Experience of treating patients with urolithiasis in the urological clinic of the Aleksandrovskaya hospital
- Authors: Kalinina S.N.1, Burlaka O.O.2, Korenkov D.G.1, Nikolskii A.V.2, Lebedev D.G.2, Krivenko A.E.2, Ostrikov V.P.2, Borychev M.V.2, Pavlov A.L.2, Vydryn P.S.2, Karapuzov E.G.2
-
Affiliations:
- North-Western State Medical University named after I.I. Mechnikov
- Aleksandrovskaya Hospital
- Issue: Vol 9, No 3 (2019)
- Pages: 21-28
- Section: Original study articles
- Submitted: 11.11.2019
- Published: 11.11.2019
- URL: https://journals.eco-vector.com/uroved/article/view/17703
- DOI: https://doi.org/10.17816/uroved9321-28
- ID: 17703
Cite item
Abstract
The article presents the experience of treating patients with urolithiasis in the urological clinic of the Aleksandrovskaya hospital. Due to the improvement of technologies, the number of minimally invasive surgeries such as contact ureterolithotripsy, percutaneous nephrolithotripsy and percutaneous nephrolitholapaxy has increased significantly. Performing open surgical interventions is indicated only in complicated cases such as the presence of purulent calculous pyelonephritis. The indication for contact ureterolithotripsy is the localization of concretions in the pelvic ureter, as well as long-term (more than 4 weeks) presence of concretions in any part of the ureter. Percutaneous nephrolitolapaxy is the method of choice in the treatment of urolithiasis in case of uninfected kidney stones smaller and larger than 20 mm in diameter, especially in elderly patients. Emergency contact lithotripsy is indicated for treatment of acute serous obstructive pyelonephritis caused by concretion of any localization. When stones locate in lower calices of kidney effective method is percutaneous nephrolitholapaxy.
Full Text
INTRODUCTION
Urolithiasis is one of the most common urological diseases, which is susceptible to recurrence and often causes serious complications. Disorders of metabolic processes throughout the body, arising in the presence of morphofunctional abnormalities in the urinary system, hereditary predisposition, endocrine system diseases, as well as climatic and geographic factors, form the basis of the development of urolithiasis [1–3]. A great deal of attention has been paid in recent years to infectious factors in the development of urolithiasis [4, 5]. Urolithiasis should be treated mainly as a surgical condition, as most patients require some kind of surgical intervention to remove the stones. However, the exception is uric acid lithiasis, in which conservative therapy with citrate mixtures is effective [6, 7].
Over the last 20 years, the surgical options for extracting stones from the kidneys and urinary tract have improved dramatically, and treatment has become more effective and less painful. This is due to the widespread use of extracorporeal shockwave lithotripsy (ESWL) and the development of high-tech endoscopic equipment (rigid and flexible ureteroscopes and nephroscopes), where it became possible not only to examine the urinary tract with minimal risk but also to destroy urinary calculi of any location. In this regard, the indications for open surgeries to remove stones have decreased significantly [8, 9]. For ureteral calculi, ESWL and contact ureterolithotripsy (CULT) are the main methods of treatment [9–11]. In the case of stones in the proximal ureter, according to modern clinical guidelines, experts should judge the size of size: if it is less than 10 mm, then ESWL or CULT is recommended, and if the stone is more than 10 mm, CULT is recommended [2]. When choosing a method for treating urolithiasis, the densitometric solidity of stones and their composition are important. Further, in case of high density of calculi in the ureter, CULT is preferable [12]. For large calculi, such as coral calculi, percutaneous nephrolithotripsy (PNLT) or nephrolitholapaxy is suggested. Combined percutaneous and transurethral stone removal, as well as mini-percutaneous surgeries, such as for coral nephrolithiasis, are increasingly being used [13, 14]. Moreover, laparoscopic pyelolithotomy can complement endoscopic surgical techniques for the treatment of nephrolithiasis, particularly in patients with multiple and infected calculi [15]. In the surgical treatment of single stones of 10–15 mm in size in the inferior calyx of the kidney, PNLT, transurethral nephrolithotripsy, and ESWL are the preferred methods, but PNLT is preferred as its efficacy is 95.9% [16].
