Evaluation of the role of ventral interventions in the surgery of idiopathic scoliosis in patients with active bone growth
- Authors: Chernyadjeva M.A.1, Vasyura A.S.1, Novikov V.V.1
-
Affiliations:
- Novosibirsk Research Institute of Traumatology and Orthopaedics named after Ya.L. Tsivyan
- Issue: Vol 9, No 1 (2021)
- Pages: 17-28
- Section: Original Study Article
- Submitted: 03.12.2020
- Accepted: 04.02.2021
- Published: 15.03.2021
- URL: https://journals.eco-vector.com/turner/article/view/52706
- DOI: https://doi.org/10.17816/PTORS52706
- ID: 52706
Cite item
Abstract
BACKGROUND: Today, the question of the tactics of surgical treatment of patients with idiopathic scoliosis during active bone growth, namely, the need for ventral interventions due to the emergence of modern dorsal instruments, remains open.
AIM: This study aims to evaluate the role of ventral interventions in the surgical treatment of patients with progressive idiopathic scoliosis Lenke type 1, 2, 3 during the period of active bone growth.
MATERIALS AND METHODS: The long-term results of operational correction 352 patients with thoracic idiopathic scoliosis aged from 10 to 14 years old operated in Novosibirsk Research Institute of Traumatology and Orthopedics n.a. Ya.L. Tsivyan from 1998 to 2018 using various methods and different instrumentation types.
RESULTS: Among patients (352 people) aged 10 to 14 years with idiopathic thoracic scoliosis (Lenke type 1, 2, 3), statistically significant postoperative progression was observed in patients who underwent surgical deformity correction using laminar (hook) fixation. At the same time, additional ventral stage conduction could not prevent deformity progression in the postoperative period. In those groups where hybrid fixation was used combined with the ventral stage and total transpedicular fixation, no significant progression was observed in the postoperative period.
CONCLUSION: Modern dorsal systems for transpedicular fixation narrow the indications for using additional mobilizing and stabilizing ventral interventions in the surgical treatment of progressive idiopathic scoliosis in patients with active bone growth. Total transpedicular fixation provides excellent main curve and anti-curvature arch correction in the absence of scoliotic deformity progression in the postoperative long-term follow-up.
Full Text
BACKGROUND
Planning the entire treatment process is the primary step in the surgical treatment of idiopathic scoliosis, including techniques, stages of surgical intervention, and types of surgical hardware, to achieve maximum correction of spinal deformities.
At present, we have the richest global experience in the treatment of spinal deformities, including techniques and approaches to correct scoliotic deformities of various etiologies. Many of these approaches represent only historical interest to contemporaries, while others are currently actively used.
When correcting deformities of the spine with a rigid or rough main thoracic scoliotic curve [1, 2] in patients with matured bones, interventions on the ventral spine mainly aimed at increasing the mobility of the main scoliotic curve, which influences the cosmetic outcomes of surgical treatment [3, 4].
In patients with immature bones , ventral interbody fusion and epiphyseal fusion provide not only additional release of the spine before the corrective stage, but also contribute to the formation of a bone block which thereby prevents the development of the crankshaft phenomenon, postoperative progression, and loss of the achieved correction of spinal deformity [5].
Currently, many researchers question the role of ventral interventions due to the widespread use of dorsal instrumentation with transpedicular fixation and the possibility of instrumentation of the apex of the main scoliotic curve [6, 7]. Thus, this study focuses on the issue of the appropriateness of the ventral stage in the surgical treatment of patients with progressive idiopathic scoliosis during the period of active bone growth. This topic is relevant, since idiopathic scoliosis is the most common form of spinal deformity, and the need for ventral interventions in this age group of patients remains uncertain due to the emergence of modern dorsal instrumentation.
This study aimed to evaluate the role of ventral interventions in the surgical treatment of patients with progressive Lenke idiopathic scoliosis of types 1–3 during the period of active bone growth.
MATERIALS AND METHODS
We attempted to assess the need for ventral interventions in patients with progressive idiopathic scoliosis based on the surgical outcomes of 352 patients aged 10–14 years experiencing continued active growth, with Lenke spinal deformities of types 1–3, who underwent surgery at the Ya.L. Tsivyan Novosibirsk Research Institute of Traumatology and Orthopedics from 1998 to 2018.
Patients were selected according to the following criteria: idiopathic scoliosis (Lenke types 1–3), aged 10–14 years, presence of scoliotic deformity of ≥40°, postoperative follow-up of at least 24 months, incomplete bone growth (Risser stages 0–3), initial absence of neurological deficit, and no history of surgery for the underlying disease.
Before surgery, all patients underwent radiography of C7–S1 in frontal and lateral projections, and functional images were taken in lateral inclination toward the curvature. Computed tomography and magnetic resonance imaging were also performed to rule out congenital malformations of bone structures and spinal cord.
