Predictive Factors for Successful Penile Augmentation via Suspensory Ligament Release
- Authors: Guluzade K.S.1, Gamidov S.I.1,2, Shatylko T.V.2, Naumov N.P.3, Gasanov N.G.2
-
Affiliations:
- The First Sechenov Moscow State Medical University
- Research Center for Obstetrics, Gynecology and Perinatology
- Orekhovo-Zuyevskaya Hospital
- Issue: Vol 15, No 2 (2025)
- Pages: 141-149
- Section: Original study articles
- Submitted: 07.05.2025
- Accepted: 23.06.2025
- Published: 06.08.2025
- URL: https://journals.eco-vector.com/uroved/article/view/679257
- DOI: https://doi.org/10.17816/uroved679257
- EDN: https://elibrary.ru/SOMLTR
- ID: 679257
Cite item
Abstract
BACKGROUND: Modifying the shape and size of the genitalia has been a relevant concern since ancient times. Surgical penile augmentation may improve quality of life in appropriately selected patients. Identifying predictors of success in penile augmentation surgery is an important and practically relevant task in surgical andrology.
AIM: To identify predictive factors for successful penile augmentation to support the selection and optimization of surgical approach.
METHODS: We analyzed anatomical and topographic data from 66 patients who underwent penile augmentation at the National Medical Research Center for Obstetrics, Gynecology and Perinatology named after academician V.I. Kulakov between 2022 and 2025. The procedure involved suspensory ligament release with V–Y skin plasty, Heineke–Mikulicz plasty, and lipectomy.
RESULTS: Based on the obtained data, it was determined that the effectiveness of penile augmentation surgery was significantly influenced by the thickness of the subcutaneous fat in the pubic area and the length of the penile suspensory ligament.
CONCLUSION: Preoperative assessment of anatomical structures may support the selection of the optimal surgical technique and help form adequate and realistic expectations in patients regarding surgical outcomes.
Full Text
BACKGROUND
Surgical penile augmentation in appropriately selected patients may improve quality of life and psychological well-being [1]. However, during preoperative counseling, it is not always possible to establish realistic expectations regarding surgical outcomes. This also applies to the release of the penile suspensory ligament [2]. The limited number of published results complicates the application of evidence-based medicine in this matter [3]. Surgical outcomes may be influenced by both anatomical and surgical factors. Anatomical factors include the topography of the pubic region and the size and configuration of the penile suspensory ligament, which can be assessed preoperatively using magnetic resonance imaging [4]. Identifying predictors of successful penile augmentation surgery is an important and practically relevant task in surgical andrology.
The study aimed to identify predictive factors for successful penile augmentation.
METHODS
With the aim to identify predictors of effective penile lengthening through suspensory ligament release, we analyzed surgical outcomes of 66 patients treated at the Department of Andrology and Urology of the National Medical Research Center for Obstetrics, Gynecology and Perinatology named after Academician V.I. Kulakov between 2022 and 2025.
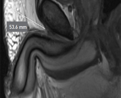
During preoperative assessment, penile length was recorded in both the flaccid and stretched states (median: 6.75 cm and 12 cm, respectively). Penile length in erection was measured by the patient at home (median: 12.5 cm). All patients underwent pelvic magnetic resonance imaging (MRI) to assess the topographic anatomy of the penile suspensory apparatus preoperatively. The following parameters were recorded: length and width of the suspensory ligament (median: 2.7 cm and 1.4 cm, respectively), thickness of the subcutaneous fat layer (median: 2.85 cm), angle of ligament divergence in the frontal plane (median: 65.8°), and the angle between the corpora cavernosa and the pubic symphysis (median: 17.42°) (Fig. 1–Fig. 5).
Fig. 1. Length of the penile suspensory ligament.
Fig. 2. Width of the penile suspensory ligament.
Fig. 3. Thickness of the subcutaneous fat.
Fig. 4. Divergence angle of the ligament fibers.
Fig. 5. Angle between the corpora cavernosa and the pubic symphysis.
Reconstructive penile surgery for traumatic amputation, oleogranuloma, or squamous cell carcinoma had previously been performed in 9 of the 66 patients. In 24 patients, ligamentolysis was supplemented with V–Y skin plasty using polyglactin sutures. In 36 patients, Heineke–Mikulicz plasty was performed: a horizontal incision in the infrapubic area was closed vertically at the end of the procedure using an intracutaneous polypropylene suture. In 6 patients, the operation was carried out via a penoscrotal approach. In 37 cases, lipectomy of the pubic subcutaneous fat was performed to increase the visible length of the penile shaft.
