Congenital dislocation of the knee in combination with Meyer-Gorlin syndrome: A case report
- Authors: Kruglov I.Y.1,2, Rumyantsev N.Y.1, Omarov G.G.3,4, Rumyantseva N.N.1, Kagantsov I.M.5,4
-
Affiliations:
- Almazov National Medical Research Centre
- H. Turner National Medical Research Center for Сhildren’s Orthopedics and Trauma Surgery
- H. Turner National Medical Research Center for Children’s Orthopedics and Trauma Surgery
- North-Western State Medical University named after I.I. Mechnikov
- Institute of Perinatology and Pediatrics, Almazov National Medical Research Centre
- Issue: Vol 9, No 4 (2021)
- Pages: 447-454
- Section: Clinical cases
- Submitted: 03.03.2021
- Accepted: 11.11.2021
- Published: 15.12.2021
- URL: https://journals.eco-vector.com/turner/article/view/62569
- DOI: https://doi.org/10.17816/PTORS62569
- ID: 62569
Cite item
Abstract
BACKGROUND: Meyer-Gorlin syndrome is a rare genetic and autosomal recessive disease that is characterized by the classical triad, including, microtia, very small size or complete patellar absence, and nanism.
CLINICAL CASE: Herein, presented the first clinical case description of a Russian patient with Meyer-Gorlin syndrome in combination with congenital anterior shin dislocation. The main clinical disease manifestations are characterized by a combination of microtia, patellar pathology, and dwarfism.
DISCUSSION: In the practice of pediatric orthopedic surgeons, cases of congenital knee dislocations are extremely rare, especially as part of any syndromes, which cause interest in the presented clinical case publication. Our patient analysis, as well as the patients described in the literature, showed the presence of typical clinical manifestations, which allowed us to suspect the presence of Meyer-Gorlin syndrome during a clinical examination.
CONCLUSIONS: This report is the first case of combined congenital knee dislocation and Meyer-Gorlin syndrome with a diagnostic triad (short stature, microtia, and patellar aplasia) in the Russian Federation. Conservative treatment with constant traction and flexion must be carefully performed to avoid complications. Without the effect of conservative therapy, surgical treatment is indicated.
Full Text
BACKGROUND
Meyer-Gorlin syndrome (MGS) is a rare genetic disorder that is caused by a mutation in the pre-replication complex in one of five genes (ORC1, ORC4, ORC6, CDT1, and CDT6) that assemble on genomic deoxyribonucleic acid at the replication origin. MGS is an autosomal recessive disease that is characterized by the classic triad of microtia, very small or no patella, and dwarfism. At least two of the three clinical signs are registered in 97% of patients with MGS. The combination of aplasia/hypoplasia of the patella and microtia is noted in most cases [1].
MGS was first described by Meier and Rothschild in 1959 [2]. The second description was made by Gorlin et al. in 1975 [3]. The exact prevalence of MGS is undetermined but is estimated to be <1–9 cases per 1,000,000 live births, based on the number of cases reported in the literature [1].
The most common clinical signs of MGS, as mentioned above, are microtia, aplasia or hypoplasia of the patella, and dwarfism. In rare cases, such patients are diagnosed with congenital emphysema of the lungs, feeding problems (parenteral nutrition is required), various skeletal, genitourinary systems, congenital heart abnormalities, and mammary hypoplasia. The typical facial features are often described, which gradually changes with age. Infants have clinical signs, such as a small mouth with full lips and micrognathia, whereas adults have a high forehead and a more prominent narrow nose with a wide nasal septum. Mental capacity is not affected in the vast majority of cases [1].
Thus, the severity of clinical signs is diverse. Known cases of MGS are combined with orthopedic problems, such as congenital clubfoot and mobile platypodia [4], a combination of MGS with hyperextension in the knee joints, as well as with contractures in other joints [4]; however, a combination of MGS with congenital knee dislocation (CKD) was not reported.
This publication presents our clinical case of a 10-year-old patient with MGS in combination with CKD.
CLINICAL CASE
A full-term boy, with a weight of 2740 g, a height of 47 cm, head circumference of 33 cm, a chest circumference of 31 cm, and an Apgar score of 7/7 (<3 centiles), was born at a term of 38 weeks by cesarean section due to the insufficient effect from the therapy of long-term preeclampsia and the biological unreadiness of the birth canal. The mother’s pregnancy was complicated by type 2 diabetes mellitus and grade I hypertension. The initial examination of the child revealed serious conditions, moderate respiratory disorders, muscle hypotension, hyporeflexia, and CKD on both sides that attracted attention. Additionally, multiple signs of dysembryogenesis were noted, such as a high palate, a short neck, and a transverse furrow of the left palm. We examined the child on day 1 of life. A bilateral CKD was revealed (Fig. 1).
