Does the timing of surgery affect outcomes of Gartland type III supracondylar fractures in children?
- Authors: Shon H.1, Kim J.2, Shin H.3, Kim E.3, Park S.3, Park J.3, Song S.3, Park J.3
-
Affiliations:
- College of Medicine, Chungbuk National University
- Haeundae Paik Hospital, Inje University, College of Medicine
- Kangbuk Samsung Hospital, Sungkyunkwan University School of Medicine
- Issue: Vol 7, No 2 (2019)
- Pages: 25-32
- Section: Original Study Article
- Submitted: 27.03.2019
- Accepted: 16.04.2019
- Published: 01.07.2019
- URL: https://journals.eco-vector.com/turner/article/view/11505
- DOI: https://doi.org/10.17816/PTORS7225-32
- ID: 11505
Cite item
Abstract
Background. Gartland type III supracondylar fractures in children are treated as emergency. But there are few studies about surgical timing and clinical outcomes.
Aim. To evaluate whether the time interval from injury to surgical treatment affects the treatment outcomes of Gartland type III supracondylar fractures in children.
Methods. The study population comprised all children presenting to our hospital between April 2003 and December 2013, who had Gartland type III supracondylar humerus fracture. Patients were divided into three groups: those who were treated within less than six hours from injury, those who were treated between six and twelve hours, and those who were treated between twelve and twenty four hours after injury. In this retrospective study, we checked whether the timing of surgery affected clinical outcomes such as bone union, range of motion, peri-operative complications, and operation time.
Results. All patients were treated with closed reduction and percutaneous pin fixation within 24 hours. This study showed a trend that the delay in the timing of surgery after traumatic injury increases operation time, however with no statistical differences. The neurological complications were similar in the three groups. There were 11 cases (14.7%) of preoperative neurologic deficit, however every patient recovered postoperatively. There was no difference between the three groups in terms of clinical outcomes such as range of motion of the elbow and bone union.
Conclusion. For Gartland III pediatric supracondylar humerus fractures, operation can be delayed for up to 24 hours, which may allow time for operation during regular hours, rather than late at night, with thorough evaluation of circulation, nerve injury, and swelling.
Keywords
Full Text
Background
Pediatric supracondylar humerus fractures account for about 50–70% of pediatric elbow fractures. Pediatric supracondylar humerus fractures occur mostly from ages 5 to 7 [1, 2]. The fracture occur when bending force or extension force applies to the distal humerus; Over-extended force is applied to the rear distal bone of humerus, resulting in displacement of fracture site. These mechanisms account for more than 95% of the fracture [3].
Gartland classification [4] is most commonly used for pediatric supracondylar humerus fractures, which divides fractures into three types depending on the presence of cortical damage on the sagittal plane and potential extent. Type II–III fractures usually require closed reduction and pin fixation while long arm splints are mostly applied as conservative treatment to type I fractures [5].
Fracture complications are neurovascular damage, restricted range of motion, and joint stiffness as well as varus and valgus deformity [6, 7]. Type III Gartland fractures are treated as emergency for immediate closed reduction [7]. However, pediatric supracondylar humerus fractures are often delayed until midnight due to elective surgeries, other emergency surgeries, or not enough NPO (nothing by mouth) time.
According to recent studies [8, 9], there are controversies on operation timing for pediatric supracondylar humerus fractures. We hypothesized that the pediatric supracondylar humerus fractures operation can be delayed for up to 24 hours after injury with no significant difference in clinical outcomes when patients do not have neurovascular injury, which may allow operations during regular hours, instead of emergency operation at night, with thorough evaluation on circulation, nerve injury, and swelling, thus leading to far better results.
This study aims to evaluate whether surgical timing affects clinical outcomes for pediatric type III Gartland distal humeral fractures.
Materials and methods
We conducted a retrospective study. The medical records of patients who presented supracondylar humerus fractures and were surgically treated, between April 2004 and December 2013, were extracted from our institutionally approved, single-center, orthopedic database. The inclusion criteria were skeletally immature patients with Gartland type III supracondylar humerus fractures. The exclusion criteria included patients who were transferred to our hospital after failure of conservative treatment, Gartland type I, II fractures, open fractures, pathological fractures, and less than 1 year follow-up after surgery. 97 patients presenting supracondylar humerus fractures were identified, and 75 patients, 49 males and 26 females, were enrolled in the study after applying these criteria. The mean age of the participants was 6.0 years (range, 2–11 years).
