Vascular conflicts in andrology. Part 1. Upper level arteryovenous conflicts
- Authors: Kapto A.А.1,2,3, Smyslova Z.V.1,2
-
Affiliations:
- Education Center of Medical Workers
- RUDN University of the Ministry of Science and Higher Education of the Russian Federation
- Multidisciplinary Medical Holding “SM-Clinic”
- Issue: Vol 9, No 2 (2019)
- Pages: 29-35
- Section: Reviews
- Submitted: 30.07.2019
- Accepted: 30.07.2019
- Published: 30.07.2019
- URL: https://journals.eco-vector.com/uroved/article/view/15535
- DOI: https://doi.org/10.17816/uroved9229-35
- ID: 15535
Cite item
Full Text
Abstract
This article presents a review of the literature on the prevalence, classification, clinic, diagnosis and treatment of upper level arteriovenous conflicts: nutcracker syndrome and posterior nutcracker syndrome.
Full Text
ТЕРМИНОЛОГИЯ
Под сосудистыми конфликтами понимают такое расположение артерий и вен, при котором происходит деформация стенки вены артерией, приводящая к компрессии, локальной венозной гипертензии и нарушению венозного оттока. Эта ситуация, как правило, компенсируется развитием коллатерального кровообращения и сопровождается полиморфной клинической картиной. Актуальность этой темы обусловлена тем, что чаще всего врачи пытаются лечить следствие без выявления и учета причины. Результатом такого подхода является относительно низкая и временная результативность проводимого лечения. В настоящей работе мы проанализировали ранее известные и современные данные об артериовенозных конфликтах у мужчин с позиции уролога и андролога. Задача настоящей работы заключалась в обзоре роли артериовенозных конфликтов в развитии андрологических заболеваний, а также диагностической и лечебной тактики при этих состояниях.
СИНДРОМ АОРТОМЕЗЕНТЕРИАЛЬНОЙ КОМПРЕССИИ ЛЕВОЙ ПОЧЕЧНОЙ ВЕНЫ (NUTCRACKER SYNDROME)
Определение
В 1937 г. анатом L.C.B. Grant впервые описал синдром сдавления левой почечной вены верхней брыжеечной артерией [1]. Нарушение проходимости левой почечной вены обусловлено острым углом между аортой и отходящей от нее верхней брыжеечной артерией, а выраженность сужения зависит от остроты аортомезентериального угла [2]. Синдром аортомезентериального сдавления левой почечной вены в англоязычной литературе известен как nutcracker syndrome — синдром орехокола или щелкунчика, а в российской — как артериальный аортомезентериальный пинцет. Nutcracker syndrome часто сочетается с синдромом верхней брыжеечной артерии. Синдром верхней брыжеечной артерии (superior mesenteric artery syndrome, SMA syndrome) впервые описал австрийский профессор Carl von Rokitansky в учебнике по анатомии в 1842 г. [3]. Причиной развития синдрома служит компрессия двенадцатиперстной кишки верхней брыжеечной артерией, которая клинически проявляется послеобеденной болью в эпигастральной области, тошнотой, рвотой, анорексией и потерей веса. Данное состояние терминологически имеет несколько синонимичных форм: синдром аортомезентериальной артериальной компрессии [4], синдром артериомезентериальной дуоденальной компрессии [5], синдром дуоденальной сосудистой компрессии [6], синдром верхней брыжеечной артерии [7], синдром компрессии верхней брыжеечной артерии [8], Wilkie’s syndrome [9], cast syndrome [10].
Из-за вариабельности симптомов и отсутствия консенсуса по диагностическим критериям точная распространенность nutcracker syndrome неизвестна.
