Особенности компенсаторно-адаптационных реакций сосудистого русла мочевого пузыря мужчин пожилого и старческого возраста в условиях гиперплазии предстательной железы
- Авторы: Шорманов И.С.1, Куликов С.В.1, Соловьев А.С.1
-
Учреждения:
- Ярославский государственный медицинский университет
- Выпуск: Том 12, № 2 (2022)
- Страницы: 127-135
- Раздел: Оригинальные исследования
- Статья получена: 02.06.2022
- Статья одобрена: 12.06.2022
- Статья опубликована: 31.07.2022
- URL: https://journals.eco-vector.com/uroved/article/view/108475
- DOI: https://doi.org/10.17816/uroved108475
- ID: 108475
Цитировать
Аннотация
Актуальность. Инфравезикальная обструкция, обусловленная гиперплазией предстательной железы, со временем приводит к рабочей гипертрофии детрузора, развитие которой невозможно без синхронного ремоделирования его сосудистого русла. Учитывая возраст-ассоциированную природу заболевания, трансформация мочевого пузыря происходит на фоне инволютивных структурных изменений как самого органа, так и его сосудистой системы, развивающихся в процессе естественного старения. На сегодняшний день морфологические особенности компенсаторных реакций сосудистого русла с учетом фоновых возрастных изменений в стенке мочевого пузыря остаются до конца не раскрытыми.
Цель — изучение структурных преобразований мочевого пузыря и его сосудистого русла у лиц пожилого и старческого возраста при гиперплазии предстательной железы, а также определение значения сосудистой перестройки в обеспечении компенсаторной гипертрофии детрузора.
Материалы и методы. Исследован аутопсийный материал от 35 мужчин 60–80 лет, умерших от заболеваний, не относящихся к урологической и сердечно-сосудистой патологии, а также от 25 мужчин того же возраста, имевших гиперплазию предстательной железы без признаков декомпенсации мочевого пузыря. Контрольную серию материала составили 15 мужчин в возрасте 20–30 лет, погибшие в результате травм. Использован комплекс гистологических, морфометрических и иммуногистохимических методик.
Результаты и обсуждение. У пациентов с гиперплазией предстательной железы происходит нарушение гистоархитектоники мочевого пузыря, что выражается в развитии очаговой гипертрофии детрузора, наслаивающейся на имеющиеся инволютивные изменения, которые характеризуются атрофией мышечных волокон, склерозом межмышечной стромы, дефрагментацией эластического каркаса и нейродегенеративными процессами. Подобное состояние детрузора связано с нарушением ангиоархитектоники в виде склероза и гиалиноза мелких артерий и артериол, гипертрофии и гиперэластоза крупных артерий, возникающих при артериальной гипертензии в сочетании с атеросклерозом внеорганных артерий. При этом в сосудистом бассейне мочевого пузыря формируется комплекс образований, регулирующих транспорт крови в условиях нарастающей хронической ишемии, обеспечивающих нормальное кровоснабжение сохраненных участков детрузора, способных подвергаться гипертрофии при повышении функциональной нагрузки. К таким структурам относятся интимальная мускулатура, мышечно-эластические сфинктеры и полиповидные подушки Конти артерий, а также мышечные «муфты», мышечные валики и клапаны вен.
Заключение. Структурные изменения мочевого пузыря характеризуются сочетанием очаговой атрофии детрузора, возникающей в результате ангиосклероза, и развитием гипертрофии сохраненных участков при повышении на него функциональной нагрузки. Гипертрофические потенции детрузора обеспечиваются согласованной работой целого комплекса сосудистых регуляторных структур.
Полный текст
АКТУАЛЬНОСТЬ
Гиперплазия предстательной железы (ГПЖ) — одно из самых распространенных заболеваний мужчин пожилого и старческого возраста [1]. С течением времени его естественная эволюция приводит к формированию компенсаторной гипертрофии детрузора [2, 3]. Развитие рабочей гипертрофии при ГПЖ позволяет предотвратить на какое-то время развитие мочевого стаза и восходящее инфицирование верхних мочевых путей [4]. Следует отметить, что компенсаторные изменения мышечного слоя мочевого пузыря происходят на фоне предсуществующих инволютивных изменений, патогенетически связанных с процессом естественного старения организма [5–7]. Однако морфогенетические особенности компенсаторной перестройки детрузора, а также характер и степень выраженности возрастных и сенильных изменений остаются сегодня, в значительной мере, нераскрытыми [8, 9]. В частности, нет исчерпывающей информации о влиянии структурного ремоделирования сосудистого русла мочевого пузыря в условиях инфравезикальной обструкции на реализацию гипертрофических потенций гладкой мускулатуры детрузора [10–12]. Полученные данные имели бы не только важное научно-фундаментальное, но и практическое значение, способствуя реализации новых подходов к лечению пациентов, страдающих ГПЖ.
