小儿重度特发性脊柱后凸侧弯的手术矫正研究
- 作者: Vissarionov S.V.1,2, Filippova A.N.1, Kokushin D.N.1, Murashko V.V.1, Belyanchikov S.M.1, Khusainov N.O.1
-
隶属关系:
- The Turner Scientific Research Institute for Children’s Orthopedics
- Mechnikov North-Western State Medical University
- 期: 卷 7, 编号 3 (2019)
- 页面: 5-14
- 栏目: Original Study Article
- ##submission.dateSubmitted##: 09.04.2019
- ##submission.dateAccepted##: 19.06.2019
- ##submission.datePublished##: 02.10.2019
- URL: https://journals.eco-vector.com/turner/article/view/11679
- DOI: https://doi.org/10.17816/PTORS735-14
- ID: 11679
如何引用文章
详细
背景:经椎弓根金属混合结构的应用,已取得显著效果。但在重度特发性脊柱侧弯手术过程中,这些脊柱系统的植入有诸多限制。外科治疗策略考虑的不仅仅是术中矫正操作的表现,还有主要畸形椎弓顶部的活动度。松动性椎间盘切除术一般用于特发性脊柱侧弯患者顶椎。经椎弓根截骨术、Ponte截骨术、Smith-Petersen截骨术最常用于治疗神经肌肉性脊柱侧弯和以脊柱后凸为主的脊柱畸形。但对于小儿“被忽视”的脊柱疾病和特发性脊柱侧弯,手术矫正依然存在问题。
目的:本研究旨在对小儿极重度特发性右侧胸椎侧弯的两种脊柱畸形矫正方法进行对比分析,即单用经椎弓根脊柱系统和联用顶椎楔形截骨术。
材料和方法:对20例15至17岁极重度特发性右侧胸椎后凸侧弯患儿的手术治疗结果进行分析。所有患者接受了标准术前检查,包括放射学检查、计算机断层扫描、核磁共振成像和神经生物学检查。根据手术第二阶段采用的方法,将患者分为两组;在手术第二阶段,(1)单用经椎弓根系统或(2)联合顶椎楔形截骨术来矫正畸形。
结果和讨论:第一组患者脊柱侧弯和脊柱后凸的矫正水平分别为25%至62%、21%至56%。对于术中联合顶椎楔形截骨术的第二组患者,脊柱侧弯和脊柱后凸的矫正水平分别为36%至74%、50%至70%。
结论:对于特发性胸椎后凸侧弯患儿而言,顶椎楔形椎体次全切是另外一种有效的松动术,能够明显矫正脊柱侧弯和脊柱后凸,在术中可以恢复脊柱的生理学功能和躯体平衡,在长期观察期内也能维持理想的效果。
全文:
引言
研究指出,脊柱侧弯弯曲(包括婴幼儿和青少年特发性脊柱侧弯)在脊柱畸形病例中的占比高达80%[1]。最常见的特发性脊柱侧弯是右侧胸椎畸形。在患儿的生长发育过程中,该部位进行性弯曲通常造成重度僵硬性畸形,对于外科治疗来说是需要解决的一
大难题。罹患特发性脊柱侧弯类疾病的