Классификация
В 1987 г. G. Sigmund et al. на основании клинического осмотра, двунаправленного доплеровского ультразвукового исследования и ретроградной флебографии у пациентов с варикоцеле выделили два гемодинамических типа рефлюкса: stop-type, когда рефлюкс заблокирован компетентными клапанами яичковой вены, и shunt-type, когда рефлюкс распространяется из-за клапанной несостоятельности яичковой вены [11]. Данные G. Sigmund et al. (1987) легли в основу нашей флебографической классификации венной почечной гипертензии, которая предполагает два варианта в зависимости от степени декомпенсации клапанов левой яичковой вены (рис. 1).
Рис. 1. Варианты венной почечной гипертензии по данным рентгеноконтрастной ренофлебографии: a — рефлюкс в центральную вену левого надпочечника при отсутствии декомпенсации клапанного аппарата левой яичковой вены; b — рефлюкс в центральную вену левого надпочечника и в левую яичковую вену
Fig. 1. Variants of venous renal hypertension according to radiopaque renoflebography: a – reflux to the central vein of the left adrenal gland in the absence of decompensation of the valve apparatus of the left testicular vein; b – reflux into the central vein of the left adrenal gland and into the left testicular vein
Клинические проявления
Классическая клиническая триада симптомов при синдроме аортомезентериального сдавления левой почечной вены (гематурия, варикоцеле и боли в левом боку) впервые описана в 1950 г. A.R. El Sadr и A. Mina [12]. В 1972 г. A. De Schepper описал случай макрогематурии, связанный с аортомезентериальной компрессией, и назвал его nutcracker phenomenon [13], который может проявляться разнообразным симптомокомплексом. Это может быть левосторонняя микро- и макрогематурия, боль в левых отделах живота, варикоцеле у мужчин и варикоз вен малого таза у женщин [13–15].
J. Mac Leod (1965) показал, что причиной нарушения сперматогенеза при варикоцеле являются метаболиты и продукты секреции левой почки и надпочечника [16]. В 1990 г. Е.Б. Мазо и др. впервые описали функциональную взаимосвязь надпочечников и яичек в патогенезе бесплодия у пациентов с левосторонним варикоцеле. Согласно этой концепции при венной почечной гипертензии за счет рефлюкса крови по центральной вене левого надпочечника в корковом веществе последнего продуцируются в повышенном количестве стероидные гормоны, обладающие антиандрогенной и антисперматогенной активностью (кортизола и прогестерона). Лабильность венной почечной гипертензии (восстановление нормального кровотока в покое) обусловливает то, что эти гормоны, попадая в общий кровоток, угнетают сперматогенез в обоих яичках [17]. Результаты этого исследования были доложены на IX съезде европейских урологов в Амстердаме в 1990 г. и были отмечены оценкой high light. В 1994 г. А.А. Капто при оперативном лечении 127 пациентов с варикоцеле показал, что нормостероидемия в 77,3 % случаев сочеталась с нормозооспермией и фертильностью, а гиперстероидемия надпочечникового происхождения в 97,1 % случаев — с патоспермией и бесплодием. При этом гиперпрогестеронемия приводила к снижению подвижности, а гиперкортизолемия — к снижению концентрации и содержания морфологически нормальных форм сперматозоидов в эякуляте [18]. Повышение венной почечной гипертензии после пересечения внутренней яичковой вены обусловливает формирование рено-портального венозного анастомоза и портализацию насыщенной стероидами крови из левого надпочечника, где в печени эти стероиды (кортизол, прогестерон) подвергаются метаболизму.
Анализ литературы позволил выделить два варианта формирования рено-портального венозного анастомоза при венной почечной гипертензии: 1) анастомоз между v. gastroomentalis (gastroepiploica) sinistra и v. suprarenalis sinistra, описанный А.Н. Максименковым (1972) [19], 2) анастомоз между v. testicularis sinistra и v. mesenterica inferior, описанный В.Н. Тонковым (1962) [20]. Если повышение давления в левой почечной вене не приводит к формированию рено-портального венозного анастомоза, избыточное количество стероидных антиандрогенов, попадая в общий кровоток, еще больше угнетает сперматогенез. Этим объясняется то, что в одних случаях варикоцельэктомия приводит к фертилизации пациента, а в других — к появлению или усилению патоспермии и бесплодия. Синдром аортомезентериального сдавления левой почечной вены служит причиной лабильной венной почечной гипертензии и вторичной декомпенсации клапанов левой или яичниковой вены (реносперматический тип варикоцеле).
