Surgical Treatment in a Teenager With Severe Pectus Carinatum: A Case Report
- Authors: Ryzhikov D.V.1, Dolgiev B.H.1, Tochilina A.S.1, Vissarionov S.V.1, Zaletina A.V.1, Efremov A.M.2
-
Affiliations:
- H. Turner National Medical Research Center for Сhildren’s Orthopedics and Trauma Surgery
- Children’s Regional Clinical Hospital, Krasnodar
- Issue: Vol 13, No 3 (2025)
- Pages: 299-306
- Section: Clinical cases
- Submitted: 12.08.2025
- Accepted: 09.09.2025
- Published: 22.09.2025
- URL: https://journals.eco-vector.com/turner/article/view/689069
- DOI: https://doi.org/10.17816/PTORS689069
- EDN: https://elibrary.ru/NZZGCU
- ID: 689069
Cite item
Abstract
BACKGROUND: Pectus carinatum is a deformity of the sternum and costal cartilages and ranks second in prevalence among the types of chest wall deformities. According to various studies, its incidence ranges from 8% to 20%. This study presents the clinical outcome of minimally invasive thoracoplasty aimed at correcting a complex chest wall deformity in a teenager with a severe and rigid form of pectus carinatum.
CASE DESCRIPTION: A 17-year-old patient underwent surgery for correction of severe pectus carinatum. The procedure was performed using a minimally invasive approach, with two T-shaped plates placed intra-extrapleurally and antesternally.
DISCUSSION: Correction of severe pectus carinatum often employs radical techniques that involve subchondral resection of the deformed costal cartilages, sternal osteotomy and/or mobilization of the xiphoid process, and resection of the lower end of the sternal body, followed by osteosynthesis. Such approaches may be associated with complications such as massive blood loss, subcutaneous hematomas, trophic skin disorders, sternocostal instability, and unsatisfactory cosmetic outcomes. In minimally invasive thoracoplasty, regardless of the type of sternocostal deformity, complications such as cardiac arrhythmias, major neurovascular structure injury, and osteosynthesis implant instability or migration may occur. They may be minimized by controlled correction of the chest wall using external devices or stable fixation systems. However, compared with submammary approaches in radical thoracoplasty, minimally invasive thoracoplasty offers the advantages of decreased tissue trauma, stable sternocostal integrity, and good cosmetic results.
CONCLUSION: This report presents the treatment outcome of a patient with severe pectus carinatum characterized by a sharp-angled, rigid deformity and ineffectiveness of comprehensive conservative treatment using modern bracing. The described minimally invasive surgical method offers clear advantages over radical approaches and may be recommended for certain patients with similar deformities.
Full Text
Обоснование
Килевидная деформация грудной клетки (КДГК) характеризуется протрузией грудины, ребер и западением реберных дуг. На долю данного варианта врожденной деформации грудной клетки приходится до 20% в структуре всех искривлений грудной клетки. КДГК — вторая по распространенности аномалия грудной клетки после воронкообразной деформации [1]. Данную аномалию встречают в 4 раза чаще у мальчиков по сравнению с девочками [2].
Наследственный характер патологии подтвержден в 25% наблюдений [3]. Кроме того, в некоторых ситуациях КДГК может быть частью генетического синдрома или дисплазии соединительной ткани [4]. Многочисленные генетические аномалии, такие как синдромы Марфана и Нунан, часто включают в свой симптомокомплекс килевидное искривление грудной клетки [5]. Сопутствующий грудопоясничный сколиоз можно обнаружить у 12–34% больных с КДГК [6], гиперкифоз грудного отдела позвоночника отмечали в 14% наблюдений [7]. У некоторых детей КДГК формируется уже при рождении и включает в патологический процесс всю переднюю часть грудной клетки. У ряда детей КДГК, как правило, выявляют в младшем школьном возрасте, и эта проблема постепенно становится более выраженной до достижения полной зрелости скелета, после чего в течение всей взрослой жизни происходят незначительные изменения [8]. Выраженную деформацию передней стенки грудной клетки в возрасте до 11 лет наблюдают менее чем у 10% пациентов с КДГК. Наибольшее количество детей с КДГК приходится на возраст 13–15 лет [9]. При этом имеющееся искривление обычно не приводит к выраженным функциональным кардиореспираторным нарушениям. Необходимо подчеркнуть, что пациенты часто страдают от снижения самооценки и ухудшения качества жизни [10], возможны редкие болевые ощущения в области вершины деформации в период активных скачков роста [11].