Цель настоящего исследования — изучение структурных преобразований мочевого пузыря и его сосудистого русла у лиц пожилого и старческого возраста при ГПЖ, а также определение значения сосудистой перестройки в обеспечении компенсаторной гипертрофии детрузора.
МАТЕРИАЛЫ И МЕТОДЫ
Для достижения поставленной цели, в рамках нашего исследования, были взяты кусочки стенки мочевого пузыря от 35 мужчин в возрасте 60–80 лет, умерших от заболеваний, не относящихся к урологической и кардиоваскулярной патологии. Вторая серия фрагментов этого органа была получена на аутопсии у 25 мужчин такого же возраста, имеющих ГПЖ без клинико-морфологических признаков декомпенсации мочевого пузыря. Все тканевые образцы получены в патологоанатомическом отделении ГБУЗ ЯО «Ярославская областная клиническая больница». Контрольную серию составил материал, набранный в танатологическом отделении ГУЗ ЯО «Ярославское областное бюро судебно-медицинской экспертизы» от 15 лиц мужского пола в возрасте 20–30 лет, погибших в результате причин насильственного характера. Во всех перечисленных сериях из различных отделов мочевого пузыря (передняя, задняя, боковые стенки и дно) вырезали участки стенки на всю толщину, от слизистой оболочки до адвентициальной оболочки, включая паравезикальную клетчатку. Секционный материал фиксировали в 10 % нейтральном формалине и заливали в парафин. Гистологические срезы, толщиной не более 5 мкм, окрашивали гематоксилином и эозином, по Массону на коллагеновые волокна с использованием бриллиантового зеленого и фукселином по Харту на эластические волокна. Иммуногистохимическое исследование было выполнено на парафиновых срезах с использованием мышиных моноклональных антител CD34, S100 (Cell Marque, США), α-SMA (DAKO, США). Препараты оценивали полуколичественным методом в 10 полях зрения (×200).
Морфометрическое исследование сосудистого русла мочевого пузыря осуществляли по ранее разработанной методике [13, 14]. В соответствии с ней все внутриорганные артерии контрольной серии и серии с ГПЖ в зависимости от величины наружного диаметра были разделены на 4 группы: крупные (125 мкм и более), средние (51–124 мкм), мелкие (21–50 мкм) и артериолы (20 мкм и менее). Венозные коллекторы в зависимости от калибра разбивали на крупные (190 мкм и более), средние (110–189 мкм), мелкие (51–109 мкм) вены и венулы (50 мкм и менее). В артериях различного калибра измеряли толщину средней оболочки, а в венах — толщину стенки в мкм. В крупных артериях измеряли толщину внутренней оболочки (интимы) в мкм. В слизистой оболочке мочевого пузыря определяли толщину базальной мембраны уротелия в мкм. В дополнение к этому, для определения удельной площади структурных компонентов детрузора (мышечные волокна, межмышечная строма и сосуды), использовали стереометрическое исследование, применяя специальную окулярную вставку с нанесенными на нее 100 равноудаленными точками. Цифровой материал обрабатывали с помощью программы Statistica с использованием t-критерия Стьюдента. Распределение полученных цифровых данных соответствовало нормальному. Полученные данные считали достоверными, если вероятность ошибки не превышала 5 % (р < 0,05).
