Open reduction and K-wires fixation of medial humeral epicondyle fractures with intra-articular elbow entrapment in children
- Authors: Massetti D.1, Marinelli M.2, Coppa V.2, Falcioni D.3, Specchia N.3, Giampaolini N.2, Gigante A.1
-
Affiliations:
- Polytechnic University of Marche
- Clinic of Adult and Paediatric Orthopaedics, Azienda Ospedaliero-Universitaria, Ospedali Riuniti di Ancona
- Clinical Orthopaedics, Department of Clinical and Molecular Sciences, School of Medicine, Polytechnic University of Marche, Ancona, Italy, Italy
- Issue: Vol 8, No 1 (2020)
- Pages: 73-82
- Section: Exchange of experience
- Submitted: 02.01.2020
- Accepted: 17.02.2020
- Published: 06.04.2020
- URL: https://journals.eco-vector.com/turner/article/view/19022
- DOI: https://doi.org/10.17816/PTORS19022
- ID: 19022
Cite item
Abstract
Background. Medial epicondyle fracture (MEF) is a common injury of all elbow fractures in the pediatric and adolescent population and is often associated with elbow dislocation. Traditional management by cast immobilization increasingly is being replaced with early open reduction and K-wires or screws fixation. A consensus about the correct treatment of MEF is currently lacking in the medical literature.
The aim of this study was to report the clinical and radiographic outcomes and the complications of patients affected from MEF with intra-articular fragment incarceration treated by open reduction and K-wire fixation.
Materials and methods. Thirteen children (aged 8–13 years) with medial epicondyle fractures (MEF) with intra-articular elbow entrapment were retrospectively reviewed. All the enrolled patients were surgically treated with open reduction and k-wire fixation without exploration of ulnar nerve. Clinical outcomes were evaluated using upper limb alignment in the frontal plane, elbow range of motion (ROM), the Mayo Elbow Performance Score (MEPS) and with the Visual Analogue Scale (VAS). Radiographic outcomes and complications were also evaluated.
Results. At a mean follow-up of 24.1 months no patients showed axial deformity of the upper limb or instability of the elbow and with preserved elbow ROM. The mean MEPS was 98.8 and the mean value of the VAS score was 1. The final X-rays showed fracture healing in 11 patients while 2 (15.3%) reported asymptomatic nonunion. Six patients of 13 presented with preoperative paresthesia in the ulnar nerve field but all of them reported a complete recovery after a mean of 4.3 months. All patients returned to their sporting activities at a mean of 5.4 months after surgery. One patient (7.7%) reported a superficial surgical wound infection treated with oral antibiotic medication without further surgery. No other complication was found.
Conclusions. The results demonstrate that open reduction and K-wires fixation without exploration of ulnar nerve for MEF with intra-articular elbow entrapment treatment is a safe and effective procedure.
Full Text
Medial epicondyle fracture (MEF) is a common injury accounting 11 to 20% of all elbow fractures in the pediatric and adolescent population with a peak age of 11 to 12 years [1]. The medial epicondyle (ME) is the second ossification center to appear at 5 to 7 years of age and the last to fuse together with the humeral diaphysis between 18 and 20 years of age [2]. Since ME does not contribute to the longitudinal growth of the humerus it is not a true epiphysis but an aphophysis [1]. Anatomically, the ME acts as the origin of the flexor-pronator mass (FPM) and the proximal attachment site for the ulnar collateral ligaments (UCL). The anterior bundle of the UCL has been reported as one of the most important stabilizer structure of the elbow joint, in particular against valgus instability. Another anatomical importance of the ME is the relation with the ulnar nerve (UC) forming the medial wall of the cubital tunnel [1]. Three types of injury mechanism have been proposed for MEF. The first types of injury mechanism is a direct trauma, the second is an indirect trauma associated to a fall on the outstretched hand with a valgus force to the elbow in full extension with the flexor-pronator mass that acts as an avulsion force to the ME. The third type of injury mechanism is associated with an elbow dislocation. In these latter cases the ulnar collateral ligament provides the avulsion force and in 15 to 25% cases the ME may remain incarcerated inside the joint [1].
