Development of techniques for greater trochanter fragment fixation during surgical treatment of the dysplastic coxarthrosis
- Authors: Voronkevich I.A.1, Parfeev D.G.1, Avdeev A.I.1
-
Affiliations:
- Vreden Russian Research Institute of Traumatology and Orthopedics
- Issue: Vol 6, No 4 (2018)
- Pages: 59-69
- Section: Review
- Submitted: 23.07.2018
- Accepted: 09.08.2018
- Published: 29.12.2018
- URL: https://journals.eco-vector.com/turner/article/view/9123
- DOI: https://doi.org/10.17816/PTORS6459-69
- ID: 9123
Cite item
Abstract
Isolated fractures of the greater trochanter based on the sources of specialized literature on the subject are extremely rare. However, methods for fixing the greater trochanter are actively developed in connection with the use of various versions of trochanteric osteotomies in the surgical treatment of the dysplastic hip joint.
In this article, the anatomical features of the proximal femur, development of the ideas of reattachment of the greater trochanter in the course of total hip arthroplasty, as well as the current state of the problem, were examined. Until recently, patches were used that were fixed to the thigh using the aid of wires for osteosynthesis of a large trochanter. In 2009, studies initially reported on the use of locking plates for osteosynthesis of the trochanter in total hip arthroplasty.
Currently, greater trochanter fixation by locking plates shows the best results as previous fixation devices. However, patients sometimes experience greater trochanter pain syndrome after fixation fragment by plates. The analysis of the published works confirmed the relevance of the search for a new more advanced technique and a device for the reattachment of the greater trochanter to the femur in the surgical treatment of the dysplastic hip joint.
Full Text
Introduction
Proximal femoral fractures (PFF) are recognized as a global public health concern [1]. However, the incidence of isolated greater trochanter (GT) fractures, a type of PFFs, is relatively rare [2]. According to S.J. Kim et al., the diagnosis of most cases of GT fractures is difficult owing to the poor clinical presentation and asymptomatic characteristic of PFFs [3]. Ayoob et al., indicated that the direct injury mechanism is more prevalent in elderly patients, whereas the indirect injury mechanism, in which the sprain fracture of the GT occurs owing to the contraction of the ventral gluteal muscle, is most commonly observed in adolescent patients [4].
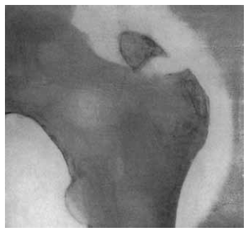
Canadian orthopedic surgeon G.E. Armstrong reported the first clinical case of GT fracture with a radiological pattern and detailed description of the circumstances of the injury [5]. In his study, the patient J.M., 33 years old, was admitted to the Monreal General Hospital on November 3, 1906; the patient presented with complaints of pain and limited range of motion in the right hip joint. The result of the radiological examination of the patient at the time of admission is presented in Fig. 1.
Fig. 1. Radiograph of the right hip joint in the posteroanterior view
The author described the symptoms, suggested a diagnostic protocol, and also noted the positive results of conservative treatment. In cases with substantial displacement of fragments, conservative methods are ineffective; in such cases, surgical methods are preferred, namely internal fixation of the affected GT fragment. The relatively rare incidence of GT fractures and opinion of classic discoverers [5] regarding the efficiency of conservative treatment delayed the development of GT osteosynthesis prior to the use of trochanteric osteotomy (OT) for hip joint arthroplasty [6–8]. Abscission the GT for access to the hip joint in case of arthrosis in case of congenital dislocations required a significant increase in the reliability of GT fixation, since the techniques used for sprain fractures did not adequately meet the new higher requirements imposed on them [9–11]. The OTs used for performing complex arthroplasty triggered the intensive development of this direction and the search for the best methods and devices for fixing GT of the femur.
This study aimed to provide an overview of the contemporary methods of GT fixation based on the analysis of the relevant literature on GT fixation and current trends in the evolution of osteosynthesis techniques. Additionally, we outline the prospects for the development of methods and devices for fixing GT fragments during the surgical treatment of dysplastic coxarthrosis.
Anatomy
In the process of ontogenesis, the femur develops from five points of ossification. The primary ossification point is the diaphysis of bone, whereas four secondary ossification points are in different bones at different times. In particular, the ossification at any point in the GT occurs at a mean age of 3 years. The complete fusion of the proximal part with the diaphysis of the femur occurs during the age period of 16–20 years [12].
The GT is the fixation site of, both of the abductor thigh muscle group and the tendons of the rotator muscles of femur (Fig. 2) [13–15].
