Clinical and MRI features of patellar instability in children
- Authors: Lukyanov S.A.1, Zorin V.I.1,2
-
Affiliations:
- H. Turner National Medical Research Center for Сhildren’s Orthopedics and Trauma Surgery
- North-Western State Medical University named after I.I. Mechnikov
- Issue: Vol 13, No 2 (2025)
- Pages: 145-153
- Section: Clinical studies
- Submitted: 09.04.2025
- Accepted: 05.05.2025
- Published: 23.06.2025
- URL: https://journals.eco-vector.com/turner/article/view/678328
- DOI: https://doi.org/10.17816/PTORS678328
- EDN: https://elibrary.ru/ESAPBY
- ID: 678328
Cite item
Abstract
BACKGROUND: Patellar instability refers to recurrent dislocations and subluxations of the patella relative to the femoral trochlear groove. This condition is one of the most common disorders of the knee joint in pediatric patients. Both bone and soft tissue structures act as stabilizers of the patella, and alterations in any of these components may contribute to patella instability. Magnetic resonance imaging (MRI) findings related to the osteochondral and soft tissue structures of the patellofemoral joint in children with patellar instability, as well as their correlation with clinical presentation, are of practical interest.
AIM: This study aimed to assess the key MRI features of the patellofemoral joint zone in pediatric patients with patellar instability and evaluate their clinical manifestations.
METHODS: Epidemiological, clinical, and MRI data were analyzed for patients with patellar instability and anterior cruciate ligament injury. The study included 52 patients in the main group and 44 patients in the comparison group with anterior cruciate ligament injury. No statistically significant differences in age distribution were observed.
RESULTS: Significant differences were identified between the groups in terms of Wiberg patellar type, presence of a patellar apprehension sign, and patellar hypermobility. Differences were also noted in the lateral inclination and depth of the trochlear groove, as well as in the frequency of clinical signs such as patellar apprehension and patellar hypermobility (p < 0.001).
CONCLUSION: Trochlear dysplasia is a key predisposing factor for the development of patellar instability in pediatric patients. This study confirmed statistically significant differences in the parameters characterizing trochlear dysplasia, as well as the influence of this factor on patellar instability in children, including its correlation with clinical manifestations.
Full Text
BACKGROUND
Patellar instability refers to recurrent dislocations and subluxations of the patella relative to the femoral trochlear groove. This condition can lead to significant limitations in physical activity and increase the risk of patellofemoral joint osteoarthritis if not treated [1, 2].
The overall incidence among pediatric patients is 2.8 cases per 100,000 children per year, with a peak incidence at age 10–17 years, reaching up to 50 cases per 100,000 in this age group [3–5].
The clinical manifestations of patellar instability are frequently observed during physical exertion and sports activities, accounting for up to 60% of primary dislocation events. Some patients with habitual patellar dislocation experience episodes of instability even during routine activities [6].
Following conservative treatment of a single transient patellar dislocation episode, up to 50% of patients still report anterior knee pain. Among patients receiving conservative therapy, the recurrence rate of patellar dislocation is 15%–44% [4]. After a second dislocation, recurrent episodes are observed in 50% of cases. Other significant risk factors of recurrent instability include age, type of initial treatment, and anatomical features [7].
Bony and soft tissue structures serve as stabilizers of the patella, and alterations in any of them may lead to patella dislocation. The leading predisposing factors for instability include patella alta, trochlear dysplasia, and genu valgum [8].
Magnetic resonance imaging (MRI) is considered the gold standard in the radiologic assessment of joints and soft tissue lesions. Its high resolution allows for excellent multiplanar visualization and differentiation of soft tissues, bone structures, articular cartilage, muscles, ligaments, and tendons. Moreover, the absence of ionizing radiation makes MRI the preferred method for evaluating injuries in the pediatric population [9]. MRI findings regarding the condition of osteochondral and soft tissue structures of the patellofemoral joint in children with patellar instability and their correlation with the clinical picture are of practical interest.
The work aimed to evaluate the key MRI features of the patellofemoral joint zone in pediatric patients with patellar instability and their clinical manifestations.
