Reliability of the novel MRI-based OCD lesion healing assessment tool for adolescent OCD of the knee
- Authors: Semenov A.V.1, Zubtsov M.S.1, Lipkin Y.G.1, Dibrivnyy G.S.2, Isaev I.N.2, Koroteev V.V.2, Tarasov N.I.2, Lozovaya Y.I.1,2, Vybornov D.Y.1,2
-
Affiliations:
- Pirogov Russian National Research Medical University
- Filatov Municipal Children Hospital
- Issue: Vol 10, No 1 (2022)
- Pages: 57-70
- Section: New technologies in trauma and orthopedic surgery
- Submitted: 17.01.2022
- Accepted: 17.02.2022
- Published: 24.03.2022
- URL: https://journals.eco-vector.com/turner/article/view/96597
- DOI: https://doi.org/10.17816/PTORS96597
- ID: 96597
Cite item
Abstract
BACKGROUND: One of the most debatable issues in osteochondritis dissecans (OCD) research is bone and cartilage healing assessment during OCD postoperative management. The x-ray scale developed by Wall and colleagues is a commonly used evaluation tool for OCD lesion assessment. This tool has excellent reliability but is associated with radiologic exposure. Also, it provides complete information about bone structure only, even though the articular cartilage is also involved in the pathological process. Lack of cartilage assessment combined with radiation exposure facilitated the development of the novel MRI-based OCD healing assessment tool. It could draw attention to bone and cartilage during healing assessment to improve decision-making in the postoperative period after OCD treatment.
AIM: This study assesses the reliability of a developed novel MRI-based OCD healing assessment tool.
MATERIALS AND METHODS: Ten patients with OCD of the femoral condyle were involved in the current study. A reliability test for the novel MRI-based assessment tool was performed with the expert group comprising six participants to assess 34 MRI studies of 10 patients. From all studies, one study was obligatory for each patient before the operative treatment, and a postoperative MRI study series was performed during the first postoperative year. Each MRI study was examined by each expert twice with a 4-week time lag. The novel MRI-based assessment tool consists of five criteria, of which the common criterion was “general healing,” incorporating all previously described ones. Each criterion was tested, and a two-way mixed-effects intraclass correlation coefficient (ICC) was used to assess intraobserver and interobserver reliability.
RESULTS: The main parameter “general healing” calculations were made first. Two patients achieved full OCD lesion healing with 100 scale points and two patients with 97.5 and 98.5 points, respectively. Other patients reached the cut-off value of 75 points and were defined as “healed with minimally detectable changes on MRI.” Second, a two-way mixed-effects ICC calculation was performed. The “bone marrow extension” parameter reached the value of 0.972, “the extent of the union” – 0.984, “bone structure” – 0.977, and “articular cartilage intensity and structure” – 0.977. The general healing parameter reached the value of 0.993. These values corresponded to the excellent marks according to the guidelines for ICC assessment. The novel MRI-based assessment tool showed excellent intraobserver and interobserver reliability.
CONCLUSIONS: The novel MRI-based assessment tool permits assessing bony and cartilage structures while making decisions about OCD lesion healing in the postoperative period. The novel OCD healing assessment tool has excellent intraobserver and interobserver reliability. Also, it is recommended for use in clinical and research practice since a study revealed a correlation of the MRI healing score with that of the clinical assessment tool.
Keywords
Full Text
BACKGROUND
Osteochondritis dissecans (OD) is limited necrosis of a subchondral bone area. Subsequently, an osteochondral fragment forms and further migrates into the knee joint cavity [1]. According to modern literature, there are 2.3 to 31.6 cases of OD per 100,000 patients [2]. Primary clinical manifestations of OD appear at the age of 13 to 18 years [2]. The pathogenesis and causes of the disease have not yet been determined [3]. The leading factors in OD pathogenesis are mechanical damage and biological and anatomical aspects of the structure of cartilage and bone [3]. Numerous classification systems have been developed for evaluating and diagnosing lesions in OD, based on radiographic data (Berndt and Harty classification), magnetic resonance imaging (MRI) (classifications by De Smet et al., Hefti et al., Dipaola et al., and Chen et al.), and arthroscopy (classifications by Guhl, Ewing-Voto) [4, 5], which were efficient in clinical trials.
The methods mainly used to treat OD are conservative and surgical. According to the literature, conservative treatment of OD was effective in only 33% of cases [6], while, in several studies, surgical treatment was 100% effective [3]. According to Eismann et al., conservative treatment of OD was successful in approximately 50%–67% of stable lesions. For unstable lesions and stable lesions not resolved with conservative treatment, various surgical interventions are used. Surgical interventions showed positive results of at least 62%, except for the cases of fragment removal [7]. Currently, one of the pressing problems when treating OD is assessing the restoration of anatomical structures in the femoral condyle (where the OD lesion was previously located) after the treatment. Ramski et al. proposed assessing the potential for a positive outcome according to the patient’s gender and age, location of the lesion, and radiological presentation [8]. However, according to a survey that included 489 patients, no statistically significant patterns were identified [8]. Eismann et al. evaluated the results of OD treatment by comprehensively assessing the X-ray presentation, diagnostic arthroscopy, and MRI findings. However in this study this technique cannot be effectively used due to a small patient sample (39) and the complexity of the interdisciplinary evaluation of treatment outcomes.
E.J. Wall et al.’s method to assess the healing of OD lesions is the most reliable. The study included characteristics of the OD lesion, such as the articular surface boundary, connection with the maternal bone, sclerosis of the maternal bone, ossification of the lesion zone, and general healing [5]. According to E.J. Wall et al., the key characteristics in evaluating the efficiency of treatment include the lesion localization, degree of maturity of the bone growth zone, condyle width, size of the lesion, presence of fragmentation, displacement, boundaries of the lesion, boundary of the affected bone, and radiological density of the affected fragment [5]. E.J. Wall et al.’s method has proved its reliability when using modern statistical methods. However, it has several significant drawbacks: it cannot be used to assess the state of the articular cartilage above OD lesion and compare the Degree of the Bone Substance Edema. Edema of the bone substance regularly occurs in the bone tissue of the femoral condyle outside the lesion zone and indirectly reflects the initial severity of the course of OD.
For a comprehensive assessment of OD lesion healing, the Department of Pediatric Surgery developed a scale based on MRI data.