Fig. 2. Anatomy of the proximal femur: a — posterior view of the right hip joint: 1 — the dorsal gluteal muscle (trimmed); 2 — the ventral gluteal muscle (trimmed); 3 — the gluteus minimus muscle; 4 — ventral gluteal muscle (place of attachment); 5 — external obturator muscle; 6 — superior gemellus muscle; 7 — internal obturator muscle; 8 — inferior gemellus muscle; 9 — sciatic nerve; b — top view of the right hip joint: 1 — place of attachment of the gluteus minimus muscle; 2 — external obturator muscle; 3 — muscle rotator tendons; 4 — piriform muscle; 5 — the femoral head; 6 — hip joint capsule; 7 — the anterior edge of the greater trochanter (a copy of the illustrations from the work of Philippon MJ, Michalski MP, Campbell KJ, et al. Surgically relevant bony and soft tissue anatomy of the proximal femur. Orthop J Sport Med. 2014;2(6):1–9. doi: 10.1177/2325967114535188)
According to the study by E. Gautier et al., blood is primarily supplied to the GT at the expense of the branches of the medial circumflex femoral artery [16]. The foreign specialized literature has paid much attention to the anatomical aspects of the innervation of GT and the search for solutions to the problem of pain in the GT (GT pain syndrome) [17]. It has been reported that unilateral and bilateral pain in the GT occurs in 15% and 8.5% of cases in women and in 6.6% and 1.9% in men, respectively [18, 19]. In particular, a connection between pain syndrome of the trochanteric region and the presence of the implant (the GT fixation clamp after its fixation) was noted. This pain syndrome is considered as an indication for the removal of the surgical hardware by most researchers [20–22]. However, the etiology of the development of pain syndrome in the GT area is unclear. B. Genth et al., in their anatomical study, did not find any reliable links between the branches of the sacral plexus, namely the sciatic, superior, and inferior gluteal nerves, and the GT [23]. However, this does not exclude the influence of impingement arising between the structure and the tendons of the trochanter region, as indicated by the efficacy of the removal of the surgerical hardware [9, 19, 20].
Development of greater trochanter osteotomy techniques
Special conditions arising from the congenital hip dislocations and increased reliability on GT fixation include shortening the limb and displacing the center of rotation of the hip joint. In the soft tissues of patients with congenital hip dislocation, an increase in the fat pad, lengthening of the capsular ligamentous apparatus, and asymmetry of the muscles are observed. In addition, because of insufficient load caused by biomechanical disorders and prolonged pain syndrome, patients with congenital dislocations of the hip commonly experience osteoporosis of various degrees of severity. All this, together with morphological changes in the hip joint and soft tissues surrounding it, creates unfavorable conditions for surgical treatment in severe cases of dysplastic coxarthrosis [24, 25]. Altered anatomy creates obstacles in performing accurate surgery for even experienced surgeons [26]. For example, J. Charnley, the founder of endoprosthesis replacement, who advocated conservative treatment for patients with high dislocation in PFF, has considered such a surgery “too dangerous for this kind of surgical intervention” (1973) [27].
To achieve favorable results in the treatment of dysplastic coxarthrosis, various OT variants have been developed [28]. These techniques enable the prevention of damage to the nerves and partially restore the length of the limb [29], thereby improving the quality of life of the patients [30].
In the specialized literature, various versions of OT and transtrochanteric osteotomy are reported, which are used to correct PFF deformities in children [31]. In turn, isolated pelvic osteotomy did not exclude high probability of recurrent dislocation in the postoperative period [32]. Considering the importance of the level of OT implementation, pre-operative planning with the use of 3D technologies is actively developed [33]. Blount’s structure is the most popular device designed to fix a PFF fragment during corrective OT; however, it has several disadvantages. In the case of using plates with angular stability for fixing a PFF fragment, Blount’s structure lacks variability in the fragment medialization and the initially specified value of the caput-collum-diaphyseal
angle [34].
The primary disadvantage of PFF fixation with angle-stable plates in children is the prolonged immobilization in the postoperative period, with an average of 1.5–2 months. As a result of prolonged immobilization of the hip joint, dystrophic processes may aggravate in the bone and surrounding soft tissues [35].
In addition to the standard OT for correcting deformity of the GT fractures in adults, the trochanter slide osteotomy approach for hip joint arthroplasty has gained popularity. In 1987, A.H. Glassman et al. [36] reported for the first time the results of the application of trochanteric slide osteotomy in 89 cases. The trochanteric slide osteotomy can be employed for both primary and revision hip joint arthroplasty. The majority of authors have indicated that trochanteric slide osteotomy is advantageous, where resection of the GT fragment with preservation of the attachment point of the external head of the quadriceps muscle of thigh can be achieved. In turn, this allows a more stable fixation of the GT fragment owing to its opposition to the gluteus muscles on the GT fragment with the external head of the quadriceps muscle of the thigh. Moreover, blood supply to GT can be preserved [37].
Special attention should be given to extended trochanteric osteotomy (ETO), which is most commonly employed for cases of revision hip joint arthroplasty [38]. The ETO requires the use of special tools to fix a GT fragment. According to T. Paavilainen, OT with GT transposition appears to be technically and functionally effective because it allows to change the rotation center and limb length as well as to normalize the degree of muscle tension in the trochanteric area with an average 2–5-cm increase in the limb length [39]. It should be noted that there were no problems associated with the fixation of the dissected trochanter using two screws. After performing the OTs with fixation using two compressing screws, consolidation of the GT fragment with the metaphysis of the femur was achieved in 100% of the cases [40].
Impressive results of the surgical treatment of dysplastic coxarthrosis using osteotomy technique were achieved; however, there is no gold standard treatment for fixing a GT fragment, which indicates the need for developing new methods and devices for GT osteosynthesis.