The statistical analysis was performed using SPSS software. The distribution of variable values was assessed using the Shapiro–Wilk test. None of the variables followed a normal distribution; therefore, data were presented as medians and interquartile ranges [IQR]. Nonparametric statistical methods (Wilcoxon test) were applied, and categorical variables were compared using the chi-square test and Fisher’s exact test. To identify predictors of surgical efficacy, a univariate analysis was first performed with patients stratified by tertiles, followed by logistic regression modeling using variables that demonstrated statistical significance (p < 0.05). Regression results are presented as odds ratios (ORs) with 95% confidence intervals (95% CI). A positive surgical outcome was defined as an increase in penile length of ≥50% compared to baseline flaccid length and ≥25% compared to baseline erect length.
RESULTS
The median flaccid penile length after surgery was 9.5 cm [8.5; 10.7]. This difference was statistically significant (p < 0.0001). In 42 patients (63.6%), the increase in length was ≥50% compared to baseline (mean gain of 3.5 cm), which indicated relative surgical success.
Table 1 presents the results of univariate analysis of potential predictors of flaccid penile length gain. Surgical outcomes differed significantly depending on stretched penile length (p = 0.023) and erect penile length (p = 0.023). Outcomes were also associated with suspensory ligament length (p = 0.002) and thickness of subcutaneous fat tissue (p = 0.00001). When a penoscrotal approach was used, the success rate of surgery was significantly lower than with the suprapubic approach (14.2% vs 69.4%, p = 0.007). Moreover, outcomes were better when excess subcutaneous fat was removed (83.7% vs 37.9%, p = 0.0002).
Table 1. Results of univariate analysis of predictors of effective penile length gain in the flaccid state
Variables | Patient proportion | p | |
Flaccid penile length, cm | 2–6 | 77.2% (17/22) | 0.17 |
6.1–7.0 | 63.6% (14/22) | ||
>7 | 50% (11/22) | ||
Stretched penile length, cm | 4.0–11.5 | 77.2% (17/22) | 0.023 |
11.6–13.0 | 72.7% (16/22) | ||
13.1–17.0 | 40.9% (9/22) | ||
Erect penile length, cm | 4.0–11.5 | 77.2% (17/22) | 0.023 |
11.6–13.0 | 72.7% (16/22) | ||
13.1–17.0 | 40.9% (9/22) | ||
Suspensory ligament length, cm | 1.8–2.5 | 40.9% (9/22) | 0.002 |
2.6–2.9 | 59% (13/22) | ||
3.0–3.5 | 90.9% (20/22) | ||
Subcutaneous fat thickness, cm | 1.8–2.5 | 27.2% (6/22) | 0.00001 |
2.6–3.4 | 63.6% (14/22) | ||
3.5–4.5 | 100% (22/22) | ||
Suspensory ligament width, mm | 1.0–1.3 | 72.7% (16/22) | 0.55 |
1.4–1.5 | 59% (13/22) | ||
1.6–2.0 | 59% (13/22) | ||
Angle between corpora cavernosa and pubic symphysis, degrees | 10.5–15.0 | 68.1% (15/22) | 0.55 |
15.1–20.0 | 54.5% (12/22) | ||
20.1–28.2 | 68.1% (15/22) | ||
Suspensory ligament divergence angle, degrees | 40.0–63.5 | 68.1% (15/22) | 0.55 |
64.0–67.3 | 68.1% (15/22) | ||
67.4–99.0 | 54.5% (12/22) | ||
Previous surgery | Yes | 77.7% (7/9) | 0.468 |
No | 61.4% (35/57) | ||
V-Y-plasty | Yes | 70.8% (17/24) | 0.43 |
No | 59.5% (25/42) | ||
Heineke–Mikulicz skin plasty | Yes | 66.6% (24/36) | 0.61 |
No | 60% (18/30) | ||
Penoscrotal approach | Yes | 14.2% (1/7) | 0.007 |
No | 69.4% (41/59) | ||
Lipectomy | Yes | 83.7% (31/37) | 0.0002 |
No | 37.9% (11/29) | ||
Suture placement | Interrupted | 62% (18/29) | 0.815 |
Intradermal | 64.8% (24/37) | ||
The logistic regression analysis demonstrated that the only predictor of flaccid penile length gain was subcutaneous fat thickness (Table 2). A fat thickness greater than 2.5 cm was identified as an independent statistically significant predictor (OR = 6.8844, 95% CI 1.9688–24.0733; p = 0.0025).
