Перкутанные методы лечения уротелиальных опухолей полостной системы почки (клинический случай и обзор литературы)
- Авторы: Попов С.В.1,2, Орлов И.Н.1,3, Сулейманов М.М.1, Топузов Т.М.1, Перфильев М.А.1, Гаврилов В.Ю.3, Майоров И.Д.4
- 
							Учреждения: 
							- Клиническая больница Святителя Луки
- Военно-медицинская академия им. С.М. Кирова
- Северо-Западный государственный медицинский университет им. И.И. Мечникова
- Первый Санкт-Петербургский государственный медицинский университет им. акад. И.П. Павлова
 
- Выпуск: Том 12, № 2 (2022)
- Страницы: 175-183
- Раздел: Клинические наблюдения
- Статья получена: 30.05.2022
- Статья одобрена: 17.06.2022
- Статья опубликована: 31.07.2022
- URL: https://journals.eco-vector.com/uroved/article/view/108381
- DOI: https://doi.org/10.17816/uroved108381
- ID: 108381
Цитировать
Полный текст
 Открытый доступ
		                                Открытый доступ Доступ предоставлен
						Доступ предоставлен Доступ платный или только для подписчиков
		                                							Доступ платный или только для подписчиков
		                                					Аннотация
Уротелиальная карцинома — одно из самых распространенных солидных злокачественных новообразований. При этом уротелиальный рак мочеточника единственной почки довольно редкая ситуация, которая требует нефронсохраняющего лечения, что несет высокий процент послеоперационного рецидива. Проведен анализ литературы, посвященной данному заболеванию, по базам данных PubMed, Scopus, Web of Science за 2011–2022 гг., и представлено клиническое наблюдение рецидива уротелиального рака полостной системы почки у пациента 73 лет. При первичной опухоли пациенту была выполнена перкутанная лазерная en-block-резекция опухоли на узком основании. При рецидиве, учитывая острый угол атаки и широкое основание опухоли, возникла необходимость в применении биполярной петлевой резекции. Данное клиническое наблюдение демонстрирует необходимость в материально-техническом оснащении источниками лазерной, моно- и биполярной энергии, а также гибкими нефроскопами для проведения максимально эффективного и персонализированного лечения.
Ключевые слова
Полный текст
ВВЕДЕНИЕ
Уротелиальная карцинома — пятое по распространенности солидное злокачественное новообразование [1]. Большинство (90–95 %) уротелиальных опухолей развивается в нижних мочевыводящих путях, на долю верхних приходится только 5–10 % [1, 2]. Ежегодная заболеваемость в западных странах составляет около 2 случаев на 100 000 населения. Опухоли чашечно-лоханочной системы встречаются примерно в два раза чаще опухолей мочеточника [1]. В 17 % случаев присутствует сопутствующий рак мочевого пузыря [3]. Рецидив опухоли в мочевом пузыре наблюдается у 22–47 % пациентов с уротелиальным раком верхних мочевыводящих путей (ВМВП), при этом с контралатеральной стороны рецидивы встречаются в 2–6 % случаев [4, 5]. Мультифокальные опухоли составляют примерно 10–20 % [6]. В различных ретроспективных исследованиях сообщается о частоте уротелиальных карцином в 50–59 % для локализаций в полостной системе почки, 25–34 % — в мочеточнике, 7–23 % для ипсилатеральных мультифокальных опухолей [7–9]. В мочеточнике в 70 % опухоли локализуются в дистальном отделе, 25 % — в среднем, 5 % — в проксимальном [10]. На момент постановки диагноза 60 % уротелиальных опухолей ВМВП являются инвазивными (≥pT2) по сравнению с гораздо меньшими значениями (15–25 %) при первичном раке мочевого пузыря, что свидетельствует о высокой агрессивности карцином данной локализации [11]. На это также указывают данные, что около 7 % пациентов с опухолями ВМВП на момент постановки диагноза уже имеют метастатические поражения [12].
