Патоморфологическая перестройка слизистой оболочки буккального лоскута при уретеропластике (экспериментально-клиническое исследование)
- Авторы: Гулиев Б.Г.1, Авазханов Ж.П.1,2, Дробленков А.В.3,4, Винничук С.А.2, Абдурахманов О.Ш.1
-
Учреждения:
- Городская Мариинская больница
- Северо-Западный государственный медицинский университет им. И.И. Мечникова
- Институт экспериментальной медицины
- Санкт-Петербургский медико-социальный институт
- Выпуск: Том 13, № 4 (2023)
- Страницы: 315-322
- Раздел: Оригинальные исследования
- Статья получена: 25.09.2023
- Статья одобрена: 12.10.2023
- Статья опубликована: 14.01.2024
- URL: https://journals.eco-vector.com/uroved/article/view/595743
- DOI: https://doi.org/10.17816/uroved595743
- ID: 595743
Цитировать
Аннотация
Актуальность. В настоящее время при пластике протяженных стриктур пиелоуретерального сегмента и проксимального отдела мочеточника используют лоскуты из слизистой оболочки щеки. Гистологические изменения данных лоскутов в послеоперационном периоде исследованы недостаточно.
Цель — изучить гистологические изменения лоскута из слизистой оболочки щеки, используемого для уретеропластики, в эксперименте и у пациентов в разные сроки после операции.
Материалы и методы. Экcпериментальную часть исследования проводили на 10 животных (кроликах). Изучали гистологические изменения в стенке лоскута из слизистой оболочки щеки, использованного для пластики мочеточника. Под общей анестезией выполняли срединную лапаротомию, мочеточник мобилизовали на протяжении средней трети, создавали дефект около 1 см. Далее выкраивали буккальный графт 1,5 × 1 см, который пришивали к дефекту мочеточника по методике onlay. Через 6 мес. выполняли нефроуретерэктомию. Выделяли три части мочеточника: зону замещения, участки выше и ниже нее по 3 см, с последующим гистологическим исследованием. Клиническая часть состояла в гистологическом исследовании биоптатов, полученных у 5 пациентов при уретероскопии путем щипковой биопсии лоскута через 12 и 24 мес. после букальной пластики мочеточников.
Результаты. В экспериментальной части исследования показана возможность и эффективность пластики мочеточника буккальным лоскутом, а также выявлена перестройка плоского эпителия на переходно-клеточный. У пациентов через 12 и 24 мес. после буккальной уретеропластики подобные изменения слизистой оболочки лоскута не наблюдались, поэтому необходимо дальнейшее изучение слизистой оболочки лоскута из щеки в более поздние послеоперационные сроки.
Заключение. Результаты экспериментального и клинического исследований указывают на возможность использования лоскута из слизистой оболочки щеки для пластики протяженных и рецидивных стриктур мочеточника. В отличие от животных, где наблюдалась перестройка плоского на переходно-клеточный эпителий, у пациентов после буккальной уретеропластики подобные морфологические изменения не происходили.