В данной статье представлены результаты лечения пациента подросткового возраста с детским церебральным параличом и тяжелой степенью островершинной формы килевидной деформации грудной клетки. Успешно применена малоинвазивная хирургическая методика, гораздо менее травматичная, чем традиционно используемые в подобных случаях.
Клиническое наблюдение
В клинику костной патологии НМИЦ ДТО им. Г.И. Турнера поступил пациент Г., 17 лет с жалобами на деформацию грудной клетки, боль в области грудной клетки в положении лежа на животе. Основное заболевание: детский церебральный паралич. Спастическая диплегия. GMFCSIII. Из анамнеза известно, что пациент рос и развивался с негрубой задержкой темпов формирования двигательных навыков. Диагноз «детский церебральный паралич» установлен в возрасте 1,5 лет. Пациент регулярно проходит курсы реабилитационно-восстановительного лечения по месту жительства, а также в условиях НМИЦ. В клинике детского церебрального паралича НМИЦ ДТО им. Г.И. Турнера пациенту проведены оперативные вмешательства: в 2013 г. выполнено устранение контрактур суставов нижних конечностей и коррекция эквино-плано-вальгусной деформации стоп. В ходе лечения был достигнут удовлетворительный результат. Килевидную деформацию грудной клетки родители заметили с рождения, с возрастом ребенка деформация прогрессировала. В конце февраля 2023 г. пациент впервые начал получать консервативное лечение с целью уменьшения степени искривления грудной клетки. Несмотря на проводимое лечение и с учетом ригидной формы грудинно-реберного комплекса, ортезирование было малоэффективным. В связи с отсутствием положительной динамики и сохраняющимися жалобами на боли и дискомфорт в области грудной клетки решено провести оперативное лечение.
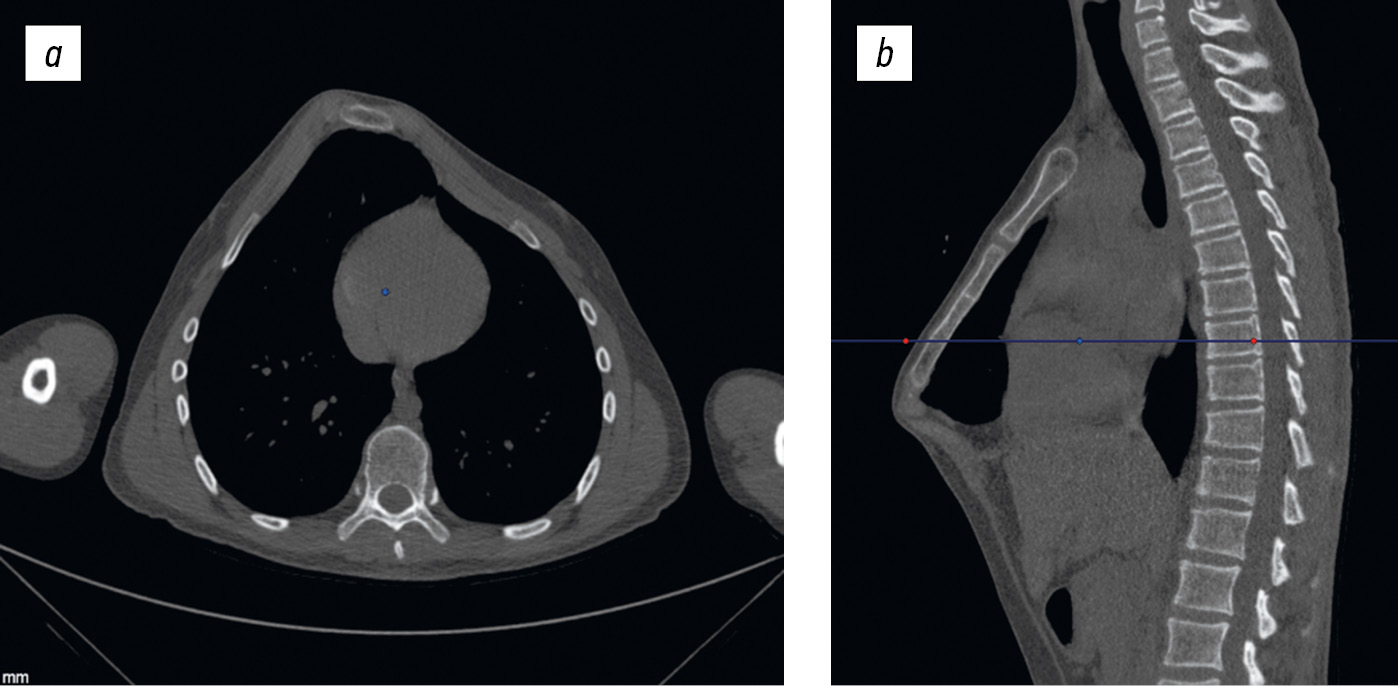
На проведенной компьютерной томографии (КТ) грудной клетки установлен островершинный тип килевидной деформации грудной клетки тяжелой степени (рис. 1).