Уротелиальный рак ВМВП единственной почки встречается относительно редко. Так, в отделении урологии Первой больницы Пекинского университета с марта 2000 г. по март 2012 г. был ретроспективно оценен 731 пациент с уротелиальным раком ВМВП, из которых только 61 имел уротелиальный рак ВМВП единственной почки, что составляет всего лишь 8,34 % всех больных. В данном крупном одноцентровом исследовании было установлено, что в 31 из 61 случая (50,8 %) уротелиальный рак ВМВП локализовался в полостной системе почек, а в 30 из 61 (49,2 %) — в мочеточнике [13].
Факторы риска развития уротелиального рака ВМВП делятся на неспецифические и специфические. К неспецифическим относят курение табака и различные профессиональные воздействия канцерогенных ароматических аминов, включая бензидин и бета-нафталин [14, 15]. Канцероспецифическими предрасполагающими факторами возникновения уротелиального рака ВМВП являются воздействие на организм мышьяка, полученного при употреблении воды или вдыхании паров, содержащих мышьяк, наиболее часто отмечаемое у женщин по сравнению с мужчинами (2 : 1), а также эндемическая балканская нефропатия, которая связана с длительным воздействием аристолохиевой кислоты, содержащейся в растениях семейства кирказоновые, вызывающей мутацию кодона 139 гена p53 [16–18]. Не менее значимы в патогенезе развития уротелиального рака — синдром Линча (аутосомно-доминантная мутация), повышающий риск развития заболевания более чем в 22 раза [19].
В настоящее время золотым стандартом лечения при уротелиальном раке high-grade ВМВП является радикальная нефроуретерэктомия с резекцией устья ипсилатерального мочеточника. Нефронсберегающее или консервативное лечение пациентов с уротеликальным раком ВМВП рассматривается только при наличии единственной или единственно функционирующей почки [20]. У данного контингента пациентов имеются существенные ограничения к проведению системной химиотерапии. По поводу неоадъювантной химиотерапии данные ограниченны и представлены в большинстве своем ретроспективными исследованиями, но имеются сведения, что неоадъювантная химиотерапия может улучшить результаты лечения по сравнению с ее отсутствием. Поражение почек — частое и значимое осложнение противоопухолевой терапии. Химиотерапевтические препараты зачастую приводят к развитию острого повреждения почек и способны вызывать хроническую болезнь почек у пациентов со злокачественными новообразованиями. Существует ряд факторов риска острого повреждения почек у онкологических пациентов. Их подразделяют на две группы. К системным относят снижение объема циркулирующей крови, инфильтрацию почечной ткани опухолевыми клетками, диспротеинемии, электролитные нарушения. Локальные (почечные) факторы риска следующие: нарушение микроциркуляции, биотрансформация препаратов с образованием активных форм кислорода, высокая концентрация нефротоксичных веществ в проксимальных канальцах и чувствительность последних к ишемии [21]. У пациентов с уротелиальной карциномой единственной почки данные риски не оправданы, поэтому адъювантную системную химиотерапию, как правило, не используют. При этом вариантом адъювантного лечения может выступать местная терапия, которая должна быть предложена только тщательно отобранным пациентам.
В качестве химиотерапевтических агентов применяют те же средства, что и для лечения при уротелиальной карциноме мочевого пузыря [22, 23]. Доставка лекарственных препаратов может осуществляться несколькими способами: антеградно при наличии нефростомы или путем ретроградной инстилляции через мочеточниковый катетер. При данной процедуре описывают ряд осложнений: высокий риск бактериального сепсиса, системной абсорбции при повышении давления в полости органа, возможное развитие обструкции мочеточника с развитием пиеловенозного рефлюкса во время инстилляции/перфузии, невозможность равномерной доставки агента с достижением адекватного времени экспозиции химиопрепарата для обеспечения клинического ответа [24–26]. Результаты применения адъювантной терапии неоднозначны. Так, по данным B. Foerster и соавт. [27], эффективность различных методов введения химиопрепаратов (антеградного, ретроградного, комбинированного) в отношении частоты рецидивирования, прогрессирования, канцероспецифической и общей выживаемости сопоставима, более того, она сравнима с исходами у пациентов, не получавших адъювантной терапии.