This work aimed to determine the reliability of assessing the healing of OD lesions based on MRI studies.
MATERIALS AND METHODS
To determine the reliability of MRI studies in assessing the results of OD treatment, we used the intraclass correlation coefficient (ICC). To analyze any new diagnostic technique, you need to assess the reliability of its performance between different researchers (intraexpert assessment) and between the findings of the same researcher (interexpert assessment) within a certain time interval.
Before the start of the study, we decided on the members (expert group) who will evaluate the MRI studies of patients with OD. The expert group included one sixth-year student in a medical university, 3 second-year residents in pediatric surgery, a traumatologist-orthopedist, and a high-level certified radiologist. We included a student and residents to prove the reliability and reproducibility of the new technique when used by specialists with different levels of training, which is widely used in international studies.
To determine the number of analyzed MRI studies (a patient sample), a preliminary test was performed to assess the study’s strength. Within the basic power values, an alpha of 0.05 and the strength (1-beta) of 80% were set as classical parameters when calculating the required number of patients [4, 5].
The study included 10 pediatric patients with confirmed OD of the femoral condyle, who underwent surgical treatment at the Department of Traumatology and Orthopedics of the N.F. Filatov Children’s City Clinical Hospital. The parents were informed about the study design, and informed consent to participate in the study was obtained. The diagnostic protocol for OD included radiography, computed tomography, and MRI of the knee joint.
In the postoperative period, all pediatric patients were prescribed the following: a course of conservative treatment with drugs that enhance reossification, calcium and vitamin D preparations, and a course of hyperbaric oxygenation. MRI was performed according to the following protocol. The first follow-up was performed 2 months after the surgery; if signs of significant improvement were noted on the control tomogram after 2 months, the next MRI was performed on the fourth month after the surgery for early mobilization in case the OD lesion resolved. If no changes were noticed, such as a decrease in the hypointense strip in the OD lesion and the bone substance edema, the next MRI was performed 6 mon after the surgery. The described approach was used to reduce the load on the MRI room and budgetary funds for its implementation. Further examination of patients included computed tomography on the sixth month after the surgery. In the late postoperative period, MRI was performed on the ninth and twelfth months after the surgery in patients with a continuing process, while it was performed on the twelfth month only in patients with previously healed lesions to control possible recurrence due to the early start of sports activity in this category of patients.
MRI of the knee joint was performed at the Department of Radiation Diagnostics of the N.F. Filatov Children’s City Clinical Hospital using the Toshiba Medical Systems “Excelart Vantage” 1.5T device. One radiologist, who was an expert in diagnosing the pathology of the musculoskeletal system, analyzed the MRI results. Due to various factors, including performing the MRI outside the N.F. Filatov Children’s City Clinical Hospital under other protocols and patients skipping the control MRI, 34 MRI studies of knee joints (10 children) at different stages of OD development were presented to the expert group for evaluation. Each patient had at least one preoperative MRI study and several postoperative MRI scans during the follow-up period from the second to the fourth month, the ninth month, and the twelfth month. All MRI studies were presented as static sections with the most clearly distinguishable and maximally large OD lesion. Each of the 34 MRI studies included sagittal and frontal views. The mode of the device operation during MRI examination included a slice thickness of 3.0 mm; resolution of 0.56 mm; matrix size (PE-matrix) of 320; field size (PE-FOV) of 18.0 cm; repetition time (TR) of 2800 ms; echo time (TE) of 18.0 ms; acquisition matrix of 384/288. The sizes of OD lesions in patients were assessed in PD-FS mode using the “estimation of the area inside the curve” tool in the RadiAnt DICOM Viewer 2021.2 software.
The clinical results of the treatment were analyzed using the Pedi-IKDC scale, which was specially developed to assess the knee joint functions in pediatric patients and validated for use in pediatric sports traumatology [9].
The lesions were classified according to the generally accepted international classification of the Research on Osteochondritis Dissecans of the Knee (ROCK) Study Group [5]. All pediatric patients, except for one, underwent arthroscopy of the knee joint with revascularizing osteoperforations and platelet-rich plasma (PRP) biostimulation inside the OD lesion. The patients had OD lesions of stable grades I–III according to the ROCK classification, with no damage to the articular cartilage. Transchondral osteoperforation of the OD lesion followed by intra-articular injection of PRP was performed using 1.6 mm wires with up to 5 mm between each wire entry point to a depth of at least 2 cm. Before the surgery, blood was collected from the patient and was double-centrifuged to obtain PRP. At the end of the surgery, after the aspiration of isotonic sodium chloride solution, the PRP was injected into the joint. One child with a full-thickness cartilage defect (ROCK VIB stage) underwent a fragment removal with osteoperforations and intra-articular PRP biostimulation.
The new MRI scoring scale was developed by the scientific group that determined the composition of the expert group but was not included in it, based on the E.J. Wall scale [5]. They adapted the scale by adding several modified evaluation criteria. The expert group was asked to evaluate all MR images based on four separate parameters and assign points from 0 to 100 for each at their discretion. The expert group evaluated MR images only after completing a two-stage training using clinical examples. A detailed description of each of the parameters of the developed scale is as follows.
- The Degree of the Bone Substance Edema. This parameter represents the area of intact bone tissue of the femoral condyle and is estimated approximately as the percentage of the area of bone tissue with perifocal edema of the bone substance, which is represented by the zone of bone tissue of the maternal part of the condyle above the lesion with increased signal intensity. The cumulative index for the sagittal and frontal views is obtained by calculating the arithmetic mean. For example, the expert tentatively determined that the amount of the bone substance edema above the lesion was 30% of the femoral condyle in the sagittal and 50% in the frontal views. On average, the condyle lesion was 40%. Thus, the intact zone of the condyle was equal to 100–40 = 60%. In this case, the expert was asked to evaluate this parameter at 60 points.
Figure 1 shows a knee joint MRI (sagittal proton density fat-saturated (PD-FS) image) of a child with an OD lesion. The continuous line indicates the segment of increased intensity in the bone’s maternal part, corresponding to the bone substance edema. The latter occupies approximately 25% of the condyle.
