Pathological anatomy of reparative processes in the resected kidney treated with α-tocopherol acetate in experiment
- Authors: Shormanov I.S.1, Los M.S.2, Shormanova N.S.1
-
Affiliations:
- Yaroslavl State Medical University
- Yaroslavl Regional Clinical Hospital
- Issue: Vol 8, No 3 (2018)
- Pages: 44-52
- Section: Articles
- Submitted: 10.11.2018
- Published: 15.12.2018
- URL: https://journals.eco-vector.com/uroved/article/view/10462
- DOI: https://doi.org/10.17816/uroved8344-52
- ID: 10462
Cite item
Full Text
Abstract
Violation of the integrity of the kidney parenchyma during organ-preserving surgery is always accompanied by functional impairment in that part of the organ. This is due to mechanical damage to the nephron and the development of aseptic necrosis in the area of the resection, followed by development of an ischemic zone that expands during the repair process due to disrupted parenchymal cell metabolism and pressure from regenerating connective tissue.
Objective. To investigate the effect of α-tocopherol acetate on repair processes in the kidney parenchyma after an organ-preserving operation in a rat model.
Materials and methods. An experimental study was performed on 60 white laboratory rats that underwent resection of the lower pole of the left kidney. Postoperatively, a study group (n = 30) underwent intramuscular injections of a 10% α-tocopherol acetate oil solution, 0.2 ml 2 times a day for 5 days. A control group (n = 30) were left untreated.
Results. Compared with the control group, animals in the study group had a narrower zone of total necrosis and less pronounced inflammation and vascular stasis on days 7, 14, and 28 after the operation.
Conclusion. Use of the natural antioxidant α-tocopherol acetate in the postoperative period of organ-preserving kidney surgery may accelerate reparative processes in the damaged parenchyma.
Keywords
Full Text
Введение
Ишемическое повреждение почки — основная причина развития почечной недостаточности. Существует множество факторов, вызывающих ишемическое повреждение нефрона и нарушение его функции. К ним прежде всего относятся хронические заболевания почек, системные патологии (гипертоническая болезнь, сахарный диабет и др.), оказывающие негативное влияние на почечный кровоток, а также органосохраняющие операции на почках вследствие операционной травмы, тепловой ишемии, необходимости наложения швов для гемостаза [1]. Изучение механизмов повреждения почечной ткани во время органосохраняющих операций показало, что продолжительность ишемического периода до 20 минут не нарушает функцию почки [2]. Главной причиной повреждения является реперфузионная травма, включающая в себя несколько механизмов: выработку реактивных кислородных радикалов, клеточную дисфункцию, застой и сдавливание микрососудов, гиперкоагуляцию [3]. В целях адаптации к неблагоприятным условиям активность антиоксидантной системы повышается. Но запасы естественных антиоксидантов в клетке ограничены и истощаются на протяжении периода гипоксии. Их дополнительное введение в послеоперационном периоде может оказать благоприятный эффект на восстановительные процессы в почечной паренхиме. α-Токоферола ацетат (α-ТА) относится к естественным жирорастворимым антиоксидантам плазмы крови и эритроцитов человека. Он способен стимулировать внутриклеточное увеличение уровня циклического аденозинмонофосфата, поддерживать резервные пути образования АТФ (гликолиз), активизировать синтез белка и нуклеиновых кислот. Дополнительное введение α-ТА перед органосохраняющим лечением почек позволяет значительно улучшить функцию сохранившейся паренхимы [4–19].
Цель — изучить влияние α-ТА на репаративные процессы в почке после органосохраняющей операции в объеме ее резекции в эксперименте.
Материалы и методы
Экспериментальное исследование выполнено на 60 белых лабораторных крысах весом от 200 до 300 г. Колебания веса животных в группах были в пределах 10–20 г. Беспородные животные имеют более широкую норму реакции, чем линейные, что позволяет с большой точностью экстраполировать результаты эксперимента на человеческую популяцию. С животными работали в соответствии с действующими «Правилами проведения работ с использованием экспериментальных животных» и «Международными рекомендациями по проведению медико-биологических исследований с использованием животных». Все животные находились в одинаковых условиях обитания (древесная подстилка из опилок и стружки, температура помещения — 22–24 °C, 12-часовой режим смены освещения) и кормления (стандартный брикетированный корм).
Шестьдесят крыс стали моделью органосохраняющего хирургического лечения почки. Операции производили под интраперитонеальным дипривановым наркозом из расчета 2,5 мг/кг веса. В стерильных условиях срединным разрезом вскрывали брюшную полость, осуществляли доступ к почке. Выполняли резекцию нижнего полюса левой почки, паренхиматозное кровотечение останавливали путем наложения Z-образных швов на зону резекции. Рану ушивали послойно. В послеоперационном периоде все животные были разделены на две группы. Крысам 1-й (контрольной) группы (n = 30) выполняли только хирургическое лечение. Животным 2-й (основной) группы (n = 30) в послеоперационном периоде внутримышечно вводили 10 % масляный раствор α-ТА по 0,2 мл 2 раза в день в течение 5 дней.