Several classification systems were described in the literature. Most of them have been based on the degree of displacement of the ME while a widely used classification simply divide the MEF in acute, chronic, and acute on chronic [3]. A consensus about the treatment of MEF is currently lacking in the medical literature and no clear indications about the amount of acceptable displacement are well known. Some Authors suggested open reduction and internal fixation when the epicondyle is displaced more than 2–5 mm [1, 4, 5] while other Authors, however, reported good outcomes with nonoperative treatment even in these cases [6]. Absolute indications for surgical approach is represented by incarceration of the epicondylar fragment in the elbow joint, suspected entrapment and dysfunction of the ulnar nerve, marked instability, and open fracture [1, 7]. Different types of surgical techniques were described for MEF treatment in literature. The surgical treatments include open reduction and fixation with K-wires or screws [1]. The metal screw fixation is a rigid fixation and allows an early motion, but have been associated with implant intolerance. On the other hand the fixation with K-wires has the advantage of simply removal of the hardware without a second surgery at the expense of less stability that requires a longer immobilization [8].
The aim of this study was to report the clinical and radiographic outcomes and the complications of patients affected from MEF with intra-articular fragment incarceration treated by open reduction and K-wire fixation.
Materials and methods
Patients
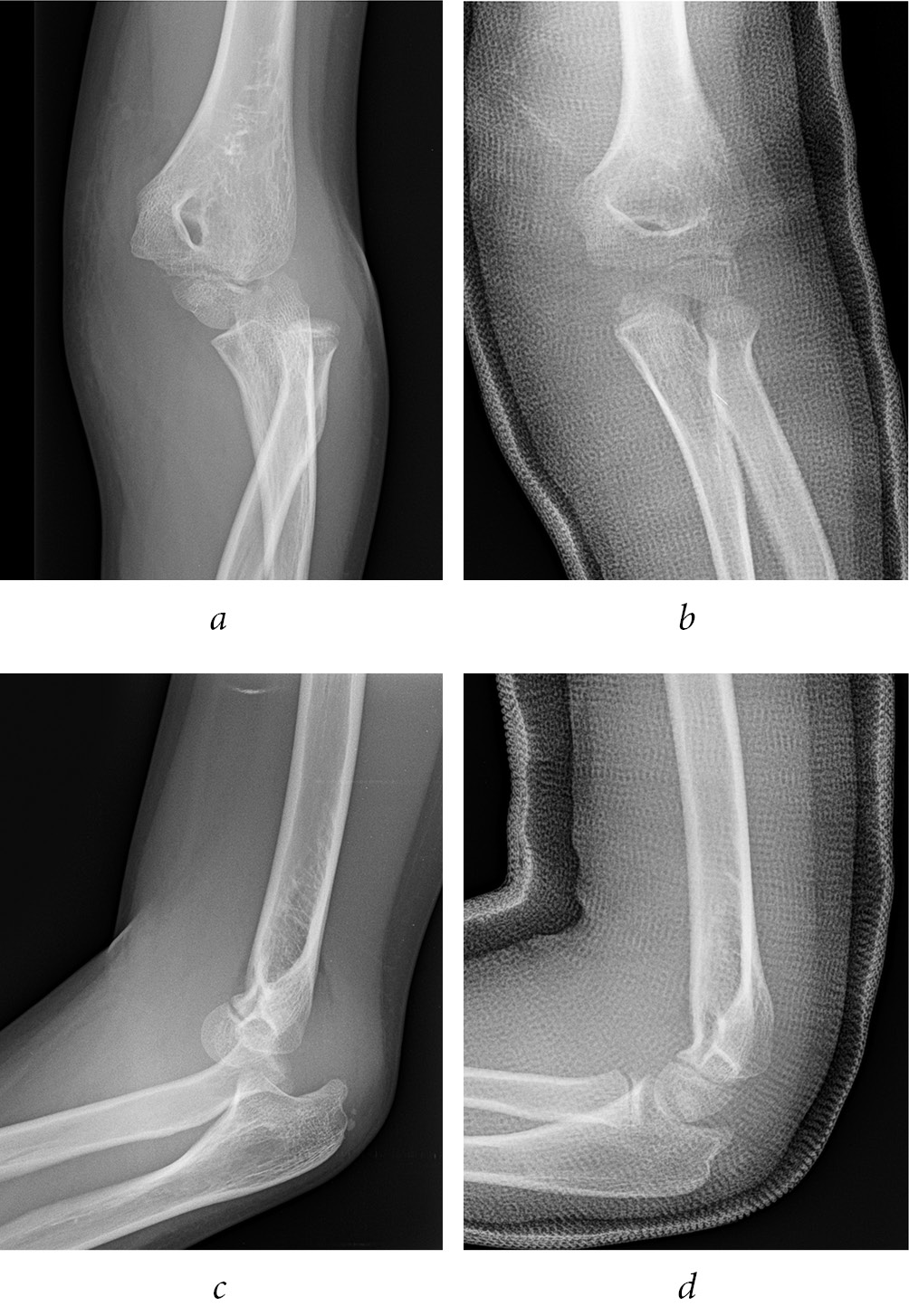
After approval of the study by the local ethics committee, the database of “Salesi” Children’s Hospital was mined for the records of all patients who presented to the Emergency Department (ED) with MEF from 1 January 2014 to 31 December 2017. The MEF were classified by an Orthopaedic surgeon, according with the classification described by Watson-Jones (WJ) [9] and reported by Papavasiliou [10]. The Inclusion criteria were MEF with intra-articular elbow entrapment, isolated (WJ type 3) or in association with elbow dislocation (WJ type 4). There were 13 children, 5 boys and 8 girls, whose mean age was 10.9 years (Range 