Postoperative examination included radiography of the C7–S1 in frontal and lateral views. The results of correction of the main scoliotic curve and lumbar anti-curvature, degree of postoperative progression of deformities, and dynamics of changes in the sagittal contour were evaluated. The time of surgery, amount of intraoperative blood loss, and number of spinal motion segments included in the instrumentation zone were taken into account. In the preoperative and postoperative periods, all patients were examined by a neurologist to identify possible neurological complications.
In addition, the amount of apical vertebral rotation (AVR) of the main scoliotic curve was determined in all patients according to the equation proposed by Sullivan et al. [8]:
AVR/Sullivan torsion = = 0.26 (kyphosis of Th5–Th12) + 0.34 (Cobb angle) – 5.38.
The normal distribution of indicators in groups was tested using the Shapiro–Wilk test, which revealed that all indicators were distributed normally. Differences were considered significant at p < 0.05. The relationship of statistical indicators was established by the Pearson correlation coefficient (r) to identify linear relationships and by the Spearman coefficient for nonlinear relationships. Parameters were calculated using the IBM SPSS Statistics 22 software.
RESULTS
In the Ya.L. Tsivyan Novosibirsk Research Institute of Traumatology and Orthopedics, in the period from 1998 to 2018, 352 patients with progressive idiopathic scoliosis underwent surgery during the period of active bone growth.
All patients were distributed into five groups depending on the method of surgical intervention. Surgery was performed using hybrid fixation without the ventral stage in group 1 (n = 57), with hybrid fixation in combination with the ventral stage in group 2 (n = 22), with total transpedicular fixation without the ventral stage in group 3 (n = 99 patients), with laminar fixation without the ventral stage in group 4 (n = 43), and with laminar fixation in combination with the ventral stage in group 5 (n = 131).
Groups 1–3 underwent surgery in the period from 2009 to 2018, and groups 4 and 5 underwent surgery in the period from 1998 to 2009.
In group 1 (Table 1), the preoperative size of the thoracic scoliotic curve was 61.0 ± 13.6°, and the postoperative thoracic scoliotic curve was reduced to 18.5 ± 10.4° (p < 0.05). The value of the primary correction was 42.5 ± 9.1°, which was found in 70.8 ± 12.2% of the cases (p < 0.05). Postoperative progression was on average 5.9 ± 3.2°, which was found in 14.3 ± 8.3% of the cases (Fig. 1). The average patient age was 12.6 ± 0.7 years, and the average duration of postoperative follow-up was 46.5 ± 25.6 months.
In group 2 (Table 2), the preoperative size of the thoracic scoliotic curve was 78.9 ± 19.5°, and the postoperative thoracic scoliotic curve was reduced to 25.1 ± 12.7° (p < 0.05). The value of the primary correction was 53.8 ± 13.1°, which was found in 68.7 ± 10.0% of the cases (p < 0.05). Postoperative progression was on average 1.9 ± 1.1°, which was found 3.8 ± 2.2% of the cases (Fig. 2). The average patient age was 12.1 ± 1.0 years, and the average duration of postoperative follow-up was 76.5 ± 34.5 months.
In group 3 (Table 3), the preoperative size of the thoracic scoliotic curve was 68.9 ± 20.3°, and the postoperative thoracic scoliotic curve was reduced to 16.1 ± 11.5° (p < 0.05). The value of the primary correction was 52.8 ± 12.4°, which was found in 78.2 ± 10.1% of the cases (p < 0.05). There was no postoperative progression in the immediate postoperative period and at the end of the follow-up period (Fig. 3). The average patient age was 12.9 ± 1.1 years, and the average duration of postoperative follow-up was 28.1 ± 16.7 months.
In groups 2 and 3, no significant progression of the main scoliotic curve was found in the postoperative period (Tables 2 and 3).
Surgical outcomes of patients with progressive idiopathic Lenke type 1–3 scoliosis using laminar fixation (groups 4 and 5) were compared, since they have the longest postoperative follow-up.
Table 1. Dynamics of X-ray parameters in patients who underwent hybrid fixation without the ventral stage
Measurement parameters | Before surgery, degrees M ± m | After surgery, degrees M ± m | Last control, degrees M ± m | Correction, degrees (%) M ± m | Correction loss, degrees (%) M ± m |
Thoracic curve | 61 ± 13.6 | 18.5 ± 10.4 | 24.4 ± 10.1 | 42.5 ± 9.1 (70.8 ± 12.2) | 5.9 ± 3.2 (14.3 ± 8.3) |
Lumbar anti-curvature | 40.7 ± 17.9 | 8.3 ± 10.3 | 9.5 ± 12.3 | 32.4 ± 15.5 (80.2 ± 19.6) | 1.2 ± 2.8 (9.5 ± 26.8) |
Kyphosis | 28.1 ± 12.5 | 22.9 ± 7.6 | 24.9 ± 7.4 | – | – |
Lordosis | 57 ± 11.8 | 50.5 ± 10.9 | 51.1 ± 11.5 | – | – |
Sullivan torsion | 22.7 ± 6.4 | 6.9 ± 4.4 | 9.4 ± 4.5 | – | – |
Note. p < 0.05.
