Сирингоцеле Купера (бульбоуретральная киста)
- Авторы: Протощак В.В.1, Сиваков А.А.1, Гозалишвили С.М.1, Карандашов В.К.1, Горбунов А.Е.1
-
Учреждения:
- Военно-медицинская академия им. С.М. Кирова
- Выпуск: Том 11, № 2 (2021)
- Страницы: 175-182
- Раздел: Клинические наблюдения
- Статья получена: 16.04.2021
- Статья одобрена: 30.05.2021
- Статья опубликована: 18.08.2021
- URL: https://journals.eco-vector.com/uroved/article/view/65153
- DOI: https://doi.org/10.17816/uroved65153
- ID: 65153
Цитировать
Аннотация
Сирингоцеле Купера (от греч. syringo — труба, cele — расширение), или бульбоуретральная киста, — это кистозное расширение выводных протоков бульбоуретральных желез (куперовых желез). Встречается данное заболевание крайне редко и чаще диагностируется у детей. Клинические проявления сирингоцеле Купера неспецифичны и зависят от многих факторов: размеров, локализации, сообщения с уретрой, наличия инфекционного процесса. Выявление сирингоцеле невозможно без применения специальных лучевых и эндоскопических методов диагностики. Чаще всего данная патология «маскируется» под воспалительные заболевания половых органов ввиду того, что симптоматика ограничивается выделениями из наружного отверстия уретры, изменениями в общем анализе мочи и дизурическими проявлениями. В настоящее время в отечественной и зарубежной литературе не наберется и 20 публикаций, посвященных данной патологии.
Ключевые слова
Полный текст
ВВЕДЕНИЕ
Первое упоминание о бульбоуретральных железах встречается в работе Jean Mery в 1684 г. (рис. 1, a).
Рис. 1. Страницы изданий с описанием бульбоуретральных желез: а — первое описание Jean Mery из французского издания «Journal des scavans» (1684); b — титульный лист труда W. Cowper «An Account of Two Glands and Their Excretory Ducts Lately Discover’d in Human Bodies» (1699)
Fig. 1. Page of editions describing the bulbourethral glands: a – the first description of Jean Mery from the French edition of the Journal des scavans (1684); b – title page of W. Cowper’s work “An Account of Two Glands and Their Excretory Ducts Lately Discover’d in Human Bodies” (1699)
В дальнейшем они более детально описаны Уильямом Купером (William Cowper) (рис. 1, b) в своем труде «An account of two glands and their Excretory ducts Lately discovered in Human Bodies» («Рассказ о двух железах и их выводных протоках, недавно обнаруженных в человеческих телах»), опубликованном в записках Лондонского Королевского Общества в 1699 г. У. Купер изобразил их (рис. 2) и описал следующим образом: «…на четверть дюйма ниже предстательной железы я обнаружил две другие маленькие железы, расположенные по обе стороны уретры немного выше луковицы пещеристого тела. Эти железы имеют овальную фигуру, не превышающую величину небольшого французского боба…» [1].
Бульбоуретральные железы — парный орган округлой формы, размером до нескольких миллиметров, расположенные кзади от мембранозной уретры, ориентировочно на 3 и 9 часах условного циферблата с выводными протоками, открывающимися в бульбозном отделе уретры. Основная их функция — выделение преэякулята в половые пути мужчины [2, 3].
Рис. 2. Органокомплекс малого таза мужчины (по: W. Cowper, 1699). 1 — предстательная железа, 2 — бульбоуретральные железы, 3 — уретра, 4 — семенные пузырьки
Fig. 2. Organocomplex of the small pelvis of a man according (to: W. Cowper, 1699). 1 – prostate gland, 2 – bulbourethral glands, 3 – urethra, 4 – seminal vesicles
Сирингоцеле Купера впервые описал M. Maizels в 1983 г., который в последующем предложил подразделять их на четыре типа: простое, перфоративное, неперфоративное и разорвавшееся [4]. Среди описанных M. Maizels форм сирингоцеле Купера наиболее трудное для распознавания неперфоративное, которое клинически может протекать в большинстве случаев бессимптомно. Разница между простым, перфоративным и разорвавшемся сирингоцеле Купера заключается лишь в степени расширения выходного протока бульбоуретральной железы и наличием или отсутствием «окна», сообщающим его с уретрой. R. Bevers с соавт. [5] предложили упрощенную классификацию (рис. 3), включающую в себя два типа сирингоцеле Купера: открытое и закрытое.