В 2006 г. нами впервые был введен термин «рено-пельвикальный венозный анастомоз» для описания процесса перераспределения венозной крови у больных с левосторонним варикоцеле при артериальном аортомезентериальном пинцете из бассейна левой почечной вены (через венозный анастомотический узел, образованный v. testicularis interna sinistra, v. ductus deferens sinistra и v. cremasterica sinistra) в венозный бассейн v. pudenda interna и plexus venosus prostaticus (рис. 2). Это позволило предположить, что варикоцеле выступает гемодинамической предпосылкой развития венозного полнокровия органов малого таза и рецидивирования хронического простатита (рис. 3) [21].
Рис. 2. Ретроградная флеботестикулография. Рено-пельвикальный венозный анастомоз. Сброс венозной крови в венозное сплетение малого таза по v. ductus deferens sinistra
Fig. 2. Retrograde phlebotesticulography. Renopelvic venous anastomosis. Discharge of venous blood in the pelvic venous plexus via v. ductus deferens sinistra
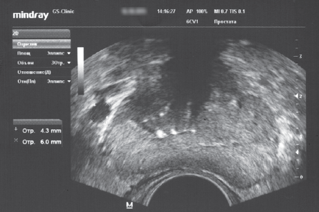
Рис. 3. Трансректальное ультразвуковое исследование простаты пациента Л., 69 лет, с левосторонним варикоцеле 2-й стадии. Объем простаты — 16,5 см3. Максимальный диаметр вен слева — 6,0 мм. Хронический калькулезный простатит
Fig. 3. Transrectal ultrasound of the prostate of patient L., 69 years old, with left-sided varicocele stage 2. The volume of the prostate is 16.5 cm3. The maximum diameter of the veins on the left is 6.0 mm. Chronic calculous prostatitis
Диагностика
Синдром аортомезентериального сдавления левой почечной вены верифицируют по данным УЗИ в В-режиме в сочетании с цветным доплеровским картированием сосудов области бассейна левой почечной вены и артерии и области аортомезентериального пинцета, МРТ нижней полой вены или сосудов малого таза, КТ органов брюшной полости с контрастным усилением, флебографии и флеботонометрии.
При обработке данных МРТ нижней полой вены и сосудов малого таза и КТ органов брюшной полости с контрастным усилением определяют критерии аортомезентериальной компрессии. По данным J.R. Derric (1965), A.R.Jr. Mansberger et al. (1968), E.R. Wayne et al. (1972), у большинства пациентов угол между верхней брыжеечной артерией и аортой в норме составляет от 38 до 56°, что частично обусловлено мезентериальной жировой клетчаткой [22–24]. H. Ozkurt et al. (2007) выявили, что этот угол положительно коррелирует с индексом массы тела [25]. По данным G. Sapkas et al. (1981) и S. Neri et al. (2005), аортомезентериальная дистанция в норме составляет 10–28 мм [26, 27]. M. Waseem et al. (2012) считают, что аортомезентериальная дистанция <8 мм и угол <22° предполагают наличие nutcracker syndrome [28]. По сведениям B.M. Felton et al. (2012) и P. Vulliamy et al. (2013), величина аортомезентериального угла (aortomesenteric angle, AMA) в норме составляет 28–65°, а величина аортомезентериальной дистанции (aortomesenteric distance, AMD) — 10–34 мм [29, 30].
Флеботонометрию производят в левой почечной вене в области ворот почки и в нижней полой вене, а также в левой подвздошной вене при помощи аппарата Вальдмана в миллиметрах водяного столба (коэффициент пересчета 13,6 для перевода в миллиметры ртутного столба). Основными критериями регионарной венной почечной гипертензии являются систолическое давление более 11 мм рт. ст. в левой почечной вене и градиент между нижней полой и левой почечной венами 4 мм рт. ст. [31, 32].
