儿童桡骨远端不稳定性骨折手术治疗结果的比较分析
- 作者: Vissarionov S.V.1, Bolshakov G.A.2
-
隶属关系:
- H. Turner National Medical Research Center for Сhildren’s Orthopedics and Trauma Surgery
- Irkutsk Municipal Pediatric Clinical Hospital
- 期: 卷 13, 编号 3 (2025)
- 页面: 237-246
- 栏目: Clinical studies
- ##submission.dateSubmitted##: 05.03.2025
- ##submission.dateAccepted##: 25.07.2025
- ##submission.datePublished##: 23.09.2025
- URL: https://journals.eco-vector.com/turner/article/view/676873
- DOI: https://doi.org/10.17816/PTORS676873
- EDN: https://elibrary.ru/CWPTIQ
- ID: 676873
如何引用文章
详细
论证。桡骨远端骨折在儿童肌肉骨骼损伤的整体构成中仍然占据领先位置。这些患者治疗效果不佳,不仅导致需要再次手术,而且伴随上肢功能活动受限。鉴于上述情况,针对儿童桡骨远端不稳定性骨折,寻找能够最大程度降低并发症风险并改善康复效果的新型有效外科治疗方法,仍具有重要的现实意义和价值。
目的。对比两种不同方法在儿童桡骨远端不稳定性骨折手术治疗中的疗效。
方法。共完成83例儿童桡骨远端不稳定性骨折的手术治疗。第1组患者(n=52)接受了采用改良顺行弯曲克氏针髓内固定方法的手术(发明专利号2835501,2025年1月20日);第2组患者(n=31)接受了采用逆行克氏针髓内固定方法的手术。在术后1、3、6和12个月对治疗结果进行评估,评估内容包括手术并发症、邻近关节挛缩、手术时间及骨折愈合速度。统计学分析采用Mann–Whitney检验、Yates校正的χ2检验和Fisher精确检验。
结果。结果显示,与接受改良顺行植入金属内固定方式手术的患儿相比,接受逆行克氏针髓内固定术的患儿在术后并发症的发生率和严重程度方面均更高,临床结局也较不理想。在技术操作特点方面,作者提出的改良手术方法与经典方法相比并不更复杂,这一点通过两组手术时间无显著差异得到了证实。在接受改良方法治疗的患儿中显示出更高的远期功能学结果。这为将该方法视为不仅具有竞争力,而且更具优选性的治疗方式提供了依据。
结论。研究结果表明,采用所提出的改良方法治疗儿童桡骨远端不稳定性骨折具有使用的合理性,其目的在于降低术后并发症风险并改善康复治疗效果。
全文:
Обоснование
Хирургическое лечение детей с переломами дистального отдела лучевой кости (ДОЛК) остается актуальной и до конца нерешенной задачей, несмотря на существенные достижения в этом направлении детской травматологии. Переломы ДОЛК — одни из самых распространенных переломов в детском возрасте, составляют от 10 до 25% в структуре всех повреждений костной системы [1, 2]. При этом необходимо подчеркнуть, что в последние годы отмечен рост числа таких травм среди детей, а также повышение вероятности повторных переломов в будущем, уже во взрослом возрасте [3].
На сегодняшний день наиболее предпочтительный метод хирургического лечения детей с нестабильными переломами ДОЛК — закрытая репозиция с интрамедуллярным остеосинтезом спицами Киршнера и последующей гипсовой иммобилизацией [4]. Доказано, что использование спиц значительно улучшает стабилизацию перелома и снижает частоту повторного смещения [5]. Традиционной технологией установки спиц Киршнера считают их введение через дистальный фрагмент лучевой кости [6, 7]. Альтернативный подход, предложенный японскими специалистами, предполагает антеградное введение спиц Киршнера, что снижает риск возникновения осложнений в ходе операции [8]. Эту методику успешно применяют у взрослых пациентов с подобными вариантами повреждений верхней конечности в Японии и Индии [9, 10], однако в педиатрической практике ее использование не нашло широкого применения.
Таким образом, отсутствие на сегодняшний день единого подхода к выбору метода хирургического лечения детей с нестабильными переломами ДОЛК, а также не всегда удовлетворительные результаты применения различных методик и высокий риск возникновения интраоперационных осложнений подчеркивают необходимость дальнейших исследований в этой области. Разработка новых, более эффективных методов хирургического вмешательства позволит минимизировать риски осложнений и улучшить результаты восстановительного лечения юных пациентов.
Цель исследования
Провести сравнительную оценку результатов хирургического лечения детей с нестабильными переломами ДОЛК c использованием двух различных методик.
Методы
На базе травматолого-ортопедического отделения ОГАУЗ ГИМДКБ (Иркутск) в период с 2018 по 2023 г. проведено лечение 813 пациентов с переломами ДОЛК, из которых сочетанный перелом лучевой и локтевой кости был у 497 (61,13%) детей, перелом только лучевой кости — 316 (38,87%) пациентов. 699 (85,98%) пациентам применили консервативный метод лечения (репозиция перелома с дальнейшей гипсовой иммобилизацией), и достигли стабильного взаиморасположения отломков. У 114 (14,02%) пациентов были показания для хирургического вмешательства (вторичное смещение костных отломков [92 (80,7%) ребенка], неэффективность закрытой репозиции [22 (19,3%) детей], и им было проведено оперативное лечение с применением двух различных методик.