METHODS
The epidemiological, clinical, and MRI data of patients with patellar instability and anterior cruciate ligament (ACL) injury of the knee joint who were hospitalized for surgical treatment at the Turner National Medical Research Center for Children’s Orthopedics and Trauma Surgery, Ministry of Health of Russia, between 2022 and 2024 were analyzed.
Study design: non-randomized, retrospective, descriptive, single-center.
The primary unit of statistical analysis (observation unit) was pediatric patients with patellar instability (main study group). The comparison group included pediatric patients with capsuloligamentous injuries of the knee joint.
Inclusion criteria:
- Age between 12 and 17 years;
- Presence of patellar instability (main group) or capsuloligamentous injury of the knee joint (comparison group);
- Available clinical and imaging data.
Exclusion criteria:
- Absence of patellar instability in the main group or ACL injury in the comparison group confirmed by in-hospital evaluation;
- Presence of systemic condition or congenital limb deformities.
Patients with ACL injuries were selected as the comparison group, as they underwent a similar preoperative assessment to that of patients in the main group. MRI was performed according to the clinical guidelines of the Association of Traumatologists and Orthopedists of Russia [10].
MRI features reflecting patellofemoral joint dysplasia were evaluated: Wiberg patellar type, Insall–Salvati and Caton–Deschamps indices, lateral inclination of the trochlear groove, facet asymmetry, trochlear groove depth, tibial tubercle–trochlear groove (TT–TG) distance, and patellotrochlear index. Moreover, signs of prior patellar dislocation with osteochondral injury were assessed, including the presence of a medial patellar margin fracture and intra-articular osteochondral loose bodies. Among the analyzed clinical signs were the presence of patellar apprehension and hypermobility.
MRI was performed using a Philips Ingenia Elition X scanner with a magnetic field strength of 3.0 T. The protocol included proton density-weighted sequences with fat suppression and T1- and T2-weighted images in sagittal, axial, and coronal planes with a slice thickness of 3 mm.