8–13 years). Six patients reported a MEF with intra-articular elbow entrapment isolated (WJ type 3) and seven patients reported a MEF with intra-articular elbow entrapment after undergoing closed reduction for an associated posterolateral elbow dislocation (WJ type 4) (Fig. 1). Six patients presented with preoperative paresthesia in the ulnar nerve field. Standard anteroposterior and lateral plain films of the injured elbow were obtained at the ED. One patient receive a pre operatively 3D CT scan to confirm intra-articular entrapment (Fig. 2). All of MEF in our cohort were classified by an orthopaedic surgeon. The patients’ parents/guardians gave their informed consent to the use of the children’s medical charts. The mean follow-up was 24.1 months (range 11–44 months). The postoperative clinical evaluation was performed by the evaluation of the passive and the active range of motion (ROM), functional results using the Mayo Elbow Performance Score (MEPS) [11, 12], pain evaluated with the Visual Analogue Scale (VAS) [13]. The radiographic evaluation of fracture healing was performed on standard elbow X-ray after the removal of implants. All the surgical operations were performed by the senior Author (MM). For any patient, at final follow up, the evaluation of the deformity of the MEF after internal fixation was detected by Skak et al classification [14]. The complications were also reviewed (Table 1).
Fig. 1. Patient S. Elbow dislocation with ME intraarticular entrapment: a, b — X-ray of elbow dislocation; c, d — X-ray post-reduction of elbow dislocation with ME intraarticular entrapment
Fig. 2. Patient S. Post reduction CT-scan with 3D reconstruction shows ME intraarticular entrapment
Table 1
Patients data, follow up time (months) and neurological status at presentation
Patient | Age | Gender | Watson-Jones type | Follow-up, months | Pre-operative paresthesia |
1 | 12 | F | 4 | 35 | Yes |
2 | 11 | M | 3 | 38 | Yes |
3 | 10 | F | 3 | 19 | No |
4 | 9 | F | 3 | 22 | Yes |
5 | 9 | M | 4 | 22 | No |
6 | 12 | F | 4 | 15 | No |
7 | 9 | F | 4 | 16 | No |
8 | 9 | M | 4 | 13 | Yes |
9 | 8 | F | 3 | 12 | Yes |
10 | 9 | F | 4 | 11 | No |
11 | 12 | M | 4 | 44 | Yes |
12 | 11 | M | 3 | 43 | No |
13 | 9 | F | 3 | 20 | No |
Note. M — men, F — women.
