Prostate state under varicosis of the pelvis (experimental study)
- Authors: Tsukanov A.Y.1, Rudchenko N.V.1, Kuzovkin A.N.2, Ahmetov D.S.1, Alyabushev S.F.3
-
Affiliations:
- Omsk State Medical University
- Clinical Medical and Sanitary Hospital №9
- City Clinical Emergency Hospital No. 2
- Issue: Vol 11, No 2 (2021)
- Pages: 97-104
- Section: Original study
- Submitted: 07.04.2021
- Accepted: 26.05.2021
- Published: 18.08.2021
- URL: https://journals.eco-vector.com/uroved/article/view/64917
- DOI: https://doi.org/10.17816/uroved64917
- ID: 64917
Cite item
Abstract
BACKGROUND: Chronic pelvic pain syndrome / chronic abacterial prostatitis is one of the most common diseases in urological practice. Despite its frequency the pathogenesis of the disease remains poorly understood. It is known that the morphological manifestation of chronic inflammation is sclerosis, in the development of which the venous congestion of the prostate is also important.
AIM: To evaluate the effect of chronic venous congestion of the pelvis on the prostate in a chronic experiment.
MATERIALS AND METHODS: An original model of persistent chronic varicose of the pelvis has been created. The experiment was carried out on 35 mature rabbits weighing 2.6–3.2 kg. Animals were divided into 3 groups. Control (n = 5) study of the normal anatomy of animals. In group 2 (n = 15), the creation of a model: ligation of the v. sacralis mediana, in combination with administration of progesterone solution. In group 3 (n = 15), false surgery and progesterone administration. Duplex scanning of the pelvic veins was performed at 1, 3 and 6 months, the diameter of the veins and the reflux after manual compression was assessed. After removing the animals from the experiment histological examination and morphometry of the prostate tissue were carried out. In prostate samples the concentration of hydroxyproline was investigated as a marker of connective tissue development.
RESULTS: Venous congestion of the pelvic organs in animals in the second group negatively affected the structure of the prostate gland. Histological examination of the samples showed infiltration of the prostate tissue, edema of the stroma, a sharp expansion of the veins at the beginning of the experiment, later noted the proliferation of connective tissue, compression of the acini and a decrease in the secretory activity of the prostate gland. The results of morphometry showed an increase in the area of the stromal component to a greater extent due to an increase in the volume of connective tissue. There was a tendency to an increase in the concentration of hydroxyproline in the prostate tissue in animals of the 2nd group with the achievement of maximum values by the 6th month of the experiment. In animals of the 3rd group no significant changes in the structure of the prostate gland were revealed.
CONCLUSIONS: The morphological manifestation of chronic venous hyperemia is infiltration of the prostate stroma and sclerogenesis.
Full Text
INTRODUCTION
Patients with chronic abacterial prostatitis (chronic pelvic pain syndrome) (CAP/CPPS) is one of the problematic categories of patients [1]. The prevalence of CAP/CPPS among adult men ranges from 2% to 10% [2, 3]. Persistent symptoms of the disease and secondary psychological changes reduce significantly the quality of life [4]. Despite the high prevalence of CAP/CPPS, there is no unambiguous understanding of the disease causes [5–8]. Some researchers suggest that its pathogenesis may be associated with undetected microbial infections, autoimmune disorders, oxidative stress, as well as endocrine or neurological disorders [4, 9]. Several authors reported the role of vascular factors in the development of CAP/CPPS. Although a sufficient number of studies have focused on the study of the arterial blood supply to the prostate gland, a relatively small number of studies examined the venous outflow from the prostate. Russian authors showed that lesions of the arteries and veins of the small pelvis are accompanied by a high frequency of lower urinary tract symptoms and pain syndrome [10–12]. A hypoxic state is one of the pathophysiological components of pain syndrome in CAP [10, 12, 13]. The known morphological manifestations of CAP/CPPS are infiltration of the prostate tissues with leukocytes, stromal edema, and progressive sclerosis [14]. However, no data have presented the influence of the vascular, in particular venous, component of the disease pathogenesis on the prostate gland histoarchitecture.