РЕЗУЛЬТАТЫ
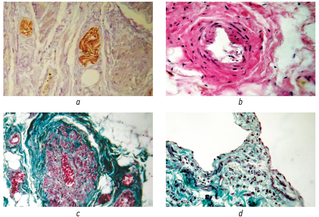
Переходный эпителий слизистой оболочки мочевого пузыря у мужчин пожилого и старческого возраста, независимо от наличия или отсутствия у них ГПЖ, оказывался гиперплазированным за счет пролиферации базальных и парабазальных клеток с образованием акантотических тяжей, погружающихся в соединительную ткань собственной пластинки, часто формируя гнезда фон Брунна. В некоторых участках слизистой оболочки эпителий истончался или подвергался альтернативным изменениям в виде гидропической дистрофии, проявляющейся образованием в цитоплазме клеток светлых мелких вакуолей, некробиоза и выраженной десквамации. Базальная мембрана эпителия была утолщена в 2 раза (p = 0,001), имела слабоэозинофильный, однородный и гомогенный вид, что отражало развитие гиалиноза. В собственной пластинке и подслизистой основе выявлялось разрастание грубоволокнистой соединительной ткани, а также полнокровие вен, отек стромы и выраженная мононуклеарная воспалительная инфильтрация, представленная лимфоцитами, плазматическими клетками, макрофагами и фибробластами, что указывает на развитие хронического цистита. В обеих сериях образцов, касающихся лиц пожилого и старческого возраста, внеорганные артерии, относящиеся к сосудам мышечно-эластического типа, расположенные в паравезикальной клетчатке или адвентиции, имели неравномерное утолщение стенки с формированием фиброзных бляшек, нередко суживающих просвет сосудов до 25 %, по сравнению с контролем. В крупных и средних внутриорганных артериях мышечного типа наблюдалось увеличение толщины стенки за счет гипертрофии гладких миоцитов средней оболочки (медии) с расщеплением внутренней эластической мембраны на несколько пластинок (рис. 1, а), что указывает на развитие гиперэластоза. В мышечной оболочке артерий указанного калибра выявлялась выраженная экспрессия α-SMA (α-smooth muscle actin) по сравнению с аналогичными сосудами контрольной серии. Кроме гипертрофии медии и гиперэластоза, как маркеров артериальной гипертензии, во внутренней оболочке (интиме) крупных артерий был хорошо заметен слой косопродольной гладкой мускулатуры, расположенный по всему периметру сосуда, который нередко полностью замещался на грубоволокнистую соединительную ткань, суживая просвет сосуда.
По данным морфометрии толщина интимы вследствие склероза возрастала в 5 раз (р = 0,001) по сравнению с контролем. Мелкие артерии и артериолы в обеих сериях препаратов подвергались гиалинозу, в результате которого стенка замещалась эозинофильной гомогенной бесструктурной массой с выраженным сужением просвета и утратой всех слоев, а также значительным снижением экспрессии α-SMA (рис. 1, b).
Выраженные структурные изменения у мужчин пожилого и старческого возраста выявлялись и в венозном бассейне мочевого пузыря. Так, в крупных внеорганных венах, расположенных в паравезикальной клетчатке, а также в адвентиции, определялось значительное неравномерное утолщение стенок вследствие гиперплазии и гипертрофии гладких миоцитов, что придавало им сходство с крупными артериями (рис. 1, с). Однако по сравнению с артериальными ветвями в них отсутствовали четко сформированные слои, относительно мощная медия и внутренняя эластическая мембрана. В стенках некоторых вен наблюдалось разрастание грубоволокнистой соединительной ткани.
Морфометрическое исследование позволило объективизировать гистологические изменения в артериях, проявляющиеся гипертонусом и сужением просвета. В частности, оказалось, что толщина медии крупных внутриорганных артерий у мужчин пожилого и старческого возраста с ГПЖ увеличивалась в 5,2 раза (р = 0,001), средних артерий — в 2 раза (р = 0,001), мелких артерий — в 1,4 раза (р = 0,05), а артериол — в 1,8 раза (р = 0,05) по сравнению с контролем. В крупных венах толщина стенки увеличивалась в 4,6 раза, средних — в 2 раза (р = 0,001), в мелких — в 1,8 раза (р = 0,001), в венулах — в 1,6 раза (р = 0,05) в сравнении с контролем. Утолщение стенок сосудов было обусловлено гипертрофией гладкой мускулатуры.