According to the Wiberg classification, patellar facets are divided into three types based on the relative sizes of the medial and lateral facets. The Wiberg classification was originally used for radiography, but is currently applied in other modalities [5]. In the present study, the classification was used following the standard methodology, which identifies three Wiberg types. According to scientific data, the frequency distribution was as follows: type 1, 10%; type 2, 65%; and type 3, 25%. In type 1 patellae, the medial and lateral facets were equal in size and were concave. In type 2, the medial facet was shorter than the lateral one; both facets were concave. In type 3, the medial facet was much shorter than the lateral facet and is convex [8, 11].
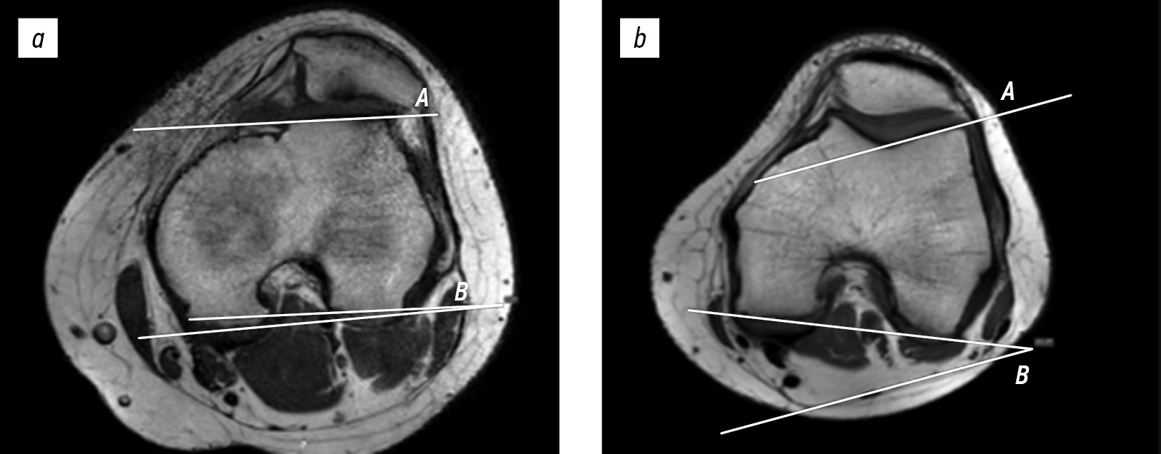
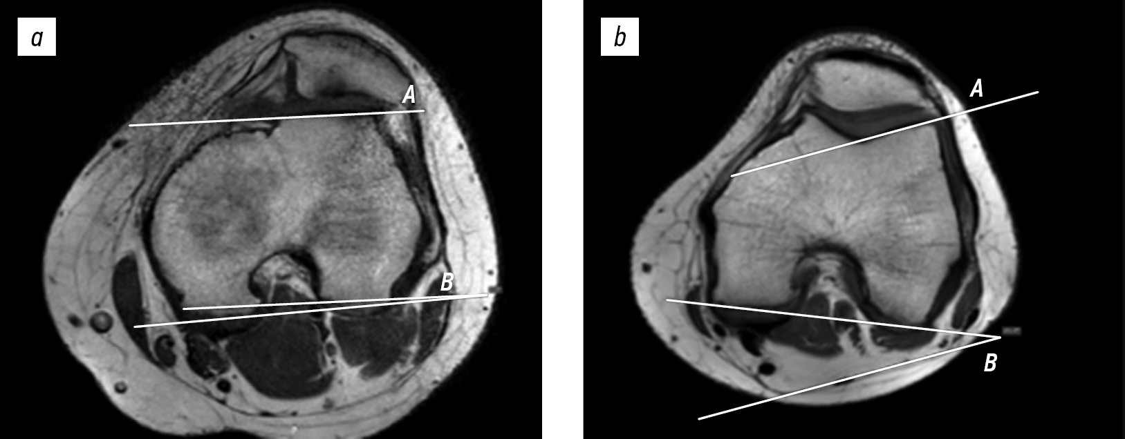
Lateral trochlear inclination was assessed using the first axial image on which the articular cartilage was visible. The inclination angle between the lateral condylar line and posterior femoral condylar line was measured. A line tangent to the subchondral bone of the posterior surfaces of the femoral condyles was intersected with a line tangent to the subchondral bone of the lateral surface of the trochlear groove. An inclination angle of <11° indicated trochlear dysplasia (Fig. 1) [12].
Fig. 1. Lateral trochlear inclination on magnetic resonance imaging in a 15-year-old female patient with patellar instability (1.2°) (a) and in a 17-year-old female patient with anterior cruciate ligament injury (21°) (b). A, line tangent to the lateral facet; B, line tangent to the posterior condylar line.
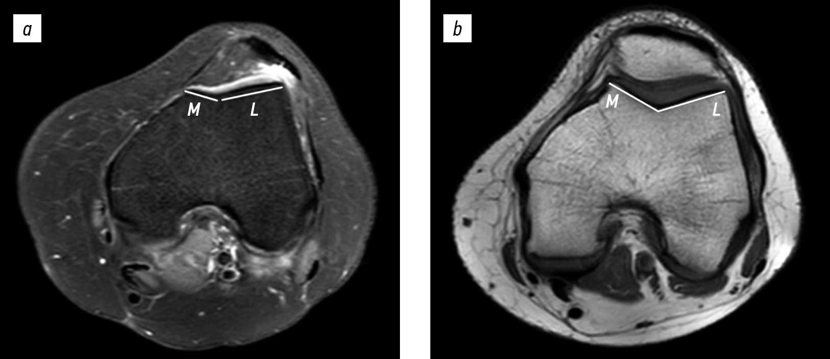
Trochlear facet asymmetry was evaluated on axial MRI images without fat suppression, using the first slice on which the articular cartilage was visible. Trochlear groove asymmetry was measured as the ratio of the medial facet to the lateral facet. The length of the medial facet (M) and of the lateral facet (L) were measured to obtain facet asymmetry; the length of the medial facet was divided by the length of the lateral facet and expressed as percentage (M/L × 100%). A ratio of the trochlear facets below 40% was indicative of trochlear dysplasia (Fig. 2) [13].
Fig. 2. Trochlear facet asymmetry index on magnetic resonance imaging: (a) 16-year-old female patient with patellar instability (33%) and (b) 17-year-old female patient with anterior cruciate ligament injury (75%). M, medial facet length; L, lateral facet length.