The surgery was performed by a single surgeon. General anesthesia was used for all cases. Tourniquet was not used in any case. Surgical procedure included closed reduction and percutaneous pin fixation under general anesthesia. If the closed reduction failed or reduction state was not satisfactory, additional reduction was achieved by joystick maneuver using 2.4 mm K-wire (Fig. 1). After reduction, 1.4 mm or 1.6 mm K-wires were used to fix fractures. At postoperative 3 weeks, radiographs were evaluated and the timings for pin removal and cast removal were decided according to the status of fracture healing. After removal of the pin and cast, patients started daily activities and tolerable exercise without passive physical therapy. Follow-up radiography was performed at 6 weeks, 3, 6, and 12 months.
Fig. 1. Reduction technique (joystick maneuver) using 2.4 mm K-wire
The clinical course was reviewed: time from injury to surgery, operation time, range of motion of the elbow, and complications such as infection and deformity. Time from injury to surgery was reported by adult guardian. Operation time was defined as the time from the beginning to the end of surgery excluding the time related to preparation for surgery and anesthesia. Range of motion of the elbow was measured during the 1 year follow-up period.
Radiological findings were independently evaluated by two experienced orthopedic surgeons, with confirmation of findings by consensus. As the reduction standard for pediatric supracondylar humerus fractures, Baumann angle, the angle of the longitudinal line of humerus and the humerus growth plate, was calculated on the anteroposterior radiograph by using the method of Williamson et al. [10]. Baumann angle’s reference value is 73 ± 6°. The value was measured by antero-posterior follow-up radiographs one year after the surgery. Radiologic union time was measured, and criteria for radiographic union were based on the formation of callus in at least 3 cortex.
The patients were divided into 3 groups based on the time from injury to surgery: within 6 hours, between 6 and 12 hours, and between 12 and 24 hours after injury. We compared differences of clinical outcomes including operation time, Baumann angle, range of motion of the elbow, and radiologic union time between 3 groups.
The three groups were compared based on the average and standard deviation results using analysis of variance (ANOVA). Pearson correlation analysis was performed to determine the relationship between the injury to surgery time and clinical outcomes. All statistical analyses were performed using PASW Statistics version 18.0 (IBM Corp., Armonk, NY, US). A p-value < 0.05 was considered statistically significant. This study was reviewed and approved by the Institutional Review Board (IRB No. KBSMC2018-03-002).
Results
43 cases were on the left side and 32 cases were on the right side. Injuries were from falling (from a bed or sofa, 43 cases), slipping (21 cases), bicycle accidents (7 cases), and trampoline accidents (4 cases). 27 cases occurred in the playground, and 19 cases in the house.