Рис. 1. Структурные изменения стенки мочевого пузыря у мужчин пожилого и старческого возраста при гиперплазии предстательной железы: а — окраска фукселином по Харту (увел. ×200); b — непрямой иммунопероксидазный метод с антителами к α-SMA (увел. ×200); c, d — окраска по Массону с использованием бриллиантового зеленого (увел. ×200 — c, увел. ×160 — d)
Fig. 1. Structural changes in the bladder wall of elderly and senile men with prostatic hyperplasia: а, fuchselin staining according to Hart (magnification ×200); b, indirect immunoperixidase method with antibodies to α-SMA (magnification ×200); c, d, Masson stain using brilliant green (magnification ×200 — c, ×160 — d)
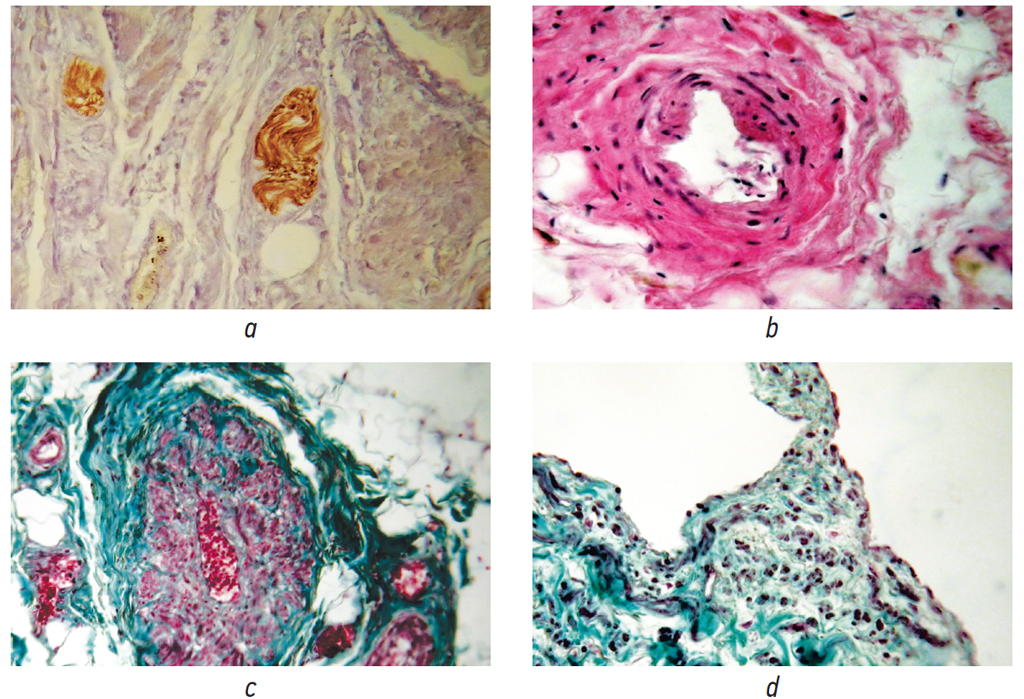
У мужчин пожилого и старческого возраста отдельные мышечные пучки детрузора подвергались истончению, между ними разрасталась грубоволокнистая соединительная ткань (рис. 1, b, d), а эластические волокна, окутывавшие миоциты, оказывались дефрагментированными. Стереометрическое исследование показало, что удельная площадь мышечных волокон детрузора уменьшалась в 2 раза (р = 0,001), а стромы — увеличивалась в 1,5 раза (р = 0,05) по сравнению с контролем; площадь, занимаемая сосудами, достоверно не менялась. В отличие от этого в серии с ГПЖ обнаруживали изменения, обусловленные действием повышенной функциональной нагрузки на детрузор с развитием в нем гипертрофии. В частности, на фоне участков атрофии и склероза гладких мышц детрузора, определялись зоны, представленные мощными мышечными волокнами, собранными в крупные пучки, в которых выявлялось увеличение количества клеток и ядер с гиперхроматозом. В участках гипертрофированных гладких мышц выявлялся хорошо развитый эластический каркас в виде волокон, оплетающих как пучки, так и каждое отдельное волокно, а также более высокая экспрессия α-SMA (рис. 1, b), по сравнению не только с серией без ГПЖ, но и с контролем. Кроме того, в межмышечной строме гипертрофированного детрузора выявлялось увеличение численности капилляров с высокой экспрессией в них CD34. Это нашло свое отражение в данных, полученных с помощью стереометрии. Так, удельная площадь мышечных волокон детрузора увеличивалась в 1,3 раза (р = 0,05) по сравнению с контролем, сосудов — в 1,2 раза (р = 0,05), а стромы уменьшалась в 1,1 раза (р = 0,05) по сравнению с контролем; площадь, занимаемая сосудами, достоверно не менялась. Следует также отметить, что в стенке мочевого пузыря отмечалась слабая экспрессия S100 в нервных волокнах и их окончаниях (рис. 2, а) по сравнению с контролем. Слабая интенсивность окрашивания, на наш взгляд, отражает дегенеративные изменения нервных проводников детрузора.