Fig. 1. Patient P., age 1 hour. Before treatment: a — appearance; b — radiograph
Seve rity G3 according to Tarek (2011) [5] and type III according to Seringe (1992) [6] were registered (Table 1).
Table 1. Baseline severity for two scoring systems
System | Type | Hyperextension (recurvation) | Possible flexion (passive) | ||
right KJ | left KJ | right KJ | left KJ | ||
Tarek | G3 | 30° | 25° | –30° (fixed recurvation 30°) | –25° (fixed recurvation 25°) |
Seringe | III | 30° | 25° | –30° (fixed recurvation 30°) | –25° (fixed recurvation 25°) |
Note: KJ: knee joint.
The clinical examination determined a transverse deep fold above the patella, and the condyles of the femur were palpated in the area of the popliteal fossa on both sides. The treatment was started on day 1 of life by the method of constant manual traction and flexion for 3 h. After the manipulations, passive flexion increased by 40° (10° flexion was achieved in the right knee joint and 15° in the left knee joint). A high plaster splint was applied from the fingertips to the upper third of the thigh to maintain the correction achieved. On day 2, the skin examination revealed bedsore in the popliteal region in the projection of the femoral condyles due to excessive pressure during the manipulations.
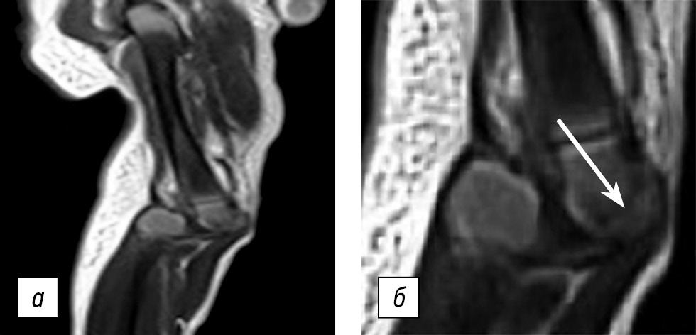
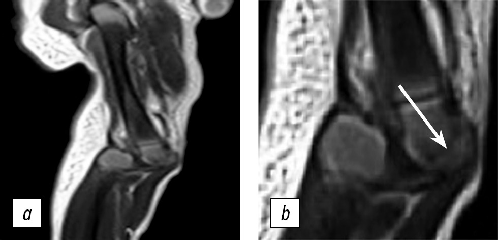
Therefore, attempts of correction were stopped until complete epithelialization of the injury sites with fixation preservation. The child was transferred to the surgical department for further follow-up and treatment. On day 6, conservative treatment was continued using the above-mentioned method. On day 10, an increased passive flexion by 15° in each knee joint was obtained (in comparison with the results of correction on day 1 of life). The clinical examination revealed femoral condyles in the popliteal region, with edema of the right knee joint. Magnetic resonance imaging of the knee joints was performed. These studies confirmed the preservation of complete knee dislocation on both sides. Patellar aplasia and an impression fracture of the epiphysis of the right femur were also identified (Fig. 2).
Fig. 2. Patient P., age 10 days, during treatment: a — preservation of knee dislocation, patella aplasia, impression fracture of the epiphysis of the right femur; b — the fracture line is shown
The achieved position of flexion was fixed with plaster splints for 3 weeks; no attempts were made to reduce the dislocation of the lower leg during this period due to the impression fracture of the epiphysis of the right femur.
Subsequently, an attempt was made to apply adhesive traction for 2 weeks to reduce the knee dislocation, which did not reduce the lower leg. Manipulations were continued to obtain knee joint flexion and rectus femoris muscle stretching. At the age of 3 months, pseudo-correction of the extensor contracture during flexion to a right angle (90°) in each knee joint was preserved. Given the lack of success from conservative correction, a decision was made to perform surgical treatment. We performed a V-Y quadriceps plasty, which was ineffective. Only the anterior release of the knee joint capsule and lateral patella retinaculum (following a la carte principles [7]) ensured reduction (Fig. 3).