患儿,不仅脊柱侧弯非常明显,脊柱后凸也十分显著。目前,对于极重度特发性晚期脊柱侧弯患儿进行脊柱畸形矫正,依然是一项重大而急迫的问题,需要进一步探讨。
经Cobb法测定对主要侧弯椎弓尺寸进行定量评估,从而形成“重度晚期特发性脊柱侧弯”这一概念。英语文献指出,主要畸形椎弓范围为70°至90°时,视为“重度”
脊柱侧弯[2, 3]。俄语文献指出,经Cobb法测定,弯曲椎弓大于90°时,则视为重度
(或晚期)特发性脊柱侧弯;经Cobb法
测定,弯曲椎弓超过120°时,则视为
“超重度”脊柱侧弯[4]。
多年以来,通过现代经椎弓根混合外科器械治疗小儿重度脊椎畸形,取得了巨大成功。比如,采用混合脊柱系统治疗小儿特发性脊柱侧弯,尤其是主要畸形椎弓尺寸矫正,已帮助该类患者改善了治疗效果[5, 6]。但在重度畸形患者治疗后的长期随访期内,经常发生内置外科器械断裂(根据
俄语文献[7],2.8%至18%),还有脊柱系统骨块不完整的报道,由此可在术后二至五年内失去矫正效果[8]。该类并发症通常需要再行手术,以固定外科器械或促进另一
块骨块的形成。
弯曲类型相似且畸形僵硬度明显的
患者,即使在脊柱前后侧采用了多种松
动术,依然无法达到理想的弯曲矫正
效果。术中采用的间接扭转法仅能轻微改善脊柱侧弯恶化,无法改善脊柱后凸。
目前,尚无研究对接受直接或间接扭转法的特发性脊柱侧弯患者的脊柱畸形矫正效果进行比较评价。
近年来,随着外科器械(结合使用经椎弓根螺钉)的大力推广,小儿特发性脊柱侧弯的脊柱畸形矫正值也有所改善。
众多研究者认为,运用这些脊柱系统后,患儿主要畸形椎弓(102-136°)平均矫正值达到57%[9, 10]。但对于重度和极重度特发性脊柱侧弯患者,外科手术本身具有很多局限性。首先,将脊柱系统支撑构件置入椎体主要畸形椎弓根顶部对应的椎
体内,尤其是弯曲凹侧,在技术上较为
复杂,难以操作,阻碍手术取得成功。
此外,将经椎弓根螺钉正确置入后,手术过程中积极的畸形矫正措施会造成椎骨支撑结构断裂,产生神经系统障碍风险,
为其发作创造条件[10]。
对于僵硬性畸形的患者,外科治疗时,不仅要确保操作正确,还要保证主要畸形椎弓顶部具有最大程度的活动度,否则无法取得良好的疗效。俄罗斯研究者和国外同行针对不同患者采用了多种脊柱松动术,并联合松动性前侧椎间盘切除术、经椎弓根截
骨术(PSO)、Ponte截骨术、Smith-Petersen截骨术(SPO)等等。多种截骨术更常用于神经肌肉性脊柱侧弯和以脊柱后凸为主的脊柱畸形。重度特发性脊柱侧弯患儿接受脊柱畸形矫正时,专科医生一般会在主要畸形椎弓顶部行松动性椎间盘切除术,
进行颅骨-股骨或胫骨牵引。在牵引术结束后10天至12天内,采用多支撑性经椎弓根系统进行背侧矫正,从而完成
治疗。但这种方法不一定能达到理想的矫正水平,对于明显脊柱后凸的患者尤其
如此[10, 11]。
本研究旨在对小儿极重度特发性右侧胸椎侧弯的脊柱畸形矫正方法进行对比分析,即单用经椎弓根脊柱系统和联合顶椎楔形切除术。
材料和方法
本研究对20例15至17岁LenkeⅠ型极重度特发性右侧胸椎后凸侧弯患儿的手术治疗效果进行对比分析。女18例,男2例。所有患者手术前接受了标准检查,包括放射学
