Experience of the 193 small intestine reconstructions of ureters
- Authors: Komyakov B.K.1,2, Al-Attar T.K.1,2, Kirichenko O.A.2, Mkhana K.M.1, Pirozhok J.S.2
-
Affiliations:
- North-Western State Medical University named after I.I. Mechnikov
- City Multidisciplinary Hospital No. 2
- Issue: Vol 13, No 3 (2023)
- Pages: 229-237
- Section: Original study
- Submitted: 02.10.2023
- Accepted: 03.10.2023
- Published: 17.11.2023
- URL: https://journals.eco-vector.com/uroved/article/view/601823
- DOI: https://doi.org/10.17816/uroved601823
- ID: 601823
Cite item
Abstract
BACKGROUND: The ureteral plastic surgery with their extended constrictions and obliterations remains one of the most difficult problems of reconstructive urology. This is especially true in cases where it is impossible to repair the patency of the ureter due to unchanged urinary tract sections. In such cases, various segments of the gastrointestinal tract and, above all, the ileum proved to be the best plastic material. However, the number of such operations in the world is not enough, which requires further accumulation of experience and study of long-term results of ileoureteroplasty.
AIM: The aim of the research is to present the technical features and results of intestinal plastic surgery of ureters.
MATERIALS AND METHODS: From 2001 to 2023 ileoureteroplasty was performed in 193 patients of the Clinic of the North-Western State Medical University named after I.I. Mechnikov on the basis of the urological department of City Multidisciplinary Hospital No. 2. The panel consisted of 71 men (36.8%), 122 women (63.2%). The average age was 51 ± 3.2 years. Indications for these operations were extensive defects of the ureters as a result of complications of surgical intervention on the upper urinary tract in 69 (35.8%) of patients, radiation therapy — in 54 (28.0%) and the consequences of iatrogenic damage to the ureters — in 40 (20.7%). Megaureter (6.2%), Ormond’s disease (7.3%) and neoplasms of the ureters (2.0%) were observed less frequently.
RESULTS: Unilateral ileoureteroplasty was performed 153 (79.3%), bilateral — 40 (20.7%). The total number of ureteralsurgeries is 235. Since 2013 ileureteroplasty has also been performed with laparoscopic method, and the share of such operations for this period was 35.9%. The early postoperative complications occurred in 18 (9.3%) patients. There were no fatal outcomes. Late complications developed in 16 (11.2%) of 143 examined patients.
CONCLUSIONS: This surgical tactics may be recommended in the clinical practice of large urological hospital due to our 22-year experience in using small intestine segments to replace extended ureteral constrictions with a minimum number of postoperative complications, no deaths and good long-term results allows us to recommend.
Full Text
BACKGROUND
In most cases, defects of the ureters are caused by iatrogenic damage during surgical interventions on the pelvic and abdominal organs, complications of surgeries on the upper urinary tract, and radiation therapy [1–4]. Affected patients require either complete or partial replacement of the ureters, using autografts. Studies and findings by researchers and clinicians on replacement tissue for the urinary tract revealed that the gastrointestinal tract, particularly the small intestine, which is closest to the ureter in the wall structure and has contractile ability, to be most suitable [5–8].
The first intestinal ureteroplasty was performed by J. Schoemaker, who at the very beginning of the last century repeatedly performed surgery on a female patient with microcystis. In an attempt to relieve her from frequent painful urination, he exposed the ureter of her only kidney to the skin surface, used an isolated segment of the small intestine, and performed an ureteroileocutaneostomy. Sometime later, to eliminate the urinary fistula, he transplanted the distal end of the intestinal segment from the skin surface into the bladder; consequently, the pelvic section of the ureter became a section of the ileum. In 1932, for the first time, R. Nissen purposefully replaced the lower half of the left ureter with a segment of the ileum in a patient with bilateral ureterolithiasis, strictures, and ureterocutaneous fistula. In 1940, having become convinced of the good functional results of this approach, he published a report on this case. Subsequently, W.E. Goodwin, R. Küss, J. Kucera, F.A. Klepikov, V.S. Karpenko, A.P. Frumkin, and D.V. Kan made the greatest contribution to the development of intestinal ureteroplasty [1].
In recent years, the laparoscopic method has begun to be used for small-intestine ureteroplasty to the extent practicable [3, 9, 10]. Nevertheless, these surgeries, despite the methods of their implementation, have not become widespread in more than a century. Currently, only two clinics (one clinic each in Germany and USA, which had 25 years of experience and had performed 157 and 155 ileoureteroplasties, respectively) have findings close to our data on the number of such surgical interventions performed [11, 12].