Рис. 1. Компьютерная томограмма грудной клетки пациента Г., 17 лет до начала оперативного лечения в горизонтальной плоскости (a), в сагиттальной плоскости (b). Индекс Галлера 1,4, угол ротации грудины 12° вправо, индекс компрессии 0,9.
При осмотре пациент передвигается с использованием дополнительных опор и ортопедической обуви. Бытовые нагрузки выполняет самостоятельно, трудоспособность снижена на фоне спастической диплегии. Визуализирована килевидная деформация грудной клетки, островершинная форма, корпо-костальный тип, асимметричный правосторонний с высотой выбухания 72 мм, компрессионный тест деформации негативный — менее 40% коррекции при максимальной нагрузке в 7 кг/см2. Отмечена выраженная болезненность на вершине деформации, краниальная граница искривления начинается от I ребра, асимметричное западение реберных дуг (выражено грубее слева) (рис. 2, а–с).
Рис. 2. Пациент Г., 17 лет. Килевидная деформация грудной клетки, правосторонняя, островершинная форма, корпо-костальный тип, тяжелой степени: а — ракурс 3/4 справа; b — ракурс 3/4 слева; c — сверху вниз; d — сбоку.
С учетом возраста пациента, наличия болевого синдрома, выраженности деформации было принято решение о выполнении малоинвазивной торакопластики (протяженная антестернальная фиксация двумя пластинами) с остеосинтезом грудинно-реберного комплекса Т-образными пластинами (НПП «Имплант», Россия) 06.03.2024 г. Через два операционных доступа в пятом межреберье по переднеподмышечной линии, длиной 35 мм каждый, сформирован антестернальный канал через плевральные полости с двух сторон с использованием проводника (лента синтетическая шириной 5 мм) зажимом длиной 450 мм. Выведена грудная стенка в положении коррекции, проведена пластина размерами 360 мм по проводнику, без нарушения динамических показателей работы сердца. В ходе вмешательства деформация полностью устранена. Вторая антестернальная пластина длиной 320 мм проведена экстраплеврально. Стабилизация пластин к двум ребрам справа и двум ребрам слева синтетической хирургической лентой 5 мм. Выполнено дренирование плевральных полостей дренажами с вакуум-емкостями в 150 мл. Рана послойно ушита наглухо. Коррекция КДГК была проведена без выполнения остеотомии грудины.
После операции пациент находился в отделении реанимации в течение трех суток с целью динамического наблюдения, мониторинга сердечно-респираторных функций и симптоматического лечения. По дренажам в течение суток получали до 200 мл серозно-геморрагического отделяемого. Дренажи были удалены через трое суток. Активизация проведена на 2-е сутки после операции переводом пациента в положение сидя до пяти раз в сутки, вертикализирован на 3-и сутки после вмешательства.
Через сутки от операции в условиях реанимационного отделения и на 5-е сутки выполнена рентгенография грудной клетки — положение металлических пластин правильное, стабильное, легкие расправлены, их пневматизация не нарушена, очаговых и инфильтративных изменений не выявлено (рис. 3).
Рис. 3. Рентгенограмма грудной клетки: на 1-е (а), на 5-е (b) сутки после оперативного лечения.
На 6-е сутки выполнена КТ грудной клетки — положение металлических пластин стабильное. Небольшое скопление воздуха в верхушке легкого без признаков сдавления. Очаговых и инфильтративных изменений не выявлено (рис. 4).
Рис. 4. Компьютерная томограмма грудной клетки после оперативного лечения: горизонтальная плоскость (а, b), сагиттальная плоскость (c). Индекс Галлера 2,19, угол ротации грудины 3° — симметричная, индекс компрессии 0,8.