Для проведения исследования авторы отобрали 83 ребенка в возрасте 3–15 лет с нестабильными переломами ДОЛК, которым по поводу травматических повреждений выполнено хирургическое вмешательство. В зависимости от применяемого способа лечения были сформированы 2 группы исследования: 1-й группе пациентов проведено хирургическое лечение с применением предложенного авторами усовершенствованного метода антеградного интрамедуллярного металлостеосинтеза изогнутой спицей Киршнера (патент на изобретение № 2835501 от 20.01.2025) (n=52), 2-й группе осуществлено оперативное вмешательство с использованием традиционного ретроградного интрамедуллярного металлостеосинтеза спицей Киршнера (n=31).
Среди повреждений ДОЛК в обеих группах исследования подавляющее большинство было представлено метадиафизарными переломами (48 (92,31%, 12±2,18 года) и 29 (93,55%, 12±3,07 года) в 1-й и 2-й группах соответственно (р=0,82)). Эпифизарные переломы были у 4 (7,69%, 9±1,76 года) детей 1-й группы и 2 (6,45%) пациентов 2-й группы (9±2,54 года) (р=0,85). Сочетанный перелом лучевой и локтевой кости имели 23 (44,23%) пациента из 1-й группы и 16 (51,61%) пациентов из 2-й группы (р=0,67). Соответственно, изолированный перелом лучевой кости был отмечен у 29 (55,77%) и 15 (48,39%) детей 1-й и 2-й групп исследования (р=0,67).
Критерии включения в исследование: установленный диагноз на основании лучевого исследования; дети в возрасте 3–15 лет; нозологические формы — дети с нестабильными переломами ДОЛК; согласие на участие в исследовании. Исследование было одобрено локальным этическим комитетом ОГАУЗ «Городская Ивано-Матренинская детская клиническая больница» (Иркутск) (протокол этического комитета № 4 от 05.06.2023). Всеми пациентами (их законными представителями) было подписано информированное добровольное согласие на участие в исследовании.
Критерии невключения в исследование: возраст ребенка менее 3 лет и более 15 лет; дети cо стабильными переломами ДОЛК; пациенты с переломами ДОЛК, требующими открытой репозиции; отказ от участия в исследовании.
Анализу были подвергнуты данные медицинской карты стационарного больного (результаты обследования и лечения). Были использованы клинический, инструментальные (лучевой) и статистический методы исследования. Результаты проведенного лечения контролировали в раннем послеоперационном периоде, а также через 1, 3, 6 и 12 мес. от момента получения травмы.
Оценку результатов хирургического лечения в раннем послеоперационном периоде проводили путем осмотра зоны установки спицы (на предмет воспаления, пролежней и смещения спицы) и определения признаков нейрососудистых нарушений. В соответствии с системой, разработанной Далем [11], определяли 5 степеней инфицирования: 0 — нормальное состояние места введения спицы; 1 — наличие признаков воспаления; 2 — серозное отделяемое; 3 — гнойное отделяемое; 4 — остеолиз; 5 — кольцевидный секвестр в кости. Также после окончания иммобилизации верхней конечности использовали клинический метод, который заключался в осмотре пациента, оценке состояния анатомии и функциональных особенностей предплечья и кисти, амплитуды движений в лучезапястных суставах, измерении длины верхних конечностей. Отдаленные функциональные результаты лечения оценивали спустя 12 мес. с использованием модификации вопросника нетрудоспособности конечности DASH (Quick DASH) для детей, определения силы захвата с использованием ручного динамометра (отношение показателей поврежденной конечности к контрлатеральной, выраженное в %), оценивали эстетический результат. Ответы отмечали по пятибалльной шкале, и они были даны самими детьми или их родителями. Окончательный результат по шкале Quick DASH рассчитывали по формуле: Шкала Quick DASH=(∑n ответов/n–1)×25, где n равен количеству заполненных ответов. Более высокие баллы указывали на большие функциональные ограничения.
В исследовании был применен лучевой (рентгенографический) метод. На рентгенограммах в сагиттальной и фронтальной плоскости, выполненных в пред- и послеоперационном периоде (через 1, 3, 6 и 12 мес.), оценивали деформацию лучевой кости (ее величину и динамику), наличие патологических изменений в области зоны роста и эпифиза, корректность положения спицы Киршнера и динамику консолидации перелома.
Полученные результаты были обработаны с применением статистических методов исследования с использованием электронных таблиц Excel и программы Statistica 12 (Stat-Soft Inc., США). Оценку типа распределения количественных признаков проводили с помощью критериев Шапиро–Уилка, Лиллиефорса и Колмогорова–Смирнова. Для количественных признаков рассчитывали среднее (М) и стандартную ошибку (σ) в случае нормального распределения, медиану (Ме) и верхний и нижний квартили (25 и 75 перцентили) при распределении, отличном от нормального. Качественные признаки представляли в виде абсолютных величин и в процентном отношении. Различия между группами по количественным признакам определяли с помощью критерия Манна–Уитни, по качественным признакам — с помощью критерия χ2 с поправкой Йетса на непрерывность и точного критерия Фишера при численности хотя бы в одной из групп менее 5. Различия считали статистически значимыми при уровне достоверности р <0,05.