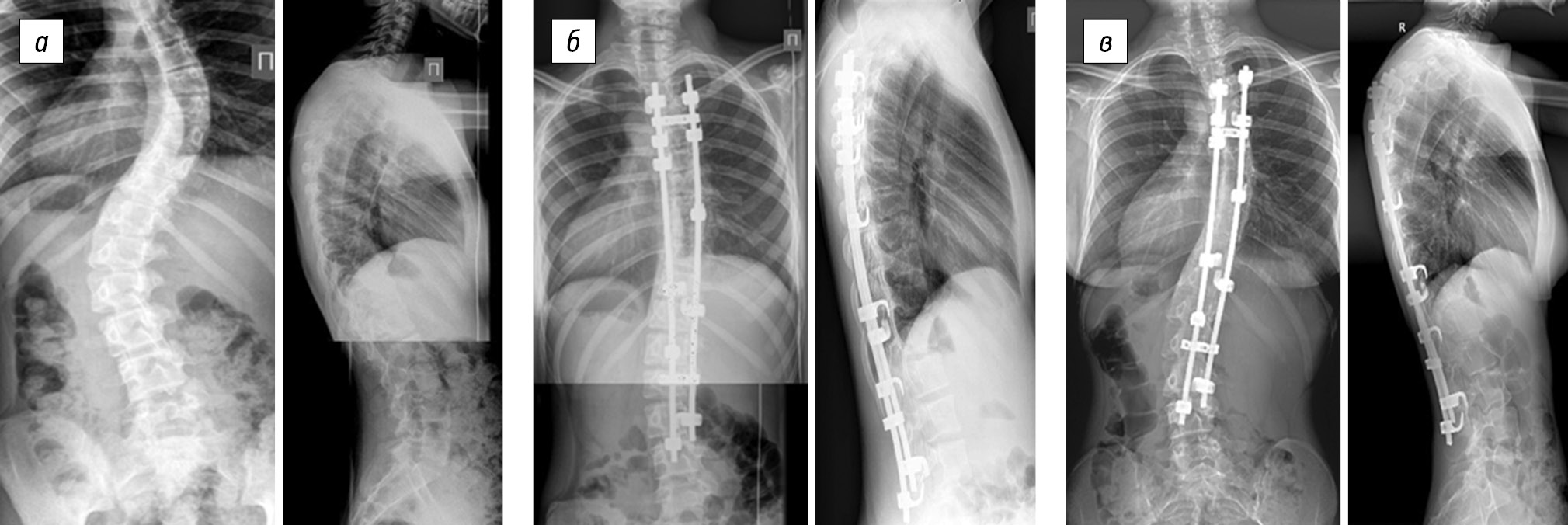
Fig. 1. Radiographs of a 13-year-old patient in two views: a — preoperative image of the right-sided thoracic scoliotic deformity of IV degree (74° according to Cobb) with lumbar anti-curvature (47°), with thoracic kyphosis of 24° and lumbar lordosis of 67°; b — surgical correction of scoliotic deformity of the spine using hybrid fixation without ventral intervention results in main thoracic curve of 30°; lumbar anti-curvature of 10°, thoracic kyphosis of 18°, and lumbar lordosis of 60°; c — X-ray control 3 years after the surgery revealed main thoracic curve of 46°, lumbar anti-curvature of 10°, thoracic kyphosis of 18°, and lumbar lordosis of 76°
Table 2. Dynamics of X-ray parameters in patients who underwent hybrid fixation with the ventral stage
Measurement parameters | Before surgery, degrees M ± m | After surgery, degrees M ± m | Last control, degrees M ± m | Correction, degrees (%) M ± m | Correction loss, degrees (%) M ± m |
Thoracic curve | 78.9 ± 19.5 | 25.1 ± 12.7 | 27.0 ± 12.3 | 53.8 ± 13.1 (68.7 ± 10.0) | 1.9 ± 1.1 (3.8 ± 2.2) |
Lumbar anti-curvature | 50.3 ± 13.0 | 10.3 ± 9.7 | 11.7 ± 17.8 | 40.0 ± 12.5 (79.8 ± 17.8) | 1.3 ± 1.0 (3.6 ± 4.0) |
Kyphosis | 41.01 ± 19.6 | 24.3 ± 8.3 | 25.4 ± 8.5 | – | – |
Lordosis | 62.2 ± 11.0 | 49.4 ± 8.6 | 50.1 ± 8.3 | – | – |
Sullivan torsion | 32.09 ± 9.63 | 9.6 ± 6.1 | 9.7 ± 6.3 | – | – |
Note. p < 0.05.