This study aimed to analyze the influence of chronic venous congestion on the state of the prostate gland of laboratory animals in an experiment.
MATERIALS AND METHODS
In this study, 35 male Seriy Velikan rabbits (aged 2.5–3 months, weighed 2.3–2.7 kg), raised in the “Omskiy krolik” nursery, were selected as laboratory animals. To form the experimental groups, each animal was assigned a number from 1 to 35, and these group numbers were used: 1–5, 6–20, and 21–35. The card of the animal cage indicated the number of animals, their randomization numbers, weight, temperature record sheet, dates of surgery, and other manipulations.
The animals were kept in accordance with the European Convention for the Protection of Vertebrate Animals used for Experimental and Other Scientific Purposes (Strasbourg, 1986). Each wooden cage with sterilized fine shavings as bedding, in accordance with the standards of management, housed two laboratory animals. The air temperature in the vivarium was 22–24°C, the relative humidity was 75%, and the light regimen was 12 : 12 h. Grain and clean water were given for feeding and watering, respectively. Water and animal feed were provided ad libitum. The rabbits were adapted to the vivarium in a separate room for 5 days before being enrolled in the experiment. During this period, a daily external examination and clinical examination of the animals were performed prior to randomization. No animals with abnormalities were identified during the examination. All routine animal care procedures were conducted in accordance with generally accepted laboratory guidelines.
Animals were randomized into the following groups: group 1 included intact animals to study the normal morphology of the prostate gland (n = 5), group 2 (main) included animals with experimental chronic venous congestion of the small pelvis (n = 15), and group 3 (comparison) included animals that underwent a sham surgery and administered progesterone intramuscularly for 30 days (n = 15). This group was formed to assess the possible effect of progesterone on the prostate gland in experimental animals.
Chronic venous congestion of the small pelvis was simulated by transection of the vena sacralis mediana through a laparotomy approach under general anesthesia and additional intramuscular administration of a progesterone solution [15, 16]. Progesterone was injected daily for 30 days, and injection 1 was made on the eve of the surgery.
Venous congestion of the small pelvis was verified using duplex scanning of the pelvic veins, during which their diameter and reflux were assessed after manual compression [15, 16].
The body weights of the animals were recorded every 5 days. Clinical examination, external assessment, general health status assessment, and detection of mortality were performed daily.
At 1, 3, and 6 months, complete necropsy was performed in five animals in each group. All deviations from the norm were documented. The median lobe of the prostate was taken for the study. The fixed tissues were dehydrated and soaked in paraffin. Sections were made from paraffin blocks, which were stained with hematoxylin and eosin and based on Mallory, and examined using light microscopy. Microphotographs were taken with a light microscope using a Canon camera. The images were processed morphometrically using the ImageJ program. The distribution kit and plugins for this program are freely available on the official website of the program. The main purpose of morphometry was the calculation of the percentage of the areas of the glandular tissue (GT), fibrous fibers (FF), and smooth muscle cells (SMCs). Mallory staining enables differentiation of SMC from connective tissue fibers. The concentration of hydroxyproline was measured in a certified chemical laboratory (Test-Lab, Omsk). The method was based on the release of L-hydroxyproline during acid hydrolysis of a product sample, as well as a staining reaction with its oxidation products with the formation of a red compound and photometric measurement of the solution’s optical density at a wavelength of 558 ± 2 nm (GOST R 23041-2015).
Statistical analysis was performed using nonparametric methods in the Statistica 10.0 software.
RESULTS
No complications, adverse reactions, or deaths were recorded. In group 1, the morphological structure of the normal prostate gland was studied. Attention was drawn to the scalloped margin of the glandular epithelium, the “lushness” of the acini, and a large amount of secretion in the lumen of the glands. The interlobular septa were mainly represented by SMCs with sections of connective tissue bridges. According to morphometric data, proportions of GT, FF, and SMC were 86.2% ± 3.4%, 5.6% ± 0.3%, and 8.33% ± 0.4%, respectively (Fig. 1). The concentration of hydroxyproline during the photometric analysis of prostate samples was 15.7 ± 1.4 mg%.