Полный текст
АКТУАЛЬНОСТЬ
Рецидивные протяженные сужения пиелоуретерального сегмента (ПУС) и проксимального отдела мочеточника при невозможности пластики с использованием собственных тканей мочевых путей являются показаниями к буккальной уретеропластике. Буккальный графт (БГ) является свободным лоскутом без сосудистой ножки и вопросы о его реваскуляризации и морфологические изменения слизистой оболочки под воздействием мочи остаются недостаточно изученными. Оценка гистологической перестройки эпителия лоскута из слизистой оболочки щеки, использованного для замещения мочеточника в эксперименте, а также в разные периоды после уретеропластики в клинической практике, дает возможность прогнозировать эффективность его использования в реконструктивной хирургии верхних мочевых путей, установить возможные осложнения этих операций и пути их профилактики. Экспериментальные работы по изучению патоморфологических изменений БГ при уретропластике проводились ранее. Они показали, что через 2 мес. его плоский эпителий перерождался в переходно-клеточный [1–5]. В отечественной литературе имеются единичные экспериментальные работы по изучению приживляемости буккального лоскута при уретропластике [6]. Однако в отличие от уретры в мочеточнике лоскут находится под постоянным действием мочи, что требует проведения дополнительных исследований. В литературе по буккальной пластике мочеточника имеется единственная экспериментальная работа J.J. Somerville и J.H. Naude [7], которые в эксперименте на трех бабуинах выполнили тубулярную уретеропластику лоскутом из слизистой оболочки щеки с окутыванием зоны операции сальником. Антеградные уретерограммы показали хорошую проходимость мочеточника, а при гистологических исследованиях эпителий трансплантата оставался неповрежденным и не отличался от своего первоначального строения. В дальнейшем экспериментальные работы по буккальной уретеропластике не проводились. Патоморфологические изменения лоскута у пациентов после буккальной пластики также не изучались. Мы приводим результаты экспериментальной работы на 10 кроликах, у которых проводилось onlay-замещение средней трети мочеточника лоскута из слизистой оболочки щеки, а также морфологические изменения его эпителия в различные сроки после замещения мочеточника в клинической практике.
Цель — изучить гистологические изменения лоскута из слизистой оболочки щеки, используемого для уретеропластики, в эксперименте и у пациентов в разные сроки после операции.
МАТЕРИАЛЫ И МЕТОДЫ
Экспериментальное исследование проводили на 10 кроликах-самцах весом более 3 кг. Экспериментальная модель пластики мочеточника лоскутом из слизистой оболочки щеки была создана следующим способом. Под общей анестезией выполняли срединную лапаротомию, мочеточник мобилизовали в средней трети на протяжении 3–4 см и брали на держалку. На этом уровне мочеточник вскрывали, создавали дефект около 1 см (рис. 1).
Рис. 1. Выделение средней трети мочеточника, формирование дефекта размером 1,0 см
Через данный дефект устанавливали мочеточниковый стент 3 Сh. Следующий этап состоял во взятии буккального лоскута размером 1,5 × 0,5 см, который очищали от жирового слоя (рис. 2).
Рис. 2. Выкроен лоскут из слизистой оболочки щеки, очищен от подлежащей клетчатки
После завершения подготовки лоскут пришивали к дефекту мочеточника по методике onlay с использованием викрила 7/0 (рис. 3).
Рис. 3. Лоскут пришит к дефекту мочеточника
После закрытия дефекта мочеточника буккальным лоскутом зону операции укрывали забрюшинным жиром, так как у кроликов большой сальник не выражен. Рану послойно ушивали. Через 6 мес. под общей анестезией выполняли повторную срединную лапаротомию, состоящую из мобилизации почки и мочеточника на всем протяжении, и нефроуретерэктомию с резекцией мочевого пузыря (рис. 4). В удаленном мочеточнике выделяли три части: зону замещения и участки выше и ниже нее по 3 см. Препараты фиксировали с использованием 10 % нейтрального формалина, маркировали и передавали для подготовки парафиновых блоков, резки и окрашивания.
Рис. 4. Удаленная почка с мочеточником
После нефроуретерэктомии переднюю брюшную стенку ушивали через все слои, производили эвтаназию экспериментальных животных путем введения фенобарбитала натрия в дозе 60–100 мг/кг массы тела внутрибрюшинно и в полость легких. Трупы животных утилизированы по всем правилам СанПина.