Рис. 3. Типы сирингоцеле Купера по R. Bevers [5]: а — закрытое; b — открытое
Fig. 3. Types of Cowper’s syringocele according to R. Bevers [5]: a – closed; b – open
Для открытого типа сирингоцеле Купера характерны боль в промежности, выделения из наружного отверстия уретры, рецидивирующая инфекция мочевыводящих путей и постмикционное подтекание. При закрытом варианте наиболее часто встречаются боль в промежности, дизурия и обструктивная симптоматика [6].
Проанализировав данные 15 пациентов с сирингоцеле Купера, P. Campobasso с соавт. [7] предложили в зависимости от клинических проявлений подразделять бульбоуретральные кисты на обструктивные и необструктивные. При этом была выявлена следующая закономерность: для необструктивных сирингоцеле более характерными симптомами являются рецидивирующая инфекция нижних мочевых путей, гематурия, лихорадка, постмикционное подтекание мочи, тогда как для обструктивных — признаки инфравезикальной обструкции по данным урофлоуметрии и ультразвукового исследования.
Клинические проявления заболевания весьма вариабильны и зависят, в основном, от его типа. Симптоматика, развивающаяся у пациентов с сирингоцеле Купера, схожа с симптомами нижних мочевых путей: императивные позывы, постмикционное подтекание мочи, недержание мочи, рецидивирующая инфекция мочевыводящих путей, гематурия, выделения из уретры. Постмикционное подтекание мочи более характерно для «открытого» сирингоцеле, причем его интенсивность зависит от конфигурации кисты, ее хода и глубины подлежания [5].
Диагностика бульбоуретральной кисты основывается на тщательном сборе анамнеза и жалоб пациента с учетом его возраста, подкрепленных данными лучевых и эндоскопических методов обследования. J. Melquist с соавт. [6] предложили простой алгоритм диагностики сирингоцеле. Однако, на наш взгляд, данный подход целесообразно дополнить проведением дифференциальной диагностики с такими заболеваниями, как мочекаменная болезнь, воспалительные заболевания нижних мочевых путей и мужских половых органов, стриктура уретры, а также с новообразованиями органов малого таза (рис. 4).
Рис. 4. Предлагаемый алгоритм диагностики сирингоцеле Купера
Fig. 4. Proposed algorithm for the diagnosis of Cowper’s syringocele
У пациентов с сирингоцеле Купера в общем анализе мочи и бактериологическом посеве мочи на микрофлору достаточно часто определяется лейкоцитурия и бактериурия [8]. Ультразвуковое исследование информативно при закрытых бульбоуретральнных кистах, когда определяется полость. Если же сирингоцеле открытое и на момент выполнения исследования опорожнено, то данный метод диагностики может оказаться неинформативным [9]. Магнитно-резонансная томография (МРТ) малого таза, дополненная исследованием уретры, обладает высокой чувствительностью и специфичностью, так как позволяет достоверно визуализировать полость кисты и определить ее взаимосвязь с мочеиспускательным каналом [10].
При выполнении уретроскопии можно диагностировать открытое сирингоцеле путем визуализации «окна» — дефекта стенки мочеиспускательного канала. Для закрытого характерно пролабирование стенки кисты в просвет уретры в случае, если объемное образование достаточно заполнено жидкостным содержимым. Большинство авторов склоняется к мнению, что уретроскопия с МРТ — это наиболее информативные методы диагностики сирингоцеле Купера [6, 10].
Согласно данным литературы, бессимптомные бульбоуретральные кисты чаще всего подвергаются спонтанной регрессии и уменьшаются в размерах, опорожняясь на фоне проводимой консервативной терапии. В то же время симптоматические кисты требуют хирургического вмешательства [11]. Для оперативного лечения пациентов с сирингоцеле Купера в настоящее время применяют как открытый промежностный доступ, так и эндоскопические методики с использованием электро- и лазерохирургии, заключающиеся в иссечении передней стенки бульбоуретральной кисты или ее вскрытии и марсупиализации [12, 13]. R. Bevers и соавт. [5] сообщили о нескольких пациентах, перенесших трансуретральное рассечение передней стенки бульбоуретральной кисты с безрецидивным периодом наблюдения 23 мес. При рецидиве заболевания после трансуретрального рассечения передней стенки кисты B. Santin с соавт. [14] предложили чреспромежностную перевязку протоков бульбоуретральных желез. Промежностное иссечение бульбоуретральной кисты оправдано лишь при больших ее размерах и рецидиве после трансуретральной резекции. В то же время насколько большим должен быть объем кисты авторы не указывают [15].