При уротелиальном раке ВМВП единственной почки, несомненно, показано органосохраняющее хирургическое лечение. Основными доступами для органосохраняющих методов оперативного лечения становятся трансуретральный и перкутанный. Однако в настоящее время вопрос о выборе хирургической тактики ведения пациентов с опухолью полостной системы единственной почки остается дискутабельным. В качестве примера выбора хирургической тактики мы описываем клинический случай двухэтапного эндоскопического оперативного лечения пациента с уротелиальной карциномой полостной системы единственной правой почки.
ОПИСАНИЕ КЛИНИЧЕСКОГО СЛУЧАЯ
В СПб ГБУЗ «Клиническая больница Святителя Луки» в январе 2019 г. обратился пациент 73 лет с жалобами на гематурию и тупые тянущие боли в левой поясничной области. Из анамнеза известно, что в 2006 г. была выполнена нефрэктомия слева по поводу почечно-клеточного рака pT2aNoMo. По данным магнитно-резонансной томографии с внутривенным контрастированием выявлена опухоль лоханки единственной правой почки размером до 35 мм (рис. 1). Учитывая локализацию, размер опухоли и наличие единственной правой почки, пациенту в качестве нефронсохраняющей методики была выполнена перкутанная лазерная резекция опухоли.
Рис. 1. Магнитно-резонансная томография. Опухоль лоханки правой почки (указана стрелкой)
Fig. 1. Magnetic resonance imaging. Tumor on the right kidney pelvis (indicated by an arrow)
Ход операции
Под эндотрахеальным наркозом после катетеризации ипсилатерального мочеточника в положении пациента на животе под ультразвуковым и рентгенологическим контролем произведена пункция полостной системы правой почки через среднюю группу чашек. Пункционный ход бужирован по гидрофильной струне до 28 Ch и установлен кожух Амплатц. С помощью резектоскопа выполнена ревизия полостной системы правой почки, выявлена мелковорсинчатая опухоль лоханки на ножке (рис. 2). Произведена en-block-резекция стенки лоханки с опухолью при помощи тулиевого волоконного лазера FiberLase U2 (рис. 3).
Рис. 2. Эндоскопическая картина опухоли почечной лоханки. Мочеточниковый катетер в полостной системе правой почки
Fig. 2. Endoscopic picture of a tumor on the renal pelvis. Ureteral catheter in the cavitary system of the right kidney
Рис. 3. Этап резекции стенки лоханки с опухолью с помощью тулиевого лазера единым блоком
Fig. 3. Stage of resection of the pelvis wall with a tumor using a thulium laser in a single block
Используемые параметры лазера для резекции: мощность 1,0 Дж, частота 10 Гц. После en-block-резекции удаленная опухоль извлечена наружу при помощи эндоскопических щипцов (рис. 4).
Рис. 4. Удаленная опухоль лоханки правой почки
Fig. 4. Tumor removed from the right kidney pelvis
Затем выполнена ревизия зоны резецированной ткани, контроль гемостаза (рис. 5).
Рис. 5. Участок лоханки после резекции опухолевой ткани
Fig. 5. Pelvic area after tumor tissue resection
Оперативное лечение завершено установкой нефростомического дренажа, который был удален на 4-е сутки. Послеоперационный период протекал гладко, пациент был выписан на амбулаторный этап лечения.
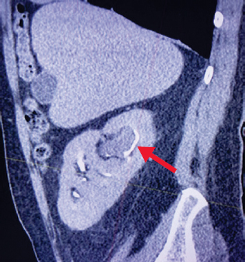
По данным патогистологического исследования удаленная опухоль лоханки представляла собой мышечно-неинвазивную уротелиальную карциному high-grade (стадия pT1NoMo). Учитывая отсутствие контралатеральной почки, адъювантную химиотерапию не проводили. При контрольном обследовании в 2021 г. у пациента по данным мультиспиральной компьютерной томографии выявлен рецидив опухоли полостной системы правой почки, на этот раз опухоль размером до 3 см была локализована в проекции верхних групп чашек (рис. 6).