Since the urolithiasis is a chronic recurring condition, surgical treatment must be supplemented with metaphylaxis of lithogenesis. The risk of progression and recurrence of urolithiasis depends on the disease itself and the calculus composition. Metaphylaxis of urolithiasis decreases the risk of lithogenesis and should be done after stone removal or discharge with a necessary review of the mineralogical composition of calculi and metabolic disorders. Established approaches to urolithiasis metaphylaxis include adherence to the regimen of consumption of water, diet, prescription of spa care, and herbal therapy [17–20].
MATERIALS AND METHODS
The history of the development of the Urology Department is inextricably related to the work of the Department of Urology and Andrology of the Leningrad State Institute of Further Training of Physicians, St. Petersburg Medical Academy of Postgraduate Education (currently the Department of Urology of the I.I. Mechnikov North-Western State Medical University, headed by Professor Boris Kirillovich Komyakov), as well as to the names of prominent scholars such as Professor Oleg Leonidovich Tiktinsky and Associate Professor Ivan Fedorovich Novikov. Through their efforts, the clinic became the leading center for treatment of urolithiasis in the North-West region, where a number of new techniques were developed for the diagnosis and treatment of urolithiasis, and monographs and guidelines were also written. Currently, the treatment of patients with urolithiasis is also the most important field of work of the Department of Urology of the I.I. Mechnikov North-Western State Medical University and the Urology Department of the Aleksandrovskaya Hospital. In 1990, for the first time in Leningrad, with the participation of the head of the Department of Urology and Andrology, Professor O.L. Tiktinsky, the first head of the Urology Department V.A. Semenov, and the first head of the Department of Extracorporeal Lithotripsy (EL) A.E. Krivenko, the lithotripsy was performed using the Russian device “Urat-P.” The Aleksandrovskaya Hospital chief doctors who were at the root of the development of this unique method of urolithiasis treatment, Professor Yu.V. Pavlov and Professor Yu.P. Linets, made a major contribution to equipping and organizing the work of the EL Department. Further, the Urology Department of the Aleksandrovskaya Hospital, established in 1985, provides daily emergency and routine care for patients. Currently, the Urology Department has 71 inpatient beds, 4 daytime beds, and 5 self-supporting beds. In addition, 17 doctors work in the department, 6 of whom have the highest qualification grade and 3 hold a Doctorate degree in Medicine. Since 2016, O.O. Burlaka, Ph.D. (Medicine), has been the head of the Urology Department, and since 2017, the EL Department has been headed by D.G. Lebedev. For 30 years, from 1985 to 2015, 38,040 urolithiasis patients were treated in the Urology Department of the Aleksandrovskaya Hospital, and for the next 3 years, from 2016 to 2018, 6,185 urolithiasis patients were treated. In addition to the commonly accepted clinical and laboratory approaches, the diagnostic algorithm for evaluating patients with urolithiasis included ultrasound examination of the urinary system; plain and excretory urography; multispiral computed tomography (MSCT) in the native mode to assess the level of calculous obstruction, stone size, and density; and dynamic nephroscintigraphy and, if necessary, the inoculation of the mid-stream specimen of urine for microflora and antibiotic sensitivity; study of phosphorus-calcium metabolism (parathyroid hormone level), especially in patients with bilateral urolithiasis, to exclude the renal form of primary hyperparathyroidism; and study of the level of uric acid, urea, creatinine, and glucose in blood serum. Since 2015, we have used the Dual Energy Kidney Stones program to perform dual-energy MSCT with automatic determination of calculus characteristics. The advantages of this technique include low radiation exposure, accurate size determination, density and localization of calculus, and high image quality. MSCT with densitometry is performed using the Siemens apparatus (Germany). ESWL is performed on three lithotripters, namely, since 1990 on the Russian apparatus “Urat-P” (electrohydraulic principle of shockwave impulse); since 1995, on the second-generation electromagnetic lithotripter Dornier Doli (Germany) with ultrasonic guidance to an invisible stone; and since 2013, on the third-generation multifunctional device Dornier Gemini (Germany). We use ultrasonic and pneumatic lithotripters manufactured by Karl Storz (Germany) and Dornier holmium laser (Germany) with a low-frequency mode of 20 W and a high-frequency mode of 120 W manufactured by Luminis (Israel, USA) to perform CULT, PNLT, and nephrolitholapaxy. The use of several remote and contact lithotripters significantly improves the quality and efficiency of treatment of urolithiasis patients.
