Tactics of treatment of patients with testicular torsion
- Authors: Kalinina S.N.1, Fesenko V.N.1, Burlaka O.O.2, Mosharev M.V.2, Aleksandrov M.S.2, Madzhidov S.A.2, Vydryn P.S.2
-
Affiliations:
- I.I. Mechnikov North-Western Medical State University
- Aleksandrovskaya Hospital
- Issue: Vol 9, No 1 (2019)
- Pages: 5-10
- Section: Original study articles
- Submitted: 24.05.2019
- Accepted: 24.05.2019
- Published: 24.05.2019
- URL: https://journals.eco-vector.com/uroved/article/view/12922
- DOI: https://doi.org/10.17816/uroved915-10
- ID: 12922
Cite item
Abstract
The article presents the results of surgical treatment of 36 men aged 18 to 35 years with testicular torsion who were treated at the urological clinic of the Alexandrovskaya Hospital from 2012 to 2017. Indications for surgical treatment were pains in the inguinal region, the absence or sharp decrease in blood flow below the site of the alleged testicular torsion by ultrasound dopplerography of the scrotum organs. Orchidpexy was performed in 8 patients, orchiepididimectomy was performed in 28 patients. The indication for orchidpexy was the viable testicle, which was observed with incomplete testicular torsion and its duration of less than 6 hours. Testicular prosthesis was performed in 11 patients.
Full Text
INTRODUCTION
Acute diseases of the scrotum are the most common genital diseases in men and the cause of 4%–10% of urgent admissions in patients with urologic conditions [1, 2]. One of these conditions is testicular torsion (Latin. torsio testis) that is caused by the pathological mobility of the scrotum. Along with the term “testicular torsion,” the term “spermatic cord torsion” is often used, since it is the spermatic cord that undergoes rotation. Rotation and twisting of the spermatic cord together with the surrounding vessels in the vertical or horizontal axis are accompanied by ischemia and can lead to testicular necrosis.
The testicle and epididymis are enzyme-secretory-hormone-driven organs that are under the influence of the hypothalamic-pituitary system and the sex and gonadotropic hormones. Blood to the testicle and epididymis is supplied by three arteries, testicular artery (arteria testicularis), internal spermatic artery (arteria spermatica interna), and artery to the vas deferens (arteria ductus deferentis), and three groups of veins, from the head, body, and tail of the epididymis [3, 4]. The pathology develops predominantly in children and adolescents aged 10–16 years, but it can also develop in newborn and adult men. Incomplete testicular torsion frequently develops at age 12–15 years [5]. The risk factors for testicular torsion include excessive mobility (absence of normal attachment of the organ to the bottom of the scrotum), prematurity, morphological and functional dysmaturity of the reproductive organs and their disproportionate growth, congenital lengthening of the spermatic cord, spiral form and shortening of the сremaster muscle, inguinal-scrotal hernia, scrotal injuries, physical activity accompanied by increased intra-abdominal pressure, wearing tight clothing, and sexual intercourse accompanied by a pronounced cremasteric reflex, i.e., contraction of the muscle that elevates the testicle [6].
Two types of testicular torsion have been identified. The first form, extravaginal, is characterized by twisting that occurs along the tunicae and is caused by cremasteric spasm. It is typically observed in infants. The second form, intravaginal, develops inside the tunica vaginalis and occurs in children aged >3 years and adult men. Unilateral testicular torsion is more common. With reflex contraction of the cremaster muscle, the testicle retracts and begins a rotational movement. The length of the testicle mesentery is directly proportional to its mobility, whereas the force of muscle contraction and mass of the testis is directly proportional to the degree of torsion of the testicle. When the testicle is rotated >180° (incomplete torsion), acute impairment of blood circulation occurs, thrombosis of the spermatic cord develops, serous and hemorrhagic transudate accumulates in the cavity of the tunica vaginalis, and a secondary hydrocele develops [6, 7].
Differential diagnosis of testicular torsion should be performed with acute nonspecific epididymitis, acute gonorrheal epididymitis, acute tuberculous orchiepididymitis, acute orchitis, and acute brucellosis orchitis [8]. Scrotal Doppler ultrasonography (US) is significant in the differential diagnosis of testicular torsion and acute epididymitis because it is possible to determine the absence of blood flow during torsion or its enhancement by 2–4 times in acute epididymitis using this technique [9]. In the diagnosis of gonorrhea, tuberculosis, brucellosis epididymitis, or orchiepididymitis, taking the thorough epidemiological history into account is important, and treatment should be administered in a specialized institution.