Рис. 6. Компьютерная томограмма сагиттального среза правой почки с опухолью (стрелка), в проекции верхних групп чашек
Fig. 6. Computed tomogram of the sagittal section of the right kidney with tumor (arrow), in the projection of the upper groups of calyces
Принято решение о повторном оперативном лечении перкутанным доступом. В положении пациента на животе под эндотрахеальным наркозом выполнена пункция полостной системы правой почки через нижнюю группу чашек, пункционный тракт бужирован до 24 Ch и установлен кожух Амплатц. С помощью гибкого видеонефроскопа произведена ревизия полостной системы правой почки, в проекции зоны предыдущей резекции опухоли отмечается рубцово-измененная стенка лоханки, в области рубца рецидива новообразования не выявлено. При дальнейшей ревизии полостной системы правой почки в проекции верхних групп чашек выявлена крупная опухоль крупноворсинчатой структуры на широком основании (рис. 7). Выполнить ее резекцию не представлялось возможным из-за острого угла «атаки» и невозможности адекватно провести инструмент в верхнюю группу чашек. Принято решение о применении дополнительного перкутанного доступа в проекции верхних групп чашек. Под ультразвуковым и визуальным контролем прецизионно был произведен второй доступ в верхнюю группу чашек вблизи с новообразованием (рис. 8).
Рис. 7. Опухоль полостной системы правой почки, расположенная в проекции верхних групп чашек
Fig. 7. Tumor of the cavitary system of the right kidney located in the projection of the upper groups of calyces
Рис. 8. Прецизионный доступ в верхнюю группу чашек правой почки под эндоскопическим контролем: а — кончик пункционной иглы 18G; b — струна проводник в полостной системе почки
Fig. 8. Precision access to the upper group of calyces of the right kidney under endoscopic control: a, tip of the puncture needle 18G; b, string conductor in the pelvicalyceal system of the kidney
Произведено бужирование пункционного хода до 28 Ch, в почечную лоханку заведен резектоскоп. Учитывая размер новообразования и его широкое основание было принято решение выполнить резекцию новообразования инструментом с биполярной подачей энергии (рис. 9).
Рис. 9. Этап резекции опухоли полостной системы почки с применением биполярного вида энергии
Fig. 9. Stage of resection of the tumor of the pelvicalyceal system of the kidney with a bipolar type of energy
После резекции новообразования произведен тщательный гемостаз. В оба перкутанных тракта в проекции нижней и верхних групп чашек установлены нефростомическе дренажи — катетеры Фолея 16 Ch. Мы отдаем предпочтение катетеру Фолея для использования в качестве нефростомы, так как наличие баллона дает возможность обеспечения дополнительного механического гемостаза. Послеоперационный период протекал без особенностей, нефростомические дренажи удалены на 4-е и 5-е сутки. Гистологическое заключение: «Инфильтративная уротелиальная карцинома high-grade. Инвазия опухоли в подслизистый слой. Мышечная оболочка без опухолевого поражения (pT1)».
ОБСУЖДЕНИЕ
Каждый из представленных доступов для малоинвазивного лечения пациентов с уротелиальной карциномой имеет свои показания. Трансуретральную фибронефроскопию имеет смысл рассматривать в качестве органосохраняющего лечения только при опухолях размером до 1,5 см. Ретроградную уретеропиелоскопию можно выполнять как жесткими, так и гибкими инструментами. Однако при использовании жесткого инструмента полноценная ревизия полостной системы почки невозможна [28]. Основными преимуществами трансуретрального доступа являются наименьшая инвазивность среди всех нефронсберегающих методик и возможность поддержания «замкнутой системы», что может снизить риск распространения опухоли [29]. Однако при трансуретральной фибронефроскопии по сравнению с чрескожным лечением имеются существенные недостатки. Маленький размер инструментов, относительно узкий рабочий канал со слабым ирригационным потоком и ограниченный обзор операционного поля делают трансуретральный доступ технически сложным. К другим недостаткам можно отнести затруднение доступа к опухолям нижнего полюса и вероятность нисходящей опухолевой имплантации. Относительно частые осложнения трансуретрального доступа — перфорации (1–4 %) и стриктуры мочеточника (4,9–13,6 %) [30]. По мнению ряда авторов, предпочтительнее использовать гольмиевый или тулиевый лазеры благодаря их способности иссекать опухолевую ткань с достижением хорошего гемостаза [31–33]. В описываемом нами случае мы сочли оптимальным использование перкутанного доступа в связи с большим размером опухоли. Перкутанный метод лечения можно использовать при low-grade или неинвазивных опухолях полостной системы почки больших размеров. Она позволяет в отличие от ретроградных методик обеспечить директивный доступ к новообразованию, к тому же безусловное преимущество состоит в отсутствии ограничений в размерах опухоли и возможность