Интраоперационное применение фотодинамической терапии как метода инактивации уропатогенной флоры (пилотное исследование)
- Авторы: Стрельцова О.С.1, Антонян А.Э.1, Елагин В.В.1, Игнатова Н.И.1, Юнусова К.Э.1, Жиляева-Фомина Т.Р.2, Лазукин В.Ф.1, Каменский В.А.1
-
Учреждения:
- Приволжский исследовательский медицинский университет
- Нижегородская областная клиническая больница им. Н.А. Семашко
- Выпуск: Том 13, № 4 (2023)
- Страницы: 347-357
- Раздел: Оригинальные исследования
- Статья получена: 26.09.2023
- Статья одобрена: 28.11.2023
- Статья опубликована: 14.01.2024
- URL: https://journals.eco-vector.com/uroved/article/view/595870
- DOI: https://doi.org/10.17816/uroved595870
- ID: 595870
Цитировать
Аннотация
Актуальность. Предиктором экспериментальных работ на животных по применению антимикробной фотодинамической терапии с целью обезвреживания антибиотикорезистентных штаммов микроорганизмов стал анализ микробного пейзажа мочи пациентов и смывов с рабочих поверхностей объектов урологического стационара.
Цель — изучение возможности интраоперационной фотодинамической инактивации уропатогенных микроорганизмов в эксперименте.
Материалы и методы. Анализ видовой специфичности микроорганизмов выполнен по результатам посевов мочи пациентов урологического стационара и заносов инфекций за последние 10 лет. Экспериментальная часть работы выполнена на 7 животных (свиньи). Фотодинамическую терапию проводили интраоперационно путем местного введения животным в лоханку почки фотосенсибилизатора фотодитазин в 0,9 % растворе натрия хлорида с добавлением неионного поверхностно-активного вещества Тритон Х-100 до концентрации 10 %. Для изучения повреждающего эффекта на ткани лоханки выполнено гистологическое исследование почек животных. Для оценки биоцидного эффекта на уропатогенные бактерии, введенные в лоханку почки, использовали суспензии суточных тест-культур (1 · 108 КОЕ/мл) микроорганизмов, наиболее часто встречающиеся в конкрементах пациентов с мочекаменной болезнью.
Результаты. Наиболее часто в моче больных урологического стационара присутствовали Escherichia coli, Enterobacter cloacae, Staphylococcus epidermidis, Enterococcus faecalis и Klebsiella pneumonia. Комплексно исследована безопасность применения фотодинамической терапии в лоханке почки животных. Установлено, что накопления фотосенсибилизатора клетками выстилающего эпителия лоханок почек не происходило, раствор фотосенсибилизатора в лоханке почки в процессе фотодинамической терапии не нагревался. При гистологическом исследовании установлено отсутствие значительных повреждений эпителия лоханки почки животных при воздействии различных режимов облучения. Анализ бактерицидной активности используемой методики показал, что фотодинамическая терапия приводит к гибели 99,9 % E. coli и 99 % S. aureus.
Заключение. В эксперименте установлено, что интраоперационная фотодинамическая терапия является эффективным и безопасным методом инактивации уропатогенных микроорганизмов, что позволяет рассматривать ее в качестве альтернативы антибиотикотерапии.
Полный текст
АКТУАЛЬНОСТЬ
Современная урология характеризуется бурным развитием эндоскопической, в том числе внутрипросветной хирургии, отличающаяся такими преимуществами, как малая травматичность и более короткий период восстановления больных. Однако сложная конструкция применяемого оборудования и инструментов, трудоемкость его обработки после использования и человеческий фактор на всех этапах работы являются факторами риска развития послеоперационных осложнений. К факторам риска также следует отнести необходимость дренирования мочевыделительных органов — внедрение инородного тела, необходимость визуализации поля оперативного вмешательства, что достигается ирригацией жидкости и, следовательно, эпизодами повышения давления в системе с пиело-интерстициальными рефлюксами, а также часто неэффективность предоперационной и/или интраоперационной антибиотикопрофилактики мочевой инфекции вследствие антибиотикорезистентности уропатогенов. Согласно данным литературы, инфицированными являются от 30 [1] до 51 % мочевых камней [2]. Принципы современной литотрипсии базируются на дроблении конкрементов до мелких осколков, которые удаляют/отмывают через доступы малого диаметра. При этом мелкая фрагментация в случае камня, ассоциированного с инфекцией, неизбежно сопровождается высвобождением большого количества токсинов и бактерий, содержащихся в конкременте [3]. Самые грозные из послеоперационных осложнений — синдром системной воспалительной реакции (ССВР), пиелонефрит и уросепсис. Частота развития ССВР в послеоперационном периоде может достигать 27,4 %, а уросепсиса — до 7,9 % [4–6]. Лихорадка в послеоперационном периоде может возникать даже в случае стерильного предоперационного посева мочи и на фоне профилактической антибиотикотерапии, поскольку источником инфекции являются бактерии, находящиеся внутри конкремента [7–9]. Кроме того, в урологических отделениях лечебно-профилактических учреждений Российской Федерации, так же как и во многих странах мира, существует проблема внутрибольничных инфекций (инфекции, связанные с оказанием медицинской помощи, ИСМП). Несмотря на соблюдение в медицинских учреждениях санитарно-гигиенических и противоэпидемических правил частота ИСМП достаточно высока [10].