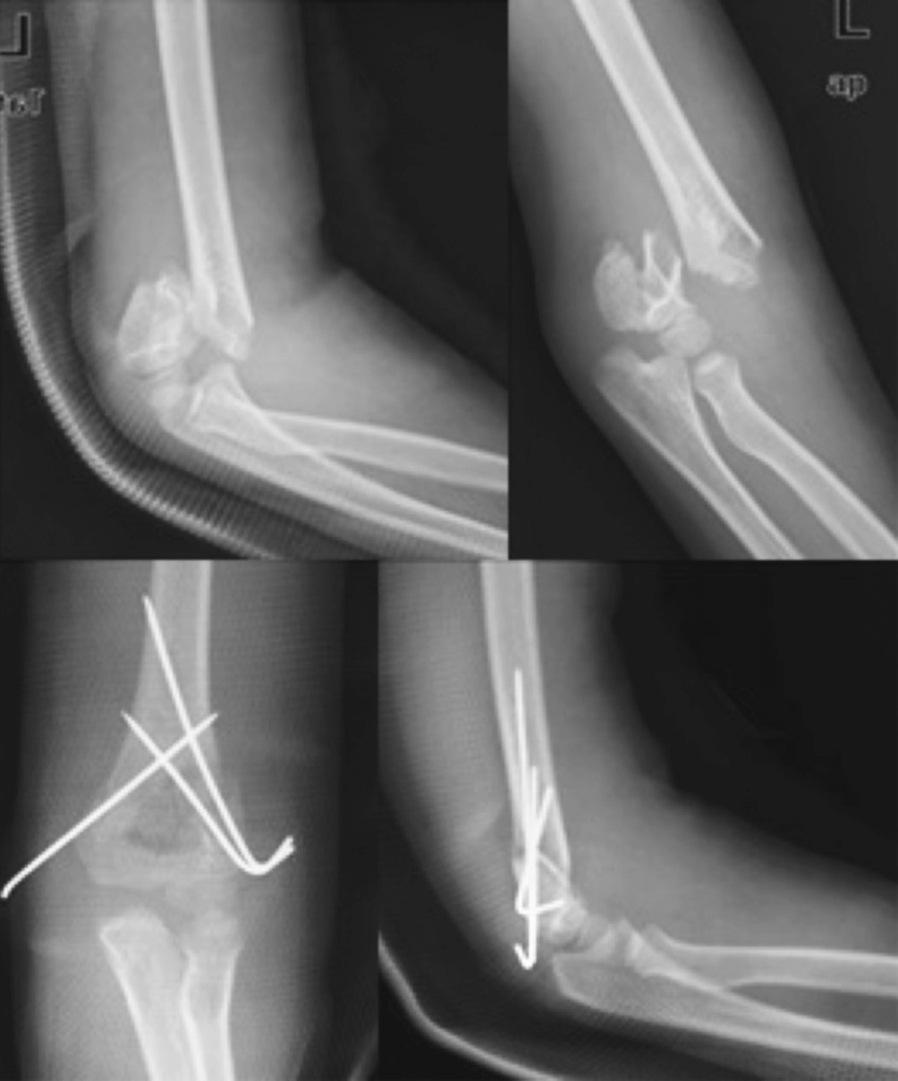
A total of 29 cases were injured before 4 PM while a total of 45 were injured after 4 PM. There was only one case of injury between midnight and early morning (Fig. 2). There were 11 cases of nerve injury: 4 cases of radial nerve, 4 cases of median nerve, and 3 cases of anterior interosseous nerve. All nerve injuries recovered at the final follow up. The average of total operation time was about 40 ± 17 minutes. Fixation of two at the lateral side and one at the medial was performed in 58 cases (Fig. 3). All patients had bone union without secondary intervention with no complications such as infection or deformity.
Fig. 2. Distribution of injury time
Fig. 3. Postoperative radiographs showing well fixed supracondylar fracture with K-wires
All patients underwent surgery within 24 hours of injury: 18 cases within 6 hours after injury (group I), 30 cases between 6 and 12 hours (group II), and 27 cases between 12 and 24 hours after injury (group III). The average operation time was 39.4 ± 11 minutes, 39.3 ± 13 minutes, and 41.1 ± 16 minutes in group I, II, and III, respectively. Although there is a trend that the delay in the timing of operation after injury increases the operating time, there was no statistically significant difference in operating times among the three groups (p > 0.05) (Table 1). Pearson correlation analysis revealed that operating time was not correlated with the time from injury to operation (p = 0.997). Average Baumann angle was 72.4 ± 2.2°, 71.9 ± 2.0°, 72.4 ± 2.0° in group I, II, and III, respectively, and there was no difference between 3 groups (p > 0.05). The average radiologic bone union time was 6.6 weeks in group I, 6.5 weeks in group II, and 6.74 weeks in group III, showing no difference among the three groups.