This study aimed to present the characteristics of the technique and results of small-intestine ureteroplasty.
MATERIALS AND METHODS
From 2001 to 2023 at the clinic of I.I. Mechnikov North-Western State Medical University, at the Department of Urology of the State Medical Clinical Hospital No. 2, ileoureteroplasty was performed on 193 patients, including 71 men (36.8%) and 22 women (63.2%). The mean age was 51 ± 3.2 years. These surgeries were indicated for extensive ureteral defects caused by complications of surgeries performed on the upper urinary tract in 69 (35.8%) patients, radiation therapy in 54 (28.0%) patients, and iatrogenic damage to the ureters in 40 (20.7%) patients. Megaloureter, Ormond’s disease, and ureteral neoplasms were recorded less frequently. Unilateral ileoureteroplasty was performed in 153 (79.23%) patients, whereas bilateral intervention was performed in 40 (20.7%) cases. In total, 235 ureters were operated, including bilateral ones.
Partial replacement of the ureter with unilateral plastic surgery was performed in 116 (75.8%) cases, and complete replacement was performed in 37 (24.2%) patients, including calicoileocystoanastomosis in 3 patients and pyeloileocystoanastomosis in 34 patients. Since 2013, we began to perform ileureteroplasty using the laparoscopic method, which accounted for 35.9% of such surgeries for this period.
Ileografts were always placed intraperitoneally, including isoperistaltically (96.1%) and antiperistaltically (3.9%). The length of the intestinal section taken varied from 3 cm for the Yang–Monti plastic surgery to 100 cm for the total replacement of the ureter and bladder. For these large-scale surgeries, we used our combined approach (Patent for Invention No. 2511086, 02/06/2014) [1].
In complete replacement of the ureter, the peculiar anatomical structure of the small intestine must be considered; that is, the discrepancy between the width of the mesentery and the length of the convoluted intestinal tube — longer intestinal segments cause greater discrepancy. In this regard, when harvesting a long ileograft for complete replacement of the ureter, the initial primary focus must be on the mesentery. It must be cut so that the opposite edges are located without tension next to the pelvis at the top and the bladder at the bottom. However, such a mesenteric segment includes the corresponding section of the intestine, which is not straight, but arched and tortuous, and, therefore, is longer than necessary for total ileoureteroplasty. The inclusion of such an intestinal segment in the urinary tract is fraught with stagnation of mucus and urine, and increases the area of their possible resorption, developing metabolic disorders. To shorten and straighten the intestinal graft, 10–15 cm of its length was resected in the central part with an end-to-end interintestinal anastomosis, leaving the mesentery intact. However, this method involves taking a larger length of the intestinal graft, its resection in the central part, and additional interintestinal anastomosis, which increases the injury rate and lengthens surgery time. In this regard, we have developed a simpler technique to straighten the intestinal tube (Patent for Invention No. 2744022, 03/02/2021). This technique involves applying 7–10 longitudinal 1–1.5 cm-long incisions on the mesentery in its intervascular zones. As a result, the mesentery height decreases, and its width increases, approaching the length of the intestinal tube.
Small intestinal reconstruction of the ureters with reconfigured segments according to the Yang–Monti surgery was performed in 13 (6.7%) patients, including 8 (61.5%) with two intestinal segments, which allowed increasing the graft length to 10–12 cm. An important technical aspect of this ileoureteroplasty is the correct suturing of detubularized intestinal segments turned 90° toward each other. The reason was that after turning, the excess intestinal tissue appeared in the area of their connection, and the short mesenteries created tension and did not allow the resulting long intestinal strip to be straightened. If it is retubularized in this form, then corrugation and kinking of the newly formed intestinal tube occurs in the anastomosis area, which in the presence of excess tissue and edema in this area leads to graft obstruction (Fig. 1).