Fig. 1. Micropreparation of the prostate gland of an animal of the 1st group: a – microphotograph of a normal prostate gland, scalloped contour, thin interlobular septa, a large amount of secretion; b – the image is isolated of connective tissue, processed in the ImageJ program; c – calculation of the area of connective tissue in the interface of the ImageJ program / Рис. 1. Микропрепарат предстательной железы животного 1-й группы: a — микрофотография нормальной предстательной железы, фестончатый контур, тонкие междольковые перегородки, большое количество секрета; b — изображение изолированной соединительной ткани, обработано в программе ImageJ; с — подсчет площади соединительной ткани в интерфейсе программы ImageJ
In group 2, at 1, 3, and 6 months follow-ups, duplex scanning revealed signs of pelvic varicose veins, and the size of the veins was 3.93 ± 0.4 mm, with the presence of reflux during manual compression of the abdominal wall. Venous congestion persisted throughout the 6-month period. Opposite results were noted in group 3, where the pelvic veins during duplex scanning were not visualized in any animal at any of the follow-up periods.
The results of the morphological studies of the prostate gland in groups 2 and 3 were of greatest interest. After 1 month, group 2 already showed changes in prostate tissues. Areas of smoothing of the scalloped contour of the glands and a decrease in epithelial secretion were observed. The stromal component was represented by layers of fibrous and smooth muscle tissues, and moderate interstitial edema was noted. Infiltration with segmented leukocytes and lymphocytes was found around the acini. The intraprostatic veins had an enlarged lumen, with a predominantly thickened smooth muscle wall (Fig. 2).
Fig. 2. Micropreparation of the prostate gland of an animal of the 2nd group 1 month after the beginning of the experiment: a – smoothed glandular contour, decreased secretory activity (white arrow), dilated intraprostatic veins (red arrow), hematoxylin-eosin staining, ×100; b – severe interlobular fibrosis (black arrow), perifocal fibrosis and thickened venule wall (white arrow), Mallory staining, ×100 / Рис. 2. Микропрепарат предстательной железы животного 2-й группы через 1 месяц после начала эксперимента: а — сглаженный контур желез, сниженная секреторная активность (белая стрелка), расширенные интрапростатические вены (красная стрелка), окраска гематоксилином и эозином, ×100; b — выраженный междольковый фиброз (черная стрелка), перифокальный фиброз и утолщенная стенка венулы (белая стрелка), окраска по Маллори, ×100
At 1 month follow-up and in subsequent periods, microscopic presentation of the prostate gland in group 3 was similar to that in group 1, and no changes were found in the prostate gland. The stromal and vascular and parenchymal components corresponded to the histological norm. A pronounced scalloped contour, fully-developed secretion, and thin stromal layers were registered.
The results of the morphometric analysis performed in the ImageJ program showed no significant differences in the proportions of GT, FF, and SMC areas in groups 1 and 3. Moreover, the GT/FF/SMC ratio differed significantly in groups 2 and 3 (73.1 ± 0.9/12.6 ± 1.1/14.3 ± 0.7 and 87.1 ± 1.7/4.5 ± 0.2/8.5 ± 0.5, respectively) (p < 0.05). Attention should be paid to a significant increase in the area of FF at 1 month follow-up (Table 1).