Table 1
Clinical outcomes
Indicators | Group I (n = 18) | Group II (n = 30) | Group III (n = 27) | n |
Operation time (minutes) | 39.4 (±11.1) | 39.3 (±13.5) | 41.1 (±16.2) | 0.868 |
ROM (°) | 129.4 (±1.1) | 128.6 (±1.4) | 129.3 (±1.4) | 0.545 |
Bauman angle (°) | 72.4 (±2.2) | 71.9 (±2.0) | 72.4 (±2.0) | 0.606 |
Union (weeks) | 6.6 (±0.9) | 6.5 (±0.8) | 6.7 (±0.9) | 0.340 |
Discussion
Pediatric supracondylar humerus fractures are the most common fractures. They account for about 50–70% of all pediatric elbow fractures. Among fractures of children under 7 years old, supracondylar humerus fractures account for 30% [1, 2, 11–13]. Gartland classification is most commonly used, which divides fractures into three types depending on cortical breakage and the degree of translocation in sagittal image. Another classification by Wilkins which is based on the direction of translocation has been added to this classification [14]. Mubarak and Davids have sub-divided type I fracture into Ia (with no dislocation) and Ib (with insertion of medial cortex and hyper-extension deformity). Recently, Leitch has introduced type IV [15] fractures with multi-directional instability, which, however, has yet to be generally accepted.
Treatments may be divided according to the types of fractures. For Gartland type I supracondylar humerus fractures, splint or traction is applied. For displaced fractures in Gartland type II or III, closed reduction and pin fixation are usually used.
Closed reduction is known to have better prognosis than open reduction [16–18]. For the fixation, though nailing and external fixation are sometimes used, percutaneous K-wire fixation is mostly used [19, 20]. If closed reduction fails or reduction state is unsatisfactory, reduction by S-pin or mosquito with 3–5 mm incision can be tried. Suh et al. [21] have reported good prognosis of reduction using operator’s thumb with minimal incision on the anterior side. Parmaksizolgu et al. have introduced reduction using a joystick following K-wire fixation [22]. In this study, closed reduction was difficult in only one case, for which percutaneous reduction with 2.4 mm K-wire was performed. All groups showed good prognosis.
There are debates about complications [23–31] and safety in choosing fixation method and the number of pins [32–34]. A pin with a large diameter could cause ulnar nerve injury and pin site infection. However, Srikumaran et al. have reported that there is no relationship between the diameter of pin and complications [35]. In general, 1.4 or 1.6 mm K-wire is used. We used lateral pin with additional medial pin fixation. Biomechanically, fixation with both medial and lateral pins is more stable in rotational force than one with only medial pins. However, using both medial and lateral pins can increase iatrogenic ulnar nerve injury, therefore one should be careful when using medial fixation [36, 37]. In this study, closed reduction and percutaneous pin fixation were performed under general anesthesia in all patients. Double fixation at lateral side and one fixation at medial side with 1.4 mm or 1.6 mm K-wire were performed for most patients.
According to a study, when fractures are surgically treated by untrained surgeons, various complications could occur in approximately 17% of cases [38]. These complications may include neurovascular injury, infection, Volkmann’s ischemic contracture, varus deformity, joint contracture, and myositis ossificans. Many treatments have been tried to minimalize complications [5], among which varus deformity is the most common complication. It is not caused by growth disorder after injury, but by incorrect reduction or loss of reduction [39–42]. Most varus deformities are combined with coronal tilting, medial rotational deformity, and extension deformity. They cannot be improved nor heal spontaneously. Though most problems are related appearance, muscular weakness or lateral condylar fracture can happen as well. If extension deformity is not corrected, flexion and hyper-extension could continue to be limited. In order to minimize the occurrence of varus deformity after surgery, fixation after firm and correct reduction should be kept until bone union. In this study, the average Baumann angles measured in the last one-year follow-up period were 72.4 ± 2.2° in group I, 71.8 ± 2.0° in group II, and 72.4 ± 2.0° in group III, which were well maintained in all three groups without varus deformity which could require corrective osteotomy. Range of elbow motion measured in the last one-year follow-up period was within normal range (group I, 129.4 ± 1.1°; group II, 128.6 ± 1.4°; group III, 129.3 ± 1.4°). There was no significant (p > 0.05) difference in range of elbow motion among groups.
Babal et al. [36] have performed a meta-analysis with pediatric supracondylar fracture patients, and found that in extension type, neurologic injuries occur in about 12.7% of cases while flexion type neurologic injuries occur in about 16.6% of cases. In extension type, anterior interosseous nerve injury is the most common. In flexion type, ulnar nerve injury is the most common. In this study, nerve injury occurred in 11 cases, all of which recovered without sequelae.