检查(X线检查和计算机断层扫描)、核磁
共振成像、神经生物学检查。经Cobb法
测定,主要侧弯椎弓值为120°至148°,
而主要后凸椎弓值为90°至120°。行脊柱功能性X线检查时发现,畸形僵硬度明显,主要畸形椎弓尺寸缩小幅度未超过初始
值的10%。
根据脊柱畸形手术第二(最后)阶段
采用的技术,将患者分为两组,每组10人。
在第一阶段,两组患者都接受了主要畸形椎弓腹侧松动术,以右侧开胸
入路(即肋骨头部切除,在第三或第四胸椎行椎间盘切除术,松动前纵
韧带),在同一水平联合融合术。椎间盘切除数量取决于主要侧弯椎弓的尺寸以及性质(即倾斜程度较大还是较小)、可见椎间盘程度、完全抵达椎间盘的难易程度和切除操作本身。行颅骨胫骨牵引,完成
手术。术后10至12天内,行牵引术,随着
时间的推移逐渐增加负重。在最后
(第二)阶段,第一组(n = 10)全部矫正成功,在三维计算机断层扫描引导下,
通过经椎弓根支撑构件由背侧入路植入多支撑性外科器械系统。无法置入经椎弓根螺钉(由于椎弓底较小)时,在置入了器械的上方椎骨平面安装一颗偏心椎弓
板钩。第二组(n = 10)接受了顶椎楔形切除术,底面朝向主要椎弓凸面,由背侧
入路,保留上终板和下终板,在装置引导下和术中神经生物学控制下通过多支撑性经椎弓根脊柱系统矫正脊柱畸形。
矫正时,保留的顶椎终板发生闭合。长期随访3至7年不等(平均5.2年)。术后第一
年内,每六个月接受一次X线检查,之后一年一次。
运用在线医学统计计算器对所获数据进行统计处理。数据处理方法包括计算指标差值算术平均值(Мd)、指标差值均方差(σd)、置信区间(μ)。
为评估两组的相关程度,计算皮尔逊相关系数(r)。使用配对t检验,比较变
化数列。
结果
在第一组患者中,脊柱侧弯矫正值
为26%至62%,而脊柱后凸矫正值为
20%至56%(表1)。在长期随访期内,评估外科器械断裂和不牢固问题后发现,手术矫正效果依然持续。此外,手术后无患者罹患神经系统障碍。
表1 第一组手术前后脊柱后凸侧弯Cobb法测定指标
№ | 年龄 | 脊柱侧弯值 (°) | 脊柱侧弯矫正值 | 脊柱后凸值 (°) | 脊柱后凸矫正值 | ||||
术前 | 术后 | n (°) | 相对水平 | 术前 | 术后 | n (°) | 相对水平 | ||
1 | 15 | 130 | 76 | 54 | 42 | 104 | 60 | 44 | 42 |
2 | 15 | 148 | 110 | 38 | 26 | 107 | 86 | 21 | 20 |
3 | 17 | 130 | 58 | 72 | 55 | 120 | 92 | 28 | 23 |
4 | 16 | 123 | 47 | 65 | 53 | 90 | 40 | 50 | 56 |
5 | 15 | 128 | 58 | 70 | 55 | 100 | 58 | 42 | 42 |
6 | 17 | 136 | 60 | 76 | 56 | 120 | 90 | 30 | 25 |
7 | 17 | 132 | 62 | 70 | 53 | 118 | 88 | 30 | 25 |
8 | 16 | 120 | 46 | 74 | 62 | 96 | 50 | 46 | 48 |