Fig. 1. Magnetic resonance imaging of the knee joint of a child with a focus of osteochondritis dissecans in PDFS mode in the sagittal projection. The continuous line marks the area of increased intensity in the maternal part of the bone, corresponding to the edema of the bone substance. The latter occupies approximately 25% of the condyle. The arrow indicates the hypointense band between the osteochondral fragment and the maternal bone. The latter occupies about 80% of the length of the entire lesion from front to back, with mosaic hyperintense areas corresponding to the bone tissue that still partially connects the fragment to the maternal bone.
- Degree of Consolidation. This parameter reflects the relationship between the maternal bone and the osteocartilaginous fragment. The maternal part is the bone tissue of the femoral condyle, which is excluded from the osteochondral fragment, but adjacent to the lesion. It is usually represented on X-ray as a rim of sclerosis. The degree of consolidation is measured according to the percentage that the length of the hypointense line between the maternal bone and the osteochondral fragment presents in relation to the total length of the lesion along the line of the maternal part of the bone. By calculating the arithmetic mean of the indicators in the sagittal and frontal views, the overall indicator of the degree of consolidation is obtained. For example, if the length of the hypointense line is 70% in the sagittal plane and 60% in the frontal plane in relation to the total length of the lesion along the maternal part of the bone, then the average value is 65%. This means that the fragment is separated by 65% from the maternal part of the bone, and 65% is occupied by a zone of impaired consolidation. Since a score of 100 points represents complete consolidation, in this case, we subtract 65 points from 100, and we get 35 points.
The arrow in Figure 1 indicates a hypointense band between the osteochondral fragment and the maternal bone, with the latter occupying approximately 80% of the length of the entire lesion anteroposteriorly. The hyperintense areas have a mosaic arrangement that corresponds to the bone tissue that still partially connects the fragment to the maternal bone.
- The structure of the Bone Substance. This parameter is evaluated using the degree of signal intensity coming from the bone part of the OD lesion and lesion fragmentation, which indirectly reflects the degree of structural changes in the bone tissue in the OD lesion. The basis was as follows: the degree of signal intensity on a black-and-white scale between the articular cartilage (0 points as the most intense signal indicated by the whitest color) and intact bone tissue visible on this MRI image (100 points as the least intense signal indicated by the blackest color). The degree of fragmentation is an additional sign that makes assessing the bone tissue in the lesion more reliable. In severe fragmentation or a bone defect, the indicator approaches 0 points, and in absence of either, the indicator approaches 100 points. For example, according to the signal degree, the bone tissue in the OD lesion corresponds to the signal of the intact articular cartilage of the condyle in both views, located at a distance from the lesion. There is one bone part in the lesion. In this case, the score is from 0 to 10 points. If, according to the degree of intensity, the bone tissue tincture in the lesion is between the articular cartilage and the intact bone tissue and there is no pronounced fragmentation of the bone part of the lesion, the score is 50 points. In case of fragmentation of the bone part of the lesion, points cannot exceed 20.
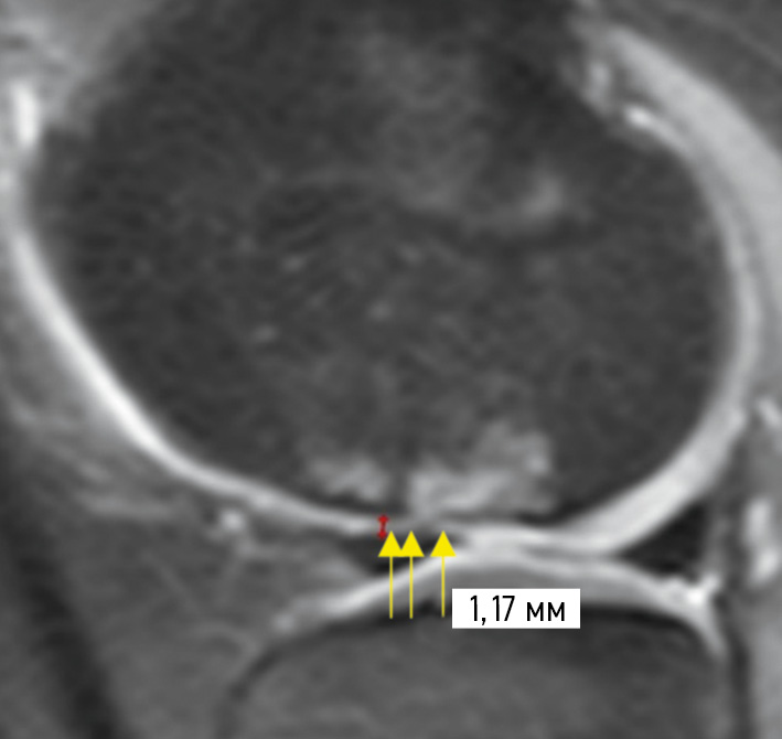
In Figure 2, the arrowheads indicate the bone zone in the osteochondral fragment in the OD lesion, which has a hyperintense coloration and is closer to the articular cartilage on a gray-black color scale. The score is 10 points.
Fig. 2. Magnetic resonance imaging of the knee joint (sagittal PD-FS image) of a child with an osteochondritis dissecans lesion. The arrowheads indicate the bone zone in the osteochondral fragment in the OD lesion. It has a hyperintense coloration and is closer to the articular cartilage on a gray-black color scale
- The articular cartilage was assessed using the International Cartilage Repair Society (ICRS) scale [10], which has four grades of cartilage damage according to the MRI. In the new method, the scale was converted into a scoring system for convenience, with grade I corresponding to 85 points; grade II, 65 points; grade III, 30 points; grade IV (no articular cartilage), 0 points (Fig 3).
Fig. 3. Classification of articular cartilage damage by the International Cartilage Repair Society (ICRS). The scale is replaced by a 100-point system for ease of use. Grade I corresponded to 85 points: solitary areas of hypointensity among the unchanged cartilage thickness. Grade II corresponded to 60 points: increased thickness/irregularity of the cartilage margins. Grade III corresponded to 30 points: thinning and irregular cartilage. Grade IV corresponded to 0 points: lack of cartilage in the area (the full-thickness defect)
In Figure 4, thinning and hypointensity of the signal from the articular cartilage in the OD lesion are observed. The MRI shows a grade III cartilage damage, according to ICRS. The score was 30 points.