Table 2. Results of multivariate analysis of predictors of effective penile lengthening in the flaccid state
Predictor | Odds ratio (95% confidence interval) | p |
Stretched penile length | – | 0.9977 |
Erect penile length | 35638.9634 | 0.9978 |
Penile suspensory ligament length | 22.2247 (0.8575–576.0550) | 0.0619 |
Subcutaneous fat thickness | 6.8844 (1.9688–24.0733) | 0.0025 |
Penoscrotal approach | 0.0595 (0.0031–1.1427) | 0.0613 |
Lipectomy | 1.4413 (0.2494–8.3312) | 0.683 |
The median erect penile length after surgery was 15.5 cm [13.7; 17.4]. This difference was statistically significant (p < 0.0001). In 45 patients (68.2%), the increase in erect penile length exceeded 25% of the baseline size (mean gain of 3.5 cm). In such cases, the procedure was considered successful.
Potential predictors of surgical success were suspensory ligament length (p = 0.0005) and subcutaneous fat thickness (p = 0.0001), as measured by MRI (Table 3). Outcomes were significantly poorer in patients operated via the penoscrotal approach compared with the suprapubic approach (28.5% vs 72.8%; p = 0.02). Surgery was also more effective when subcutaneous fat in the pubic region was removed (90.9% vs 36.3%; p = 0.00001).
Table 3. Results of univariate analysis of predictors of effective penile length gain in the erect state
Variables | Patient proportion | p | |
Flaccid penile length, cm | 2–6 | 72.7% (16/22) | 0.811 |
6.1–7.0 | 68.1% (15/22) | ||
>7 | 63.6% (14/22) | ||
Stretched penile length, cm | 4.0–11.5 | 81.8% (18/22) | 0.23 |
11.6–13.0 | 63.6% (14/22) | ||
13.1–17.0 | 59% (13/22) | ||
Erect penile length, cm | 4.0–11.5 | 81.8% (18/22) | 0.23 |
11.6–13.0 | 63.6% (14/22) | ||
13.1–17.0 | 59% (13/22) | ||
Suspensory ligament length, cm | 1.8–2.5 | 40.9% (9/22) | 0.0005 |
2.6–2.9 | 68.1% (15/22) | ||
3.0–3.5 | 95.4% (21/22) | ||
Subcutaneous fat thickness, cm | 1.8–2.5 | 36.3% (8/22) | 0.0001 |
2.6–3.4 | 72.7% (16/22) | ||
3.5–4.5 | 95.4% (21/22) | ||
Suspensory ligament width, mm | 1.0–1.3 | 72.7% (16/22) | 0.81 |
1.4–1.5 | 68.1% (15/22) | ||
1.6–2.0 | 63.6% (14/22) | ||
Angle between corpora cavernosa and pubic symphysis, degrees | 10.5–15.0 | 72.7% (16/22) | 0.81 |
15.1–20.0 | 63.6% (14/22) | ||
20.1–28.2 | 68.1% (15/22) | ||
Suspensory ligament divergence angle, degrees | 40.0–63.5 | 72.7% (16/22) | 0.81 |
64.0–67.3 | 68.1% (15/22) | ||
67.4–99.0 | 54.5% (14/22) | ||
Previous surgery | Yes | 88.8% (8/9) | 0.2523 |
No | 64.9% (37/57) | ||
V-Y-plasty | Yes | 79.1% (19/24) | 0.17 |
No | 61.9% (26/42) | ||
Heineke–Mikulicz skin plasty | Yes | 66.6% (24/36) | 0.79 |
No | 70% (21/30) | ||
Penoscrotal approach | Yes | 28.5% (2/7) | 0.02 |
No | 72.8% (43/59) | ||
Lipectomy | Yes | 90.9% (30/33) | 0.00001 |
No | 36.3% (12/33) | ||
Suture placement | Interrupted | 72.4% (21/29) | 0.59 |
Intradermal | 64.8% (24/37) | ||
The logistic regression analysis (Table 4) showed that significant predictors of erect penile length gain following surgery were suspensory ligament length >3 cm (OR = 21.3885, 95% CI 1.9441–235.3076; p = 0.0123), subcutaneous fat thickness >2.5 cm (OR = 10.853, 95% CI 2.2683–51.9284; p = 0.0028), and lipectomy (OR = 7.4424, 95% CI 1.4992–36.9466; p = 0.0141).