Furthermore, the depth of the trochlear groove was assessed using axial slices. The measurement was performed using the formula ([A + B/2] − C) proposed by Pfirrmann et al. [14]. Distances A and B were defined as the maximal anteroposterior measurements from the posterior aspects of the femoral condyles to the subchondral bone of the trochlear groove at the lateral and medial sides, respectively. Distance C represented the minimal anteroposterior distance from the deepest point of the trochlear groove to a line parallel to the posterior contours of the femoral condyles (Fig. 3).
Fig. 3. Trochlear groove depth measurement on magnetic resonance imaging in a 16-year-old female with patellar instability: A, maximal anteroposterior distance between the femoral condyles and lateral facet; B, maximal anteroposterior distance between the femoral condyles and deepest point of the trochlear groove; and C, maximal anteroposterior distance between the femoral condyles and medial facet.
Measurement of the TT–TG distance involves determining the distance from the trochlear groove to tibial tuberosity. In patients with severe patellofemoral joint dysplasia, measurement of the distance between the tibial tuberosity and deepest point of the trochlear groove is less accurate due to the difficulty in determining the groove depth. A distance of <15 mm between the tibial tuberosity and deepest point of the trochlear groove is considered normal; a distance of 15–20 mm is regarded as borderline; and a distance >20 mm indicates marked lateralization of the tibial tuberosity [13, 15].
In addition, the Insall–Salvati and Caton–Deschamps indices were analyzed. The Insall–Salvati index is calculated as the ratio of the patellar tendon length (A) to the patellar length (B)—A/B. The Caton–Deschamps index is based on the measurement of the patellar articular surface length (B) and the distance from the inferior margin of the articular surface to the tibial plateau (A)—A/B. The Insall–Salvati index within the range of 0.8–1.2 is considered normal, whereas the normal range for the Caton–Deschamps index is 0.6–1.3 [16].
Moreover, MRI was used to determine the presence of free osteochondral bodies and signs of medial patellar margin fracture, and the patellotrochlear index was analyzed. On lateral projection, the height of the patellar articular surface (B) and portion of the trochlear groove articulating with the patella (A) were measured. The ratio А/В × 100% was calculated, with values <12.5% considered normal according to scientific data (Fig. 4) [17].
Fig. 4. Patellotrochlear index on magnetic resonance imaging: a, 16-year-old female with patellar instability. Patellotrochlear index value: 11.4%; b, 15-year-old male with anterior cruciate ligament injury. Patellotrochlear index value: 39.1%. A, length of the trochlear articular surface in contact with the patellar articular surface; B, length of the patellar articular surface (patellar height).
Patellar apprehension was assessed by flexing the knee to 20° and applying a lateral force to the patella, reproducing the lateral dislocation trajectory. The test was considered positive if apprehension was provoked and negative if no symptoms were reported.
Patellar hypermobility was evaluated with the knee in full extension by applying lateral displacement to the patella. Displacement of one-third or more of the patellar width was recorded as a positive sign.
Statistical analysis was performed using StatTech v. 4.8.0 (StatTech LLC, Russia). The distribution of quantitative variables was assessed for normality using the Shapiro–Wilk test (for samples <50) or Kolmogorov–Smirnov test (for samples >50). In cases where the data did not follow a normal distribution, quantitative variables were described using the median (Me) and lower and upper quartiles [Q1; Q3]. A quantitative variable with a non-normal distribution was compared between the two groups using the Mann–Whitney U test. The discriminatory ability of quantitative parameters in predicting specific outcomes was assessed using ROC curve analysis. The cutoff point was determined based on the highest Youden index.
Fifty-two patients in the main group and 44 patients in the comparison group met the inclusion criteria. No significant differences were found in age distribution. Significant differences were identified for other quantitative variables and are presented in Table 1.
