Infectious complications in pediatric traumatology and orthopedics (analysis of clinical series)
- Authors: Zorin V.I.1,2, Zuev M.E.3
-
Affiliations:
- H. Turner National Medical Research Center for Children’s Orthopedics and Trauma Surgery
- North-Western State Medical University named after I.I. Mechnikov
- Children’s City Hospital No. 22
- Issue: Vol 11, No 3 (2023)
- Pages: 361-370
- Section: Exchange of experience
- Submitted: 16.05.2023
- Accepted: 17.07.2023
- Published: 29.09.2023
- URL: https://journals.eco-vector.com/turner/article/view/430201
- DOI: https://doi.org/10.17816/PTORS430201
- ID: 430201
Cite item
Abstract
BACKGROUND: Infectious complications in pediatric traumatology and orthopedics are relatively rare. Publications on this issue are less common than in the adult population. However, the resulting complications often lead to a persistent anatomical and functional defect, bearing the economic burden and legal consequences.
AIM: To analyze a clinical series of pediatric patients with infectious complications of injuries and surgical interventions in the skeletal system.
MATERIALS AND METHODS: A retrospective analysis of the clinical series of patients over 5 years was conducted. The study involved children aged <18 years. A sample of 34 children was included. The average age was 13.5 (min–max, 4–17 years). Patients with infectious and inflammatory complications after mechanical and/or surgical trauma, availability of a complete data archive (anamnesis, radiation therapy, and medical documentation), traced relief of inflammatory phenomena, and achievement of remission of the chronic process for more than 6 months were included.
RESULTS: Infectious complications of injuries were noted in 26 (76%) patients, complications of orthopedic interventions in 8 (24%), and open injuries in 9 (34%). The injuries were isolated in 11 (42%) children, multiple trauma in 5 (19%), and combined in 10 (39%) patients. Defects of large skeletal segments were common: the thigh in 8 (24%) patients, humerus in 5 (15%), shin in 5 (15%), and spine in 4 (12%). Five (15%) had infection of the pelvic bones, and one patient had infectious complications in the lower jaw, collarbone, elbow joint, knee joint arthritis, and foot bones. Superficial infection of the surgical intervention area was noted in 3 cases (9%), deep infection in 27 (79%), and posttraumatic osteomyelitis in 4 (12%). The average duration of the diagnostic pause was 33 days, and the therapeutic pause was 36 days. Antibacterial prophylaxis before surgery for closed injuries and orthopedic operations was carried out in only 17 patients. Bacteriological verification was not performed in 8 (23.5%) patients with complications. In 9 (26%) patients, it was not possible to identify a microbial agent in the presence of a clinical picture. The structure of pathogens correlates with the literature data on the problem in the adult population. In 10 out of 25 positive bacteriological studies, polyresistant strains were isolated. Thirty-three children underwent surgery, and the basic principle is radical surgical rehabilitation. The average number of interventions performed was 3 (min–max, 1–12). Stable relief of the infectious and inflammatory process has been achieved in all cases. The average period of inpatient treatment was 39 days, recovery was achieved in 24 (71%) children, and persistent anatomical and functional defect and disability were noted in 10 (29%) children.
CONCLUSIONS: Infectious complications in pediatric traumatology should be considered a complex multidisciplinary problem, and part of the solutions largely lies in the field of healthcare organization, specifically with an adequate choice of indications, compliance with the osteosynthesis technique, compliance with the principles of antibiotic prophylaxis, patient routine, and training of pediatric surgeons and orthopedic traumatologists on surgical infections, using modern principles and technologies for the treatment of these complications.
Full Text
BACKGROUND
According to the literature, the number of surgeries following surgical intervention, which is significantly partly associated with surgical complications, is becoming greater than the number of primary surgical interventions. The most severe complications are caused by an infectious–inflammatory process and the involvement of the bone tissue in the lesion. These complications are statistically more associated with severe trauma and highly invasive surgery of large anatomical segments and regions of the musculoskeletal system (hips, pelvic bones, spine, and lower limbs) [1]. Currently, infectious complications following surgical treatment in these regions often result in a legal clinical situation [2].