Лечение
Оперативное лечение артериовенозных конфликтов верхнего уровня включает следующие группы методик.
- Операции, устраняющие патологический ретроградный кровоток по левой яичковой вене: высокая резекция по O. Ivanissewich и M. Gregorini (1918) [33]; чрескожная рентгенохирургическая окклюзия левой яичковой вены по V. Iaccarino (1977) [34] и S.S. Lima et al. (1978) [35]; субингвинальная варикоцельэктомия по J.L. Marmar et al. (1985) [36]; лапароскопическая варикоцельэктомия по E. Sanchez de Badajoz et al. (1988) [37]; антеградная склеротерапия по R. Tauber et al. (1988) [38]; гонадокавальное обходное шунтирование по A.H. Scultetus et al. (2001) [39].
- Операции, устраняющие компрессию левой почечной вены: флеболиз левой почечной вены (открытое выделение левой почечной вены из фиброза между аортой и верхней брыжеечной артерией) [40]; транспозиция левой почечной вены или ренокавальная реимплантация [41]; обходное шунтирование левой почечной вены синтетическими сосудистыми протезами или подкожными венами конечностей [42]; транспозиция верхней брыжеечной артерии или мезоаортальная транспозиция [43, 44]; эндоваскулярное стентирование левой почечной вены [45]; открытое экстраваскулярное (наружное) стентирование левой почечной вены [46]; лапароскопическое экстраваскулярное (наружное) стентирование левой почечной вены [47]; пластика вены с наложением заплаты [48]; передняя нефропексия с иссечением варикозно расширенных вен почки [49]; баллонная ангиопластика [50]; аутотрансплантация от живого донора [51, 52]; нефрэктомия [53].
- Операция, устраняющая ретроградный кровоток по центральной вене левого надпочечника: рентгенэндоваскулярная окклюзия центральной вены левого надпочечника, позволяющая добиться улучшения сперматогенеза в 90,5 % случаев и его полного восстановления в 81,0 % случаев с наступлением беременности у партнерши в 57,1 % случаев в течение года, с наивысшей частотой наступления беременности через 3 мес. после операции. Высокая эффективность метода связана с тем, что окклюзия центральной вены левого надпочечника вызывает портализацию венозного оттока от левого надпочечника, что в свою очередь приводит к инактивации избыточного количества кортизола и прогестерона в печени и устранению их повреждающего влияния на сперматогенез в обоих яичках [18].
СИНДРОМ РЕТРОАОРТАЛЬНОЙ КОМПРЕССИИ ЛЕВОЙ ПОЧЕЧНОЙ ВЕНЫ (POSTERIOR NUTCRACKER SYNDROME)
Термин posterior nutcracker phenomenon обозначает гипертензию в ретроаортальной левой почечной вене вследствие ее компрессии между аортой и позвоночным столбом [54].
Эта патология встречается в популяции от 1,7 [55] до 3,7 % случаев [56]. Иногда (1,8 %) левая почечная вена проходит позади аорты [57]. В 5,7 % наблюдений левая почечная вена раздваивается, охватывая аорту кольцом (так называемое почечное венозное кольцо) [58].
В настоящее время выделяют четыре типа ретроаортальной левой почечной вены: тип 1 — горизонтальная; тип 2 — косая, впадающая в нижнюю полую вену на уровне L4–5; тип 3 — кольцевидная и тип 4 — анастомозирующая с левой общей подвздошной веной (рис. 4) [59].
