Capability of doppler ultrasonography in prevention of hemorrhagic complications of prostate biopsy
- Authors: Popov S.V.1,2,3, Orlov I.N.1,3, Demidov D.A.1, Suleimanov M.M.1, Gulko A.M.1
-
Affiliations:
- Clinical Hospital of St. Luke
- S.M. Kirov Military Medical Academy
- North-Western State Medical University named after I.I. Mechnikov
- Issue: Vol 9, No 3 (2019)
- Pages: 29-32
- Section: Original study articles
- Submitted: 11.11.2019
- Accepted: 11.11.2019
- Published: 11.11.2019
- URL: https://journals.eco-vector.com/uroved/article/view/17704
- DOI: https://doi.org/10.17816/uroved9329-32
- ID: 17704
Cite item
Abstract
The article presents the results of a comparative study of the frequency and severity of bleeding after prostate biopsy performed under the control of Doppler mode of vascular scanning and without its use. Compared with the usual mode of ultrasound scanning of the prostate, the use of Doppler imaging mode of intraprostatic vessels reduces the number of hemorrhagic complications of prostate biopsy, which confirms the feasibility of using the Doppler mode when taking biopsy material.
Keywords
Full Text
INTRODUCTION
Improvement of efficiency of prostate cancer (PC) diagnosis and treatment is one of the most urgent problems of contemporary oncourology. PC is the second most common malignant tumor in men according to global statistics, as 1,276,106 new cases of the disease were registered in 2018, which amounted to 7.1% of all cancer diseases in men [1–3]. In Russia, PC ranks fourth in the structure of oncopathology [4]. The determination of an oncological marker in the blood, prostatic specific antigen (PSA), is widely used for PC diagnosis. However, PSA has a relatively low specificity, since its level can be increased even in the absence of prostate PC [5]. In this regard, for early diagnosis of PC, the use of a number of new tumor markers and radiation methods has been proposed [6, 7]. The final verification of the PC diagnosis is possible only based on a morphological examination of the prostate tissue biopsy sample. Most often, transrectal multifocal biopsy is performed under ultrasound control. In some cases, prostate a number of complications may accompany prostate biopsy, most often hemorrhagic, infectious, and inflammatory ones. According to a number of studies, Doppler ultrasonography increases the diagnostic value of the biopsy [8, 9]. Reduced probability of bleeding and prevention of vessel damage can be achieved by Doppler scanning during prostate biopsy sampling which enables visualization of vessels. However, there are few studies of the complication rate of ultrasound-guided biopsy of prostate with or without Doppler scanning. This study aimed to assess the frequency and severity of bleeding after biopsy of the prostate gland, performed under the control of Doppler vascular scanning and without it.
MATERIALS AND METHODS
All studies were conducted at St. Petersburg St. Luke’s Clinical Hospital of the City Center for Endoscopic Urology and New Technologies in two groups of patients. Patients ingroup 1 (87 people) underwent ultrasound-guided biopsy of the prostate gland without the use of the Doppler mode; while the patients ingroup 2 (76 people) underwent biopsy without the Doppler mode (the average age of the patients was 63.5 ± 3.5 years (45–78 years old)). Before biopsy, all patients underwent MRI of the prostate gland, and the level of the international normalized ratio (INR) was also monitored, which interval of allowed values was within 0.8–1.7. The exclusion criteria in the study included patients with suspected extracapsular extension and lesion of seminal vesicles, with a prostate gland volume of less than 35 cm3 and more than 55 cm3, who received anticoagulant therapy, with the presence of hemorrhoids, as well as with a total PSA level of more than 10 ng/mL.
Patients in both groups were prescribed standard antibiotic therapy (levofloxacin 500 mg once a day for 5 days) 24 hours before the study. The night before and in the morning of the biopsy day, the patients cleaned the rectal ampulla using Microlax micro-enema by themselves. The biopsy was performed according to the standard method from 12 points under local anesthesia with 10 ml of 1.0% lidocaine solution, administered into the rectum 10 minutes before the start of the study. The patient was place in a left lateral position. A BK Medical ultrasonography apparatus with a 12 MHz rectal transducer was used. A BARD MAGNUM semi-automatic biopsy gun (USA) was used to perform biopsy. Puncture material was obtained in the form of six columns of prostate tissue from the peripheral lobes and six columns from the central lobes. In all cases, a disposable 18 G biopsy needle was used.