Fig. 2. Radiographs of an 11-year-old female patient in two views: a — preoperative image showing degree IV right-sided thoracic scoliotic deformity (64° according to Cobb) with lumbar anti-curvature (33°), thoracic kyphosis of 36°, and lumbar lordosis of 52°; b — surgical correction of scoliotic deformity of the spine using hybrid fixation in combination with mobilizing discectomy at the levels of Th6–Th7, Th7–Th8, Th8–Th9, and Th9–Th10 results in main thoracic curve of 21°, with complete correction of the anti-curvature curve, thoracic kyphosis of 18°, and lumbar lordosis of 33; c — X-ray control 3 years after the surgery revealed main thoracic curve of 23°, thoracic kyphosis of 18°, and lumbar lordosis of 46°
Table 3. Dynamics of X-ray parameters in patients who underwent total transpedicular fixation without the ventral stage
Measurement parameters | Before surgery, degrees M ± m | After surgery, degrees M ± m | Last control, degrees M ± m | Correction, degrees (%) M ± m | Correction loss, degrees (%) M ± m |
Thoracic curve | 68.9 ± 20.3 | 16.1 ± 11.5 | 16.3 ± 11.6 | 52.8 ± 12.4 (78.2 ± 10.1) | – |
Lumbar anti-curvature | 40.9 ± 18.2 | 8.1 ± 8.1 | 8.2 ± 8.1 | 32.8 ± 14.6 (83.0 ± 14.2) | – |
Kyphosis | 29.7 ± 16.0 | 23.2 ± 6.6 | 23.4 ± 6.7 | – | – |
Lordosis | 56.3 ± 15.6 | 48.2 ± 8.6 | 48.6 ± 8.6 | – | – |
Sullivan torsion | 25.3 ± 9.1 | 6.2 ± 4.6 | 6.2 ± 4.6 | – | – |
Note. p < 0.05.
In group 4 (Table 4), the initial mean main scoliotic curve was 59.4 ± 15.0°. Primary correction was 42.1 ± 10.2°, which was found in 71.3 ± 9.2% of the cases (p < 0.05), that is, following surgery, the thoracic scoliotic curve decreased to 17.3 ± 8.2° (p < 0.05). During postoperative follow-up, patients experienced progression of the main scoliotic curve, which was 13.3 ± 7.4°, and found in 32.1 ± 16.6% of the cases (Fig. 4). The average patient age was 13.1 ± 0.8 years, and the average duration of postoperative follow-up was 154.9 ± 77.1 months.
Fig. 3. Radiographs of a 10-year-old female patient in two views: a — preoperative image of degree IV scoliotic deformity (50° according to Cobb) with equivalent right-sided thoracic and left-sided lumbar curves, thoracic kyphosis of 29°, and lumbar lordosis of 57°; b — surgical correction of scoliotic deformity of the spine using total transpedicular fixation without ventral intervention results in main thoracic curve of 11°, lumbar anti-curvature of 8°, thoracic kyphosis of 19°, and lumbar lordosis of 45°; c — X-ray control 6 years after the surgery revealed the main thoracic curve of 11°, lumbar anti-curvature of 8°, thoracic kyphosis of 19°, and lumbar lordosis of 57°
Table 4. Dynamics of X-ray parameters in patients who underwent laminar (hook) fixation without ventral intervention
Measurement parameters | Before surgery, degrees M ± m | After surgery, degrees M ± m | Last control, degrees M ± m | Correction, degrees (%) M ± m | Correction loss, degrees (%) M ± m |
Thoracic curve | 59.4 ± 15.0 | 17.3 ± 8.2 | 30.6 ± 10.8 | 42.1 ± 10.2 (71.3 ± 9.2) | 13.3 ± 7.4 (32.1 ± 16.6) |
Lumbar anti-curvature | 37.5 ± 17.2 | 13.9 ± 9.3 | 21.7 ± 9.1 | 23.6 ± 13.2 (63.8 ± 20.3) | 7.8 ± 5.0 (40.1 ± 24.6) |
Kyphosis | 27.7 ± 14.5 | 20.0 ± 7.1 | 26.9 ± 9.4 | – | – |
Lordosis | 54.9 ± 13.3 | 45.6 ± 8.5 | 50.5 ± 10.8 | – | – |
Sullivan torsion | 22.0 ± 6.9 | 5.7 ± 3.6 | 12.0 ± 4.5 | – | – |
Note. p < 0.05.
