Surgical Correction of Kyphoscoliotic Spinal Deformity in a Child With Conradi–Hünermann Syndrome: A Case Report and Review
- Authors: Asadulaev M.S.1, Vissarionov S.V.1, Pershina P.A.1, Malamashin D.B.1, Toria V.G.1, Kokushin D.N.1, Rybinskikh T.S.1, Belyanchikov S.M.1, Murashko T.V.1
-
Affiliations:
- H. Turner National Medical Research Center for Сhildren’s Orthopedics and Trauma Surgery
- Issue: Vol 13, No 3 (2025)
- Pages: 307-318
- Section: Clinical cases
- Submitted: 20.08.2025
- Accepted: 19.09.2025
- Published: 26.09.2025
- URL: https://journals.eco-vector.com/turner/article/view/689632
- DOI: https://doi.org/10.17816/PTORS689632
- EDN: https://elibrary.ru/DCHNKI
- ID: 689632
Cite item
Abstract
BACKGROUND: Conradi–Hünermann syndrome, also called X-linked dominant chondrodysplasia punctata type 2, is a rare genetic disorder. Its prevalence ranges from 1:100,000 to 1:400,000 live births, with a >95% female predominance. In pediatric vertebrology, particular interest is drawn to kyphosis and kyphoscoliosis, which rapidly progress and lead to severe deformities. However, in Russian scientific data, only a few studies have investigated the diagnosis and treatment of this syndrome.
CASE DESCRIPTION: This report presents the medical history and genetic and clinical–radiological findings of a 3-year-3-month-old child with Conradi–Hünermann syndrome. The results of surgical treatment are provided, and possible approaches for selecting surgical strategies are discussed.
DISCUSSION: The development of severe spinal deformity (Cobb angle: >50°) in the frontal and sagittal planes in younger patients (aged 2–5 years) is an unfavorable prognostic factor. For such patients, prompt surgical correction of spinal deformity at an early age, along with stabilization of the achieved result using multi-anchor instrumentation, is crucial for preventing neurological deficits and the rapid progression of curvature during the child’s subsequent growth.
CONCLUSION: Early clinical and genetic diagnosis is required in children with suspected Conradi–Hünermann syndrome. Monitoring of the patient’s orthopedic status allows for timely referral to a spine specialist. Treatment for progressive kyphoscoliosis should include early surgical intervention. Deformity correction and stabilization with multi-anchor instrumentation without early spinal fusion may be used, followed by staged corrections if warranted.
Full Text
Обоснование
Синдром Конради–Хюнерманна, также известный как Х-сцепленная доминантная точечная хондродисплазия 2-го типа (CDPX2), представляет собой редкое генетическое заболевание, при котором наблюдают точечное обызвествление эпифизов длинных трубчатых костей, позвоночника, трахеи и дистальных концов ребер в раннем детском возрасте [1, 2]. В связи с его редкостью точные данные о распространенности отсутствуют, они колеблются от 1:100 000 до 1:400 000 новорожденных с преобладанием лиц женского пола (более 95% наблюдений) [1–3]. Клиническая симптоматика крайне вариабельна — можно наблюдать вывихи суставов, надколенника, асимметричные укорочения трубчатых костей, кожные и офтальмологические нарушения [3, 4]. В контексте вертебрологии особый интерес представляет высокая частота врожденных и быстро прогрессирующих деформаций позвоночного столба [1, 3, 4]. Наиболее распространенные из них — кифоз или кифосколиоз, которые могут приводить к выраженным функциональным нарушениям в раннем возрасте ребенка и требовать хирургического вмешательства на первых годах жизни [2–4]. Однако в отечественной литературе вопросы диагностики, клинической картины заболевания представлены лишь в отдельных работах, преимущественно основанных на обследовании и лечении единичных больных. Поэтому детские ортопеды-травматологи недостаточно знакомы с данным синдромом. Это определило цель настоящей работы.
Наследование данного заболевания Х-сцепленное доминантное, с летальностью для мужских эмбрионов в большинстве случаев из-за гомозиготности мутации [5]. Молекулярной основой служат мутации в гене EBP (emopamil-binding protein), локализованном на коротком плече Х-хромосомы (локус p11.23), кодирующем фермент 3β-гидроксистероид-Δ8, Δ7-изомеразу (стерол-Δ8-изомеразу), участвующий в поздних этапах биосинтеза холестерина [6]. Впервые ген EBP был идентифицирован как патогенный при CDPX2 в 1999 г. на основании обнаружения указанных метаболических нарушений у пациентов с мутантным геном на мышиной модели [7]. Мутации приводят к накоплению промежуточных продуктов — 8-дегидрохолестерола — в плазме и тканях организма, нарушая хондро- и остеогенез [6, 7].
Анализ генома пациентов с данной патологией выявляет и иные мутации: миссенс (например, R62W, C72Y, G130V), нонсенс (W61X, R110X, W135X), сплайс-сайт, делеции/инсерции различных областей [8–10], а также рекуррентные мутации, которые можно наблюдать в экзонах 2 и 4 [11–13]. Полные нулевые мутации ассоциированы с тяжелыми фенотипами, включая внутриутробную летальность у эмбрионов мужского пола, в то время как гипоморфные мутации могут проявляться в мозаичной форме (например, у мужчин с соматическим мозаицизмом или кариотипом XXY) [13–14]. У женщин вариабельность фенотипа обусловлена случайной инактивацией Х-хромосомы (лионизация), что приводит к мозаицизму изменений: клетки с активной мутантной аллелью демонстрируют нарушения, в то время как клетки с нормальной аллелью функционируют вполне физиологично [14].
Фенотипические проявления синдрома Конради–Хюнерманна крайне вариабельны: от внутриутробной гибели плода с множественными пороками развития, которые несовместимы с жизнью, до относительно легких форм у лиц женского пола с мозаичной формой. Классическая клиническая картина пациентов с данным синдромом проявляется сочетанием скелетных, кожных и офтальмологических аномалий [15].