В клиническую группу включены 30 пациентов с протяженными и рецидивными стриктурами проксимального отдела мочеточника, включая ПУС, оперированных в Центре урологии городской Мариинской больницы за период 2018–2023 гг. В плановом порядке были госпитализированы 25 (83,3 %) пациентов, остальные 5 (16,7 %) — в экстренном. Мужчин было 18 (60,0 %), женщин — 12 (40,0 %). Средний возраст пациентов составил 49,5 ± 16,6 года (от 19 до 77 лет). Всем пациентам выполняли лапароскопическую onlay-буккальную пластику с использованием четырех троакаров: первый из них для камеры устанавливали в подвздошной области на стороне вмешательства. После инсуффляции брюшной полости до 12 мм рт. ст. проводили еще три троакара: два по 6 мм по подключичной линии в подвздошной области и ниже реберной дуги, один 6 мм по задней аксиллярной линии. Далее мобилизовали толстую кишку и отводили ее медиально. С иссечением рубцовых тканей в забрюшинном пространстве идентифицировали мочеточник на протяжении верхней трети. Максимально сохраняя неизмененные ткани, выделяли его выше и ниже сужения. При стриктуре ПУС проводили адекватную мобилизацию лоханки. Далее рассекали мочеточник на протяжении суженного участка, на 1 см выше и ниже этой зоны. При обструкции ПУС разрез продолжали проксимальнее на лоханку. Протяженность стриктуры определяли с помощью мочеточникового катетера. После этого осуществляли забор слизистой щеки соответствующей длины, дефект ее ушивали непрерывным швом. Далее лоскут подготавливали к пластике и через троакар проводили в брюшную полость. Несколькими узловыми швами фиксировали его к дистальному и проксимальному краю суженного участка мочеточника, что облегчало дальнейшее наложение швов. Вначале непрерывный шов (викрил 4/0) накладывали между БГ и латеральным краем рассеченного участка мочеточника, а после антеградной установки стента — с медиальным краем мочеточника. Операцию заканчивали окутыванием зоны замещения большим сальником и установкой дренажа в область операции. У 5 пациентов при уретероскопии произведена щипковая биопсия лоскута через 12 и 24 мес. после операции. Детальное изучение клеток и тканей производили на гистологических срезах, изготовленных с помощью ротационного микротома Sakura модель Accu-Cut SRM 200. Толщина срезов составила 3 мкм, окраску производили гематоксилином и эозином. Микропрепараты исследовали с помощью микроскопа Olympus при 40- и 400-кратном увеличении.
РЕЗУЛЬТАТЫ
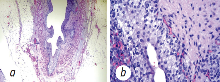
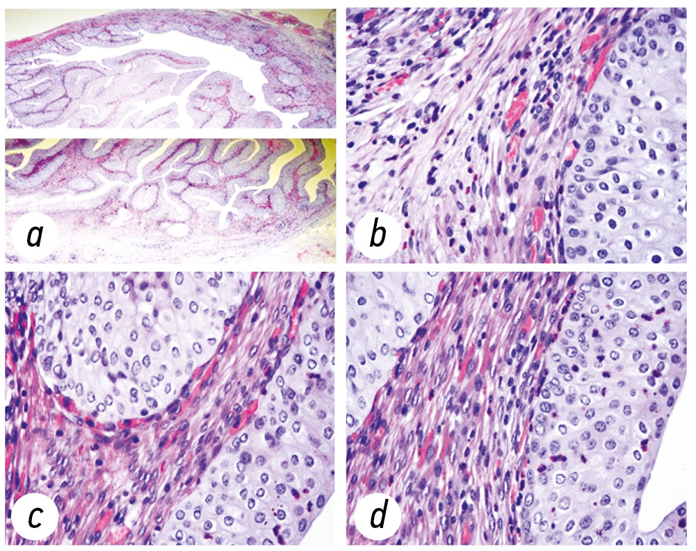
При гистологическом исследовании при фронтальном срезе мочеточника кролика в зоне операции обнаруживается большое число длинных складок слизистой оболочки с хорошо развитыми соединительнотканными стержнями, сохраняющими связь со слизистой оболочкой мочеточника на протяженном участке (рис. 5, а). Значительная часть слизистой оболочки и ее складки с признаками продуктивного воспаления. Эпителий складок на всем их протяжении переходно-клеточный как в области основания (рис. 5, b) и средней части (рис. 5, c), так и в области их вершины (рис. 5, d). Многослойный эпителий на поверхности слизистой оболочки графта обладает рядом особенностей, отличающих его от эпителия щеки или уротелия здорового организма, в то же время несет в себе преимущественные черты переходного эпителия. Так, базальный слой представлен участками, в которых базальные клетки, имеющие контакт с базальной мембраной, находятся либо на одной, либо на разных уровнях. Промежуточный слой значительно более широкий, чем в обоих типах эпителия здорового организма (то есть насчитывает в своем составе большее число клеток). При этом по мере приближения к свободной поверхности ткани размер его клеток увеличивается, сохраняется их полигональная форма и структура ядра, которая соответствует клеткам с сохраненной митотической способностью. Наружный слой образован преимущественно крупными клетками вытянутой формы, однако в отличие от наружного плоского слоя эпителия щеки здорового организма образован высокими уплощенными клетками, содержащими овальное светлое ядро, ядрышко и хроматин. Большинство клеток промежуточного слоя и некоторые клетки базального слоя обладают признаками отека-набухания: между клетками располагаются единичные клетки воспалительного инфильтрата (гранулоциты), гибнущие или уже погибшие эпителиоциты.