At the end of the procedure, a gauze swab with Levomekol ointment weighing 30.9 ± 2.2 g was placed in the patient’s rectum. The swab was removed and weighed after 3 hours. The presence of local bleeding was determined visually and by the weight of the swab removed from the rectum. Commonly used parametric and nonparametric statistical methods were applied to determine the differences in the mean values of the swab weight in patients of the two study groups. Statistical differences in the average weight of the swabs in patients of groups 1 and 2 were considered significant at p < 0.05.
RESULTS AND DISCUSSION
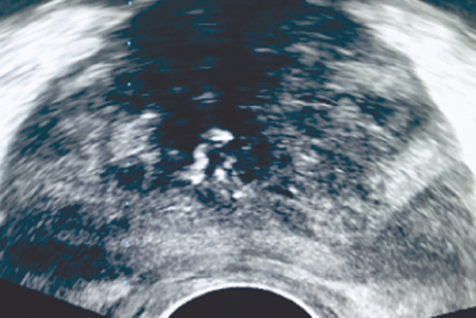
Figure 1 presents ultrasound imaging of the prostate gland with Doppler scanning of the vessels. This mode enables to map quite clearly the intraprostatic vessels, so damage should be avoided during the biopsy study. Figure 2 shows ultrasound imaging of the prostate gland, without the use of Doppler scanning of the vessels, which practically does not enable the determination of their distribution in the prostate, which increases the probability of their damage when obtaining a biopsy material.
Fig. 1. Ultrasound imaging of the prostate with Doppler control
Рис. 1. Ультразвуковая визуализация предстательной железы с доплеровским контролем
Fig. 2. Ultrasound imaging of the prostate without Doppler control
Рис. 2. Ультразвуковая визуализация предстательной железы без доплеровского контроля
The results of the study demonstrated that the average mass of swabs removed from the rectum after biopsy in patients of group 1 and group 2 was 47.6 ± 6.7 g and 40.8 ± 6.8 g, respectively. The difference in weight of swabs was statistically significant (t = 6.47, p < 0.01). The difference between the mean values of the mass of swabs in patients of the groups 1 and 2 amounted to 6.8 g. The data obtained indicate that the severity of bleeding into the rectal ampulla after biopsy in patients of group 2 was lower than those of group 1. This indicates a lower injury rate of ultrasound-guided biopsy sampling from the prostate gland, performed using the Doppler mode.
When analyzing the incidence of hemorrhagic complications of prostate biopsy, it was revealed that among 87 group 1 patients of varying degrees, bleeding after prostate biopsy was detected in 81 (93.1%) patients, and the other 6 (6.9%) patients did not have it. At the same time, among the76 patients of group 2, hemorrhagic complications of varying severity were noted in 52 (68.4%) cases, and 24 (31.6%) patients did not have such complications. The difference in the incidence of hemorrhagic complications in patients of groups 1 and 2 was statistically significant (χ2 = 16.44, p < 0.01).
In clinical practice, during the first 3 hours after prostate biopsy, special indicators of hemostasis disorders (INR, prothrombin index, fibrinogen, etc.) are usually not determined. As a result, on the one hand, the change in the weight of swabs removed from the rectum after biopsy should be considered as a quite simple test to assess relatively and accurately the severity of bleeding. On the other hand, this test demonstrates the reasonability of the Doppler mode of scanning the prostate gland during the biopsy, since it reduces the probability of damage to the intraprostatic vessels.
CONCLUSIONS
Compared to the usual mode of ultrasound scanning of the prostate during its biopsy, the Doppler imaging of intraprostatic vessels enables to reduce significantly the number of hemorrhagic complications of prostate biopsy. The Doppler scanning mode for prostate biopsy is advisable and we recommend for wide practical application.
About the authors
Sergey V. Popov
Clinical Hospital of St. Luke; S.M. Kirov Military Medical Academy; North-Western State Medical University named after I.I. Mechnikov
Author for correspondence.