Fig. 3. Patient P., 3 months old, V-Y quadricepsplasty and anterior release
During the surgical intervention, a dense capsule of the knee joint was registered, an overstretched and thinned anterior cruciate ligament in the absence of visible changes in the posterior one, without pathology of the menisci.
At each knee joint, a 90° flexion was achieved. The quadriceps femoris tendon was sutured with the leg flexed to 80°. Surgical treatment was completed by applying a high plaster cast from the fingertips to the upper third of the thigh with 80° flexion at the knee joint for 3 weeks. Then the plaster cast was removed to assess the range of motion and the imposition of a plaster splint at a 45° flexion angle. The postoperative period was uneventful. After removing the plaster splint, passive movements were developed. The child began to independently walk at the age of 2 years. At the age of 4 years, at the Institute of Molecular Medicine and Genetics of the University of Edinburgh, he was diagnosed with MGS. Mutation CDT1 c.599T>G, p. Met200Arg+c.943_951delGCCTCCCTG, p. Ala315_Leu317del (combination of heterozygotes) was revealed.
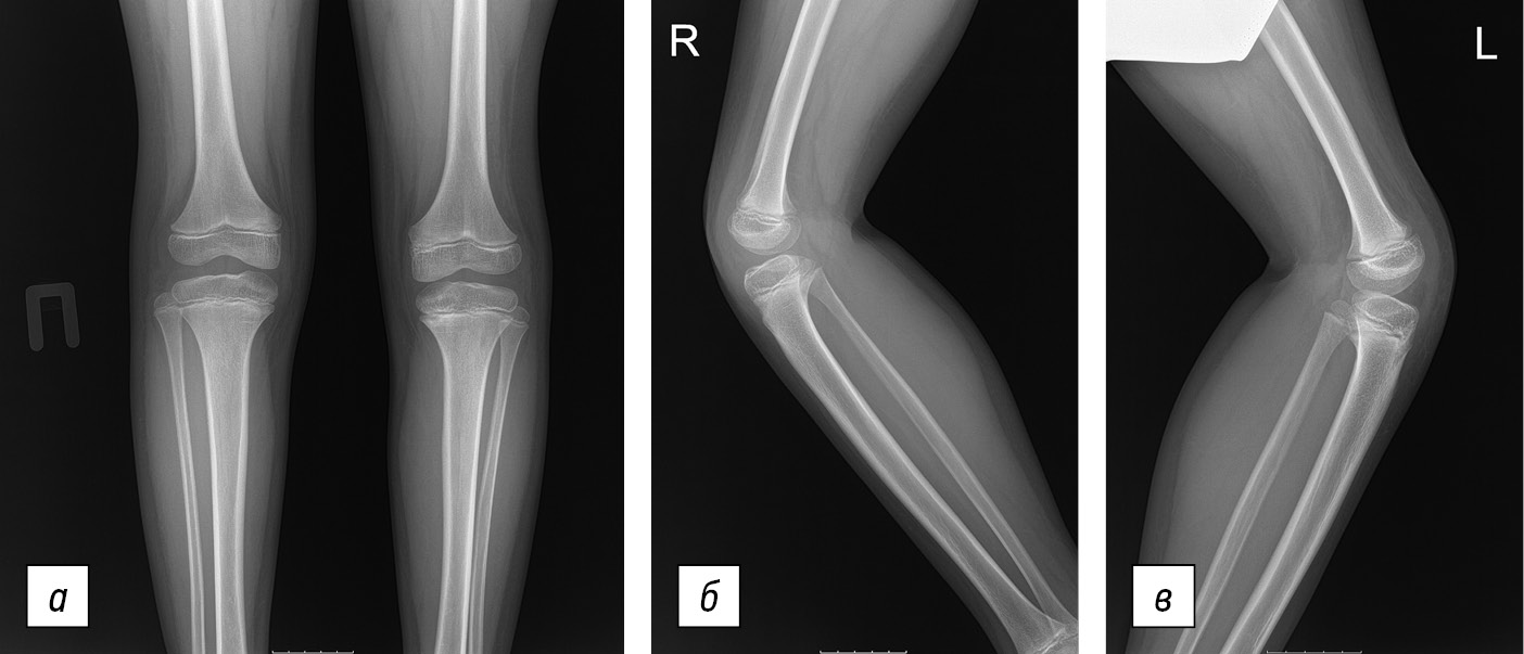
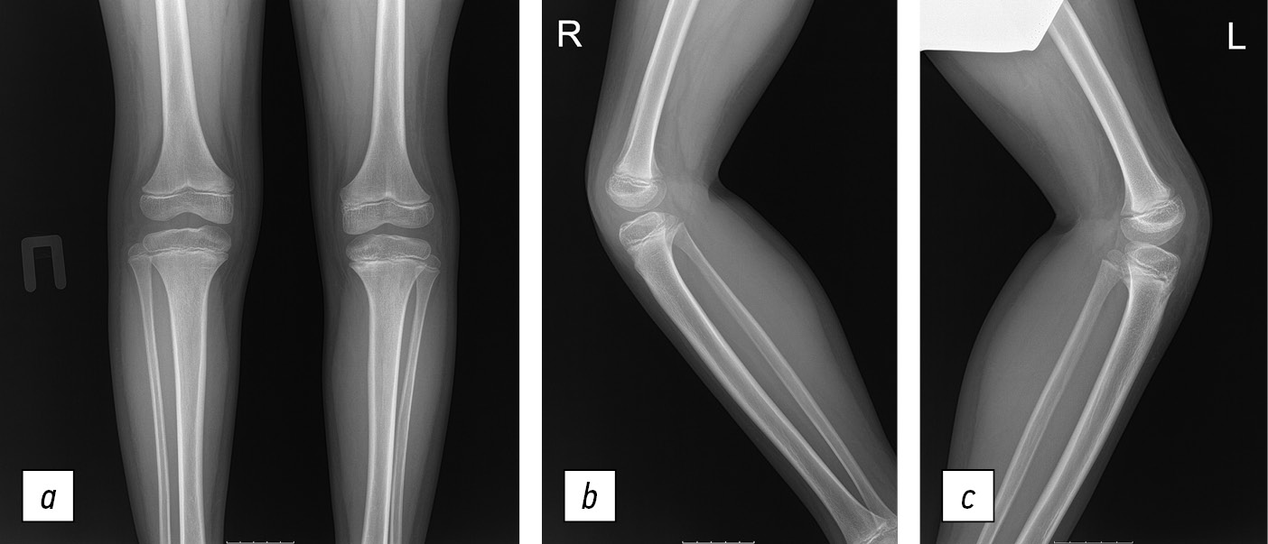