Повышение эффективности профилактики послеоперационных инфекционно-воспалительных осложнений остается весьма актуальной проблемой. Одно из направлений научного поиска — изучение возможностей фотодинамической терапии (ФДТ), традиционно применяемой в медицине для лечения пациентов с онкологическими заболеваниями. В настоящее время изучается потенциал данного метода для лечения локализованных бактериальных инфекций, в том числе устойчивых к антибиотикам [11]. Кроме того, проводятся экспериментальные и клинические исследования по лечению гнойных ран и гнойно-септических осложнений ЛОР-органов с использованием ФДТ [12]. Показаны перспективы применения ФДТ в стоматологии [13]. Согласно литературным данным, антибактериальная ФДТ является многообещающей технологией борьбы с хроническими инфекциями [14–17]. Анализ воздействия ФДТ на «планктонную» микрофлору мочи у пациентов с мочекаменной болезнью (МКБ) был представлен нашей исследовательской группой ранее [18]. Однако отсутствуют данные о применении ФДТ для профилактики инфекционных осложнений в урологической практике, в частности, при лечении МКБ.
В настоящей работе проведен анализ микробного пейзажа мочи пациентов и смывов с различных поверхностей в урологическом стационаре областного уровня за 10 лет и выполнен анализ чувствительности выделенных микроорганизмов к антибиотикам. Полученные результаты свидетельствуют о необходимости внедрения новых способов антибактериальной терапии. С этой целью проведена оценка безопасности интраоперационного использования антибактериальной ФДТ в экперименте.
Цель исследования — изучение возможности интраоперационной фотодинамической инактивации уропатогенных микроорганизмов в эксперименте.
Задачами исследования были: 1. Проведение динамического анализа микрофлоры мочи пациентов и смывов с рабочих поверхностей объектов внешней среды в урологической клинике. 2. Оценка биоцидного эффекта на уропатогенные бактерии, а также выраженность/наличие повреждающего эффекта на ткани лоханки почки животного при интраоперационном фотодинамическом воздействии.
МАТЕРИАЛЫ И МЕТОДЫ
Анализ видовой специфичности микроорганизмов
В работе представлен ретроспективный анализ обсервационных данных микробного пейзажа мочи пациентов урологической клиники (120 коек) крупного стационара за 2010–2019 гг., в котором выполняют как эндоскопические, так и открытые хирургические вмешательства. Были исследованы результаты смывов с различных рабочих поверхностей объектов внешней среды в урологической клинике. Точки отбора смывов: руки, белье, спецодежда, медицинские инструменты, предметы обстановки, медицинское оборудование и перевязочные столы. Проанализированы также основные уропатогены, выделенные из нативных образцов мочи пациентов, страдающих осложненной МКБ, в том числе взятой от пациентов с установленной бактериурией, длительно стоящими уростомами, рецидивной МКБ, эпизодами обострения инфекционно-воспалительных процессов.
Работа с животными
Для анализа реакции ткани лоханки животного на ФДТ проведено воздействие на лоханки 7 свиней породы ландрас, животные 4–4,5-месячного возраста, массой от 40 до 45 кг. Четыре почки разных свиней, не подвергавшиеся воздействию, приняты за норму. Анестезиологическое пособие при проведении экспериментальных оперативных вмешательств животным оказывали инъекцией смеси препаратов Золетил и Рометар. Операционное поле два раза обрабатывали 0,5 % водно-спиртовым раствором хлоргексидина биглюконата. Доступ к почке осуществляли через косой разрез в подреберье. Забрюшинно выделяли почку и верхнюю треть мочеточника. Мочеточник пережимали мягким жгутом, через разрез в его верхней трети устанавливали катетер в лоханку. Все исследования на животных одобрены этическим комитетом ФГБОУ ВО «Приволжский исследовательский медицинский университет» Минздрава России (протокол № 13 от 07.07.2021) и выполнены в соответствии с требованиями международно-правовых актов по работе с лабораторными животными.
Оценка накопления фотосенсибилизатора тканями почки
В исследовании использовали фотодитазин в дозе 5 мг/мл в 0,9 % растворе натрия хлорида с добавлением неионного поверхностно-активного вещества Тритон Х-100 до концентрации 10 %. Данный раствор через катетер вводили в лоханку почки и выдерживали 10 мин. Затем лоханку промывали в 0,9 % растворе натрия хлорида и почку удаляли. Накопление фотосенсибилизатора в тканях почки оценивали по интенсивности флуоресценции с использованием установки для поверхностного флуоресцентного имиджинга IVIS.
Проведение фотодинамической терапии in vivo
Через 15 мин после наполнения лоханки раствором фотосенсибилизатора в нее вводили световод с цилиндрическим диффузным рассеивателем длиной 5 мм на конце (ООО «Полироник»), соединенный с лазером Латус-К (ООО «Актус»). Облучение полости лоханки почки выполняли в непрерывном или импульсном режимах с выходной мощностью 150 и 300 мВт и длиной волны 662 нм. После проведения облучения мочеточник ушивали атравматической полигликолидовой нитью, рану послойно ушивали. Кожу обрабатывали антисептиком, укрывали асептической наклейкой. Гистологическое исследование тканей почек проводили через 3 ч, а также 1 и 3 сут после проведения ФДТ. Для исключения термического воздействия в процессе облучения проводили измерение температуры в лоханке с использованием портативного многофункционального мультиметра, оснащенного термопарой.