9 | 15 | 140 | 98 | 42 | 30 | 116 | 82 | 34 | 29 |
10 | 16 | 130 | 62 | 68 | 52 | 110 | 80 | 30 | 27 |
M ± | 131,70 ± 8,084 | 67,700 ± 21,050 | 108,10 ± 10,567 | 73,400 ± 19,323 | |||||
σ | 9,11 | 23,4 | 10,29 | 18,81 | |||||
脊柱侧弯的相关系数(r)为0.906
(提示结合强度极高),相关性具有统计学意义,p = 0.000507 (р < 0.005)。
脊柱后凸的相关系数(r)为0.949
(提示结合强度极高),相关性具有统计学意义,p = 0.000062 (р < 0.005)。
第二组患者在手术中还接受了顶椎楔形切除术,其脊柱侧弯矫正值为36%至74%,而脊柱后凸矫正值为
50%至74%(表2)。该组1例患者术后罹患神经系统障碍,表现为急性尿潴留,药物治疗和物理治疗后完全消退。该组术后长期随访期内未见外科器械断裂或不牢固,
也没有失去手术达到的畸形矫正效果。根据整体情况,在术后第6天至第9天对两组患者施行
矫正术。
表2 第二组手术前后脊柱后凸侧弯Cobb法测定指标
№ | 年龄 | 脊柱侧弯值 (°) | 脊柱侧弯矫正值 | 脊柱后凸值 (°)
| 脊柱后凸矫正值 | ||||
术前 | 术后 | n (°) | 相对水平 | 术前 | 术后 | n (°) | 相对水平 | ||
1 | 15 | 128 | 36 | 92 | 72 | 96 | 30 | 66 | 69 |
2 | 15 | 130 | 70 | 60 | 46 | 112 | 40 | 72 | 64 |
3 | 16 | 136 | 82 | 54 | 66 | 118 | 42 | 76 | 64 |
4 | 17 | 146 | 94 | 52 | 36 | 120 | 60 | 60 | 50 |
5 | 17 | 138 | 86 | 52 | 38 | 110 | 40 | 70 | 64 |
6 | 16 | 128 | 38 | 90 | 70 | 116 | 42 | 74 | 64 |
7 | 16 | 130 | 64 | 66 | 51 | 100 | 36 | 74 | 74 |
8 | 15 | 142 | 90 | 52 | 37 | 116 | 40 | 76 | 66 |
9 | 17 | 126 | 33 | 93 | 74 | 100 | 38 | 62 | 62 |
10 | 16 | 134 | 74 | 60 | 45 | 110 | 36 | 74 | 67 |
M ± | 133,80 ± 6,630 | 66,700 ± 23,257 | 109,80 ± 8,404 | 40,400 ± 7,763 | |||||
σ | 6,69 | 23,26 | 9,12 | 10,18 | |||||
脊柱侧弯的相关系数(r)为0.897