Fig. 4. Magnetic resonance imaging of the knee joint (sagittal PD-FS image) of a child with an osteochondritis dissecans lesion. Thinning and hypointensity of the signal from the articular cartilage in the OD lesion are observed. The magnetic resonance picture shows a grade III cartilage damage, according to ICRS
- General healing of the lesion. Unlike the original study by E.J. Wall [5], this parameter was calculated as the arithmetic mean of the four parameters previously described.
As a separate indicator on MRI, the complete disappearance of the lesion was assessed. The disappearance of the lesion was characterized by the absence of changes in the subchondral bone shown as an increase in the signal or changes in its structure (intact articular cartilage throughout the femoral condyle).
Before the study, all doctors were instructed regarding using the proposed scale and the study design. The main theses and detailed instructions for evaluating the study were given as a Microsoft PowerPoint presentation. The instructions were performed twice within a three-day interval, and they included the solution of typical clinical tasks for assessing MRI images of OD lesions in pediatric patients. Four clinical cases with different types of OD lesions were presented. The experts were not involved in the selection, preparation, and treatment of patients whose MRI studies were used in this work. A radiologist, who was not a member of the expert group, selected the MR examination sections for the expert group to evaluate. All clinical cases were randomly sorted to objectify the assessment.
Each expert examined 34 studies and assigned a score for each of the four specified parameters, except for “general healing.” Then, they filled a protected spreadsheet. To obtain the degree of reliability, each investigator evaluated the 34 studies twice within a four-week interval.
Each parameter had a separate table that included the combined data, with ratings from all experts. The intraclass correlation (ICC) was calculated to determine the consistency between the experts and the consistency of the individual assessments of each expert. Assessments are made within four weeks. ICC, which quantifies the degree of agreement between estimates, was calculated in SPSS 26 (IBM) using a two-factor mixed method. ICC values were interpreted according to the accepted method of J.R. Landis et al. [11]. ICC scores of “completely healed lesions” and “healed with minimal changes” groups of patients were compared using a nonparametric Mann–Whitney test. A p-value less than 0.05 was considered statistically significant.
RESULTS
To verify the reliability of the new evaluation scale, MRI studies of 10 pediatric patients with OD of the femoral condyles, at different periods of their follow-up, were used. The mean age of the patients was 12.7 years (7 to 16 years); six of them were boys and four were girls. OD lesions were detected in the central sections of the (loaded) femoral condyle in seven patients; in the posterior section of the femoral condyle, in three patients; in the lateral condyle, in five patients; in the medial condyle, in five patients.
The size of lesions on MRI averaged 1.04 cm2 in the sagittal plane and 0.86 cm2 in the frontal plane. The average score on the IKDC scale questionnaire before surgery was 58 (36 to 82 points) and 83 by the end of the follow-up (52 to 98 points).
Data preliminary analysis showed that to determine the ICC with a maximum value and a deviation of no more than 0.1, it is necessary to provide at least 19 MRI studies to the expert group if the number of experts were six. To increase the reliability of the calculations and increase the study power, 34 knee joint MRI studies of 10 pediatric patients with OD were presented to the experts.
The reliability of the new method that assesses healing using MRI studies was evaluated in stages.
At stage one, the results of treatment were analyzed in terms of the “general healing” indicator of the new scale. According to the overall assessment of healing, two patients were assigned 100 points, and two patients were assigned 97.5 and 98.5 points. On the control MRI with this indicator, structural changes in the bone were completely absent, and an equal intensity of the signal of the entire articular cartilage of the femoral condyle is observed. Such a presentation is regarded as “complete healing of the lesion.” In the remaining six patients, during the follow-up, one year after the surgery (osteoperforation with the introduction of PRP), 77, 86, 91, 95, 82, and 38 points of the overall healing of the lesions were assigned. One of the patients, who had a full-thickness cartilaginous defect, was assigned 38 points according to the new assessment scale, mainly due to the absence of a part of the subchondral bone and the complete absence of articular cartilage above the OD lesion. According to E.J. Wall, 75 points or more are required to recognize the OD process in the lesion. Despite the differences between the assessment methods that use MRI and X-ray, the current study used the same boundaries. With a total healing parameter of more than 75 points, no residual clinical symptoms were detected, and the child was allowed to have a full axial load and perform normal daily activities. That is why the OD lesions in five of the previously mentioned patients were considered “healed with minimal changes”; in one of the patients, no healing was observed, which was expected based on the clinical form of OD. Considering the parameters of the E.J. Wall X-ray scale, we defined the OD process as completed when reaching 75 points on the new assessment scale. On average, this value was reached in 6.6 mon in all studies.
All 34 MRI studies were divided into studies of “early postoperative period” (2–6 mon after the surgery) and “late postoperative period” (9–12 mon after the surgery). This was because when identifying clinical differences between patients, they could be distributed into two main categories, namely, those with “complete healing” and those with “healing with minimal changes.” Complete healing was achieved within 6 mon after the surgery. Thus, the values of MRI parameters for such patients at month 12 did not differ and were assigned 100 points, which may contribute to the value of the ICC when assessing the reliability between experts. To determine the intervention degree of this factor, the ICC was calculated for the first 2–6 mon and 9–12 mon after the surgery. For the second to sixth month after surgery, 21 studies of 10 patients were included, and for the ninth to the twelfth month after surgery, 15 studies of 10 patients were included. The difference in the number of studies is because MRI was performed in patients with “complete healing” due to the rapid dynamics of healing on months two, four, and six after the surgery and then only on month 12.
At stage two, ICC was calculated for the total sample (34 MRI studies). An overall high level of agreement between researchers was noted for all indicators, and the highest value for the overall healing of the lesions was 0.993. The results are presented in Table 1.
Table 1. Values of the intraclass correlation coefficient for each parameter for assessing the healing of the osteochondritis dissecans lesion according to the magnetic resonance scale
Coefficient | Degree of bone substance edema | Degree of consolidation | Bone structure | Assessment of articular cartilage | Overall healing of the lesion |
Intraclass correlation | 0.972 | 0.984 | 0.977 | 0.977 | 0.993 |
At stage three, ICC was calculated for each of the two groups of patients according to the timing of the control MRI after the surgery.
The ICC for bone edema in the subgroup with a maximum follow-up of up to 6 mon amounted to 0.974 and remained at a high level compared with the indicator calculated in the analysis of the total sample. The ICC value for the consolidation level was 0.968 and decreased insignificantly compared with the results in the overall sample. The index for the bone tissue structure in the lesion was 0.935; for the structure of articular cartilage, 0.986; for the general healing, 0.989. The results of assessing the ICC for each parameter in the early postoperative and late postoperative period are presented in Table 2.