Рис. 4. Типы ретроаортальной левой почечной вены по J.K. Nam et al. (2010): 1 — горизонтальная; 2 — косая, впадающая в нижнюю полую вену на уровне L4–5; 3 — кольцевидная; 4 — анастомозирующая с левой общей подвздошной веной
Fig. 4. Types of retroaortic left renal vein according to J.K. Nam et al. (2010): 1 – horizontal; 2 – oblique, flowing into the lower hollow vein at level L4–5; 3 – annular; 4 – anastomosing with left common iliac vein
Термином posterior nutcracker phenomenon обозначают стабильную венную почечную гипертензию и вторичную декомпенсацию клапанов левой яичковой или яичниковой вены (реносперматический тип варикоцеле). Клинические проявления такие же, как и при nutcracker syndrome.
Диагностика и лечение posterior nutcracker phenomenon не отличается от таковых при nutcracker syndrome.
About the authors
Alexandr А. Kapto
Education Center of Medical Workers; RUDN University of the Ministry of Science and Higher Education of the Russian Federation; Multidisciplinary Medical Holding “SM-Clinic”
Author for correspondence.
Email: alexander_kapto@mail.ru
Candidate of Medical Science, Head of the Department of Urology; Associate Professor of the Department of Urology with Courses of Oncology, Radiology and Andrology; Head of the Andrology Center
Russian Federation, MoscowZoja V. Smyslova
Education Center of Medical Workers; RUDN University of the Ministry of Science and Higher Education of the Russian Federation
Email: smyslova.zv@smpost.ru
Director; Candidate of Medical Science, Assistant of the Department of Pediatrics
Russian Federation, MoscowReferences
- Grant JC. Method of anatomy. Baltimore: Williams & Wilkins; 1937. 158 р.
- Graif M, Hauser R, Hirshebein A, et al. Varicocele and the testicular-renal venous route: hemodynamic Doppler sonographic investigation. J Ultrasound Med. 2000;19(9):627-631. https://doi.org/10.7863/jum.2000.19.9.627.
- Rokitansky C. Handbuch der pathologischen Anatomie, 1st ed. Wien, Braunmüller & Seidel 1842;3:187.
- Dietz UA, Debus ES, Heuko-Valiati L, et al. [Aorto-mesenteric artery compression syndrome. (In German)]. Chirurg. 2000;71(11):1345-51. https://doi.org/10.1007/s001040051224.
- Anderson WC, Vivit R, Kirsh IE, Greenlee HB. Arteriomesenteric duodenal compression syndrome. Its association with peptic ulcer. Am J Surg. 1973;125(6):681-689. https://doi.org/10.1016/0002-9610(73)90165-7.
- Battilana A, Crespi B, Rabughino G, et al. [Two cases of duodenal vascular compression syndrome. (In Italian)]. Minerva Med. 1989;80(8):815-820.
- Hines JR, Gore RM, Ballantyne GH. Superior mesenteric artery syndrome. Diagnostic criteria and therapeutic approaches. Am J Surg. 1984;148(5):630-632. https://doi.org/10.1016/0002-9610(84)90339-8.
- Lee CS, Mangla JC. Superior mesenteric artery compression syndrome. Am J Gastroenterol. 1978;70(2):141-150.
- Wilkie DP. Chronic duodenal ileus. Am J Med Sci. 1927;173(5):643-648.
- Sapkas G, O’Brien JP. Vascular compression of the duodenum (cast syndrome) associated with the treatment of spinal deformities. A report of six cases. Arch Orthop Trauma Surg. 1981;98(1):7-11. https://doi.org/10.1007/bf00389703.
- Sigmund G, Gall H, Bähren W. Stop-type and shunt-type varicoceles: venographic findings. Radiology. 1987;163(1):105-110. https://doi.org/10.1148/radiology.163.1.3547489.
- El-Sadr AR, Mina E. Anatomical and surgical aspects in the operative management of varicocele. Urol Cutaneous Rev. 1950;54(5):257-262.
- de Schepper A. [“Nutcracker” phenomenon of the renal vein and venous pathology of the left kidney. (In Dutch)]. J Belge Radiol. 1972;55(5):507-511.
- Trambert JJ, Rabin AM, Weiss KL, Tein AB. Pericaliceal varices due to the nutcracker phenomenon. AJR Am J Roentgenol. 1990;154(2):305-306. https://doi.org/10.2214/ajr.154.2.2105019.