(提示结合强度较高),相关性具有统计学意义,p = 0.000696 (р < 0.005)。
脊柱后凸的相关系数(r)为0.730
(提示结合强度较高),相关性具有统计学意义,p = 0.019283 (р < 0.005)。
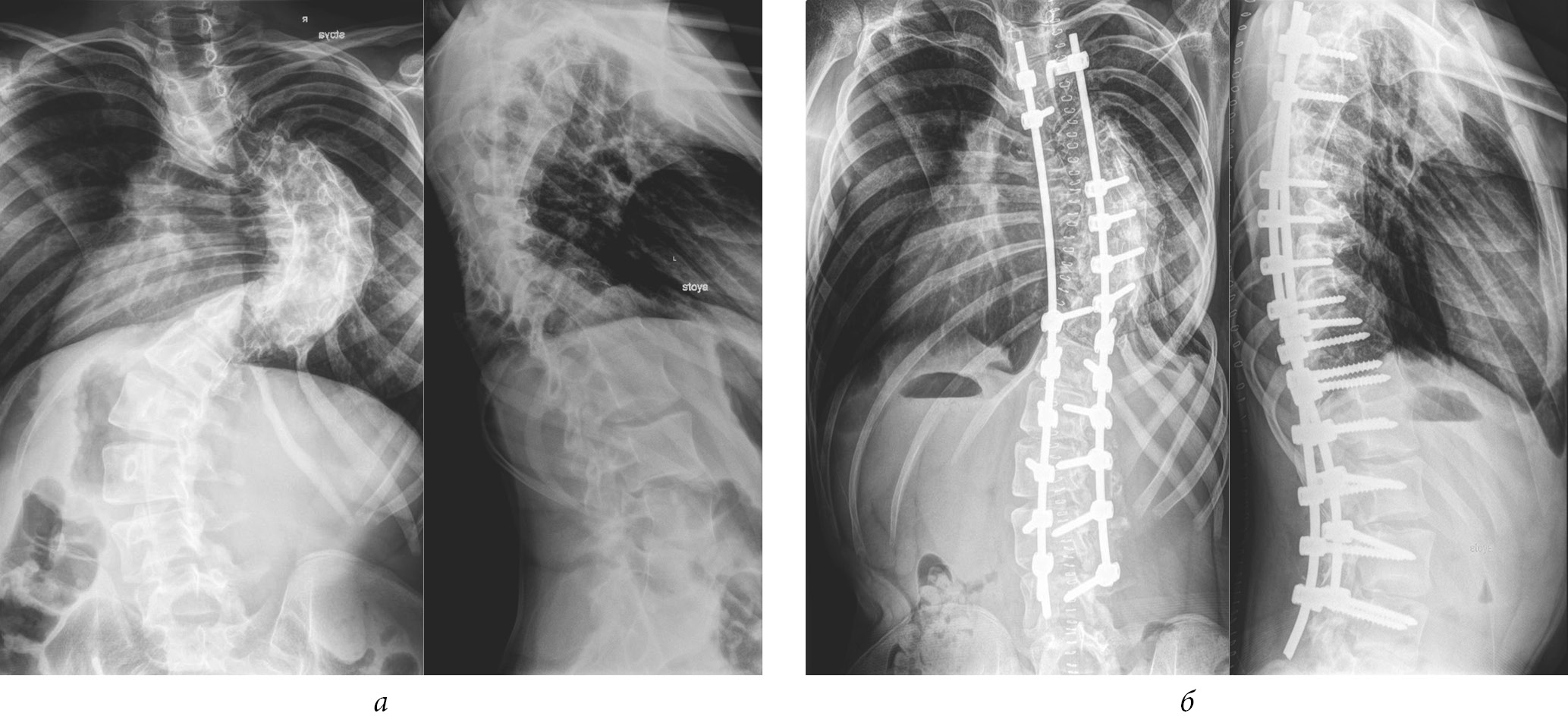
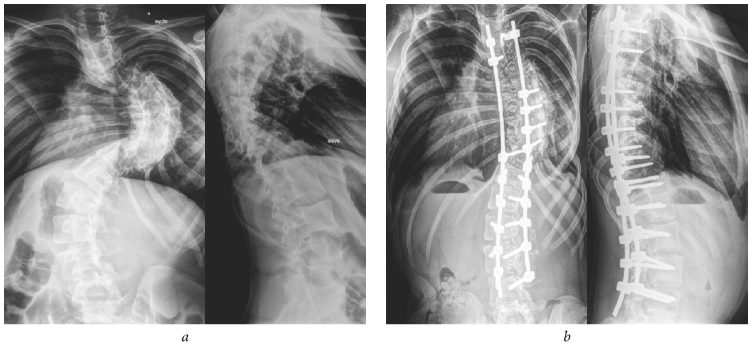
图1显示了患者S手术时的X线影像,
当时17岁,术后两年间出现特发性右侧胸椎侧弯。
图1.17岁患者S的放射片:(a)术前;(b)椎间盘切除术后,行融合术、颅骨胫骨牵引,并通过多支
撑性外科器械系统联合椎体Th7楔形切除术进行畸形矫正
讨论
近年来,小儿特发性脊柱侧凸外科治疗取得了十分理想的效果。在相关外科技术发展和成熟的早期阶段,弯曲矫正值达到主要畸形椎弓初始水平的50%,便被
视为巨大成功;而如今这一数值已达
76%至100% [12]。既往影响畸形矫正指标的一个重要因素是外科器械结合经椎弓根支撑构件。在引导设备的控制下和神经生物学的监测下,经椎弓根螺钉置入使得脊柱系统支撑构件能够准确无误地安装在弯曲椎弓对应的椎体上[13, 14]。
再者,在各类特发性脊柱侧弯手术过程中运用该技术,能够实现精准矫正,使大部分主要畸形椎弓得以矫正。俄罗斯和国外研究者都肯定了这一结论[15]。
然而,极重度特发性脊柱侧弯患儿的脊柱畸形问题和有时发生的晚期畸形病变尚未完全解决,依然需要重视。
目前主要畸形椎弓顶部多水平椎间盘切除术、颅骨-股骨或胫骨牵引、术前畸形腹侧矫正等常用技术不一
定能够取得理想的效果。一方面,这是由主要椎弓弯曲明显造成椎间盘切除术水平局限所致;另一方面,主要畸形椎弓尺寸大,
故僵硬度明显,即使运用牵引术也无法取得良好的效果。
特发性脊柱侧弯患者接受后侧截骨术时,仅可能影响脊柱后凸的尺寸,目前依然无法改变主要侧
凸椎弓。
本研究中,与经椎弓根结构矫正技术相比,顶椎椎体楔形切除术能大幅改善(р < 0.005)侧弯后凸的矫正程度。该操作还包括顶椎畸形松动术,方便对弯曲凹面进行高度分离,减小脊柱侧凸弯曲和凸面挛缩,对脊柱后凸产生明显的矫正效果。
同时,该松动术能够让脊柱矢状面恢复正常生理学特征。
现有研究提出了针对以下两种人群的矫正方法:脊柱后凸明显的成人僵硬型脊柱侧弯患者[16];多病因所致畸形的儿科
患者。Bridwell根据其自身经验和多种脊柱畸形截骨术研究,分析了一种特殊的截骨方法,同时比较了SPO、PSO和全脊椎切除术(VCR)。但在其文献综述中,他并未提到特发性脊柱侧弯这种脊柱畸形的矫正
方法[17]。少数外国文献探讨了不同背侧截骨术技术对特发性脊柱侧弯患儿脊柱畸形矫正的应用。
Bakaloudis等人是首先阐述小儿脊柱后凸侧弯性畸形截骨术应用的研究团队之一。其研究描述了12例患者的PSO治疗效果,
包括9例小儿特发性脊柱侧凸。其研究数据表明,术前额状面畸形角度大于90°,
而矢状面畸形角度大于80°。在手术过
程中,平均弯曲矫正水平为55%至70%[18]。
Xu等人研究中,重度脊柱后凸侧弯畸形患儿(16.9 ± 9.1岁)的PSO矫正效果类似。
另外,脊柱侧凸弯曲椎弓的平均矫正水平