Table 2. The intraclass correlation coefficient for each parameter for assessing the healing of osteochondritis dissecans lesion according to the results of magnetic resonance imaging in the early (2–6 mon from the surgery) and late (9–12 mon from the surgery) periods. In the case of statistically significant differences between the parameters in the two groups, the p-value is indicated in brackets
Period | Degree of bone substance edema | Degree of consolidation | Bone structure | Assessment of articular cartilage | Overall healing of the lesion |
Early postoperative (2–6 mon) | 0.974 | 0.968 | 0.935 | 0.986 | 0.989 |
Late postoperative (9–12 mon) | 0.537 (p < 0.05) | 0.987 | 0.987 (p < 0.05) | 0.988 | 0.988 |
A decrease in the overall agreement between researchers becomes noticeable when analyzing a subgroup with follow-up periods from 9 to 12 mon after surgery. This can be due to two factors: a decrease in the sample (only 13 studies (9–12 mon after surgery) were analyzed compared with 34 for the general analysis) and a synchronous increase in the polarity between some indicators with an increase in the postoperative follow-up periods. For example, for bone substance edema, the ICC was only 0.537, which was directly related to the complete absence of bone substance edema in healed lesions and its preservation in patients with a poor treatment result. However, other parameters did not significantly differ: the ICC value was 0.987 for the consolidation index; 0.987 for the bone structure; 0.988 for the cartilage structure; 0.988 for the general healing (Table 2).
At stage four, the consistency of the individual assessments of the researchers, obtained within a four-week interval, was determined. When calculating the ICC, there was an excellent degree of agreement between the estimates of each researcher, with an overall ICC value of 0.86. When calculating the degree of agreement in the subgroup of the early postoperative period (2–6 mon after surgery), the ICC value was 0.81, which is also an excellent indicator of reliability. In the group of the late postoperative period (9 to 12 mon), the ICC value was 0.92. When assessed using the Mann–Whitney coefficient, the difference in the results was statistically significant (p < 0.05). The difference was due to the healing of most lesions in the late postoperative period, which simplified the ranking of such lesions according to the new scale. Nevertheless, when determining the intraexpert reliability when assessing the most difficult lesions of the subgroup in the early postoperative period, the ICC value of 0.81 still indicates the applicability of the new scale at any time after the surgery.
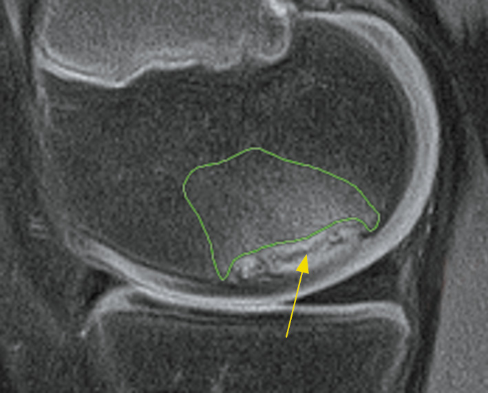
Based on the developed scale for assessing the healing of OD lesions, the degree of lesion healing according to the new classification was determined, and the main assessment parameter was the “general lesion healing” (Fig. 5).
Fig. 5. The general scheme for healing assessment, represented by four main parameters for assessing the healing of the osteochondritis dissecans lesion: the bone substance edema (circled in the figure on the left with a continuous line), the degree of consolidation (the line between the osteochondral fragment of the lesion and the maternal bone is indicated by an arrow in the figure on the left), bone structure (estimated by the density and structure of the bone tissue), and articular cartilage structure (indicated by arrows in the figure on the right)
The indicator of general healing is calculated as the arithmetic mean of four parameters of the new scale for assessing the OD lesion, namely, the bone substance edema, degree of consolidation, structure of the bone, and articular cartilage. The average index was 58 points 2 mon after the surgery, and it increased to 70 points 12 mon after the surgery (variation from 30 to 100 points). According to the expert assessment, based on the new classification, the score required to recognize the lesion as healed (after assessing the MRI studies) was determined as the threshold of 75 points. This threshold was reached in six of 10 pediatric patients, and their lesions were determined as healed by the end of the follow-up year.
All patients with 75 points showed a pronounced improvement according to the Pedi-IKDC questionnaire. In the six patients with an overall healing index of more than 75 points, the average score of the overall functionality of the involved knee joint was 89% according to the questionnaire, which reflects a positive correlation between the clinical scale questionnaire and the new method (for assessing the healing of OD lesions using MRI). However, these data should be interpreted with caution, since methods that analyze correlations in a sample larger than that in this study should be used to assess the strength and direction of the correlation. This study did not aim to estimate the correlation degree between clinical and MRI scoring.
DISCUSSION
OD predominantly affects young active patients, specifically, adolescent athletes with a rather high incidence in the age group of 11–14 years [2]. The course of the disease is characterized by a staged nature. On transitioning to the phase of the detachment of the bone and cartilage fragment, this disease leads to an increased risk of knee joint arthrosis [12].
The preoperative examination of a child with OD includes radiography and MRI of the knee joint to obtain data on the size of the bone defect, the surface area of articular cartilage damage, and the stability of the OD lesion to determine the treatment approach.
The approach of OD treatment depends on the stage of the disease, the duration of clinical symptoms, the patient’s age, and their sports activity. The accepted treatment in the early stages is currently conservative therapy for 6 mon, which leads to positive results in 50%–67% of cases [2]. If it is ineffective, surgical treatment is the next option [1–8, 13–19]. The surgical techniques in the early stages include biostimulation of the regeneration of the OD lesion area using osteoperforations with high efficiency (up to 91%) [20]; as well as fixation of the osteochondral fragment with a screw or pins with an efficiency of up to 100% [21] is performed during the fragment osteosynthesis. At later stages, depending on the size of the cartilaginous and bone defect, various types of chondroplasty are used, namely, mosaic chondroplasty with osteochondral columns taken from unloaded areas of the condyles of the patient’s femoral bones or chondroplasty using mesenchymal stem cells [22, 23].