Table 4. Results of multivariate analysis of predictors of effective penile lengthening in the erect state
Predictor | Odds ratio (95% confidence interval) | p |
Penile suspensory ligament length | 21.3885 (1.9441–235.3076) | 0.0123 |
Subcutaneous fat thickness | 10.853 (2.2683–51.9284) | 0.0028 |
Penoscrotal approach | 0.5578 (0.0467–6.6639) | 0.6446 |
Lipectomy | 7.4424 (1.4992–36.9466) | 0.0141 |
DISCUSSION
The study results demonstrated that the only significant predictor of flaccid penile length gain was the thickness of the subcutaneous fat in the pubic area. Specifically, when the fat thickness exceeded 2.5 cm, the probability of achieving a clinically significant increase in flaccid penile length was almost seven times higher (OR = 6.8844; 95% CI 1.9688–24.0733). This finding suggests that flaccid penile length gain is determined primarily by the removal of adipose tissue rather than by the release of the corpora cavernosa following suspensory ligament transection. However, for many patients, the primary concern is the increase in penile length in the erect state. This outcome was predominantly influenced by the length of the penile suspensory ligament, as measured on sagittal MRI images. In patients with a suspensory ligament length greater than 3 cm, the probability of achieving a significant postoperative result was 20 times higher compared with those with a ligament length shorter than 3 cm (OR = 21.3885; 95% CI 1.9441–235.3075).
Specialists performing penile augmentation often have concerns about the risk of secondary penile shaft retraction due to fibrotic changes in the area of ligamentolysis. To prevent this phenomenon, several techniques have been proposed, such as interposing a silicone implant or tissue layer to prevent reattachment of the transected ligament, or using a penile extender in the postoperative period [5]. A research group from the United Kingdom reported higher surgical success rates with the use of a silicone buffer; however, their own data did not confirm this advantage (the mean penile length gain was 1.4 cm after ligamentolysis alone, whereas it was 0.7 cm after ligamentolysis with interposition) [6]. In our study, the efficacy of such measures was not assessed because of specific surgical techniques: advancing the stump of the ligament anteriorly to form a new penopubic angle eliminates the need for interposition. The only exception was in patients undergoing surgery via the penoscrotal approach. In all such patients, a silicone testicular implant was left in the ligamentolysis zone as a buffer. Taking this into account, the use of interposition was not analyzed as a separate variable.
An important step of the surgery is skin plasty, aimed at covering the released segment of the corpora cavernosa with skin. Although these maneuvers do not contribute to penile shaft lengthening, it is difficult to visually assess the achieved effect without them. Various skin plasty techniques borrowed from plastic surgery have been proposed. The most common option is the inverted V–Y plasty. The technique based on the Heineke–Mikulicz principle, involving longitudinal closure of a transverse infrapubic incision, is also considered quite promising [7]. According to our data, the skin plasty technique does not significantly affect the actual penile length (Fig. 6).
Fig. 6. Penile length gain after surgery.
In the study by Danino et al. [8], the mean penile length gain in patients with micropenis was 3.4 cm. In their work, the authors also analyzed the anatomy of the penile ligaments using cadaveric material but did not investigate predictors of surgical success. In the clinical part of the study by Protogerou et al. [9], the mean penile length gain was 3.5 cm in the flaccid state and 1.8 cm in the erect state. In the cadaveric dissection part of their work, the authors concluded that the outcomes of ligamentolysis depend on the length of the suspensory ligament, the angle between the penis and the pubis, and the amount of adipose tissue. These findings partially align with our results, although we did not confirm the association between penile length gain and the angle between the corpora cavernosa and the pubic symphysis in the sagittal plane. An attempt to assess morphometric predictors of penile length gain was made by Ramos et al. [10]. In their study, the mean penile length gain was 2.6 cm; the difference compared to our results may be explained by differences in population characteristics, measurement techniques, and surgical approaches. The only statistically significant finding was a negative correlation between preoperative penile length and length gain, meaning that patients with smaller penises could achieve a greater effect after ligamentolysis. All anatomical variables in that study were measured intraoperatively rather than using MRI [10]. Furthermore, in our study, the primary efficacy criterion was the relative rather than the absolute length gain.