In recent studies, non-open type III Gartland fracture without neurovascular injury has shown good prognosis when treated through elective operation instead of emergency [43]. Carmichel et al. [43] have mentioned that most cases of supracondylar fracture of the humerus do not need emergency operation. Some retrospective studies have revealed there was no difference in clinical outcomes between emergency operation and operation after 12 hours from injury [8, 9]. However, Ramachandran et al. [44] have reported that, the incidence of compartment syndrome in cases operated after 22 hours from traumatic injuries is significantly higher compared to the incidence in cases operated within 22 hours of trauma. According to a study of patients with only Gartland type III fractures, poor prognosis has been found in cases operated after 12 hours from injury [45]. Walmsley et al. [46] have reported that cases treated after 8 hours from injury showed a significant increase in the chance of having open reduction. Yildirim et al. [47] reported that, after treating 190 cases of type III Gartland supracondylar fractures, patients who were operated after 32 hours from injury had a significantly increased chance of needing open reduction and longer operation time than those treated within 32 hours of injury. Also, the delay in the timing of operation after injury significantly increased operation time [47]. In other words, early operation after injury shows shorter operation time and easier treatment. In this study, though there is a trend that the delay in the timing of operation after injury increases the length of surgical procedure, there was no statistical difference in operation time if operation was performed within 24 hours of injury.
One of the limitations of this study was that all cases were treated within 24 hours from injury with closed reduction and pin fixation. Therefore, we did not evaluate complications following operation performed 24 hours after injury. Another limitation would be that this study was a retrospective study with relatively small patient numbers, therefore additional large-scale, prospective studies will be required to supplement our results.
However, this study has significance in that the relationship between the timing of operation after injury and clinical results was investigated. As shown in this study, most injuries tend to occur in the afternoon, and when the injuries were treated within 24 hours, no statistically significant difference was found in the relationship between the timing of operation after injury and the duration of surgical procedure. Considering a majority of injuries tend to occur in the afternoon, surgical treatments are likely to be performed late at night or at dawn due to NPO. Unless there are issues, such as neurovascular symptoms, requiring immediate attention and emergency operation, performing surgical treatment of injuries during regular hours instead of late at night or at dawn should be positively considered so long as it is done within 24 hours of injury.
Conclusion
In Gartland type III supracondylar humeral fracture without neurovascular injury, no correlation between the timing of operation after injury and clinical outcomes was found when surgery was performed within 24 hours of injury. We, therefore, conclusively suggest and recommend surgery be performed during regular hours within 24 hours of injury with thorough and necessary examinations including evaluation of circulation, nerve injury, and swelling.
Additional information
Source of financing. The study had no funding.
Conflict of interests. Authors declare no explicit and potential conflicts of interests associated with the publication of this article.
Ethical review. Parents of all patients voluntarily signed an informed consent to participate in the study and to publish personal data.
Contribution of the authors
H.-C. Shon performed surgical treatment of the patients, formulated the aim, design, and conclusions.
J.H. Park, J.W. Kim, H.-K. Shin, E. Kim, S.-J. Park were engaged in literature review, data collection and analysis, article design.
J.K. Park, S. Song were involved in data analysis, design consultancy, literature review.