Скелетные аномалии точечной хондродисплазии проявляются в виде асимметричного укорочения конечностей (чаще ризомелия бедра и плеча), приводящего к низкорослости пациента (рост от 10 до 25-го перцентиля) [16]. Одно из наиболее значимых ортопедических проявлений CDPX2 — выраженная и бурно прогрессирующая кифосколиотическая деформация позвоночника. По данным разных авторов, сколиоз и кифосколиоз встречают в 90% наблюдений, особенно у пациентов женского пола с классическим фенотипом. Врожденный кифоз возникает в результате нарушений энхондрального окостенения структур позвоночника, с максимальным клиновидным дефектом в нижнегрудном отделе, приводящим к относительному укорочению туловища и прогрессирующей деформации уже в раннем возрасте ребенка [13]. D.E. Mason и соавт. [2] отметили, что в течение первого года жизни у 20 наблюдаемых ими пациентов с точечной хондродисплазией (15 девочек, 5 мальчиков) сформировались различные варианты деформаций позвоночного столба. Авторы выделили три их варианта:
- атланто-осевое нарушение — расхождение зубовидного синхондроза CII позвонка (нестабильность в верхне-шейном отделе), требующее хирургической стабилизации в раннем возрасте ребенка;
- умеренный сколиоз без грубых костных аномалий и без выраженного кифотического компонента искривления — медленно прогрессирует и поддается одномоментной коррекции;
- наиболее часто встречающийся вариант — тяжелый кифосколиоз, вызванный аномалией формирования позвонков (полупозвонки, клиновидные позвонки), характеризующийся быстрым прогрессирующим течением в выраженным кифотическим и сколиотическим компонентами деформации.
По данным мультицентрового исследования M.G. Lykissas и соавт. [3], средний возраст выявления деформации позвоночного столба при точечной хондродисплазии составлял в среднем 15 мес. (от 1 нед. до 9 лет). В представленных авторами наблюдениях частота поражения позвоночника превысила 75% (13 из 17 пациентов) [3].
Прогрессирование деформации у данной категории пациентов обычно происходит стремительно — в первые же годы жизни искривление может достичь тяжелой степени [17, 18]. В клинической картине у пациентов отмечено наличие ригидного кифоза на вершине деформации, что создает риск компрессии невральных структур [18, 19].
В клиническом наблюдении, описанном R. Sutphen и соавт. [20], подчеркнуто, что без адекватного лечения тяжелый кифосколиоз способен привести к рестриктивной дыхательной недостаточности и, как следствие, летальному исходу.
По данным серии клинических случаев D.E. Mason и соавт. [2], у пациентов с CDPX2 часто отмечены рецидивы и прогрессирование деформации даже после успешной хирургической коррекции. В наблюдениях авторов у данной категории больных потребовалось в среднем 2,5 хирургических вмешательства на одного пациента с тяжелым диспластическим кифосколиозом: выполнение повторного спондилодеза, в связи с отсутствием формирования костного блока после выполненных операций, необходимость проведения этапных коррекций деформаций позвоночника с установкой дополнительных опорных элементов металлоконструкции, в связи с прогрессированием искривления за пределами зоны фиксации, а также осуществление клиновидных вертебротомий при прогрессировании деформации в зоне предшествующего спондилодеза. В отличие от типичных врожденных деформаций, методы частичного эпифизиодеза оказались неэффективны при синдроме Конради–Хюнерманна. Этот факт, вероятно, связан с диффузным характером костных аномалий и нарушением хряща при данном заболевании [21–23].
К другим ортопедическим проявлениям синдрома относят контрактуры суставов, вывих надколенников, наличие врожденного вывиха бедра, а также укорочение метакарпальных костей и стоп в сочетании с косолапостью [24, 25]. Кожные и глазные проявления патологического состояния характеризуются ихтиозом по линиям Блашко в неонатальном периоде, переходящим в фолликулярную атрофию (фолликулярная атрофодермия) и пигментные аномалии. Волосы грубые, редкие, с участками рубцовой алопеции. По данным фенотипического анализа, наблюдают и врожденные катаракты (асимметричные, секторные) и другие дефекты со стороны зрительного аппарата (микрофталия, колобомы) в 2/3 наблюдений.
Из особенностей неврологического статуса описаны варианты нормального интеллектуального развития, гипотония и судорожные явления. Черты лица могут включать краниоцефальные изменения (плагиоцефалию, лобную боссирацию), седловидный нос, асимметрию бровей и ресниц. Нередко наблюдают относительную макроцефалию на фоне низкого роста. Возможны пороки развития внутренних органов (сердца, почек), тугоухость, а также поражения центральной нервной системы. У некоторых пациентов описаны пороки развития шейных позвонков и трахео-бронхомаляция [2, 21, 25].
Диагностика заболевания основана на данных клинического осмотра, рентгенологических данных, биохимическом анализе плазмы крови (повышенные уровни 8(9)-холестенола >0,18 мкг/мл и 8-дегидрохолестерола) и молекулярно-генетическом тестировании (секвенирование EBP). Дифференциальный диагноз включает другие формы хондродисплазии пунктатной (например, ризомелическую, CHILD-синдром), нарушения метаболизма стеролов и материнские аутоиммунные заболевания [22, 25].
Клиническое наблюдение
Больная В. поступила в отделение в возрасте 3 лет 3 мес. в связи с выраженной, бурно прогрессирующей деформацией грудопоясничного отдела позвоночника. Ребенок консультирован по системе телемедицинских консультаций федерального и регионального уровней специалистами травматолого-ортопедического отделения № 2 ФГБУ «НМИЦ детской травматологии и ортопедии им. Г.И. Турнера» Минздрава России. Рекомендована госпитализация для дополнительного обследования и проведения хирургического лечения.
Анамнез заболевания. Диагноз установлен при рождении. Отмечены: деформация позвоночника, врожденный порок развития сердца, врожденный ихтиоз, множественные стигмы дизэмбриогенеза. Получала консервативное лечение (лечебная физическая культура в игровой форме; курсы массажа верхних и нижних конечностей, спины). Несмотря на проводимое лечение, деформация быстро прогрессировала.