Контроль производили на 7, 14 и 28-е сутки после операции путем гистологического исследования края резекции оперированной почки. Животных из опыта выводили путем декапитации под наркозом, то есть с соблюдением «Правил проведения работ с использованием экспериментальных животных» и правил, изложенных в Хельсинской декларации.
Результаты
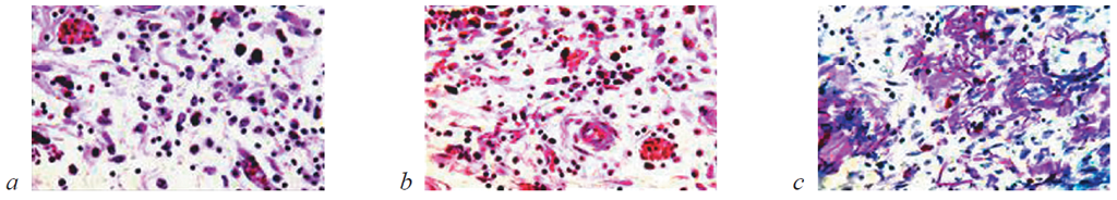
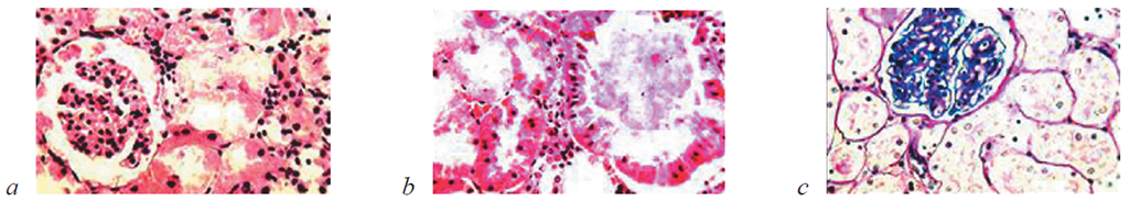
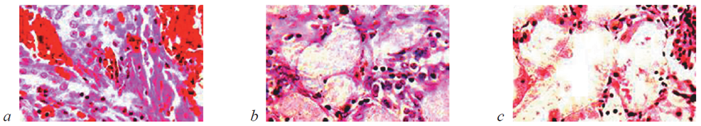
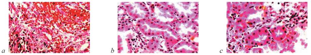
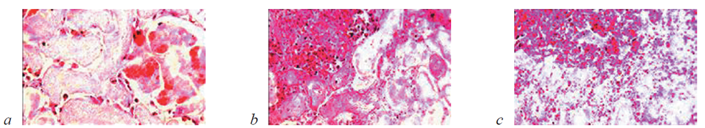
У животных контрольной группы на 7-е сутки эксперимента в зоне оперативного вмешательства формировалась широкая зона тотального некроза ренальной ткани (рис. 1). В этот период эта зона некроза отделялась от соседних жизнеспособных отделов почки лишь скоплениями из поли- и мононуклеарных лейкоцитов, в пределах которых не просматривались признаки фибриллогенеза (рис. 2). Иногда в различных частях области резекции выявлялись свежие, то есть не отграниченные от окружающих тканей, микроабсцессы (рис. 3). Вне зоны операции ткань почки характеризовалась резким полнокровием и отеком коркового и мозгового слоев, появлением в межуточной ткани инфильтратов из сегментоядерных лейкоцитов, а также множественными кровоизлияниями различной локализации (рис. 4). Эпителий извитых канальцев находился в состоянии гидропической дистрофии и некроза. Содержание гликогена в нем резко снижалось (рис. 5). Просвет канальцев разного уровня оказывался обтурирован зернистыми цилиндрами.