Evolution of methods of fixing the greater trochanter
In the early 1960s, J. Charnley studied the efficacy of the GT fixation by comparing the use of different cable sutures during hip joint arthroplasty and eventually suggested the most advanced method [41].
Sir Charnley presented long-term results of 225 cases of hip joint arthroplasty using four methods of GT fixation, namely, one cable, two perpendicular cables, and a cable-grip system in two different positions [19]. The single-fiber cable method improved the function of hip joint in all the cases; however, a lack of consolidation was observed in 7% of the cases (16 out of 225). According to the author, the most effective method was the GT fixation using two cables as per the method proposed by him.
The cable suture method is used in several leading clinics worldwide; an extremely high failure rate was observed when single-fiber cable was used for fixing a GT fragment [42]. The worst results were reported by M.A. Ritter et al. in 1981, in which in 33.5% of the 227 cases presented, for a period of ≥3 years, the absence of fusion with a secondary displacement of a GT fragment was recorded [43].
In 1983, Dall and A.W. Miles presented the solution for instability of the GT fragment fixation during hip joint arthroplasty. They developed the original multifilament twisted yarn of steel cables and used it in combination with an H-shaped onlay-plate (cable-grip system) for fixing a GT fragment (Fig. 3a) [44]. They obtained promising results; out of 321 clinical cases, the loss of fixation and destruction of the structure occurred in only 1.5% and 3.1% of cases, respectively.
Fig. 3. Fixation clamps for osteosynthesis of the greater trochanter: a — Dall-Miles cable grip system (1983); b — the technique proposed by Timo Paavilainen et al. (1993); c — the technique for fixing the greater trochanter with a cable cerclage in combination with a claw-shaped plate, proposed by Moussa Hamadouche et al. (2003)
In turn, M.A. Ritter et al. (1991), by employing the methodology proposed by D.M. Dall and A.W. Miles, experienced a fracture of the hardware in 32.5% and a lack of adhesion in 37.5% of 40 cases [42]. The authors explained that the high incidence of adverse outcomes occurred because of contact between the steel cable and titanium femoral component of endoprosthesis, which resulted in a galvanic effect that led to subsequent damage to the fixing structure.
In 1993, the original technique proposed by T. Paavilainen et al., provided 100% fixation with two compression screws (Fig. 3b) [45]. However, other studies using same technique showed limited success [1].
The search for a solution to this problem prompted researchers to more complex technical findings. Thus, in 2001, R.H. Emerson et al. [46] presented the results of osteosynthesis of a GT fragment using an onlay fixed by a spur to the femoral component of the endoprosthesis. In 111 clinical examples using the original design, 94% cases showed favorable outcomes; however, in 13 cases (11.7%), the instability of the structure was recorded, which did not affect the quality of adhesion, according to the authors.
Nonetheless, this method showed less successful results in other studies. Thus, M. Chilvers et al. (2002) [47] improvised and applied an onlay on the GT area with a spur fixation to the femoral component of the endoprosthesis. Consequently, an extremely low rate of favorable outcomes was noted in 38% of the cases. There was a lack of fusion in the GT area in 9 cases out of 29 (31%) and significant displacement of the GT fragment in 7 cases (24%).
A team of authors from France [9] proposed a qualitatively new design for the treatment of pseudoarthrosis after GT osteosynthesis. The device is constituted of a plate, in which its proximal end has three claws for surface grip by the apex of the trochanter, while the insertion of claws into the bone is not intended. The body of the plate is fixed to the hip with two screws bypassing the leg of the endoprosthesis, similar to the periprosthetic plates, and the fixation is strengthened with the use of two vertically arranged cerclage cables (Fig. 3c). Following the treatment with proposed element, the authors managed to achieve GT adhesion in 21 out of 24 patients; the results were better than those of isolated use of cerclage cables. The original method of assessing the quality of bone contact between the GT fragment and the bone bed of the proximal femur should be noted. Furthermore, the authors suggested that a “good” result refers to an absence of a gap between fragments, a “normal” (satisfactory) result is the diastasis of <3 mm, and a “poor” (unsatisfactory) result is the presence of diastasis between fragments of ≥3 mm [9].
In the course of revision arthroplasty with ETO and bone alloplasty, the frequency of unsuccessful outcomes of repeated GT osteosynthesis of this structure accounted to 55% (in 11 cases out of 20) [48]. Thus, the presence of claws in the plate for GT fixation, two screws, and cerclages around the leg of the endoprosthesis, while being constructively attractive, turned out to be insufficient in solving the problem. However, this does not exclude the presence of technical errors at the stage of mastering (only 20 cases) of the new technique.
The attractiveness of the ideas and the promising nature of the proposed structural elements in this onlay led to an improvement of the devices and the search for an optimal technology for their application.
Thus, the use of the third-generation cable-grip system and extramedullary fixation with the cerclage cable (Fig. 4a) resulted in a highly functional hip joint with an increase in the Harris score, an average 47 initial points to 92 points obtained in the late postoperative period. Only 3 out of 31 patients had no adhesion in the GT area [20]. According to the study using the system Accord Cable Plate [49], all 47 patients with an average follow-up period of 57 months had no violations of fixation stability. The device and its associated technology have demonstrated sufficiently high functional results on the hip joint as a whole, and only in two cases, nonunion of GT was recorded. However, it is necessary to emphasize the complexity of the surgical technique, which includes determining the accuracy of the location of the cables and the need to use special devices for their tension, the absence of which during the use of onlays in combination with the cerclage cable could lead to the loss of fixation stability [10].
