Congenital contracture of the iliotibial tract: a case report
- Authors: Garkavenko Y.E.1,2, Krasnogorskiy I.N.1, Dolgiev B.H.1
-
Affiliations:
- The Turner Scientific Research Institute for Children’s Orthopedics
- North-Western State Medical University n.a. I.I. Mechnikov
- Issue: Vol 6, No 2 (2018)
- Pages: 79-85
- Section: Exchange of experience
- Submitted: 22.06.2018
- Accepted: 22.06.2018
- Published: 22.06.2018
- URL: https://journals.eco-vector.com/turner/article/view/8993
- DOI: https://doi.org/10.17816/PTORS6279-85
- ID: 8993
Cite item
Abstract
Introduction. Congenital contracture of the iliotibial tract is a rather rare pathology that causes difficulties in diagnosing and planning treatment activities. The lack of a clear idea of the causes of the disease has led to disagreement in the interpretation of the diagnosis in patients with this pathology. In the Russian-language literature, this disease is referred to as idiopathic extension and abduction contracture of a hip joint or idiopathic contracture of the dorsal gluteal muscle (a congenital contracture of the tendons of the dorsal gluteal muscles), whereas the English-language literature more often highlights congenital or idiopathic contracture of the dorsal gluteal muscles.
Clinical сase. The results of treatment of a 6-year-old child with congenital contracture of the iliotibial tract is presented. The child exhibited lameness when walking first started, but the correct diagnosis was not established. Clinically, along with the limitation of adduction and extension in the hip joint and an induration of the soft tissue along the external surface of the right thigh, the pelvis was skewed, and there was shortening of the right lower limb and a valgus deformity of diaphysis of the right femoral bone. Ultrasonographic and magnetic resonance imaging indicated the presence of a fibrous bridle over the outer surface of the right thigh. The fibrous bridle was excised for 15 cm, and a temporary hemiepiphysiodesis of the medial portion of the distal growth zone of the right femur was performed.
Results and discussion. At the 1-year control examination, the patient did not present any complaints. There was no relapse of the contracture. According to X-ray study results, correction of the valgus deformity of the right femur was achieved, and the metal structures were removed. Despite the more frequent extension and abduction direction of the contracture of the iliotibial tract indicated by most authors, the direction and severity apparently may depend on the predominant zone of fibrous degeneration of the muscle groups. Additionally, with the predominant lesion of the dorsal gluteal muscle, a more pronounced extension component can be expected, whereas with the predominant lesion of the musculus tensor fasciae latae, a flexion component can be expected and was observed in our patient.
Keywords
Full Text
Introduction
Congenital contracture of the iliotibial tract is a rare pathology that is difficult to diagnose and treat appropriately [1]. A lack of understanding of the causes of the disease leads to discrepancies in the interpretation of the diagnosis in patients with this pathology. In the Russian-language literature, this disease is referred to as idiopathic extensor–abduction contracture of the hip joint or idiopathic contracture of the dorsal gluteal muscle [1, 2], or congenital contracture of the tendons of the dorsal gluteal muscles [3]. In the English-language literature, the term “congenital or idiopathic gluteal muscle contracture” is more commonly used [4-7].
Clinical observation
A 6-year-old boy sought medical help, complaining about lameness and pelvic skewness. The parents noticed a disorder of the child’s gait when he started to walk, so he was examined as an out-patient in a primary care facility for a suspected congenital abnormality of the spinal development. The suspected pathology was not confirmed, and the child did not receive treatment. As the boy continued to grow, the gait disorder progressed.
The parents of the patient gave consent for the processing and publication of personal data.
Examination showed that the patient limped on the right lower limb, bending, abducting and rotating it outwardly. The patient stood with a pelvic tilt to the right, bending it anteriorly (Fig. 1). The right lower limb was 1 cm shorter than the left. The right thigh was enlarged to some extent in volume, but painless with palpation. On examination, an induration of the soft tissues of the right thigh along the external surface in the form of a trouser stripe was observed. In the lying position, his right lower limb remained in the positions of abduction, flexion, and external rotation. Movements in the hip, knee, and ankle joints were painless and free, with limited movements in the right hip joint, presumably due to the soft tissue component (fibrous cords).