Fig. 4. Radiographs of an 11-year-old female patient in two views: a — preoperative image of degree IV right-sided thoracic scoliotic deformity (42° according to Cobb), with thoracic kyphosis of 25° and lumbar lordosis of 60°; b — surgical correction of scoliotic deformity of the spine using laminar fixation without ventral intervention resulted in the main thoracic curve of 12°, thoracic kyphosis of 13°, and lumbar lordosis of 48°; c — X-ray control 1 year after the surgery revealed the main thoracic curve of 46°, thoracic kyphosis of 21°, and lumbar lordosis of 54°
Table 5. Dynamics of X-ray parameters in patients who underwent laminar (hook) fixation in combination with ventral intervention
Measurement parameters | Before surgery, degrees M ± m | After surgery, degrees M ± m | Last control, degrees M ± m | Correction, degrees (%) M ± m | Correction loss, degrees (%) M ± m |
Thoracic curve | 82.8 ± 22.6 | 31.2 ± 18.5 | 38.3 ± 20.8 | 51.6 ± 13.6 (64.4 ± 14.6) | 7.1 ± 7.5 (15.0 ± 16.5) |
Lumbar anti-curvature | 43.0 ± 24.5 | 16.9 ± 14.0 | 23.1 ± 16.6 | 26.1 ± 15.7 (67.2 ± 19.7) | 6.2 ± 6.0 (23.9 ± 24.3) |
Kyphosis | 47.1 ± 27.6 | 30.8 ± 14.8 | 36.0 ± 17.5 | – | – |
Lordosis | 65.2 ± 13.7 | 51.2 ± 9.5 | 57.8 ± 10.9 | – | – |
Sullivan torsion | 35.0 ± 13.2 | 15.6 ± 10.1 | 16.9 ± 10.7 | – | – |
Note. p < 0.05.
Fig. 5. Radiographs of a 13-year-old female patient in two views: a — preoperative image of degree IV right-sided thoracic scoliotic deformity (51° according to Cobb) with lumbar anti-curvature (49°), thoracic kyphosis of 62°, and lumbar lordosis of 59°; b — surgical correction of scoliotic deformity of the spine using laminar fixation in combination with mobilizing discectomy at the levels of Th5–Th6, Th6–Th7, Th7–Th8, and Th8–Th9 results in main thoracic curve of 24°, lumbar anti-curvature of 20°, thoracic kyphosis of 40°, and lumbar lordosis of 46°; c — X-ray control 6 years after surgery revealed the main thoracic curve of 35°, lumbar anti-curvature of 34°, thoracic kyphosis of 51°, and lumbar lordosis of 57°
Table 6. Comparative characteristics of the intraoperative blood loss volume, duration of surgery, and length of dorsal and ventral fusions depending on the method of surgical correction
Method | Blood loss, ml M ± m | Duration of surgery, min M ± m | Length of dorsal fusion, number of motor segments M ± m | Length of ventral fusion, number of motor segments M ± m |
Hybrid fixation without ventral stage | 577.5 ± 224.3 | 162.8 ± 31.1 | 13.1 ± 0.8 | – |
Hybrid fixation combined with ventral stage | 831.6 ± 472.4 | 229.4 ± 37.0 | 13 ± 0.7 | 2.8 ± 0.7 |
Total transpedicular fixation without ventral stage | 677.4 ± 222.7 | 211.7 ± 36.4 | 12.8 ± 0.7 | – |
Laminar fixation without ventral stage | 475.3 ± 306.5 | 130.4 ± 22.1 | 12.8 ± 1.0 | – |
Laminar fixation combined with ventral stage | 747.6 ± 296.9 | 198.3 ± 40.6 | 12.6 ± 1.0 | 2.8 ± 0.7 |
Note. p < 0.05.
In group 5 (Table 5), the average preoperative size of the thoracic scoliotic curve was 82.8 ± 22.6°, and the postoperative main scoliotic curve decreased to 31.2 ± 18.5° (p < 0.05), that is, the value of the primary correction was 51.6 ± 13.6°, which was found in 64.4 ± 14.6% of the cases (p < 0.05). Postoperative progression was on average 7.1 ± 7.5°, which was found in 15.0 ± 16.5% of the cases (Fig. 5). The average patient age was 12.4 ± 1.0 years, and the average duration of postoperative follow-up was 99.6 ± 29.3 months.
The results of the data analysis revealed significant postoperative progression in groups 4 and 5, where laminar fixation was used. At the same time, additional ventral intervention could not prevent the progression of deformity in the postoperative period (Tables 4, 5).
Among the examined groups, patients who underwent surgical treatment using hybrid fixation in combination with the ventral stage had the largest intraoperative blood loss volume (831.6 ± 472.4 ml), and minimum blood loss was noted in patients who underwent surgical treatment using only laminar (hook) fixation (475.3 ± 306.5 ml). The same pattern was found in relation to the duration of surgical intervention, as the longest surgical time was recorded for hybrid fixation in combination with the ventral stage (229.4 ± 37.0 min), and shortest surgical time was recorded for laminar fixation (130.4 ± 22.1 min) (Table 6).
No neurological complications were recorded in the early and late postoperative periods.