As part of monitoring a patient with OD, orthopedists use various methods to monitor the lesion healing, such as radiography, computed tomography, and MRI. This complicates the integration of data in a systematic review to assess the efficiency of OD treatment.
Despite the large number of studies focused on OD treatment results in the early stages, there is no single protocol for the postoperative examination of patients. The only generally accepted method for assessing the healing of a lesion with proven reliability is the knee radiography scale for assessing postoperative outcomes of the ROCK Study Group [5, 6]. Although the developed technique is convenient due to the general availability of radiography, it does not allow a reliable assessment of the articular cartilage in the OD lesion and the state of the femoral condyle outside the OD lesion and is also accompanied by the patient receiving a dose of gamma radiation.
Due to these drawbacks, at the Department of Traumatology and Orthopedics of the N.F. Filatov Children’s Clinical Hospital, together with the staff of the Department of Pediatric Surgery of the N.I. Pirogov Russian National Research Medical University, developed a method for assessing the OD lesion healing using MRI. The potential advantages of the technique over the existing X-ray are the absence of radiation exposure, the ability to determine indirectly the activity of the healing process or persistence of the OD lesion (by the degree of bone substance edema of the femoral condyle outside the zone of the OD lesion), and assessing the articular cartilage above the OD lesion. Another advantage of MRI should be mentioned: in several cases, when monitoring the healing of the OD lesion using MRI after osteoperforations, the OD process continues, passing into the stage of partial separation of the bone and cartilage fragment from the maternal bed. MRI reveals early signs of the OD lesion instability: a hyperintense line between the maternal bone and the osteochondral fragment, damage to the subchondral plate along the lesion periphery, multiple subchondral cysts, or a large subchondral cyst more than 5 mm in diameter [24]. In case of lesion destabilization, an early repeated surgical intervention can be performed by fixing the osteochondral fragment with a screw.
The reliability of any diagnostic technique must be confirmed. The technique is considered reliable and is widely used if different researchers interpret the data obtained in the same way using it. Moreover, one researcher equally evaluates the data with a time interval of at least 1 mon. This is confirmed using modern statistical methods. According to most studies, the best method for determining the reliability of a diagnostic technique or scale is ICC [16]. According to generally accepted rules, the technique is recognized as effective if the ICC is 0.6 or more. This indicates significant reliability when different doctors used the method. If the coefficient is 0.8 or more, the reliability is excellent [11].
In the present study, using MRI for assessing the OD lesion healing showed an excellent level of reliability of interexpert agreement. The system for assessing the OD lesion healing is based on using radiography for assessment. Therefore, several criteria are of similar importance for the clinician: the degree of consolidation, reflecting the achievement of healing in the area of the osteochondral fragment, and the structure of the bone substance. The reliability of the “consolidation” criterion proposed by Wall et al. for the ICC was 0.89 compared with 0.984 for the “degree of consolidation” criterion in the new MRI classification. For the criterion “the bone substance structure,” ICC was 0.977 (0.88 for the similar criterion “ossification” according to E.J. Wall). It can be noted that both indicators achieved an excellent reliability score according to the criteria of Landis and Koch [11], which shows the consistency between the two methods.
Besides the criteria for assessing the structure of the bone and disorders of consolidation in the maternal bone in the original study by E.J. Wall, three more criteria were considered: assessment of the condyle boundary, the degree of sclerosis of the maternal bone in the area adjacent to the OD lesion, and the lesion size. These criteria had an ICC of 0.75, 0.84, and 0.77, respectively. The lesion size and the condyle boundaries were considered good indicators, but the degree of their reliability was lower than consolidation and bone structure when assessing these parameters according to the developed scale using MRI. The overall lesion healing index based on the ROCK method, showed high reliability with an ICC of 0.94, while the ICC based on assessment using MRI was 0.99. The disadvantages of the X-ray scale for evaluating the results include the inability to determine the degree of bone substance edema and hence the severity of disorders in the maternal bone and articular cartilage.
Besides assessing bone structures, the new method for MRI assessment of lesion healing used two more parameters: articular cartilage assessment (ICC: 0.97) and degree of bone substance edema (ICC: 0.972). These indicators largely distinguish the new technique from the old one, and due to assessing the bone substance edema, the degree of damage to the femoral condyle and the process activity can indirectly be determined. Pronounced edema of the bone substance is noted in pediatric patients with OD after surgery and persists for an average of 4 to 6 mon, and in some cases longer, and indicates the ongoing process of restructuring of the bone tissue of the femoral condyle. MRI evaluation of the articular cartilage is necessary for the patient to return to sports activity. In the long term, most children experience a pronounced pain syndrome when playing sports, which was revealed during this study, and also described in the literature. Up to 16% of pediatric patients after OD with loss of articular cartilage segments may experience pain even 14 years after surgical treatment [12].
The authors of the ROCK X-ray technique compared ICC scores for assessment criteria between the same investigators for each criterion after surgery and overall healing within 2–24 mon after the surgery. The scores for consolidation, maternal bone sclerosis, and overall healing passed the threshold of 0.8 and demonstrated excellent reliability, while the scores for lesion size, bone boundaries, and degree of bone ossification in the lesion were 0.77, 0.75, and 0.74, respectively. For the overall healing of the lesion within 2 mon to 2 y, a moderate increase from 0.65 to 0.7 was established with a slight decrease to 0.69 by the end of year two of the follow-up. In the present study, the reliability index of the overall healing criterion also gradually increased (from 0.81 to 0.92) by the end of year one after surgery and was significantly higher than that of E.J. Wall et al.
Generally, the method of assessing the lesion healing using MRI showed excellent reliability at different times since the surgery, both when assessed by different investigators and when assessed by the same investigator at a certain time interval (Table 3).