Surgical technique
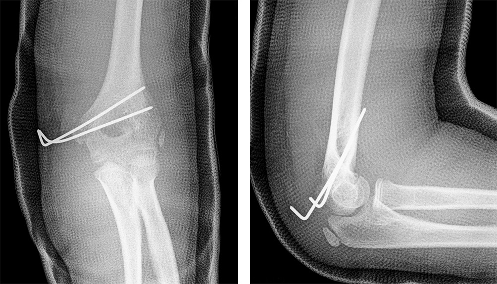
The mean time from trauma to surgery was 1.5 days (range 0–4 days). The patient is placed in the supine position, with the affected upper limb upon a radiolucent hand table. The surgery was performed under intravenous sedation, spontaneous breathing and ultrasound guided brachial plexus block using 0.50% ropivacaine. Sedation drugs used were midazolam, fentanyl in association with ketamine and propofol. The local anesthetic used was ropivacaine 0.50%. A nonsterile pneumatic tourniquet is placed on the affected arm, then a sterile field is set starting from the proximal part of the upper limb down to the hand with the arm draped free. After an exsanguination of the arm performed by a sterile Esmarch bandage the pneumatic tourniquet is inflated. The incision is started 2–3 cm above the elbow joint 1 cm behind the medial supracondylar ridge and the medial epicondyle. The ulnar nerve was ever identified and protected using a Hohmann retractor but it was not systematically explored. The fracture site is visualized and the medial epicondylar fragment is identified and extracted from the elbow joint. The fracture site in humeral side is freshen with a Volkmann curette to expose cancellous bone being careful with the growth plate. With the elbow flexed to 90°, the forearm pronated, the wrist and the finger flexed in order to relax the FPM, the medial epicondylar fragment is fixed with a Codivilla or Weber clamp being careful not to break the fragment itself. (Fig. 3) After a fluoroscopic control to evaluate the correct position of the ME it is definitely fixed with two crossing bicortical 1.5 mm K-wires. (Fig. 4)
Fig. 3. Patient S. The picture shows the postero-medial approach to the medial epicondyle. A Homann retractor is placed under the medial ridge in order to protect the ulnar nerve and the medial epicondyle fragment is temporary fixed with a Codivilla
Fig. 4. Patient S. The post-operative X-ray shows the ME fixed with two crossing bicortical 1.5 mm K-wires
Aftercare
Postoperatively, patients were immobilized with an above elbow cast at 90° flexion of the elbow with the forearm in neutral rotation for 4 weeks. A first X-ray is taken 7 days after surgery to check that the wires are not mobilized. At 4 weeks from surgery the cast is removed and a second X-ray is performed before removing the K-wires and the patients is allowed to return to daily activity avoiding contact sports for at least 4 weeks.
Results
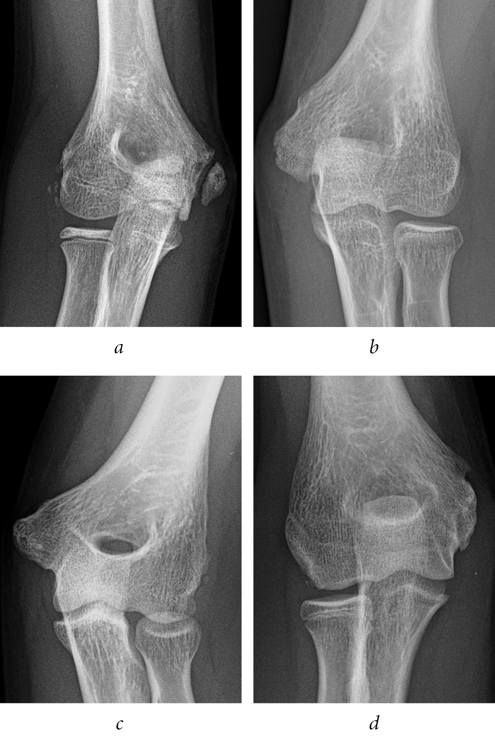
At the last follow-up no patients presented axial deformity of the upper limb or instability of the elbow. The mean elbow ROM ranging from 2° of extension to 140° of flexion. All patients showed a complete forearm prono-supination. No patient had limitation in extension while 5 patients reported 5° of limitation in flexion compared to the unaffected side. The MEPS score was excellent in 12 patients and good in 1 (caused by pain) with mean MEPS score of 98.8 (range 85–100). The mean value of the VAS score was 1 (range 0–2). Six patients presented with preoperative paresthesia in the ulnar nerve field but all of them reported a complete and spontaneous recovery after a mean of 4.3 months (range 1–6 months) and all the patients showed no nerve symptoms at the final follow-up. No patients reported post-operative ulnar nerve palsy or a worsening of the pre-existing ones. Four patients complain hyperesthesia of the surgical scar and at ME palpation at the last follow-up. The X-rays performed at the final follow-up were evaluated by an orthopaedic surgeon. They showed signs of healing in 11 patients and signs of nonunion in two patients (15.3%) but these were totally asymptomatic at the clinical examination. The radiographic outcome evaluated by Skak classification showed no deformity in 4 (30.7%) while 1 patient reported a double contour deformity (7.7%), 1 patient reported hypoplasia of ME (7.7%) and 5 cases had a ME hyperplasia (38.4%)(Fig. 5). None of the deformities interfered with day-to-day elbow function. One patient (7.7%) developed heterotopic ossification around the elbow joint without clinical relevance. All patients returned to their sporting activities at a mean of 5.4 months after surgery (range 3–12 months). Average surgical time (from incision to postoperatively cast) in our group of patients was 70 minutes (range 35–120 minutes). Average intraoperative fluoroscopy time was 33 seconds (range 8–107 seconds). One patient (7.7%) reported a superficial surgical wound infection caused by S. Aureus which was treated with an oral antibiotic medication without further surgery. No other complication was found (Table 2).