The child is currently 10 years old. Clinical examination revealed a wide forehead, a narrow nose, a high nasal septum, small auricles, and full lips. His height is 117 cm, weight is 20.5 kg, chest circumference is 55 cm, and head circumference is 50 cm (<3 centiles). He walks independently without additional support and does sports (swimming pool and table tennis). The appearance and radiographs of the patient are presented in Fig. 4 and 5, respectively.
Fig. 4. Patient P., age 10 years, after treatment: a — front view; b — rearview; c — side view; d — possible flexion in the knee joints; e — appearance (narrow nose, high nasal septum, and small ears)
Fig. 5. X-ray of patient P., age 10 years, after treatment: a — direct projection; b — lateral projection of the right knee joint (patellar aplasia); c — lateral projection of the left knee joint (patellar aplasia)
Clinical evaluation is summarized in Table 2.
Table 2. Clinical assessment of the patient
Side | KJ flection, deg. | Pain | Movement | Function | Complications |
Right KJ | 0–90° | No | Satisfactory | Good | Epiphyseal impression fracture |
Left KJ | 0–85° | No | Satisfactory | Good | No |
Note: KJ: knee joint.
DISCUSSION
In the daily practice of orthopedic traumatologists, cases of CKD are extremely rare, especially as part of any syndromes, which determines the interest in the presented clinical case. The authors did not find publications in the world literature of MGS in the combination of CKD. Most of the reports are focused on the combination of CKD with arthrogryposis, Larsen’s syndrome, and myelomeningocele [8, 9].