Table 1. Descriptive statistics of quantitative variables by group (Me [Q1; Q3])
Parameter | Main group | Comparison group | p |
Age, years | 15.00 [14.00; 16.25] | 16.00 [14.00; 16.00] | 0.399 |
IS | 1.70 [1.35; 1.80] | 1.00 [1.00; 1.10] | <0.001 |
CD | 1.30 [0.97; 1.40] | 1.10 [1.00; 1.10] | <0.001 |
Lateral inclination, ° | 12.00 [9.80; 12.00] | 16.00 [14.00; 17.00] | <0.001 |
Facet asymmetry, % | 33.00 [33.00; 38.00] | 46.00 [43.75; 48.00] | <0.001 |
Trochlear groove depth, mm | 2.70 [2.60; 3.40] | 4.00 [3.00; 5.00] | <0.001 |
TT–TG, mm | 17.00 [16.00; 18.00] | 16.00 [15.00; 17.00] | <0.001 |
PTI, % | 1.20 [1.17; 1.20] | 1.60 [1.50; 1.70] | <0.001 |
Note: Me, median; Q1; Q3, first and third quartiles; IS, Insall–Salvati index; CD, Caton–Deschamps index; TT–TG, tibial tuberosity–trochlear groove distance; PTI, patellotrochlear index.
RESULTS
Statistical analysis revealed significant differences in the Wiberg patellar type, presence of patellar apprehension, and patellar hypermobility. Patellar fractures and osteochondral bodies were not observed in the comparison group; therefore, these were excluded in the statistical analysis. Table 2 presents descriptive statistics.
Table 2. Descriptive statistics of categorical variables by group
Parameter | Category | Main group | Comparison group | p |
Sex, n (%) | Male | 33 (63.5) | 29 (65.9) | 0.803 |
Female | 19 (36.5) | 15 (34.1) | ||
Localization, n (%) | Right | 23 (44.2) | 0 (0) | – |
Left | 16 (30.8) | 0 (0) | ||
Bilateral | 13 (25.0) | 0 (0) | ||
Wiberg type, n (%) | Type 1 | 5 (9.6) | 42 (95.5) | <0.001* |
Type 2 | 14 (26.9) | 2 (4.5) | ||
Type 3 | 33 (63.5) | 0 (0.0) | ||
Patellar apprehension, n (%) | No | 12 (23.1) | 44 (100.0) | <0.001* |
Yes | 40 (76.9) | 0 (0.0) | ||
Patellar hypermobility, n (%) | No | 6 (11.5) | 38 (86.4) | <0.001* |
Yes | 46 (88.5) | 6 (13.6) | ||
Patellar medial edge fracture (PMF), n (%) | No | 42 (80.8) | 0 (0) | – |
Yes | 10 (19.2) | 0 (0) | ||
Osteochondral bodies (OCB), n (%) | No | 47 (90.4) | 0 (0) | – |
Yes | 5 (9.6) | 0 (0) |
Note: *Significant differences (p < 0.05).
The most common Wiberg patellar type in patients with patellar instability was type 3 (n = 33, 63.5%) and type 1 in patients with ACL injury (n = 42, 95.5%) (p < 0.001).
Statistical analysis revealed significant differences in lateral trochlear inclination and prevalence of clinical signs such as patellar apprehension and patellar hypermobility between the groups. No significant differences were found in patients with patellar medial edge fractures or osteochondral bodies (Table 3).
Table 3. Analysis of inclination according to clinical parameters
Parameter | Category | Inclination, ° | p | ||
Me | Q1; Q3 | n | |||
Apprehension | No | 15.00 | 13.00; 17.00 | 56 | <0.001* |
Yes | 12.00 | 9.80; 12.00 | 40 | ||
Hypermobility | No | 15.00 | 13.00; 17.00 | 44 | <0.001* |
Yes | 12.00 | 9.80; 12.30 | 52 | ||
MPF | No | 12.00 | 9.80; 12.00 | 42 | 0.693 |
Yes | 10.40 | 9.80; 12.00 | 10 | ||
OCB | No | 12.00 | 9.80; 12.00 | 47 | 0.031* |
Yes | 12.00 | 12.00; 17.00 | 5 | ||
Note for Tables 3–5: Me, median; Q1; Q3, first and third quartiles; MPF, medial patellar facet fracture; OCB, osteochondral bodies. Differences were considered significant at p < 0.05.
Analysis of the sensitivity and specificity of lateral trochlear inclination revealed that this parameter was a significant predictor of patellar apprehension, hypermobility, and presence of intra-articular osteochondral bodies (p < 0.01).