использования биполярной или лазерной энергии для резекции. При выборе источника энергии и инструмента следует отталкиваться от ширины основания карциномы. Для папиллярных опухолей с узким основанием предпочтительным методом будет лазерная en-block-резекция [34, 35]. Однако новообразования с широкой ножкой нуждаются в лучшем гемостатическом контроле, которого с большей вероятностью позволяет достичь моно/биполярная петлевая коагуляция. Немаловажным критерием эффективного лечения считается место пункции, определяемое локализацией опухоли: при расположении новообразования в чашечках рекомендуется директивная пункция, при расположении в лоханке и верхней трети мочеточника предпочтительна пункция верхней или средней группы чашечек, что позволяет свободно перемещать эндоскоп вдоль лоханки и по ходу мочеточника. Тем не менее при подобных процедурах существует высокий риск перфорации и диссеминации опухоли [36].
ВЫВОДЫ
Наш опыт выполнения данных оперативных вмешательств продемонстрировал необходимость в наличии широкого и высокотехнологичного арсенала урологического инструментария, учитывая особенности локализации опухоли, ее характера и размера. Современные урологические клиники при работе с такой патологией, как переходно-клеточная карцинома верхних мочевыводящих путей, должны располагать источниками лазерной, моно-/биполярной энергии, а также гибкими нефроскопами для проведения максимально эффективного и персонализированного лечения.
ДОПОЛНИТЕЛЬНАЯ ИНФОРМАЦИЯ
Вклад авторов. Все авторы внесли существенный вклад в разработку концепции, проведение исследования и подготовку статьи, прочли и одобрили финальную версию перед публикацией.
Конфликт интересов. Авторы декларируют отсутствие явных и потенциальных конфликтов интересов, связанных с публикацией настоящей статьи.
Источник финансирования. Авторы заявляют об отсутствии внешнего финансирования при проведении исследования.
Информированное согласие на публикацию. Авторы получили письменное согласие пациента на публикацию медицинских данных и фотографий.
ADDITIONAL INFORMATION
Author contribution. Thereby, all authors made a substantial contribution to the conception of the work, acquisition, analysis, interpretation of data for the work, drafting and revising the work, final approval of the version to be published and agree to be accountable for all aspects of the work.
Competing interests. The authors declare that they have no competing interests.
Funding source. This study was not supported by any external sources of funding.
Consent for publication. Written consent was obtained from the patient for publication of relevant medical information and all of accompanying images within the manuscript and photos.
Об авторах
Сергей Валерьевич Попов
Клиническая больница Святителя Луки; Военно-медицинская академия им. С.М. Кирова
														Email: doc.popov@gmail.com
				                	ORCID iD: 0000-0003-2767-7153
				                	SPIN-код: 3830-9539
																		                								
д-р мед. наук, главный врач, профессор кафедры урологии
Россия, Санкт-Петербург; Санкт-ПетербургИгорь Николаевич Орлов
Клиническая больница Святителя Луки; Северо-Западный государственный медицинский университет им. И.И. Мечникова
														Email: doc.orlov@gmail.com
				                	ORCID iD: 0000-0001-5566-9789
				                	SPIN-код: 2116-4127
																		                								
канд. мед. наук, врач-уролог, заместитель главного врача по медицинской части, ассистент кафедры урологии
Россия, Санкт-Петербург; Санкт-ПетербургМурад Магомедович Сулейманов
Клиническая больница Святителя Луки
														Email: doc.suleimanov@gmail.com
				                					                	SPIN-код: 1452-0359
																		                								
канд. мед. наук, врач-уролог
Россия, Санкт-ПетербургТимур Марленович Топузов
Клиническая больница Святителя Луки
														Email: ttopuzov@gmail.com
				                	ORCID iD: 0000-0002-5040-5546
				                	SPIN-код: 8468-4547
																		                								
канд. мед. наук, врач-уролог
Россия, Санкт-ПетербургМарк Артурович Перфильев
Клиническая больница Святителя Луки
														Email: perfilevmark@outlook.com
				                	ORCID iD: 0000-0002-3723-8157
				                	SPIN-код: 9366-5714
																		                								
врач-уролог
Россия, Санкт-ПетербургВладислав Юрьевич Гаврилов
Северо-Западный государственный медицинский университет им. И.И. Мечникова
														Email: 8vladgavr45@gmail.com
				                	ORCID iD: 0000-0003-4051-2329
				                	SPIN-код: 1850-0156
																		                								
студент
Россия, Санкт-ПетербургИлья Денисович Майоров
Первый Санкт-Петербургский государственный медицинский университет им. акад. И.П. Павлова
							Автор, ответственный за переписку.