На 13-е сутки после оперативного лечения пациент выписан домой в удовлетворительном состоянии с рекомендациями по дальнейшему лечению под наблюдением врача по месту жительства. В числе рекомендаций — охранительный ортопедический режим в течение двух месяцев, дыхательная гимнастика и функциональная терапия для скелетных мышц в пределах легкой утомляемости ежедневно, контрольное исследование — КТ грудной клетки через 1 год.
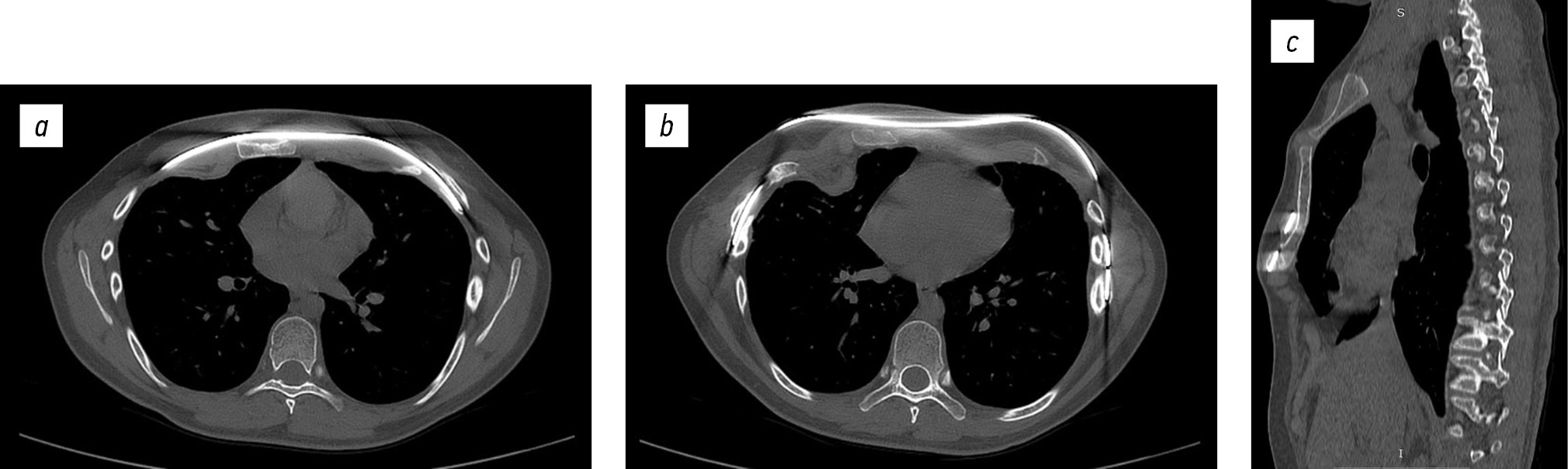
Спустя 1 год пациент был госпитализирован для удаления металлоконструкции. При этом была выполнена КТ грудной клетки и определены индексы, которые, по сравнению с ближайшим послеоперационным периодом, изменились незначительно, так же как и послеоперационный эстетический результат (рис. 5 и 6).
Рис. 5. Компьютерная томограмма грудной клетки через 1 год после оперативного лечения: горизонтальная плоскость (а, b), сагиттальная плоскость (c). Индекс Галлера 2,26, угол ротации грудины 3° — симметричная, индекс компрессии 0,8.
Рис. 6. Пациент Г., 18 лет. Килевидная деформация грудной клетки, правосторонняя, островершинная форма, корпо-костальный тип, тяжелой степени, через 1 год после оперативного лечения: a — ракурс спереди; b — ракурс 3/4 справа; c — ракурс сбоку.