- Scholbach T. From the nutcracker-phenomenon of the left renal vein to the midline congestion syndrome as a cause of migraine, headache, back and abdominal pain and functional disorders of pelvic organs. Med Hypotheses. 2007;68(6):1318-1327. https://doi.org/10.1016/j.mehy.2006.10.040.
- McLeod J. Seminal cytology in the presence of varicocele. Fertil Steril. 1965;16(6):735-757. https://doi.org/10.1016/s0015-0282(16)35765-x.
- Мазо Е.Б., Корякин М.В., Евсеев Л.П., Акопян А.С. Роль функциональной взаимосвязи надпочечников и яичек в патогенезе бесплодия у больных с левосторонним варикоцеле // Урология и нефрология. - 1990. - № 2. - С. 50–58. [Mazo EB, Korjakin MV, Evseev LP, Akopjan AS. Rol funkcionalnoj vzaimosvjazi nadpochechnikov i jaichek v patogeneze besplodija u bolnyh s levostoronnim varikocele. Urologiia i Nefrologiia. 1990;(2):50-58. (In Russ.)]
- Капто А.А. Диагностика и оперативное лечение бесплодия при субклиническом варикоцеле: Автореф. дис. … канд. мед. наук. – М., 1994. – 167. [Kapto AA. Diagnostika i operativnoe lechenie besplodija pri subklinicheskom varikocelelr. [dissertation] Moscow; 1994. 167 р. (In Russ.)]. Доступно по: http://medical-diss.com/medicina/diagnostika-i-operativnoe-lechenie-besplodiya-pri-subklinicheskom-varikotsele. Ссылка активна на 25.05.2019.
- Максименков А.Н. Хирургическая анатомия живота. – Л., 1972. – 684 с. [Maksimenkov AN. Hirurgicheskaja anatomija zhivota. Leningrad; 1972. 684 р. (In Russ.)]
- Тонков В.Н. Учебник нормальной анатомии человека. – М.: Медгиз, 1962. – 764 с. [Tonkov VN. Uchebnik normalnoj anatomii cheloveka. Moscow: Medgiz; 1962. 764 р. (In Russ.)]
- Капто А.А. Роль варикоцеле в развитии простатита // Материалы 3-й Всероссийской конференции «Мужское здоровье». – М., 2006. [Kapto AA. Role of varicocele in development of prostatitis. Materials of 3rd Russian Conference “Man’s Health”. Moscow; 2006. (In Russ.)]. Доступно по: http://au-health.ru/listview.php?nid=579&part=53. Ссылка активна на 25.05.2019.
- Derrick JR, Fadhli HA. Surgical anatomy of the superior mesenteric artery. Am Surg. 1965;31:545-547.
- Mansberger AR Jr, Hearn JB, Byers RM, et al. Vascular compression of the duodenum. Emphasis on accurate diagnosis. Am J Surg. 1968;115(1):89-96. https://doi.org/10.1016/0002-9610(68)90134-7.
- Wayne ER, Burrington JD. Duodenal obstruction by the superior mesenteric artery in children. Surgery. 1972;72(5):762-768.
- Ozkurt H, Cenker MM, Bas N, et al. Measurement of the distance and angle between the aorta and superior mesenteric artery: normal values in different BMI categories. Surg Radiol Anat. 2007;29(7):595-599. https://doi.org/10.1007/s00276-007-0238-9.
- Sapkas G, O’Brien JP. Vascular compression of the duodenum (cast syndrome) associated with the treatment of spinal deformities. A report of six cases. Arch Orthop Trauma Surg. 1981;98(1):7-11. https://doi.org/10.1007/bf00389703.
- Neri S, Signorelli SS, Mondati E, et al. Ultrasound imaging in diagnosis of superior mesenteric artery syndrome. J Intern Med. 2005;257(4):346-351. https://doi.org/10.1111/j.1365-2796.2005.01456.x.