Fig. 1. Photographs of the patient D., 6 years: a - the vicious position of the right lower limb and the skew of the pelvis in the standing position; b - the position of the pelvis is normalized when the hips are withdrawn; c - densification of soft tissues along the external surface of the right thigh (indicated by an arrow)
X-ray examination was performed using Digital Diagnost v.2 apparatus and spiral computed tomography (CT) was performed using Philips Brilliance cT apparatus. These examinations indicated changes in the form of pelvic skew, abduction of the right lower limb, and diaphysis deformity of the right femur which indirectly indicated the presence of fibrous cords in the soft tissues of the right thigh (Fig. 2).
Fig. 2. X-ray of the lower limbs in the standing position (a), and CT of hip joints (b) of patient D, aged 6 years, before surgery
Ultrasound examination (US) of the hip joints were performed using GE LoGIQ-7 apparatus and showed a hyperechoic cord with a thickness in the upper third of the thigh of 5.9 mm, and in the middle third of the thigh of 4.3 mm, located along the lateral surface of the right thigh in the structure of the muscular tissue (Fig. 3).
Fig. 3. Fibrous cord in the soft tissues of the right thigh
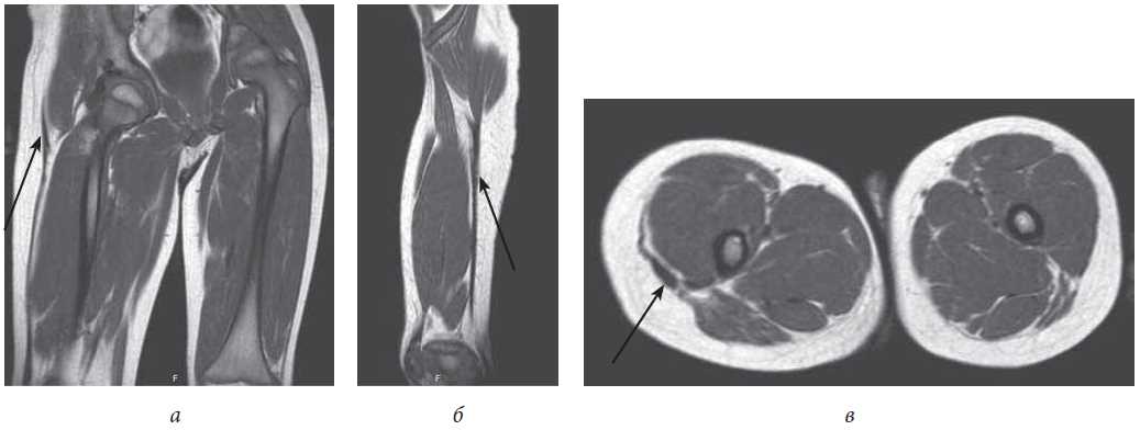
Magnetic resonance imaging (MRI) data were obtained using an MR tomograph Philips Panorama with a magnetic field induction of 1.0 T. Visualization of the fibrous cord in the soft tissues of the right thigh was most clearly determined using T1 weighted images (T1WI) in the coronary, sagittal, and axial planes (Fig. 4).