Анамнез жизни. Ребенок от второй беременности, которая протекала на фоне гестационного сахарного диабета. Роды вторые, срочные. Масса тела при рождении 3370 г, рост 51 см. В роддоме выявлены врожденный ихтиоз, врожденный порок сердца, открытый артериальный проток, открытое овальное окно. Период новорожденности протекал с пневмонией новорожденных. Позднее ребенок осмотрен врачом генетиком — установлен синдром Конради–Хюнерманна. У матери ребенка также подтвержденная форма синдрома Конради–Хюнерманна (без выраженной деформации позвоночника), гипертоническая болезнь, сахарный диабет.
Результаты обследования. При поступлении пациенту было выполнено комплексное клинико-лабораторное обследование. Для определения характера и величины деформации позвоночника пациенту выполнена рентгенография позвоночника в двух проекциях (рис. 1).
Рис. 1. Панорамная рентгенотомография скелета — позвоночника, таза, бедренных костей в прямой (а) и боковой (b) проекциях. Рентгенологическая картина врожденного порока развития позвоночника на фоне нарушения формирования позвонков. Сформирована локальная левосторонняя кифосколиотическая деформация позвоночника на уровне грудопоясничного перехода. Левосторонняя сколиотическая дуга ThX–LI величиной 85°, локальная кифотическая деформация на уровне ThIX–LI составляет 85°.
При клиническом исследовании отмечены множественные стигмы дизэмбриогенеза: колобома радужки, врожденная многоплоскостная (вальгусно-торсионная) деформация проксимального отдела левой бедренной кости (см. рис. 1 и 7), порок развития сердца, врожденный ихтиоз.
С целью определения детального характера врожденной деформации позвоночника и особенностей развития костных структур позвонков на протяжении основной дуги деформации, а также предоперационного планирования (выбора корректного имплантата) пациенту выполнена мультиспиральная компьютерная томография грудного и поясничного отделов позвоночника (в положении лежа на животе) (рис. 2–4).
Рис. 2. 3D-реконструкция на основании данных мультиспиральной компьютерной томографии: а — вид сзади; b — вид спереди; c — косая проекция. Определен врожденный порок развития позвоночника на фоне нарушения формирования позвонков. Гипоплазия левой половины тела ThIX, гипоплазия правой половины тел ThXI и ThXII. На фоне нарушения оссификации позвонков сформирована локальная левосторонняя кифосколиотическая деформация позвоночника на уровне грудопоясничного перехода. Левосторонняя сколиотическая дуга ThX–LI, локальная кифотическая деформация на уровне ThIX–LI. Позвоночный канал без включений патологической денситометрической плотности.
Рис. 3. При мультиспиральной компьютерной томографии в режиме MPR (мультипланарная реконструкция) выявлено отсутствие костного сращения дуг позвонков с телами на протяжении ThVIII–LI билатерально: a, b, c — визуализация корня дуги ThVIII справа; d, e, f — визуализация корня дуги ThVIII слева.
Рис. 4. Предоперационное планирование на основании данных мультиспиральной компьютерной томографии грудного и поясничного отделов позвоночника при помощи навигационной станции Stryker: а — планирование референтных точек LI позвонка; b — режим мультипланарной реконструкции, вид сзади, положение планируемых опорных элементов; с — режим мультипланарной реконструкции, положение и траектория планируемых опорных элементов вид сбоку. Цветные маркеры — траектория костных каналов для последующей имплантации опорных элементов многоопорной металлоконструкции.
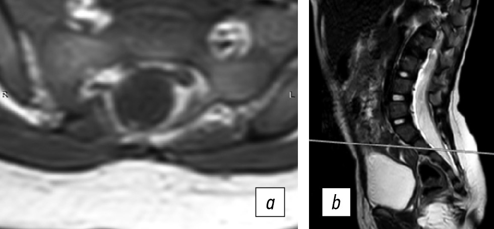
В предоперационном периоде, с целью исключение интраканальной патологии, пациенту выполнена магнитно-резонансная томография шейного, грудного и пояснично-крестцовых отделов позвоночника в режимах Т1-, Т2ВИ (рис. 5). По данным проведенного исследования, на уровне SII–SV структура терминальной нити с повышенным сигналом в Т1ВИ, что характерно для жировой ткани (липома терминальной нити).
Рис. 5. Данные магнитно-резонансной томографии позвоночника: а — аксиальный срез на уровне SII; b — сагиттальный срез. Конус спинного мозга на уровне межпозвонкового диска LII–LIII. На уровне SII–SV структура терминальной нити с повышенным сигналом в Т1ВИ, характерным для жировой ткани (липома терминальной нити).
Пациент осмотрен врачом-нейрохирургом, показания к дефиксации спинного мозга в настоящее время отсутствуют, противопоказаний к реконструктивно-пластическому вмешательству на позвоночнике в объеме коррекции и стабилизации деформации позвоночника нет.
Выбор зоны фиксации на уровне ThVII–LII был обусловлен необходимостью коррекции выраженной деформации позвоночника как во фронтальной, так и в сагиттальной плоскости. Для мобилизации использовали остеотомии Ponte и Smith–Peterson на уровнях ThVII–LII. Учитывая особенности строения позвонков, с целью предоперационного планирования и формирования траектории костных каналов применяли активную навигацию 3D компьютерной томографии. Стабилизация деформации позвоночника, с учетом веса пациента (14 кг), анатомо-антропометрических особенностей позвонков, а также выраженным дефицитом мягких тканей, была запланирована с применением мультиаксиальных траспедикулярных опорных элементов длиной 25–30 мм и диаметром стержня 3,5 мм.