Рис. 1. Состояние ткани почки в зоне резекции у крыс контрольной группы на 7-е сутки после операции. Окраска гематоксилином и эозином. Ув. ×200: а — некроз всех тканевых компонентов почки. Геморрагии в капиллярных петлях почечного клубочка; b — геморрагическая инфильтрация наружных отделов области некроза; c — геморрагическая инфильтрация наружных отделов области некроза. Кровоизлияния в строме погибшей почечной ткани
Fig. 1. Kidney parenchyma in the resection zone in rats in the control group on postoperative day 7. Hematoxylin and eosin stain, ×200. a: Necrosis of all tissue components of the kidney and hemorrhage in the glomerular capillary loops. b: Hemorrhagic infiltrate of external areas in the necrotic zone. с: Hemorrhagic infiltrate of external areas in the necrotic zone, with hemorrhages in the stroma of the destroyed renal parenchyma
Рис. 2. Состояние ткани почки в зоне резекции у крыс контрольной группы на 7-е сутки после операции. Окраска гематоксилином и эозином. Ув. ×200. Граница между некротизированной и сохранной тканью почки маркирована скоплениями из преимущественно поли- и редких мононуклеарных лейкоцитов, среди которых нет признаков фибриллогенеза
Fig. 2. Kidney parenchyma in the resection zone in rats in the control group on postoperative day 7. Hematoxylin and eosin stain, ×200. The border between the necrotic and intact renal parenchyma is populated mainly by polynuclear and a very few mononuclear leucocytes with no signs of fibrillogenesis
Рис. 3. Состояние ткани почки в зоне резекции у крыс контрольной группы на 7-е сутки после операции. Окраска гематоксилином и эозином. Ув. ×200: a — микроабсцесс в некротизированной области почки, ткань вокруг него пропитана кровью; b, c — микроабсцесс граничит с дистрофически измененной, но жизнеспособной тканью почки. Геморрагическая инфильтрация вокруг него отсутствует
Fig. 3. Kidney parenchyma in the resection zone in rats in the control group on postoperative day 7. Hematoxylin and eosin stain, ×200. a: Micro abscess in the necrotic part of the kidney; the surrounding tissue is impregnated with blood. b, c: A microabscess is adjacent to dystrophic but viable renal parenchyma. There is no hemorrhage around the microabscess
Рис. 4. Состояние ткани почки в зоне резекции у крыс контрольной группы на 7-е сутки после операции. Ув. ×200: a — резкое полнокровие и отек стромы мозгового слоя. Окраска гематоксилином и эозином; b — дистония артерии среднего калибра корковой зоны. Окраска по Харту; c — кровоизлияния в строму. Гидропическая дистрофия эпителия извитых канальцев. Окраска гематоксилином и эозином
Fig. 4. Kidney parenchyma in the resection zone in rats in the control group on postoperative day 7. ×200. a: Pronounced congestion and edema of the medullary stroma. Hematoxylin and eosin stain. b: Impaired arterial tone of medium cortical arteries. Hart elastin stain. c: Hemorrhage in the stroma and hydropic degeneration of tubular epithelial cells. Hematoxylin and eosin
Рис. 5. Состояние ткани почки в зоне резекции у крыс контрольной группы на 7-е сутки после операции. Ув. ×200: а — гидропическая дистрофия и некроз эпителия извитых канальцев с наличием в их просвете зернистых цилиндров. Нейтрофилы в строме. Окраска гематоксилином и эозином; b — гидропическая дистрофия и некроз эпителия извитых канальцев и собирательной трубочки. Наличие в просвете тубулярных структур зернистых цилиндров. Лейкоцитарная инфильтрация стромы. Окраска гематоксилином и эозином; c — резкое снижение содержания гликогена в эпителии канальцев. ШИК-реакция
Fig. 5. Kidney parenchyma in the resection zone in rats in the control group on postoperative day 7. ×200. a: Hydropic degeneration and necrosis of tubular epithelial cells with granular casts in the tubular lumen, and a leucocyte infiltration in the stroma. Hematoxylin and eosin stain. b: Hydropic degeneration and necrosis of tubular epithelial cells and in the collectro tubule with granular casts in the tubular lumen, a leucocyte infiltration in the stroma. Hematoxylin and eosin stain. c: Glycogen breakdown in the tubular epithelium. Periodic acid–Schiff stain
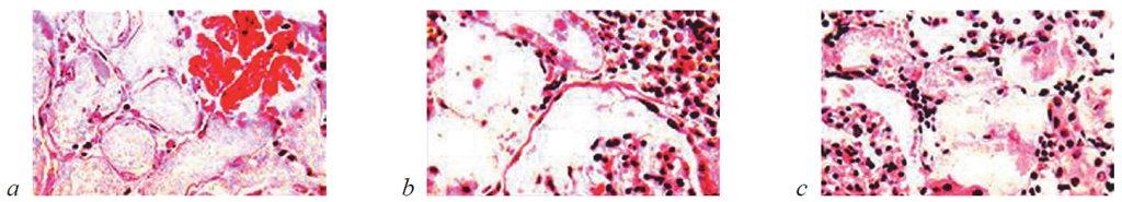
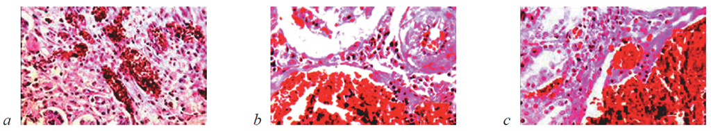
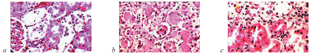
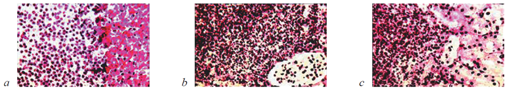
На 14-е сутки эксперимента в зоне резекции выявлены признаки начинающегося процесса отграничения некротизированных тканей и микроабсцессов от соседних участков почки посредством формирования демаркационного вала, образованного мононуклеарными клетками, фибробластами, ветвящимися сосудами и фибриллярными структурами (рис. 6). Вокруг кровоизлияний возникало реактивное воспаление с фагированием элементов крови и образованием гемосидерина (рис. 7). В других отделах почек ткань была полнокровна и отечна (рис. 8). Дистрофические и некробиотические изменения канальцевого эпителия становились менее выраженными (рис. 9).