Table 1. Results of a morphometric study of the prostate gland of animals of the 1st, 2nd and 3rd groups in different cuts from the beginning of the experiment, M ± m / Таблица 1. Результаты морфометрического исследования предстательной железы животных 1, 2 и 3-й групп в разные сроки от начала эксперимента, M ± m
Indicator | After 1 month | After 3 months | After 6 months | ||||
Group 1 | Group 2 | Group 3 | Group 2 | Group 3 | Group 2 | Group 3 | |
Glandular tissue, % of the area | 86.2 ± 3.4 | 73.1 ± 0.9 | 87.1 ± 1.7 | 58.6 ± 1.4 | 83.2 ± 1.9 | 44.1 ± 2.0 | 83.2 ± 1.7 |
Fibrous fibers, % of the area | 5.6 ± 0.3 | 12.6 ± 1.1 | 4.5 ± 0.2 | 23.3 ± 1.1 | 6.2 ± 0.5 | 45.6 ± 1.3 | 8.2 ± 0.7 |
Smooth muscle cells, % of the area | 8.3 ± 0.4 | 14.3 ± 0.7 | 8.5 ± 0.5 | 19.1 ± 1.7 | 10.8 ± 1.0 | 11.3 ± 0.9 | 9.7 ± 1.2 |
In group 2, the concentration of hydroxyproline at 1 month follow-up was slightly increased, i. e., up to 20.1 ± 2.3 mg%, which indicated the onset of prostate gland fibrosis (Table 2).
Table 2. The content of hydroxyproline in the prostate tissue of animals of the 1st, 2nd and 3rd groups at different times from the beginning of the experiment, M ± m / Таблица 2. Содержание гидроксипролина в ткани предстательной железы животных 1, 2 и 3-й групп в разные сроки от начала эксперимента, M ± m
Indicator | After 1 month | After 3 months | After 6 months | ||||
Group 1 | Group 2 | Group 3 | Group 2 | Group 3 | Group 2 | Group 3 | |
Hydroxyproline concentration, mg % | 15.7 ± 1.4 | 20.1 ± 2.3 | 16.9 ± 1.8 | 43.9 ± 2.1* | 17.1 ± 1.4 | 54.8 ± 1.9* | 17.6 ± 0.7 |
* The difference with the values in group 3 is significant (p < 0.01).
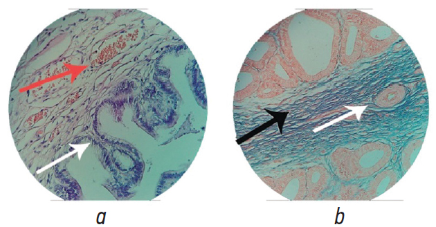
At 3 months follow-up in group 2, the morphological study revealed significant changes in the structure of the prostate gland, which included the presence of a significantly smoothed contour of the glands, a decrease in the epithelium height, a decrease in the secretion of glands, and the emergence of desquamated epithelium in the lumen of the acini. A tendency toward cystic changes in the glands was noted. In the stroma, predominantly thick fibrous layers with the formation of separate groups of glands were revealed, as well as a large number of histiocytes and plasma cells (Fig. 3). Intraprostatic veins were dilated, with a pronounced thickened wall, and perifocal fibrosis was detected.
Fig. 3. Micropreparation of the prostate gland of an animal of the 2nd group 3 month after the beginning of the experiment: a, b – desquamated epithelium in the lumen of the acini (yellow arrow), pronounced interlobular and perifocal fibrosis (red arrow), dilated venules (blue arrow), a sharp decrease in the height of the epithelium (black arrow). Mallory staining, ×100; c – microphotograph of the altered prostate gland, smoothed contour, thick interlobular septa, no secretion; d – the image is isolated of connective tissue, processed in the ImageJ program; e – calculation of the area of connective tissue in the interface of the ImageJ program / Рис. 3. Микропрепарат предстательной железы животного 2-й группы через 3 месяца после начала эксперимента: a, b — десквамированный эпителий в просвете ацинусов (желтая стрелка), выраженный междольковый и перифокальный фиброз (красная стрелка), расширенные венулы (синяя стрелка), резкое снижение высоты эпителия (черная стрелка). Окраска по Маллори, ×100; с — микрофотография измененной предстательной железы, сглаженный контур, толстые междольковые перегородки, отсутствие секрета; d — изображение изолированной соединительной ткани, обработано в программе ImageJ; е — подсчет площади соединительной ткани в интерфейсе программы ImageJ
Morphometric study showed an increase in the fibrous component area relative to the glandular one. The GT area was 58.6% ± 1.4%, which was significantly less than the corresponding indicator in group 3 at 3 months and in group 2 at 1 month follow-up (p < 0.01). Fibrous tissue occupied 23.3 ± 1.1% of the area, which indicated an active proliferation of connective tissue fibers with the displacement of functionally active zones of the prostate gland acini (Fig. 3).