Результаты
Группы пролеченных пациентов были сопоставимы по возрасту и полу. Средний возраст больных составил 10,59±2,95 и 10,32±2,74 года в 1-й и 2-й группах соответственно (р=0,29). Было выявлено преобладание в обеих группах лиц мужского пола: 40 (76,92%) мальчиков и 12 (23,08%) девочек в 1-й группе, 25 (80,65%) мальчиков и 6 (19,35%) девочек во 2-й группе исследования (р=0,90).
В обеих группах больных в подавляющем большинстве случаев травма была получена впервые: 47 (90,38%) и 26 (83,87%) соответственно, р=0,59. По характеру получения травмы в обеих группах чаще были повреждения, полученные на улице (38 (73,08%) и 22 (70,97%) в 1-й и 2-й группах соответственно, р=0,96), на втором месте — бытовая травма (8 (15,38%) и 6 (19,35%) в 1-й и 2-й группах соответственно, р=0,87), на третьем месте — спортивная (6 (11,54%) и 3 (9,68%) в 1-й и 2-й группах соответственно, р=0,55). Повреждение правой руки отмечено у 22 (42,31%) и 17 (54,83%) (р=0,38) пациентов, левой руки — у 28 (53,85%) и 12 (38,71%) (р=0,27) пациентов, повреждение обеих верхних конечностей — у 2 (3,85%) и 2 (6,45%) детей соответственно (р=0,48).
В первые 6 ч от момента получения травмы были госпитализированы 14 (26,92%) пациентов из 1-й группы исследования и 8 (25,81%) детей из 2-й группы (р=0,88), от 6 до 24 ч — 4 (7,69%) и 3 (9,68%) (р=0,52), более 24 ч — 34 (65,39%) и 20 (64,52%) детей соответственно (р=0,87). Время от момента получения травмы до хирургического лечения составило в 1-й группе 11 (от 6 до 22) дней, во 2-й группе 10 (от 4 до 18) дней (р=0,34).
Применение новой методики хирургического лечения не привело к увеличению времени операции по сравнению со стандартной техникой операции (р=0,72). Так, продолжительность оперативного вмешательства по усовершенствованной методике составила 25 (от 20 до 30) мин. При этом способе хирургического лечения по лучевой поверхности предплечья, на расстоянии 2–3 см от проксимального эпифиза лучевой кости, в среднефизиологическом положении, при помощи шила под углом 90° формируют отверстие в костномозговой канал, наклоняя шило по ходу кости. Затем вводят один конец спицы Киршнера и проводят ее в дистальном направлении по костномозговому каналу после выполнения репозиции отломков под контролем С-дуги. Спица, введенная в костномозговой канал, самостоятельно изгибается по ходу введения. Дистальный изогнутый конец спицы упирается в метафиз или эпифиз, обеспечивая стабильность и невозможность смещение отломков. Предварительно конец спицы Киршнера с перьевой двусторонней заточкой дугообразно изгибают на 30° в сторону заточки с целью более безопасного проведения по костномозговому каналу и удобства репозиции. Используют спицы разного диаметра (1,5, 1,8 и 2,0 мм) в зависимости от возраста пациента и ширины костномозгового канала. После введения спицы в зону перелома при сохранении смещения костных отломков возможно ее осевое вращение за свободный конец до достижения анатомической репозиции, производя контроль в режиме скопии на С-дуге (рис. 1 и 2). Спицы Киршнера обеспечивают менее жесткую фиксацию, чем стержни или пластины, однако при правильной установке могут обеспечивать достаточную стабильность для сращения перелома ДОЛК за счет эластичной стабилизации — распор в костномозговом канале (при правильном подборе диаметра спицы и ее изгибе создается контакт с кортикальным слоем, что ограничивает смещение), а также применения гипсовой иммобилизации после оперативного лечения для предотвращения вторичного смещения.
Рис. 1. Рентгенограмма предплечья пациента с нестабильным переломом дистального отдела лучевой кости до оперативного лечения усовершенствованным методом антеградного интрамедуллярного металлостеосинтеза изогнутой спицей Киршнера.
Рис. 2. Рентгенограмма предплечья пациента с нестабильным переломом дистального отдела лучевой кости после оперативного лечения усовершенствованным методом антеградного интрамедуллярного металлостеосинтеза изогнутой спицей Киршнера: а — сразу после лечения; б — в прямой и боковой проекции через 6 мес.