Рис. 6. Состояние ткани почки в зоне резекции у крыс контрольной группы на 14-е сутки после операции. Окраска гематоксилином и эозином. Наличие на границе между некротизированной и жизнеспособной тканью почки полиморфноклеточного воспалительного инфильтрата, молодых фибробластов и фибриллярных структур. Увеличение: a, b — ×200; c — ×400
Fig. 6. Kidney parenchyma in the resection zone in rats in the control group on postoperative day 14. Hematoxylin and eosin stain. Morphonuclear leukocyte infiltration and young fibroblasts and fibrillar structures on the border between the necrotic and intact renal parenchyma. Magnification: а, b ×200; c ×400
Рис. 7. Состояние ткани почки в зоне резекции у крыс контрольной группы на 14-е сутки после операции. Окраска гематоксилином и эозином. Наличие вокруг микроабсцесса формирующейся капсулы с фибробластами, волокнистыми структурами и капиллярами. Увеличение: a — ×200; b, c — ×400
Fig. 7. Kidney parenchyma in the resection zone in rats in the control group on postoperative day 14. Developing capsule with fibroblasts, fiber structures, and capillaries around a microabscess. Magnification: а ×200; b, c ×400
Рис. 8. Состояние ткани почки в зоне резекции у крыс контрольной группы на 14-е сутки после операции. Окраска гематоксилином и эозином. Ув. ×200: a — резкое полнокровие и отек стромы; b, c — кровоизлияния в ткань коркового слоя. Наличие вокруг кровоизлияний и среди скоплений крови глыбок гемосидерина
Fig. 8. Kidney parenchyma in the resection zone in rats in the control group on postoperative day 14. Hematoxylin and eosin stain, ×200. a: Pronounced congestion and stromal edema. b, c: Hemorrhage in cortical tissue, with hemosiderin deposition around hemorrhages and among accumulations of blood
Рис. 9. Состояние ткани почки в зоне резекции у крыс контрольной группы на 14-е сутки после операции. Окраска гематоксилином и эозином: a — зернистая и гидропическая дистрофия эпителия извитых канальцев. Наличие в строме отдельных глыбок гемосидерина. Ув. ×200; b — гидропическая дистрофия и некроз отдельных клеток извитых канальцев. Наличие в просвете их зернистых цилиндров. Ув. ×200; c — зернистая и гидропическая дистрофия канальцевого эпителия. Гемосидероз стромы. Ув. ×400
Fig. 9. Kidney parenchyma in the resection zone in rats in the control group on postoperative day 14. Hematoxylin and eosin stain. a: Granular and hydropic degeneration of tubular epithelial cells and hemosiderin deposition in the stroma. ×200. b: Hydropic degeneration and necrosis of individual tubular epithelial cells with granular casts in the tubular lumen. ×200. c: Granular and hydropic degeneration of tubular epithelial cells and hemosiderosis of the stroma. ×400
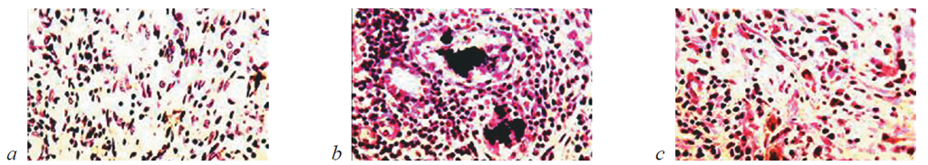
К 28-м суткам после операции у животных контрольной группы выявляли признаки активной организации некротического детрита и микроабсцессов (рис. 10; рис. 12, б, в). Однако следы последних сохранялись в новообразованной соединительной ткани. Кроме того, она характеризовалась полнокровием, отеком, воспалительной инфильтрацией и рыхлым расположением волокнистых структур (рис. 11; рис. 12, а). За пределами новообразованной соединительной ткани в почке происходило рассасывание кровоизлияний и наблюдались регенераторные изменения эпителия в части канальцев, которые не всегда доходили до своего завершения (рис. 13).