Антибактериальная фотодинамическая терапия in vivo
Для оценки эффективности интраоперационной ФДТ использовали наиболее часто встречающиеся в камнях пациентов микроорганизмы — Escherichia coli и Staphylococcus aureus [18]. Суточные культуры микроорганизмов (1 · 108 КОЕ/мл) вводили в лоханку почки и выдерживали 15 мин. Данное время соответствует средней продолжительности дробления единичного камня в лоханке почки у человека. Затем в лоханку вводили раствор фотодитазина и через 10 мин проводили облучение в течение 10 мин с выходной мощностью 300 мВт. Далее почку удаляли и с внутренней поверхности лоханки брали смывы. Подсчет количества выросших колоний проводили через 24 ч после посева. Эффективность ФДТ оценивали по значению логарифмического снижения КОЕ, где 1 — 90 %, 2 — 99 %, 3 — 99,9 %, 4 — 99,99 %, 5 — 99,999 %, 6 — 99,9999 % погибших микроорганизмов.
Биохимический анализ крови
Животным до операции, а также в день выведения из исследования проводили забор крови из вены, расположенной на наружной поверхности ушной раковины. Забор выполняли вакуумными пробирками с этилендиаминуксусной кислотой и вакуумными пробирками с активатором свертывания. На автоматическом биохимическом анализаторе HumaStar 600 (Human, Германия) выполняли фотометрические тесты для получения биохимических анализов крови — мочевины, креатинина, концентрации С-реактивного белка. Иммунотурбодиметрическим методом выполняли анализ крови на цистатин С. Цистатин С — ингибитор цистеиновой протеазы, надежный и чувствительный маркер скорости клубочковой фильтрации (СКФ), не зависящий от гендерных и возрастных характеристик пациента [19]. Для общего анализа крови использовали анализатор Mindray 6800 (Mindray, Китай).
Гистологическое исследование
После выведения животных из исследования забирали почки в раствор забуференного формалина. Через 48 ч образцы промывали, иссекали из них участки лоханки. Препараты фиксировали в 10 % растворе формалина, заливали в парафиновые блоки, на микротоме Leica CM 2000R (Германия) изготавливали срезы толщиной 5 мкм, стандартным методом окрашивали гематоксилином и эозином, изучали светооптически (Leica DM 1000, ×40–400) с фотофиксацией изображений (Leica DFC290).
Статистический анализ
Полученные данные подвергали статистическому анализу с помощью программного пакета SPSS Statistica v. 26. Нормальность выборок данных параметров определяли по методу Колмогорова – Смирнова. Для выборок, не удовлетворяющих критерию нормальности, их общие характеристики представлены не средними величинами с погрешностями, а в формате квартильного размаха, то есть как: Me [Q1; Q3], где Me — медиана (50 %); Q1 — 25 %; Q3 — 75 %. Стандартное отклонение σf% процентных долей рассчитывалось по формуле:
где f — процентная доля, n — общее количество элементов выборки.
РЕЗУЛЬТАТЫ
Обсервационные данные микрофлоры пациентов урологической клиники
В результате проведенного ретроспективного анализа установлено, что МКБ является превалирующей патологией: в 2010 г. — 37,2 % (1351/3626), в 2013 г. —41,7 % (1293/3101), в 2016 г. — 43,2 % (1435/3318), в 2019 г. — 43,3 % (1458/3363) всех получивших лечение пациентов. За десятилетний период этот показатель вырос на 5,8 %. Наиболее часто поступают пациенты с камнями в мочеточниках (N20.1) — 57,9 %, в почках (N20.0) — 22,1 %, в почках и мочеточниках (N20.2) — 20 %. Средний возраст пациентов составил 47,0 ± 0,8 года для мужчин и 53,1 ± 0,9 года для женщин. Большинство получавших лечение в клинике больных оперировали. Хирургическая активность в интервале 5 лет составила 77–80 %, например, в 2021 г. — 77,2 % (2509/3248). Среди пациентов с МКБ оперативное лечение получали 52,5 ± 1,3 % пациентов, консервативное лечение — 46,5 ± 1,3 % пациентов. Эндоскопические вмешательства выполнены в 35,2 ± 1,2 % случаях, ударно-волновая литотрипсия — в 14,4 ± 0,9 % случаев, открытые оперативные вмешательства — в 3,9 ± 0,5 %.
За последнее десятилетие возросла приверженность урологов к дренированию мочевой системы после операций, соответственно, четко прослеживается двухэтапность вмешательства. Так, в 2019 г. после эндоскопических операций по поводу МКБ 95,1 % (467/491) пациентов были установлены различные дренажи (нефростомы, стенты, уретеральные и уретральные катетеры, цистостомы), то есть у этих пациентов имел место фактор, способствующий развитию госпитальной инфекции.
Результаты 10-летнего обсервационного динамического анализа микрофлоры мочи пациентов урологической клиники показаны в табл. 1. Данные представлены в относительных показателях (выявляемость на 1000 образцов мочи). Прослежена многолетняя динамика микробного пейзажа мочи пациентов, с учетом ИСМП и заносов инфекции. Смывы, отобранные с поверхностей объектов внешней среды в урологической клинике, проанализированы за период 2010–2019 гг. Наиболее часто в образцах мочи встречалась E. coli, Enterobacter cloacae и Staphylococcus epidermidis. Также были широко распространены Enterococcus faecalis, Staphylococcus saprophyticus, Acinetobacter baumannii и Klebsiella pneumoniae. Полученные данные согласуются с результатами анализа видового состава микроорганизмов смывов с рабочих поверхностей урологической клиники. Отмечено, что за 10 лет, включенных в анализ, наблюдался прирост количества представителей родов Escherichia, Enterobacter и Enterococcus. В предыдущем нашем исследовании множественная лекарственная устойчивость была обнаружена у большинства микроорганизмов, выделенных из камней пациентов, страдающих МКБ [18]. Таким образом, постоянный поток больных, проходящих через урологический стационар, применение эндоскопических манипуляций и операций, сопровождающихся дренированием мочевыводящей системы, может быть источником микробной контаминации помещений в урологической клинике.