Additionally, the analysis determined significant differences in trochlear groove depth and the incidence of clinical signs of patellar apprehension and patellar hypermobility. No such differences were observed in patients with patellar medial edge fractures or osteochondral bodies. Table 4 presents the data.
Table 4. Trochlear groove depth according to clinical manifestations
Parameter | Category | Trochlear groove depth, mm | p | ||
Me | Q1; Q3 | n | |||
Apprehension | No | 4.00 | 3.00; 4.00 | 56 | <0.001* |
Yes | 2.70 | 2.60; 3.45 | 40 | ||
Hypermobility | No | 4.00 | 3.00; 4.25 | 44 | <0.001* |
Yes | 2.75 | 2.60; 3.60 | 52 | ||
MPF | No | 2.70 | 2.60; 3.36 | 42 | 0.316 |
Yes | 3.15 | 2.62; 3.60 | 10 | ||
OCB | No | 2.70 | 2.60; 3.50 | 47 | 0.263 |
Yes | 2.60 | 2.60; 2.70 | 5 | ||
Analysis of the sensitivity and specificity showed that trochlear depth was a significant predictor of patellar apprehension and patellar hypermobility (p < 0.01). Similar results were observed when analyzing the predictive value of the trochlear facet asymmetry index for clinical symptoms (Table 5).
Table 5. Comparison of clinical manifestations and femoral condylar facet asymmetry
Parameter | Category | Facet asymmetry, % | p | ||
Me | Q1; Q3 | n | |||
Apprehension | No | 45.00 | 41.75; 48.00 | 56 | <0.001* |
Yes | 33.50 | 33.00; 38.00 | 40 | ||
Hypermobility | No | 45.50 | 42.75; 48.00 | 44 | <0.001* |
Yes | 36.00 | 33.00; 41.25 | 52 | ||
MPF | No | 33.00 | 33.00; 38.00 | 42 | 0.675 |
Yes | 38.00 | 33.00; 38.00 | 10 | ||
OCB | No | 33.00 | 33.00; 38.00 | 47 | 0.620 |
Yes | 33.00 | 33.00; 48.00 | 5 | ||
Analysis of the sensitivity and specificity of the facet asymmetry index revealed that it is a significant predictor of patellar apprehension and hypermobility (p < 0.01).
DISCUSSION
This study revealed a significant difference in the severity of trochlear dysplasia between the main and comparison groups. Regarding patella alta, all indices (CD, IS, and PTI) demonstrated equivalent performance, which supports the use of PTI comparable with other indices. The CD and IS indices have several limitations related to the characteristics of the inferior pole of the patella and patellar ligament, which underscores the relevance of using PTI, as its calculation is not affected by the anatomical features of these structures.
Scientific data indicate that different Wiberg patellar types influence the incidence of knee joint injuries [18]. In the present study, Wiberg type 3 was the most common (n = 33, 63.5%), followed by type 2 (n = 14, 26.9%). These findings are consistent with those reported by Djuricic et al. [19]. In this context, trochlear dysplasia is considered a leading cause of patellar instability [18].
The most commonly used MRI parameters in assessing trochlear dysplasia are the facet asymmetry index, lateral inclination, and trochlear depth [20]. Lateral inclination provides a quantitative assessment of dysplasia. Notably, a value below 11° is associated with a 95% probability of patellar instability secondary to trochlear facet asymmetry [21], whereas a threshold of <0.4 or 40% for the facet asymmetry index indicates the presence of trochlear dysplasia [22].
Furthermore, the findings of the present study confirm the significant role of trochlear dysplasia in the development of recurrent patellar instability, as evidenced by significant differences in all parameters compared to the control group. We believe that the association between parameters characterizing trochlear dysplasia and the clinical manifestations of patellar instability should be established. The obtained results regarding the facet asymmetry index, lateral inclination, and trochlear depth indicate a high probability of patellar hypermobility, manifested as patellar apprehension. This relationship with the clinical presentation may indicate that trochlear dysplasia contributes to episodes of dislocation and to articular cartilage damage due to pathological load distribution within the patellofemoral joint. It is of particular interest to evaluate the effect of the severity of trochlear dysplasia on knee joint function in children before and after surgical treatment, depending on the intervention performed.