Fig. 4. Modern fixation clamps for osteosynthesis of the greater trochanter: a — plate-onlay of the last generation (2009); b — Trofix Zimmer plate (2012); c — T. Paavilainen figured fork-shaped plate for greater trochanter after osteotomy (2014)
Modern methods of fixing a greater trochanter fragment
The development of the technique of GT fixation using the extramedullary elements resulted in a relatively high frequency of favorable outcomes. The fixation clamps began to use effective grips for the trochanter (claws), and it became obvious that the body of the plate should be attached to the femur with screws bypassing the endoprosthesis leg. However, with the advent of angle-stable structures, it was possible to used them when creating optimal fixation clamps for GT.
Currently, there are various highly-competent methods, techniques, and devices for GT fixation. Alternatively, modified methods based on the ideas of D.M. Dall and A.W. Miles [44], which comprise an improvement in extramedullary fixation on the basis of onlays, are available. Moreover, there are methods based on attempts to employ structural elements of the periprosthetic plates and elements of angular stability for the GT fixation.
The primary disadvantage of the onlays with their cable fixation in various planes is that there is a tendency of rapid loss of cable tension. It is tightened using a special tensioning device with considerable effort, which leads to significant pressure in a limited area of cable contact with the bone that could quickly cause atrophy and lysis of the bone tissue along the contact line. On radiological images and during revision surgeries, this is noted as bone cutting with aseptic loosening of the fixation clamps, resulting in a loss of fixation. Henceforth, the displacement of trochanter with the construction occurs under the influence of powerful traction of the gluteal muscles.
The first report on the use of angle-stable plates for GT osteosynthesis appeared in 2009. A condylar tibial plate was used for GT fixation, with 9.1% of the 32 patients developing complication [50]. For the purpose of osteosynthesis, a condylar tibial plate and Zimmer NCB periprosthetic plate were used instead of specifically developed devices [51].
Till date, the development of ideas and methods for fixing periprosthetic fractures of the femur, which are sometimes considered as a late complication of the total hip joint arthroplasty, has played a significant role in solving this problem. In turn, M. Ehlinger et al. [52] reported excellent results of using the anatomical distal femoral plate of the Less Invasive Stabilization System (LISS™) for fixing GT fragment in 7 clinical cases. To direct the end of a plate with numerous angle-stable openings to the GT, an anatomical distal femoral periprosthetic plate for the right femur is used as a trochanter fixation clamp on the left femur and vice versa.
The original technique was described by Canadian orthopedists G.Y. Laflamme et al. [53], who used two angle-stable plates for GT fixation in nonunions. Following the treatment, highly functional results in the hip joint and complete consolidation were observed in 87% of the treated patients (13 patients out of 15). Analysis of the causes of unsuccessful outcomes revealed that bone alloplasty was performed in the nonunion area, in which the allograft acted as a bone interponent and disrupted the callus formation. Moreover, the authors noted that in 20% of the cases, the allograft was removed in the late postoperative period owing to the pronounced pain syndrome in the GT area. Apparently, the use of two fixation clamps which are not adapted to the trochanter area led to serious obstruction to the movement of the trochanter tendons. The impingement was surgically excised after consolidation. Furthermore, this case confirms the idea of impingement of trochanteric tendons, the prevention of which should be included in a special structure for GT.
Publications devoted to experimental studies of new fixation clamps [54, 55], both with the possibility of locking screws (Fig. 4b) and in combination with extramedullary cable fixation with no results from clinical use, are of an advertising nature and indicate that further research and development of new systems for osteosynthesis of GT is currently being conducted.
One of the novel solutions to fixing the GT is to combine the periprosthetic holes with the trochanter fork inserted into the GT fragments. The angular stability is the design developed by Vreden Russian Research Institute of Traumatology and Orthopedics, which is a figure plate for a GT after osteotomy by T. Paavilainen (Fig. 4c). The periprosthetic openings of the metadiaphyseal part of the plate are focused on the intracortical insertion of six screws bypassing the endoprosthesis leg. For fixing the trochanter, a specially modeled fork with a row of four angle-stable holes at its base is used to insert the locking screws. Both the fork and the angle-stable screws are directly inserted into the bone tissue of the trochanter. Between 2014 and 2018, in the institute, the presented device was used in more than 150 patients with GT osteotomy according to the method proposed by T. Paavilainen for primary total hip joint arthroplasty, as well as in more than 30 patients with GT pseudoarthrosis owing to instability of the primary fixation by other structures. For 4 years, this device has been used in several large federal orthopedic centers [56], which enables to achieve fusion in the most difficult cases, as well as to reduce the percentage of nonunion to 10% after repeated osteosynthesis of the GT.
The disadvantages of this design include the low congruence of the plate, the impossibility of additional modeling of the structure during the surgery, and difficulties in fixing small apical fragments and multifragmentary fracture of the trochanter.