RESULTS
Between 2016 and 2018, 11,644 patients (mean age 45.1 years) were examined and treated in the Urology Department of the Aleksandrovskaya Hospital. Additionally, 7,616 (65.4%) patients were admitted on an emergency basis and 4,028 (34.6%) on a scheduled basis. Urolithiasis was diagnosed in 6,185 (53.1%) patients hospitalized, 4,179 (67.6%) of whom were men and 2,006 (32.4%) women. Unilateral arrangement of calculi was found in 4,294 (69.4%) patients, and bilateral arrangement was identified in 1,891 (30.6%). Calculi were more often located on the right side with unilateral localization. In patients with unilateral urinary tract stones, microbiological examination of the mid-stream specimen of urine revealed E. coli in about 20% of cases, and more often in bilateral cases with coral calculi, Proteus mirabilis, Klebsiella pneumonia, and E. coli were isolated in 15% of cases in clinically significant titers. Increases in serum parathyroid hormone and urinary uric acid levels were observed in 8–10% of patients with bilateral urolithiasis.
Between 2016 and 2018, 3,538 surgeries were performed in the Urology Department. Moreover, CULT was the most frequently performed surgical intervention (Fig. 1), due to the high frequency of localization of calculi in the ureter. A total of 1,386 such surgeries were performed during this time, which amounted to 39.2% of the total number of surgeries. In stones in the upper third of the ureters, 0.5–0.7 mm in size, with a low and medium density of 500–800 HU, holmium laser lithotripsy was performed until their complete removal; therefore, urolithiasis relapses were rarely observed. ESWL was used for distal ureteral stones larger than 10 mm with low density. For calculi of the lower third of the ureters, 0.4–0.5 mm in size, conservative treatment with analgesics, nonsteroidal anti-inflammatory drugs, and lithokinetic therapy (alpha-adrenoblockers) was prescribed for 3–5 days of hospitalization, particularly if CULT was refused. In more than 60% of such patients, we noted the discharge of calculi.
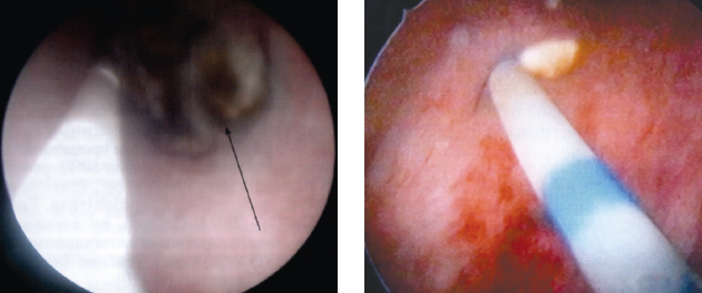
Fig. 1. Contact ureterolithotripsy
Рис. 1. Контактная уретеролитотрипсия
With localization of calculi in the renal pelvis and calyx, in 2016–2018, PNLT or nephrolitholapaxy was most commonly performed in 658 surgeries for any size and density of kidney stones. In the case of percutaneous nephrolitholapaxy, percutaneous puncture of the pelvicalyceal system was performed, as well as its bougieurage, casing installation, and further crushing and washing away of the stone fragments using an ultrasonic lithotripter under the nephroscope control (Fig. 2). For ultrasound lithotripsy, we used the Karl Storz apparatus (Germany) and 3–3.5 mm diameter probe. With ultrasound lithotripsy, there is a simultaneous fragmentation of the stone and the elimination of fragments via the inner lumen of the probe. With a high density of the stone, large fragments can also be formed during crushing and were removed with forceps. For nephrolithotripsy, a Karl Storz pneumatic lithotripter, Dornier laser lithotripter, and Luminis high-frequency laser were used. We also used a standard nephroscope with a sheath of 26 and 28 Ch and a mini-percutaneous nephroscope with a sheath of 16.5 Ch (both manufactured by Karl Storz). High clinical efficiency of percutaneous methods in the treatment of patients with urolithiasis was noted, which reached 95%. Since 2000, endoscopic methods of stone disintegration (CULT and PNLT) have been used to destroy calculi of any localization and reduce bed-days by two to three times. Over the past 3 years, the number of laparoscopic surgeries for urolithiasis has declined dramatically in our clinic, resulting in endovideosurgical ureterolithotomy performed in only 33 patients. Relapses of lithogenesis after PNLT have been reported, particularly in patients with large bilateral kidney stones, but the risk of recurrence was reduced to 10% when performing specific metaphylaxis based on the analysis of the urinary calculus composition followed by drug treatment, adherence to diet, and lifestyle adjustments.