Обсуждение
КДГК является прежде всего косметической проблемой, и в настоящее время основную часть пациентов данной группы успешно лечат комплексом консервативных мероприятий с использованием современных средств ортезирования [12]. Ригидные деформации грудной клетки тяжелой степени — показания для хирургической коррекции искривления. К основным хирургическим методикам лечения относят радикальные торакопластики и малоинвазивные вмешательства. Ряд исследователей отдают предпочтение радикальным торакопластикам. В настоящее время эту методику продолжают развивать и совершенствовать за счет использования трехмерных реконструкций и аддитивных технологий передней грудной стенки, а также изготовления индивидуальных имплантатов, устанавливаемых после резекции деформированной части реберных хрящей на костальные части ребер и остеотомированные фрагменты грудины с целью достижения физиологического положения элементов грудино-реберного комплекса [13]. Одновременно с этим необходимо подчеркнуть, что обширные операционные доступы и травматичность выполнения резекции ребер все чаще приводят к появлению сторонников малоинвазивных технологий, при которых предпочтение отдают торакопластике по G. Abromson [14]. Данная малоинвазивная технология, по своей сути, является противоположностью методики D. Nuss и с технической точки зрения проста в исполнении при коррекции негрубых корпо-костальных и костальных типов КДГК. Исправлению более сложных асимметричных форм деформаций грудной клетки при других клинических ситуациях посвящены современные публикации. Они посвящены также применению сэндвич-техники с использованием внутриплевральной и экстраплевральной пластин в различных комбинациях, а также разнообразных систем их методик фиксации достигнутого результата [15]. Противоположные корригирующие силы упругости пластин должны удерживать контур передней грудной стенки в форме, определенной моделированием пластин хирургом перед их имплантацией.
У перечисленных методик малоинвазивной торакопластики есть свои специфические осложнения, типичные из которых: снижение объема грудной клетки, недостаточная коррекция деформации при асимметричных формах деформации грудной клетки, риск возникновения гиперкоррекции, нестабильность опорных элементов пластин. Для сэндвич-техники специфичны деформация грудины в зоне противоборствующих усилий пластин, повреждение мягких тканей и перфорация кожных покровов над вентральной пластиной. Суммируя вышеизложенное, можно определить, что при коррекции КДГК важен не только момент смещения грудины дорсально, но и одномоментное восстановление поперечного размера грудной клетки. Следует подчеркнуть, что возможна более протяженная инструментированная коррекция передней грудной стенки, так как практически все КДГК являются протяженными, и локальное воздействие только одной пластиной не всегда может гарантировать стабильный результат коррекции после проведенной операции. Крайне необходимо учитывать возможность усталостного перелома элементов (проволока, стабилизаторы), фиксирующих пластины между собой, при постоянной динамической нагрузке во время дыхательного акта и физических усилиях пациента в быту, спорте и повседневной двигательной активности. В литературе описаны единичные случаи внутриплевральных кровотечений в позднем послеоперационном периоде отдельными фрагментами дестабилизированных фиксаторов [16].
В представленном клиническом наблюдении авторы провели фиксацию грудинно-реберного комплекса двумя пластинами, при котором первая пластина, проходя внутриплеврально справа и слева, а также антестернально, смещает грудину дорсально и одновременно сохраняет общий объем грудной клетки, увеличивая поперечный размер за счет нагрузки на боковые отрезки ребер по уровню вершины деформации (установка пластин в зоне вершины деформации определяет максимальный корригирующий эффект). Поддержание первой пластиной вентральной части ребер в зоне костно-хрящевых переходов (пластина выходит из плевральных полостей парастернально) исключает гиперкоррекцию деформации грудной клетки. Вторая пластина, экстраплевральная, увеличивает площадь нагрузки грудины, предупреждая возникновение ее деформации в течение всего срока имплантации. Использование авторами синтетических лент в данной клинической ситуации было обусловлено дефицитом мягких тканей у пациента в зоне установки металлоконструкции и не является обязательным условием выбора фиксации при выполнении малоинвазивной коррекции КДГК. Традиционно авторы используют в ходе малоинвазивных хирургических вмешательств металлические фиксаторы.
Применение двух пластин, позволивших значительно увеличить площадь опоры на грудино-реберный комплекс, дало возможность получить высокий момент силы, способствовавший формированию субперихондрального перелома ребер и субпериостального перелома грудины (переломы по типу пластической деформации), вследствие чего была проведена коррекция тяжелой ригидной КДГК.
Следует отметить, что при выполнении малоинвазивной торакопластики авторы являются сторонниками дополнительных процедур, облегчающих проведение хирургического вмешательства, а именно — дозированной коррекции деформаций внешними устройствами (дистракция, компрессия), видеоассистированных внутриплевральных манипуляций, а также региональных методов анальгезии в раннем послеоперационном периоде и обязательного динамического наблюдения, мониторинга пациента в течение 24–72 ч в отделении реанимации и интенсивной терапии.