MRI assessment of penile anatomy has been used for quite some time [11–13]. However, evaluation of the individual characteristics of the penile ligamentous apparatus for predicting the outcomes of augmentation has not yet been incorporated into clinical practice. Chen et al. [14] described the MRI anatomy of the penile ligaments. Mariani et al. [15] correlated MRI images with cadaveric studies and proposed a nomenclature, describing the characteristics of the suspensory, fundiform, and arcuate ligaments. Wang et al. [16] used MRI data to create an animated 3D model clearly demonstrating the process and outcome of suspensory ligament release. This work is interesting, but the feasibility of creating a 3D animation for each patient during preoperative counseling remains questionable.
CONCLUSION
Preoperative assessment of anatomical structures is a critical step that ensures both the selection of the optimal surgical technique and the formation of adequate and realistic patient expectations regarding outcomes. In this study, we analyzed various anatomical and surgical parameters and their impact on the success of penile augmentation surgery. Based on the obtained data, we identified two key parameters exerting the most significant influence on surgical efficacy: the thickness of subcutaneous fat in the pubic region and the length of the penile suspensory ligament.
ADDITIONAL INFO
Author contributions: K.S. Guluzade: data curation, formal analysis, writing—original draft, writing—review & editing, visualization; S.I. Gamidov: writing—original draft, writing—review & editing; T.V. Shatylko: formal analysis, writing—original draft, writing—review & editing; N.P. Naumov: data curation, investigation, visualization; N.G. Gasanov: data curation, investigation. All the authors approved the version of the draft to be published and agreed to be accountable for all aspects of the work, ensuring that issues related to the accuracy or integrity of any part of the work are appropriately investigated and resolved.
Ethics approval: The study was approved by the local ethical committee of First Moscow State Medical University named after I.M. Sechenov (protocol No. 12-25 dated 2025 May 22). All study participants signed an informed voluntary consent form before inclusion in the study.
Consent for publication: Written informed consent was obtained from the patients for the publication of personal data, including photographs, in a scientific journal and its online version between 2022 and 2025. The scope of the published data was approved by the patients.
Funding sources: No funding.
Disclosure of interests: The authors have no relationships, activities or interests for the last three years related with for-profit or not-for-profit third parties whose interests may be affected by the content of the article.
Statement of originality: No previously obtained or published material (text, images, or data) was used in this study or article.
Data availability statement: All data generated during this study are available in this article.
Generative AI: Generative AI technologies were not used for this article creation.
Provenance and peer-review: This paper was submitted unsolicited and reviewed following the standard procedure. The peer review process involved a single reviewer (an editorial board member, editorial council member, or an external reviewer); double-blind review was conducted.
About the authors
Kyanan S. Guluzade
The First Sechenov Moscow State Medical University
Author for correspondence.