Хирургическое вмешательство выполняли в условиях общей комбинированной анестезии. Укладка пациента: лежа на животе с разгрузкой передней грудной и брюшной стенки. Кожный разрез выполнен в проекции остистых отростков от ТhVI до LII позвонков длиной 15 см. Послойно выполнено рассечение мягких тканей. Скелетированы задние опорные элементы костных структур позвонков на протяжении доступа. В остистый отросток LII позвонка установлен нулевой трекер, осуществлена разметка референтных точек на задних костных структурах позвонков ThVII, ThIX, ThX, LI, LII, LIV согласно предоперационному планированию при помощи навигационных инструментов на протяжении дуги деформации. Под контролем навигационной установки Stryker сформированы костные каналы через основания дуг в тела позвонков. В сформированные костные каналы установлены рентген-метки. Выполнена интраоперационная рентгенография грудного и поясничного отделов позвоночника в двух проекциях, положение меток корректное. Несмотря на отсутствие основания дуг на уровне ThVII, ThIX, ThX позвонков, удалось на этих уровнях правильно и корректно сформировать каналы для опорных элементов металлоконструкции в тела позвонков. В сформированные костные каналы установлены опорные элементы: транспедикулярные винты в тела позвонков ThVII, ThIX, ThX, LI, LII, LIV с левой стороны относительно линии остистых отростков; транспедикулярные винты в тела позвонков ThVII, ThX, ThXI, ThXII, LI, LII справа. Всего имплантировано 11 опорных элементов системы — диаметр стержня 3,5 мм. Такая протяженность установленных опорных элементов металлоконструкции была обусловлена основной дугой деформации с учетом высокого ростового потенциала ребенка. Произведена задняя мобилизация позвоночника на вершине деформации — остеотомии по Ponte и Smith–Peterson на уровнях — ThVII–LII позвонков. Первый стержень изогнут по форме физиологических изгибов позвоночника, погружен в опорные элементы по левой стороне, выполнен деротационный маневр и фиксация опорных элементов к стержню в положении коррекции деформации. Второй стержень смоделирован в соответствии с нормальным сагиттальным профилем позвоночника. Погружен в опорные винты по правой стороне. Стержень в опорных элементах фиксирован гайками (рис. 6). По стержням выполнена сегментарная коррекция — дистракция с вогнутой стороны искривления и контракция с выпуклой стороны. Интраоперационный рентгенологический контроль — система стабильна, положение имплантов корректное, деформация устранена. Спондилодез после стабилизации металлоконструкции не выполняли.
Рис. 6. Внешний вид операционной раны после выполненного этапа коррекции и стабилизации деформации позвоночника: 1 — краниальный отдел раны; 2 — опорные элементы металлоконструкции; 3 — титановый стержень, изогнутый в соответствии с физиологическими изгибами позвоночника, диаметр 3,5 мм; 4 — вершина деформации; 5 — полнослойный кожно-мышечный лоскут для последующего укрытия металлоконструкции в процессе ушивания послеоперационной раны; 6 — каудальный отдел раны.
Величина коррекции сколиотического компонента деформации у пациента составила 83,5% (с 85° до 14° по Cobb). Величина коррекции кифотического компонента деформации составила 81,2% (с 85° до 16° по Cobb). По данным предоперационного обследования, на панорамной рентгенограмме позвоночника в сагиттальной плоскости на фоне выраженной кифотической деформации отмечено нарушение баланса туловища (увеличение значения SVA (сакральная вертикальная ось) более 40 мм), развитие компенсационных механизмов (увеличение значений шейного и поясничного лордозов). На рентгенограммах, выполненных после хирургического вмешательства, можно наблюдать нормализацию глобальных и регионарных параметров сагиттального баланса (рис. 9).
Длительность хирургического вмешательства составила 225 мин. Интраоперационная кровопотеря — 250,0 мл. Неврологический статус ребенка после пробуждения на дооперационном уровне. Пациент вертикализирован на 2-е сутки после операции. После адаптации ребенка к вертикальной нагрузке на 8-е сутки после операции выполнены рентген-контроль и контроль мультиспиральной компьютерной томографией (рис. 7–9).
Рис. 7. На спондилограммах грудного и поясничного отдела позвоночника в прямой (а) и боковой (b) проекции при статической нагрузке можно определить: во фронтальной плоскости ось грудного и поясничного отдела искривлена — правосторонняя дуга ТhV–ХI 14° по Кобб. Локальная кифотическая деформация на уровне ThIХ –LI составляет 16° по Кобб. На уровне ThVII–LII позвонков установлена многоопорная металлоконструкция, диаметр стержней 3,5 мм. Кости тазового кольца — перекос влево, многоплоскостная (вальгусно-торсионная) деформация проксимального отдела левой бедренной кости.
Рис. 8. Контрольное исследование мультиспиральной компьютерной томографии, режим мультипланарной реконструкции, положение опорных элементов на уровне ThVIII позвонка: a, b, c — левая сторона; d, e, f — правая сторона.
Рис. 9. На рентгенограммах, выполненных до (a) и после (b) хирургического вмешательства, можно наблюдать нормализацию глобальных и регионарных параметров сагиттального баланса. SVA (сакральная вертикальная ось) до операции 44 мм, после — 31 мм.
Послеоперационная рана зажила первичным натяжением. Пациент адаптирован к вертикальной нагрузке (рис. 10).
Рис. 10. Внешний вид пациента после проведенного хирургического вмешательства — отмечена реконструкция формы туловища с улучшением сагиттального, фронтального и торсионного баланса: a — вид сзади; b — вид спереди; c — вид сбоку.
Обсуждение
Лечение пациентов при CDPX2 с врожденной деформацией позвоночника представляет серьезную проблему в результате раннего возраста и особенностей течения заболевания [23, 24]. Показаниями к операции обычно служат прогрессирующий кифосколиоз с риском возникновения неврологического дефицита и/или дыхательных нарушений. У пациентов детского возраста в клинической картине заболевания особенно опасен кифотический компонент деформации: считается, что врожденный кифоз более 50° у ребенка грозит сдавлением спинного мозга и требует хирургического вмешательства в раннем возрасте. При умеренных деформациях позвоночника возможны выжидательная тактика и корсетирование, однако данные об эффективности консервативного лечения весьма ограничены.