Table 3. Estimation of the correlation coefficient in dynamics
Indicator | Degree of bone substance edema | Degree of consolidation | Bone structure | Assessment of articular cartilage | Overall healing of the lesion |
General values (without grouping) | 0.972 | 0.984 | 0.977 | 0.977 | 0.993 |
Early postoperative period | 0.974 | 0.968 | 0.935 | 0.986 | 0.989 |
Late postoperative period | 0.537 | 0.987 | 0.987 | 0.988 | 0.988 |
In this study, the lesions of a sample of 10 patients healed one year after the surgery, except for one patient. Thus, 90% of OD lesions healed (more than 75 points on the MRI scale), with an average lesion size of 3.11 cm2. K. Davidson et al. treated stable OD lesions using the antegrade osteoperforation technique and administered bone marrow aspirate concentrate to the lesion area. Treatment efficacy was assessed using the E.J. Wall, and for 76.5% of the lesions, a score of 75 was obtained, and they were recognized as healed. The average healing time was 10.6 mon, with an average size of lesions of 4.07 cm2 [25]. Due to the small sample in our study, it was impossible to conclude which of the methods was more effective. However, since in the study by K. Davidson et al., the average sizes of the lesions were larger, the reduced number of satisfactory results can be explained from the standpoint of the already studied aspects of the course of OD. No other studies using the ROCK rating scale with full text were found in international literature, when searching the PubMed, Medline, and Embase databases.
Thus, the new scale for assessing the healing of OD lesions based on MRI studies has a high degree of reliability and reproducibility both between different researchers and when assessed by the same researcher within a certain time interval. As for the negative aspects, it should be noted that the sample size is too small to test the relationship between the data of clinical scales for assessing recovery after OD and the indicators for assessing the healing of OD lesions according to the new MRI scale. To introduce the scale into the diagnostic protocol of postoperative follow-up, a study using the scale on a larger number of patients should be conducted.
CONCLUSION
Using the developed scale for MRI assessment of OD lesion healing, it is possible to assess not only the healing of the bone part of the lesion but also the state of the articular cartilage and its dynamics, the degree of the process generalization to the bone tissue of the entire femoral condyle, and the dynamics of the process of restoring the bone of the entire condyle. This will determine the early stages and the signs of lesion instability for timely intervention in case of a poor outcome of OD treatment with the lesion destabilization. The consistency of assessments of the same researchers and between different researchers suggests that the technique has a high degree of reliability, but for widespread use in clinical practice and research, the scale should be tested on a larger sample of patients with OD.
ADDITIONAL INFORMATION
Funding. The study received no external funding.
Conflicts of interest. The authors declare no conflicts of interest.
Ethical considerations. The study was performed in accordance with the ethical standards of the Declaration of Helsinki of the World Medical Association, as amended by the Ministry of Health of the Russian Federation, and was approved by the ethics committee of the N.I. Pirogov Russian National Research Medical University of the Ministry of Health of the Russian Federation (protocol No. 194 dated March 16, 2020). The authors obtained the written voluntary consent of the patients (or their legal representatives) to participate in the study and publish medical data.
Author contributions. A.V. Semenov planned the study design, searched for the literature, performed analysis of publications and statistical data processing, described the work results, drew conclusions, took part in statistical analysis, and wrote the article. M.S. Zubtsov searched for the literature, selected and analyzed the publications, described the work results, drew the conclusions, took part in the evaluation of OD lesion healing, and wrote the article. Yu.G. Lipkin determined the literature search strategy, analyzed the publications, performed statistical data processing, and described the work results. G.S. Dibrivnyy assessed and described the MRI studies of pediatric patients with OD, compiled the parameters for assessing the OD lesion healing, performed expert evaluation based on the study results, and formulated the results and conclusions of the study. I.N. Isaev formulated the conclusions and results of the study, consulted on surgical methods for the disease treatment, and performed surgeries on pediatric patients with OD. V.V. Koroteev formulated the conclusions and results of the study, consulted on surgical methods for the disease treatment and methods for assessing the OD lesion healing, performed surgeries on pediatric patients with OD. N.I. Tarasov drew the conclusions, evaluated the results, and consulted on surgical methods for the disease treatment. Yu.I. Lozovaya took part in planning the research work, formulated the study results and conclusions, and edited the article. D.Yu. Vybornov planned the study design, provided general guidance on the study conduct and writing the article, and performed the general edition of the publication.
All authors made a significant contribution to the study and preparation of the article and read and approved the final version before its publication.
Acknowledgments. The authors express their gratitude to the residents of the Department of Pediatric Surgery of the N.I. Pirogov Russian National Research Medical University Kh.P. Machikhilyan, R.F. Askerov, A.M. Chmykhova, and T.A. Kolesnichenko, for their assistance in the study.
About the authors
Andrey V. Semenov
Pirogov Russian National Research Medical University
Author for correspondence.
Email: dru4elos@gmail.com
ORCID iD: 0000-0001-6858-4127
MD, PhD student
Russian Federation, MoscowMikhail S. Zubtsov
Pirogov Russian National Research Medical University
Email: zumi19979@yandex.ru
ORCID iD: 0000-0001-6845-5253
MD, resident
Russian Federation, MoscowYuriy G. Lipkin
Pirogov Russian National Research Medical University
Email: lyg@mail.ru
ORCID iD: 0000-0002-3306-0523
SPIN-code: 6396-4125
MD, PhD, Cand. Sci. (Med.)
Russian Federation, MoscowGrigoriy S. Dibrivnyy
Filatov Municipal Children Hospital
Email: dibrivniy11091976199@mail.ru
ORCID iD: 0000-0002-6263-5488
MD, Radiologist
Russian Federation, MoscowIvan N. Isaev
Filatov Municipal Children Hospital
Email: i.n.isaev@gmail.com
ORCID iD: 0000-0001-7899-5800
MD, Orthopedic and trauma surgeon
Russian Federation, MoscowVladimir V. Koroteev
Filatov Municipal Children Hospital
Email: 9263889457@mail.ru
ORCID iD: 0000-0003-4502-1465
MD, PhD, Cand. Sci. (Med.)
Russian Federation, MoscowNikolay I. Tarasov
Filatov Municipal Children Hospital
Email: tarasov_doctor@mail.ru
ORCID iD: 0000-0002-9303-2372
MD, PhD, Cand. Sci. (Med.)
Russian Federation, MoscowYulia I. Lozovaya
Pirogov Russian National Research Medical University; Filatov Municipal Children Hospital
Email: u.lozovaya@gmail.com
ORCID iD: 0000-0003-3899-1420
MD, PhD, Cand. Sci. (Med.)
Russian Federation, Moscow; MoscowDmitriy Y. Vybornov
Pirogov Russian National Research Medical University; Filatov Municipal Children Hospital
Email: dgkb13@gmail.com
ORCID iD: 0000-0001-8785-7725
MD, PhD, Dr. Sci. (Med.)