Рис. 5. Результаты гистологического исследования зоны буккальной пластики мочеточника кролика. Определяется замещение плоского эпителия слизистой оболочки щеки переходно-клеточным эпителием. Обяснения в тексте. Окраска гематоксилином и эозином. Увел. ×40 (а), ×400 (b, c, d)
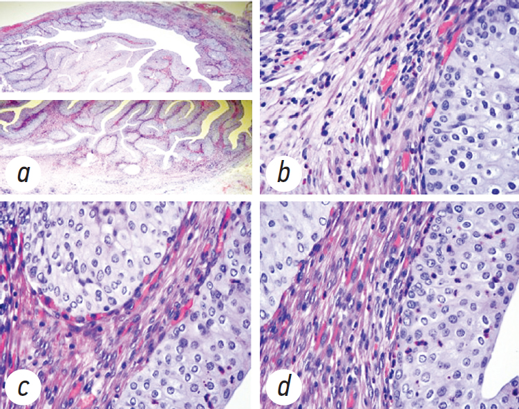
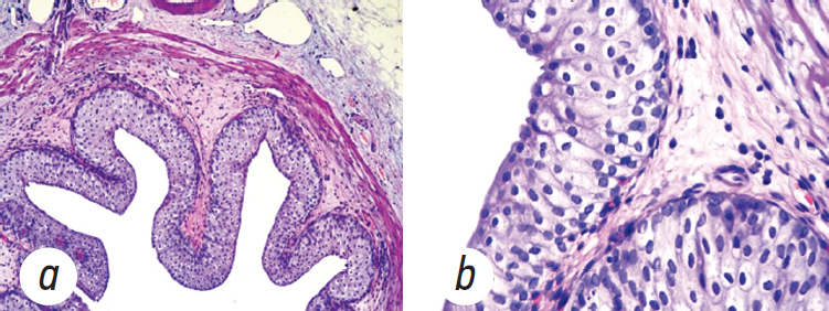
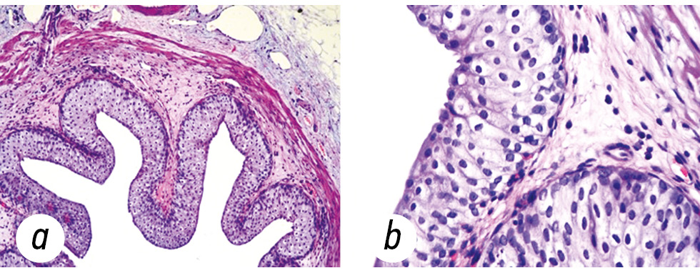
Для оценки состояния зоны замещения буккальным лоскутом проведено гистологическое исследование мочеточника выше и ниже зоны операции. Небольшие складки слизистой оболочки с резко отечной стромой выстланы реактивно измененным переходным эпителием. Базальный слой образован типичными низкодифференцированными эпителиальными клетками, расположенными в 1–2 ряда. Несколько рядов клеток промежуточного слоя обладают признаками выраженного отека. Клетки наружного слоя преимущественно кубические, в отличие от интактного уротелия мелкие, содержат строго по одному ядру и обладают признаками низкодифференцированных клеток (глыбчатая форма хроматина, неразличимое ядрышко) (рис. 6 и 7).