							Email: ilmayorov@ya.ru
				                	ORCID iD: 0000-0003-3142-6488
				                	SPIN-код: 2760-7660
																		                								
студент
Россия, Санкт-ПетербургСписок литературы
- Siegel R.L., Miller K.D., Jemal A. Cancer statistics, 2019 // CA Cancer J Clin. 2019. Vol. 69, No. 1. P. 7–34. doi: 10.3322/CAAC.21551
- Babjuk M., Burger M., Zigeuner R., et al. EAU guidelines on non-muscle-invasive urothelial carcinoma of the bladder: update 2013 // Eur Urol. 2013. Vol. 64, No. 4. P. 639–653. doi: 10.1016/J.EURURO.2013.06.003
- Cosentino M., Palou J., Gaya J.M., et al. Upper urinary tract urothelial cell carcinoma: location as a predictive factor for concomitant bladder carcinoma // World J Urol. 2013. Vol. 31. P. 141–145. doi: 10.1007/S00345-012-0877-2
- Li W.-M., Shen J.-T., Li C.-C., et al. Oncologic outcomes following three different approaches to the distal ureter and bladder cuff in nephroureterectomy for primary upper urinary tract urothelial carcinoma // Eur Urol. 2010. Vol. 57, No. 6. P. 963–969. doi: 10.1016/J.EURURO.2009.12.032
- Xylinas E., Rink M., Margulis V., et al. Multifocal carcinoma in situ of the upper tract is associated with high risk of bladder cancer recurrence // Eur Urol. 2012. Vol. 61, No. 5. P. 1069–1070. doi: 10.1016/J.EURURO.2012.02.042
- Green D.A., Rink M., Xylinas E., et al. Urothelial carcinoma of the bladder and the upper tract: disparate twins // J Urol. 2013. Vol. 189, No. 4. P. 1214–1221. doi: 10.1016/J.JURO.2012.05.079
- Yafi F.A., Novara G., Shariat S.F., et al. Impact of tumour location versus multifocality in patients with upper tract urothelial carcinoma treated with nephroureterectomy and bladder cuff excision: a homogeneous series without perioperative chemotherapy // BJU Int. 2012. Vol. 110, No. 2b. P. 7–13. doi: 10.1111/J.1464-410X.2011.10792.X
- Mouracade P. Re: Thomas F. Chromecki, Eugene K. Cha, et al. The impact of tumor multifocality on outcomes in patients treated with radical nephroureterectomy // Eur Urol. 2012. Vol. 62, No. 4. P. 75–76. doi: 10.1016/J.EURURO.2012.06.042
- Ouzzane A., Colin P., Xylinas E., et al. Ureteral and multifocal tumours have worse prognosis than renal pelvic tumours in urothelial carcinoma of the upper urinary tract treated by nephroureterectomy // Eur Urol. 2011. Vol. 60, No. 6. P. 1258–1265. doi: 10.1016/J.EURURO.2011.05.049
- Leow J.J., Liu Z., Tan T.W., et al. Optimal Management of Upper Tract Urothelial Carcinoma: Current Perspectives // Onco Targets Ther. 2020. Vol. 13. P. 1–15. doi: 10.2147/OTT.S225301
- Margulis V., Shariat S.F., Matin S.F., et al. Outcomes of radical nephroureterectomy: a series from the Upper Tract Urothelial Carcinoma Collaboration // Cancer. 2009. Vol. 115, No. 6. P. 1224–1233. doi: 10.1002/CNCR.24135
- Soria F., Shariat S.F., Lerner S.P., et al. Epidemiology, diagnosis, preoperative evaluation and prognostic assessment of upper-tract urothelial carcinoma (UTUC) // World J Urol. 2017. Vol. 35. P. 379–387. doi: 10.1007/S00345-016-1928-X