Fig. 5. The common deformity pattern presented at last follow up X-ray in our patients: a — non-union; b — double contour; c — hyperplasia; d — hypoplasia
Table 2
Results summary
Patient | ΔF | ΔE | ΔS | ΔP | R.S.A.T. | MEPS | VAS | P.R. | X-ray |
1 | 0 | 0 | 0 | 0 | 6 | 100 | 2 | 6 | Hypertrophy |
2 | 0 | 0 | 0 | 0 | 4 | 100 | 0 | 6 | Double contour |
3 | 0 | 0 | 0 | 0 | 12 | 100 | 1 | 1 | Hypertrophy |
4 | 5 | 0 | 0 | 0 | 3 | 100 | 0 | – | Hypoplasia |
5 | 5 | 0 | 0 | 0 | 6 | 100 | 1 | 1 | Hypertrophy + H.C. |
6 | 0 | 0 | 0 | 0 | 8 | 85 | 2 | – | Hypertrophy |
7 | 5 | 0 | 0 | 0 | 6 | 100 | 1 | – | Non-Union |
8 | 0 | 0 | 0 | 0 | 4 | 100 | 0 | – | Normal |
9 | 0 | 0 | 0 | 0 | 5 | 100 | 0 | 6 | Normal |
10 | 5 | 0 | 0 | 0 | 4 | 100 | 1 | 1 | Normal |
11 | 5 | 0 | 0 | 0 | 4 | 100 | 1 | – | Non-Union |
12 | 0 | 0 | 0 | 0 | 3 | 100 | 2 | 6 | Hypertrophy |
13 | 0 | 0 | 0 | 0 | 4 | 100 | 1 | – | Normal |
Note. Δ indicates the ROM difference from the contralateral and normal side. ΔF — delta flexion; ΔE — delta extension; ΔS — delta supination; ΔP — delta pronation. R.S.A.T. — Return to Sport Activity Time (in months); MEPS — Mayo Elbow Performance Score; VAS — Visual Analogic Score; P.R. — Paraesthesia Resolution (in months); H.C. — Heterotopic Calcification.
Discussion
MEF with intra-articular elbow entrapment is an absolute indications for surgical treatment [7], multiple types of surgical approach have been reported in the literature [15, 16, 17] although currently the most used surgical treatment of MEF is an open reduction and fixation with cannulated screw [1]. The surgical technique reported in this article consists on an open reduction of the MEF with intra-articular elbow entrapment, through posteromedial incision, without routinely exploration of the ulnar nerve, and fixation of the bony fragment with two crossing bicortical 1.5 mm k-wires. This approach showed satisfactory clinical outcomes with excellent score in the MEPS in 12 patients and good score in1 patient (mean MEPS 98.8), without limitation of elbow range of motion. These results were similar to the outcome reported in the literature [18, 19]. In particular, Dodds et al. [18] reported a total of 11 patients with mean MEPS was 99.5 while Tarallo et al. [19] in their study reported a MEPS score excellent in all patients (mean MEPS 96.3). The X-rays performed at the final follow-up showed healing in 11 patients and signs of nonunion in 2 patients (15.3%) which were totally asymptomatic. Our results of fracture healing were similar but lower with other authors [20, 21] who used the technique with screws, in particular Dodds et al. and Tarallo et al. reported union in all patients at final X-rays. The radiographic outcome evaluated by Skak classification showed no deformity in 4 (30.7%) while 1 patient reported a double contour deformity (7.7%), 1 patient reported hypoplasia of ME (7.7%) and 5 cases had a ME hyperplasia (38.4%). None of the deformities interfered with day-to-day elbow function. In our opinion the nonunion and the deformity of ME after surgical treatment may be caused to use of k-wire that do less compression compared to cortical screw and therefore make ME fracture fragment more mobile but there are studies that have shown rates of greater hyperplasia with screws compared to wires [20]. No study found clear correlation between method of treatment or type of deformity of ME.