Conclusion
The surgical technique of fixing a GT fragment of the femur has evolved over the past 50 years, and during this time, numerous techniques and devices have shown encouraging yet debatable results. The debatable results may be owing to a short period of mastering, which is always accompanied with an increased number of failures and complications. It may take years to accumulate clinical experience in treating such rare pathology with the available methods. With the introduction of new designs and techniques, the problems associated with the older ones can be solved.
An analysis of the published articles showed that the structures that meet the specific requirements of the surgical fixation of the GT gradually take the lead.
Studies have shown that the best adhesion of the implant device to the GT of femur is obtained by combining a fork of 2–4 claws and angle-stable screws, and the latter should not only pierce the trochanter itself, but also insert into the femur of the host bone surface, for fusion with the trochanter.
Among the options for fixing the trochanter-retaining plate itself to the thigh, periprosthetic embodiment of the plate body was the best. With lateral removal of screw holes and deflected channels providing intracortical insertion of screws to bypass the endoprosthesis leg, the transverse size may reach 20 mm or more in some cases.
It has been experienced that the use of cables in the trochanter area as the primary means of fixation is ineffective and short-term as the cables can quickly cut through the bone owing to atrophy from great pressure along the line of contact. Therefore, it is advisable to use this method only when necessary and as a supplement to the angle-stable construction.
A major challenge is the inter-individual variability of the GT in this pathology, where there are size differences, gross dysplastic changes, and iatrogenic deformities remaining after corrective peritrochanteric osteotomies. The latter were prevalent at the end of the last century and a vast number of patients requiring endoprosthesis replacement with abscission and re-fixation of the GT. This problem should be solved by a sufficiently high modelability of the structure, i.e., it should be made of plastic material, and the structure should be firm enough to not break while bending in the operating room.
In addition, the proximal fixation unit of the plate should have a shape that creates minimal interference for the movement of the tendon apparatus of the trochanteric region and prevents tendon and implant impingement. This can be partly resolved by detailed study of the surface of the trochanter area of the implant, which should not have any sharp edges, and partly by optimizing the elements to be inserted into the trochanter, in which contact with the tendons should be minimized.
Currently, there is a need for objective research in the field of mechanics of fixing the trochanter stability using various modern structures on testing machines in comparison with the classical method proposed by T. Paavilainen. The latter can be considered as a reference model with acceptable reliability. It should be noted that only the devices that showed a considerably better result than that of T. Paavilainen can be admitted to subsequent clinical trials.
With a rigorous assessment, the best of modern designs in terms of the listed functional requests for GT remain far from ideal. The use of the angle-stable plates for fixation of a GT fragment seems promising. However, the search for the optimal technical solution to this problem continues.
Additional information
Source of funding. The work was conducted at the Vreden Russian Research Institute of Traumatology and Orthopedics.
Conflict of interest. The authors declare no conflicts of interest related to the publication of this article. The study was performed within the framework of the qualifying paper, approved by the Vreden Russian Research Institute of Traumatology and Orthopedics.
Contribution of the authors
I.A. Voronkevich was engaged in collecting materials, writing, and editing manuscript.
D.G. Parfeev edited the manuscript.
A.I. Avdeev collected material and wrote the manuscript.
About the authors
Igor A. Voronkevich
Vreden Russian Research Institute of Traumatology and Orthopedics
Email: dr_voronkevich@inbox.ru
ORCID iD: 0000-0001-8471-8797
MD, PhD, Head of the Research Department of injuries and their consequences treatment
Russian Federation, 8, Akademika Baykova street, St.-Petersburg, 195427Dmitrii G. Parfeev
Vreden Russian Research Institute of Traumatology and Orthopedics
Email: parfeevd@yandex.ru
ORCID iD: 0000-0001-8199-7161
MD, PhD, Head of Department
Russian Federation, 8, Akademika Baykova street, St.-Petersburg, 195427Alexandr I. Avdeev
Vreden Russian Research Institute of Traumatology and Orthopedics
Author for correspondence.
Email: spaceship1961@gmail.com
ORCID iD: 0000-0002-1557-1899
MD, PhD Student
Russian Federation, 8, Akademika Baykova street, St.-Petersburg, 195427References
- Тихилов Р.М., Мазуренко А.В., Шубняков И.И., и др. Результаты эндопротезирования тазобедренного сустава с укорачивающей остеотомией по методике T. Paavilainen при полном вывихе бедра // Травматология и ортопедия России. – 2014. – № 1. – С. 5–15. [Tikhilov RM, Mazurenko AV, Shubnyakov II, et al. Results of hip arthroplasty using Paavilainen technique in patients with congenitally dislocated hip. Travmatologiia i ortopediia Rossii. 2014;(1):5-15. (In Russ.)]
- Lee KH, Kim HM, Kim YS, et al. Isolated fractures of the greater trochanter with occult intertrochanteric extension. Arch Orthop Trauma Surg. 2010;130(10):1275-1280. doi: 10.1007/s00402-010-1120-5.
- Kim SJ, Ahn J, Kim HK, Kim JH. Is magnetic resonance imaging necessary in isolated greater trochanter fracture? A systemic review and pooled analysis. BMC Musculoskelet Disord. 2015;16:395. doi: 10.1186/s12891-015-0857-y.