Since testicular torsion is more common in children, pediatric surgeons and urologists are more often involved in the treatment of this pathology. The term “acute scrotum,” indicating the need for urgent medical measures, is frequently used. In order to not overlook the diagnosis of testicle torsion, active surgical strategies in children that were established more than 25 years ago are preferred in acute epididymitis [10]. The opinionthat “… in case of suspected acute surgical pathology of the scrotum and testicles, it is necessary to exclude testicular torsion, therefore it is better to perform several ‘unnecessary’ operations than not to perform one for which there were indications” is fully justified [11]. If possible, the testicle should be preserved, but if it is not viable then orchiectomy should be performed. The association of 360° inversion and disease onset of 24 h leads to a low chance of preserving the testicle [12].
Closed manual detorsion in testicular torsion still remains controversial. Efficiency of manual detorsion has shown to be directly proportional to the patient’s age and inversely proportional to the duration of ischemia before manipulation, but the high incidence of residual torsion does not allow this method to be considered as an independent treatment option for testicular torsion [13]. In our surgical practice, we have never performed closed manual detorsion in men with testicular torsion.
Currently, urologists, fertility specialists, and endocrinologists extensively discuss the issue of reproductive, hormonal, spermatological, and sexual functions in men after fixation or removal of the testicle, since both methods can lead to oxidative stress in spermatozoa. Changes in the ejaculate have been shown to be dependent on the patient’s age, duration, and the degree of testicular ischemia, and the worst findings have been recorded in ischemia in puberty against the background of mature sex glands [14].
The aim of this study was to investigate testicular viability depending on torsion time and clinical and Doppler US data.
MATERIAL AND METHODS
The study included 36 patients aged 18–35 years (mean age 26.5) who underwent surgery for testicular torsion between 2012 and 2017. All patients were urgently admitted to a urology clinic in Alexandrovskaya Hospital, where the Department of Urology in North-Western State Medical University named after I.I. Mechnikov is based. Of these patients, 16 were married but had no children, whereas the rest were single. All patients had a regular sex life. On admission, patients complained of severe, sudden pain in the right or left half of the scrotum, retraction of the testicle to the external opening of the inguinal canal, and swelling of the testicle and epididymis (Fig. 1). Patients with acute epididymitis and sexually transmitted infections in all observed patients were excluded from this study.
Fig. 1. Patient C., 30 years old. Testicle is pulled to the superficial inguinal ring. Photo was made before surgery
Scrotal Doppler US was performed preoperatively in all patients.
RESULTS
There was an association between pain onset and severe physical exertion, such as weightlifting and playing sports, in most patients. In 30 patients, clinical blood and urine test results as well as body temperature were normal. Subfebrile rise in temperature of up to 37.5° with chills, significant leukocytosis, and moderate leukocyturia was noted in 5 patients. One patient recently received treatment for peritonsillar abscess. He had moderate leukocytosis and no leukocyturia. Testicular torsion in this patient developed after a long dance at a nightclub.
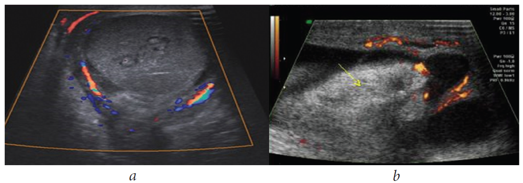
Time from the onset of testicular torsion was <6 h in 8 (22.2%) patients, 6–12 h in 10 (27.8%) patients, 12–24 h in 11 (30.6%) patients, and >24 h in 7 (19.4%) patients. Based on the scrotal Doppler US findings, no blood flow in the testicular artery and a sharp increase in testicle and epididymis size were observed in 28 patients. The other 8 patients showed decreased blood flow in the testicular artery and an increase in epididymis and testicle size (Fig. 2 and 3). In patients with time of onset of testicular torsion <6 h, the decrease in blood flow in the testicular artery was determined by scrotal Doppler US, and incomplete testicular torsion of 180° was observed during the revision of the scrotum. In this case, it was possible to save the testicle and fix it to the tunica of the septum and tunica dartos. In patients with time of onset >12 h, testicular torsion of 360° with insufficient blood flow in the testicular artery, destructive changes in the testicular tissues and epididymis, and signs of hydrocele were detected.