Имеются единичные сообщения об успешном лапароскопическом лечении пациентов с сирингоцеле Купера и склеротерапией «закрытой» кисты промежностным способом под УЗ-навигацией с введением в ее полость полусинтетического антибиотика из группы тетрациклинов — миноциклина гидрохлорида. В случае с лапароскопическим иссечением бульбоуретральной кисты M. Cerqueira с соавт. описали клинический опыт хирургического лечения при сирингоцеле Купера больших размеров (10 × 10 × 8 см, объемом 415 мл), пролабирующего из малого таза в брюшную полость и позволяющего, таким образом, осуществить трансперитонеальный доступ к нему [16, 17].
КЛИНИЧЕСКОЕ НАБЛЮДЕНИЕ
Пациент Ш., 19 лет, поступил в клинику урологии Военно-медицинской академии им. С.М. Кирова в августе 2020 г. с жалобами на периодическую тупую тянущую боль по ходу мочеиспускательного канала при мочеиспускании и дискомфорт в промежности. Из анамнеза известно, что вышеуказанные беспокойства возникли около двух недель назад после перенесенного переохлаждения. При пальцевом ректальном исследовании: предстательная железа умеренно увеличена в размерах, без участков флуктуации. При бимануальном исследовании: умеренная болезненность в промежности. Показатели общеклинического и биохимического анализа крови в пределах референтных значений. В общем анализе мочи определялась лейкоцитурия до 15–20 в поле зрения. При бактериологическом исследовании мочи получен рост Corynebacterium gluсuronolytic 5 × 103 КОЕ/мл. По данным ультразвукового исследования почек и мочевого пузыря патологических изменений не выявлено, объем предстательной железы 23,1 см3, остаточной мочи нет. При урофлоуметрии максимальная скорость мочеиспускания 33,7 мл/с, средняя скорость мочеиспускания 15,1 мл/с, время мочеиспускания 32,3 с, объем выделенной мочи 468,7 мл (рис. 5).
Рис. 5. Урофлоуграмма пациента Ш., 19 лет
Fig. 5. Uroflogram of patient Sh., 19 years old
Пациенту был установлен диагноз: «Острый простатит». Проведен курс антибактериальной терапии (левофлоксацин в дозе 500 мг 1 раз в сутки 10 дней), противовоспалительной терапии (диклофенак по 100 мг ректально в течение 7 дней), терапия альфа-адреноблокаторами (тамсулозин в дозе 0,4 мг в сутки, 10 дней). Достигнута нормализация лабораторных показателей, однако по-прежнему оставалась периодическая боль в промежности при мочеиспускании.
Учитывая сохраняющиеся жалобы, через 2 мес. после выписки из урологического стационара при купированном воспалительном процессе в предстательной железе пациенту было проведено дообследование с целью дифференциальной диагностики согласно представленному выше алгоритму с выполнением восходящей уретрографии, МРТ малого таза и наружных половых органов, уретроскопии (рис. 6).
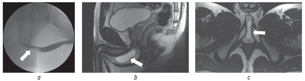
Рис. 6. Пациент Ш., 19 лет: а — восходящая уретрограмма, определяется дефект наполнения, соответствующий расположению бульбоуретральной кисты (указан стрелкой); b, c — магнитно-резонансная томограмма малого таза, в двух проекциях определяется кистозное образование — сирингоцеле с тонкими перегородками (указано стрелками)
Fig. 6. Patient Sh., 19 years old: a – ascending urethrogram of the filling defect corresponding to the location of the bulbourethral cyst is determined (indicated by the arrow); b, c – magnetic resonance imaging of the small pelvis, in two projections a cystic formation is determined – a syringocele with thin septa (indicated by arrows)
При выполнении восходящей уретрографии уретра была проходима на всем протяжении, в бульбозном отделе по вентральной поверхности определялся дефект наполнения с четкими ровными контурами размерами до 0,4 × 4,0 см без затеков контрастного вещества с последующим попаданием препарата в мочевой пузырь (рис. 6, a).
По данным МРТ на 3,5 см дистальнее шейки мочевого пузыря парауретрально по срединной линии визуализировалось кистозное образование, не сообщающееся с мочеиспускательным каналом, размерами 4,2 × 1,3 × 1,5 см. Внутренняя структура кисты разделена тремя тонкими перегородками с однородным жидкостным содержимым.