Основным морфологическим отличием сосудистой перестройки мочевого пузыря при ГПЖ по сравнению с серией препаратов без ГПЖ и контролем было наличие особых миогенных регуляторных структур в артериях и венах. В артериальном русле, в отличие от контрольной серии и серии без ГПЖ, появлялись пучки интимальной мускулатуры, мышечно-эластические сфинктеры и полиповидные подушки Конти, приобретающие важное значение в обеспечении транспорта крови к наиболее функционирующим, подвергшимся гипертрофии, участкам детрузора. Так, интимальная мускулатура, выявляемая, в основном, в средних, мелких артериях и артериолах, состояла из гладких миоцитов, располагающихся во внутренней оболочке сосуда в виде пучков округлой или неправильной формы, выступающих в его просвет (рис. 2, b). В местах их образования внутренняя эластическая мембрана расщеплялась на два листка, которые охватывали их сверху и снизу. Интимальная мускулатура встречалась, как было описано выше, и в замыкающих артериях у лиц без ГПЖ, в которых циркулярный косопродольный слой располагался по всей окружности сосуда, часто подвергаясь склерозу. Мышечно-эластические сфинктеры представляли собой структуры, располагавшиеся в начальных отделах боковых ветвей средних артерий. Они имели вид лепестков из пучков гладких миоцитов, в области расположения которых внутренняя эластическая мембрана расщеплялась на отдельные листки. Полиповидные подушки Конти выглядели как округлые мышечные образования, имеющие сходство с полипами, располагающимися на тонкой ножке или широком основании стенки сосуда. Они образовывались в результате инвагинации различных слоев стенки сосуда в просвет, включая выпячивание только интимы, интимы и медии, интимы, медии и адвентиции. В миоцитах интимальной мускулатуры, сфинктеров и подушек определялась выраженная экспрессия α-SMA.
Рис. 2. Структурные изменения стенки мочевого пузыря у мужчин пожилого и старческого возраста при гиперплазии предстательной железы: a — непрямой иммунопериксидазный метод с антителами к S100; b — окраска гематоксилином и эозином; c, d — окраска по Массону с использованием бриллиантового зеленого. Увел. ×200
Fig. 2. Structural changes in the bladder wall of elderly and senile men with prostatic hyperplasia: a, indirect immunoperixidase method with antibodies to S100; b, hematoxylin and eosin stain; c, d, Masson stain using brilliant green. Magnification ×200
В венах этой серии, как и в артериях, определялись особые мышечные, регуляторные образования, которые мы не встречали ни в контрольной серии, ни в серии без ГПЖ. Они были представлены мышечными «муфтами» внеорганных вен, мышечными валиками и клапанами внутриорганных вен. Венозные «муфты» представляли собой мощные мышечные пласты с различным пространственным расположением гладких миоцитов, а также узкими прослойками коллагеновых и эластических волокон между ними располагающихся по всей окружности наружной оболочки крупных внеорганных вен (рис. 2, с). Данные образования охватывали сосуд сегментарно, формируя перехваты, через определенные отрезки его длины. Контракция гладкой мускулатуры такого мышечного перехвата придавала импульс для движения венозной крови к сердцу, а расслабление сопровождалось противоположным эффектом — депонированием крови. Валики, располагающиеся в крупных и средних внутриорганных венах, исходили из внутренней оболочки в виде выступающих в просвет уплощенных образований, имеющих широкое основание и состоящих также из гладких миоцитов. Венозные клапаны имели вид длинных булавовидных или полиповидных структур на тонкой ножке, образованных в результате инвагинации внутренней оболочки сосуда. В основании клапана, имеющего вид выступа, обнаруживались скопления гладких миоцитов (рис. 2, d), а ножка и тело содержали преимущественно соединительную ткань. Клапанные структуры встречались, в отличие от других венозных образований, и в контрольной серии, однако количество их резко возрастало при ГПЖ. Функциональное значение клапанов сводилось к предотвращению регургитации крови или депонированию крови.