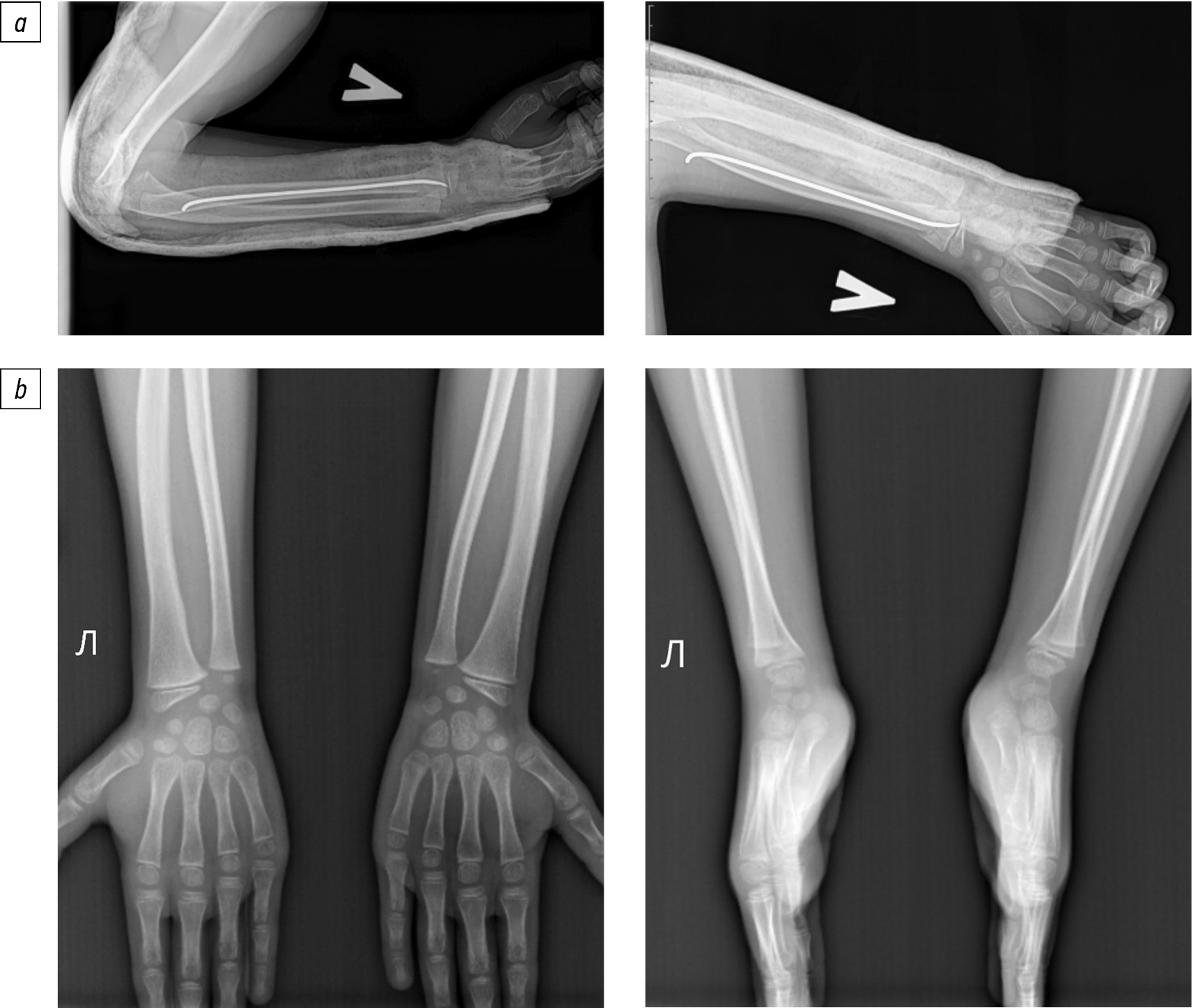
Продолжительность операции по стандартной методике составляла 25 (от 20 до 35) мин и предполагала проведение спицы Киршнера через дистальный отломок лучевой кости. После закрытой репозиции под контролем С-дуги осуществляли фиксацию перелома путем введения спицы через зону перелома в проксимальный костный отломок (рис. 3).
Рис. 3. Рентгенограмма предплечья пациента: a — с сочетанным переломом дистального отдела лучевой кости и локтевой кости в прямой и боковой проекции перед оперативным лечением; b — с нестабильным переломом дистального отдела лучевой кости в прямой и боковой проекции после оперативного лечения традиционным методом ретроградного интрамедуллярного металлостеосинтеза спицей Киршнера; c — с нестабильным переломом дистального отдела лучевой кости в прямой и боковой проекции через 6 мес. после оперативного лечения.
Затем, вне зависимости от способа введения спиц, накладывали гипсовую повязку и после наступления консолидации осуществляли удаление металлоконструкции. Продолжительность иммобилизации конечности с помощью гипсовой повязки в 1-й группе исследования была значимо меньше, чем во 2-й, и составила 4 (от 3 до 5) нед. и 5 (от 4 до 7) нед. соответственно (р=0,02).
Консолидация перелома наступила у всех пролеченных детей вне зависимости от применяемого хирургического метода. Время консолидации составило 12 нед. (от 11 до 16) в 1-й и 12 нед. (от 11 до 17) во 2-й группе (р=0,63). Время от момента установки до удаления металлоконструкции составило 13 нед. (от 12 до 18) и 14 недель (от 13 до 19) в 1-й и 2-й группах соответственно (р=0,34).