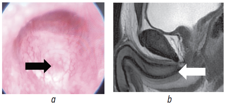
При уретроскопии в бульбозном отделе определялась передняя стенка сирингоцеле Купера, пролабирующая в просвет уретры (рис. 7).
Рис. 7. Уретроскопическая картина пациента Ш., 19 лет: а — передняя стенка бульбоуретральной кисты; b — перегородка в кисте (указаны стрелками)
Fig. 7. Urethroscopic picture of patient Sh., 19 years old: a – the anterior wall of the bulbourethral cyst; b – the septum in the cyst (indicated by arrows)
На основании проведенного дообследования установлен диагноз: «Закрытая бульбоуретральная киста».
После проведения консервативной терапии нестероидными противовоспалительными средствами и альфа-адреноблокаторами в течение месяца симптоматика регрессировала. При контрольном обследовании через 3 мес. по данным уретроскопии определялось точечное «окно» в мочеиспускательном канале — признак «открытого» сирингоцеле, а МРТ показала отсутствие ранее наблюдавшихся жидкостных образований (рис. 8).
Рис. 8. Пациент Ш., 19 лет: a — уретроскопическая картина (стрелкой указано «окно» опорожнившейся кисты); b — контрольная магнитно-резонансная томограмма малого таза без признаков кистозного расширения (стрелкой указано место ранее расположенной кисты)
Fig. 8. Patient Sh., 19 years old: a – urethroscopic picture of (the arrow indicates the “window” of the emptied cyst); b – control magnetic resonance imaging of the small pelvis without signs of cystic enlargement (the arrow indicates the place of the previously located cyst)
С учетом отсутствия симптоматики, «открытой» формы сирингоцеле Купера и молодого возраста пациент был выписан под амбулаторное наблюдение.
ЗАКЛЮЧЕНИЕ
Ввиду крайне редкой встречаемости единого и четкого алгоритма диагностики и лечения пациентов с сирингоцеле Купера в настоящее время не существует. Несмотря на это, при обследовании мужчин, мальчиков и подростков с признаками воспалительных заболеваний органов мочеполовой системы или симптомами инфравезикальной обструкции, необходимо помнить о данной патологии. На наш взгляд, для дифференциальной диагностики сирингоцеле Купера помимо физикального обследования, дополненного бимануальным исследованием, целесообразно выполнение как лучевых (ультразвуковое исследование, МРТ с контрастным усилением), так и эндоскопических (уретроцистоскопия) методов исследования в соответствии с модифицированным нами алгоритмом обследования.
При проведении консервативной терапии можно добиться регрессии размеров кисты или ее самопроизвольного вскрытия в просвет мочеиспускательного канала. При выборе хирургического метода лечения необходимо помнить, что показаниями к операции являются выраженный болевой синдром, признаки инфравезикальной обструкции и нагноение кисты, доказанные лучевыми методами диагностики. При этом предпочтение в первой линии хирургического лечения сирингоцеле Купера следует отдавать эндоскопическим методам.
ДОПОЛНИТЕЛЬНАЯ ИНФОРМАЦИЯ
Конфликт интересов. Авторы декларируют отсутствие явных и потенциальных конфликтов интересов, связанных с публикацией настоящей статьи.
Об авторах
Владимир Владимирович Протощак
Военно-медицинская академия им. С.М. Кирова
Email: protoshakurology@mail.ru
ORCID iD: 0000-0002-4996-2927
SPIN-код: 6289-4250
доктор медицинских наук, профессор, начальник кафедры и клиники урологии
Россия, 194044, Санкт-Петербург, ул. Академика Лебедева, д. 6Алексей Анатольевич Сиваков
Военно-медицинская академия им. С.М. Кирова
Email: alexei-sivakov@mail.ru
SPIN-код: 3064-8134
кандидат медицинских наук, заместитель начальника кафедры и клиники урологии
Россия, 194044, Санкт-Петербург, ул. Академика Лебедева, д. 6Сергей Медгарович Гозалишвили
Военно-медицинская академия им. С.М. Кирова
Автор, ответственный за переписку.
Email: gozalishwili@mail.ru
SPIN-код: 8838-2460
врач-онколог онкологического отделения клиники урологии
Россия, 194044, Санкт-Петербург, ул. Академика Лебедева, д. 6Василий Кириллович Карандашов
Военно-медицинская академия им. С.М. Кирова
Email: karandashov_vk@mail.ru
заведующий онкологическим отделением клиники урологии
Россия, 194044, Санкт-Петербург, ул. Академика Лебедева, д. 6Александр Евгеньевич Горбунов
Военно-медицинская академия им. С.М. Кирова
Email: vmaaaa@yandex.ru
SPIN-код: 4863-3123
Врач-уролог клиники урологии
Россия, 194044, Санкт-Петербург, ул. Академика Лебедева, д. 6Список литературы
- Cowper W. An Account of Two Glands and Their Excretory Ducts Lately Discover’d in Human Bodies//The Royal Society. 1699. P. 364–369.