During the surgical treatment we always identify the ulnar nerve and we always protect it using Hohmann retractors but we never explored it. We did not have any post-operative new nervous signs or even worsening of the pre-operative paresthesia. All the ulnar nerve sensitive symptoms referred at the time of presentation resolved on a mean time of 4.3 months. Our results are in line with the literature. Several studies in children show that 86% to 100% of these nerve injuries are neurapraxias which resolve spontaneously within six months, with an average recovery time of 2 or 3 months [22]. Some authors routinely isolate and explore the ulnar nerve during surgery especially if paresthesia is present pre operatively but the exploration of the injured nerve is not necessarily indicated when a nerve injury is associated with a closed fracture. Surgical exploration can only be justified in cases of persistent neurological compromise with no clinical or electrical evidence of recovery at 3 months [23]. Our complications rate are 23% (15% of nonunion and 8% of wound infection) and this were similar but lower with other authors [20, 21] who used the technique with screws.
In fact while in the literature the gold standard of surgical treatment of MEF is an open reduction and fixation with cannulated screw [1] this approach showed a complications rate up to 31%–41% [19, 24], mainly related to a screw intolerance. Furthermore, some Authors reported the need for a second surgical intervention for the removal of the screws up to 70% of the cases due to complaints correlated to the fixation devices [24]. In particular, the most frequent complications of the screws reported in literature are symptomatic screw head prominence, impingement and irritation of the triceps tendon during elbow flexion–extension until partial lesion of the distal triceps myotendinous junction [19]. In all of our patients the K-wires were removed after 4 weeks without sedation or anesthesia and the need of second surgery. Limits of the study are the small sample size and the absence of a control group.
Conclusion
We can state that the MEF with intra-articular elbow entrapment treated with K-wires give excellent functional results, complication rate comparable with gold standard treatment with cannulated screw and do not need a reintervention. Open reduction and K-wires fixation for surgical treatment of medial humeral epicondyle fractures with intra-articular elbow entrapment in children is an highly effective treatment to be used as an alternative to cannulated screws. In our opinion, the routinely exploration of the ulnar nerve during surgery is not necessary because the paresthesias when present tend to disappear autonomously within 6 months, and it is sufficient to identify and protect the ulnar nerve with retractors. There is not clear correlation between method of treatment and type of deformity of ME and ulterior study were necessary.
Additional information
Source of funding. The authors declare that have not received financial remuneration.
Conflict of interests. The authors declare that there are no obvious or potential conflicts of interest associated with the publication of this article.
Ethical statement. All procedures performed in studies involving human participants were in accordance with the ethical standards of the institutional and/or national research committee and with the 1964 Helsinki declaration and its later amendments or comparable ethical standards. The protocol, site-specific informed consent forms (local language and English version), participant education and recruitment materials, and other requested documents, and any subsequent modifications, were reviewed and approved by the department of clinical and molecular science (DISCLIMO) board in according to the policy of clinical orthopaedics, università politecnica delle marche, Ancona, Italy. “Costituzione Comitato Etico Regionale (CER) determina n°160/DG del 27/02/2019.
Author contributions
- Massetti, M. Marinelli, V. Coppa — concept and design of the study.
- Falcioni — analysis of the obtained data.
- Specchia, A.P. Gigante — processing of materials, text editing.
- Giampaolini — writing the text.
All authors made a significant contribution to the research and preparation of the article, read and approved the final version before publication.