Рис. 10. Состояние ткани почки в зоне резекции у крыс контрольной группы на 28-е сутки после операции. Окраска гематоксилином и эозином. Врастание грануляций в зону некроза. Наличие среди грануляционной ткани скоплений гемосидерина. Увеличение: a — ×200; b, c — ×400
Fig. 10. Kidney parenchyma in the resection zone in rats in the control group on postoperative day 28. Hematoxylin and eosin stain. Granulation tissue in the necrotic area, with scattered hemosiderin deposition. Magnification: а ×200; b, c ×400
Рис. 11. Состояние ткани почки в зоне резекции у крыс контрольной группы на 28-е сутки после операции: a, b — замещение зоны некроза рыхлой оте чной грануляционной тканью, богатой сосудами и тонкими фибриллами. Наличие среди грануляций скоплений гемосидерина. Окраска гематоксилином и эозином; c — переплетающиеся ретикулиновые волокна в области разрастающихся грануляций. ШИК-реакция. Увеличение: a — ×400; b, c — ×200
Fig. 11. Kidney parenchyma in the resection zone in rats in the control group on postoperative day 28. a, b: Substitution of necrotic tissue by loose hydropic granular tissue enriched with vessels and thin fibrils, with hemosiderin deposition scattered through the granulation tissue. Hematoxylin and eosin stain. с: Overlapping reticular fibers in the granulation tissue. Periodic acid–Schiff stain. Magnification: а ×400; b, c ×200
Рис. 12. Состояние ткани почки в зоне резекции у крыс контрольной группы на 28-е сутки после операции. Ув. ×200: a — рыхло расположенные тонкие коллагеновые волокна в области замещения зоны некроза грануляциями. Окраска по Массону; b, c — инкапсуляция и организация микроабсцесса. Окраска гематоксилином и эозином
Fig. 12. Kidney parenchyma in the resection zone in rats in the control group on postoperative day 28. ×200. a: Thin, loose collagen fibers where granulation tissue has replaced necrotic tissue. Masson stain. b, c: Encapsulation and organization of a microabscess. Hematoxylin and eosin stain
Рис. 13. Состояние ткани почки в зоне резекции у крыс контрольной группы на 28-е сутки после операции. Окраска гематоксилином и эозином: a — инкапсуляция и прорастание незрелой соединительной тканью микрогематомы с рассасыванием элементов крови. Ув. ×200; b— зернистая дистрофия эпителия извитых канальцев. Ув. ×200; c — наличие в некоторых канальцах эпителиальной выстилки из крупных клеток с яркой однородной цитоплазмой. Ув. ×400
Fig. 13. Kidney parenchyma in the resection zone in rats in the control group on postoperative day 28. Hematoxylin and eosin stain. a: Encapsulation and penetration of a microhematoma by immature connective tissue, with resorption of blood elements. ×200. b: Granular degeneration of tubular epithelial cells. ×200. c: Tubular epithelium, with large cells with bright homogenous cytoplasm in some tubules. ×400
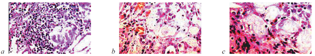
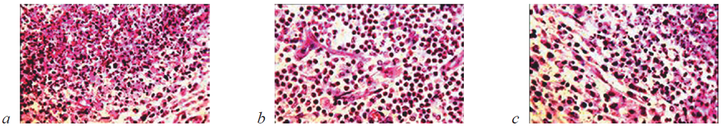
При микроскопическом изучении зоны резекции у крыс исследуемой группы, которым вводили α-ТА, установлено, что на 7-е сутки после операции у них имелась узкая зона тотального некроза, переходящая в участки относительно сохранной ткани, в пределах которой погибали только канальцы (рис. 14). Зона некроза у животных этой группы была значительно меньше, чем в контрольной группе. На границе с вышерасположенными отделами почек присутствовали лейкоцитарные инфильтраты с большим содержанием мононуклеарных клеток. Редкие микроабсцессы начинали отграничиваться от окружающих тканей. В средних и верхних отделах почек имелись признаки расстройств кровообращения, они были менее выражены, чем в группе контроля (рис. 15).