Рис. 6. Фронтальный срез мочеточника кролика выше зоны буккальной пластики. Окраска гематоксилином и эозином. Увел. ×40 (а), ×400 (b)
Рис. 7. Косо-продольный срез мочеточника кролика ниже буккальной пластики. Окраска гематоксилином и эозином. Увел. ×40 (а), ×400 (b)
После замещения эпителий лоскута слизистой оболочки щеки через некоторые время может погибнуть из-за нарушения циркуляции крови в ее сосудах. Регенерация сохраненного переходного эпителия по краям трансплантата, активированная операционным дефектом в области прилежащих к нему клеток базального слоя, осуществляется согласно известным закономерностям. Так, пролиферирующие базальные и ближайшие к ним клетки подрастают вдоль базальной мембраны под основание погибшего многослойного эпителиального пласта и «выталкивают» его на поверхность. Таким образом, происходит реканализация сосудов слизистой оболочки и восстановление эпителиального пласта, которые сохраняют признаки окружающих, но через определенное время претерпевают воспалительные пострегенеративные изменения.
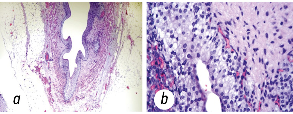
В клинической части гистологическое исследование биоптата БГ показало, что во всех случаях слизистая оболочка трансплантата соответствовала многослойному плоскому эпителию, без атрофии и воспалительной инфильтрации, что характерно для неизмененного эпителия слизистой оболочки щеки (рис. 8). В отличие от экспериментальных данных в клинических условиях не происходило перерождение плоского эпителия в переходно-клеточный, что возможно связано с коротким периодом наблюдения за пациентами после буккальной уретеропластики.
Рис. 8. Слизистая оболочка буккального графта пациента после буккальной пластики мочеточника. Окраска гематоксилином и эозином. Увел. ×40
ОБСУЖДЕНИЕ
В настоящее время лоскут из слизистой оболочки щеки активно используют для замещения длинных стриктур уретры. Постепенно некоторые клиники набирают опыт пластики протяженных дефектов мочеточника этим трансплантатом [8–14]. Важное значение имеет возможность изучения приживляемости БГ, определения сроков его окончательной васкуляризации, а также патоморфологических изменений, происходящих с эпителием лоскута, который использовался для уретеропластики. В литературе имеется одна единственная экспериментальная работа по замещению мочеточника лоскутом из слизистой оболочки щеки [7]. Ее проводили J.J. Somerville и J.H. Naude еще в 1984 г. на трех бабуинах, которые по своим анатомо-физиологическим особенностям близки к людям. Однако результаты исследования не показали перерождения плоского эпителия в переходно-клеточный ни в одном случае. Возможно, это связано с небольшими сроками наблюдения за животными. Это могло быть также связано с тем, что авторы выполняли тубулярную пластику мочеточника, поэтому контакт эпителия мочеточника с лоскутом имелся только в зонах верхнего и нижнего анастомозов. Мы в нашем эксперименте выявили перестройку слизистой оболочки щеки на переходно-клеточный эпителий к 6-му месяцу наблюдения, что можно объяснить большей выраженностью регенеративных процессов у кроликов. В клинической части работы у 5 пациентов через 12 и 24 мес. после буккальной пластики мочеточника во время уретероскопии выполняли биопсию лоскута. Результаты гистологических исследований показали, что у людей за эти сроки трансформация плоского эпителия на переходно-клеточный не происходила. Эти данные совпадают с результатами экспериментального исследования J.J. Somerville и J.H. Naude [7]. На наш взгляд, регенеративные процессы у людей по сравнению с кроликами происходят значительно медленнее, поэтому за небольшой период наблюдения отсутствует значимая перестройка слизистой оболочки БГ. Дальнейшее наблюдение за пациентами после буккальной уретеропластики позволит установить сроки возможного перерождения плоского в переходно-клеточный эпителий.