Хирургическая тактика лечения пациентов с деформацией позвоночника в раннем возрасте традиционно заключается в создании условий для локального спондилодеза с целью остановки и предотвращения ее дальнейшего прогрессирования [26, 27]. В исторических наблюдениях описаны случаи успешной стабилизации деформации позвоночника в раннем возрасте ребенка без применения металлоконструкций — посредством передней и задней костной пластики аутокостью в возрасте 1,5–2 лет. Так, N. Kabirian и соавт. [4] сообщили о пациенте с синдромом Конради, у которого в возрасте 2 лет выполнена двухэтапная переднезадняя фиксация грудопоясничного отдела без применения металлоконструкции. Катамнез составил 34 года, отмечены удовлетворительное равновесие туловища (по показателям сагиттального баланса), отсутствие неврологического дефицита, величина остаточной деформации 35° по Кобб на уровне ТVI–ТXI и 53° по Кобб на уровне ТXI–LII позвонков [4]. Функция внешнего дыхания в рассматриваемом клиническом наблюдении сохраняется на уровне 70% от нормы, что авторы сочли приемлемым результатом на фоне протяженного спондилодеза [4]. Тем не менее за последние десятилетия тактика лечения детей с кифосколиозом в раннем возрасте эволюционирует в сторону применения ростосберегающих технологий [17, 28–30]. Поскольку окончательная инструментальная фиксация в раннем возрасте неизбежно ведет к ограничению роста соответствующих позвоночно-двигательных сегментов и грудной клетки, все чаще используют этапные методы коррекции искривления, позволяющие исправлять деформацию без тотального ограничения роста. К данным подходам относят применение растущих конструкций, таких как система VEPTR (вертикальная расширяемая титановая реберная конструкция) или «растущие стержни», которые фиксируют к позвоночнику и/или ребрам и периодически удлиняют по мере роста ребенка [27–29]. В литературе описаны случаи успешного применения VEPTR и растущих стержней у пациентов с синдромом Конради–Хюнерманна, что позволило исправить сколиотическую деформацию более 80° по Кобб в возрасте 8 лет с сохранением последующего роста позвоночника [2, 3].
Альтернативной современной технологией являются магнитно-управляемые «ростовые» стержни (MCGR), удлинение которых проводят без повторных этапных операций в амбулаторных условиях [17, 30]. Однако любой ростосберегающий метод сопряжен с частыми осложнениями (поломка имплантатов, инфекция области хирургического вмешательства, недостаточная коррекция деформации и др.), требуя множества вмешательств до достижения завершения роста пациента.
Сравнительный анализ хирургических методов лечения [3] показал, что большинству пациентов с точечной хондродисплазией необходимо более одной операции на позвоночнике: почти 50% перенесли ревизии после комбинированной переднезадней фиксации, а после изолированной задней фиксации повторные операции были необходимы 20% пациентам [3]. Это можно объяснить наличием псевдоартроза в зоне спондилодеза, продолжающимся ростом пациента и появлением деформаций позвоночного столба выше или ниже зоны стабилизации деформации многоопорной металлоконструкцией. Консенсусное мнение экспертов сводится к тому, что при тяжелом врожденном кифосколиозе на фоне синдрома Конради возможна хирургическая коррекция деформации у пациентов младшей возрастной группы (от 2 до 5 лет) с применением комбинированной стабилизации позвоночника (передний спондилодез + инструментированный задний), либо применению ростосберегающих систем у пациентов в возрасте от 2 до 14 лет. Выбор метода определяют индивидуально с учетом возраста ребенка, величины основной дуги деформации и ригидности кривизны, а также сопутствующих аномалий у конкретного пациента [3].
Представленное клиническое наблюдение редкого синдрома Конради–Хюнерманна с врожденной кифосколиотической деформацией позвоночника отражает описанные в литературе закономерности, но вместе с тем демонстрирует ряд уникальных аспектов. У пациентки наблюдали типичную картину CDPX2: с раннего возраста отмечены признаки хондродисплазии (ризомелическое укорочение конечностей, точечные кальцификаты эпифизов на рентгенограммах) и дерматологические нарушения (линейный ихтиоз с переходом в атрофодермию), что позволило заподозрить данный диагноз. Подтверждение мутации в гене EBP и наличие характерных биохимических маркеров (накопление 8-дегидрохолестерина), данные семейного анамнеза послужили окончательным доказательством данного синдрома, что особенно важно, поскольку дифференциальная диагностика точечных хондродисплазий включает ряд иных генетических заболеваний. В данном случае клинические признаки были выражены отчетливо, что облегчило распознавание данного синдрома. Особенностью случая было сочетание скелетной деформации с аномалией развития спинного мозга — низким расположением конуса и липомой терминальной нити, выявленными при магнитно-резонансной томографии, а также отсутствие основания дуг на уровне нескольких позвонков на протяжении основной дуги деформации. Наличие синдрома фиксированного спинного мозга значительно осложняло планирование. Известно, что сопутствующие интрамедуллярные аномалии могут привести к неврологическим осложнениям во время коррекции деформации позвоночника. Поэтому на этапе подготовки была проведена консультация нейрохирурга — обсужден вопрос необходимости превентивного устранения липомы и мобилизации спинного мозга перед выполнением коррекции деформации позвоночника.
Главной проблемой в данном наблюдении стала тяжелая врожденная деформация позвоночника. Как и описано ранее, у пациента уже в детском возрасте сформировался значительный грудопоясничный кифосколиоз с анатомическими аномалиями развития позвонков (клиновидная деформация ThIX, ThXI, ThXII), что соответствует распространенному при CDPX2 типу кифосколиоза. Анализ литературы показал, что оперативное лечение тяжелой кифосколиотической деформации позвоночника при синдроме Конради–Хюнерманна можно проводить с 2–5 лет. Спондилодезы, выполняемые изолированно или с использованием многоопорной металлоконструкции, существенно нарушают рост позвоночника и требует послеоперационной иммобилизации. Использование «растущих» устройств существенно повышает частоту осложнений. Поэтому авторы использовали оригинальную методику — применили многоопорную конструкцию отечественного производства без выполнения спондилодеза, в сочетании с задней мобилизацией позвоночника по Ponte и Smith-Peterson. При необходимости это позволяет выполнять этапные коррекции в процессе роста ребенка.