达到64.8%,而脊柱后凸弯曲椎弓的平均矫正水平达82.6%[19]。
此外,Xie等人发表的研究展示了VCR技术对僵硬型脊柱后凸侧弯畸形(超过100°)
的矫正效果。该研究数据表明,行VCR操
作时,脊柱后凸侧弯畸形矫正程度为初始弯曲水平的两倍多[20]。
Kandwal等人评估了Ponte截骨术对特
发性脊柱侧弯等多类青少年(14~17岁)
脊柱畸形的有效性。研究组包括弯曲超过100°的患者。研究者采用多水平Ponte截骨术;最终矫正结果平
均为76%[21]。
Seki等人对小儿特发性脊柱侧弯的两种脊柱畸形矫正方法进行对比分析——腹侧入路PSO和Ponte截骨术。该研究旨在探讨能够增加顶椎畸形活动度的
技术;但在该研究中,初始畸形程度与重度脊柱侧弯无关。尽管如此,研究
结果表明,Ponte截骨术的松动效果
更好[22]。
笔者认为,极重度特发性脊柱侧弯患儿需要接受主要畸形椎弓松动术,以获得良好的矫正效果。多种椎骨骨结构截骨术可进入主要畸形椎弓,能够
作为松动术对重度脊柱弯曲患者进行
治疗。为数不多的现有研究资料表明,人们依然未找到小儿重度特发性脊柱侧弯沿主要畸形椎弓的理想截骨方法;
顶椎楔形切除术是一种行之有效的辅助
措施,可以实现明显松动。
结论
椎骨骨结构截骨术适用于重度特发性脊柱侧弯,以松动主要畸形椎弓。小儿特发性脊柱后凸侧弯顶椎椎体楔形切除术
是一种相当有效的矫正方法,可进一步松动主要畸形椎弓,实现后凸侧弯弯曲明显
矫正,在术中使脊柱恢复生理学功能,恢复躯体平衡。
其他信息
经费来源。 本文属于俄罗斯联邦卫生部国家课题,研究编号AAAA-A18-118122690157-5。
利益冲突。 作者声明,不存在与本文发表有关的明显及潜在利益冲突。
伦理审查。本研究依据俄罗斯卫生部修订的世界医学协会(World Medical Association)《赫尔辛基
宣言》(Helsinki Declaration)开展,
由特纳儿童矫形科学研究所(Turner Scientific Research Institute for Children’s Orthopedics)伦理委员会审批通过(试验方案2018/4号,
2018年9月14日)。笔者收集了患者(或其
法定代理人)的书面知情同意书,其同意参与本研究,允许发表医学资料。
作者贡献
S.V. Vissarionov参与确立研究方法并撰写全文,担任主刀医生。
A.N. Filippova负责收集和处理文
献资料、文稿设计、撰写部分章节和参考文献。
D.N. Kokushin参与数据处理、外科治疗和患者管理,并负责修改文稿。
N.O. Khusainov负责将摘要和作者简介翻译成英文,并参与数据处理、外科治疗和患者管理。
V.V. Murashko和S.M. Belyanchikov参与数据处理、外科治疗和患者管理
作者简介
Sergey Vissarionov
The Turner Scientific Research Institute for Children’s Orthopedics; Mechnikov North-Western State Medical University
编辑信件的主要联系方式.