- Ayoob A, Lee J, Nickels D. Core curriculum illustration: isolated fracture of the greater trochanter. Emerg Radiol. 2015;22(2):197-198. doi: 10.1007/s10140-015-1301-1.
- Armstrong GE. Isolated Fracture of the Great Tro-Chanter. Ann Surg. 1907;46(2):292-297. doi: 10.1097/00000658-190708000-00015.
- Papachristou G, Hatzigrigoris P, Panousis K, et al. Total hip arthroplasty for developmental hip dysplasia. Int Orthop. 2006;30(1):21-25. doi: 10.1007/s00264-005-0027-1.
- Younger TI, Bradford MS, Magnus RE, Paprosky WG. Extended proximal femoral osteotomy. J Arthroplasty. 1995;10(3):329-338. doi: 10.1016/s0883-5403(05)80182-2.
- Lindgren U, Svenson O. A new transtrochanteric approach to the hip. Int Orthop. 1988;12(1). doi: 10.1007/bf00265739.
- Hamadouche M, Zniber B, Dumaine V, et al. Reattachment of the ununited greater trochanter following total hip arthroplasty. The use of a trochanteric claw plate. J Bone Jt. Surg Am. 2003;85A(7):1330-1337.
- Klinge SA, Vopat BG, Daniels AH, et al. Early catastrophic failure of trochanteric fixation with the Dall-Miles Cable Grip System. J Arthroplasty. 2014;29(6):1289-1291. doi: 10.1016/j.arth.2014.01.001.
- Bal BS, Kazmier P, Burd T, Aleto T. Anterior trochanteric slide osteotomy for primary total hip arthroplasty. Review of nonunion and complications. J Arthroplasty. 2006;21(1):59-63. doi: 10.1016/j.arth.2005.04.020.
- Анисимова Е.А., Юсупов К.С., Анисимов Д.И. Морфология костных структур тазобедренного сустава в норме и при диспластическом коксартрозе (Обзор) // Саратовский научно-медицинский журнал. – 2014. – Т. 10. – № 3. – С. 373–377. [Anisiomova EA, Yusupov KS, Anisimov DI. Morphology of bone structures of hip joint in normal state and in dysplastic coxarthrosis (review). Saratov journal of medical scientific research. 2014;10(3):373-377. (In Russ.)]
- Tamaki T, Nimura A, Oinuma K, et al. An anatomic study of the impressions on the greater trochanter: bony geometry indicates the alignment of the short external rotator muscles. J Arthroplasty. 2014;29(12):2473-2477. doi: 10.1016/j.arth.2013.11.008.
- Ito Y, Matsushita I, Watanabe H, Kimura T. Anatomic mapping of short external rotators shows the limit of their preservation during total hip arthroplasty. Clin Orthop Relat Res. 2012;470(6):1690-1695. doi: 10.1007/s11999-012-2266-y.
- Philippon MJ, Michalski MP, Campbell KJ, et al. Surgically Relevant Bony and Soft Tissue Anatomy of the Proximal Femur. Orthop J Sports Med. 2014;2(6):2325967114535188. doi: 10.1177/2325967114535188.
- Gautier E, Ganz K, Krügel N, et al. Anatomy of the medial femoral circumflex artery and its surgical implications. J Bone Joint Surg Br. 2000;82-B(5):679-683. doi: 10.1302/0301-620x.82b5.0820679.
- Williams BS, Cohen SP. Greater trochanteric pain syndrome: a review of anatomy, diagnosis and treatment. Anesth Analg. 2009;108(5):1662-1670. doi: 10.1213/ane.0b013e31819d6562.
- Segal NA, Felson DT, Torner JC, et al. Greater trochanteric pain syndrome: epidemiology and associated factors. Arch Phys Med Rehabil. 2007;88(8):988-992. doi: 10.1016/j.apmr.2007.04.014.
- Charnley J, Ferreiraade S. Transplantation of the Greater Trochanter in Arthroplasty of the Hip. J Bone Joint Surg Br. 1964;46:191-197.
- Zarin JS, Zurakowski D, Burke DW. Claw plate fixation of the greater trochanter in revision total hip arthroplasty. J Arthroplasty. 2009;24(2):272-280. doi: 10.1016/j.arth.2007.09.016.
- Воронкевич И.А., Парфеев Д.Г., Конев В.А., Авдеев А.И. К вопросу о необходимости удаления имплантатов, по мнению отечественных хирургов травматологов-ортопедов // Современные проблемы науки и образования. – 2017. – № 6. [Voronkevich IA, Parfeev DG, Konev VA, Avdeev AI. Problem of the implants removal in russian orthopedic surgeons opinion. Modern problems of science and education. 2017;(6). (In Russ.)]
- Takahira N, Itoman M, Uchiyama K, et al. Reattachment of the greater trochanter in total hip arthroplasty: the pin-sleeve system compared with the Dall-Miles cable grip system. Int Orthop. 2010;34(6):793-797. doi: 10.1007/s00264-010-0989-5.