- Waseem M, Upadhyay R, Prosper G. The nutcracker syndrome: an underrecognized cause of hematuria. Eur J Pediatr. 2012;171(8):1269-1271. https://doi.org/10.1007/s00431-012-1761-1.
- Felton BM, White JM, Racine MA. An uncommon case of abdominal pain: superior mesenteric artery syndrome. West J Emerg Med. 2012;13(6):501-502. https://doi.org/10.5811/westjem.2012.6.12762.
- Vulliamy P, Hariharan V, Gutmann J, Mukherjee D. Superior mesenteric artery syndrome and the “nutcracker phenomenon”. BMJ Case Rep. 2013;2013. pii: bcr2013008734. https://doi.org/10.1136/bcr-2013-008734.
- Лопаткин Н.А., Морозов А.К., Житникова Л.Н. Стеноз почечной вены (этиология, симптоматика, принципы диагностики) // Урология и нефрология. – 1978. – № 6. – С. 3–8. [Lopatkin NA, Morozov AK, Zhitnikova LN. Stenoz pochechnoj veny (etiologija, simptomatika, principy diagnostiki). Urologija i Nefrologija. 1978;(6):3-8. (In Russ.)]
- Страхов С.Н., Бурков И.В. Почечная флебогипертензия и межвенозные анастомозы при варикоцеле // Ангиология и сосудистая хирургия. – 2008. – Т. 14. – № 1. – С. 85–91. [Strakhov SN, Burkov IV. Renal phlebohypertension and intervenous anastomoses in varicocele. Angiology and vascular surgery. 2008;14(1):85-91. (In Russ.)]
- Ivanissewich O, Gregorini M. A new operation for cure of varicocele. Sere Med. 1918;11:17.
- Iaccarino V. [Trattamento conservativo del vanicoseles: flebografia selettiva e sclerotherapia delle vene gonadiche. (In Italian)]. Riv Radiol. 1977;17:107-117.
- Lima SS, Castro MP, Costa OF. A new method for the treatment of varicocele. Andrologia. 1978;10(2):103-106. https://doi.org/10.1111/j.1439-0272.1978.tb01324.x.
- Marmar JL, DeBenedictis TJ, Praiss D. The management of varicoceles by microdissection of the spermatic cord at the external inguinal ring. Fertil Steril. 1985;43(4):583-588. https://doi.org/10.1016/s0015-0282(16)48501-8.
- Sánchez de Badajoz E, Díaz Ramírez F, Marín Marín J. [Endoscopic treatment of varicocele. (In Spanish)]. Arch Esp Urol. 1988;41(1):15-16.
- Tauber R, Weizert P, Pfeifer KJ, Huber R. [Die antegrade sklerosierung der Vena spermatica zur Therapie der Varikozele. Eine randomisierte, kontrollierte, prospektive Studie. (In German)]. VBDG Urologie. 1988;40:239-240. https://doi.org/10.1007/978-3-642-83800-2_157.
- Scultetus AH, Villavicencio JL, Gillespie DL. The nutcracker syndrome: its role in the pelvic venous disorders. J Vasc Surg. 2001;34(5):812-819. https://doi.org/10.1067/mva.2001.118802.
- Pastershank SP. Left renal vein obstruction by a superior mesenteric artery. J Can Assoc Radiol. 1974;25(1):52-54.
- Stewart BH, Reiman G. Left renal venous hypertension “nutcracker” syndrome. Urology. 1982; 20(4):365-369. https://doi.org/10.1016/0090-4295(82)90457-5.
- Shaper KR, Jackson JE, Williams G. The nutcracker syndrome: an uncommon cause of haematuria. Br J Urol. 1994;74(2):144-146. https://doi.org/10.1111/j.1464-410x.1994.tb16575.x.
- Thompson PN, Darling RC, Chang BB, et al. A case of nutcracker syndrome: treatment by mesoaortic transposition. J Vasc Surg. 1992;16(4):663-665. https://doi.org/10.1016/0741-5214(92) 90176-9.