Таблица 1. Динамика изменений видового состава микроорганизмов, выделенных из мочи (выявляемость на 1000 образцов)
Table 1. Dynamics of changes in the species composition of microorganisms isolated from urine (detectability per 1000 samples)
Название микроорганизма | 2010 г. | 2013 г. | 2016 г. | 2019 г. | За 10 лет, 50 % [Q1; Q3] |
Escherichia coli | 102,8 | 77,4 | 116,9 | 137,9 | |
Enterobacter cloacae | 49,3 | 70,9 | 99,4 | 95,7 | |
Staphylococcus epidermidis | 96,9 | 33,8 | 70,2 | 62,1 | |
Enterococcus faecalis | 40,7 | 20,6 | 64,4 | 89,5 | |
Staphylococcus saprophyticus | 29,6 | 21,6 | 10,5 | 26,7 | |
Acinetobacter baumannii | 16,1 | 9,6 | 0 | 5,9 | |
Klebsiella pneumoniae | 11,5 | 16,7 | 0 | 8,3 | |
Pseudomonas aeruginosa | 10,5 | 6,1 | 8,4 | 9,2 | |
Candida spp. | 9,5 | 3,2 | 7,5 | 11,0 | 6,3 [4; 9] |
Staphylococcus aureus | 2,6 | 2,9 | 6,9 | 10,4 | |
Proteus mirabilis | 6,9 | 3,2 | 4,5 | 0 | |
Citrobacter freundii | 3,3 | 1,9 | 0,6 | 0 |
Вышеизложенные факторы стали предиктором экспериментальных работ на животных по применению антимикробной ФДТ в урологии с целью обезвреживания антибиотикорезистентных штаммов микроорганизмов.
Оценка безопасности антимикробной фотодинамической терапии в эксперименте на животных
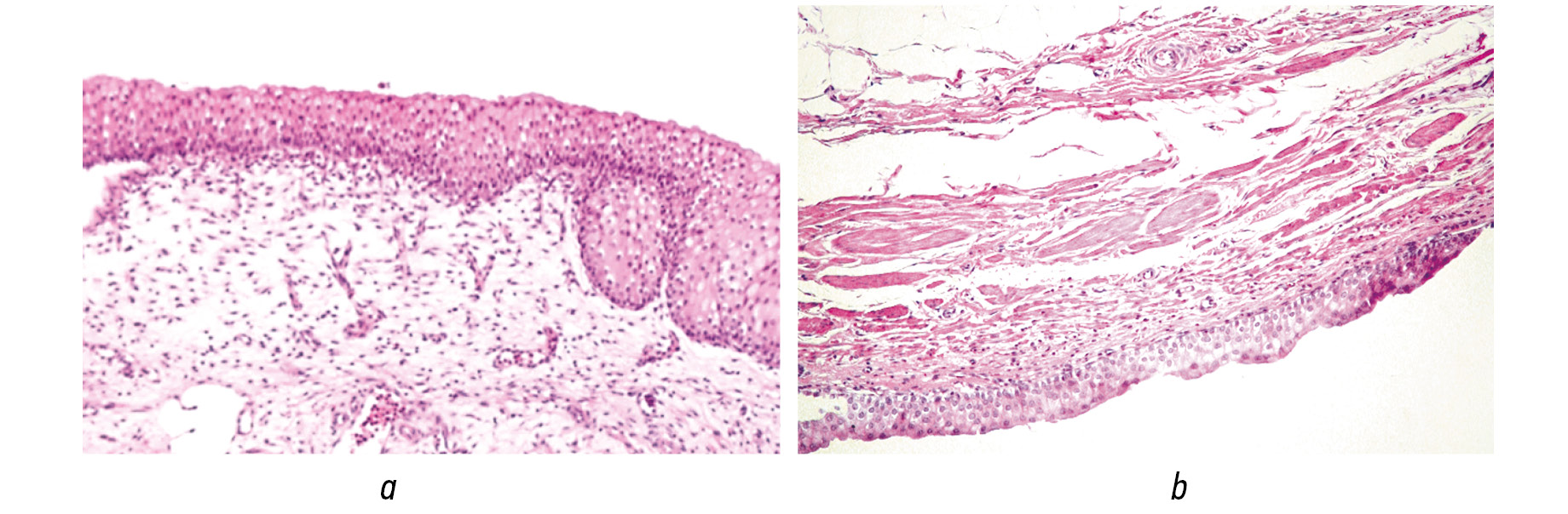
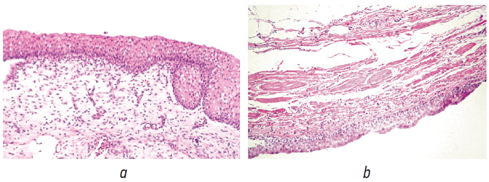
Предварительно был измерен объем лоханок почек свиней путем введения в них жидкости при зажатом лоханочно-мочеточниковом сегменте. В норме объем составлял 1,1 ± 0,1 см3. Далее оценивали накопление фотодитазина тканями почки. В области лоханки флуоресценции фотосенсибилизатор отсутствовал (рис. 1). Обнаруженный сигнал флуоресценции в мочеточнике и на боковых поверхностях почки обусловлен неполным удалением раствора фотодитазина из органа и занесением его руками в процессе подготовки образца для исследования. Гистологическое исследование показало, что лоханка в норме выстлана эпителием, состоящим из 5–6 слоев клеток с ровными контурами наружного слоя, под ним рыхлая соединительная ткань с небольшим количеством тонкостенных сосудов. После воздействия раствора фотосенсибилизатора изменений состояния выстилающего эпителия отмечено не было (рис. 2).