Fig. 2. Stages of percutaneous nephrolitholapaxia: on the left – the introduction of a guidewire, a nephroscope with a sheath and a string under x-ray guidance; in the center – the removed calculus of the right kidney; on the right – there is no calculus, a nephroscope with a sheath, calculus was removed
Рис. 2. Этапы перкутанной нефролитолапаксии: слева — введение направителя, нефроскопа с кожухом, струны под рентгеновским наведением; в центре — удаленный конкремент правой почки; справа — конкремент отсутствует, виден нефроскоп с кожухом
Between 1990 and 2015, approximately 38,000 ESWL sessions were conducted in 17,214 patients at the Aleksandrovskaya Hospital. ESWL is the treatment of choice for small stones (less than 20 mm) of the kidneys and the upper third of the ureter. Meanwhile, between 2016 and 2018, ESWL was performed in 3512 patients. In 2016, patients with stones in the renal pelvis predominated; ESWL was also performed more frequently for ureteral stones in the last 2 years. Among the latter, the localization of calculi in the upper third of the ureters was more common than in the middle and lower thirds. During the duration from 2016 to 2018, ESWL was performed using three lithotripters, namely, Urat-P, Dornier Doli, and Dornier Gemini (Fig. 3), which offered a unique opportunity to maneuver and treat patients using the device that took into account their individual features and the composition of calculi. Second- and third-generation lithotripters were used more frequently due to their higher technological characteristics. Preoperative prediction of the chemical composition of the calculus is very useful in choosing the optimal treatment approach for patients, conditions for effective lithotripsy, and metaphylaxis. Dual-energy MSCT with automatic determination of calculus characteristics improved the efficiency of ESWL at a low calculus density, and at a high calculus density, an increase in the number of sessions was required (Fig. 4). For the last 3 years, the emergency ESWL sessions have been successfully conducted in the EL Department of the Aleksandrovskaya Hospital. Fragmentation of calculi in the form of a “stone path” in the lower third of the ureters was observed in some patients; in this case, physiotherapeutic procedures, alpha-adrenoblockers, and analgesics are prescribed, as well as CULT in rare instances.
Fig. 3. Shock wave lithotripsy equipment used in the Aleksandrovskaya Hospital: on the left – Urat-P, in the center – Dornier Doli, on the right – Dornier Gemini
Рис. 3. Оборудование для дистанционной ударно-волновой литотрипсии, используемое в Александровской больнице: слева — «Урат-П», в центре — «Dornier Doli», справа — «Dornier Gemini»
Fig. 4. Dual-energy multispiral computed tomography of a patient with urate urolithiasis. Staghorn calculus of the left kidney and calculus of the pelvic part of the left ureter
Рис. 4. Двухэнергетическая мультиспиральная компьютерная томография пациента с уратным уролитиазом. Коралловидный камень левой почки и камень тазового отдела левого мочеточника
After urolithiasis surgery, patients underwent stone-expelling and litholytic therapy, which were considered preventive anti-relapse measures. For this purpose, selective alpha-adrenoblockers were recommended, which relaxed the muscles of the ureter and lower urinary tract and improved the passage of the calculus along the lower urinary tract, as well as physiotherapeutic procedures and herbal medicinal products (Canephron, Rowatinex, and Nephradoz). Herbal medicinal products effectively accelerated stone passage, reduced pain, increased urine production, decreased crystalluria and urinary tract infection, and reduced the risk of recurrent lithogenesis and the need for surgical treatment.