Fig. 4. CT sections in the coronary (a), sagittal (b), and axial (c) planes (arrows indicate thickened fibrous structures in the soft tissues of the right thigh)
Surgical intervention was performed under general anesthesia. A linear 15-cm-long incision of the skin and subcutaneous tissue was made along the outer surface of the right thigh in the upper and middle third. A fibrous cord with a width of up to 1.5 cm, fused to the iliotibial tract and surrounding soft tissues with multiple scarring cords was isolated. The cord was isolated from the surrounding soft tissues. Right thigh adduction caused it to stretched, limiting the amplitude of movements in the right hip joint. Up to 15 cm of the cord was excised (Fig. 5). The wound was drained and sutured layer-by-layer. In addition, a tenotomy of subspinal muscles was performed through a 4-cm-long access channel along the anteroexternal surface of the proximal part of the right thigh, and the fibrous cords that limited abduction in the right hip joint were transected. The wound was drained and sutured layer-by-layer. The level of the distal growth zone of the right femur was determined under the control of the electronic optical transducer. Using a 2-cm-long access channel, the distal metaepiphyseal growth zone of the right femur was isolated and blocked using an 8-shaped plate with two screws inserted into the metaphyseal and epiphyseal sections of the bone (Fig. 6). The wound was sutured layer-by-layer. The right lower limb was fixed using an antirotation plaster cast. The postoperative period proceeded without complications. The wounds healed with primary tension and the pediatric patient was discharged from the hospital in a satisfactory condition.
Fig. 5. Fibrous cord (indicated using the gauze holder) (a); excised part of fibrous cord (b); and postoperative fixation of the right lower limb (c)
Fig. 6. X-ray of the right knee joint at the stage of blocking the medial portion of the distal femoral growth zone with an eight-shaped plate
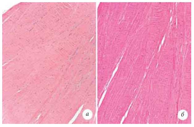
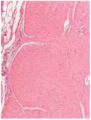
Morphological study. The excised part of the cord (12.5 × 1.8 × 1.0 cm) was represented mainly by a uniformly stained whitish tissue. After primary fixation in a 10% solution of neutral formalin, several blocks were cut, and after processing using 10 baths with isopropyl alcohol followed by paraffin embedding, 4-μm-thick sections were cut using a rotary microtome (Thermo Scientific, Microm HM 340 E). The histological sections were dewaxed using xylol then stained with either hematoxylin and eosin or Van Gieson’s stain.
Histological preparations were examined using a light microscope (AXIo Scope A1, ZEISS) with polarized light. Sections of fragments of dense fibrous tissue were observed, with structures reminiscent of tendon tissue, but weakly vascularized and partially teased in places. Bunches of collagen fibers of different thicknesses were arranged in parallel and were oriented predominantly in one direction (Fig. 7).
Fig. 7. Longitudinal sections of an area of weakly vascularized fibrous cord. Unidirected bundles of collagen fibers with a relatively small amount of several unevenly distributed fibrocytes (a). Staining with hematoxylin and eosin and Van Gieson’s stain (b). Magnification × 300
The fibrous cord tissue there showed a relatively small amount of several unevenly distributed connective tissue cells (fibrocytes).
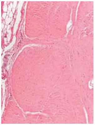
Some areas on the surface of the cord showed “remnants” of a thin fibrous “tunic” with occasional single small cells of differentiated fatty tissue, along with single adipocytes, also found in the individual fields of vision in the fibrous cord tissue itself (Fig. 8).
Fig. 8. Tangential section of an area of fibrous cord with well-distinguishable bundles of collagen fibers and a relatively small number of fibrocytes. On the edge of the cord there is a visible part of a thin fibrous “tunic” with a fragment of a cell of differentiated fatty tissue (staining with hematoxylin and eosin, magnification × 300)
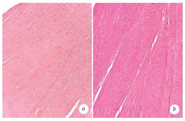
Some heterogeneity of the structure was noted near the partially teased areas. Narrower layers of slightly more vascularized fibrous tissue, formed by thin, chaotically oriented collagen fibers were wedged between parallel-oriented bundles of relatively thick collagen fibers (Fig. 9).
Fig. 9. Longitudinal section of an area of the fibrous cord: a — between the bundles, located in one direction in relation to the thick collagen fibers (1), the connective tissue layer wedges are represented by thinner, chaotically oriented collagen fibers (2) (van Gieson’s stain, × 600); b — polarized light image of the same section (van Gieson’s stain + polarized light, magnification × 600)
There were no signs of tumor growth (benign or malignant) or inflammatory changes in the sections studied.