Рис. 1. Продольный разрез на полость лоханки контрольной почки (а) и почки после 10-минутной экспозиции раствора фотодитазина (b). Изображения представляют собой макрофотографии с наложенным сигналом флуоресценции
Рис. 2. Оценка состояния тканей лоханок контрольной почки (a) и после 10-минутной экспозиции раствора фотодитазина 10 % с Triton X-100, 5 об.% (b). Окраска гематоксилином и эозином. Увел. ×100
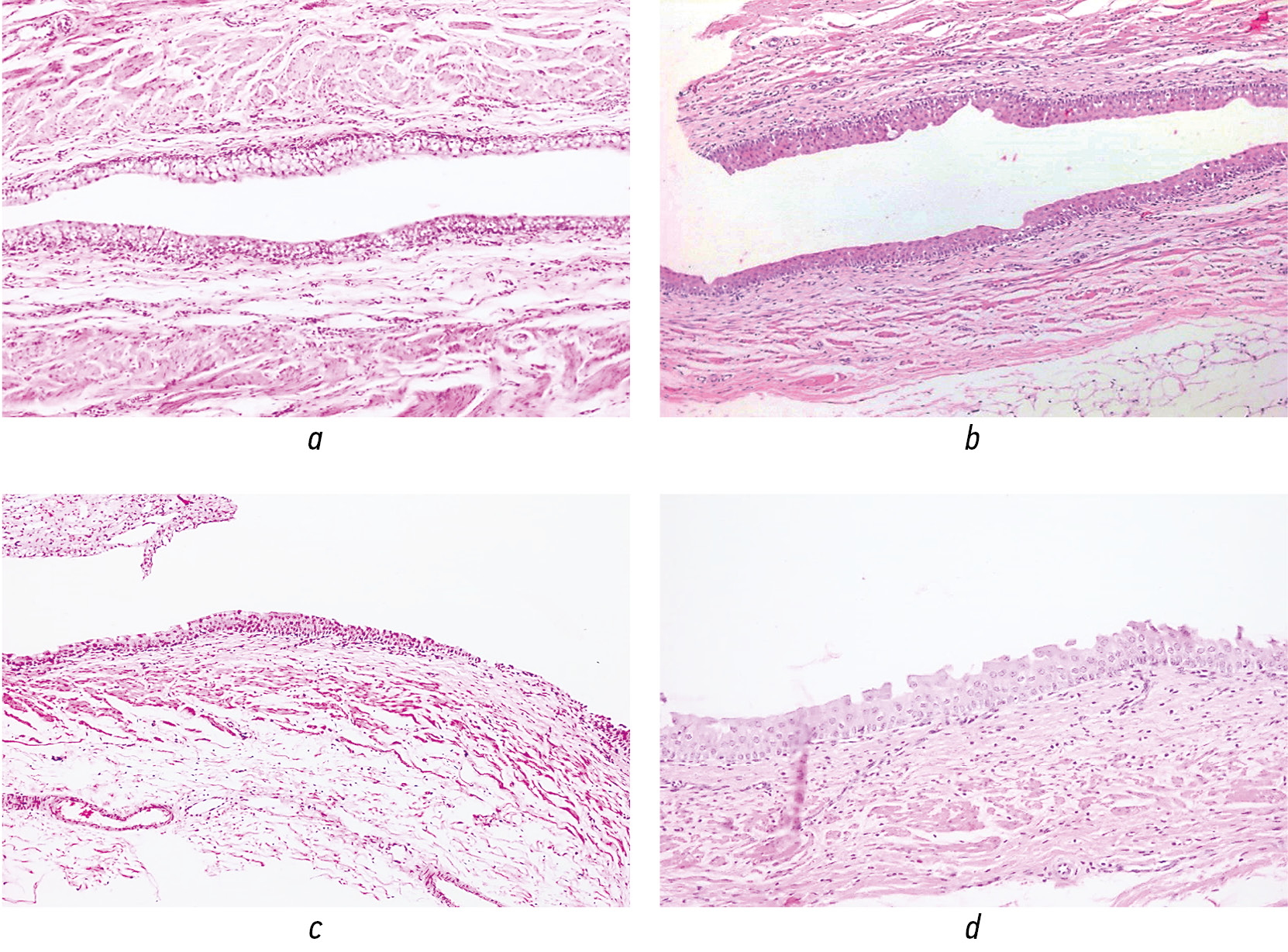
На следующем этапе оценено состояние тканей почки после проведения ФДТ. Результаты облучения полости лоханки, содержащей раствор фотодитазина, лазерным излучением с выходной мощностью 150 и 300 мВт. Так, при воздействии 150 мВт в импульсном режиме, отмечается лишь очаговое увеличение межклеточных контактов поверхностного слоя уротелия (рис. 3, а). При использовании непрерывного режима с той же мощностью возникают единичные очаги разрыхления с единичными фокусами дексвамации поверхностного слоя клеток, увеличение межклеточных контактов поверхностного слоя уротелия (рис. 3, b). При воздействии 300 мВт в импульсном режиме местами обнаруживается узурирование контуров и единичные мелкие фокусы десквамации поверхностных клеток уротелия (рис. 3, с). Воздействие в непрерывном режиме с мощностью 300 мВт приводит к формированию участков выраженного разрыхления клеток из-за деструкции межклеточных контактов и множественных сливающихся участков деструкции наружных рядов покровного уротелия, местами толщина сохранных рядов составляет 2–3 клетки. Таким образом, под воздействием 300 мВт определяется незначительное повреждение поверхностного слоя слизистой оболочки, не затрагивается подлежащая ткань (рис. 3, d).