Fig. 1. Bending and corrugation in the anastomosis zone when stitching two reconfigured intestinal segments into a single ileotransplant
In this regard, this method was modified with a more reliable surgical technique (Patent for Invention No. 2681106, November 24, 2017). In this method, a 10–11 cm segment of the ileum was cut. Then, a 4-cm section in its central part was resected, with a shallow wedge-shaped excision of the remaining mesentery, which was unnecessary in this place (Fig. 2). As a result, the necessary space was created between the two resulting intestinal grafts for their positioning after reconfiguration. Then, both short ileografts were cut along the antimesenteric edges, turned 90° toward each other, and sutured with interrupted 3/0 vicryl sutures into a single longitudinal intestinal area 12 cm long and 3–3.5 cm wide (Figs. 3 and 4). In the central part, the elongated and turned ends of the grafts are located at the previously removed intestinal section. Therefore, in the area of their connection, tension in the mesenteries and bending of the graft associated with excess intestinal tissue were not observed. With subsequent retubularization, a smooth intestinal tube with a good lumen was formed on the intubator (Fig. 5), which was used to replace the ureteral defect (Fig. 6). Figure 7 presents contrasted multislice computed tomography for the patient 2 years after plastic surgery of the pelvic section of the right ureter using the method described above, who achieved good function of the right kidney and patency of the ureter and ileograft.
Fig. 2. Resection of the central part of the intestinal segment in order to create space for two lateral ileotransplants with their subsequent reconfiguration
Fig. 3. Two short ileotransplants are dissected along the anti-mesenteric edges and rotated 90° towards each other. At the top right, the removed central segment of the graft
Fig. 4. Two remaining intestinal sections (parts/pieces) are detubularized and stitched together
Fig. 5. The forming of a single tubular ileo transplant from two detubularized intestinal sections
Fig. 6. The final type of ureteroileoureteroanastomosis operation with two reconfigured intestinal transplants according to Yang–Monti in our modification
Fig. 7. Multisection computed tomography contrasts with the patient 2 years after right-sided ileoureteroplasty with two intestinal transplants according to Yang–Monti in our modification
Bilateral small intestinal reconstruction of the ureters was performed in 40 (20.7%) patients. Most often, in 24 (60.0%) patients, U-shaped ileoureteroplasty was performed (Figs. 8 and 9), and more complex reconstructions were performed less often; that is, Y-shaped in 1 (2.5%) case, J-shaped in 3 (7.5%), L- and 7-shaped (Figs. 10 and 11) ileoureteroplasty in 6 (15.0%), and that with two separate ileografts in 6 (15.0%) cases.
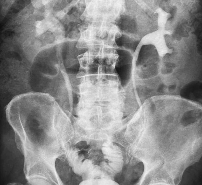
Fig. 8. Bilateral U-shaped ileoureteroplasty
Fig. 9. Excretory ureterogram one year after laparoscopic bilateral U-shaped ileoureteroplasty. The function of the kidneys and newly created urinary tract is normal
Fig. 10. Bilateral isoperistaltic 7-shaped ileoureteroplasty
Fig. 11. Multisection computed tomography (MSCT) with contrasts of the patient 5 years after bilateral isoperistaltic 7-shaped ileoureteroplasty
The functional states of the kidneys and urinary tract in the immediate and long-term postoperative periods were assessed based on a comprehensive examination, including clinical and biochemical tests, ultrasonography, radiation diagnostic methods, comprehensive urodynamic study, and, if necessary, cysto- and ureteroscopy. The follow-up period was 3 months to 21 years (average 9.2 ± 0.8 years).
RESULTS AND DISCUSSION
Early postoperative complications occurred in 18 (9.3%) patients. Acute intestinal obstruction was the most common, occurring in 5 (2.6%) patients. All of them underwent re-laparotomy, ileoureteroplasty, and intestinal intubation with an Abbott probe. Lethal outcomes were not recorded. Late complications developed in 16 (11.2%) of the 143 patients. Five (3.5%) of them had hyperchloremic metabolic acidosis and electrolyte disorders, 4 (2.8%) had a stricture of the ureteroileocystoanastomosis, 3 (2.1%) had vesicorenal reflux, and 4 (2.8%) had exacerbation of chronic pyelonephritis. In 4 patients, antegrade bougienage of the anastomotic stricture was performed, whereas in the remaining cases, conservative therapy was used.
Intestinal plastic surgery for extended ureteral strictures is the only method to save the kidney and restore natural urination. An isolated segment of the ileum can be considered the best and universal grafting material for replacing any ureteral defect, including on both sides and in combination with orthotopic ileocystoplasty. Some of its stages have important aspects. Thus, after taking an intestinal graft, its placement (intraperitoneal or extraperitoneal or iso- or antiperistaltic) and method to perform ureter-intestinal and intestinovesical anastomoses must be determined. By locating the intestinal section retroperitoneally, we believed that it was placed in conditions that are atypical for this organ; therefore, intestinal grafts, including urinary intestinal anastomoses, were almost always left in the abdominal cavity. An important issue remains on how to position the graft, i.e.; “in the direction of its contractions” or vice versa. Certainly, an isoperistaltic position of the intestinal region should be always the aim, which, according to our data, was achieved in 96.1% of the patients.