Infectious complications in traumatology and orthopedics is one of the most pressing problems nowadays. A search query of surgical site infection in PubMed yielded 67,404 results with more than two thousand publications annually over the past 10 years. In pediatric practice, attention to this problem is less significant, and it is covered much less in the scientific literature. Thus, the query surgical site infection (SSI) + children yielded 554 results (query date April 30, 2023). Moreover, the number of publications over the past 10 years has increased threefold. This is determined by the general trends in the growth of surgical activity with the use of implants and hardware in selective and emergency traumatology and orthopedics, including the pediatric population [3, 4]. Researchers raised similar questions related to antibiotic prophylaxis and antibiotic therapy, and the approach of managing patients with existing complications during invasive orthopedic surgery [5].
Early diagnostics, adequate interpretation of the clinical presentation, and implementation of appropriate modern treatment approach are essential for infectious complications in traumatology [6]. Late diagnostics and treatment delay prolongs the disease course and reduce the number of positive outcomes [7]. This prompted specialists to develop approach algorithms for infectious complications of injuries and interventions in the musculoskeletal system for the adult population. In the Russian literature, these issues in pediatric traumatology and orthopedics are not widely covered. Moreover, general trends in clinical practice indicate the real and potential relevance of the problem in pediatric traumatology and orthopedics, which determined the aims of this study.
This study aimed to analyze a clinical series of pediatric patients with infectious complications of injuries and surgical interventions in the musculoskeletal system.
MATERIALS AND METHODS
In this retrospective clinical series, the retrospection depth was 5 years (2022–2017). Based on the following inclusion criteria, a clinical set of 34 patients was formed.
Inclusion criteria:
- Children’s age (up to 18 years).
- Availability of a complete archive of data (history, radiation, and medical documentation).
- Mechanical and/or surgical trauma to the musculoskeletal system.
- Clinical, laboratory, and radiation signs of an infectious and inflammatory process.
- Bacteriological examination of materials from the pathological zone.
- Follow-up period until relief of the inflammatory phenomena and subsequent relapse-free period of >6 months.
Patients’ age and sex structure, anamnestic data describing the disease course, traumatic pathology, anatomical localization, nature of the infectious process, clinical manifestations, timing of diagnosis, bacteriological examination data, nature of treatment, and complication outcomes were analyzed.
Surgical treatment was performed taking into account the implementation of two basic principles:
- Performing an intervention (independent or staged) aimed at the arrest of the infectious–inflammatory process and creating conditions for the reconstructive stage.
- The reconstructive stage includes the elimination of the anatomical and functional defects and creation of conditions for restoring the function of the affected segment. To achieve positive outcomes, both tasks were performed sequentially in one surgical session or sequentially in two or more interventions with reconstruction as necessary in the “cold period.”
RESULTS
The group analyzed consisted of 34 pediatric patients, predominantly male children (n = 20). The average age was 13.5 (4–17) years. The average follow-up period was 2 years 10 months (6–60 months). All patients initially underwent surgery for trauma (n = 26, 76%) and orthopedic pathology (n = 8, 24%). The structure of interventions is presented in Table 1. Initially, before the development of infectious complications and transfer with the supervision of the authors, 17 (50%) patients received care in third-party institutions. The structure of injuries was dominated by high-energy injuries, namely, combined in 10 (39%) patients, multiple in 5 (19%), isolated in 11 (42%), and open injuries in 9 (34%). Among localizations, large segments predominated, including anatomical areas of the musculoskeletal system such as the spine and pelvis (Fig. 1). The majority of patients (n = 31, 91%) had a deep infectious process, including 21 (68%) with osteomyelitis. Five patients with osteomyelitis initially underwent surgery for orthopedic pathology. In accordance with the Cierny–Mader classification of the osteomyelitic process, type II was registered in 5 patients, type III in 10, and type IV in 6. Superficial infection was found in 3 (9%) patients.