Рис. 3. Гистологические препараты: a — плотность мощности 150 мВт/см2, импульсный режим; b — плотность мощности 150 мВт/см2, непрерывный режим; c — плотность мощности 300 мВт/см2, импульсный режим; d — плотность мощности 300 мВт/см2, непрерывный режим; окраска гематоксилином и эозином, увел. ×100
Определение температурного режима в процессе фотодинамического облучения
В ходе исследования проведено измерение температуры раствора фотодитазина в полости лоханки при ее облучении лазером в непрерывном режиме с мощностью 300 мВт в течение 20 мин. Облучение лоханки не приводило к повышению температуры ни при наличии ирригации, ни в ее отсутствие. Ирригацию осуществляли через нефростому при внутрилоханочном давлении не более 30 см вод. ст.
Определение микрофлоры содержимого лоханки после фотодинамического облучения
После введения суспензии суточных тест-культур (1 · 108 КОЕ/мл) в лоханку почки свиньи была проведена ФДТ. Смывы с внутренней поверхности лоханки почки высевали на мясопептонный агар. Было установлено, что ФДТ приводит к гибели 99,9 E. coli и 99 % S. aureus, что свидетельствует об эффективной бактерицидной активности используемой методики.
Оценка функционального состояния почек
Биохимический анализ крови через одни сутки после операции выявил повышение уровней креатинина и мочевины, которые незначительно выходят за допустимый референсный интервал (табл. 2). Негативного влияния на СКФ отмечено не было, уровень цистатина С в послеоперационном периоде снижался.
Таблица 2. Показатели крови свиней после фотодинамической терапии (сокращенный вариант)
Table 2. Blood parameters of pigs after photodynamic therapy (abbreviated version)
Показатель крови | Референсное значение | Свинья 1 | Свинья 2 | ||
0 сут | 1 сут | 0 сут | 3 сут | ||
Креатинин, мкмоль/л | 69,60–207,70 | 115,20 | 221,30 | 138,50 | 139,2 |
Мочевина, ммоль/л | 3,70–6,40 | 2,05 | 7,69 | 4,13 | 3,79 |
Лейкоциты, 109/л | 11,00–22,00 | 32,1 | 30,40 | 17,30 | 20,40 |
СОЭ, мм/ч | 2,00–9,00 | 8,0 | 3,0 | 2,0 | 34,00 |
Цистатин С (мг/л) | –* | 0,44 | 0,37(↓) | 0,52 | 0,37(↓) |
*Референсное значение уровня цистатина С для животных (свиней) отсутствует, для человека — 0,61–0,95 мг/л.
ОБСУЖДЕНИЕ
Ретроспективный анализ результатов микробиологических посевов мочи пациентов урологической клиники за период с 2010 по 2019 г. показал, что количество пациентов с положительным посевом мочи увеличилось. Кроме того, выявлено, что наиболее часто в моче присутствовали E. coli, E. cloacae, S. epidermidis, E. faecalis и K. pneumoniae. В предыдущем нашем исследовании аналогичные виды микроорганизмов были выделены из мочевых камней пациентов [18]. Кроме того, большинство выделенных микроорганизмов имели множественную лекарственную устойчивость, что подтверждает общемировую тенденцию [20]. Понятно, что в случае устойчивых штаммов микроорганизмов, проведение курса предоперационной антибиотикотерапии не эффективно. Кроме того, во время операции данные микроорганизмы могут быть распространены из камня при его дроблении по используемому инструментарию. Подтверждением этого является сходство видового состава микроорганизмов, выделенных из мочи и смывов с рабочих поверхностей урологического стационара. Специфика урологических операций с потребностью дренирования мочевыводящих путей, а также наличие человеческого фактора могут служить дополнительными источниками распространения антибиотико-резистентных штаммов. Альтернативой для антибиотикотерапии может служить антибактериальная ФДТ. В отличие от антибиотиков, ФДТ имеет множество мишеней в бактериальной клетке, а также исключает возможность развития резистентности [21].
В предыдущих наших исследованиях была показана эффективность антибактериальной ФДТ на различных видах микроорганизмов. Исследовательским коллективом оптимизирована процедура ФДТ для грамотрицательных уропатогенных микроорганизмов и протестирована на инфицированной моче пациентов [18]. В настоящей работе проведено комплексное исследование безопасности применения разработанной методики на животных. Было показано, что накопление фотодитазина клетками выстилающего эпителия лоханок почек после 10-минутной экспозиции фотосенсибилизатора не происходило. Результат свидетельствует, что значительных повреждений тканей при фотодинамическом воздействии на ткань лоханки почки не будет. Благодаря особенностям строения уротелий обеспечивает барьерную функцию, которая исключает проникновение в ткани почки различных веществ, ионов и воды [22]. Поскольку в разработанной методике используются высокие плотности мощности лазерного излучения, было оценено изменение температуры при проведении ФДТ. Раствор фотосенсибилизатора в лоханке почки не нагревался, что исключает термическое повреждение тканей органа. Для оценки состояния тканей лоханки почки после ФДТ проводили гистологическое исследование. Отсутствие значительных повреждений эпителия лоханки почки животных при воздействии различных режимов облучения, вероятно, связано с отсутствием фотосенсибилизатора в клетках эпителия.