Кроме того, в данном случае отсутствие основания дуг на уровне нескольких тел позвонков на протяжении основной дуги деформации значительно затрудняло формирование костных каналов для опорных элементов металлоконструкции и их установку. Эта задача была успешно решена благодаря применению навигационного оборудования на этапах предоперационного планирования и в ходе хирургического вмешательства. В процессе операции удалось правильно и корректно установить опорные элементы металлоконструкции, а последовательность корригирующих манипуляций позволила полноценно исправить имеющееся искривление позвоночного столба. Протяженность установленной металлоконструкции была обусловлена необходимостью коррекции основной дуги деформации, восстановлением баланса туловища и, одновременно с этим, большими потенциями роста у ребенка, что требовало сохранения свободных позвоночно-двигательных сегментов. В настоящем наблюдении пациентка был оперирована с применением отечественной многоопорной спинальной системы, что позволит, при необходимости, по мере роста ребенка выполнять этапные корригирующие вмешательства. Согласно современным представлениям о лечении детей с врожденным сколиозом данная тактика оправдана при сохраненном потенциале роста. Данный случай стал одним из первых в отечественной практике применения отечественной металлоконструкции у пациента 3 лет с синдромом Конради–Хюнерманна, что подчеркивает уникальность представленного наблюдения. В связи с малым возрастом ребенка (низкой комплаентностью) — отсутствием возможности предоперационной электронейромиографии интраоперационный нейромониторинг не применяли.
Сравнение с известными клиническими случаями. В мировых публикациях описано крайне мало случаев хирургической коррекции деформаций позвоночника при синдроме Конради–Хюнерманна ввиду его редкости. Отдельные сообщения D.E. Masonet и соавт. [2], N. Kabirian и соавт. [4] подтверждают, что без оперативного лечения прогрессирующий кифосколиоз при CDPX2 приводит к тяжелым последствиям. В работе N. Kabirian и соавт. [4] 34-летнее наблюдение пациента после выполнения спондилодеза в детском возрасте показало удовлетворительные функциональные результаты, но сохранилась значительная остаточная деформация. В нашем случае, благодаря использованию многоопорной системы, удалось достичь более выраженной коррекции деформации на начальном этапе лечения, а дальнейшие плановые этапные вмешательства, в случае прогрессирования деформации, будут направлены на поддержание эффекта по мере роста ребенка.
Опыт D.E. Mason и соавт. [2] свидетельствует, что у пациентов с точечной хондродисплазией часто необходимы повторные вмешательства — это полностью совпадает с авторской тактикой этапного хирургического лечения данной категории пациентов. В литературе отмечена необходимость ревизий почти у половины пациентов [3]. В настоящем наблюдении отсутствовали осложнения после проведения операции. Пациент находится под пристальным диспансерным наблюдением, и авторы готовы к возможным коррекциям тактики при появлении признаков прогрессирования деформации позвоночника.
Итак, представленное клиническое наблюдение иллюстрирует успешное сочетание современных технологий при лечении ребенка с врожденным кифосколиозом на фоне синдрома Конради–Хюнерманна. Диагностика этого синдрома в раннем возрасте позволила своевременно начать этапное лечение и улучшить прогноз функционально удовлетворительных результатов. Хирургическое лечение было сложно технически и тактически, требовало учета редких сопутствующих аномалий (фиксированного спинного мозга) и баланса между радикальностью коррекции и сохранением потенций роста. Успешная реализация выбранной тактики подтверждает ее обоснованность.
Представленный случай дополняет ограниченные сведения литературы о данном синдроме и демонстрирует, что даже при редком генетическом заболевании применение принципов, разработанных для раннего лечения детей с врожденным сколиозом, позволяет существенно улучшить прогноз для пациента. Таким образом, представленный клинический опыт вносит вклад в библиотеку знаний о тактике ведения пациентов с синдромом Конради–Хюнерманна и тяжелой спинальной патологией.
Ограничение исследования: в работе рассмотрен ближайший результат хирургического лечения пациента, отсутствуют данные отдаленного катамнеза.
Заключение
Тактический подход у пациентов с деформацией позвоночника на фоне синдрома Конради–Хюнерманна должен быть направлен на раннюю клиническую и генетическую диагностику заболевания. Мониторинг ортопедического статуса пациента — необходимая часть своевременного направления пациента к врачу-вертебрологу. Формирование выраженной деформации позвоночника (более 50° по Кобб) во фронтальной и сагиттальной плоскости у пациентов младшей возрастной группы (от 2 до 5 лет), несомненно, является прогностически неблагоприятным фактором. У рассматриваемых пациентов своевременная хирургическая коррекция деформации позвоночника в раннем возрасте ребенка и стабилизация достигнутого результата многоопорной металлоконструкцией необходимы с целью предотвращения развития неврологического дефицита и бурного прогрессирования искривления в процессе последующего роста ребенка.
Дополнительная информация
Вклад авторов. М.С. Асадулаев — написание всех разделов работы; С.В. Виссарионов — разработка дизайна исследования, этапное и финальное редактирование текста статьи; П.А. Першина — написание раздела «Обсуждение», обзор литературы; Д.Б. Маламашин, В.Г. Тория, Д.Н. Кокушин, С.М. Белянчиков — этапное редактирование текста статьи; Т.С. Рыбинских — перевод текста введения на английский язык, поиск и анализ литературных данных; Т.В. Мурашко — этапное редактирование текста статьи, описание лучевых данных пациента. Все авторы одобрили версию для публикации, а также согласились нести ответственность за все аспекты работы, гарантируя надлежащее рассмотрение и решение вопросов, связанных с точностью и добросовестностью любой ее части.
Согласие на публикацию. Авторы получили письменное информированное добровольное согласие законных представителей пациента на публикацию персональных данных, в том числе фотографий (с закрытием лица), в научном журнале, включая его электронную версию (дата подписания 10.07.2025). Объем публикуемых данных с законными представителями пациента согласован.