Table 1. Structure of primary interventions
Primary surgery (manipulation) | Trauma | Orthopedics | Total (n/rel.) | ||
SISS | DISS | SISS | DISS | ||
Extrafocal osteosynthesis | 1 | 4 | – | 2 | 7 (20.6%) |
Spinal stabilization | – | 4 | – | – | 4 (11.8%) |
Extracortical osteosynthesis | – | 6 | – | 1 | 7 (20.6%) |
Wire osteosynthesis | – | 4 | – | – | 4 (11.8%) |
Locked intramedullary osteosynthesis | – | 3 | – | – | 3 (9%) |
Arthroscopy, ACL reconstruction | – | – | – | 1 | 1 (3%) |
Subtalar arthrodesis | – | – | – | 1 | 1 (3%) |
Stump reconstruction | 1 | – | – | 1 (3%) | |
Tumor resection, alloplasty | – | – | – | 1 | 1 (3%) |
Corrective osteotomy of the pelvis | – | – | – | 2 | 2 (6%) |
Closed reduction | – | 2 | – | – | 2 (6%) |
Opening a hematoma | 1 | – | – | – | 1 (3%) |
Note: ACL, anterior cruciate ligament; DISS, deep infection of the surgical site; SISS, superficial infection of the surgical site.
Fig. 1. Anatomical structure of the localization of infectious complications
Results of the data analysis establish that infectious complications appeared on day 26 on average, and the average diagnostic pause (period from disease manifestations to diagnosis formulation) and treatment pause (period from diagnosis formulation to the start of appropriate treatment) were 33 and 36 days, respectively (Fig. 2). The distribution of the main stages (based on chronological criteria) of the development of infectious complications and course of the pathological process, its verification, and implementation of appropriate therapeutic measures, reflecting the incidence, are presented in Fig. 3. Specifically, patients were admitted quite late for sanitary intervention, that is, 10 (29%) patients underwent surgery more than a month after the diagnosis of an infectious complication.
Fig. 2. Scheme of the main chronological stages
Fig. 3. Distribution of the main stages of the pathological process within a clinical series
Table 2 presents indicators for the timing of the clinical onset of complications and diagnostic and therapeutic pauses for the most common locations. The shortest duration of these stages was noted in children who underwent surgery for pelvis and spine trauma.
Table 2. Average time (days) for the onset of the clinical manifestations of complications, diagnostics, and initiation of appropriate therapeutic measures depending on the anatomical location
Localization | Clinical manifestations | Diagnostic pause | Treatment pause |
Pelvis | 9.8 ± 3.3 | 5.6 ± 1.8 | 5.8 ± 2.9 |
Spine | 10.5 ± 4.7 | 10 ± 8.3 | 14.7 ± 9.2 |
Shoulder | 32.8 ± 22.3 | 8.2 ± 5.5 | 13.2 ± 8 |
Lower leg | 45 ± 21.2 | 82.2 ± 23.2 | 79.8 ± 56.6 |
Hip | 24.7 ± 13.6 | 30 ± 13.8 | 53.7 ± 23.2 |
Data analysis revealed that perioperative antibiotic prophylaxis or antibiotic therapy (for open injuries, n = 3) was performed only in 17 (52%) patients. Among the antibacterial drugs used in this group, cephalosporins (cefazolin, ceftriaxone, and cefurus) predominated, with 13 (76%) patients. In 8 (23.5%) patients (under the supervision of the authors) with a clinical presentation of an infectious–inflammatory complication, bacteriological examination was not performed, and empirical antibacterial therapy was prescribed empirically. In patients with chronic infections, a characteristic trend was the repeated administration of 4–5 drugs and the mandatory inclusion of lincomycin.
In general, in the clinical series, bacteriological examination revealed a positive result in 24 (70%) children, and in the remaining 10 patients with available clinical and laboratory data, growth of microorganisms was not detected. The predominant pathogens were Staphylococcus aureus and Klebsiella pneumonia, and in all cases, K. pneumonia was characterized by multiresistance to antibacterial drugs. Microbial associations were noted in 10 patients (Table 3).