Рис. 14. Состояние ткани почки в зоне резекции у крыс основной группы, которым вводили α-токоферола ацетат, на 7-е сутки после операции. Окраска гематоксилином и эозином. Ув. ×200: a — некроз канальцев при сохранной строме. Геморрагический некроз клубочка; b, c— некроз канальцев при сохранной строме и клубочках. Инфильтрат из нейтрофилов и мононуклеарных клеток на границе с некрозом
Fig. 14. Kidney parenchyma in the resection zone in rats in the α-tocopherol acetate-treated group on postoperative day 7. Hematoxylin and eosin stain, ×200. a: Necrosis of tubules under an intact stroma and hemorrhagic necrosis of a glomerulus. b, c: Necrosis of tubules under an intact stroma and glomerulus, with a neutrophil and mononuclear leukocyte infiltrate bordering the necrotic area
Рис. 15. Состояние ткани почки в зоне резекции у крыс основной группы, которым вводили α-токоферола ацетат, на 7-е сутки после операции. Окраска гематоксилином и эозином. Ув. ×200: a — кровоизлияния с начальными признаками реактивного воспаления и образованием гемосидерина; b — цилиндры в просвете извитых канальцев; c — гидропическая дистрофия и некроз эпителия канальцев
Fig. 15. Kidney parenchyma in the resection zone of in rats in the α-tocopherol acetate-treated group on postoperative day 7. Hematoxylin and eosin stain, ×200. a: Hemorrhages with initial signs of reactive inflammation and hemosiderin deposition. b: Casts in tubular lumens. c: Hydropic degeneration and necrosis of tubular epithelial cells
К 14-м суткам после операции у животных основной группы, так же как и контрольной, происходила резорбция некротизированных тканей, отмечалось отграничение микроабсцессов и очагов кровоизлияний, а в извитых канальцах средних и верхних отделов почек начиналась регенерация поврежденного эпителия (рис. 16).
Рис. 16. Состояние ткани почки в зоне (a, b) и выше зоны (c) резекции у крыс основной группы, которым вводили α-токоферола ацетат, на 14-е сутки после операции. Окраска гематоксилином и эозином: a — резорбция некротических тканей. Образование гемосидерина. Ув. ×200; b — резорбция некротических масс с замещением их грануляциями. Ув. ×400; c — инкапсуляция и организация гематомы. Ув. ×200
Fig. 16. Kidney parenchyma in (a, b) and above (c) the resection zone in rats in the α-tocopherol acetate-treated group on postoperative day 14. Hematoxylin and eosin stain. a: Resorption of necrotic tissues and hemosiderin deposition. ×200. b: Resorption of necrotic detritus with substitution by granulation tissue. ×400. c: Encapsulation and organization of a hematoma. ×200
На 28-е сутки эксперимента процесс резорбции некротических масс завершался и на их месте, как и в предыдущей группе опытов, разрасталась рыхлая соединительная ткань (рис. 17). Кровоизлияния и гнойнички полностью рассасывались. В извитых канальцах почек происходила регенерация эпителия с насыщением его цитоплазмы гликогеном (рис. 18).
Рис. 17. Состояние ткани почки в зоне резекции у крыс основной группы, которым вводили α-токоферола ацетат, на 28-е сутки после операции. Окраска гематоксилином и эозином. Ув. ×200: a — замещение некротических масс относительно зрелой соединительной тканью, содержащей гемосидерин; b — отложение извести в новообразованной соединительной ткани; c — клеточный и волокнистый состав новообразованной соединительной ткани
Fig. 17. Kidney parenchyma in the resection zone in rats in the α-tocopherol acetate-treated group on postoperative day 28. Hematoxylin and eosin stain. ×200. a: Substitution of necrotic detritus with fairly mature connective tissue containing hemosiderin. b: Deposition of lime in regenerating connective tissue. c: Cellular and fiber structure of regenerating connective tissue
Рис. 18. Состояние ткани почки в зоне (a) и выше зоны (b, c) резекции у крыс основной группы, которым вводили α-токоферола ацетат, на 28-е сутки после операции: a — коллагеновый каркас новообразованной соединительной ткани. Окраска по Массону. Ув. ×200; b — эпителиальная выстилка канальцев представлена крупными клетками с эозинофильной цитоплазмой. Окраска гематоксилином и эозином. Ув. ×400; c — повышение содержания гликогена в эпителии извитых канальцев. ШИК-реакция. Ув. ×200
Fig. 18. Kidney parenchyma in (a, b) and above (c) the resection zone in rats of the α-tocopherol acetate-treated group on postoperative day 28. a: Collagen frame of regenerating connective tissue. Masson stain. ×200. b: Tubular epithelial lining including large cells with eosinophilic cytoplasm. Hematoxylin and eosin stain, ×400. c: Increased glycogen levels in the tubular epithelium. Periodic acid–Schiff stain, ×200
Обсуждение
Острая почечная травма, вызванная ишемией и реперфузией, является независимым фактором риска хронического заболевания почек [20]. Актуальность данной проблемы приводит к активному поиску различных средств, защищающих почку от интраоперационного повреждения. Применение α-ТА после органосохраняющей операции на почке патогенетически обоснованно. Исследования, посвященные изучению влияния α-ТА на ишемическую травму почки, демонстрируют его выраженное адаптивно-приспособительное действие, подготавливающее почку к дефициту кислорода [4–19]. Эффект α-ТА в послеоперационном периоде может быть обусловлен его антиоксидантным воздействием на продукты перекисного окисления липидов, накопленные в период ишемии и реперфузии. В результате использования α-ТА уменьшается выраженность воспаления и сосудистого стаза, стимулируются процессы образования соединительной ткани. Следствием ускорения репаративных процессов и формирования тонкого соединительнотканного рубца в зоне резекции может быть сохранение большего числа функционирующих нефронов и улучшение почечной функции.