Analysis of the results of urolithiasis treatment in the urological clinic of the Aleksandrovskaya Hospital confirmed the main trends in the surgical treatment of this disease. These include an increase in the significance of minimally invasive treatment methods (CULT and percutaneous nephrolithotripsy and nephrolitholapaxy) and a decrease in the importance of open surgical interventions while maintaining the significance of ESWL. Proper choice of indications and contraindications and preoperative preparation for various methods of urolithiasis treatment are crucial to the achievement of good treatment outcomes.
CONCLUSIONS
- With localization of calculi in the pelvic ureter and long standing (over 4 weeks) calculi of any part of the ureter, contact ureterolithotripsy is indicated.
- Percutaneous nephrolitholapaxy is the preferred method for the treatment of urolithiasis with uninfected renal calculi of up to 20 mm or more, especially in elderly patients.
- ESWL is the method of choice for the treatment of urolithiasis where there are good anatomical conditions for the elimination of stone fragments, the urinary tract is patent, and an individual approach is required.
- Urgent contact lithotripsy is indicated in acute obstructive serous pyelonephritis due to calculus of any localization.
- The combination of ESWL and other minimally invasive methods of urolithiasis treatment is effective in the case of urolithiasis combined with renal anomalies.
- For calculi of the lower calyx of the kidneys, the method of percutaneous nephrolitholapaxy is effective.
About the authors
Svetlana N. Kalinina
North-Western State Medical University named after I.I. Mechnikov
Author for correspondence.
Email: kalinina_sn@mail.ru
Doctor of Medical Science, Professor of the Urology Department
Russian Federation, Saint PetersburgOleg O. Burlaka
Aleksandrovskaya Hospital
Email: burlaka@list.ru
Candidate of Medical Science, Head of Department of Urology
Russian Federation, Saint PetersburgDmitriy G. Korenkov
North-Western State Medical University named after I.I. Mechnikov
Email: dkoren@mail.ru
Doctor of Medical Science, Professor of the Urology Department
Russian Federation, Saint PetersburgAnton V. Nikolskii
Aleksandrovskaya Hospital
Email: lebido-di@yandex.ru
Candidate of Medical Science, Urologist, Department of Urology
Russian Federation, Saint PetersburgDmitriy G. Lebedev
Aleksandrovskaya Hospital
Email: lebido-di@yandex.ru
Head of Department of Extracorporeal Lithotripsy
Russian Federation, Saint PetersburgAlexey E. Krivenko
Aleksandrovskaya Hospital
Email: lebido-di@yandex.ru
Urologist, Department of Extracorporeal Lithotripsy
Russian Federation, Saint PetersburgVladimir P. Ostrikov
Aleksandrovskaya Hospital
Email: lebido-di@yandex.ru
Urologist, Department of Extracorporeal Lithotripsy
Russian Federation, Saint PetersburgMaxim V. Borychev
Aleksandrovskaya Hospital
Email: lebido-di@yandex.ru
Urologist, Department of Urology
Russian Federation, Saint PetersburgAnton L. Pavlov
Aleksandrovskaya Hospital
Email: lebido-di@yandex.ru
Urologist, Department of Urology
Russian Federation, Saint PetersburgPavel S. Vydryn
Aleksandrovskaya Hospital
Email: lebido-di@yandex.ru
Urologist, Department of Urology
Russian Federation, Saint PetersburgEvgenij G. Karapuzov
Aleksandrovskaya Hospital
Email: lebido-di@yandex.ru
Urologist, Department of Urology
Russian Federation, Saint PetersburgReferences
- Тиктинский О.Л., Александров В.П. Мочекаменная болезнь. – СПб.: Питер, 2000. 379 с. [Tiktinskiy OL, Aleksandrov VP. Mochekamennaya bolezn’. Saint Petersburg: Piter; 2000. 384 р. (In Russ.)]
- Türk C, Skolarikos A, Neisius A, et al. Urolithiasis. Guidelines of European Urological Association, 2019. Available from: https://uroweb.org/guideline/urolithiasis.
- Филиппова Т.В., Аляев Ю.Г., Руденко В.И., и др. Генетические аспекты мочекаменной болезни // Урология. – 2016. – № S2. – C. 95–102. [Filippova TV, Alyaev YuG, Rudenko VI, et al. Genetic aspects of urolithiasis. Urologiia. 2016;(Suppl 2):95-102. (In Russ.)]