At 3 months follow-up, chemical analysis of the prostate gland samples of group 2 revealed a significant increase in the concentration of hydroxyproline (43.9 ± 2.1 mg%) relative to that at 1 month follow-up and the results of chemical test in group 1 (p < 0.05). This finding indicated the development of prostate fibrosis, which was also confirmed by the results of light microscopy and morphometry.
Maximum changes in the histoarchitecture of the prostate gland were observed after 6 months in group 2. Changes in the parenchyma were comparable with those in the prostate gland at 3 months follow-up; however, attention should be paid to a much more pronounced thickening of the stroma. Significantly thickened fibrous layers of acini “suffocate” the glandular structures with the formation of fibrosis inside the glands. In the interstitium, infiltration with macrophages was noticeable. Intraprostatic veins were dilated, and desquamated endothelium was found in the lumen (Fig. 4). An increased area of connective tissue also indicated a loss of a functionally active part of the prostate gland.
Fig. 4. Micropreparation of the prostate gland of an animal of the 2nd group 6 month after the beginning of the experiment: a – thickened fibrous layers squeeze the glandular structures (white arrow), individual groups of acini with reduced epithelial height (yellow arrow). Mallory staining, ×40; b – fibrotic changes in the acini of the prostate (white arrow), a sharply smoothed contour of the epithelium with no secretion in the lumen of the acini (black arrow). Mallory staining, ×100; c – microphotograph of the altered prostate gland with pronounced intraacinar fibrosis; d – the image is isolated of connective tissue, processed in the ImageJ program; e – calculation of the area of connective tissue in the interface of the ImageJ program / Рис. 4. Микропрепарат предстательной железы животного 2-й группы через 6 месцев после начала эксперимента: a — утолщенные фиброзные прослойки сдавливают железистые структуры (белая стрелка), отдельные группы ацинусов со сниженной высотой эпителия (желтая стрелка). Окраска по Маллори, ×40; b — фибротические изменения ацинусов предстательной железы (белая стрелка), резко сглаженный контур эпителия с отсутствием секрета в просвете ацинусов (черная стрелка). Окраска по Маллори, ×100; с — микрофотография измененной предстательной железы с выраженным интраацинарным фиброзом; d — изображение изолированной соединительной ткани, обработано в программе ImageJ; е — подсчет площади соединительной ткани в интерфейсе программы ImageJ
Significant differences in morphometric parameters of the prostate gland in group 2 were revealed after 6 months of the experiment compared with the indicators before the experiment. The differences consist in a significant decrease in the GT and an increase in the proportion of the fibrous component (Fig. 4).
The concentration of hydroxyproline in the prostate tissue samples of group 2 was the highest among the groups during the experiment. After 6 months, the level of this marker in group 2 was 54.8 ± 1.9 mg%, while in the group 3, it was 17.6 ± 0.7 mg% (p < 0.01).
DISCUSSION
The results of the experiment demonstrated the effects of persistent venous congestion (varicose veins of the small pelvis) on the prostate. The experiment was conducted in such a way to confirm the initiation of the changes only due to the venous component. Since the prostate gland is a hormone-dependent organ, a group with sham surgery and progesterone administration (group 3) was also included in the experiment. In this group, no changes in the histological structure of the prostate were recorded. Thus, it is necessary to mention the known positive effects of progesterone on prostate tissues, which, according to some authors, inhibits the activity of 5-alpha-reductase, thereby preventing the development of prostate glandular hyperplasia [17, 18]. Moreover, the results obtained during the experiment did not show the dilatation of the pelvic veins in this group, and no histological changes occurred in the prostate tissue throughout the experiment.
The proposed venous hyperemia model caused by the transection of the vena sacralis mediana in combination with the administration of progesterone led to pronounced and progressive changes in the prostate gland. We believe that the effect of progesterone on the venous system at the time of its restructuring in response to sudden changes in hemodynamic conditions of venous return from the pelvic region induced the formation of varicose veins.