Email: kanansafarovich@gmail.com
ORCID iD: 0000-0002-8814-4361
Russian Federation, Moscow
Safar I. Gamidov
The First Sechenov Moscow State Medical University; Research Center for Obstetrics, Gynecology and Perinatology
Email: safargamidov@yandex.ru
ORCID iD: 0000-0002-9128-2714
MD, Dr. Sci. (Medicine), Professor
Russian Federation, Moscow; MoscowTaras V. Shatylko
Research Center for Obstetrics, Gynecology and Perinatology
Email: dialectic.law@gmail.com
ORCID iD: 0000-0002-3902-9236
SPIN-code: 4129-3649
MD, Cand. Sci. (Medicine)
Russian Federation, MoscowNikita P. Naumov
Orekhovo-Zuyevskaya Hospital
Email: naumovuro@mail.ru
ORCID iD: 0000-0003-1854-368X
SPIN-code: 2518-1433
MD, Cand. Sci. (Medicine)
Russian Federation, MoscowNatig G. Gasanov
Research Center for Obstetrics, Gynecology and Perinatology
Email: natiqhasan@gmail.com
ORCID iD: 0000-0003-4695-9789
SPIN-code: 7080-4880
MD, Cand. Sci. (Medicine)
Russian Federation, MoscowReferences
- Guluzade KS, Gamidov SI, Shatylko TV, et al. Absolute heat sources as a method to check the accuracy of temperature prediction in underground structures within cryolithozone. Andrology And Genital Surgery. 2024;25(2):31–40. doi: 10.62968/2070-9781-2024-25-2-31-40 EDN: OAEKDQ
- Danino MA, Trouilloud P, Benkhadra M, et al. Cosmetic male genital surgery: a narrative review. Ann Transl Med. 2024;12(1):11. doi: 10.21037/atm-23-351 EDN: VADZPC
- Falcone M, Bettocchi C, Carvalho J, et al. European Association of Urology guidelines on penile size abnormalities and dysmorphophobia: summary of the 2023 guidelines. Eur Urol Focus. 2024;10(3):432–441. doi: 10.1016/j.euf.2023.08.012 EDN: XTYKFG
- Hoznek A, Rahmouni A, Abbou C, et al. The suspensory ligament of the penis: an anatomic and radiologic description. Surg Radiol Anat. 1998;20(6):413–417. doi: 10.1007/BF01653133 EDN: FMKSBW
- Shaeer O, Shaeer K, El-Sebaie A. Minimizing the losses in penile lengthening: “V-Y half-skin half-fat advancement flap” and “T-closure” combined with severing the suspensory ligament. J Sex Med. 2006;3(1):155–160. doi: 10.1111/j.1743-6109.2005.00105.x
- Li CY, Kayes O, Kell PD, et al. Penile suspensory ligament division for penile augmentation: indications and results. Eur Urol. 2006;49(4):729–733. doi: 10.1016/j.eururo.2006.01.020
- Boiko MI, Notsek MS, Boiko OM, et al. Penis enlargement by penile suspensory ligament division with cross-plasty of the skin. Turk J Urol. 2022;48(2):91–97. doi: 10.5152/tud.2022.21242 EDN: MFVOJZ
- Danino MA, Benkahdra M, Khatib AE, et al. Anatomical study of the penile suspensory system: a surgical application to micropenis. Plast Reconstr Surg Glob Open. 2023;11(1):e4728. doi: 10.1097/GOX.0000000000004728 EDN: FQKJDG
- Protogerou V, Anagnostopolou S, Venierates D, et al. Penis ligaments: their use in «increasing» the size of the penis in penile augmentation procedures. Ann Ital Chir. 2010;81(3):199–204.
- Ramos M, Pereira AV, Silva L, et al. Morphometric predictors of penile length increase after division of its suspensory ligament. Aesthetic Plast Surg. 2024;48(8):1635–1643. doi: 10.1007/s00266-023-03837-7 EDN: VKJWWY
- Kaneko K, De Mouy EH, Lee BE. Sequential contrast-enhanced MR imaging of the penis. Radiology. 1994;191(1):75–77. doi: 10.1148/radiology.191.1.8134600
- Pretorius ES, Siegelman ES, Ramchandani P, et al. MR imaging of the penis. Radiographics. 2001;21:283–298. doi: 10.1148/radiographics.21.suppl_1.g01oc24s283
- Hricak H, Marotti M, Gilbert TJ, et al. Normal penile anatomy and abnormal penile conditions: evaluation with MR imaging. Radiology. 1988;169(3):683–690. doi: 10.1148/radiology.169.3.3186992
- Chen X, Wu Y, Tao L, et al. Visualization of penile suspensory ligamentous system based on visible human data sets. Med Sci Monit. 2017;23: 2436–2444. doi: 10.12659/msm.901926
- Mariani UM, Fayman M, Nkomozepi P, et al. Topographic and structural anatomy of the suspensory ligament of the penis: implications for phalloplasty. Aesthet Surg J. 2024;44(5):516–526. doi: 10.1093/asj/sjad376 EDN: QRVDDW
- Wang R, Yang D, Li S. Three-dimensional virtual model and animation of penile lengthening surgery. J Plast Reconstr Aesthet Surg. 2012;65(10): e281–e285. doi: 10.1016/j.bjps.2012.04.015
Supplementary files