We consider it possible to perform plastic surgery using reconfigured intestinal segments according to the Yang–Monti method, including two ileografts in our modification. As an advantage, this method allows replacing defects in any part of the ureter from 6 to 12 cm, which closely correspond to its diameter. With a small internal surface, the risk of mucus formation and metabolic acidosis is significantly reduced. However, this surgery, despite its attractiveness, should be used with caution. First, dissection of the intestinal tube along the antimesenteric edge leads to the intersection of the vessels, including intramural recurrent arteries, which anastomose closely with each other. Second, neuromuscular structures are also damaged, which inevitably affects graft contractility. Retubularization in the other direction is achieved using interrupted sutures, each of which is arranged perpendicular to the passing intramural vessels. With reduced blood circulation at the graft ends, ureteric–intestinal anastomoses are also performed with the weak link placed where the three surfaces are sutured. In this regard, this surgery has not become widespread, as evidenced by limited publications on individual clinical cases over a decade [13–15]. In the Russian literature, no study has reported on the use of the Yang–Monti method, and we cannot recommend its introduction into widespread clinical practice because of our relatively small experience of 13 similar surgical interventions.
Bilateral ileoureteroplasty is a more complex and traumatic surgical procedure. Most often, the need for the procedure arises in case of radiation damage to the urinary tract. Partial or complete replacement of both ureters can be performed simultaneously or in stages using one or two separate segments of the bowel. The staged approach to surgery depends on the severity of the patient’s condition and destructive changes in the urinary tract. Bilateral ileoureteroplasty becomes more complicated because the length of the ureteral sections requiring replacement increases. This is due to (1) a wide and traumatic surgical approach; (2) the need to exclude a more extended segment from the small intestine; (3) the inclusion of a long convoluted segment(s) of the intestine into the urinary system, which leads to a larger area of resorption and an increased risk of metabolic disorders; and (4) the abovementioned complicated aspects of plastic surgery of the right ureter in the isoperistaltic position.
The use of endovideosurgery and robotics when performing intestinal ureteroplasty can reduce the surgery injury rates and reduce hospital stays.
CONCLUSION
Ileoureteroplasty is the only and effective method of treating narrowed ureters of any location and extent. Globally, the Urology Clinic of the I.I. Mechnikov North-Western State Medical University has the greatest experience with this problem. With 22 years of experience, the minimum number of postoperative complications, absence of lethal outcomes, and good long-term surgical results allow this surgical approach to be recommended in the clinical practice of major urology hospitals.
ADDITIONAL INFORMATION
Authors’ contribution. Thereby, all authors made a substantial contribution to the conception of the study, acquisition, analysis, interpretation of data for the work, drafting and revising the article, final approval of the version to be published and agree to be accountable for all aspects of the study. Personal contribution of each author: B.K. Komyakov — development of the article design, analysis of the received data, editing of the manuscript text; T.Kh. Al-Attar — analysis of the received data, work on the manuscript; O.A. Kirichenko — work with case histories, collection of clinical material, preparation of the manuscript; Kh.M. Mkhanna — participation in the collection of clinical material and the preparation of the manuscript, Yu.S. Pirozhok — manuscript design.
Competing interests. The authors declare that they have no competing interests.
Funding source. This study was not supported by any external sources of funding.
Consent for publication. Written consent was obtained from the patient for publication of relevant medical information and all of accompanying images within the manuscript.
About the authors
Boris K. Komyakov
North-Western State Medical University named after I.I. Mechnikov; City Multidisciplinary Hospital No. 2
Email: komyakovbk@mail.ru
ORCID iD: 0000-0002-8606-9791
SPIN-code: 7864-9123
MD, Dr. Sci. (Med.), professor, head of the Department of urology, head of the Urological Unit
Russian Federation, Saint Petersburg; Saint PetersburgTalat Kh. Al-Attar
North-Western State Medical University named after I.I. Mechnikov; City Multidisciplinary Hospital No. 2
Author for correspondence.