Table 3. Structure of microorganisms according to bacteriological research
Pathogens | Number of cases in a clinical series | Resistant strains |
S. aureus | 11 | 1 |
S. epidermidis | 1 | – |
Kl. pneumonia | 7 | 7 (100%) |
E. coli | 4 | 2 |
Acinetobacter baumannii | 3 | – |
Рs. aeuruginosa | 2 | – |
Proteus mirabilis | 1 | – |
Paracl. bofermentans | 1 | – |
Associations | 6 | – |
Thirty-three pediatric patients received surgical treatment for infectious and inflammatory complications. One patient with a superficial infection of the surgical site was treated conservatively with dressings and etiotropic antibiotic therapy according to bacteriological examination data. In three pediatric patients, sanitation and reconstructive treatment was performed in one surgical session. Stable relief of the infectious–inflammatory process with restoration of segment function was achieved.
Clinical case
An 11-year-old patient, who had catatrauma, sustained a closed comminuted fracture of the distal metaepiphyzes of the bones of both legs (AO type 43C2.1), with compartment syndrome and compression fracture of the L4 vertebral body (type A1). She underwent surgery in a regional center, and external fixation devices (EFDs) were installed for both feet and fasciotomy on both lower legs. Within 2 weeks, focal soft tissue necrosis developed in the lower third of the inner surface of the right leg, and necrectomy, vacuum-assisted closure therapy, and dressings were performed. Over time, a fistula with purulent discharge had formed. One month later, the EFD was remounted, with open reduction, and extracortical osteosynthesis of fragments of the fibula was performed. Three months after the injury, the EFD was dismantled, and the patient received outpatient follow-up and treatment (dressings and repeated courses of antibacterial therapy) by a traumatologist at the primary healthcare facility; however, fistulation was persistent. One year after the injury, the patient was rehospitalized to a regional clinic for a diagnosis of chronic post-traumatic osteomyelitis of the distal metadiaphysis of the right tibia. Status localis included pain in the ankle joint, presence of a fistula, and X-ray signs of chronic osteomyelitis of the distal metadiaphysis of the tibia. According to the documentation, the patient underwent sequester necrectomy of the lower third of the right tibia. Two weeks after the surgery, clinical signs of inflammatory activity persisted (seropurulent discharge and fistula).
She was admitted to the clinic 1.5 years after the injury, with complaints of right ankle joint pain and the presence of a fistula. No information was available about bacteriological testing in the accompanying documentation. The patient received repeated courses of antibiotics (ceftriaxone and lincomycin).
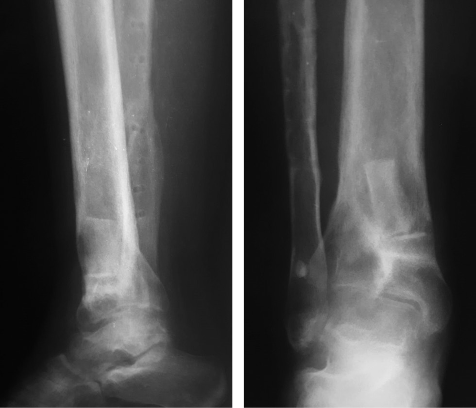
Status localis. The patient walks without aids and limps on the right limb. On the anterior inner surface of the leg in the lower third, a fistula of up to 5 mm in diameter was present, the skin around the fistula (up to 4 cm in diameter) was hyperemic and macerated, with cicatricial changes and scanty serous-purulent discharge (Fig. 4a). Palpation was moderately painful. Toe movement and sensitivity were preserved, and capillary response from the nail plates was brisk. The absolute length of the lower extremities was D < S per 1 cm. X-ray images of the right lower leg revealed a defect in the distal metaphysis of the tibia up to 1/2 the diameter, limited to a zone of sclerosis, proximal to the defect at the level of the metadiaphysis, a heterogeneous bone structure with small cysts, and undefined physeal zone. The fibula fracture consolidation with metal extracortical osteosynthesis was satisfactory (Fig. 4b).