Results and Discussion
Examination one year after surgery showed the patient had no complaints, and there was no relapse of contracture. X-ray examination showed that correction of the valgus deformity of the right femur was achieved, and the surgical hardware was removed (Fig. 10).
Fig. 10. Photographs of patient D 1 year after surgery (a, b) and radiographs of lower extremities and the right thigh before removal of the surgical hardware (c, d)
Despite the limited number of publications in the Russian literature [1], diagnosis and clinical presentation of this and similar pathologies are described in sufficient detail in the literature worldwide [4–7]. Studies have reported congenital contracture of the iliotibial tract in the USA, France, Italy, Poland, Spain, India, and most of all China [4, 7]. The etiology of the disease remains poorly understood, but is believed to be iatrogenic, idiopathic, and innate in nature.
Depending on the severity of the contracture, and based on proposed classifications, conservative, endoscopic, and open surgical interventions are often performed [2, 4, 8]. Continuing contracture may lead to secondary deformities in the form of pelvic skew, valgus deformity of the femoral neck, and shortening of the lower limb [9].
The iliotibial tract (tractus iliotibialis) is formed from the broad fascia of the thigh, and is located in the form of a trouser stripe on its outer surface and extends from the iliac crest to Gerdy’s tubercle on the outer surface of the tibia, where it is attached [10]. A muscle stretching the broad fascia of the thigh (tensor fasciae latae) and the bundles of the dorsal gluteal muscle (gluteus maximus) are weaved into the proximal part of the tract. Under normal conditions, the iliotibial tract abducts and flexes the femur. Deformities caused by his contracture include fixed abduction, flexion in the hip and knee joints, external hip rotation, as well as skewing of the pelvis and enlarged lordosis. Thus, the most common signs of contracture of the tract are restriction of extension and adduction of the thigh [11]. However, the direction and severity of the contracture may depend on the prevailing zone of fibrous degeneration of muscle groups. With the predominant lesion of the dorsal gluteal muscle, a more pronounced extensor component can be expected, while a predominant lesion of the tensor fascia lata muscle presents a flexural component, as seen in patient D.
Thus, thorough clinical examination, as well as the use of additional research methods (US, MRI) can enable the correct diagnosis and appropriate method of treatment.
Acknowledgements
The authors are grateful to S.A. Brailov, N.Yu. Orlova, and K.A. Strochikova for help in the examination of the patient.
Funding and conflict of interest
The study was performed with the support of the Turner Scientific Research Institute for Children’s Orthopedics. The authors declare no obvious or potential conflicts of interest related to the publication of this article.
About the authors
Yuriy E. Garkavenko
The Turner Scientific Research Institute for Children’s Orthopedics; North-Western State Medical University n.a. I.I. Mechnikov
Author for correspondence.
Email: krasnogorsky@yandex.ru
Leading Research Associate of the Department of Bone Pathology; MD, PhD, Professor of the Chair of Pediatric Traumatology and Orthopedics
Russian Federation, 64, Parkovaya str., Saint-Petersburg, Pushkin, 196603; 41, Kirochnaya street, Saint-Petersburg, 191015Ivan N. Krasnogorskiy
The Turner Scientific Research Institute for Children’s Orthopedics
Email: krasnogorsky@yandex.ru
MD, PhD, senior research associate histologist of the scientific and morphological laboratory
Russian Federation, 64, Parkovaya str., Saint-Petersburg, Pushkin, 196603Bahauddin H. Dolgiev
The Turner Scientific Research Institute for Children’s Orthopedics
Email: krasnogorsky@yandex.ru
MD, Orthopedic and Trauma Surgeon of the Department of Bone Pathology
Russian Federation, 64, Parkovaya str., Saint-Petersburg, Pushkin, 196603References
- Кожевников О.В., Кралина С.Э. Анализ ошибок при диагностике, лечении и проведении реабилитационных мероприятий наиболее распространенной ортопедической патологии у детей на этапе амбулаторно-поликлинической помощи // Научно-практическая конференция с международным участием «Медицинская реабилитация в педиатрической практике: достижения, проблемы и перспективы»; Июль 1, 2013; Якутск. – Якутск, 2013. [Kozhevnikov OV, Kralina SE. Analysis of errors in the diagnosis, treatment and rehabilitation of the most common orthopedic pathology in children at the stage of outpatient care. In: Proceedings of the Scientific-practical conference with international participation “Medical rehabilitation in pediatric practice: achievements, problems and prospects”; 2013 Jul 1; Yakutsk. (Conference proceedings). Yakutsk; 2013. (In Russ.)]