Fig. 2. Patient C., 30 years old. Scrotal Doppler ultrasound before surgery: a – normal blood flow in the right a.testicularis; b – absence of blood flow in the left a. testicularis, left testicle enlargement and torsion
Fig. 3. Patient B., 27 years old. Scrotal Doppler ultrasound before surgery: a – significant blood flow decrease in testicular blood vessels, congestion of testicular tunics, lythic lesion of testicular parenchyma; b – absence of pulsation below torsion
All patients underwent urgent scrotal exploration. During the surgery, 28 (77.7%) patients with pronounced changes in the testicle with no blood flow on Doppler US had signs of necrosis. They underwent orchiepididymectomy (Fig. 4). In 8 (22.2%) patients, the testicle was defined as viable. They underwent reposition and orchidopexy (Fig. 5).
Fig. 4. Patient M., 30 years old, scrotal Doppler ultrasound, absence of pulsation below torsion (a); that testicle during surgery (testicular necrosis), torsion duration more than 24 hours, 360° torsion, orchiepididymectomy was performed (b, c)
Fig. 5. Patient, 27 years old, testicle during surgery for 180° testicular torsion 6 hours after torsion happened, testicle is vital, orchipexia was performed
During scrotal exploration, the color of tunica was evaluated, the tunica vaginalis was opened, and transudate was evacuated. Then, the testicle was untwisted (open detorsion was performed) and its viability and the presence of signs of necrosis were evaluated. In patients with cherry-colored, viable testicle with signs of incomplete torsion of 180° and time of onset ≤ 6 h, the testicle was rotated in the direction opposite to the median septum of the scrotum (from the inside outward); that is, the right testicle was rotated clockwise and the left testicle counterclockwise. After torsion was released, the testicle color was evaluated, and for 10–15 min, they were covered with napkins abundantly moistened with warm saline. Excess tissue of the tunica vaginalis was dissected and coagulated. To prevent hydrocele development, the edges of the tunica vaginalis were rotated and fixed with 2–3 sutures using a 3/0 synthetic absorbable suture. Subsequently, the testicle was fixed to the median septum of the scrotum in the tunica albuginea or tunica dartos. For complete testicular torsion (360–540°) and testicular necrosis, orchiepididymectomy was performed. A drainage tube was inserted into the wound. To prevent inflammation and destructive changes, antibiotics were administrated. The histological study of the specimen revealed hemorrhagic infarction of the testicle (Fig. 6).
Fig. 6. Patient, 31 years old, gross specimen (necrotized testicle), 360° torsion, received non-surgical treatment for 2 days before hospitalization (a); hemorrhagic infarction was verified morphologically (b)
CONCLUSION
For suspected testicular torsion, only aggressive strategies should be performed. Testicular torsion can be released conservatively in only 2%–3% of cases; in other cases, surgical intervention is inevitable. In patients with time of onset of testicular torsion <6 h, the chance of organ viability is 90%–100%, and after 12–24 h, it decreases to 20%–50%.
About the authors
Svetlana N. Kalinina
I.I. Mechnikov North-Western Medical State University
Author for correspondence.
Email: kalinina_sn@mail.ru
Doctor of Medical Science, Professor, Urology Department
Russian Federation, Saint PetersburgVladimir N. Fesenko
I.I. Mechnikov North-Western Medical State University
Email: fesvn_spb@mail.ru
Candidate of Medical Science, Associate Professor, Urology Department
Russian Federation, Saint PetersburgOleg O. Burlaka
Aleksandrovskaya Hospital
Email: burlaka@list.ru
Candidate of Medical Science, Head of Department of Urology
Russian Federation, Saint PetersburgMikhail V. Mosharev
Aleksandrovskaya Hospital
Email: fesvn_spb@mail.ru
Candidate of Medical Science, Head of Department of Urology
Russian Federation, Saint PetersburgMikhail S. Aleksandrov
Aleksandrovskaya Hospital
Email: fesvn_spb@mail.ru
Candidate of Medical Science, Head of Department of Urology
Russian Federation, Saint PetersburgSaidzhon A. Madzhidov
Aleksandrovskaya Hospital
Email: fesvn_spb@mail.ru
Candidate of Medical Science, Head of Department of Urology
Russian Federation, Saint PetersburgPavel S. Vydryn
Aleksandrovskaya Hospital
Email: fesvn_spb@mail.ru
Candidate of Medical Science, Head of Department of Urology
Russian Federation, Saint PetersburgReferences
- Тиктинский О.Л., Калинина С.Н., Михайличенко В.В. Андрология. – М.: МИА, 2010. – 576 с. [Tiktinskiy OL, Kalinina SN, Mikhaylichenko VV. Andrologiya. Moscow: MIA; 2010. 576 p. (In Russ.)]