Источники финансирования. Государственное задание Министерства здравоохранения РФ — НИР «Комплексное лечение детей с врожденной деформацией грудной клетки, позвоночника и нестабильностью грудино-реберного комплекса» (Регистрационный номер 1023021600029-8-3.2.10).
Раскрытие интересов. Авторы заявляют об отсутствии отношений, деятельности и интересов за последние три года, связанных с третьими лицами (коммерческими и некоммерческими), интересы которых могут быть затронуты содержанием статьи.
Оригинальность. При создании настоящей работы авторы не использовали ранее опубликованные сведения (текст, иллюстрации, данные).
Доступ к данным. Все данные, полученные в настоящем исследовании, доступны в статье.
Генеративный искусственный интеллект. При создании настоящей статьи технологии генеративного искусственного интеллекта не использовали.
Рассмотрение и рецензирование. Настоящая работа подана в журнал в инициативном порядке и рассмотрена по обычной процедуре. В рецензировании участвовали внешний и внутренний рецензенты.
About the authors
Marat S. Asadulaev
H. Turner National Medical Research Center for Сhildren’s Orthopedics and Trauma Surgery
Author for correspondence.
Email: marat.asadulaev@yandex.ru
ORCID iD: 0000-0002-1768-2402
SPIN-code: 3336-8996
MD, Cand. Sci. (Medicine)
Russian Federation, Saint PetersburgSergei V. Vissarionov
H. Turner National Medical Research Center for Сhildren’s Orthopedics and Trauma Surgery
Email: vissarionovs@gmail.com
ORCID iD: 0000-0003-4235-5048
SPIN-code: 7125-4930
MD, Dr. Sci. (Medicine), Professor, Corresponding Member of RAS
Russian Federation, Saint PetersburgPolina A. Pershina
H. Turner National Medical Research Center for Сhildren’s Orthopedics and Trauma Surgery
Email: polinaiva2772@gmail.com
ORCID iD: 0000-0001-5665-3009
SPIN-code: 2484-9463
MD
Russian Federation, Saint PetersburgDenis B. Malamashin
H. Turner National Medical Research Center for Сhildren’s Orthopedics and Trauma Surgery
Email: malamashin@mail.ru
ORCID iD: 0000-0002-7356-6860
SPIN-code: 9650-6020
MD, Cand. Sci. (Medicine)
Russian Federation, Saint PetersburgVakhtang G. Toria
H. Turner National Medical Research Center for Сhildren’s Orthopedics and Trauma Surgery
Email: vakdiss@yandex.ru
ORCID iD: 0000-0002-2056-9726
SPIN-code: 1797-5031
MD
Russian Federation, Saint PetersburgDmitriy N. Kokushin
H. Turner National Medical Research Center for Сhildren’s Orthopedics and Trauma Surgery
Email: partgerm@yandex.ru
ORCID iD: 0000-0002-2510-7213
SPIN-code: 9071-4853
MD, Dr. Sci. (Medicine)
Russian Federation, Saint PetersburgTimofey S. Rybinskikh
H. Turner National Medical Research Center for Сhildren’s Orthopedics and Trauma Surgery
Email: timofey1999r@gmail.com
ORCID iD: 0000-0002-4180-5353
SPIN-code: 7739-4321
MD
Russian Federation, Saint PetersburgSergei M. Belyanchikov
H. Turner National Medical Research Center for Сhildren’s Orthopedics and Trauma Surgery
Email: beljanchikov@list.ru
ORCID iD: 0000-0002-7464-1244
SPIN-code: 9953-5500
MD, Cand. Sci. (Medicine)
Russian Federation, Saint PetersburgTatiana V. Murashko
H. Turner National Medical Research Center for Сhildren’s Orthopedics and Trauma Surgery
Email: popova332@mail.ru
ORCID iD: 0000-0002-0596-3741
SPIN-code: 9295-6453
MD
Russian Federation, Saint PetersburgReferences
- rarediseases.org [Internet]. Conradi Hünermann Syndrome. National Organization for Rare Disorders (NORD). Danbury (CT): NORD; 2021. [cited 2025 Aug 10] Available from: https://rarediseases.org/rare-diseases/conradi-hunermann-syndrome
- Mason DE, Sanders JO, MacKenzie WG, et al. Spinal deformity in chondrodysplasia punctata. Spine (Phila Pa 1976). 2002;27(18):1995–2002. doi: 10.1097/00007632-200209150-00007
- Lykissas MG, Sturm PF, McClung A, et al. Challenges of spine surgery in patients with chondrodysplasia punctata. J Pediatr Orthop. 2013;33(7):685–693. doi: 10.1097/BPO.0b013e31829e86a9
- Kabirian N, Hunt LA, Ganjavian MS, et al. Progressive early-onset scoliosis in Conradi disease: a 34-year follow-up of surgical management. J Pediatr Orthop. 2013;33(2):e4–e9. doi: 10.1097/BPO.0b013e31827364a5
- Kelley RI, Wilcox WG, Smith M, et al. Abnormal sterol metabolism in patients with Conradi-Hunermann-Happle syndrome and sporadic lethal chondrodysplasia punctata. Am J Med Genet. 1999;83(3):213–219. doi: 10.1002/(sici)1096-8628(19990319)83:3<213::aid-ajmg15>3.0.co;2-c
- Derry JM, Gormally E, Means GD, et al. Mutations in a Δ8-Δ7 sterol isomerase in the tattered mouse and X-linked dominant chondrodysplasia punctata. Nat Genet. 1999;22(3):286–290. doi: 10.1038/10350
- Braverman N, Lin P, Moebius FF, et al. Mutations in the gene encoding 3β-hydroxysteroid-Δ8, Δ7-isomerase cause X-linked dominant Conradi-Hunermann syndrome. Nat Genet. 1999;22(3):291–294. doi: 10.1038/10357
- Herman GE, Walton SJ. Close linkage of the murine locus bare patches to the X-linked visual pigment gene: implications for mapping human X-linked dominant chondrodysplasia punctata. Genomics. 1990;7(3):307–312. doi: 10.1016/0888-7543(90)90162-n
- Herman GE, Kelley RI, Pureza V, et al. Characterization of mutations in 22 females with X-linked dominant chondrodysplasia punctata (Happle syndrome). Genet Med. 2002;4(6):434–438. doi: 10.1097/00125817-200211000-00006
- Bukkems SF, Ijspeert WJ, Vreenurg M, et al. Conradi-Hünermann-Happle syndrome. Ned Tijdschr Geneeskd. 2012;156(10):A4105. (In Dutch).