The role of hypoxia in the development of pathological conditions is widely known. It is undoubtedly destructive to any tissue. Studies have convincingly demonstrated that lesions of the arteries and veins of the small pelvis are accompanied with a high frequency of both lower urinary tract symptoms and pain syndrome [10, 12]. Arterial hypoxia is one of the pathophysiological components of pain syndrome in CAP [10, 12, 13]. By contrast, the role of the venous component is not widely discussed in the scientific literature. Only a few papers have described changes during the acute experiment [19].
Known morphological manifestations of CAP/CPPS are infiltration of the prostate tissue with leukocytes, stromal edema, and progressive sclerosis [14]. Persistent venous hyperemia also led to identical changes in our study. By month 6, signs such as pronounced thickening of the stroma, “suffocation” by fibrous layers of glandular structures with the formation of fibrosis, and development of intra-acinar fibrosis were observed (Fig. 4). In the interstitium, distinct infiltration by macrophages was noted. The intraprostatic veins were paretically dilated, and desquamated endothelium was found in the lumen (Fig. 4). The increased area of the connective tissue, the proportion of which reaches half of the area of the prostate preparation in group 2, indicates a disorder of the organotypic structure of the organ and suggests a possible loss of the functional activity of the prostate gland. Pronounced fibrotic changes in the prostate are confirmed by the results of the chemical analysis of prostate samples, namely, the determination of hydroxyproline concentration, which increased from 15 to 45 mg% in group 2, which was noted in other experimental animals.
Our experimental study demonstrated that under the influence of prolonged exposure to venous hyperemia and, as a consequence, venous hypoxia in the prostate tissue, fibrous tissue proliferates and stromal edema develops. Data obtained can be used in further studies of the causes of CAP/CPPS and the significance of regional venous blood flow disorders in the prostate and may indicate the pathogenetic role of venous hyperemia in the occurrence of CAP/CPPS, both independently and as a background factor.
ADDITIONAL INFORMATION
Conflict of interest. The authors declare no conflict of interest.
About the authors
Anton Y. Tsukanov
Omsk State Medical University
Author for correspondence.
Email: autt@mail.ru
ORCID iD: 0000-0002-3497-5856
SPIN-code: 9310-1220
Scopus Author ID: 57194497218
http://omsk-osma.ru/vracham-i-provizoram/centr-povysheniya-kvalifikacii-i-professional-noy-perepodgotovki-specialistov/kafedry-i-kursy-dpo/hirurgicheskih-bolezney-i-urologii-dpo/sotrudniki-kafedry
Dr. Sci. (Med.), Professor, Head of the Department of Surgical Diseases and Urology of Additional Professional Education
Russian Federation, 12, Lenina Street,Omsk, 644099Nickolay V. Rudchenko
Omsk State Medical University
Email: nrudrus@gmail.com
ORCID iD: 0000-0002-0121-3425
Postgraduate Student
Russian Federation, 12, Lenina Street,Omsk, 644099Alexandr N. Kuzovkin
Clinical Medical and Sanitary Hospital №9
Email: autt@mail.ru
Head of the pathological department
Russian Federation, OmskDaniyar S. Ahmetov
Omsk State Medical University
Email: dsahmetov@gmail.com
Postgraduate Student
Russian Federation, 12, Lenina Street,Omsk, 644099Stepan F. Alyabushev
City Clinical Emergency Hospital No. 2
Email: alyabushev1992@mail.ru
Urologist
Russian Federation, OmskReferences
- Nickel JC. Treatment of chronic prostatitis/chronic pelvic pain syndrome. Int J Antimicrob Agents. 2008;31(Suppl 1): S112–116. doi: 10.1016/j.ijantimicag.2007.07.028
- Krieger JN, Ross SO, Riley DE. Chronic prostatitis: epidemiology and role of infection. Urology. 2002;60(6):8–12; discussion 13. doi: 10.1016/s0090-4295(02)02294-x
- Kul’chavenya EV, Holtobin DP, Shevchenko SYu, et al. The frequency of the chronic prostatitis in the outpatient practice. Experimental and Clinical Urology. 2015;(1):16–19 (In Russ.)