Currently, manipulations and plaster corrections are used for CKD treatment, which has a good effect in the case of an idiopathic nature of the disease. CKD, as part of Larsen’s syndrome, arthrogryposis, and other neuromuscular diseases, develops in the presence of muscle imbalance, as well as ligament weakness, and is poorly amenable to traditional plaster corrections [9–11]. In our patient, a complete dislocation occurred not only due to all the above-mentioned causes but also due to the complete patellar absence. The method of constant manual traction and flexion was used for treatment, as well as plaster corrections. This method has been used before on a large group of patients with good and excellent results, thus this case used the same treatment method. However, the reduction was not achieved, but only flexion while maintaining the knee dislocation. Taking into account the development of bedsore and moderate edema in the knee joint area, as well as the data of Jacobsen et al. [12], who indicated a 30% incidence of iatrogenic fractures with conservative CKD correction, magnetic resonance imaging was performed, which revealed an impression fracture of the epiphysis of the right femur. In our actions, we were guided by the Dobbs technique [8], which considers it important to apply force to the proximal part of the tibia and the distal part of the femur when trying to flex the knee joint. Applying a force to the distal tibia creates a “long-arm” of the resulting force, resulting in an iatrogenic deformity in the proximal tibia or distal femur.
The attempts were continued to eliminate the deformity in presence of pseudo-correction in the hope that it would be possible to further stretch the knee joint capsule and reduce the amount of inevitable surgical treatment. However, the desired result could not be achieved, thus further attempts of conservative treatment were unreasonable. The surgical method of treatment was justified since the long-term conservative therapy did not give a satisfactory result. The manual traction and flexion technique we used, as well as the surgical approach proposed by Shah [7], are consistent with the principles formulated by Roy and Crawford [11]. However, in our case, we did not achieve anatomical reduction after quadricepsplasty, thus we performed an anterior arthrotomy and obtained the desired result, as recommended by Dobbs [8].
MGS must be differentiated from certain diseases that are characterized by microtia, short stature, and aplasia/hypoplasia of the patella, such as Coffin-Siris syndrome [13] and RAPADILINO [14]. However, microtia is not a characteristic of these syndromes. Patellar aplasia/hypoplasia without other skeletal anomalies occurs in the autosomal dominant form of patellar aplasia-hypoplasia [15] and in combination with pelvic anomalies, which is typical of small patella syndrome [16].
During the long-term follow-up of the patient, changes in his appearance (narrow nose and high nasal septum, and small ears) were noted, which also clinically charac terizes MGS.
CONCLUSION
This report is the first case of a combination of CKD and MGS combined with the diagnostic triad (short stature, microtia, and patellar aplasia) in the Russian Federation. Conservative treatment using constant traction and flexion must be carefully performed to avoid complications. Surgical treatment is indicated in the absence of conservative therapy effects.
ADDITIONAL INFORMATION
Funding. The work was conducted within the state assignment of the Ministry of Science and Higher Education of the Russian Federation (Subject No. 121031100293-9).
Conflict of interest. The authors declare no conflict of interest.
Ethical considerations. The consent of the patient and his parents for the processing and publication of personal data has been obtained.
Author contributions. I.Yu. Kruglov performed examination and treatment of the patient, wrote all sections of the article, and collected the literature data and their processing. N.Yu. Rumyantsev, G.G. Omarov, and N.N. Rumyantseva took part in the examination and treatment of the patient, edited the text of the article. I.M. Kagantsov collected the literature data and their processing.
All authors made a significant contribution to the study and preparation of the article, read and approved the final version before its publication.
About the authors
Igor Y. Kruglov
Almazov National Medical Research Centre; H. Turner National Medical Research Center for Сhildren’s Orthopedics and Trauma Surgery
Email: dr.gkruglov@gmail.com
ORCID iD: 0000-0003-1234-1390
SPIN-code: 7777-1047
paediatric orthopaedic surgeon, junior researcher of Research Laboratory of congenital and hereditary pathology surgery
Russian Federation, 2 Akkuratova str., Saint Petersburg, 197341; Saint PetersburgNicolai Y. Rumyantsev
Almazov National Medical Research Centre
Email: dr.rumyantsev@gmail.com
ORCID iD: 0000-0002-4956-6211
MD, paediatric orthopaedic surgeon
Russian Federation, 2 Akkuratova str., Saint Petersburg, 197341Gamzat G. Omarov
H. Turner National Medical Research Center for Children’s Orthopedics and Trauma Surgery; North-Western State Medical University named after I.I. Mechnikov
Email: ortobaby@yandex.ru
ORCID iD: 0000-0002-9252-8130
MD, PhD, research associate
Russian Federation, 196603, St. Petersburg, Pushkin, Parkovaya str., 64-68; Saint PetersburgNatalia N. Rumyantseva
Almazov National Medical Research Centre
Email: natachazlaya@mail.ru
ORCID iD: 0000-0002-2052-451X
MD, paediatric orthopaedic surgeon, junior researcher of Research Laboratory of congenital and hereditary pathology surgery
Russian Federation, 2 Akkuratova str., Saint Petersburg, 197341Ilya M. Kagantsov
Institute of Perinatology and Pediatrics, Almazov National Medical Research Centre; North-Western State Medical University named after I.I. Mechnikov
Author for correspondence.