- Голощапов Е.Т., Четвериков А.В., Белозеров Е.С. Инфекционный фактор в генезе мочевого камнеобразования // Урологические ведомости. – 2016. – Т. 6. – № 4. – С. 21–27. [Goloshchapov ET, Chetverikov AV, Belozerov ES. The infectious factor in the genesis of urinary stone formation. Urologicheskie vedomosti. 2016;6(4):21-27. (In Russ.)]. https://doi.org/10.17816/uroved6421-27.
- Дутов В.В., Буймистр С.Ю., Русанова Е.В. Изменение микрофлоры мочи у пациентов с мочекаменной болезнью // Урология. – 2018. – № 6. – С. 32–36. [Dutov VV, Buymistr SYu, Rusanova EV. The changes in urine microflora in patients with urinary stone disease. Urologiia. 2018;(6):32-36. (In Russ.)]. https://doi.org/10.18565/urology.2018.6.32-36.
- Аль-Шукри С.Х., Слесаревская М.Н., Кузьмин И.В. Литолитическая терапия уратного нефролитиаза // Урология. – 2016. – № 2. – С. 23–27. [Al-Shukri SKh, Slesarevskaya MN, Kuzmin IV. Litholytic therapy for urate nephrolithiasis. Urologiia. 2016;(2):23-27. (In Russ.)]
- Аль-Шукри С.Х., Слесаревская М.Н., Кузьмин И.В. Современные подходы к патогенезу, лечению и метафилактике уратного уролитиаза // Эффективная фармакотерапия. – 2019. – Т. 15. – № 16. – С. 46–51. [Al-Shukri SKh, Slesarevskaya MN, Kuzmin IV. Modern approaches to pathogenesis, treatment and metaphylaxis of urate urolithiasis. Effective Pharmacotherapy. 2019;15(16):46-51. (In Russ.)]. https://doi.org/10.33978/2307-3586-2019-15-16-46.
- Бешлиев Д.А., Мартов А.Г., Голубчиков И.В., Дутов В.В. Первый отечественный литотриптор «Урат-П»: к 30-летию создания // Урология. – 2018. – № 3. – С. 5–11. [Beshliev DA, Martov AG, Golubchikov IV, Dutov VV. The first domestic lithotripter URAT-Р: to the 30th anniversary of introduction. Urologiia. 2018;(3):5-11. (In Russ.)]. https://doi.org/doi.org/10.18565/urology.2018.2.5-11.
- Калинина С.Н., Новиков А.И., Тиктинский Н.О., Яковлев М.В. Эндовидеохирургические операции в лечении уроандрологических больных. – СПб.: СПбМАПО, 2009. – 48 с. [Kalinina SN, Novikov AI, Tiktinskiy NO, Jakovlev MV. Endovideohirurgicheskie operacii v lechenii uroandrologicheskih bol’nyh. Saint Petersburg: SPbMAPO; 2009. 48 р. (In Russ.)]
- Попов С.В., Новиков А.И., Скрябин О.Н., Орлов И.Н. Эндоскопическая уретеролитотрипсия. – СПб.: СПбМАПО, 2009. – 58 с. [Popov SV, Novikov AI, Skryabin ON, Orlov IN. Endoskopicheskaya ureterolitotripsiya. Saint Petersburg: SPbMAPO; 2009. 58 р. (In Russ.)]
- Коган М.И., Белоусов И.И., Яссине А.М. Эффективность дистанционной ударно-волновой литотрипсии проксимального отдела мочеточника // Урология. – 2017. – № 5. – C. 5–8. [Kogan MI, Belousov II, Yassine AM. The effectiveness of extracorporeal shock wave lithotripsy in treating proximal ureteral stones. Urologiia. 2017;(5):5-8. (In Russ.)]. https://doi.org/10.18565/urology.2017.5.5-8.12.
- Шевырин А.А., Стрельников А.И. Денситометрическая плотность мочевых конкрементов как фактор прогноза эффективности их дезинтеграции при лечении уролитиаза // Урологические ведомости. – 2018. – Т. 8. – № 4. – С. 17–24. [Shevyrin AA, Strelnikov AI. Densitometric density of urinary stones as a predictive factor demonstrating their efficiency of disintegration in treatment of urolithiasis. Urologicheskie vedomosti. 2018;8(4):17-24. (In Russ.)]. https://doi.org/10.17816/uroved8417-24.