About the authors
Daniele Massetti
Polytechnic University of Marche
Author for correspondence.
Email: daniele.massetti86@gmail.com
ORCID iD: 0000-0002-0799-9748
MD, Orthopedic and Trauma Surgeon, Clinical Orthopaedics, Department of Clinical and Molecular Science
Italy, AnconaMario Marinelli
Clinic of Adult and Paediatric Orthopaedics, Azienda Ospedaliero-Universitaria, Ospedali Riuniti di Ancona
Email: mariomarinelli1973@gmail.com
ORCID iD: 0000-0002-5818-2412
MD, Orthopedic and Trauma Surgeon, Clinical Orthopaedics, Department of Clinical and Molecular Science
Italy, AnconaValentino Coppa
Clinic of Adult and Paediatric Orthopaedics, Azienda Ospedaliero-Universitaria, Ospedali Riuniti di Ancona
Email: coppa.valentino@gmail.com
ORCID iD: 0000-0002-1849-2862
MD, Orthopedic and Trauma Surgeon, Clinical Orthopaedics, Department of Clinical and Molecular Science
Italy, AnconaDanya Falcioni
Clinical Orthopaedics, Department of Clinical and Molecular Sciences, School of Medicine, Polytechnic University of Marche, Ancona, Italy, Italy
Email: danya.falcioni@ospedaliriuniti.marche.it
ORCID iD: 0000-0003-1089-1401
MD, Orthopedic and Trauma Surgeon, Clinical Orthopaedics, Department of Clinical and Molecular Science
Italy, AnconaNicola Specchia
Clinical Orthopaedics, Department of Clinical and Molecular Sciences, School of Medicine, Polytechnic University of Marche, Ancona, Italy, Italy
Email: nicola.specchia@ospedaliriuniti.marche.it
ORCID iD: 0000-0001-8710-378X
Professor, MD, Orthopedic and Trauma Surgeon, Clinical Orthopaedics, Department of Clinical and Molecular Science
Italy, AnconaNicola Giampaolini
Clinic of Adult and Paediatric Orthopaedics, Azienda Ospedaliero-Universitaria, Ospedali Riuniti di Ancona
Email: nicola.giampaolini@ospedaliriuniti.marche.it
ORCID iD: 0000-0003-0044-0068
MD, Orthopedic and Trauma Surgeon, Clinical Orthopaedics, Department of Clinical and Molecular Science
Italy, AnconaAntonio P. Gigante
Polytechnic University of Marche
Email: a.gigante@univpm.it
ORCID iD: 0000-0003-0772-563X
Professor, MD, Orthopedic and Trauma Surgeon, Clinical Orthopaedics, Department of Clinical and Molecular Science
Italy, AnconaReferences
- Gottschalk HP, Eisner E, Hosalkar HS. Medial epicondyle fractures in the pediatric population. J Am Acad Orthop Surg. 2012;20(4):223-232. https://doi.org/10.5435/JAAOS-20-04-223.
- Herring JA, Christine H. Upper Extremity Injuries. In: Herring JA, editor. Tachdjian’s pediatric orthopaedics: from the Texas Scottish Rite Hospital for Children. 5th ed. Philadelphia: Saunders; 2013. P. 1245-1352.
- Beck JJ, Bowen RE, Silva M. What’s new in pediatric medial epicondyle fractures? J Pediatr Orthop. 2018;38(4):e202-e206. https://doi.org/10.1097/BPO.0000000000000902.
- Fowles JV, Slimane N, Kassab MT. Elbow dislocation with avulsion of the medial humeral epicondyle. J Bone Joint Surg Br. 1990;72-B(1):102-104. https://doi.org/10.1302/0301-620x.72b1.2298765.
- Hines RF, Herndon WA, Evans JP. Operative treatment of medial epicondyle fractures in children. Clin Orthop Relat Res. 1987;(223):170-174.
- Josefsson PO, Danielsson LG. Epicondylar elbow fracture in children. 35-year follow-up of 56 unreduced cases. Acta Orthop Scand. 1986;57(4):313-315. https://doi.org/10.3109/17453678608994399.
- Patel NM, Ganley TJ. Medial epicondyle fractures of the humerus: how to evaluate and when to operate. J Pediatr Orthop. 2012;32 Suppl 1:S10-13. https://doi.org/10.1097/BPO.0b013e31824b2530.