About the authors
Hyun-Chul Shon
College of Medicine, Chungbuk National University
Email: hyunchuls@chungbuk.ac.kr
MD, PhD, Professor, Department of Orthopaedic Surgery
Korea, Republic of, CheongjuJi Wan Kim
Haeundae Paik Hospital, Inje University, College of Medicine
Email: bakpaker@hanmail.net
MD, PhD, Professor, Department of Orthopaedic Surgery
Korea, Republic of, BusanHun-Kyu Shin
Kangbuk Samsung Hospital, Sungkyunkwan University School of Medicine
Email: coolhkshin@naver.com
MD, PhD, Professor, Department of Orthopedic Surgery
Korea, Republic of, SeoulEugene Kim
Kangbuk Samsung Hospital, Sungkyunkwan University School of Medicine
Email: eugeneos@naver.com
MD, PhD, Professor, Department of Orthopedic Surgery
Korea, Republic of, SeoulSe-Jin Park
Kangbuk Samsung Hospital, Sungkyunkwan University School of Medicine
Email: qortn97@naver.com
MD, PhD, Professor, Department of Orthopedic Surgery
Korea, Republic of, SeoulJong Kuen Park
Kangbuk Samsung Hospital, Sungkyunkwan University School of Medicine
Email: kingkingpjk@naver.com
MD, Department of Orthopedic Surgery
Korea, Republic of, SeoulSeungcheol Song
Kangbuk Samsung Hospital, Sungkyunkwan University School of Medicine
Email: s3g1s3g1@gmail.com
ORCID iD: 0000-0002-1841-6683
MD, Department of Orthopedic Surgery
Korea, Republic of, SeoulJai Hyung Park
Kangbuk Samsung Hospital, Sungkyunkwan University School of Medicine
Author for correspondence.
Email: wonnypia@hanmail.net
ORCID iD: 0000-0001-9735-4291
MD, PhD, Professor, Department of Orthopedic Surgery
Korea, Republic of, SeoulReferences
- Scherl SA, Schmidt AH. Pediatric trauma: getting through the night. Instr Course Lect. 2010;59:455-463.
- Cheng JC, Shen WY. Limb fracture pattern in different pediatric age groups: a study of 3,350 children. J Orthop Trauma. 1993;7(1):15-22.
- John AH. Tachdjian’s pediatric orthopaedics. 4th ed. Philadelphia: Saunders; 2008.
- Gartland JJ. Management of supracondylar fractures of the humerus in children. Surg Gynecol Obstet. 1959;109(2):145-154.
- Omid R, Choi PD, Skaggs DL. Supracondylar humeral fractures in children. J Bone Joint Surg Am. 2008;90(5):1121-1132. https://doi.org/10.2106/JBJS.G.01354.
- Henderson ER, Egol KA, van Bosse HJ, et al. Calculation of rotational deformity in pediatric supracondylar humerus fractures. Skeletal Radiol. 2007;36(3):229-235. https://doi.org/10.1007/s00256-006-0211-4.
- Cheng JC, Lam TP, Shen WY. Closed reduction and percutaneous pinning for type III displaced supracondylar fractures of the humerus in children. J Orthop Trauma. 1995;9(6):511-515.
- Gupta N, Kay RM, Leitch K, et al. Effect of surgical delay on perioperative complications and need for open reduction in supracondylar humerus fractures in children. J Pediatr Orthop. 2004:245-248. https://doi.org/10.1097/00004694-200405000-00001.
- Leet AI, Frisancho J, Ebramzadeh E. Delayed treatment of type 3 supracondylar humerus fractures in children. J Pediatr Orthop. 2002;22(2):203-207. https://doi.org/10.1097/00004694-200203000-00014.
- Williamson DM, Coates CJ, Miller RK, Cole WG. Normal characteristics of the Baumann (humerocapitellar) angle: an aid in assessment of supracondylar fractures. J Pediatr Orthop. 1992;12(5):636-639.
- de las Heras J, Duran D, de la Cerda J, et al. Supracondylar fractures of the humerus in children. Clin Orthop Relat Res. 2005;(432):57-64. https://doi.org/10.1097/01.blo.0000155373.03565.78.
- Farnsworth CL, Silva PD, Mubarak SJ. Etiology of supracondylar humerus fractures. J Pediatr Orthop. 1998;18(1):38-42. https://doi.org/10.1097/00004694-199801000-00008.
- Hanlon CR, Estes WL. Fractures in childhood — A statistical analysis. Am J Surg. 1954;87(3):312-323. https://doi.org/10.1016/s0002-9610(54)90128-2.
- Wilkins KE. Fractures and dislocations of the elbow region. In: Fractures in Children. Ed. by C.A. Rockwood, K.E. Wilkins, R.E. King. Philadelphia: JP Lippincott; 1984. P. 363-575.
- Leitch KK, Kay RM, Femino JD, et al. Treatment of multidirectionally unstable supracondylar humeral fractures in children. A modified Gartland type-IV fracture. J Bone Joint Surg Am. 2006;88(5):980-985. https://doi.org/10.2106/JBJS.D.02956.