Вывод
Назначение α-ТА в послеоперационном периоде позволяет ускорить репаративные процессы в паренхиме почки, подвергшейся резекции, и сократить зону послеоперационного соединительно тканного рубца.
About the authors
Igor S. Shormanov
Yaroslavl State Medical University
Author for correspondence.
Email: i-s-shormanov@yandex.ru
Doctor of Medical Science, Professor, Head of the Department of Urology and Nephrology
Russian Federation, YaroslavlMarina S. Los
Yaroslavl Regional Clinical Hospital
Email: 922099@mail.ru
Candidate of Medical Science, Urologist
Russian Federation, YaroslavlNatalia S. Shormanova
Yaroslavl State Medical University
Email: 922099@mail.ru
Candidate of Medical Sciences, Assistant, Department of Pathological Anatomy
Russian Federation, YaroslavlReferences
- Дряженков И.Г., Комлев Д.Л., Лось М.С. Факторы ишемического повреждения почки при ее резекции // Клиническая медицина. - 2013. - Т. 91. - № 6. - С. 21-25. [Dryazhenkov IG, Komlev DL, Los MS. Factors of ischemic injury of the kidney when it is resected. Klinicheskaya meditsina. 2013;91(6):21-25. (In Russ.)]
- Индароков Т.Р., Серегин А.В., Лоран О.Б., и др. Превентивный гемостатический шов при открытой резекции почки как один из способов сохранения почечной функции // Онкоурология. - 2017. - Т. 13. - № 3. - С. 39-45. [Indarokov TR, Seregin AV, Loran OB, et al. Preventive hemostatic suture during open kidney resection as an option to preserve the renal function. Onkourologiya. 2013;9(1):17-23. (In Russ.)]. doi: 10.17650/1726-9776-2017-13-3-39-45.
- Попов С.В., Гусейнов Р.Г., Горшков А.Н., и др. Изменения ультраструктурной организации почки в условиях экспериментально смоделированной тепловой ишемии при оперативном вмешательстве // Вестник Санкт-Петербургского университета. - 2016. - Серия 11. - № 1. - С. 104-119. [Popov SV, Guseinov RG, Gorshkov AN, et al. Changes in the ultrastructural organization of the kidney under the conditions of experimental model thermal ischemia in surgical intervention. Vestnik Sankt-Peterburgskogo universiteta. 2016;11(1):104-119. (In Russ.)]
- Aryamanesh S, Ebrahimi SM, Abotaleb N, et al. Role of endogenous vitamin E in renal ischemic preconditioning process: differences between male and female rats. Iran Biomed J. 2012;16(1):44-51.
- Shokeir AA, Barakat N, Hussein AA, et al. Role of combination of L-arginine and α-tocopherol in renal transplantation ischaemia/reperfusion injury: a randomized controlled experimental study in a rat model. BJU Int. 2011;108(4):612-618. doi: 10.1111/j.1464-410X.2010.09943.x.
- Yurdakul T, Kulaksizoglu H, Pişkin MM, et al. Combination antioxidant effect of α-tocoferol and erdosteine in ischemia-reperfusion injury in rat model. Int Urol Nephrol. 2010;42(3):647-655. doi: 10.1007/s11255-009-9641-y.
- Кирпатовский В.И., Голод Е.А., Надточий О.Н., Обухова Т.В. Влияние α-токоферола на парциальные функции ишемизированной почки // Урология. - 2006. - № 5. - С. 80-84. [Kirpatovskiĭ VI, Golod EA, Nadtochii ON, Obukhova TV. Effects of alpha-tocopherol on partial functions of the ischemic kidney. Urologiia. 2006;(5):80-84 (In Russ.)]
- Gurel A, Armutcu F, Sahin S, et al. Protective role of alpha-tocopherol and caffeic acid phenethyl ester on ischemia-reperfusion injury via nitric oxide and myeloperoxidase in rat kidneys. Clin Chim Acta. 2004;338(1-2):33-41. doi: 10.1016/j.cccn.2003.09.013.
- Avunduk MC, Yurdakul T, Erdemli E, Yavuz A. Prevention of renal damage by alpha tocopherol in ischemia and reperfusion models of rats. Urol Res. 2003;31(4):280-285. doi: 10.1007/s00240-003-0329-y.