- Lee HH, Shen HC, Chang JH, et al. Operative treatment of displaced medial epicondyle fractures in children and adolescents. J Shoulder Elbow Surg. 2005;14(2):178-185. https://doi.org/10.1016/j.jse.2004.07.007.
- Watson-Jones R. Fractures and Joint Injuries. 4th ed. Edinburgh: E. & S. Livingstone; 1976.
- Papavasiliou VA. Fracture-separation of the medial epicondylar epiphysis of the elbow joint. Clin Orthop Relat Res. 1982;(171):172-174.
- Morrey B. Functional evaluation of the elbow. In: The elbow and its disorders. 2nd ed. Ed. by B. Morrey. Philadelphia: Saunders; 1993. P. 86-89.
- Cusick MC, Bonnaig NS, Azar FM, et al. Accuracy and reliability of the Mayo Elbow Performance Score. J Hand Surg Am. 2014;39(6):1146-1150. https://doi.org/10.1016/j.jhsa.2014.01.041.
- Carlsson AM. Assessment of chronic pain. I. Aspects of the reliability and validity of the visual analogue scale. Pain. 1983;16(1):87-101. https://doi.org/10.1016/0304-3959(83)90088-x.
- Skak SV, Grossmann E, Wagn P. Deformity after internal fixation of fracture separation of the medial epicondyle of the humerus. J Bone Joint Surg Br. 1994;76-B(2):297-302. https://doi.org/10.1302/0301-620x.76b2.8113297.
- Duun PS, Ravn P, Hansen LB, Buron B. Osteosynthesis of medial humeral epicondyle fractures in children. 8-year follow-up of 33 cases. Acta Orthop Scand. 1994;65(4):439-441. https://doi.org/ 10.3109/17453679408995489.
- Farsetti P, Potenza V, Caterini R, Ippolito E. Long-term results of treatment of fractures of the medial humeral epicondyle in children. J Bone Joint Surg Am. 2001;83(9):1299-1305. https://doi.org/10.2106/ 00004623-200109000-00001.
- Lawrence JT, Patel NM, Macknin J, et al. Return to competitive sports after medial epicondyle fractures in adolescent athletes: results of operative and nonoperative treatment. Am J Sports Med. 2013;41(5):1152-1157. https://doi.org/10.1177/0363546513480797.
- Dodds SD, Flanagin BA, Bohl DD, et al. Incarcerated medial epicondyle fracture following pediatric elbow dislocation: 11 cases. J Hand Surg Am. 2014;39(9):1739-1745. https://doi.org/10.1016/j.jhsa.2014.06.012.
- Tarallo L, Mugnai R, Fiacchi F, et al. Pediatric medial epicondyle fractures with intra-articular elbow incarceration. J Orthop Traumatol. 2015;16(2):117-123. https://doi.org/10.1007/s10195-014-0310-2.
- Park KB, Kwak YH. Treatment of medial epicondyle fracture without associated elbow dislocation in older children and adolescents. Yonsei Med J. 2012;53(6):1190-1196. https://doi.org/10.3349/ymj.2012.53.6.1190.
- Smith JT, McFeely ED, Bae DS, et al. Operative fixation of medial humeral epicondyle fracture nonunion in children. J Pediatr Orthop. 2010;30(7):644-648. https://doi.org/10.1097/BPO.0b013e3181ed4381.
- Ramachandran M, Birch R, Eastwood DM. Clinical outcome of nerve injuries associated with supracondylar fractures of the humerus in children: the experience of a specialist referral centre. J Bone Joint Surg Br. 2006;88(1):90-94. https://doi.org/10.1302/0301-620X.88B1.16869.
- Khademolhosseini M, Abd Rashid AH, Ibrahim S. Nerve injuries in supracondylar fractures of the humerus in children: is nerve exploration indicated? J Pediatr Orthop B. 2013;22(2):123-126. https://doi.org/10.1097/BPB.0b013e32835b2e14.
- Pace GI, Hennrikus WL. Fixation of displaced medial epicondyle fractures in adolescents. J Pediatr Orthop. 2017;37(2):e80-e82. https://doi.org/10.1097/BPO.0000000000000743.
Supplementary files