DISCUSSION
Indications for the use of ventral intervention in the surgical treatment of patients with idiopathic scoliosis have been framed in the presence of a rough and rigid primary thoracic scoliotic curve [9–11].
Thus, the classical approach to the surgical treatment of such deformities is explained by the need for additional release of the main scoliotic curve to achieve optimal correction of the spinal deformity [12].
In addition, some authors argued that anterior release enables achievement of better correction outcomes in both the frontal and sagittal planes [13]. However, in patients with immature bones, specifically those aged 10–14 years, who can be distributed into an independent subgroup of adolescence [14], the main task of ventral interventions is spine stabilization, followed by increasing the mobility of the deformity. To achieve stable correction in patients with incomplete bone growth Dubousset et al. [15] recommended ventral fusion in combination with posterior instrumental fixation.
In connection with the evolution of dorsal hardware for surgery of idiopathic scoliosis with the possibility of using transpedicular fixation and the segmental effect on the deformed spine, the need for anterior intervention in patients during the period of active bone growth is controversial [16]. The influence of ventral interventions on the correction of scoliotic deformities in the sagittal plane is also questioned [17]. To enhance the mobility of rigid and gross scoliotic deformities with the main thoracic curve in growing patients, ventral release is not necessary, because many researchers reported that ventral interventions can lead to additional problems and complications, primarily a decrease in pulmonary function [18–20].
When correcting a severe form of idiopathic scoliosis, Baklanov [21] recommended transpedicular fixation with unilateral double-rod apical direct derotation. Moreover, to achieve maximum mobility of the spine, the ventral stage is not necessary; osteotomy is sufficient according to Smith–Peterson or Ponte at levels 6–8.
The international literature proposed Smith–Peterson osteotomy as an alternative variant of ventral release for the treatment of scoliotic deformities. These interventions are most often used for gross and rigid deformities of the spine as well as for fixed frontal and sagittal imbalance [22, 23].
Smith–Peterson osteotomies are considered analogs of ventral release in single- and multi-stage surgical treatment in patients for whom thoracotomy at the apex of the deformity is contraindicated, which can increase the mobility of the spine only from the dorsal approach [24].
Based on our experience and literature data [22, 25], to achieve mobility of the spinal deformity necessary for correction with dorsal instrumentation, in most patients, intraoperative soft tissue mobilization is sufficient.
According to Cheng et al. [18], even in adolescents aged 10–14 years, sole use of posterior segmental hybrid instrumentation can provide the same correction of rigid idiopathic scoliosis of more than 75°, as in two-stage surgery with mobilizing discectomy.
Some authors have suggested performing intraoperative or preoperative traction, which, together with posterior instrumentation and transpedicular fixation, avoids ventral intervention without compromising the result of surgical treatment of gross and rigid idiopathic scoliosis [9, 26].
What is the role of additional ventral interventions in the surgical treatment of idiopathic scoliosis in patients aged 10–14 years during the period of active bone growth? Is their use justified when using modern dorsal instrumentation with transpedicular fixation and the possibility of segmental affected the deformed spine? Undoubtedly, in most cases, dorsal surgery helps achieve optimal outcomes of surgical treatment of idiopathic scoliosis without ventral release and stabilization [6, 7, 18].
However, in certain cases, it is impossible to achieve good outcomes following surgical correction of idiopathic scoliosis without additional ventral intervention, without fear of postoperative progression in patients of this age group. For example, it is not always possible to install transpedicular screws on each vertebra of the main scoliotic curve because of anatomical factors. In this case, optimal surgical correction can be obtained with additional ventral release and stabilization [27, 28].
The results of our clinical presentation indicate the positive contribution of ventral interventions to the achievement of optimal surgical correction of idiopathic scoliosis using laminar fixation. When using surgical hardware with hook fixation, additional ventral release and stabilization were the method of choice, since this group had less primary correction and significant postoperative progression.
In patients with incomplete growth, who underwent surgery using laminar and hybrid fixation, ventral intervention was practically mandatory to exclude postoperative progression and prevent the development of the “crankshaft” phenomenon [29]. However, our results indicate that additional ventral intervention could not prevent the progression of deformity in the postoperative period.
If transpedicular instrumentation is used in this patient population, ventral interventions are necessary if complete segmental instrumentation of the main scoliotic curve is impossible owing to the individual anatomical aspects of the thoracic spine, which do not allow the apex of the main scoliotic curve to be included in the instrumented fusion zone.
CONCLUSION
Modern dorsal transpedicular fixation systems narrow the indications for additional mobilizing and stabilizing ventral interventions in the surgical treatment of progressive idiopathic scoliosis in patients with active bone growth. Total transpedicular fixation provides excellent correction of the main curve and the anti-curvature curve in the absence of progression of scoliotic deformity with long-term postoperative follow-up. However, when instrumentation of the main scoliotic curve is impossible, there is a pronounced rigidity of the spinal deformity. To prevent the “crankshaft” phenomenon and to achieve maximum clinical outcomes, fixation with dorsal segmental instrumentation should be combined with ventral interventions.