- Su X., Fang D., Zhang L., et al. Treatment strategies for upper tract urothelial carcinoma (UTUC) of a solitary kidney: a single-institutional analysis of 61 cases // Int Urol Nephrol. 2016. Vol. 48. P. 1601–1608. doi: 10.1007/S11255-016-1353-5
- Rouprêt M., Babjuk M., Compérat E., et al. European Association of Urology Guidelines on Upper Urinary Tract Urothelial Carcinoma: 2017 Update // Eur Urol. 2018. Vol. 73, No. 1. P. 111–122. doi: 10.1016/J.EURURO.2017.07.036
- Colin P., Koenig P., Ouzzane A., et al. Environmental factors involved in carcinogenesis of urothelial cell carcinomas of the upper urinary tract // BJU Int. 2009. Vol. 104, No. 10. P. 1436–1440. doi: 10.1111/J.1464-410X.2009.08838.X
- Shao I.-H., Chang Y.-H., Pang S.-T. Recent advances in upper tract urothelial carcinomas: From bench to clinics // Int J Urol. 2019. Vol. 26, No. 2. P. 148–159. doi: 10.1111/IJU.13826
- Dragicevic D., Djokic M., Pekmezovic T., et al. Survival of patients with transitional cell carcinoma of the ureter and renal pelvis in Balkan endemic nephropathy and non-endemic areas of Serbia // BJU Int. 2007. Vol. 99, No. 6. 1357–1362. doi: 10.1111/J.1464-410X.2007.06793.X
- Chen C.-H., Dickman K.G., Moriya M., et al. Aristolochic acid-associated urothelial cancer in Taiwan // Proc Natl Acad Sci USA. 2012. Vol. 109, No. 21. P. 8241–8246. doi: 10.1073/PNAS.1119920109
- Koornstra J.J., Mourits M.J., Sijmons R.H., et al. Management of extracolonic tumours in patients with Lynch syndrome // Lancet Oncol. 2009. Vol. 10, No. 4. P. 400–408. doi: 10.1016/S1470-2045(09)70041-5
- Seisen T., Peyronnet B., Dominguez-Escrig J.L., et al. Oncologic Outcomes of Kidney-sparing Surgery Versus Radical Nephroureterectomy for Upper Tract Urothelial Carcinoma: A Systematic Review by the EAU Non-muscle Invasive Bladder Cancer Guidelines Panel // Eur Urol. 2016. Vol. 70, No. 6. P. 1052–1068. doi: 10.1016/J.EURURO.2016.07.014
- Бурнашева Е.В., Шатохин Ю.В., Снежко И.В., Мацуга А.А. Поражение почек при противоопухолевой терапии // Нефрология. 2018. Т. 22, № 5. С. 17–24. doi: 10.24884/1561-6274-2018-22-5-17-24
- Redrow G.P., Guo C.C., Brausi M.A., et al. Upper Urinary Tract Carcinoma In Situ: Current Knowledge, Future Direction // J Urol. 2017. Vol. 197, No. 2. P. 287–295. doi: 10.1016/J.JURO.2016.03.194
- Giannarini G., Kessler T.M., Birkhäuser F.D., et al. Antegrade perfusion with bacillus Calmette-Guérin in patients with non-muscle-invasive urothelial carcinoma of the upper urinary tract: who may benefit? // Eur Urol. 2011. Vol. 60, No. 5. P. 955–960. doi: 10.1016/J.EURURO.2011.07.051
- Irie A., Iwamura M., Kadowaki K., et al. Intravesical instillation of bacille Calmette-Guérin for carcinoma in situ of the urothelium involving the upper urinary tract using vesicoureteral reflux created by a double-pigtail catheter // Urology. 2002. Vol. 59, No. 1. P. 53–57. doi: 10.1016/S0090-4295(01)01488-1