- Амосов Н.А., Уренков С.Б., Подойницын А.А., Иванов А.Е. Рентгенэндоскопические операции в лечении пациентов с коралловидными камнями // Вопросы урологии и андрологии. – 2016. – № 2. – С. 29–33. [Amosov NA, Urenkov SB, Podoynitsyn AA, Ivanov AE. Endoscopic operations in treatment of patients with staghorn stones. Voprosy urologii i andrologii. 2016;(2):29-33. (In Russ.)]. https://doi.org/10.20953/2307-6631-2016-2-29-33.
- Попов С.В., Орлов И.Н., Мартов А.Г., и др. Наш опыт применения микроперкутанной нефролитотрипсии в лечении крупных камней // Экспериментальная и клиническая урология. – 2018. – № 4. – С. 48–53. [Popov SV, Orlov IN, Martov AG, et al. Our experience of micropercutaneous nephrolithotripsy application in the treatment large kidney stones. Experimental and clinical urology. 2018;(4):48-53. (In Russ.)]
- Глыбочко П.В., Аляев Ю.Г., Рапопорт Л.М., и др. Лапароскопическая пиелолитотомия и ее роль в современной хирургии нефролитиаза // Урология. – 2017. – № 4. – C. 12–17. [Glybochko PV, Alyaev YuG, Rapoport LM, et al. Laparoscopic pyelolithotomy and its role in modern surgery of nephrolithiasis. Urologiia. 2017;(4):12-17. (In Russ.)]. https://doi.org/10.18565/urol.2017.4.12-17.
- Мартов А.Г., Ергаков Д.В., Андронов А.С., и др. Одиночные камни нижней чашечки почки: как лечить? // Урология. – 2017. – № 2. – С. 28–35. [Martov AG, Ergakov DV, Andronov AS, et al. Solitary stones of the lower renal calyx: how to treat? Urologiia. 2017;(2):28-35. (In Russ.)]. https://doi.org/10.18565/urol.2017.2.28-35.
- Аполихин О.И., Сивков А.В., Просянников М.Ю., и др. Оценка нутриома в лечении мочекаменной болезни // Урологические ведомости. – 2017. – Т. 7. – № 1. – С. 5–9. [Apolikhin OI, Sivkov AV, Prosyannikov MYu, et al. Assessment of nutriom in treatment of urolithiasis disease. Urologicheskie vedomosti. 2017;7(1):5-9. (In Russ.)]. https://doi.org/10.17816/uroved715-9.
- Неймарк А.И., Салдан И.П., Давыдов А.В. Использование минеральных вод в реабилитационной терапии больных мочекаменной болезнью // Урологические ведомости. – 2018. – Т. 8. – № 2. – С. 18–23. [Neymark AI, Saldan IP, Davydov AV. Use of mineral water in rehabilitation therapy of patients with nephrolithiasis. Urologicheskie vedomosti. 2018;8(2):18-23. (In Russ.)]. https://doi.org/10.17816/uroved8218-23.
- Шестаев А.Ю., Протощак В.В., Паронников М.В., Киселев А.О. Комбинированный (цитратный и растительный) препарат Уриклар в дистанционной литотрипсии и метафилактике мочекаменной болезни // Урологические ведомости. – 2018. – Т. 8. – № 1. – С. 19–25. [Shestaev AYu, Protoshchak VV, Paronnikov MV, Kiselev AO. Combined (citrate and herbal) drug Uriklar in extracorporeal shock wave lithotripsy and metaphylaxis of urolithiasis. Urologicheskie vedomosti. 2018;8(1):19-25. (In Russ.)]. https://doi.org/10.17816/uroved8119-25.
- Амосов А.В., Аляев Ю.Г., Саенко В.С. Растительный лекарственный препарат Канефрон Н в послеоперационной метафилактике мочекаменной болезни // Урология. – 2010. – № 5. – С. 65–71. [Amosov AV, Alyaev YuG, Saenko VS Rastitel’nyy lekarstvennyy preparat Kanefron N v posleoperacionnoy metafilaktike mochekamennoy bolezni. Urologiia. 2010;(5):65-71. (In Russ.)]
Supplementary files