- Абоев З.А. Острые заболевания органов мошонки. Клиника, диагностика и лечение: Автореф. дис. … канд. мед. наук. – М., 2001. [Aboev ZA. Ostrye zabolevaniya organov moshonki. Klinika, diagnostika i lechenie. [dissertation] Moscow; 2001. (In Russ.)]
- Favorito LA, Cavalcante AG, Costa WS. Anatomic aspects of epididymis and tunica vaginalis in patients with testicular torsion. Int Braz J Urol. 2004;30(5):420-424. http://dx.doi.org/10.1590/S 1677-55382004000500014.
- Filho DW, Torres MA, Bordin AL, et al. Spermatic cord torsion, reactive oxygen and nitrogen species and ischemia-reperfusion injury. Mol Aspects Med. 2004;25(1-2):199-210. https://doi.org/10.1016/j.mam.2004.02.020.
- Zhao LC, Lautz TB, Meeks JJ, Maizels M. Pediatric testicular torsion epidemiology using a national database: incidence, risk of orchiectomy and possible measures toward improving the quality of care. J Urol. 2011;186(5):2009-2013. https://doi.org/10.1016/j.juro.2011.07.024.
- Hazeltine M, Panza A, Ellsworth P. Testicular Torsion: Current Evaluation and Management. Urol Nurs. 2017;37(2):61-71,93. https://doi.org/10.7257/1053-816X.2017.37.2.61.
- Sharp VJ, Kieran K, Arlen AM. Testicular torsion: diagnosis, evaluation, and management. Am Fam Physician. 2013;88(12):835-840.
- Trojian TH, Lishnak TS, Heiman D. Epididymitis and orchitis: an overview. Am Fam Physician. 2009;79(7):583-587.
- Dogra VS, Gottlieb RH, Oka M, Rubens DJ. Sonography of the scrotum. Radiology. 2003;227(1):18-36. https://doi.org/10.1148/radiol.2271001744.
- Юдин Я.Б., Окулов А.Б., Зуев Ю.Е., Саховский А.Ф. Острые заболевания органов мошонки у детей. – М.: Медицина, 1987. – 144 с. [Yudin YB, Okulov AB, Zuev YE, Sakhovskiy AF. Ostrye zabolevaniya organov moshonki u detey. Moscow: Meditsina; 1987. 144 p. (In Russ.)]
- Mansbach JM, Forbes P, Peters C. Testicular torsion and risk factors for orchiectomy. Arch Pediatr Adolesc Med. 2005;159(12):1167-1171. https://doi.org/10.1001/archpedi.159.12.1167.
- Щедров Д.Н. Хирургическая тактика при завороте яичка у детей // Урологические ведомости. – 2015. – Т. 5. – № 2. – С. 20–24. [Shchedrov DN. Khirurgicheskaya taktika pri zavorote yaichka u detey. Urologicheskie vedomosti. 2015;5(2):20-24. (In Russ.)]
- Шорманов И.С., Щедров Д.Н. Закрытая мануальная деторсия при завороте яичка у детей // Урологические ведомости. – 2018. – Т. 8. – № 1. – С. 34–39. [Shormanov IS, Shchedrov DN. Closed manual detorsion in case of a testicular torsion in children. Urologicheskie vedomosti. 2018;8(1):34-39. (In Russ.)]. https://doi.org/10.17816/uroved8134-39.
- Шорманов И.С., Щедров Д.Н., Морозов Е.В. Нарушения сперматогенной функции после перенесенного заворота яичка в детском и подростковом возрасте // Урологические ведомости. – 2018. – Т. 8. – № 4. – С. 25–32. [Shormanov IS, Shchedrov DN, Morozov EV. Narusheniya spermatogennoy funktsii posle perenesennogo zavorota yaichka v detskom i podrostkovom vozraste. Urologicheskie vedomosti. 2018;8(4):25-32. (In Russ.)].
Supplementary files