В данном исследовании среди пациентов, у которых применяли усовершенствованный способ хирургического лечения, послеоперационные осложнения были выявлены у 3 (5,77%) пациентов и не требовали повторного вмешательства. В 2 (3,85%) случаях развились постиммобилизационные контрактуры лучезапястного сустава, у 1 (1,92%) пациента отмечено локальное воспаление мягких тканей в месте введения металлоконструкции в виде отека и гиперемии, соответствующее I степени по Далю. В то же время в группе больных, пролеченных с помощью традиционного способа, у 8 (25,81%) детей возникли те или иные осложнения (р=0,01). Среди них в 3 (9,68%) случаях отмечено наличие воспалительных изменений в месте введения спиц, у 1 (3,23%) пациента развилась постиммобилизационная контрактура лучезапястного сустава. Еще у 4 (12,90%) пациентов через 4–5 нед. после оперативного лечения была выявлена миграция металлоконструкции с перфорацией кожных покровов в месте введения спицы, что потребовало проведения повторного неотложного хирургического вмешательства (удаление металлоконструкции) с увеличением сроков иммобилизации конечности, что в дальнейшем привело к развитию контрактуры лучезапястного сустава. Постиммобилизационные контрактуры у детей 1-й и 2-й групп исследования, которые не были подвержены повторному хирургическому вмешательству, были успешно купированы путем проведения курса реабилитационных мероприятий. Среди пациентов из 2-й группы, которым понадобилось повторное оперативное вмешательство, связанное с миграцией металлоконструкции, в 3 (75,0%) случаях после проведения реабилитационных мероприятий наступило улучшение, однако отмечено ограничение амплитуды движений в лучезапястном суставе при тыльном разгибании от 10 до 15° (рис. 4). У 1 ребенка (25,0%) этой категории пациентов амплитуда движений в лучезапястном суставе была полностью восстановлена. Таким образом, амплитуда движений конечности в лучезапястном суставе была восстановлена в объеме, сопоставимом с контрлатеральной конечностью, у всех 52 пациентов (100%) из 1-й группы исследования и у 29 (93,55%) детей из 2-й группы.
Рис. 4. Фото лучезапястного сустава пациента с нестабильным переломом дистального отдела лучевой кости спустя 12 мес. после оперативного лечения традиционным методом ретроградного интрамедуллярного металлостеосинтеза спицей Киршнера. Ограничение амплитуды движений в лучезапястном суставе при тыльном разгибании на 13°.
Воспалительные изменения мягких тканей в месте введения металлоконструкций у пациентов из обеих групп были купированы после назначения антибактериальных препаратов и проведения местной терапии через 6 (от 5 до 7) дней и 6 (от 5 до 8) дней в 1-й и 2-й группе соответственно (р=0,15) и не оказали существенного влияния на исход.
Оценка функционального состояния верхней конечности через 12 мес. после операции продемонстрировала большую эффективность усовершенствованного метода хирургического лечения нестабильных переломов ДОЛК в сравнении с классическим способом. Так, средний показатель по шкале Quick DASH в 1-й группе исследования составил 0,35±1,51, во 2-й группе — 4,17±7,59 (р=0,03). Кроме того, следует отметить, что у 49 (94,23%) пациентов, пролеченных предложенным авторами альтернативным способом, было 0 баллов по шкале Quick DASH, что определяется как оптимальный функциональный результат. В группе детей, получивших лечение традиционным способом, таких пациентов оказалось лишь 21 (67,74%) (р=0,002).
При оценке динамометрических параметров выявлено статистически значимое межгрупповое различие (p=0,004) в степени снижения силы схвата. Так, у пациентов 2-й группы исследования сила схвата поврежденной конечности была в среднем на 15% (от 9 до 35) слабее, чем интактной конечности. В 1-й группе разница составила всего 5% (от 3 до 7). Анализ силы схвата поврежденной конечности в сравнении с контрлатеральной стороной выявил значимое снижение показателей во 2-й группе пациентов в сравнении с 1-й группой, которые составили 5 и 15% (от 9 до 35) (р=0,004).
При осмотре места введения металлоконструкции через 12 мес. после хирургического лечения у всех детей из обеих групп лечения отмечен хороший эстетический результат. Не было выявлено наличия значительных рубцовых изменений мягких тканей.
Обсуждение
В данном исследовании приняли участие дети от 3 до 15 лет. Средний возраст в группах составил 10 лет, что соответствует данным, полученным в ходе ранее проведенных исследований (8–10 лет) [7, 12, 13].
Выбор способа хирургического лечения детей с нестабильными переломами ДОЛК особенно важен в практике детского травматолога-ортопеда. Наиболее часто с целью фиксации костных отломков при данном варианте повреждений используют ретроградный интрамедуллярный остеосинтез спицами Киршнера с последующей гипсовой иммобилизацией [14, 15]. Другие методы и технологии оперативного вмешательства при подобных ситуациях крайне ограничены, или их применяют достаточно редко. Однако, несмотря на достаточно высокую эффективность классического метода, отмечено развитие различных осложнений, частота которых по данным литературы составляет в среднем от 6 до 38% [16, 17]. В ряде исследований эти показатели более высокие и достигают 50% [14, 18].