- Braverman N, Steel G, Obie C, et al. Human PEX7 encodes the peroxisomal PTS2 receptor and is responsible for rhizomelic chondrodysplasia punctata. Nat Genet. 1997;15(4):369–376. doi: 10.1038/ng0497-369
- Has C, Seedorf U, Kannenberg F, et al. Gas chromatography-mass spectrometry and molecular genetic studies in families with the Conradi-Hünermann-Happle syndrome. J Invest Dermatol. 2002;118(5):851–858. doi: 10.1046/j.1523-1747.2002.01761.x EDN: BANFKP
- Cardoso ML, Barbosa M, Serra D, et al. Living with inborn errors of cholesterol biosynthesis: lessons from adult patients. Clin Genet. 2014;85(2):184–188. doi: 10.1111/cge.12139
- Corbí MR, Conejo-Mir JS, Linares M, et al. Conradi-Hünermann syndrome with unilateral distribution. Pediatr Dermatol. 1998;15(4):299–303. doi: 10.1046/j.1525-1470.1998.1998015299.x
- Aughton DJ, Kelley RI, Metzenberg A, et al. X-linked dominant chondrodysplasia punctata (CDPX2) caused by single gene mosaicism in a male. Am J Med Genet A. 2003;116A(3):255–260. doi: 10.1002/ajmg.a.10852
- Kumble S, Savarirayan R. Chondrodysplasia punctata 2, X-linked. In: Adam MP, Feldman J, Mirzaa GM, et al., editors. GeneReviews®. Seattle (WA): University of Washington: Seattle; 2011.
- Ryabykh SO, Ulrich EV, Mushkin AYu, et al. Treatment of congenital spinal deformities in children: yesterday, today, tomorrow. Spine Surgery. 2020;17(1):15–24. doi: 10.14531/ss2020.1.15-24 EDN: EMPNLO
- Kuleshov AA, Vetrile MS, Lisyansky IN, et al. Surgical treatment of a patient with congenital deformity of the spine, the thoracic and lumbar pedicle aplasia, and spinal compression syndrome. Spine Surgery. 2016;13(3):41–48. doi: 10.14531/ss2016.3.41-48 EDN: WKYPBR
- Vissarionov SV, Murashko VV, Murashko TV, et al. Surgical treatment of patients with congenital deformities in multilevel bilateral thoracic and lumbar pedicle aplasia. Spine Surgery. 2015;12(3):19–27. doi: 10.14531/ss2015.3.19-27 EDN: UMGWNL
- Sutphen R, Amar MJ, Kousseff BG, et al. XXY male with X-linked dominant chondrodysplasia punctata (Happle syndrome). Am J Med Genet. 1995;57(3):489–492. doi: 10.1002/ajmg.1320570326
- Hatia M, Roxo D, Pires MS, et al. Chondrodysplasia punctata: early diagnosis and multidisciplinary management of Conradi-Hünermann-Happle syndrome (CDPX2). Cureus. 2024;16(12):e75605. doi: 10.7759/cureus.75605
- De Jesus S, Costa ALR, Almeida M, et al. Conradi-Hünerman-Happle syndrome and obsessive-compulsive disorder: a clinical case report. BMC Psychiatry. 2023;23(1):87. doi: 10.1186/s12888-023-04579-1 EDN: HZCXZF
- Happle R. X-linked dominant chondrodysplasia punctata/ichthyosis/cataract syndrome in males. Am J Med Genet. 1995;57(3):493. doi: 10.1002/ajmg.1320570327
- Capelozza Filho L, de Almeida Cardoso M, Caldeira EJ, et al. Ortho-surgical management of a Conradi-Hünermann syndrome patient: rare case report. Clin Case Rep. 2015;3(8):694–701. doi: 10.1002/ccr3.307
- Happle R. X-linked dominant chondrodysplasia punctata: review of literature and report of a case. Hum Genet. 1979;53(1):65–73. doi: 10.1007/BF00278240 EDN: KBXMMA
- Vissarionov SV. Surgical treatment of segmental instability of the thoracic and lumbar spine in children [dissertation abstract]. Novosibirsk: Novosibirsk Research Institute of Traumatology and Orthopedics; 2008. 165 p. EDN: NQLDFL (In Russ.)
- Vissarionov SV, Khusainov NO, Kokushin DN. Analysis of results of treatment without-of-spine-based implants in patients with multiple congenital anomalies of the spine and thorax. Pediatric Traumatology, Orthopaedics and Reconstructive Surgery. 2017;5(2):5–12. doi: 10.17816/PTORS525-12 EDN: WGMTGO
- Mikhaylovskiy MV, Ulrich EV, Suzdalov VA, et al. VEPTR instrumentation in the surgery for infantile and juvenile scoliosis: first experience in Russia. Spine Surgery. 2010;(3):31–41. doi: 10.14531/ss2010.3.31-41 EDN: MUPPIJ
- Murphy RF, Moisan A, Kelly DM, et al. Use of vertical expandable prosthetic titanium rib (VEPTR) in the treatment of congenital scoliosis without fused ribs. J Pediatr Orthop. 2016;36(4):329–335. doi: 10.1097/BPO.0000000000000460
- Tsirikos AI, Roberts SB. Magnetic controlled growth rods in the treatment of scoliosis: safety, efficacy and patient selection. Med Devices (Auckl). 2020;13:75–85. doi: 10.2147/MDER.S198176
Supplementary files