Fig. 4. An 11-year-old female patient diagnosed with chronic post-traumatic osteomyelitis of the right tibia: a, appearance of the limb and the fistulous process; b, radiographs of the right ankle joint in two views
Bacteriological examination of the fistula discharge showed no growth.
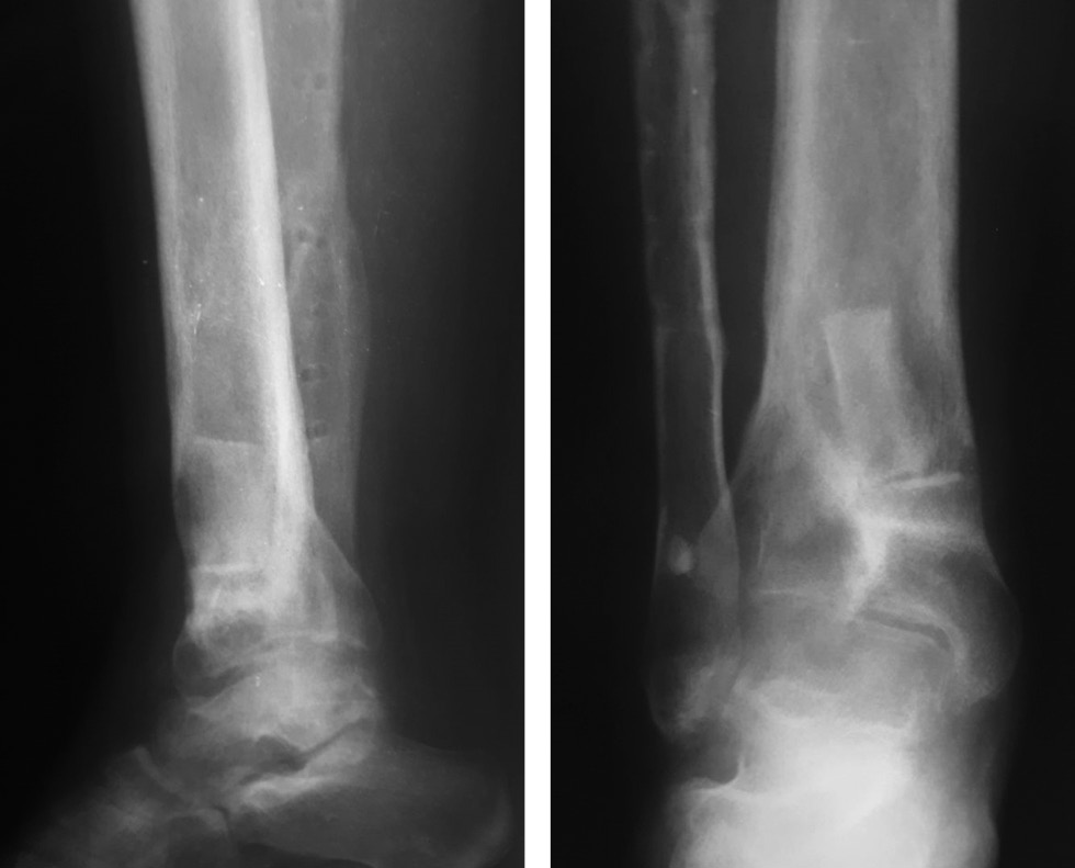
Considering the course of chronic osteomyelitis, complicated by a fistulous process with trophic changes in soft tissues, radical reconstructive intervention was decided, which included the removal of the hardware of the right fibula, fistulectomy of the lower third of the right tibia, osteonecrectomy of the distal metaphysis of the right tibia, bone autografting of the defect (iliac crest), plastic surgery of a wound defect using an islet dorsal foot graft with axial blood flow, and plastic surgery of the donor wound with a split skin graft (Fig. 5). Histological examination revealed chronic nonspecific inflammation with exacerbation, and bacteriological examination revealed S. aureus 103 with high sensitivity. The patient received a course of antibacterial therapy with cefazolin at an age-appropriate dose. In dynamics, the infectious and inflammatory process stopped. Control radiographs after 6 months showed the integration of bone grafts (Fig. 6). The support ability of the limb has been restored; when walking >1.5 km, she experienced pain (up to 3 points on the visual analog scale) in the ankle joint. The shortening did not increase during the follow-up period.