Среди осложнений в раннем послеоперационном периоде возможно развитие компартмент-синдрома, локальных воспалительных процессов в области введения спиц, а также поверхностные и глубокие инфекции. Кроме того, в некоторых ситуациях можно наблюдать вторичное смещение отломков, миграцию спиц, повреждение сосудов, нервов и сухожилий во время операции [19, 20]. В исследовании M. Wasiak и соавт. [19] среди 119 детей с переломами ДОЛК частота послеоперационных осложнений составила 37%, при этом наиболее часто встречали воспаление в месте установки спицы (33,6%). У 1,7% пролеченных пациентов возникла миграция спицы, потребовавшая повторной операции. В одном случае произошло тяжелое осложнение в виде глубокого инфицирования с остеолизом костей (III степень по шкале Даля), о которых в литературе, как правило, сообщают редко [21, 22]. Систематический анализ, проведенный S. Khandekar и соавт. [14], показал, что инфицирование в месте введения металлоконструкции встречали в 52% случаев. В ретроспективном анализе D.N. Ramoutar и соавт. [17], включающем результаты лечения 248 пациентов с перелом ДОЛК в возрасте от 3 до 15 лет, пролеченных оперативным путем с фиксацией отломков спицами Киршнера, частота встречаемости миграции металлоконструкции составила 30%. В работе B.S. Miller и соавт. [16] осложнения, связанные с использованием спиц Киршнера, были отмечены в 25% случаев. Они включали в равных пропорциях миграцию спиц и признаки инфекционного воспаления в месте введения спицы.
Стоит упомянуть о возрастных особенностях строения костной ткани у детей, в частности, о наличии эпифизарной пластинки (зона роста) в области метаэпифиза, который является местом проведения и нахождения металлоконструкции. Вовлечение этой области в патологический процесс в случае возникновения осложнений может привести к угнетению или стимуляции ростовой зоны, что в свою очередь способно вызвать укорочение или чрезмерное удлинение конечности, а также формирование угловых деформаций [2, 23]. В ходе настоящего исследования не было зафиксировано патологического изменения зоны эпифиза по данным рентгенологического исследования, а также изменения длины или деформации поврежденной конечности.
К более поздним осложнениям хирургического лечения детей с переломами ДОЛК относят неправильную консолидацию костных отломков, а также формирование контрактур лучезапястного и локтевого суставов, связанных с иммобилизацией. Согласно проведенным ранее исследованиям, ограничение подвижности наблюдают с частотой от 1,5 до 13%, и в большинстве случаев оно исчезает с течением времени [13, 17].
Как свидетельствуют проведенные ранее исследования, возникшие осложнения чаще всего нетяжелые [19, 24]. Настоящее исследование также подтвердило эти данные. Консолидация костных отломков в правильном анатомическом положении произошла у всех пациентов, а частота развития и тяжесть осложнений были сопоставимы с данными других авторов. При этом следует отметить, что осложнения чаще наблюдали в группе пациентов, пролеченных по общепринятой классической методике, а тяжесть их проявлений с менее благоприятным исходом была выше у этих детей. Так, осложнения, потребовавших дополнительного хирургического вмешательства (миграция металлоконструкции с перфорацией кожных покровов), наблюдали только в группе с ретроградным способом введения спиц Киршнера. Можно предположить, что это связано с близким расположением костных структур в дистальном отделе лучевой кости, и оставление спицы Киршнера подкожно в этой области сопряжено с высоким риском перфорации и последующей миграции в сторону лучезапястного сустава.
Кроме того, важно отметить, что необходимость использования гипсовой повязки, обеспечивающей обездвиживание двух суставов, соседних к месту перелома, на срок от 4 до 6 нед. после операции, увеличивает продолжительность восстановительного периода и повышает риск развития контрактур суставов [25]. В данном исследовании также были отмечены осложнения в виде контрактуры лучезапястного сустава среди пациентов обеих групп исследования. Однако в группе детей, пролеченных усовершенствованным способом, а также у пациента из группы сравнения, у которых не было других осложнений, контрактуру благополучно устранили после проведения реабилитационных мероприятий. При этом у детей из группы сравнения, у которых наблюдали сочетание осложнений в виде миграции спиц и последующей контрактуры лучезапястного сустава, в большинстве случаев сохранились ограничения в движении сустава, что, по мнению авторов, было связано с необходимостью проведения более длительного периода иммобилизации конечности, а также более выраженными патологическими изменениями элементов сустава после миграции спиц и повреждения кожных покровов.
Анализ данных, полученных в ходе исследования, а также результаты других авторов позволяют сделать вывод о наличии ряда принципиальных преимуществ предложенной авторской методики хирургического лечения переломов ДОЛК в сравнении с традиционной методикой. Они заключаются в том, что за счет проксимального введения спицы на отдалении от перелома хирург получает возможность свободно провести закрытую репозицию дистального отломка относительно проксимального. Использование изогнутого конца спицы позволяет устранить остаточные ротационные компоненты смещения. Важно отметить, что отсутствует необходимость применять специальный инструментарий для установки металлоконструкции.