- Zhang H, Zhang N, Li M, et al. Treatment of six cases of left renal nutcracker phenomenon: surgery and endografting. Chin Med J (Engl). 2003;116(11):1782-1784.
- Neste MG, Narasimham DL, Belcher KK. Endovascular stent placement as a treatment for renal venous hypertension. J Vasc Interv Radiol. 1996;7(6):859-861. https://doi.org/10.1016/s1051-0443(96)70861-8.
- Barnes RW, Fleisher HL, Redman JF, et al. Mesoaortic compression of the left renal vein (the socall ednutcracker syndrome): repair by a new stenting procedure. J Vasc Surg. 1988;8(4):415-421. https://doi.org/10.1067/mva.1988.avs0080415.
- Scultetus AH, Villavicencio JL, Gillespie DL. The nutcracker syndrome: its role in the pelvic venous disorders. J Vasc Surg. 2001;34(5):812-819. https://doi.org/10.1067/mva.2001.118802.
- Andrianne R, Limet R, Waltregny D, de Leval J. [Haematuria caused by nutcracker syndrome: Postoperative confirmation of its presence. (In French)]. Prog Urol. 2002;12(6):1323-1326.
- Wendel RG, Crawford ED, Hehman KN. The “nutcracker” phenomenon: an unusual cause for renal varicosities with hematuria. J Urol. 1980;123(5):761-763. https://doi.org/10.1016/s0022-5347(17)56121-2.
- Takahashi Y, Sano A, Matsuo M. An effective “transluminal balloon angioplasty” therapy for pediatric chronic fatigue syndrome with nutcracker phenomenon. Clin Nephrol. 2000;53(1):77-78.
- Stewart BH, Reiman G. Left renal venous hypertension “nutcracker” syndrome. Managed by direct renocaval reimplantation. Urology. 1982;20(4):365-369. https://doi.org/10.1016/0090-4295(82)90457-5.
- Chuang CK, Chu SH, Lai PC. The nutcracker syndrome managed by autotransplantation. J Urol. 1997;157(5):1833-1834. https://doi.org/10.1016/s0022-5347(01)64872-9.
- Hohenfellner M, Steinbach F, Schultz-Lampel D, et al. The nutcracker syndrome: new aspects of pathophysiology, diagnosis and treatment. J Urol. 1991;146(3):685-688. https://doi.org/10.1016/s0022-5347(17)37893-x.
- Shokeir AA, El-Diasty TA, Ghoneim MA. The nutcracker syndrome: new methods of diagnosis and treatment. Br J Urol. 1994;74(2):139-143. https://doi.org/10.1111/j.1464-410x.1994.tb16574.x.
- Arslan H, Etlik O, Ceylan K, et al. Incidence of retro-aortic left renal vein and its relationship with varicocele. Eur Radiol. 2005;15(8):1717-20. https://doi.org/10.1007/s00330-004-2563-2.
- Trigaux JP, Vandroogenbroek S, De Wispelaere JF, et al. Congenital anomalies of the inferior vena cava and left renal vein: evaluation with spiral CT. J Vasc Interv Radiol. 1998;9(2):339-345. https://doi.org/10.1016/s1051-0443(98)70278-7.
- Satyapal KS, Kalideen JM, Haffejee AA, et al. Left renal vein variations. Surg Radiol Anat. 1999;21(1):77-81. https://doi.org/10.1007/s00276-999-0077-y.
- Hohenfellner M, Steinbach F, Schultz-Lampel D, et al. The nutcracker syndrome: new aspects of pathophysiology, diagnosis and treatment. J Urol. 1991;146:685-688. https://doi.org/10.1016/s0022-5347(17)37893-x.
- Nam JK, Park SW, Lee SD, Chung MK. The clinical significance of a retroaortic left renal vein. Korean J Urol. 2010;51(4):276-280. https://doi.org/10.4111/kju.2010.51.4.276.
Supplementary files