ADDITIONAL INFORMATION
Funding. The study was financially supported by the Ya.L. Tsivyan Novosibirsk Research Institute of Traumatology and Orthopedics, Ministry of Health of the Russian Federation.
Conflict of interest. The authors declare no conflict of interest.
Ethical considerations. Based on the results of the conclusion of the local ethical committee of Ya.L. Tsivyan Novosibirsk Research Institute of Traumatology and Orthopedics, the Ministry of Health of Russia (extract from the minutes of the meeting No. 045/20 dated December 16, 2020), we confirm that the work “Evaluation of the role of ventral interventions in the surgery of idiopathic scoliosis in patients with active bone growth” by M.A. Chernyadjeva, A.S. Vasyura, and V.V. Novikov may be published in the open press and does not comprise confidential information.
Author contributions. M.A. Chernyadjeva developed the research design, analyzed the data, reviewed publications on the topic of the article, and wrote the text of the article. A.S. Vasyura formulated the statement of the research problem, obtained data for analysis, and analyzed the data. V.V. Novikov generated the research idea, obtained data for analysis, and analyzed the data.
All authors made significant contributions to the research and preparation of the article and read and approved the final version before publication.
About the authors
Marija A. Chernyadjeva
Novosibirsk Research Institute of Traumatology and Orthopaedics named after Ya.L. Tsivyan
Author for correspondence.
Email: MChernyadjeva@yandex.ru
ORCID iD: 0000-0002-5034-6515
SPIN-code: 6589-2217
MD, PhD student
Russian Federation, 17 Frunze str., Novosibirsk, 630091Aleksandr S. Vasyura
Novosibirsk Research Institute of Traumatology and Orthopaedics named after Ya.L. Tsivyan
Email: niito@niito.ru
ORCID iD: 0000-0002-2473-3140
SPIN-code: 5631-3912
MD, PhD
Russian Federation, 17 Frunze str., Novosibirsk, 630091Vyacheslav V. Novikov
Novosibirsk Research Institute of Traumatology and Orthopaedics named after Ya.L. Tsivyan
Email: VNovikov@niito.ru
ORCID iD: 0000-0002-9130-1081
SPIN-code: 4367-4143
MD, PhD, D.Sc.
Russian Federation, 17 Frunze str., Novosibirsk, 630091References
- Usikov VD, Ptashnikov DA, Mikhaylov SA, Smekalenkov OA. Ventral operations in patients with rigid scoliotic deformities. Traumatology and Orthopedics of Russia. 2009;2(52):39–45. (In Russ.)
- Potaczek T, Jasiewicz B, Tesiorowski M, Zarzycki D, Szcześniak A. Treatment of idiopathic scoliosis exceeding 100 degrees – comparison of different surgical techniques. Ortop Traumatol Rehabil. 2009;11(6):485–494.
- Ruf M, Letko L, Matis N, Merk HR, Harms J. Effect of anterior mobilization and shortening in the correction of rigid idiopathic thoracic scoliosis. Spine (Phila Pa 1976). 2013;38(26): 1662–1668. doi: 10.1097/BRS.0000000000000030
- Böhm H, El Ghait H, Shousha M. Simultaneous thoracoscopically assisted anterior release in prone position and posterior scoliosis correction: What are the limits? Orthopade. 2015;44(11):885–895. doi: 10.1007/s00132-015-3167-z
- Lapinsky AS, Richards BS. Preventing the crankshaft phe-nome non by combining anterior fusion with posterior instrumentation. Does it work? Spine. 1995;20(12):1392–1398. doi: 10.1097/00007632-199506000-00011
- Luhmann SJ, Lenke LG, Kim YJ, et al. Thoracic adolescent idiopathic scoliosis curves between 70 and 100 degrees: is anterior release necessary? Spine. 2005;30:2061–2067. doi: 10.1097/01.brs.0000179299.78791.96
- Arlet V, Jiang L, Quellet J. Is there a need for anterior release for 70-90° thoracic curves in adolescent scoliosis? Eur Spine J. 2004;13:740–745. doi: 10.1007/s00586-004-0729-x
- Sullivan TB, Bastrom T, Reighard F, Jeffords M, Newton PO. A novel method for estimating three-dimensional apical vertebral rotation using two-dimensional coronal Cobb angle and thoracic kyphosis. Spine Deform. 2017;5:244–249. doi: 10.1016/jjspd.2017.01.012
- Zhang H-Q, Wang Y-X, Guo Ch-F, et al. Posterior-only surgery with strong halo-femoral traction for the treatment of adolescent idiopathic scoliotic curves more than 100°. Int Orthop. 2011;35(7):1037–1042.