ОБСУЖДЕНИЕ
Результаты настоящего исследования показали, что у мужчин пожилого и старческого возраста, не имеющих ГПЖ, наблюдаются структурные изменения в мочевом пузыре, затрагивающие все его оболочки и сосудистое русло, включая крупные внеорганные артерии. Изменения в самом органе характеризуются гидропической дистрофией уротелия, хроническим воспалением слизистой оболочки, очаговой атрофией мышечных волокон, склерозом межмышечной стромы, деструктивными изменениями эластического каркаса, которые связаны с нарушением сосудистой и нервной трофики. Дисциркуляторные расстройства, приводящие к хронической ишемии мочевого пузыря, обусловлены прогрессирующими атеросклеротическими изменениями во внеорганных артериях мышечно-эластического типа, а также ремоделированием сосудистого бассейна, происходящим вследствие длительного течения артериальной гипертензии. Оно выражается в развитии гипертонуса, гипертрофии медии, гиперэластоза крупных и средних внутриорганных артерий, а также гиалиноза мелких артерий и артериол, являющегося результатом периодически возникающей плазморрагии во время гипертонических кризов. Замыкающие артерии, имеющие хорошо выраженный продольный слой гладких мышц в интиме, способствуют адаптации расстройств кровообращения в мышечной оболочке пузыря. Развитие хронической ишемии детрузора сопровождается атрофически-склеротическими изменениями одних участков гладкой мускулатуры при сохранении других, что не противоречит принципу «функциональной гетерогенности в работе одноименных структур», согласно которому любой орган, с одной стороны, в покое не использует для выполнения функции все структуры одновременно, а с другой стороны, включает в работу все имеющиеся структурные ресурсы и резервы, подвергающиеся гипертрофии при увеличении функциональной нагрузки [15–17]. Как показали наши исследования, ГПЖ у мужчин пожилого и старческого возраста приводит к рабочей компенсаторной гипертрофии детрузора, выражающейся в гиперплазии и гипертрофии ранее не измененных мышечных волокон, в межмышечной строме которых возрастает степень капилляризации, столь необходимая для обеспечения активно функционирующей ткани. Следует отметить, что для поддержания адекватного кровоснабжения таких участков детрузора в артериальном русле мочевого пузыря формируется комплекс структур, способных регулировать гемодинамику в условиях нарушенного кровообращения, то есть на фоне сохраняющейся хронической ишемии. К таким образованиям относятся пучки интимальной мускулатуры, мышечно-эластические сфинктеры и полиповидные подушки Конти. Повышение тонуса косопродольной интимальной мускулатуры в сочетании с сокращением гладких мышц медии приводит к укорочению, скручиванию и гофрированию сосуда с образованием выступающих в его просвет подушкообразных структур. Это сопровождается уменьшением или полной блокадой кровотока как по ним, так и по дистально расположенным боковым ветвям [18]. Функциональная роль сфинктеров сводится к регуляции потоков крови, поступающих из магистральной артерии в боковую ветвь. Полиповидная подушка приводит к полному прекращению кровотока по магистральному стволу и отходящим от него боковым ветвям [19]. В основе появления данных образований лежит процесс миграции гладких миоцитов в интиму через «окна» во внутренней эластической мембране, стимулом которой являются гемодинамические расстройства [20]. Таким образом, вследствие активной работы регуляторных структур при ГПЖ на фоне нарушения гемоциркуляции происходит нормализация транспорта крови по внутриорганным артериям мочевого пузыря в зависимости от функциональной потребности мышечного слоя. Такое активное «переключение», осуществляемое данными структурами, обеспечивает нормальное кровообращение в пользу сохраненных, гипертрофированных, участков детрузора, в ущерб участкам, подвергшимся в ходе инволюции необратимым, атрофически-склеротическим процессам. К регуляторным образованиям в венах относятся: мышечные «муфты», мышечные валики и клапаны. Мышечные «муфты», охватывающие сосуд сегментарно и циркулярно, и валики, формирующиеся во внутренней оболочке, в результате сокращения препятствуют венозному застою и развитию гипоксии, а при необходимости, при расслаблении, депонируют кровь. Такая же функциональная роль отводится и клапанному аппарату вен — предотвращение регургитации венозной крови и продвижение ее к сердцу или, наоборот, депонирование [21]. Таким образом, сосудистая перестройка оказывается важным звеном в обеспечении компенсаторной гипертрофии детрузора при ГПЖ. И от того, насколько эффективной окажется сосудистая компенсация [22], во многом будет зависеть длительность и степень эффективной работы детрузора. Развитие последующей декомпенсации обусловлено прогрессирующими фоновыми процессами в мочевом пузыре.