CONCLUSION
Trochlear dysplasia is an important predisposing factor for the development of patellar instability in pediatric patients. The present study confirmed significant differences in parameters characterizing trochlear dysplasia and demonstrated the impact of this condition on patellar instability in children. Moreover, an association was revealed between trochlear dysplasia and the clinical manifestations of patellar instability. Further studies are warranted to assess knee joint function before and after surgical treatment, considering the type of surgical intervention and radiological features.
ADDITIONAL INFORMATION
Author contributions: S.A. Lukyanov: methodology, data curation, formal analysis, writing—original draft; V.I. Zorin: methodology, writing—original draft, writing—review & editing. All authors approved the version of the manuscript to be published and agree to be accountable for all aspects of the work, ensuring that questions related to the accuracy or integrity of any part of the work are appropriately investigated and resolved.
Ethics approval: The study was approved by the Local Ethics Committee of the H. Turner National Medical Research Center for Сhildren’s Orthopedics and Trauma Surgery, Ministry of Health of the Russian Federation (Protocol No. 25-04/1 dated April 18, 2025). The study and its protocol were not registered.
Consent for publication: Consent was obtained from all patients or their legally acceptable representatives for participation and publication of information.
Funding sources: This study was conducted as part of the national research project titled “Monitoring of the musculoskeletal systems of child athletes and non-athletes based on comprehensive assessments of motor activity levels, clinical investigations, biomechanical parameters, and bone and muscle biomarkers.” (registration number: 124020400015-5).
Disclosure of interests: The authors have no relationships, activities, or interests for the last three years related to for-profit or not-for-profit third parties whose interests may be affected by the content of the article.
Statement of originality: No previously published material (text, images, or data) was used in this work.
Data availability statement: All data generated during this study are available in this article.
Generative AI: No generative artificial intelligence technologies were used to prepare this article.
Provenance and peer-review: This paper was submitted unsolicited and reviewed following the standard procedure. The peer review process involved an external reviewer and an in-house reviewer.
About the authors
Sergey A. Lukyanov
H. Turner National Medical Research Center for Сhildren’s Orthopedics and Trauma Surgery
Author for correspondence.
Email: Sergey.lukyanov95@yandex.ru
ORCID iD: 0000-0002-8278-7032
SPIN-code: 3684-5167
MD, PhD, Cand. Sci. (Medicine)
Russian Federation, Saint PetersburgVyacheslav I. Zorin
H. Turner National Medical Research Center for Сhildren’s Orthopedics and Trauma Surgery; North-Western State Medical University named after I.I. Mechnikov
Email: zoringlu@yandex.ru
ORCID iD: 0000-0002-9712-5509
SPIN-code: 4651-8232
MD, PhD, Cand. Sci. (Medicine), Assistant Professor
Russian Federation, Saint Petersburg; Saint PetersburgReferences
- Adachi N. Diagnosis and treatment of patellar instability. Orthop J Sports Med. 2024;12(10_suppl3):2325967124S00382. doi: 10.1177/2325967124S00382 EDN: MFPYIA
- Poorman MJ, Talwar D, Sanjuan J, et al. Increasing hospital admissions for patellar instability: a national database study from 2004 to 2017. Phys Sportsmed. 2020;48(2):215–221. doi: 10.1080/00913847.2019.1680088
- Fithian DC, Paxton EW, Stone ML, et al. Epidemiology and natural history of acute patellar dislocation. Am J Sports Med. 2004;32(5):1114–1121. doi: 10.1177/0363546503260788
- Colvin AC, West RV. Patellar instability. J Bone Joint Surg Am. 2008;90(12):2751–2762. doi: 10.2106/JBJS.H.00211
- Jayne C, Mavrommatis S, Shah AD, et al. Risk factors and treatment rationale for patellofemoral instability in the pediatric population. J Pediatr Orthop Soc North Am. 2024;6:100015. doi: 10.1016/j.jposna.2024.100015 EDN: GMHSBX
- Kapur S, Wissman RD, Robertson M, et al. Acute knee dislocation: review of an elusive entity. Curr Probl Diagn Radiol. 2009;38(6):237–250. doi: 10.1067/j.cpradiol.2008.06.001
- Buchner M, Baudendistel B, Sabo D, Schmitt H. Acute traumatic primary patellar dislocation: long-term results comparing conservative and surgical treatment. Clin J Sport Med. 2005;15(2):62–66. doi: 10.1097/01.jsm.0000157315.10756.14
- Meyers AB, Laor T, Sharafinski M, Zbojniewicz AM. Imaging assessment of patellar instability and its treatment in children and adolescents. Pediatr Radiol. 2016;46(5):618–636. doi: 10.1007/s00247-015-3520-8 EDN: YTKAFJ
- Pooley RA. Fundamental Physics of MR Imaging. RadioGraphics. 2005;25(4):1087–1099. doi: 10.1148/rg.254055027
- Association of Traumatologists-Orthopedists of Russia. Clinical guidelines “Patellar dislocation (adults, children)”. Ministry of Health of Russia, 2024. Available from: https://cr.minzdrav.gov.ru/view-cr/657_2 (In Russ.)