- Aktekin CN, Toprak A, Ozturk AM, et al. Open reduction via posterior triceps sparing approach in comparison with closed treatment of posteromedial displaced Gartland type III supracondylar humerus fractures. J Pediatr Orthop B. 2008;17(4):171-178. https://doi.org/10.1097/BPB.0b013e3283046530.
- Kazimoglu C, Cetin M, Sener M, et al. Operative management of type III extension supracondylar fractures in children. Int Orthop. 2009;33(4):1089-1094. https://doi.org/10.1007/s00264-008-0605-0.
- Turhan E, Aksoy C, Ege A, et al. Sagittal plane analysis of the open and closed methods in children with displaced supracondylar fractures of the humerus (a radiological study). Arch Orthop Trauma Surg. 2008;128(7):739-744. https://doi.org/10.1007/s00402-007-0523-4.
- Lacher M, Schaeffer K, Boehm R, Dietz HG. The treatment of supracondylar humeral fractures with elastic stable intramedullary nailing (ESIN) in children. J Pediatr Orthop. 2011;31(1):33-38. https://doi.org/10.1097/BPO.0b013e3181ff64c0.
- Slongo T, Schmid T, Wilkins K, Joeris A. Lateral external fixation – a new surgical technique for displaced unreducible supracondylar humeral fractures in children. J Bone Joint Surg Am. 2008;90(8):1690-1697. https://doi.org/10.2106/JBJS.G.00528.
- Suh SW, Oh CW, Shingade VU, et al. Minimally invasive surgical techniques for irreducible supracondylar fractures of the humerus in children. Acta Orthop. 2005;76(6):862-866. https://doi.org/10.1080/17453670510045507.
- Parmaksizoglu AS, Ozkaya U, Bilgili F, et al. Closed reduction of the pediatric supracondylar humerus fractures: the “joystick” method. Arch Orthop Trauma Surg. 2009;129(9):1225-1231. https://doi.org/10.1007/s00402-008-0790-8.
- France J, Strong M. Deformity and function in supracondylar fractures of the humerus in children variously treated by closed reduction and splinting, traction, and percutaneous pinning. J Pediatr Orthop. 1992;12(4):494-498.
- Topping RE, Blanco JS, Davis TJ. Clinical evaluation of crossed-pin versus lateral-pin fixation in displaced supracondylar humerus fractures. J Pediatr Orthop. 1995;15(4):435-439.
- Skaggs DL, Hale JM, Bassett J, et al. Operative treatment of supracondylar fractures of the humerus in children. The consequences of pin placement. J Bone Joint Surg Am. 2001;83(5):735-740.
- Skaggs DL, Cluck MW, Mostofi A, et al. Lateral-entry pin fixation in the management of supracondylar fractures in children. J Bone Joint Surg Am. 2004;86(4):702-707.
- Zionts LE, McKellop HA, Hathaway R. Torsional strength of pin configurations used to fix supracondylar fractures of the humerus in children. J Bone Joint Surg Am. 1994;76(2):253-256. https://doi.org/10.2106/00004623-199402000-00013.
- Onwuanyi ON, Nwobi DG. Evaluation of the stability of pin configuration in K-wire fixation of displaced supracondylar fractures in children. Int Surg. 1998;83(3):271-274.
- Davis RT, Gorczyca JT, Pugh K. Supracondylar humerus fractures in children. Comparison of operative treatment methods. Clin Orthop Relat Res. 2000(376):49-55.
- Lee SS, Mahar AT, Miesen D, et al. Displaced pediatric supracondylar humerus fractures: biomechanical analysis of percutaneous pinning techniques. J Pediatr Orthop. 2002;22(4):440-443. https://doi.org/10.1097/00004694-200207000-00005.
- Green DW, Widmann RF, Frank JS, Gardner MJ. Low incidence of ulnar nerve injury with crossed pin placement for pediatric supracondylar humerus fractures using a mini-open technique. J Orthop Trauma. 2005;19(3):158-163. https://doi.org/10.1097/00005131-200503000-00002.