ЗАКЛЮЧЕНИЕ
При ГПЖ детрузор подвергается очаговой гипертрофии, формирующейся на фоне предсуществующих инволютивных, атрофически-склеротических и нейродегенеративных изменений, развившихся в результате дисциркуляторных нарушений. Рабочая гипертрофия детрузора при ГПЖ обеспечивается работой целого комплекса регуляторных миогенных образований в артериях и венах этого органа, которая заключается в перераспределении транспорта крови к участкам детрузора с наибольшей функциональной активностью.
ДОПОЛНИТЕЛЬНАЯ ИНФОРМАЦИЯ
Вклад авторов. Все авторы внесли существенный вклад в разработку концепции, проведение исследования и подготовку статьи, прочли и одобрили финальную версию перед публикацией.
Конфликт интересов. Авторы декларируют отсутствие явных и потенциальных конфликтов интересов, связанных с публикацией настоящей статьи.
Источник финансирования. Авторы заявляют об отсутствии внешнего финансирования при проведении исследования.
ADDITIONAL INFORMATION
Author contribution. Thereby, all authors made a substantial contribution to the conception of the work, acquisition, analysis, interpretation of data for the work, drafting and revising the work, final approval of the version to be published and agree to be accountable for all aspects of the work.
Competing interests. The authors declare that they have no competing interests.
Funding source. This study was not supported by any external sources of funding.
Об авторах
Игорь Сергеевич Шорманов
Ярославский государственный медицинский университет
Email: i-s-shormanov@yandex.ru
ORCID iD: 0000-0002-2062-0421
SPIN-код: 7772-8420
Scopus Author ID: 6507085029
https://www.ysmu.ru/en/glavnaya/education/kafedry/151-informatsiya-obshchaya/employee/personal/332-schormanov-jr.html
д-р мед. наук, профессор, заведующий кафедрой урологии с нефрологией
Россия, ЯрославльСергей Владимирович Куликов
Ярославский государственный медицинский университет
Email: kulikov268@yandex.ru
ORCID iD: 0000-0002-3331-8555
SPIN-код: 8894-6060
д-р мед. наук, доцент, заведующий кафедрой патологической анатомии
Россия, ЯрославльАндрей Сергеевич Соловьев
Ярославский государственный медицинский университет
Автор, ответственный за переписку.
Email: a-s-soloviev89@yandex.ru
ORCID iD: 0000-0001-5612-3227
канд. мед. наук, ассистент кафедры урологии с нефрологией
Россия, ЯрославльСписок литературы
- Аполихин О.И., Комарова В.А., Никушина А.А., Сивков А.В. Болезни предстательной железы в Российской Федерации: статистические данные 2008–2017 гг. // Экспериментальная и клиническая урология. 2019. № 2. С. 4–12. doi: 10.29188/2222-8543–2019-11-2-4-12
- Красняк С.С. Патогенетическая терапия доброкачественной гиперплазии предстательной железы и простатической интраэпителиальной неоплазии // Экспериментальная и клиническая урология. 2020. № 4. С. 66–74. doi: 10.29188/2222-8543-2020-13-4-66-74
- Кирпатовский В.И., Иванов А.П., Кудрявцева Л.В., Фролова Е.В. Влияние терапии α-адреноблокаторами и комплексом противоишемических препаратов на обратимость гипертрофии детрузора и его дисфункции после ликвидации инфравезикальной обструкции // Экспериментальная и клиническая урология. 2020. № 2. С. 34–41. doi: 10.29188/2222-8543-2020-12-2-34-41
- Данилов В.В., Осинкин К.С., Данилов В.В., Севрюков Ф.А. Альфа1-адреноблокаторы и гиперактивность детрузора у пациентов с аденомой предстательной железы // Вопросы урологии и андрологии. 2018. Т. 6, № 2. С. 49–53. doi: 10.20953/2307-6631-2018-2-49-53
- Киселева Г.В., Рафальская К.А. Распространенность гериатрических синдромов у пациентов врача общей практики // Российский семейный врач. 2017. № 4. С. 21–28. doi: 10.17816/RFD2017421-28