Заключение
Таким образом, в ходе сравнительного анализа установлено, что предложенная авторами усовершенствованная методика хирургического лечения детей с нестабильными переломами ДОЛК не приводила к увеличению времени оперативного вмешательства по сравнению с классической технологией. При этом необходимо подчеркнуть, что в результате применения новой методики хирургического лечения отмечена стабильная и надежная фиксация костных отломков, которая исключает миграцию металлоконструкции, в отличие от стандартных методов. Важно отметить, что количество осложнений в раннем и отдаленном периоде наблюдения после операции значительно ниже при использовании усовершенствованной методики хирургического лечения по сравнению с классическими технологиями, а функциональные результаты значительно выше. Это дает основания рассматривать новый предложенный подход к хирургическому лечению детей с нестабильными переломами ДОЛК не только как конкурентоспособный, но и как наиболее предпочтительный.
Дополнительная информация
Вклад авторов. С.В. Виссарионов — дизайн исследования, этапное и окончательное редактирование статьи; Г.А. Большаков — сбор материала исследования, его анализ, написание текста статьи. Все авторы одобрили версию для публикации, а также согласились нести ответственность за все аспекты работы, гарантируя надлежащее рассмотрение и решение вопросов, связанных с точностью и добросовестностью любой ее части.
Этическая экспертиза. Исследование было одобрено локальным этическим комитетом ОГАУЗ «Городская Ивано-Матренинская детская клиническая больница» (Иркутск) (протокол № 4 от 05.06.2023). Исследование и его протокол не регистрировали.
Согласие на публикацию. Авторы получили письменное информированное добровольное согласие законных представителей пациентов на публикацию персональных данных, в том числе фотографий, в научном журнале, включая его электронную версию. Объем публикуемых данных с законными представителями пациентов согласован.
Источники финансирования. Авторы заявляют об отсутствии внешнего финансирования при проведении исследования.
Раскрытие интересов. Авторы заявляют об отсутствии отношений, деятельности и интересов за последние три года, связанных с третьими лицами (коммерческими и некоммерческими), интересы которых могут быть затронуты содержанием статьи.
Оригинальность. При создании настоящей работы авторы не использовали ранее опубликованные сведения (текст, иллюстрации, данные).
Доступ к данным. Все данные, полученные в настоящем исследовании, доступны в статье.
Генеративный искусственный интеллект. При создании настоящей статьи технологии генеративного искусственного интеллекта не использовали.
Рассмотрение и рецензирование. Настоящая работа подана в журнал в инициативном порядке и рассмотрена по обычной процедуре. В рецензировании участвовали два внутренних рецензента.
作者简介
Sergei V. Vissarionov
H. Turner National Medical Research Center for Сhildren’s Orthopedics and Trauma Surgery
Email: vissarionovs@gmail.com
ORCID iD: 0000-0003-4235-5048
SPIN 代码: 7125-4930
MD, Dr. Sci. (Medicine), Professor, Corresponding Member of RAS
俄罗斯联邦, Saint PetersburgGleb A. Bolshakov
Irkutsk Municipal Pediatric Clinical Hospital
编辑信件的主要联系方式.
Email: bolgleb@mail.ru
ORCID iD: 0000-0002-7325-5528
SPIN 代码: 8571-4512
MD
俄罗斯联邦, Irkutsk参考
- Azad A, Kang HP, Alluri RK, et al. Epidemiological and treatment trends of distal radius fractures across multiple age groups. J Wrist Surg. 2019;8(4):305–311. doi: 10.1055/s-0039-1685205
- Deng H, Zhao Z, Xiong Z, et al. Clinical characteristics of 1124 children with epiphyseal fractures. BMC Musculoskelet Disord. 2023;24(1):598. doi: 10.1186/s12891-023-06728-9 EDN: TUCFVD
- Laaksonen T, Kosola J, Nietosvaara N, et al. Epidemiology, treatment, and treatment quality of overriding distal metaphyseal radial fractures in children and adolescents. J Bone Joint Surg Am. 2022;104(3):207–214. doi: 10.2106/JBJS.21.00850 EDN: OCLTAC
- Rai P, Haque A, Abraham A. A systematic review of displaced paediatric distal radius fracture management: plaster cast versus Kirschner wiring. J Clin Orthop Trauma. 2020;11(2):275–280. doi: 10.1016/j.jcot.2019.03.021 EDN: ENSDLN
- Sengab A, Krijnen P, Schipper IB. Displaced distal radius fractures in children, cast alone vs additional K-wire fixation: a meta-analysis. Eur J Trauma Emerg Surg. 2019;45(6):1003–1011. doi: 10.1007/s00068-018-1011-y EDN: RDPEUG
- Jordan RW, Westacott D, Srinivas K, et al. Predicting redisplacement after manipulation of paediatric distal radius fractures: the importance of cast moulding. Eur J Orthop Surg Traumatol. 2015;25(5):841–845. doi: 10.1007/s00590-015-1627-0 EDN: HDWPAE
- Sengab A, Krijnen P, Schipper IB. Risk factors for fracture redisplacement after reduction and cast immobilization of displaced distal radius fractures in children: a meta-analysis. Eur J Trauma Emerg Surg. 2020;46(4):789–800. doi: 10.1007/s00068-019-01227-w EDN: YUWHGU
- Sato O, Aoki M, Kawaguchi S, et al. Antegrade intramedullary K-wire fixation for distal radial fractures. J Hand Surg Am. 2002;27(4):707–713. doi: 10.1053/jhsu.2002.34371
- Mostafa MF. Treatment of distal radial fractures with antegrade intramedullary Kirschner wires. Strategies Trauma Limb Reconstr. 2013;8(2):89–95. doi: 10.1007/s11751-013-0161-z
- Keshava NK, Gedam PN, Mhaisane S, et al. Is antegrade K-wire pinning better than retrograde pinning for distal radius fracture? A comparative study. Int J Res Orthop. 2022;8(6):636–641. doi: 10.18203/issn.2455-4510.IntJResOrthop20222700
- Dahl MT, Gulli B, Berg T. Complications of limb lengthening. A learning curve. Clin Orthop Relat Res. 1994;301:10–18.