- Джураев А.М., Кадыров И.М. Клинические аспекты диагностики и лечения разгибательно-отводящей контрактуры тазобедренного сустава у детей // Вiсник ортопедii, травматологii та протезування. – 2009. – № 1. – С. 40–42. [Dzhuraev AM, Kadyrov IM. Clinical aspects of diagnosis and treatment of extensor-deflecting hip contracture in children. Visnyk ortopedii, travmatolohii ta protezuvannia. 2009;(1):40-42. (In Russ.)]
- Нарходжаев Н.С., Жуманов Т.Т. Опыт хирургического лечения врожденной контрактуры сухожилий больших ягодичных мышц у детей // Вестник Южно-Казахстанской государственной фармацевтической академии. – 2015. – № 4. – С. 64–66. [Narkhodzhaev NS, Zhumanov TT. Experience of surgical treatment of the congenital contracture of sinews of big gluteuses at children. Vestnik of the South-Kazakhstan State Pharmaceutical Academy. 2015;(4):64-66. (In Russ.)]
- Zhao CG, He XJ, Lu B, et al. Classification of gluteal muscle contracture in children and outcome of different treatments. BMC Musculoskelet Disord. 2009;10:34. doi: 10.1186/1471-2474-10-34.
- Kotha VK, Reddy R, Reddy MV, et al. Congenital gluteus maximus contracture syndrome — a case report with review of imaging findings. J Radiol Case Rep. 2014;8(4):32-37. doi: 10.3941/jrcr.v8i4.1646.
- Pathak A, Shukla J. Idiopathic Bilateral Gluteus Maximus Contracture in Adolescent Female: A Case Report. J Orthop Case Rep. 2013;3(1):19-22.
- Rai S, Meng C, Wang X, et al. Gluteal muscle contracture: diagnosis and management options. SICOT J. 2017;3:1. doi: 10.1051/sicotj/2016036.
- Ye B, Zhou P, Xia Y, et al. New minimally invasive option for the treatment of gluteal muscle contracture. Orthopedics. 2012;35(12):e1692-1698. doi: 10.3928/01477447-20121120-11.
- Ni B, Li M. The effect of children’s gluteal muscle contracture on skeleton development. Sichuan Da Xue Xue Bao Yi Xue Ban. 2007;38(4):657-659.
- Островерхов Г.Е, Лубоцкий Д.Н., Бомаш Ю.М. Курс оперативной хирургии и топографической анатомии. – М.: Медгиз, 1963. [Ostroverhov GE, Lubotskiy LN, Bomash YM. Course of operative surgery and topographic anatomy. Moscow: Medgiz; 1963. (In Russ.)]
- Попелянский Я.Ю. Ортопедическая неврология (вертеброневрология). Руководство для врачей. – М.: МЕДпресс-информ, 2011. [Popelyanskiy YY. Orthopedic neurology (vertebroneurology). A guide for doctors. Moscow: Medpress-inform; 2011. (In Russ.)]
Supplementary files