- Гайворонский И.В. Нормальная анатомия человека. 7-е изд. СПб.: СпецЛит, 2011. С. 423.
- Wein A., Kavoussi L., Partin A., Peters C. Campbell-Walsh Urology.11 ed. Elsevier, 2015. 4186 p.
- Maizels M., Stephens F.D., King L.R., Firlit C.F. Cowper’s syringocele: a classification of dilatations of Cowper’s gland duct based upon clinical characteristics of 8 boys//J Urol. 1983. Vol. 129, No. 1. P. 111–114. doi: 10.1016/s0022-5347(17)51946-1
- Bevers R.F., Abbekerk E.M., Boon T.A. Cowper’s syringocele: symptoms, classification and treatment of an unappreciated problem//J Urol. 2000. Vol. 163, No. 3. P. 782–784. doi: 10.1016/s0022-5347(05)67803-2
- Melquist J., Sharma V., Sciullo D., et al. Current diagnosis and management of syringocele: a review//Int Braz J Urol. 2010. Vol. 36, No. 1. P. 3–9. doi: 10.1590/s1677-55382010000100002
- Campobasso P., Schieven E., Fernandes E.C. Cowper’s syringocele: an analysis of 15 consecutive cases//Arch Dis Child. 1996. Vol. 75, No. 1. P. 71–73. doi: 10.1136/adc.75.1.71
- Blasl F., Rösch W.H., Koen M., et al. Cowper’s syringocele: A rare differential diagnosis of infravesical obstruction in boys and young adults//J Pediatr Urol. 2017. Vol. 13, No. 1. P. 52.e1–52.e5. doi: 10.1016/j.jpurol.2016.08.023
- Selli C., Nesi G., Pellegrini G, et al. Cowper’s gland duct cyst in an adult male. Radiological and clinical aspects//Scand J Urol Nephrol. 1997. Vol. 31, No. 3. P. 313–315. doi: 10.3109/00365599709070358
- Wu F., Park E., Udayasankar U. Cowper gland syringocele//J Urol. 2013. Vol. 190, No. 2. P. 713–714. doi: 10.1016/j.juro.2013.04.079
- Masson JC, Suhler A, Garbay B. Les canaux et glandes de Cowper. Manifestations pathologiques et aspects radiologiques//J Urol Nephrol (Paris). 1979. Vol. 85, No. 7–8. P. 497–511.
- Awad M.A., Alwaal A., Harris C.R., et al. Transurethral Unroofing of a Symptomatic Imperforate Cowper’s Syringocele in an Adult Male//Case Rep Urol. 2016. Vol. 2016. P. 3743607. doi: 10.1155/2016/3743607
- Piedrahita Y.K., Palmer J.S. Case report: Cowper’s syringocele treated with Holmium: YAG laser//J Endourol. 2006. Vol. 20, No. 9. P. 677–678. doi: 10.1089/end.2006.20.677
- Santin B.J., Pewitt E.B. Cowper’s duct ligation for treatment of dysuria associated with Cowper’s syringocele treated previously with transurethral unroofing//Urology. 2009. Vol. 73, No. 3. P. 681.e11–13. doi: 10.1016/j.urology.2008.03.020
- Redman J.F., Rountree G.A. Pronounced dilatation of Cowper’s gland duct manifest as a perineal mass: a recommendation for management//J Urol. 1988. Vol. 139, No. 1. P. 87–88. doi: 10.1016/s0022-5347(17)42301-9
- Cerqueira M., Xambre L., Silva V., et al. Siringocele imperforado de las glándulas de Cowper. Tratamiento por vía laparoscópica//Actas Urol Esp. 2004. Vol. 28, No. 7. P. 535–538. doi: 10.1016/s0210-4806(04)73125-3
- Yamada T., Nakane K., Kanimoto Y. Successful treatment by transperineal percutaneous sclerosis with minocycline hydrochloride for imperforate Cowper’s syringocele in a young man//Int J Urol. 2009. Vol. 16, No. 9. P. 771. doi: 10.1111/j.1442-2042.2009.02362.x.
Дополнительные файлы