ЗАКЛЮЧЕНИЕ
Результаты экспериментальной работы на кроликах показали возможность и эффективность пластики мочеточника буккальным лоскутом, а также перестройку плоского переходно-клеточного эпителия. У пациентов через 12 и 24 мес. после буккальной уретеропластики подобные изменения в слизистой оболочке лоскута не наблюдались, поэтому необходимо дальнейшее изучение гистологических изменений слизистой оболочки лоскута из щеки в более поздние послеоперационные сроки.
ДОПОЛНИТЕЛЬНАЯ ИНФОРМАЦИЯ
Вклад авторов. Все авторы внесли существенный вклад в разработку концепции, проведение исследования и подготовку статьи, прочли и одобрили финальную версию перед публикацией. Личный вклад каждого автора: Б.Г. Гулиев — разработка дизайна исследования, анализ полученных данных, редактирование текста рукописи; Ж.П. Авазханов — сбор материала, написание текста рукописи, оформление рукописи, анализ полученных данных; А.В. Дробленков — анализ полученных данных, редактирование текста рукописи; С.В. Винничук — выполнение мофрологических исследований, анализ полученных данных, редактирование текста рукописи; О.Ш. Абдурахманов — сбор материала, оформление рукописи.
Источник финансирования. Авторы заявляют об отсутствии внешнего финансирования при проведении исследования.
Конфликт интересов. Авторы декларируют отсутствие явных и потенциальных конфликтов интересов, связанных с публикацией настоящей статьи.
Этический комитет. Протокол исследования был одобрен локальным этическим комитетом СЗГМУ им. И.И. Мечникова (№ 10 от 30.10.2019).
Информированное согласие на публикацию. Авторы получили письменное согласие пациента на публикацию медицинских данных.
Об авторах
Бахман Гидаятович Гулиев
Городская Мариинская больница
Автор, ответственный за переписку.
Email: gulievbg@mail.ru
ORCID iD: 0000-0002-2359-6973
SPIN-код: 8267-5027
д-р мед. наук, профессор
Россия, Санкт-ПетербургЖалолиддин Пайзилидинович Авазханов
Городская Мариинская больница; Северо-Западный государственный медицинский университет им. И.И. Мечникова
Email: professor-can@mail.ru
ORCID iD: 0000-0003-3824-2681
SPIN-код: 5012-4021
Россия, Санкт-Петербург; Санкт-Петербург
Андрей Всеволодович Дробленков
Институт экспериментальной медицины; Санкт-Петербургский медико-социальный институт
Email: droblenkov_a@mail.ru
ORCID iD: 0000-0001-5155-1484
SPIN-код: 8929-8601
д-р мед. наук, профессор
Россия, Санкт-Петербург; Санкт-ПетербургСергей Анатольевич Винничук
Северо-Западный государственный медицинский университет им. И.И. Мечникова
Email: s.a.vinnichuk@gmail.com
ORCID iD: 0000-0002-9590-6678
SPIN-код: 6448-9110
канд. мед. наук
Россия, Санкт-ПетербургОйбек Шухратович Абдурахманов
Городская Мариинская больница
Email: ovshen_19@mail.ru
ORCID iD: 0009-0002-0350-3538
Россия, Санкт-Петербург
Список литературы
- Güneş M., Altok M., Özmen Ö., et al. A novel experimental method for penile augmentation urethroplasty with a combination of buccal mucosa and amniotic membrane in a rabbit model // Urology. 2017. Vol. 102. P. 240–246. doi: 10.1016/j.urology.2016.10.061