- Nacey NC, Geeslin MG, Miller GW, Pierce JL. Magnetic resonance imaging of the knee: An overview and update of conventional and state of the art imaging. Magn Reson Imaging. 2017;45(5):1257–1275. doi: 10.1002/jmri.25620
- Carrillon Y, Abidi H, Dejour D, et al. Patellar instability: assessment on MR images by measuring the lateral trochlear inclination-initial experience. Radiology. 2000;216(2):582–585. doi: 10.1148/radiology.216.2.r00au07582
- Diederichs G, Issever AS, Scheffler S. MR imaging of patellar instability: injury patterns and assessment of risk factors. RadioGraphics. 2010;30(4):961–981. doi: 10.1148/rg.304095755
- Pfirrmann CWA, Zanetti M, Romero J, Hodler J. Femoral trochlear dysplasia: MR findings. Radiology. 2000;216(3):858–864. doi: 10.1148/radiology.216.3.r00se38858
- Wilcox JJ, Snow BJ, Aoki SK, et al. Does landmark selection affect the reliability of tibial tubercle-trochlear groove measurements using MRI? Clin Orthop Relat Res. 2012;470(8):2253–2260. doi: 10.1007/s11999-012-2269-8
- Charles MD, Haloman S, Chen L, et al. Magnetic resonance imaging-based topographical differences between control and recurrent patellofemoral instability patients. Am J Sports Med. 2013;41(2):374–384. doi: 10.1177/0363546512472441
- Joseph SM, Cheng C, Solomito MJ, Pace JL. Patellar height: comparison of measurement techniques and correlation with other pathoanatomic measures of patellar instability. Orthop J Sports Med. 2019;7(3_suppl):2325967119S00176. doi: 10.1177/2325967119S00176
- Trasolini NA, Serino J, Dandu N, Yanke AB. Treatment of proximal trochlear dysplasia in the setting of patellar instability: an arthroscopic technique. Arthrosc Tech. 2021;10(10):e2253–e2258. doi: 10.1016/j.eats.2021.05.027 EDN: RTJKWN
- Djuricic G, Milanovic F, Ducic S, et al. Morphometric parameters and mri morphological changes of the knee and patella in physically active adolescents. Medicina. 2023;59(2):213. doi: 10.3390/medicina59020213 EDN: NEFFUA
- Steensen RN, Bentley JC, Trinh TQ, et al. The prevalence and combined prevalences of anatomic factors associated with recurrent patellar dislocation: a magnetic resonance imaging study. Am J Sports Med. 2015;43(4):921–927. doi: 10.1177/0363546514563904
- Joseph SM, Cheng C, Solomito MJ, Pace JL. Lateral trochlear inclination angle: measurement via a 2-image technique to reliably characterize and quantify trochlear dysplasia. Orthop J Sports Med. 2020;8(10):2325967120958415. doi: 10.1177/2325967120958415 EDN: UMSZKS
- Paiva M, Blønd L, Hölmich P, et al. Quality assessment of radiological measurements of trochlear dysplasia; a literature review. Knee Surg Sports Traumatol Arthrosc. 2018;26(3):746–755. doi: 10.1007/s00167-017-4520-z EDN: WXSYJR
Supplementary files