Email: vissarionovs@gmail.com
ORCID iD: 0000-0003-4235-5048
MD, PhD, D.Sc., Professor, Deputy Director for Research and Academic Affairs, Head of the Department of Spinal Pathology and Neurosurgery; Professor of the Chair of Pediatric Traumatology and Orthopedics
俄罗斯联邦, Saint PetersburgAleksandra Filippova
The Turner Scientific Research Institute for Children’s Orthopedics
Email: alexandrjonok@mail.ru
ORCID iD: 0000-0001-9586-0668
MD, PhD Student of the Department of Spine Pathology and Neurosurgery
俄罗斯联邦, Saint PetersburgDmitriy Kokushin
The Turner Scientific Research Institute for Children’s Orthopedics
Email: partgerm@yandex.ru
ORCID iD: 0000-0002-2510-7213
MD, PhD, Senior Research Associate of the Department of Pathology of the Spine and Neurosurgery
俄罗斯联邦, Saint PetersburgVladislav Murashko
The Turner Scientific Research Institute for Children’s Orthopedics
Email: partgerm@yandex.ru
ORCID iD: 0000-0002-2201-6906
MD, Orthopedic and Trauma Surgeon of the Department of Spine Pathology and Neurosurgery
俄罗斯联邦, Saint PetersburgSergei Belyanchikov
The Turner Scientific Research Institute for Children’s Orthopedics
Email: beljanchikov@list.ru
ORCID iD: 0000-0002-7464-1244
MD, PhD, Orthopedic and Trauma Surgeon, Head of the Department of Pathology of the Spine and Neurosurgery
俄罗斯联邦, Saint PetersburgNikita Khusainov
The Turner Scientific Research Institute for Children’s Orthopedics
Email: nikita_husainov@mail.ru
ORCID iD: 0000-0003-3036-3796
MD, PhD, Research Associate of the Department of Pathology of the Spine and Neurosurgery
俄罗斯联邦, Saint Petersburg参考
- Moreau A, Akoume Ndong MY, Azeddine B, et al. Molecular and genetic aspects of idiopathic scoliosis. Blood test for idiopathic scoliosis. Orthopade. 2009;38(2):114-116, 118-121. https://doi.org/10.1007/s00132-008-1362-x.
- Dobbs MB, Lenke LG, Kim YJ, et al. Anterior/posterior spinal instrumentation versus posterior instrumentation alone for the treatment of adolescent idiopathic scoliotic curves more than 90°. Spine. 2006;31(20):2386-2391. https://doi.org/10.1097/01.brs.0000238965. 81013.c5.
- Rinella A, Lenke L, Whitaker C, et al. Perioperative halo-gravity traction in the treatment of severe scoliosis and kyphosis. Spine. 2005;30(4):475-482. https://doi.org/10.1097/01.brs.0000153707.80497.a2.
- Михайловский М.В., Лебедева М.Н., Садовая Т.Н., и др. Ближайшие и отдаленные результаты хирургического лечения пациентов со сверхтяжелыми формами идиопатического сколиоза // Хирургия позвоночника. – 2009. – № 2. – С. 38–47. [Mikhailovsky MV, Lebedeva MN, Sadovaya TN, et al. Immediate and long-term outcomes of surgical treatment of patients with super severe idiopathic scoliosis. Spine surgery. 2009;(2):38-47. (In Russ.)]. https://doi.org/10.14531/ss2009.2.38-47.
- Kuklo TR, Lenke LG, O’Brien MF, et al. Accuracy and efficacy of thoracic pedicle screws in curves more than 90°. Spine. 2005;30(2):222-226. https://doi.org/10.1097/01.brs.0000150482.26918.d8.
- Suk S-I, Chung E-R, Kim J-H, et al. Posterior vertebral column resection for severe rigid scoliosis. Spine. 2005;30(14):1682-1687. https://doi.org/10.1097/01.brs.0000170590.21071.c1.
- Бердюгин К.А., Чертков А.К., Штадлер Д.И., Бердюгина О.В. О неудовлетворительных исходах транспедикулярной фиксации позвоночника // Хирургия позвоночника. – 2010. – № 4. – С. 19–24. [Berdyugin KA, Chertkov AK, Shtadler DI, Berdyugina OV. On unsatisfactory outcomes of transpedicular fixation. Spine surgery. 2010;(4):19-24. (In Russ.)]
- Hwang SW, Samdani AF, Marks M, et al. Five-year clinical and radiographic outcomes using pedicle screw only constructs in the treatment of adolescent idiopathic scoliosis. Eur Spine J. 2013;22(6):1292-1299. https://doi.org/10.1007/s00586-012-2625-0.
- Виссарионов С.В., Белянчиков С.М., Кокушин Д.Н., и др. Результаты коррекции деформации позвоночника транспедикулярными спинальными системами у детей с идиопатическим сколиозом // Хирургия позвоночника. – 2013. – № 3. – С. 30–37. [Vissarionov SV, Belyanchikov SM, Kokushin DN, et al. Results of spinal deformity correction using transpedicular instrumentation in children with idiopathic scoliosis. Spine surgery. 2013;(3):30-37. (In Russ.)]. https://doi.org/10.14531/ss2013.3.30-37.