- Шорманов И.С., Лось М.С. Патофизиология кортико-симпато-адреналовой системы в послеоперационном периоде парциальной нефрэктомии // Урологические ведомости. - 2018. - Т. 8. - № 2. - С. 11-17. [Shormanov IS, Los MS. Pathophysiology of the cortico-sympathoadrenal system in the postoperative period of partial nephrectomy. Urologicheskie vedomosti. 2018;8(2):11-17. (In Russ.)]. doi: 10.17816/uroved8211-17.
- Rhoden EL, Pereira-Lima L, Telöken C, et al. Beneficial effect of alpha-tocopherol in renal ischemia-reperfusion in rats. Jpn J Pharmacol. 2001;87(2):164-166. doi: 10.1254/jjp.87.164.
- Голод Е.А. Перекисное окисление мембранных фосфолипидов и Ca-зависимая активность АТФазы микросомальных фракций, выделенных из ткани почек крысы при термической ишемии с защитой альфа-токоферола и без нее // Урология и нефрология. - 1997. - № 5. - С. 5-9. [Golod EA. The membrane phospholipid peroxidation and Ca-dependent ATPase activity of the microsomal fractions isolated from rat renal tissue in thermal ischemia with and without alpha-tocopherolprotection. Urologiia i Nefrologiia. 1997;(5):5-9. (In Russ.)]
- Кирпатовский В.И., Никифорова Н.В., Кудрявцев Ю.В., Надточий О.Н. Использование эмульсии альфа-токоферола для антиоксидантной защиты ишемизированных и консервированных почек // Бюллетень экспериментальной биологии и медицины. - 1996. - Т. 121. - № 5. - С. 499-503. [Kirpatovskii VI, Nikiforova NV, Kudriavtsev IuV, Nadtochii ON. Use of an alpha-tocopherol emulsion for antioxidant protection of ischemic and conserved kidneys. Bjulleten eksperimentalnoj biologii i mediciny. 1996;121(5):499-502. (In Russ.)]
- Takenaka M, Tatsukawa Y, Dohi K, et al. Protective effects of alpha-tocopherol and coenzyme Q10 on warm ischemic damages of the rat kidney. Transplantation. 1981;32(2):137-141. doi: 10.1097/00007890-198108000-00010.
- Uysal F, Girgin FK, Tuzun S. Effect of vitamin E on antioxidant enzymes and nitric oxide in ischemia-reperfused kidney injury. Biochem Mol Biol Int. 1998;44(6):1255-1263. doi: 10.1080/15216549800202352.
- Aktoz Т, Aydogdu N, Alagol В, et al. The protective effects of melatonin and vitamin E against renal ischemia-reperfusion injury in rats. Ren Fail. 2007;29(5):535-542. doi: 10.1080/08860220701391738.
- Федорук А.С., Гоженко А.И., Роговый Ю.Е. Защитное воздействие α-токоферола на функцию почек и перекисное окисление липидов при острой гемической гипоксии // Патологическая физиология и экспериментальная терапия. - 1998. - № 4. - С. 35-38. [Fedoruk AS, Gozhenko AI, Rogovy YuE. Protective effect of α-to-caffeine on kidney function and lipid peroxidation in acute hemic hypoxia. Pathological physiology and experimental therapy. 1998;(4):35-38. (In Russ.)]
- Надточий О.Н. Профилактика постишемических функциональных расстройств почки при операциях с временных прекращением почечного кровотока (экспериментальное исследование): дис. … канд. мед. наук. - М., 2000. [Nadtochii ON. Prophylaxis of postischemic functional disorders of the kidney during operations with temporary discontinuance of renal blood flow (experimental study). [dissertation] Moscow; 2000. (In Russ.)]. Доступно по: http://medical-diss.com/medicina/patofiziologicheskoe-obosnovanie-ispolzovaniya-antioksidantov-dlya-vosstanovleniya-funktsii-pochek-pri-eksperimentalnom-p. Ссылка активна на 07.09.2018.
- Кирпатовский В.И., Надточий О.Н., Сыромятникова Е.В. Возможности пролонгации допустимых сроков ишемии почки при использовании разных вариантов противоишемической защиты // Урология. - 2003. - № 3. - С. 7-10. [Kirpatovsky VI, Nadtochy ON, Syromyatnikova EV. Possibilities of prolonging the permissible periods of kidney ischemia when using different variants of anti-ischemic protection. Urologiia. 2003;(3):7-10. (In Russ.)]
- Barrera-Chimal J, Estrela GR, Lechner SM, et al. The myeloid mineralocorticoid receptor controls inflammatory and fibrotic responses after renal injury via macrophage interleukin-4 receptor signaling. Kidney Int. 2018;93(6):1344-1355. doi: 10.1016/j.kint.2017.12.016.
Supplementary files






