- Li M, Liu Y, Zhu XD, et al. Surgical results of one stage anterior release and posterior correction for treatment of severe scoliosis. Chin J Orthop (Chin). 2004;24:271–275.
- Sánchez-Márquez JM, Sánchez Pérez-Grueso FJ, Pérez Martín-Buitrago M, et al. Severe idiopathic scoliosis. Does the approach and the instruments used modify the results? Rev Esp Cir Ortop Traumatol. 2014;58(3):144–151. doi: 10.1016/j.recot.2013.11.010
- Qiu Y, Zhu LH, Lv JY, et al. Surgical strategy and correction technique for scoliosis of more than 90°. Chin J Surg. 2001;39:102–105.
- Lonner BS, Toombs C, Parent S, et al. Is anterior release obsolete or does it play a role in contemporary adolescent idiopathic scoliosis surgery? A matched pair analysis. J Pediatr Orthop. 2020;40(3):e161–e165. doi: 10.1097/BPO.0000000000001433
- Mikhailovsky MV, Sadovoy MA, Novikov VV, et al. The modern concept of early detection and treatment of idiopathic scoliosis. Hir Pozvonoc. 2015;12(3):13–18. (In Russ.). doi: 10.14531/ss2015.3.13-18
- Dubousset J, Herring JA, Shufflebarger H. The crankshaft phenomenon. Journal of Pediatric Orthopedics. 1989;9(5):541–550.
- Dobbs MB, Lenke LG, Kim YJ, et al. Anterior/posterior spinal instrumentation versus posterior instrumentation alone for the treatment of adolescent idiopathic scoliotic curves more than 90°. Spine. 2006;31:2386–2391. doi: 10.1097/01.brs.0000238965.81013.c5
- Ferrero E, Pesenti S, Blondel B, et al. Role of thoracoscopy for the sagittal correction of hypokyphotic adolescent idiopathic scoliosis patients. Eur Spine J. 2014;23(12):2635–2642.
- Cheng MF, Ma HL, Lin HH, et al. Anterior release may not be necessary for idiopathic scoliosis with a large curve of more than 75° and a flexibility of less than 25. Spine J. 2018;18(5):769–775. doi: 10.1016/j.spinee.2017.09.001
- Lenke LG, Newton PO, Marks MC, et al. Prospective pulmonary function comparison of open versus endoscopic anterior fusion combined with posterior fusion in adolescent idiopathic scoliosis. Spine. 2004;29:2055–2060. doi: 10.1097/01.brs.0000138274.09504.38
- Kim YJ, Lenke LG, Bridwell KH, et al. Pulmonary function in adolescent idiopathic scoliosis relative to the surgical procedure. J Bone Joint Surg Am. 2005;87:1534–1541. doi: 10.2106/JBJS.C.00978
- Baklanov AN. Surgical technologies in the treatment of severe scoliotic deformities [dissertation]. Moscow; 2017. (In Russ.)
- Diab MG, Franzone JM, Vitale MG. The role of posterior spinal osteotomies in pediatric spinal deformity surgery. J Pediatr Orthop. 2011;31:S88–S98. doi: 10.1097/BPO.0b013e3181f73bd4
- Bridwell KH, Anderson PA, Boden SD, Vaccaro AR, Wang JC. What’s new in spine surgery. Hirurgiâ pozvonočnika. Spine Surgery. 2009;(2):99–111. doi: 10.14531/ss2009.2.99-111
- Sazhnev ML. Surgical treatment of scoliotic deformity using Smith-Petersen osteotomy [dissertation]. Moscow; 2013. (In Russ.)
- Gokcen B, Yilgor C, Alanay A. Osteotomies/spinal column resection in paediatric deformity. Eur J Orthop Surg Traumatol Received. 2014;24:59–68. doi: 10.1007/s00590-014-1477-1
- LaMothe JM, Al Sayegh S, Parsons DL, Ferri-de-Barros F. The Use of intraoperative traction in pediatric scoliosis surgery: A systematic review. Spine Deform. 2015;3(1):45–51.
- Shi Z, Chen J, Wang C, et al. Comparison of thoracoscopic anterior release combined with posterior spinal fusion versus posterior-only approach with an all-pedicle screw construct in the treatment of rigid thoracic adolescent idiopathic scoliosis. J Spinal Disord Tech. 2015;28(8):E454–459. doi: 10.1097/BSD.0b013e3182a2658a
- Qiu Y, Wang WJ, Zhu F, et al. Anterior endoscopic release/posterior spinal instrumentation for severe and rigid thoracic adolescent idiopathic scoliosis. Zhonghua Wai Ke Za Zhi. 2011;49(12):1071–1075.
- Dubousset JF, Dohin B. Prevention of the crankshaft phenomenon with anterior spinal epiphysiodesis in surgical treatment of severe scoliosis of the younger patient. Eur Spine J. 1994;3:165–168. doi: 10.1007/BF02190580
Supplementary files