- Genth B, Von During M, Von Engelhardt LV, et al. Analysis of the sensory innervations of the greater trochanter for improving the treatment of greater trochanteric pain syndrome. Clin Anat. 2012;25(8):1080-1086. doi: 10.1002/ca.22035.
- Ахтямов И.Ф., Соколовский О.А. Хирургическое лечение дисплазии тазобедренного сустава. – Казань: Центр оперативной печати, 2008. [Akhtyamov IF, Sokolovskiy. Khirurgicheskoe lechenie displazii tazobedrennogo sustava. Kazan`: Tsentr operativnoy pechati; 2008. (In Russ.)]
- Баиндурашвили А.Г., Краснов А.И., Дейнеко А.Н. Хирургическое лечение детей с дисплазией тазобедренного сустава. – СПб.: СпецЛит, 2011. [Baindurashvili AG, Krasnov AI, Deyneko AN. Khirurgicheskoe lechenie detey s displaziey tazobedrennogo sustava. Saint Petersburg: SpetsLit; 2011. (In Russ.)]
- Tozun IR, Beksac B, Sener N. Total hip arthroplasty in the treatment of developmental dysplasia of the hip. Acta Orthop Traumatol Turc. 2007;41 Suppl 1:80-86.
- Charnley J, Feagin JA. Low-friction arthroplasty in congenital subluxation of the hip. Clin Orthop Relat Res. 1973(91):98-113.
- McGrory BJ, Bal BS, Harris WH. Trochanteric Osteotomy for Total Hip Arthroplasty: Six Variations and Indications for Their Use. J Am Acad Orthop Surg. 1996;4(5):258-267.
- Krych AJ, Howard JL, Trousdale RT, et al. Total hip arthroplasty with shortening subtrochanteric osteotomy in Crowe type IV developmental dysplasia: surgical technique. J Bone Joint Surg Am. 2010;92 Suppl 1 Pt 2:176-187. doi: 10.2106/JBJS.J.00061.
- Черкасов М.А., Билык С.С., Коваленко А.Н., Трофимов А.А. Сравнительная оценка обоснованности использования русских версий шкал Харриса (HHS) и Оксфорд (OHS) для тазобедренного сустава // Избранные вопросы хирургии тазобедренного сустава. – СПб.: РНИИТО им. Р.Р. Вредена, 2016. – С. 148–152. [Cherkasov MA, Bilyk SS, Kovalenko AN, Trofimov AA. Sravnitel’naya otsenka obosnovannosti ispol’zovaniya russkikh versiy shkal KHarrisa (HHS) i Oksford (OHS) dlya tazobedrennogo sustava. In.: Izbrannye voprosy khirurgii tazobedrennogo sustava. Saint Petersburg: RNIITO R.R. Vredena; 2016. p. 148-152. (In Russ.)]
- Мадан С.С., Чилбул С.К. Краткий обзор методик сохранения тазобедренного сустава // Ортопедия, травматология и восстановительная хирургия детского возраста. – 2017. – Т. 5. – № 4. – С. 74–79. [Madan SS, Chilbule SK. Brief concept of hip preservation. Pediatric traumatology, orthopaedics and reconstructive surgery. 2017;5(4):74-79. (In Russ.)]. doi: 10.17816/PTORS5474-79.
- Баиндурашвили А.Г., Волошин С.Ю., Краснов А.И. Врожденный вывих бедра у детей грудного возраста: клиника, диагностика, консервативное лечение. – СПб.: СпецЛит, 2012. [Baindurashvili AG, Voloshin SU, Krasnov AI. Vrozdenyi vyvih bedra u detei grudnogo vozrasta: klinika, diagnostika, konservativnoe lechenie. Saint Petersburg; 2012. (In Russ.)]
- Басков В.Е., Баиндурашвили А.Г., Филиппова А.В., и др. Планирование корригирующей остеотомии бедренной кости с использованием 3D-моделирования. Часть II // Ортопедия, травматология и восстановительная хирургия детского возраста. – 2017. – Т. 5. – № 3. – С. 74–79. [Baskov VE, Baindurashvili AG, Filippova AV, et al. Planning corrective osteotomy of the femoral bone using three-dimensional modeling. Part II. Pediatric traumatology, orthopaedics and reconstructive surgery. 2017;5(3):74-79. (In Russ.)]. doi: 10.17816/PTORS5374-79.
- Дохов M.M., Барабаш А.П., Куркин С.А., Норкин И.А. Результаты хирургического лечения деформаций проксимального отдела бедренной кости при дисплазии тазобедренных суставов у детей // Фундаментальные исследования. – 2015. – № 1. – С. 1810–1814. [Dokhov MM, Barabash AP, Kurkin SA, Norkin IA. Results of surgical treatment of deformities of the proximal femur in children with developmental hip dysplasia. Fundamental research. 2015;(1):1810-1814. (In Russ.)]
- Daniel M, Iglič A, Kralj-Iglič V. Hip Contact Stress during Normal and Staircase Walking: The Influence of Acetabular Anteversion Angle and Lateral Coverage of the Acetabulum. J Appl Biomech. 2008;24(1):88-93. doi: 10.1123/jab.24.1.88.