Email: doc.popov@gmail.com
Doctor of Medical Science, Chief Physician; Professor of the Urology Department; Professor of the Urology Department
Russian Federation, Saint PetersburgIgor N. Orlov
Clinical Hospital of St. Luke; North-Western State Medical University named after I.I. Mechnikov
Email: doc.orlov@gmail.com
Candidate of Medical Science, Head of the Urological Unit; Assistant of the Urology Department
Russian Federation, Saint PetersburgDmitry A. Demidov
Clinical Hospital of St. Luke
Email: ddemidov67@mail.ru
urologist
Russian Federation, Saint PetersburgMurad M. Suleimanov
Clinical Hospital of St. Luke
Email: doc-suleimanov@gmail.com
Candidate of Medical Science, urologist
Russian Federation, Saint PetersburgAlexander M. Gulko
Clinical Hospital of St. Luke
Email: agoolko@mail.ru
urologist
Russian Federation, Saint PetersburgReferences
- Bray F, Ferlay J, Soerjomataram I, et al. Global cancer statistics 2018: GLOBOCAN estimates of incidence and mortality worldwide for 36 cancers in 185 countries. CA Cancer J Clin. 2018;68(6):394-424. https://doi.org/10.3322/caac.21492.
- Rawla P. Epidemiology of prostate cancer. World J Oncol. 2019;10(2):63-89. https://doi.org/10.14740/wjon1191.
- Schröder FH, Hugosson J, Roobol MJ, et al. Screening and prostate cancer mortality: Results of the European Randomised Study of Screening for Prostate Cancer (ERSPC) at 13 years of follow-up. Lancet. 2014;384(9959):2027-2035. https://doi.org/10.1016/S0140-6736(14)60525-0.
- Мерабишвили В.М. Злокачественные новообразования в мире, России, Санкт-Петербурге. – СПб.: КОСТА, 2007. – 422 с. [Merabishvili VM. Cancer incidence in the world, Russia, St. Petersburg. Saint Petersburg: KOSTA; 2007. 422 р. (In Russ.)]
- Понкратов С.В., Хейфец В.Х., Каган О.Ф. Диагностическая ценность простатспецифического антигена с учетом возраста пациентов // Урологические ведомости. – 2016. – Т. 6. – № 3. – С. 30–39. [Ponkratov SV, Kheyfets VKh, Kagan OF. Diagnostic value of prostate-specific antigen according to age patients. Urologicheskie vedomosti. 2016;6(3):30-39. (In Russ.)]. https://doi.org/10.17816/uroved6330-39.
- Аполихин О.И., Сивков А.В., Ефремов Г.Д., и др. PCA3 и TMPRSS2-ERG в диагностике рака предстательной железы: первый опыт применения комбинации маркеров в России // Экспериментальная и клиническая урология. – 2015. – № 2. – С. 30–36. [Apolikhin OI, Sivkov AV, Efremov GD, et al. The first Russian experience of using PCA3 and TMPRSS2-ERG for prostate cancer diagnosis. Experimental and Clinical Urology. 2015;(2):30-36. (In Russ.)]
- Коссов Ф.А., Олимов Б.П., Ахвердиева Г.И., и др. Современные возможности лучевой диагностики рака предстательной железы // Вестник рентгенологии и радиологии. – 2017. – Т. 98. – № 6. – С. 327–336. [Kossov FA, Olimov BP, Akhverdieva GI, et al. Current possibilities of radiation diagnosis of prostate cancer. Vestnik rentgenologii i radiologii. 2017;98(6):327-336. (In Russ.)]. https://doi.org/10.20862/0042-4676-2017-98-6-63-70.
- Курнаков А.М., Боровец С.Ю., Аль-Шукри С.Х. Использование доплерографии для дифференциальной диагностики заболеваний предстательной железы // Урологические ведомости. – 2017. – Т. 7. – № 1. – С. 10–14. [Kurnakov AM, Borovets SYu, Al’-Shukri SKh. The use of doppler ultrasound for differential diagnosis of prostate diseases. Urologicheskie vedomosti. 2017;7(1):10-14. (In Russ.)]. https://doi.org/10.17816/uroved7110-14.
- Аль-Шукри С.Х., Курнаков А.М., Боровец С.Ю. Прогнозирование рака предстательной железы с использованием доплерометрического исследования // Урологические ведомости. – 2016. – Т. 6. – № 1. – С. 16–20. [Al’-Shukri SKh, Kurnakov AM, Borovets SYu. Prognosis of prostate cancer using color doppler ultrasonography. Urologicheskie vedomosti. 2016;6(1):16-20. (In Russ.)]. https://doi.org/10.17816/uroved616-20.