- Han H.H., Ko W.J., Yoo T.K., et al. Factors associated with continuing medical therapy after transurethral resection of prostate // Urology. 2014. Vol. 84, No. 3. P. 675–680. doi: 10.1016/j.urology.2014.04.027
- Куликов С.В., Шорманов И.С., Соловьев А.С. Структурные преобразования мочевого пузыря и его сосудистой системы у мужчин пожилого и старческого возраста // Экспериментальная и клиническая урология. 2020. № 2. С. 124–129. doi: 10.29188/2222-8543-2020-12-2-124-129
- Пранович А.А., Сатардинова Э.Е., Прощаев К.И. Биомаркеры патологического старения уротелия // Клиническая геронтология. 2018. Т. 24, № 3–4. С. 8–12. doi: 10.26347/1607-2499201803-04008-012
- Данилов В.В., Данилов В.В., Остобунаев В.В. Особенности ведения пациентов пожилого возраста с доброкачественной гиперплазией предстательной железы // Бюллетень науки и практики. 2019. Т. 5, № 9. С. 107–115. doi: 10.33619/2414-2948/46/11
- Кузьмин И.В., Аль-Шукри С.Х. Фезотеродин в лечении гиперактивного мочевого пузыря: фармакологические основы и клинические результаты // Урологические ведомости. 2020. № 2. С. 163–171. doi: 10.17816/uroved102163-171
- Лушникова Е.Л., Непомнящих Л.М., Неймарк А.И., и др. Роль структурно-функциональных изменений гладкомышечных клеток детрузора и предстательной железы в развитии гиперактивного мочевого пузыря // Фундаментальные исследования. 2012. № 5–1. С. 68–73.
- Арбузов И.А., Еременко С.Н., Гаджиев Н.К., и др. Эндоскопическая диодная лазерная энуклеация в комплексной терапии доброкачественной гиперплазии предстательной железы // Вопросы урологии и андрологии. 2018. Т. 6, № 3. С. 11–15. doi: 10.20953/2307-6631-2018-3-11-15
- Есипова И.К., Кауфман О.Я., Крючкова Г.С., и др. Очерки по гемодинамической перестройке сосудистой стенки. Москва: Медицина, 1971. 310 с.
- Саркисов Д.С. Структурные основы адаптации и компенсации нарушенных функций. Москва: Медицина, 1987. 445 с.
- Яскевич Р.А. Частота вариантов ремоделирования левого желудочка у больных с артериальной гипертонией различных конституциональных типов // Научное обозрение. Медицинские науки. 2020. № 4. С. 81–87. doi: 10.17513/srms.1134
- Залова Т.Б, Полупанов А.Г, Цой Л.Г. Взаимосвязь цитокинового статуса с наличием гипертрофии левого желудочка у пациентов с артериальной гипертензией // Казанский медицинский журнал. 2019. № 2. С. 204–213. doi: 10.17816/KMJ2019-204
- Ризванова Р.Т., Максимов Н.И. Особенности структурно-функциональных показателей сердечно-сосудистой системы у мужчин молодого возраста с артериальной гипертонией в сочетании с метаболическим синдромом // Пермский медицинский журнал. 2017. Т. 34, № 6. С. 17–21. doi: 10.17816/pmj34617-21
- Conti G. Sur La morphologie des anastomoses arterioveinnses et des dispositits regulateurs du courant sanguine // Ann Anat Pathol. 1958. Vol. 1. P. 5–32.
- Гансбургский А.Н., Яльцев А.В. Особенности морфогенеза кровеносных сосудов плода при плацентарной недостаточности беременных // Российский вестник перинатологии и педиатрии. 2015. Т. 60, № 3. С. 45–49. doi: 10.21508/1027-4065-2015-60-3-133-138
- Шорманов С.В., Куликов С.В. Перестройка структуры печени при экспериментальном стенозе легочного ствола и после его оперативной коррекции // Морфология. 2013. Т. 144, № 4. С. 41–46.
- Стрелков А.Н., Астраханцев А.Ф., Снегур С.В. Морфологическое изучение клапанного аппарата поверхностной венозной системы полового члена человека // Андрология и генитальная хирургия. 2020. Т. 21, № 4. С. 68–75. doi: 10.17650/2070-9781-2020-21-4-68-75
- Гаранин А.А. К вопросу о терминологии в биомеханике кровообращения: понятие о компенсации, субкомпенсации и декомпенсации // Российский журнал биомеханики. 2018. Т. 22, № 2. С. 241–252. doi: 10.15593/RZhBiomeh/2018.2.08
Дополнительные файлы