Russian Federation, Moscow; MoscowReferences
- Ellermann J, Johnson CP, Wang L, et al. Insights into the epiphyseal cartilage origin and subsequent osseous manifestation of juvenile osteochondritis dissecans with a modified clinical MR imaging protocol: a pilot study. Radiology. 2017;282(3):798–806. doi: 10.1148/radiol.2016160071
- Uppstrom TJ, Gausden EB, Green DW. Classification and assessment of juvenile osteochondritis dissecans knee lesions. Curr Opin Pediatr. 2016;28(1):60–67. doi: 10.1097/MOP.0000000000000308
- Parikh SN, Allen M, Wall EJ, et al. The reliability to determine “healing” in osteochondritis dissecans from radiographic assessment. J Pediatr Orthop. 2012;32(6):e35–e39.
- Masquijo J, Kothari A. Juvenile osteochondritis dissecans (JOCD) of the knee: current concepts review. EFORT Open Rev. 2019:4(5):201–212. doi: 10.1302/2058-5241.4.180079
- Eismann EA, Pettit RJ, Myer GD. Management strategies for osteochondritis dissecans of the knee in the skeletally immature athlete. J Orthop Sports Phys Ther. 2014;44(9):665–679. doi: 10.2519/jospt.2014.5140
- Wall EJ, Milewski MD, Carey JL, et al. The reliability of assessing radiographic healing of osteochondritis dissecans of the knee. Am J Sports Med. 2017;45(6):1370–1375. doi: 10.1177/0363546517698933
- Krause M, Harpfelmeier A, Moller M, et al. Healing predictors of stable juvenile osteochondritis dissecans knee lesions after 6 and 12 months of nonoperative treatment. Am J Sports Med. 2013;41(10):2384–2391. doi: 10.1177/0363546513496049
- Ramski DE, Ganley TJ, Carey JL. A radiographic healing classification for osteochondritis dissecans of the knee provides good interobserver reliability. Orthop J Sports Med. 2017;5(12):2325967117740846. doi: 10.1177/2325967117740846
- Wall EJ, Polousky JD, Shea KG, et al. Novel radiographic feature classification of knee osteochondritis dissecans: a multicenter reliability study. Am J Sports Med. 2015;43(2):303–309. doi: 10.1177/0363546514566600
- Nguyen JC, Liu F, Blankenbaker DG, et al. Juvenile osteochondritis dissecans: cartilage T2 mapping of stable medial femoral condyle lesions. Radiology. 2018;288(2):536–543. doi: 10.1148/radiol.2018171995
- Brianskaia AI, Baindurashvili AG, Arkhipova AA, et al. Arthroscopic knee surgery in children. Pediatric Traumatology, Orthopaedics and Reconstructive Surgery. 2014;2(3):18–23. (In Russ.). doi: 10.17816/PTORS2318-23
- Kozhevnikov AN, Pozdeeva NA, Konev MA, et al. Juvenile arthritis: clinical manifestations and differential diagnosis and differential diagnosis. Pediatric Traumatology, Orthopaedics and Reconstructive Surgery. 2014;2(4):66–73. (In Russ.)
- Walter SD, Eliasziw M, Donner A. Sample size and optimal designs for reliability studies. Stat Med. 1998;17(1):101–110. doi: 10.1002/(sici)1097-0258(19980115)17:1<101::aid-sim727>3.0.co;2-e
- Bonett DG. Sample size requirements for estimating intraclass correlations with desired precision. Stat Med. 2002;21(9):1331–1335. doi: 10.1002/sim.1108
- Kleemann RU, Krocker D, Cedraro A, et al. Altered cartilage mechanics and histology in knee osteoarthritis: relation to clinical assessment (ICRS Grade). Osteoarthritis Cartilage. 2005;13(11):958–963. doi: 10.1016/j.joca.2005.06.008
- Landis JR, Koch GG. The measurement of observer agreement for categorical data. Biometrics. 1977;33(1):159–174.
- Kocher MS, Smith JT, Iversen MD, et al. Reliability, validity, and responsiveness of a modified International Knee Documentation Committee Subjective Knee Form (Pedi-IKDC) in children with knee disorders. Am J Sports Med. 2011;39(5):933–939. doi: 10.1177/0363546510383002
- Brittberg M, Winalski CS. Evaluation of cartilage injuries and repair. JBJS. 2003;85-A(Suppl 2):58–69. doi: 10.2106/00004623-200300002-00008
- Hevesi M, Sanders TL, Pareek A, et al. Osteochondritis dissecans in the knee of skeletally immature patients: rates of persistent pain, osteoarthritis, and arthroplasty at mean 14-years’ follow-up. Cartilage. 2020;11(3):291–299. doi: 10.1177/1947603518786545
- Gunton MJ, Carey JL, Shaw CR, et al. Drilling juvenile osteochondritis dissecans: retro-or transarticular? Clin Orthop Relat Res. 2013;471(4):1144–1151. doi: 10.1007/s11999-011-2237-8
- Leland DP, Dernard CD, Camp CL, et al. Does internal fixation for unstable osteochondritis dissecans of the skeletally mature knee work? A systematic review. Arthroscopy. 2019;35(8):2512–2522. doi: 10.1016/j.arthro.2019.03.020
- Berlet GC, Mascia A, Miniaci A. Treatment of unstable osteochondritis dissecans lesions of the knee using autogenous osteochondral grafts (mosaicplasty). Arthroscopy. 1999;15(3):312–316. doi: 10.1016/s0749-8063(99)70041-1
- Zamborsky R, Danisovic L. Surgical techniques for knee cartilage repair: an updated large-scale systematic review and network meta-analysis of randomized controlled trials. Arthroscopy. 2020;36(3):845–858. doi: 10.1016/j.arthro.2019.11.096
- Kijowski R, Blankenbaker DG, Shinki K, et al. Juvenile versus adult osteochondritis dissecans of the knee: appropriate MR imaging criteria for instability. Radiology. 2008;248(2):571–578. doi: 10.1148/radiol.2482071234
- Davidson K, Grimm NL, Christino MA, et al. Retroarticular drilling with supplemental bone marrow aspirate concentrate for the treatment of osteochondritis dissecans of the knee. Orthop J Sports Med. 2018;6(7 Suppl 4):2325967118S0013. doi: 10.1177/2325967118S00131
Supplementary files