Fig. 5. Surgical wound (a): 1, zone of destruction; 2, wound defect after excision of the fistula; 3, dorsal foot flap on a vascular pedicle. The wound defect after fistulectomy is closed with a vascularized graft (b), a donor wound (c), control radiograph of the ankle joint in two views, and bone autoplasty of the tibial defect is determined (d): 1, bone grafts
Fig. 6. Control radiographs after 6 months and integration of bone grafts without signs of an infectious–destructive process
Persistent and recurrent SSIs in the instrumented and fixed area of the spine in two cases required hardware removal, despite repeated sanitizing procedures (3 and 5 in each case). In one case (persistent), after a decompressive and stabilizing intervention with spinopelvic fixation, the fixation system was removed, and a transition was made to percutaneous iliosacral fixation with screws. In the other case (recurrent SSIs), the fixation system was removed against the achieved spinal fusion without destabilizing the spinal segment. Implant removal ensured healing of the surgical wound in the usual time frame with stable relief of SSI.
In 18 (55%) patients, relief of the infectious process was achieved through a combination of surgical sanitation and negative pressure therapy. Two or more sanitizing procedures were performed. In the remaining 15 (45%) patients, a persistent positive effect was obtained after a single intervention. Three patients with osteomyelitic lesions of the femur, type IV according to Cierny–Mader, underwent segmental resection with extrafocal fixation and installation of a cement spacer with an antibiotic. After 4–5 months, the reconstructive stage was completed, and stable relief of the infectious and inflammatory process, consolidation of fragments, and restoration of limb support were noted in all cases.
The average number of interventions in the analyzed clinical series was 3.2 (1–12). No complications were observed. All patients with infection caused by multidrug-resistant flora underwent three or more interventions to stop the infectious–inflammatory process.
Antibacterial therapy was prescribed based on the principles of empirical treatment until obtaining microbiological results (broad-spectrum drugs covering Gram-positive and Gram-negative flora, cephalosporins + aminoglycoside) and etiotropic therapy taking into account sensitivity, with vancomycin/linezolid for resistant staphylococcal strains. The duration of antibiotic therapy ranged from 6 to 12 weeks (for chronic infection), and treatment was performed until the level of C-reactive protein and erythrocyte sedimentation rate normalized.
Recovery was achieved in 24 (71%) patients. A persistent anatomical and functional defect developed in 10 (29%) pediatric patients with disability. In all 10 patients, the treatment pause exceeded 3 months with chronicity of the process and extensive pathological changes in the affected bone and surrounding tissues. Persistent disabling outcomes included severe arthrosis and gross contractures of the joint in three pediatric patients, shortening of >20% of the segment length and its multiplanar deformity, pseudarthrosis in four patients, and a combination of these disorders in three patients.
Overall, in the clinical series, the mean duration of hospitalization was 41 (15–72) days.
DISCUSSION
In the analysis of the presented clinical series, infectious complications of injuries and osteosynthesis, including selective surgery of the musculoskeletal system in children, are not an exceptional event. In this case, primary infection resulting from an open fracture is not the most common. Literature data indicate the prevalence of osteosynthesis of fractures and peri-implantation (periprosthetic) infection among infectious complications [8, 9]. Moreover, the results revealed that the anatomical structure of the SSI is wide and generally corresponds to adult patients, when infectious complications more often arise during pelvic, spine, and hip surgeries.