- Mattos R.M., Araújo S.R., Quitzan J.G., et al. Can a graft be placed over a flap in complex hypospadias surgery? An experimental study in rabbits // Int Braz J Urol. 2016. Vol. 42, No. 6. P. 1228–1236. doi: 10.1590/S1677-5538.IBJU.2016.0168
- Oliva P., Delcelo R., Bacelar H., et al. The buccal mucosa fenestrated graft for Bracka first stage urethroplasty: experimental study in rabbits // Int Braz J Urol. 2012. Vol. 38, No. 6. P. 825–832. doi: 10.1590/1677-553820133806825
- Souza G.F., Calado A.A., Delcelo R., et al. Histopathological evaluation of urethroplasty with dorsal buccal mucosa: an experimental study in rabbits // Int Braz J Urol. 2008. Vol. 34, No. 3. P. 345–351; discussion 351–354. doi: 10.1590/s1677-55382008000300012
- Hu X., Xu Y., Song L., Zhang H. Combined buccal and lingual mucosa grafts for urethroplasty: an experimental study in dogs // J Surg Res. 2011. Vol. 169, No. 1. P. 162–167. doi: 10.1016/j.jss.2009.10.032
- Лоран О.Б., Велиев Е.И., Котов С.В., Беломытцев С.В. Выбор оптимального свободного лоскута для заместительной уретропластики при протяженных стриктурах уретры // Урология. 2011. Т. 4. С. 11–16.
- Somerville J.J., Naude J.H. Segmental ureteric replacement: an animal study using a free non-pedicled graft // Urol Res. 1984. Vol. 12, No. 2. P. 115–119. doi: 10.1007/bf00257176
- Гулиев Б.Г., Комяков Б.К., Авазханов Ж.П., Король Е.И. Лапароскопическая буккальная пластика пиелоуретерального сегмента и проксимального отдела мочеточника // Урологические ведомости. 2023. Т. 13, № 1. C. 43–51. doi: 10.17816/uroved321558
- Cheng S., Fan S., Wang J., et al. Laparoscopic and robotic ureteroplasty using onlay flap or graft for the management of long proximal or middle ureteral strictures: our experience and strategy // Int Urol Nephrol. 2021. Vol. 53, No. 3. P. 479–488. doi: 10.1007/s11255-020-02679-5
- Lee Z., Lee M., Koster H., et al. Collaborative of reconstructive robotic ureteral surgery (CORRUS). A multi-institutional experience with robotic ureteroplasty with buccal mucosa graft: an updated analysis of intermediate-term outcomes // Urology. 2021. Vol. 147. P. 306–310. doi: 10.1016/j.urology.2020.08.003
- Fan S., Yin L., Yang K., et al. Posteriorly augmented anastomotic ureteroplasty with lingual mucosal onlay grafts for long proximal ureteral strictures: 10 cases of experience // J Endourol. 2021. Vol. 35, No. 2. P. 192–199. doi: 10.1089/end.2020.0686.
- Yang K., Fan S., Wang J., et al. Robotic-assisted lingual mucosal graft ureteroplasty for the repair of complex ureteral strictures: technique description and the medium-term outcome // Eur Urol. 2022. Vol. 81, No. 5. P. 533–540. doi: 10.1016/j.eururo.2022.01.007
- Liang C., Wang J., Hai B., et al. Lingual mucosal graft ureteroplasty for long proximal ureteral stricture: 6 years of experience with 41 cases // Eur Urol. 2022. Vol. 82, No. 2. P. 193–200. doi: 10.1016/j.eururo.2022.05.006
- Guliev B.G., Komyakov B., Avazkhanov Z., et al. Laparoscopic ventral onlay ureteroplasty with buccal mucosa graft for complex proximal ureteral stricture // Int Braz J Urol. 2023. Vol. 49, No. 5. P. 619–627. doi: 10.1590/S1677-5538.IBJU.2023.0170
Дополнительные файлы