- Yilmaz G, Borkhuu B, Dhawale AA, et al. Comparative analysis of hook, hybrid, and pedicle screw instrumentation in the posterior treatment of adolescent idiopathic scoliosis. J Pediatr Orthop. 2012;32(5):490-499. https://doi.org/10.1097/BPO. 0b013e318250c629.
- Davis MA. Posterior spinal fusion versus anterior/posterior spinal fusion for adolescent idiopathic scoliosis: a decision analysis. Spine (Phila Pa 1976). 2009;34(21):2318-2323. https://doi.org/10.1097/BRS.0b013e3181adb296.
- Виссарионов С.В., Кокушин Д.Н., Дроздецкий А.П., Белянчиков С.М. Варианты коррекции деформации позвоночника у детей с идиопатическим сколиозом грудной локализации // Вестник травматологии и ортопедии им. Н.Н. Приорова. – 2012. – № 3. – С. 9–13. [Vissarionov SV, Kokushin DN, Drozdetsky AP, Belyanchikov SM. Variants of spine deformity correction in children with idiopathic scoliosis of thoracic localization. N.N. Priorov Journal of traumatology and orthopedics. 2012;(3):9-13. (In Russ.)]
- Виссарионов С.В., Дроздецкий А.П., Кокушин Д.Н., Белянчиков С.М. Коррекция идиопатического сколиоза у детей под контролем 3D-КТ-навигации // Хирургия позвоночника. – 2012. – № 2. – С. 30–36. [Vissarionov SV, Drozdetsky AP, Kokushin DN, Belyanchikov SM. Correction of idiopathic scoliosis under 3d-ct navigation in children. Spine surgery. 2012;(2):30-36. (In Russ.)]. https://doi.org/10.14531/ss2012.2.30-36.
- Fuster S, Vega A, Barrios G, et al. Fiabilidad del navegador en la colocación de tornillos pediculares toracolumbares. Neurocirugía. 2010;21(4). https://doi.org/10.4321/s1130-14732010000400003.
- Hwang SW, Samdani AF, Marks M, et al. Five-year clinical and radiographic outcomes using pedicle screw only constructs in the treatment of adolescent idiopathic scoliosis. Eur Spine J. 2013;22(6):1292-1299. https://doi.org/10.1007/s00586-012-2625-0.
- Zhang Y, Hai Y, Tao L, et al. Posterior multiple-level asymmetrical ponte osteotomies for rigid adult idiopathic scoliosis. World Neurosurg. 2019;127:e467-e473. https://doi.org/10.1016/j.wneu.2019.03.173.
- Bridwell KH. Decision making regarding Smith-Petersen vs. pedicle subtraction osteotomy vs. vertebral column resection for spinal deformity. Spine (Phila Pa 1976). 2006;31(19 Suppl):S171-178. https://doi.org/10.1097/01.brs.0000231963.72810.38.
- Bakaloudis G, Lolli F, Di Silvestre M, et al. Thoracic pedicle subtraction osteotomy in the treatment of severe pediatric deformities. Eur Spine J. 2011;20 Suppl 1: S95-104. https://doi.org/10.1007/s00586-011-1749-y.
- Xu T, Maierdan M, Guo HL, et al. Efficacy and safety of vertebrae pedicle subtraction osteotomy by posterior trans apical for correction of severe and rigid idiopathic scoIiosis. Zhonghua Yi Xue Za Zhi. 2017;97(15):1150-1154. https://doi.org/10.3760/cma.j.issn.0376-2491.2017.15.008.
- Xie J, Wang Y, Zhao Z, et al. Posterior vertebral column resection for correction of rigid spinal deformity curves greater than 100 degrees. J Neurosurg Spine. 2012;17(6):540-551. https://doi.org/10.3171/2012.9.SPINE111026.
- Kandwal P, Goswami A, Vijayaraghavan G, et al. Staged anterior release and posterior instrumentation in correction of severe rigid scoliosis (Cobb Angle >100 Degrees). Spine Deform. 2016;4(4):296-303. https://doi.org/10.1016/j.jspd.2015.12.005.
- Seki S, Yahara Y, Makino H, et al. Selection of posterior spinal osteotomies for more effective periapical segmental vertebral derotation in adolescent idiopathic scoliosis — An in vivo comparative analysis between Ponte osteotomy and inferior facetectomy alone. J Orthop Sci. 2018;23(3):488-494. https://doi.org/10.1016/j.jos.2018.02.003.
补充文件