Для оценки функционального состояния почек и организма в целом проводили биохимический анализ крови. Общепринято, что определение значений СКФ необходимо для диагностики и мониторинга нарушения ренальных функций [23, 24]. Известно, что цистатин С эндогенно образуется в организме с постоянной скоростью всеми ядерными клетками, свободно фильтруется в ренальных клубочках и почти полностью реабсорбируется и разрушается в почечных канальцах, поэтому повышение его сывороточного уровня свидетельствует о снижении СКФ и может сигнализировать о «преклинической» фазе ренальной дисфункции [23]. В проведенном нами исследовании выявлено, что выполненная интрооперационная ФДТ не повлияла на СКФ почек животного, а уровень цистатина С по сравнению с исходным стал ниже.
Таким образом, проведенное исследование свидетельствует о безопасности антибактериальной ФДТ и возможности дополнения ею традиционной антибиотикотерапии при оперативном лечении мочекаменной болезни. Преимущество использования данной техники, на наш взгляд, может состоять в том, что одновременное проведение интраоперационного лечебного воздействия позволит получить антимикробный эффект за очень короткий промежуток времени.
ЗАКЛЮЧЕНИЕ
Проведенный ретроспективный анализ демонстрирует схожесть видов микроорганизмов, изолированных из мочи пациентов и с рабочих поверхностей урологической клиники. Широкая распространенность штаммов со множественной лекарственной устойчивостью делает неэффективной традиционную антибиотикотерапию. В качестве альтернативы антибиотикам был исследован метод антибактериальной ФДТ. Проведенные исследования на животных подтвердили безопасность данного метода и перспективность его применения интраоперационно при оперативном лечении пациентов с мочекаменной болезнью.
ДОПОЛНИТЕЛЬНАЯ ИНФОРМАЦИЯ
Вклад авторов. Все авторы внесли существенный вклад в разработку концепции, проведение исследования и подготовку статьи, прочли и одобрили финальную версию перед публикацией. Вклад каждого автора: О.С. Стрельцова — разработка концепции, забор биологического материала, анализ полученных данных, написание текста рукописи; А.Э. Антонян — забор биологического материала; анализ полученных данных; написание текста рукописи; В.В. Елагин — разработка концепции, анализ полученных данных, редактирование текста рукописи; Н.И. Игнатова — разработка концепции, анализ полученных данных, редактирование текста рукописи; К.Э. Юнусова — подготовка и анализ гистологического материала; Т.Р. Жиляева-Фомина — подготовка и анализ материала по эпидемиологическому обсервационному исследованию; В.Ф. Лазукин — статистическая обработка материала; В.А. Каменский — общее руководство исследованием.
Источник финансирования. Работа выполнена при финансовой поддержке Российского научного фонда (грант № 21-15-00371).
Конфликт интересов. Авторы декларируют отсутствие явных и потенциальных конфликтов интересов, связанных с публикацией настоящей статьи.
Об авторах
Ольга Сергеевна Стрельцова
Приволжский исследовательский медицинский университет
Автор, ответственный за переписку.
Email: strelzova_uro@mail.ru
ORCID iD: 0000-0002-9097-0267
SPIN-код: 9674-0382
д-р мед. наук
Россия, Нижний НовгородАртём Эдуардович Антонян
Приволжский исследовательский медицинский университет
Email: 5x5x5@inbox.ru
ORCID iD: 0000-0001-6494-7277
Россия, Нижний Новгород
Вадим Вячеславович Елагин
Приволжский исследовательский медицинский университет
Email: elagin.vadim@gmail.com
ORCID iD: 0000-0003-2676-5661
Scopus Author ID: 16515845600
канд. биол. наук
Россия, Нижний НовгородНадежда Ивановна Игнатова
Приволжский исследовательский медицинский университет
Email: n.i.evteeva@gmail.com
ORCID iD: 0000-0002-4570-9342
Scopus Author ID: 55648183300
канд. биол. наук
Россия, Нижний НовгородКатерина Эдуардовна Юнусова
Приволжский исследовательский медицинский университет
Email: katyayunusova@ya.ru
ORCID iD: 0000-0001-9283-0332
SPIN-код: 9211-4897
канд. мед. наук
Россия, Нижний НовгородТатьяна Романовна Жиляева-Фомина
Нижегородская областная клиническая больница им. Н.А. Семашко
Email: zhilyaevatr@yandex.ru
Россия, Нижний Новгород
Валерий Федорович Лазукин
Приволжский исследовательский медицинский университет
Email: valery-laz@yandex.ru
ORCID iD: 0000-0003-0916-0468
SPIN-код: 3400-9905
канд. биол. наук
Россия, Нижний НовгородВладислав Антониевич Каменский
Приволжский исследовательский медицинский университет
Email: vlad340@mail.ru
ORCID iD: 0000-0001-6388-2483
Scopus Author ID: 6701639165
д-р физ.-мат. наук
Россия, Нижний НовгородСписок литературы
- Cicerello E., Mangano M., Cova G., et al. Metabolic evaluation in patients with infected nephrolithiasis: is it necessary? // Arch Ital Urol Androl. 2016. Vol. 88, No. 3. P. 208–211. doi: 10.4081/aiua.2016.3.208
- Романова Ю.М., Мулабаев Н.С., Толордава Э.Р., и др. Микробные сообщества на мочевых камнях // Молекулярная генетика, микробиология и вирусология. 2015. Т. 33, № 2. С. 20–25.
- Degirmenci T., Bozkurt I., Celik S., et al. Does leaving residual fragments after percutaneous nephrolithotomy in patients with positive stone culture and/or renal pelvic urine culture increase the risk of infectious complications? // Urolithiasis. 2019. Vol. 47, No. 4. P. 371–375. doi: 10.1007/s00240-018-1063-9
- Liu Y., Lu J., Hao Y., et al. Predicting model based on risk factors for urosepsis after percutaneous nephrolithotomy // Journal of Peking University. Health Sciences. 2018. Vol. 50, No. 3. P. 507–513.