- Glassman AH, Engh CA, Bobyn JD. A technique of extensile exposure for total hip arthroplasty. The Journal of Arthroplasty. 1987;2(1):11-21. doi: 10.1016/s0883-5403(87)80026-8.
- Glassman AH. Complications of trochanteric osteotomy. Orthop Clin North Am. 1992;23(2):321-333.
- Peters PC, Jr., Head WC, Emerson RH, Jr. An extended trochanteric osteotomy for revision total hip replacement. J Bone Joint Surg Br. 1993;75(1):158-159.
- Paavilainen T. Total hip replacement for developmental dysplasia of the hip: How I do it. Acta Orthop Scand. 2009;68(1):77-84. doi: 10.3109/17453679709003983.
- Paavilainen T, Hoikka V, Solonen KA. Cementless total replacement for severely dysplastic or dislocated hips. J Bone Joint Surg. Br. 1990;72-B(2):205-211. doi: 10.1302/0301-620x.72b2.2312556.
- Charnley J. Arthroplasty of the hip. A new operation. Lancet. 1961;1(7187):1129-1132. 1961;277(7187):1129-1132. doi: 10.1016/s0140-6736(61)92063-3.
- Ritter MA, Eizember LE, Keating EM, Faris PM. Trochanteric fixation by cable grip in hip replacement. J Bone Joint Surg. Br. 1991;73-B(4):580-581. doi: 10.1302/0301-620x.73b4.2071639.
- Ritter MA, Gioe TJ, Stringer EA. Functional significance of nonunion of the greater trochanter. Clin Orthop Relat Res. 1981(159):177-182.
- Dall DM, Miles AW. Re-attachment of the greater trochanter. The use of the trochanter cable-grip system. J Bone Joint Surg. Br. 1983;65-B(1):55-59. doi: 10.1302/0301-620x.65b1.6337168.
- Paavilainen T, Hoikka V, Paavolainen P. Cementless total hip arthroplasty for congenitally dislocated or dysplastic hips. Technique for replacement with a straight femoral component. Clin Orthop Relat Res. 1993(297):71-81.
- Emerson RH, Head WC, Higgins LL. A new method of trochanteric fixation after osteotomy in revision total hip arthroplasty with a calcar replacement femoral component. J Arthroplasty. 2001;16(8):76-80. doi: 10.1054/arth.2001.28717.
- Chilvers M, Vejvoda H, Trammell R, Allan DG. Trochanteric fixation in total hip arthroplasty using the S-ROM bolt and washer. J Arthroplasty. 2002;17(6):740-746. doi: 10.1054/arth.2002.32179.
- Vastel L, Lemoine CT, Kerboull M, Courpied JP. Structural allograft and cemented long-stem prosthesis for complex revision hip arthroplasty: use of a trochanteric claw plate improves final hip function. Int Orthop. 2007;31(6):851-857. doi: 10.1007/s00264-006-0275-8.
- Patel S, Soler JA, El-Husseiny M, et al. Trochanteric fixation using a third-generation cable device — minimum follow-up of 3 years. J Arthroplasty. 2012;27(3):477-481. doi: 10.1016/j.arth.2011.06.032.
- McGrory BJ, Lucas R. The use of locking plates for greater trochanteric fixation. Orthopedics. 2009;32(12):917. doi: 10.3928/01477447-20091020-27.
- Tetreault AK, McGrory BJ. Use of locking plates for fixation of the greater trochanter in patients with hip replacement. Arthroplast Today. 2016;2(4):187-192. doi: 10.1016/j.artd.2016.09.006.
- Ehlinger M, Brinkert D, Besse J, et al. Reversed anatomic distal femur locking plate for periprosthetic hip fracture fixation. Orthop Traumatol Surg Res. 2011;97(5):560-564. doi: 10.1016/j.otsr.2010.12.007.
- Laflamme GY, Leduc S, Petit Y. Reattachment of complex femoral greater trochanteric nonunions with dual locking plates. J Arthroplasty. 2012;27(4):638-642. doi: 10.1016/j.arth.2011.08.004.
- Baril Y, Bourgeois Y, Brailovski V, et al. Improving greater trochanteric reattachment with a novel cable plate system. Med Eng Phys. 2013;35(3):383-391. doi: 10.1016/j.medengphy.2012.06.003.
- Lenz M, Stoffel K, Kielstein H, et al. Plate fixation in periprosthetic femur fractures Vancouver type B1-Trochanteric hook plate or subtrochanterical bicortical locking? Injury. 2016;47(12):2800-2804. doi: 10.1016/j.injury.2016.09.037.
- Воронкевич И.А., Авдеев А.И. Клиническая апробация фигурной пластины для остеосинтеза большого вертела бедренной кости // Новые горизонты травматологии и ортопедии. – СПб.: РНИИТО им. Р.Р. Вредена, 2017. – С. 51–57. [Voronkevich IA, Avdeev AI. Klinicheskaya aprobatsiya figurnoy plastiny dlya osteosinteza bol’shogo vertela bedrennoy kosti. In: Novye gorizonty travmatologii i ortopedii. Saint Petersburg: RNIITO im. R.R. Vredena; 2017. p. 51-57. (In Russ.)]
Supplementary files