Email: dr-talat@mail.ru
ORCID iD: 0000-0002-2080-5637
SPIN-code: 9550-7507
MD, Dr. Sci. (Med.), professor of the Department of urology, urologist
Russian Federation, Saint Petersburg; Saint PetersburgOleg A. Kirichenko
City Multidisciplinary Hospital No. 2
Email: oa.kir@mail.ru
MD, Cand. Sci. (Med.), urologist
Russian Federation, Saint PetersburgKhusam M. Mkhana
North-Western State Medical University named after I.I. Mechnikov
Email: viphussam@mail.ru
postgraduate student, Department of urology
Russian Federation, Saint PetersburgJulia S. Pirozhok
City Multidisciplinary Hospital No. 2
Email: ulia_pirozhok@mail.ru
urologist
Russian Federation, Saint PetersburgReferences
- Komyakov BK. Kishechnaya i appendikulyarnaya plastika mochetochnikov. Moscow: GEOTAR-Media, 2015. 416 p. (In Russ.)
- Loran OB, Sinyakova LA, Seregin AV, et al. Ispol’zovanie izolirovannykh segmentov kishechnika v operativnom lechenii luchevykh povrezhdenii mochevyvodyashchikh putei. Urologiia. 2012;(2):20–24. (In Russ.)
- Kotov SV, Guspanov RI, Yusufov AG, et al. Long-term results of ureteral replacement using small bowel in patients with long strictures: 9-years single-center experience. Urologiia. 2023;(4):5–11. (In Russ.) doi: 10.18565/urology.2023.4.5-11
- Armatys SA, Mellon MJ, Beck SDW, et al. Use of Ileum as ureter replacement in urological reconstruction. J Urol. 2009;181(1): 177–181. doi: 10.1016/j.juro.2008.09.019
- Komyakov B, Ochelenko V, Mhanna H. Ureteral substitution with intestinal segments. J Urol. 2020;203(4S):e597–598. doi: 10.1097/JU.0000000000000890.08
- Okumura Y, Akamatsu S, Okada Y, et al. Clinical utility of upper urinary tract reconstruction by Ileal-ureter substitution. Hinyokika Kiyo. 2018;64(3):87–94.
- Zhong W, Hong P, Ding G, et al. Technical considerations and outcomes for ileal ureter replacement: a retrospective study in China. BMC Surg. 2019;19(1):9. doi: 10.1186/s12893-019-0472-1
- Komyakov BK, Al-Attar TKh, Guliev BG. Intestinal and appendicular ureteral substitution. Urologiia. 2021;(2):14–20. (In Russ.) doi: 10.18565/urology.2021.2.14-20
- Kochkin AD, Gallyamov EA, Popov SV, et al. Laparoscopic ileal ureteral substitution. Results of the first 40 operations. Urologiia. 2018;(5):5–12. (In Russ.) doi: 10.18565/urology.2018.4.5-12
- Komyakov BK, Guliev BG, Ochelenko VA. Technical features of uretral intestinoplasty. Part 3. Laparoscopic ileo- and appendiceal ureteroplasty. Urologiia. 2016;(4):4–9. (In Russ.)
- Monn MF, Roth JD, Bihrle R, Mellon JM. Long term outcomes in the use of ileal ureter for radiation-induced ureteral strictures. Int Urol Nephrol. 2018;50(8):1375–1380. doi: 10.1007/s11255-018-1904-z
- Kocot A, Kalogirou C, Vergho D, Riedmiller H. Long-term results of ileal ureteric replacement: a 25-year single-centre experience. BJU Int. 2017;120(2):273–279. doi: 10.1111/bju.13825
- Esmat M, Abdelaal A, Mostafa D. Application of Yang–Monti principle in ileal ureter substitution: is it a beneficial modification? Int Braz J Urol. 2012;38(6):779–785. doi: 10.1590/1677-553820133806779
- Ordorica R, Wiegand L, Webster J. Ureteral replacement and only repair with reconfigured intestinal segments. J Urol. 2014;191(5):1301–1306. doi: 10.1016/j.juro.2013.11.027
- Komyakov BK, Guliev BG, Ochelenko VA, et al. Technical features of intestinal ureteroplasty. Part 4. Yang–Monti ureteric reconstruction with reconfigured ileal segment. Urologiia. 2016;(5):21–26. (In Russ.)
Supplementary files

