- Koras O., Bozkurt I., Yonguc T., et al. Risk factors for postoperative infectious complications following percutaneous nephrolithotomy: a prospective clinical study // Urolithiasis. 2015. Vol. 43, No. 1. P. 55–60.
- Yang T., Liu S., Hu J., et al. The evaluation of risk factors for postoperative infectious complications after percutaneous nephrolithotomy // BioMed Res Int. 2017. Vol. 2017. P. 4832051. doi: 10.1155/2017/4832051
- Margel D., Ehrlich Y., Brown N., et al. Clinical implication of routine stone culture in percutaneous nephrolithotomy — a prospective study // Urology. 2006. Vol. 67, No. 1. P. 26–29. doi: 10.1016/j.urology.2005.08.008
- Türk C., Neisius A., Petrik A., et al. EAU Guidelines on urolithiasis / European Association of Urology. 2020. 87 p. Режим доступа: https://uroweb.org/wp-content/uploads/EAU-Guidelines-on-Urolithiasis-2020.pdf. Дата обращения: 29.07.2021.
- Gonen M., Turan H., Ozturk B., Ozkardes H. Factors affecting fever following percutaneous nephrolithotomy: a prospective clinical study // Journal of Endourology. 2008. Vol. 22, No. 9. P. 2135–2138. doi: 10.1089/end.2008.0139
- Яновская О.А. Безопасная больничная среда. Инфекционная безопасность. Внутрибольничная инфекция. Актуальность проблемы: методическое пособие. Иркутск: ИГМУ, 2014. 65 с.
- Kato H., Komagoe K., Inoue T., et al. Structure–activity relationship of porphyrin- induced photoinactivation with membrane function in bacteria and erythrocytes // Photochem Photobiol Sci. 2018. Vol. 17, No. 7. P. 954–963. doi: 10.1039/C8PP00092A
- Тучина Е.С. Некоторые аспекты антимикробного фотодинамического воздействия // Известия Саратовского университета. Новая серия. Серия: Химия. Биология. Экология. 2022. Т. 22, № 1. С. 33–46. doi: 10.18500/1816-9775-202222-1-33-46
- Каштанова М.С., Морозова Н.С., Асланова Д.Р. Фотодинамическая терапия с применением метиленового синего у детей с церебральным параличом // Медико-фармацевтический журнал «Пульс». 2021. Т. 23, № 4. С. 31–35. doi: 10.26787/nydha-2686-6838-2021-23-4-31-35
- Баранов А.В., Цыганова Г.И., Пименова Л.Я., Картусова Л.Н. Состояние научных исследований в области фотодинамической терапии в Российской Федерации в 2016–2017 гг. // Лазерная медицина. 2018. Т. 22, № 3. С. 44–49.
- Maisch T., Eichner A., Spath A., et al. Fast and effective photodynamic inactivation of multiresistant bacteria by cationic riboflavin derivatives // PLoS ONE. 2014. Vol. 9, No. 12. P. e111792. doi: 10.1371/journal.pone. 0111792
- Wozniak A., Grinholc M. Combined antimicrobial activity of photodynamic inactivation and antimicrobials — state of the art // Front Microbiol. 2018. Vol. 9. P. 930. doi: 10.3389/fmicb.2018.00930
- Rapacka-Zdonczyk A., Wozniak A., Michalska K., et al. Factors determining the susceptibility of bacteria to antibacterial photodynamic inactivation // Front Med (Lausanne). 2021. Vol. 8. P. 642609. doi: 10.3389/fmed.2021.642609
- Ignatova N., Ivanova T., Antonyan A., et al. Efficacy of photodynamic inactivation against the major human antibiotic resistant uropathogens // Photonics. 2021. Vol. 8, No. 11. P. 495. doi: 10.3390/photonics8110495
- Клиническая лабораторная диагностика: национальное руководство. В 2 т. Т. 1 / под ред. В.Д. Долгова, В.В. Меньшикова. Москва: ГЭОТАР-Медиа, 2012. 928 с.
- Senocak C., Ozcan C., Sahin T., et al. Risk factors of infectious complications after flexible uretero-renoscopy with laser lithotripsy // Urology Journal. 2018. Vol. 15, No. 4. P. 158–163. doi: 10.22037/uj.v0i0.3967
- Dai T., Huang Y.Y., Hamblin M.R. Photodynamic therapy for localized infections — state of art // Photodeagnosis Photodyn Ther. 2009. Vol. 6, No. 3–4. P. 170–188. doi: 10.1016/j.pdpdt.2009.10.008
- Dalghi M.G., Montalbetti N., Carattino M.D., Apodaca G. The urothelium: life in a liquid environment // Physiol Rev. 2020. Vol. 100, No. 4. P. 1621–1705. doi: 10.1152/physrev.00041.2019
- Тарасенко А.И., Пушкарев А.М., Ракипов И.Г., и др. Биомаркеры повреждения почек при контактной уретеролитотрипсии // Урология. 2017. № 5. С. 75–79.
- Вельков В.В. Цистатин С — новые возможности и новые задачи для лабораторной дигностики. Пущино: ЗАО Диакон, 2010. С. 73. Режим доступа: http://www.diakonlab.ru/files/Docs/SciArticles/Cystatin_C_Rev_Site(2).pdf.
Дополнительные файлы