Заключение
В настоящей работе представлен результат лечения пациента с килевидной деформацией грудной клетки крайне тяжелой степени, сопровождающейся островершинным типом, ригидной формой и неэффективностью комплексного консервативного лечения с использованием современного ортезирования. Описанная малоинвазивная хирургическая методика коррекции обладает очевидными преимуществами перед радикальным способом лечения: у нее высокий корригирующий эффект, надежная стабильность грудино-реберного комплекса после остеосинтеза, снижение площади травматизации мягких тканей и возможность быстрой активизации пациента. Предложенная малоинвазивная методика коррекции тяжелой формы КДГК может быть рекомендована ряду пациентов с подобными вариантами искривления.
Дополнительная информация
Вклад авторов. Д.В. Рыжиков — концепция научной работы, анализ литературных данных, написание статьи; Б.Х. Долгиев, А.С. Точилина — сбор литературных данных, написание текста статьи; С.В. Виссарионов — дизайн исследования, редактирование текста статьи; А.В. Залетина, А.М. Ефремов — редактирование текста статьи. Все авторы одобрили версию для публикации, а также согласились нести ответственность за все аспекты работы, гарантируя надлежащее рассмотрение и решение вопросов, связанных с точностью и добросовестностью любой ее части.
Согласие на публикацию. Авторы получили письменное информированное добровольное согласие пациента и его законных представителей на публикацию персональных данных, в том числе фотографий (с закрытием лица), в научном журнале, включая его электронную версию (дата подписания 05.03.2024). Объем публикуемых данных пациентом и его законными представителями согласован.
Источники финансирования. Исследование выполнено в рамках государственного задания, тема НИР «Комплексное лечение детей с врожденной деформацией грудной клетки, позвоночника и нестабильностью грудино-реберного комплекса» (регистрационный номер 124020400007-0).
Раскрытие интересов. Авторы заявляют об отсутствии отношений, деятельности и интересов за последние три года, связанных с третьими лицами (коммерческими и некоммерческими), интересы которых могут быть затронуты содержанием статьи.
Оригинальность. При создании настоящей работы авторы не использовали ранее опубликованные сведения (текст, иллюстрации, данные).
Доступ к данным. Все данные, полученные в настоящем исследовании, доступны в статье.
Генеративный искусственный интеллект. При создании настоящей статьи технологии генеративного искусственного интеллекта не использовали.
Рассмотрение и рецензирование. Настоящая работа подана в журнал в инициативном порядке и рассмотрена по обычной процедуре. В рецензировании участвовали внешний и внутренний рецензенты.
About the authors
Dmitriy V. Ryzhikov
H. Turner National Medical Research Center for Сhildren’s Orthopedics and Trauma Surgery
Author for correspondence.
Email: dryjikov@yahoo.com
ORCID iD: 0000-0002-7824-7412
SPIN-code: 7983-4270
MD, Cand. Sci. (Medicine)
Russian Federation, Saint PetersburgBahauddin H. Dolgiev
H. Turner National Medical Research Center for Сhildren’s Orthopedics and Trauma Surgery
Email: dr-b@bk.ru
ORCID iD: 0000-0003-2184-5304
SPIN-code: 2348-4418
MD
Russian Federation, Saint PetersburgAlevtina S. Tochilina
H. Turner National Medical Research Center for Сhildren’s Orthopedics and Trauma Surgery
Email: astochilina@gmail.com
ORCID iD: 0009-0003-5378-5622
MD
Russian Federation, Saint PetersburgSergei V. Vissarionov
H. Turner National Medical Research Center for Сhildren’s Orthopedics and Trauma Surgery
Email: vissarionovs@gmail.com
ORCID iD: 0000-0003-4235-5048
SPIN-code: 7125-4930
MD, Dr. Sci. (Medicine), Professor, Corresponding Member of RAS
Russian Federation, Saint PetersburgAnna V. Zaletina