Email: ilkagan@rambler.ru
ORCID iD: 0000-0002-3957-1615
SPIN-code: 7936-8722
MD, PhD, D.Sc., Chief Researcher, Professor of the Chair
Russian Federation, 2 Akkuratova str., Saint Petersburg, 197341; Saint PetersburgReferences
- de Munnik SA, Hoefsloot EH, Roukema J, et al. Meier-Gorlin syndrome. Orphanet J Rare Dis. 2015;10:114. doi: 10.1186/s13023-015-0322-x
- Meier Z, Rothschild M. Ein Fall von Arthrogryposis multiplex congenita kombiniert mit dysostosis mandibulofacialis (Franc-eschetti-Syndrome). Helv Paediatr Acta; 1959;14:213–216.
- Gorlin RJ, Cervenka J, Moller K, et al. Malformation syndromes: a selected miscellany. Birth Defects Orig Artic Ser. 1975;11:39–50.
- de Munnik SA, Otten BJ, Schoots J, et al. Meier–Gorlin syndrome: Growth and secondary sexual development of a microcephalic primordial dwarfism disorder. Am J Med Genet Part A. 2012;158A:2733–2742. doi: 10.1002/ajmg.a.35681
- Abdelaziz TH, Samir S. Congenital dislocation of the knee: a protocol for management based on degree of knee flexion. J Child Orthop. 2011;5(2):143−149. doi: 10.1007/s11832-011-0333-7
- Mehrafshan M, Wicart P, Ramanoudjame M, et al. Congenital dislocation of the knee at birth Part I: Clinical signs and classification. Orthop Traum Surg Research. 2016;102:631–633. doi: 10.1016/j.otsr.2016.04.008
- Shah N, Limpaphayom N, Dobbs M. A minimally invasive treatment protocol for the congenital dislocation of the knee. J Pediatr Orthop. 2009;29:720−725. doi: 10.1097/bpo.0b013e3181b7694d
- Dobbs M, Boehm S, Grange D, Gurnett C. Congenital knee dislocation in a patient with Larsen Syndrome and a Novel Filamin B mutation. Clin Ortop Relat Res. 2008;466:1503−1509. doi: 10.1007/s11999-008-0196-5
- Curtis BH, Fisher RL. Heritable congenital tibiofemoral subluxation. Clinical features and surgical treatment. J Bone Joint Surg Am. 1970;52:1104−1114. doi: 10.2106/00004623-197052060-00003
- Johnson E, Audell R, Oppenheim WL. Congenital dislocation of the knee. J Pediatr Orthop. 1987;7:194−200. doi: 10.1097/01241398-198703000-00017
- Roy DR, Crawford AH. Percutaneous quadriceps recession: a technique for management of congenital hyperextension deformities of the knee in the neonate. J Pediatr Orthop. 1989;9:717−719. doi: 10.1097/01241398-198911000-00016
- Jacobsen K, Vopalecky F. Congenital dislocation of the knee. Acta Orthop Scand. 1985;56:1−7. doi: 10.3109/17453678508992968.
- Levy P, Baraitser M. Coffin-Siris syndrome. J Med Genet. 1991;28:338–341. doi: 10.1136/jmg.28.5.338
- Kääriäinen H, Ryöppy S, Norio R. RAPADILINO syndrome with radial and patellar aplasia/hypoplasia as main manifestations. Am J Med Genet. 1989;44:716–719. doi: 10.1002/ajmg.1320330312
- Mangino M, Sanchez O, Torrente I, et al. Localization of a gene for familial patella aplasia/hypoplasia (PTLAH) to chromosome 17q21-22. Am J Hum Genet. 1999;65:441–447. doi: 10.1086/302505
- Bongers EMHF, van Bokhoven H, van Thienen M-N, et al. The small patella syndrome: description of five cases from three families and examination of possible allelism with familial patella aplasia-hypoplasia and nail patella syndrome. J Med Genet. 2001;38:209–213. doi: 10.1136/jmg.38.3.209
Supplementary files
