopaedic aspects of mucopolysaccharidoses // Rheumatol. 2011. Vol. 50. Suppl. 5. P. v26–v33. doi: 10.1093/rheumatology/ker393
- Borgo A., Cossio A., Gallone D. et al. Orthopaedic challenges for mucopolysaccharidoses // Ital. J. Pediatr. 2018. Vol. 44. No. S2. doi: 10.1186/s13052-018-0557-y
- Tomatsu S., Montaño A.M., Nishioka T., Orii T. Mucopolysaccharidosis IV (Morquio Syndrome) // Lysosomal Storage Disorders. 2007. P. 433–445. doi: 10.1007/978-0-387-70909-3_27
- Arbisser A.I., Donnelly K.A., Scott C.I. et al. Morquio-like syndrome with beta galactosidase deficiency and normal hexosamine sulfatase activity: Mucopolysaccharidosis IVB // Am. J. Med. Genet. 1977. Vol. 1. No. 2. P. 195–205. doi: 10.1002/ajmg.1320010205
- Bychkov I., Kuznetsova A., Baydakova G. et al. Processed pseudogene insertion in GLB1 causes Morquio B disease by altering intronic splicing regulatory landscape // NPJ Genom. Med. [in print].
- Hunter C. A rare disease in two brothers // Proc. R. Soc. Med. 1917. Vol. 10. (Study_Dis_Child). P. 104–116. doi: 10.1177/003591571701001833
- Zhou J., Lin J., Leung W.T., Wang L. A basic understanding of mucopolysaccharidosis: Incidence, clinical features, diagnosis, and management // Intractable & Rare Diseases Research. 2020. Vol. 9. No. 1. P. 1–9. doi: 10.5582/irdr.2020.01011
- Lin H.-Y., Lin S.-P., Chuang C.-K. et al. Incidence of the mucopolysaccharidoses in Taiwan, 1984-2004 // Am. J. Med. Genet. A. 2009. Vol. 149A. No. 5. P. 960–964. doi: 10.1002/ajmg.a.32781
- Chen X., Qiu W., Ye J. et al. Demographic characteristics and distribution of lysosomal storage disorder subtypes in Eastern China // J. Hum. Genet. 2016. Vol. 61. No. 4. P. 345–349. doi: 10.1038/jhg.2015.155
- Puckett Y., Bui E., Zelicoff A., Montano A. Epidemiology of mucopolysaccharidoses (MPS) in the United States: challenges and opportunities // Mol. Genet. Metab. 2017. Vol. 120. No. 1−2. P. S111. doi: 10.1016/j.ymgme.2016.11.285
- Lowry R.B., Applegarth D.A., Toone J.R. et al. An update on the frequency of mucopolysaccharide syndromes in British Columbia // Hum. Genet. 1990. Vol. 85. No. 3. doi: 10.1007/bf00206770
- Silveira M., Buriti A., Martins A. et al. Audiometric evaluation in individuals with mucopolysaccharidosis // Clinics. 2018. Vol. 73. doi: 10.6061/clinics/2018/e523
- Keilmann A., Nakarat T., Bruce I.A. et al. Hearing loss in patients with mucopolysaccharidosis II: Data from HOS – the Hunter Outcome Survey // J. Inherit. Metab. Dis. 2011. Vol. 35. No. 2. P. 343–353. doi: 10.1007/s10545-011-9378-5
- Valstar M.J., Bertoli-Avella A.M., Wessels M.W. et al. Mucopolysaccharidosis type IIID: 12 new patients and 15 novel mutations // Hum. Mutat. 2010. Vol. 31. No. 5. P. е1348−1360. doi: 10.1002/humu.21234
- Jansen A.C.M., Cao H., Kaplan P., et al. Sanfilippo syndrome type D // Archiv. Neurology. 2007. Vol. 64. No. 11. P. 1629. doi: 10.1001/archneur.64.11.1629
- Zafeiriou D.I., Savvopoulou-Augoustidou P.A., Sewell A. et al. Serial magnetic resonance imaging findings in mucopolysaccharidosis IIIB (Sanfilippo’s syndrome B) // Brain Dev. 2001. Vol. 23. P. 385–389. doi: 10.1016/s0387-7604(01)00242-x
- Lin H.-Y., Shih S.-C., Chuang C.-K. et al. Assessment of hearing loss by pure-tone audiometry in patients with mucopolysaccharidoses // Mol. Genet. Metab. 2014. Vol. 111. No. 4. P. 533–538. doi: 10.1016/j.ymgme.2014.02.003
- Nagao K., Morlet T., Haley E. et al. Neurophysiology of hearing in patients with mucopolysaccharidosis type IV // Mol. Genet. Metab. 2018. Vol. 123. No. 4. P. 472–478. doi: 10.1016/j.ymgme.2018.02.002
- Riedner E.D., Levin L.S. Hearing patterns in Morquio’s syndrome (mucopolysaccharidosis IV) // Arch. Otolaryngol. 1977. Vol. 103. P. 518–520. doi: 10.1001/archotol.1977.00780260048003
- Akyol M.U., Alden T.D., Amartino H. et al. Recommendations for the management of MPS VI: systematic evidence- and consensus-based guidance // Orphan. J. Rare Dis. 2019. Vol. 14. No. 1. doi: 10.1186/s13023-019-1080-y
- Montaño A.M., Lock-Hock N., Steiner R.D. et al. Clinical course of sly syndrome (mucopolysaccharidosis type VII) // BMJ. 2016. Vol. 53. No. 6. P. 403–418. doi: 10.1136/jmedgenet-2015-103322
- Imundo L., LeDuc C.A., Guha S. et al. A complete deficiency of Hyaluronoglucosaminidase 1 (HYAL1) presenting as familial juvenile idiopathic arthritis // J. Inherit. Metab. Dis. 2011. Vol. 34. No. 5. P. 1013–1022. doi: 10.1007/s10545-011-9343-3
- Van den Eeden Y.N.T., Unter Ecker N., Kleinertz H. et al. Total hip arthroplasty in a patient with mucopolysaccharidosis type IVB // Case Rep. Orthop. 2021. Vol. 2021. P. 1–8. doi: 10.1155/2021/5584408
Дополнительные файлы