- Gordon JE, Patton CM, Luhmann SJ, et al. Fracture stability after pinning of displaced supracondylar distal humerus fractures in children. J Pediatr Orthop. 2001;21(3):313-318. https://doi.org/10.1097/00004694-200105000-00010.
- Zenios M, Ramachandran M, Milne B, et al. Intraoperative stability testing of lateral-entry pin fixation of pediatric supracondylar humeral fractures. J Pediatr Orthop. 2007;27(6):695-702. https://doi.org/10.1097/BPO.0b013e318142566f.
- Sankar WN, Hebela NM, Skaggs DL, Flynn JM. Loss of pin fixation in displaced supracondylar humeral fractures in children: causes and prevention. J Bone Joint Surg Am. 2007;89(4):713-717. https://doi.org/10.2106/JBJS.F.00076.
- Srikumaran U, Tan EW, Erkula G, et al. Pin size influences sagittal alignment in percutaneously pinned pediatric supracondylar humerus fractures. J Pediatr Orthop. 2010;30(8):792-798. https://doi.org/10.1097/BPO.0b013e3181f6d3af.
- Babal JC, Mehlman CT, Klein G. Nerve injuries associated with pediatric supracondylar humeral fractures: a meta-analysis. J Pediatr Orthop. 2010;30(3):253-263. https://doi.org/10.1097/BPO.0b013e3181d213a6.
- Slobogean BL, Jackman H, Tennant S, et al. Iatrogenic ulnar nerve injury after the surgical treatment of displaced supracondylar fractures of the humerus: number needed to harm, a systematic review. J Pediatr Orthop. 2010;30(5):430-436. https://doi.org/10.1097/BPO.0b013e3181e00c0d.
- Padman M, Warwick AM, Fernandes JA, et al. Closed reduction and stabilization of supracondylar fractures of the humerus in children: the crucial factor of surgical experience. J Pediatr Orthop B. 2010;19(4):298-303. https://doi.org/10.1097/BPB.0b013e328333ab18.
- McKee M. Progressive cubitus varus due to a bony physeal bar in a four year old girl following supracondylar fracture: A case report. J Orthop Trauma. 2006;20(5):372. https://doi.org/10.1097/00005131-200605000-00014.
- Theruvil B, Kapoor V, Fairhurst J, Taylor GR. Progressive cubitus varus due to a bony physeal bar in a 4-year-old girl following a supracondylar fracture. J Orthop Trauma. 2005;19(9):669-672. https://doi.org/10.1097/01.bot.0000153447.83199.d2.
- Flynn JC, Matthews JG, Benoit RL. Blind pinning of displaced supracondylar fractures of the humerus in children. Sixteen years’ experience with long-term follow-up. J Bone Joint Surg Am. 1974;56(2):263-272.
- Smith L. Deformity following supracondylar fractures of the humerus. J Bone Joint Surg Am. 1965;47(8):1668.
- Carmichael KD, Joyner K. Quality of reduction versus timing of surgical intervention for pediatric supracondylar humerus fractures. Orthopedics. 2006;29(7):628-632. https://doi.org/10.3928/01477447-20060701-13.
- Ramachandran M, Skaggs DL, Crawford HA, et al. Delaying treatment of supracondylar fractures in children: has the pendulum swung too far? J Bone Joint Surg Br. 2008;90(9):1228-1233. https://doi.org/10.1302/0301-620X.90B9.20728.
- Loizou CL, Simillis C, Hutchinson JR. A systematic review of early versus delayed treatment for type III supracondylar humeral fractures in children. Injury. 2009;40(3):245-248. https://doi.org/10.1016/j.injury.2008.07.031.
- Walmsley PJ, Kelly MB, Robb JE, et al. Delay increases the need for open reduction of type-III supracondylar fractures of the humerus. J Bone Joint Surg Br. 2006;88(4):528-530. https://doi.org/10.1302/0301-620X.88B4.17491.
- Yildirim AO, Unal VS, Oken OF, et al. Timing of surgical treatment for type III supracondylar humerus fractures in pediatric patients. J Child Orthop. 2009;3(4):265-269. https://doi.org/10.1007/s11832-009-0189-2.
Supplementary files