Based on the obtained data, the interrelated problem of bacteriological verification and management approach appear relevant, where two aspects can be distinguished. The first aspect is associated with the lack of bacteriological diagnostics and monitoring of the infectious process by specialists supervising the child, combined with multiple courses of unnecessary antibacterial therapy, refusal of surgical treatment, and delayed routing of the patient to a specialized department (institution) for a persistent infectious–inflammatory process. Moreover, approach decisions and algorithms for the suspicion and onset of SSI are sufficiently covered in recent publications [10]. The second aspect is associated with clinical and laboratory dissociation, in which all manifestations of the infectious and inflammatory process are noted with a negative bacteriological result. Such clinical and laboratory dissociations may be caused by violations of the research methodology at different stages and course of the biofilm infection [11, 12]. Verification of biofilm infection requires molecular genetic diagnostic techniques alternative to the “gold standard” bacteriological research [12, 13]. The results of bacteriological research obtained in the analyzed clinical series indicate a high representation of resistant bacterial strains and microbial associations, which corresponds to modern trends in relation to the spectrum and characteristics of infectious pathogens [14, 15].
The prolonged diagnostics of complications, delay in the appropriate combined treatment, which in some cases exceeded 6 months, and progression of infectious destruction against the osteomyelitic process, are noteworthy. According to some studies, this is the main negative component of poor outcomes in the treatment of infectious complications of osteosynthesis [16].
Despite the high reparative abilities of the child’s body, infectious and inflammatory complications require resource-intensive and long-lasting treatment, and the average duration reaches 1.5 months and ends with a persistent anatomical and functional defect in a third of patients.
CONCLUSION
The analysis of the presented clinical series has several design limitations given the small sample and its heterogeneity. Moreover, it was possible to show the relevance of infectious complications in pediatric traumatology and orthopedics, which corresponds to general “adult” trends, and identify some patterns. Specifically, prolonged diagnostic and treatment pauses were noted, possibly due to insufficient coverage of the problem in the professional environment of specialists who provide assistance to pediatric patients with musculoskeletal injuries and pathologies. The collection, accumulation, and analysis of statistical data on infectious complications in pediatric traumatology and orthopedics, development of principles for routing these patients in the Russian Federation, and discussion of the problem in the context of educational activities (residency, educational seminars, and supplementary education) in pediatric traumatology, orthopedics, and surgery in specialized centers are considered important.
ADDITIONAL INFORMATION
Funding. The study had no external funding.
Conflict of interest. The authors declare no conflict of interest.
Ethical considerations. The study was discussed at a meeting of the local ethics committee of H. Turner National Medical Research Center for Children’s Orthopedics and Trauma Surgery of the Ministry of Health of the Russian Federation, and permission to publish the results was obtained (protocol No. 23-1 of 02/15/2023). The authors obtained informed consent from all patients in the analyzed group for examination and treatment, as well as collection, storage, and analysis of medical documentation data for scientific and educational purposes, and their publication.
Author contributions. V.I. Zorin conceptualized the design of the study, processed the data, and wrote and edited the article. M.E. Zuev selected and processed the data and wrote the article.
All authors made significant contributions to the study and preparation of the article, and they read and approved the final version before its publication.
About the authors
Vyacheslav I. Zorin
H. Turner National Medical Research Center for Children’s Orthopedics and Trauma Surgery; North-Western State Medical University named after I.I. Mechnikov
Email: zoringlu@yandex.ru
ORCID iD: 0000-0002-9712-5509
SPIN-code: 4651-8232
MD, PhD, Cand. Sci. (Med.), Assistant Professor
Russian Federation, Saint Petersburg; Saint PetersburgMaksim E. Zuev
Children’s City Hospital No. 22
Author for correspondence.
Email: doctorzuev@gmail.com
ORCID iD: 0009-0005-2208-4801
SPIN-code: 6618-4662
MD, Pediatric Surgeon
Russian Federation, Saint PetersburgReferences
- García Del Pozo E, Collazos J, Cartón JA, et al. Bacterial osteomyelitis: microbiological, clinical, therapeutic, and evolutive characteristics of 344 episodes. Rev Esp Quimioter. 2018;31(3):217–225.