- Bergkvist A, Lundqvist E, Pantzar-Castilla E. Distal radius fractures in children aged 5-12 years: a Swedish nationwide register-based study of 25 777 patients. BMC Musculoskelet Disord. 2023;24(1):560. doi: 10.1186/s12891-023-06680-8 EDN: OFGJIM
- Handoll HH, Elliott J, Iheozor-Ejiofor Z, et al. Interventions for treating wrist fractures in children. Cochrane Database Syst Rev. 2018;12(12):CD012470. doi: 10.1002/14651858.CD012470.pub2
- Khandekar S, Tolessa E, Jones S. Displaced distal end radius fractures in children treated with Kirschner wires — a systematic review. Acta Orthop Belg. 2016;82(4):681–689.
- Abulsoud MI, Mohammed AS, Elmarghany M, et al. Intramedullary Kirschner wire fixation of displaced distal forearm fractures in children. BMC Musculoskelet Disord. 2023;24(1):746. doi: 10.1186/s12891-023-06875-z EDN: BFJCWX
- Miller BS, Taylor B, Widmann RF, et al. Cast immobilization versus percutaneous pin fixation of displaced distal radius fractures in children: a prospective, randomized study. J Pediatr Orthop. 2005;25(4):490–494. doi: 10.1097/01.bpo.0000158780.52849.39
- Ramoutar DN, Shivji FS, Rodrigues JN, Hunter JB. The outcomes of displaced paediatric distal radius fractures treated with percutaneous Kirschner wire fixation: a review of 248 cases. Eur J Orthop Surg Traumatol. 2015;25(3):471–476. doi: 10.1007/s00590-014-1553-6 EDN: KCINKT
- Khasanova NA. Innovative method of treatment of distal radius fractures: monograph. Cheboksary: Sreda. 2022. 156 p. (In Russ.) doi: 10.31483/a-10446 EDN: MRNCGE
- Wasiak M, Piekut M, Ratajczak K, et al. Early complications of percutaneous K-wire fixation in pediatric distal radius fractures — a prospective cohort study. Arch Orthop Trauma Surg. 2023;143(11):6649–6656. doi: 10.1007/s00402-023-04996-7 EDN: CBUJYG
- Passiatore M, De Vitis R, Perna A, et al. Extraphyseal distal radius fracture in children: is the cast always needed? A retrospective analysis comparing Epibloc system and K-wire pinning. Eur J Orthop Surg Traumatol. 2020;30(7):1243–1250. doi: 10.1007/s00590-020-02698-z EDN: ALBKUT
- Firth GB, Robertson AJF. Treatment of distal radius metaphyseal fractures in children: a case report and literature review. SA Orthop J. 2017;16:59–63. doi: 10.17159/2309-8309/2017/v16n4a10
- Rajakulendran K, Picardo NE, El-Daly I, Husein R. Brodie’s abscess following percutaneous fixation of distal radius fracture in a child. Strategies Trauma Limb Reconstr. 2016;11(1):69–73. doi: 10.1007/s11751-016-0249-3
- Scharf M, Walter N, Rupp M, Alt V. Treatment of fracture-related infections with bone abscess formation after K-wire fixation of pediatric distal radius fractures in adolescents - a report of two clinical cases. Children (Basel). 2023;10(3):581. doi: 10.3390/children10030581 EDN: YQCKJY
- Tosti R, Foroohar A, Pizzutillo PD, Herman MJ. Kirschner wire infections in pediatric orthopaedic surgery. J Pediatr Orthop. 2015;35(1):69–73. doi: 10.1097/BPO.0000000000000208
- van der Sluijs JA, Bron JL. Malunion of the distal radius in children: accurate prediction of the expected remodeling. J Child Orthop. 2016;10(3):235–240. doi: 10.1007/s11832-016-0741-9
补充文件