H. Turner National Medical Research Center for Сhildren’s Orthopedics and Trauma Surgery
Email: omoturner@mail.ru
ORCID iD: 0000-0002-9838-2777
SPIN-code: 4955-1830
MD, Cand. Sci. (Medicine)
Russian Federation, Saint PetersburgAndrey M. Efremov
Children’s Regional Clinical Hospital, Krasnodar
Email: toodkkb2018@mail.ru
ORCID iD: 0009-0003-7438-4166
MD
Russian Federation, KrasnodarReferences
- Fokin AA, Steuerwald NM, Ahrens WA, et al. Anatomical, histologic, and genetic characteristics of congenital chest wall deformities. Semin Thorac Cardiovasc Surg. 2009;21(1):44–57. doi: 10.1053/j.semtcvs.2009.03.001 EDN: XWYVFI
- Komolkin IA, Agranovich OE. Clinical types of chest wall deformities (literature review). Orthopaedic Genius. 2017;23(2):241–247. doi: 10.18019/1028-4427-2017-23-2-241-247 EDN: YUDVZV
- Janssen N, Coorens NA, Franssen AJPM, et al. Pectus excavatum and carinatum: a narrative review of epidemiology, etiopathogenesis, clinical features, and classification. J Thorac Dis. 2024;16(2):1687–1701. doi: 10.21037/jtd-23-957 EDN: MESIZZ
- Haje SA, Harcke HT, Bowen JR. Growth disturbance of the sternum and pectus deformities: imaging studies and clinical correlation. Pediatr Radiol. 1999;29(5):334–341. doi: 10.1007/s002470050602 EDN: AVZUXF
- Kotzot D, Schwabegger AH. Etiology of chest wall deformities – a genetic review for the treating physician. J Pediatr Surg. 2009;44(10):2004–2011. doi: 10.1016/j.jpedsurg.2009.07.029
- Desmarais TJ, Keller MS. Pectus carinatum. Curr Opin Pediatr. 2013;25(3):375–381. doi: 10.1097/MOP.0b013e3283604088
- Haje SA, De Podestá Haje D. Orthopedic approach to pectus deformities: 32 years of studies. Rev Bras Ortop. 2009;44(3):191–198. doi: 10.1016/S2255-4971(15)30067-7
- Fonkalsrud EW. Surgical correction of pectus carinatum: lessons learned from 260 patients. J Pediatr Surg. 2008;43(7):1235–1243. doi: 10.1016/j.jpedsurg.2008.02.007
- Stalmakhovich VN, Dmitrienko AP, Telezhkin AL, et al. Treatment of congenital keeled chest deformity in children. Russian Journal of Pediatric Surgery, Anesthesia and Intensive Care. 2020;10(S):162. (In Russ.) EDN: QZSIZL
- Orrick BA, Pierce AL, McElroy SF. Changes in self-image after pectus carinatum brace treatment. J Pediatr Surg. 2022;57(8):1579–1583. doi: 10.1016/j.jpedsurg.2021.12.002 EDN: MAUGNQ
- Giray E, Ermerak NO, Bahar-Ozdemir Y, et al. A comparative study on short-term effects of compression orthosis and exercises in the treatment of pectus carinatum: a randomized controlled pilot feasibility trial. Eur J Pediatr Surg. 2021;31(2):147–156. doi: 10.1055/s-0040-1701699 EDN: JVWWXG
- De Beer S, Volcklandt S, de Jong J, et al. Dynamic compression therapy for pectus carinatum in children and adolescents: factors for success. J Pediatr Surg. 2023;58(8):1440–1445. doi: 10.1016/j.jpedsurg.2022.09.008 EDN: DCBPKF
- Vy TT, Bang HT, Hung HQ, et al. Pectus carinatum repair using the sandwiched bars and screw fixation system: a retrospective cohort study of a single center experience. Health Sci Rep. 2025;8(1):e70390. doi: 10.1002/hsr2.70390 EDN: QXTSPI
- Razumovskiy AYu, Alkhasov AB, Mitupov ZB, Elnur AAI. Minimally invasive surgical correction of asymmetric keeled chest deformity in children. Russian Journal of Pediatric Surgery. 2022;26(3):162–167. doi: 10.55308/1560-9510-2022-26-3-162-167 EDN: COBGEF
- Shang Z, Duan X, Hong C, et al. The sandwich technique used for correction of pectus carinatum combined with Harrison sulcus. Sci Rep. 2024;14(1):15487. doi: 10.1038/s41598-024-66308-2 EDN: CWEKLB
- Diaz YL, Ramos TM, Tedde ML, et al. The sandwich technique for minimally invasive repair of pectus carinatum. Port J Card Thorac Vasc Surg. 2024;31(1):53–55. doi: 10.48729/pjctvs
Supplementary files