- Schaeffer AJ, Weidner W, Barbalias GA, et al. Summary consensus statement: diagnosis and management of chronic prostatitis/chronic pelvic pain syndrome. Eur Urol Suppl. 2003;2(2):1–4. doi: 10.1016/s0090-4295(02)01979-9
- Barinov AN, Sergienko DA. Fenomen tazovoj boli glazami nevrologa. Nervnye bolezni. 2015;(2):20–27. (In Russ.)
- Lokshin KL. Prostatitis: what’s new in basic science and clinical studies? Vestnik Urologii. 2017;5(4):69–78. (In Russ.) doi: 10.21886/2308-6424-2017-5-4-69-78
- Ku J, Kim S, Paick J. Quality of life and psychological factors in chronic prostatitis/сhronic pelvic pain syndrome. Urology. 2005;66(4):693–701. doi: 10.1016/j.urology.2005.04.050
- Zhao Z, Xuan X, Zhang J, et al. A prospective study on association of prostatic calcifications with sexual dysfunction in men with chronic prostatitis/chronic pelvic pain syndrome (CP/CPPS). J Sex Med. 2014;11(10):2528–2536. doi: 10.1111/jsm.12534
- Lee G. Chronic. Prostatitis: a possible cause of hematospermia. World J Mens Health. 2015;33(2):103–108. doi: 10.5534/wjmh.2015.33.2.103
- Kogan MI, Belousov II, Bolotskov AS. Arterial blood flow in the prostate in the syndrome of chronic pelvic pain/chronic prostatitis. Urologiia. 2011;(3):22–28. (In Russ.)
- Neymark AI, Lomshakov AA. Сolor ultrasonic angiography in evaluation of the results of treatment of chronic prostatitis. Urologiia. 2000;(6):21–23 (In Russ.)
- Tsukanov YuT, Tsukanov AYu, Levdansky EG. Lesion of pelvic organs in secondary varicose veins of the small pelvis. Аngiology and Vascular Surgery. 2015;(2):94–100. (In Russ.)
- Kiptilov AV, Neymark AI, Lapij GA. Features of arterial hemodynamics of the prostate in patients with chronic abacterial prostatitis working in the chemical industry. Fundamental research. 2014; (3–4):519–523. (In Russ.)
- Thurmond P, Yang JH, Li Y, et al. Structural modifications of the prostate in hypoxia, oxidative stress, and chronic ischemia. Korean J Urol. 2015;56(3):187–196. doi: 10.4111/kju.2015.56.3.187
- Patent. Rus № 2612832, 13.03.2017. Tsukanov YuT, Tsukanov AYu, Rudchenko NV, et al. A way to create a persistent pelvis varicose in laboratory animals. (In Russ.) Available from: https: // yandex.ru/patents/doc/RU2612832C1_20170313
- Tsukanov AYu, Rudchenko NV, Ahmetov DS, Alyabushev SF. Model of pelvic varicose veins in a chronic experiment. Experimental and Clinical Urology. 2019;(1):28–31. (In Russ.) doi: 10.29188/2222-8543-2019-11-1-28-31
- Chen R, Yu Y, Dong X. Progesterone receptor in the prostate: A potential suppressor for benign prostatic hyperplasia and prostate cancer. J Steroid Biochem Mol Biol. 2017;166:91–96. doi: 10.1016/j.jsbmb.2016.04.008
- Yu Y, Liu L, Xie N, et al. Expression and function of the progesterone receptor in human prostate stroma provide novel insights to cell proliferation control. J Clin Endocrinol Metab. 2013;98(7):2887–2896. doi: 10.1210/jc.2012-4000
- Vasil’ev YuV, Malyshev VV, Martynovich HH. Tazovaja kongestija: patogeneticheskoe znachenie pri urogenital’nyh zabolevanijah muzhchin. Irkutsk, IP Makarov; 2004. 264 c. (In Russ.)
Supplementary files