- Kazaryan AM, Akopov AL, Rosok B, et al. Rossiiskaya redaktsiya klassifikatsii oslozhnenii v khirurgii. Vestnik khirurgii imeni I.I. Grekova. 2014;173(2):86–91. (In Russ.) doi: 10.24884/0042-4625-2014-173-2-86-91
- Bucher BT, Guth RM, Elward AM. Risk factors and outcomes of surgical site infection in children. J Am Coll Surg. 2011;212(6):1033–1038.e1. DOI: 0.1016/j.jamcollsurg.2011.01.065
- Walter N, Bärtl S, Alt V, et al. The epidemiology of osteomyelitis in children. Children (Basel). 2021;8(11):1000. doi: 10.3390/children8111000
- Subramanyam R, Schaffzin J, Cudilo EM, et al. Systematic review of risk factors for surgical site infection in pediatric scoliosis surgery. Spine J. 2015;15(6):1422–1431. doi: 10.1016/j.spinee.2015.03.005
- Metsemakers WJ, Morgenstern M, Senneville E, et al. General treatment principles for fracture-related infection: recommendations from an international expert group. Arch Orthop Trauma Surg. 2020;140(8):1013–1027. doi: 10.1007/s00402-019-03287-4
- Morgenstern M, Kuehl R, Zalavras CG, et al. The influence of duration of infection on outcome of debridement and implant retention in fracture-related infection. Bone Joint J. 2021;103-B(2):213–221. doi: 10.1302/0301-620X.103B2.BJJ-2020-1010.R1
- Volotovski PA, Sitnik AA, Beletsky AV. Infections after osteosynthesis of lower extremity long bones: etiology, classification and diagnosis. Voennaya meditsina. 2018;(1):83–89. (In Russ.)
- Khvostov DL, Privolnev VV. Prophylaxis of infections in trauma and orthopedic patients. Clinical Microbiology and Antimicrobial Chemotherapy. 2014;16(3):168–175. (In Russ.)
- Metsemakers WJ, Morgenstern M, Senneville E, et al. General treatment principles for fracture-related infection: recommendations from an international expert group. Arch Orthop Trauma Surg. 2020;140(8):1013–1027. doi: 10.1007/s00402-019-03287-4
- Lake J., Gordon O. Implant-associated spinal infections in children: how can we improve diagnosis and management? Infect Dis Clin North Am. 2022;36(1):101–123. doi: 10.1016/j.idc.2021.11.005
- Serbanescu MA, Apple CG, Fernandez-Moure JS. Role of resident microbial communities in biofilm-related implant infections: recent insights and implications. Surg Inf. 2023;24(3):258–264. doi: 10.1089/sur.2023.009
- Polyakova EM, Bozhkova SA. PCR in traumatology and orthopaedics: method description and applicability. Traumatology and Orthopedics of Russia. 2014;20(3):104–114. (In Russ.) doi: 10.21823/2311-2905-2014-0-3-104-114
- Bozhkova SA, Kasimova AR, Tikhilov RM, et al. Adverse trends in the etiology of orthopedic infection: results of 6-year monitoring of the structure and resistance of leading pathogens. Traumatology and Orthopedics of Russia. 2018;24(4):20–31. (In Russ.) doi: 10.21823/2311-2905-2018-24-4-20-31
- Antimicrobial Resistance Collaborators. Global burden of bacterial antimicrobial resistance in 2019: a systematic analysis. Lancet. 2022;10325(399):629–655. doi: 10.1016/S0140-6736(21)02724-0
- Morgenstern M, Kuehl R, Zalavras CG, et al. The influence of duration of infection on outcome of debridement and implant retention in fracture-related infection. Bone Joint J. 2021;103-B(2):213–221. doi: 10.1302/0301-620X.103B2.BJJ-2020-1010.R1
Supplementary files