- Horiguchi H., Yoneyama T., Hatakeyama S., et al. Impact of bacillus Calmette-Guérin therapy of upper urinary tract carcinoma in situ: comparison of oncological outcomes with radical nephroureterectomy // Med Oncol. 2018. Vol. 35. ID41. doi: 10.1007/S12032-018-1102-Y
- Tomisaki I., Kubo T., Minato A., Fujimoto N. Efficacy and Tolerability of Bacillus Calmette-Guérin Therapy as the First-Line Therapy for Upper Urinary Tract Carcinoma In Situ // Cancer Invest. 2018. Vol. 36, No. 2. P. 152–157. doi: 10.1080/07357907.2018.1430815
- Foerster B., D’Andrea D., Abufaraj M., et al. Endocavitary treatment for upper tract urothelial carcinoma: A meta-analysis of the current literature // Urol Oncol. 2019. Vol. 37, No. 7. P. 430–436. doi: 10.1016/J.UROLONC.2019.02.004
- Desai M., Crouzet S., Berger A., Monga M. Ureteroscopic management of upper tract transitional cell carcinoma and ureteropelvic obstruction // Indian J Urol. 2008. Vol. 24, No. 4. P. 526–531. doi: 10.4103/0970-1591.44262
- Raman J.D., Scherr D.S. Management of patients with upper urinary tract transitional cell carcinoma // Nat Clin Pract Urol. 2007. Vol. 4. P. 432–443. doi: 10.1038/ncpuro0875
- Soderdahl D.W., Fabrizio M.D., Rahman N.U., et al. Endoscopic treatment of upper tract transitional cell carcinoma // Urol Oncol. 2005. Vol. 23, No. 2. P. 114–122. doi: 10.1016/j.urolonc.2004.10.010
- Johnson G.B., Grasso M. Ureteroscopic management of upper urinary tract transitional cell carcinoma // Curr Opin Urol. 2005. Vol. 15, No. 2. P. 89–93. doi: 10.1097/01.mou.0000160622.13366.a1
- Cutress M.L., Stewart G.D., Wells-Cole S., et al. Long-term endoscopic management of upper tract urothelial carcinoma: 20-year single-centre experience // BJU Int. 2012. Vol. 110, No. 11. P. 1608–1617. doi: 10.1111/j.1464-410X.2012.11169.x
- Cornu J.-N., Rouprêt M., Carpentier X., et al. Oncologic control obtained after exclusive flexible ureteroscopic management of upper urinary tract urothelial cell carcinoma // World J Urol. 2010. Vol. 28. P. 151–156. doi: 10.1007/s00345-009-0494-x
- Yakoubi R., Colin P., Seisen T., et al. Radical nephroureterectomy versus endoscopic procedures for the treatment of localised upper tract urothelial carcinoma: A meta-analysis and a systematic review of current evidence from comparative studies // Eur J Surg Oncol. 2014. Vol. 40, No. 12. P. 1629–1634. doi: 10.1016/j.ejso.2014.06.007
- Zincke H., Neves R.J. Feasibility of conservative surgery for transitional cell cancer of the upper urinary tract // Urol Clin North Am. 1984. Vol. 11, No. 4. P. 717–724. doi: 10.1016/S0094-0143(21)00778-3
- Cutress M.L., Stewart G.D., Zakikhani P., et al. Ureteroscopic and percutaneous management of upper tract urothelial carcinoma (UTUC): systematic review // BJU Int. 2012. Vol. 110, No. 5. P. 614–628. doi: 10.1111/j.1464-410X.2012.11068.x
Дополнительные файлы
 
				
			 
						 
					 
						 
									
 
  
  
  Отправить статью по E-mail
			Отправить статью по E-mail 












