Giant renal cyst: diagnosis and surgical management features
- Authors: Kostenkov N.Y.1, Nevirovich E.S.1,2, Kuzmin I.V.2, Ammo R.M.1, Mosiychuk O.M.1, Tkachuk I.N.1,2, Mikheev V.V.1, Krivokorytov K.V.1
-
Affiliations:
- City Hospital No. 15, Saint Petersburg
- Academician I.P. Pavlov First St. Petersburg State Medical University
- Issue: Vol 15, No 3 (2025)
- Pages: 327-332
- Section: Case reports
- Submitted: 13.07.2025
- Accepted: 07.10.2025
- Published: 10.10.2025
- URL: https://journals.eco-vector.com/uroved/article/view/687444
- DOI: https://doi.org/10.17816/uroved687444
- EDN: https://elibrary.ru/TWEJGL
- ID: 687444
Cite item
Abstract
Renal cysts are among the most common benign lesions of the urinary system. Simple renal cysts are generally asymptomatic and do not require treatment; however, when they reach a considerable size, they may compress adjacent tissues, causing pain, hypertension, hydronephrosis, or impaired renal function. This article presents a clinical case of successful surgical management of a giant left renal cyst measuring 22 × 24 cm in a 55-year-old patient. The cyst caused compression of surrounding structures, manifested by pain and abdominal distension. Based on computed tomography findings, the cyst was classified as Bosniak type II. Laparoscopic cyst excision with evacuation of 5100 mL of fluid was performed. The postoperative course was uneventful, and a follow-up examination at 3 months revealed no recurrence. This clinical case demonstrates the effectiveness of the laparoscopic approach even in cases of giant renal cysts. Laparoscopic excision ensures minimal invasiveness while maintaining high surgical efficacy. Particular attention during such procedures should be paid to meticulous hemostasis, prevention of intraoperative cyst rupture, and complete removal of the cyst wall.
Full Text
ВВЕДЕНИЕ
Кисты почек относятся к числу наиболее распространенных доброкачественных образований мочевыделительной системы и, по разным оценкам, их выявляют у 20–50% взрослых [1, 2]. С возрастом частота их обнаружения увеличивается [3]. В основном простые кисты протекают бессимптомно и не требуют лечения. Однако при достижении значительных размеров (более 5–7 см) они могут вызывать компрессию окружающих структур, приводя к развитию болевого синдрома, артериальной гипертензии, гидронефроза или нарушению почечной функции [4, 5]. Особый клинический интерес представляют так называемые гигантские кисты почек, размеры которых превышают 10 см в диаметре. Такие образования встречаются относительно редко, но характеризуются выраженным компрессионным эффектом на паренхиму почки и соседние органы, что часто требует хирургического вмешательства [6, 7]. По данным литературы, только 5–8% всех кист почек достигают размеров, требующих оперативного лечения [8].
Диагностика гигантских кист основывается на современных методах визуализации. Ультразвуковое исследование остается скрининговым методом первой линии, позволяющим определить размеры, локализацию и основные характеристики кисты [9]. Для более детальной оценки применяют компьютерную томографию (КТ) с контрастированием, которая по классификации Bosniak помогает дифференцировать простые кисты (I категория) от сложных и потенциально злокачественных образований (IIF–IV категории) [10]. Магнитно-резонансная томография особенно полезна при оценке кист с геморрагическим содержимым и при планировании хирургического вмешательства [11].
В настоящее время лапароскопическое иссечение (марсупиализация) признано золотым стандартом хирургического лечения симптомных кист почек [12]. По сравнению с открытыми операциями лапароскопический доступ обеспечивает ряд преимуществ, включая меньшую травматичность, сокращение сроков госпитализации и более быстрое восстановление пациентов [13]. Однако при гигантских кистах лапароскопическое вмешательство сопряжено с техническими сложностями, связанными с ограниченным пространством для манипуляций, с риском интраоперационного разрыва кисты и необходимостью тщательного гемостаза [14]. Особого внимания заслуживают вопросы предоперационного планирования при гигантских кистах почек. Важное значение имеет точное определение взаимоотношений кисты с почечными сосудами и чашечно-лоханочной системой, что позволяет минимизировать риск интраоперационных осложнений [9]. Некоторые авторы рекомендуют предварительную аспирацию содержимого гигантских кист для облегчения хирургического доступа [7].
В представленной работе мы описываем клинический случай успешного лапароскопического лечения гигантской кисты левой почки размерами 22 × 24 см у пациента 55 лет. Особенностью данного наблюдения стали технические сложности, связанные с выраженной компрессией почечной паренхимы и близостью кисты к почечным сосудам. Анализ данного случая дополнен обзором современных литературных данных по диагностике и хирургическому лечению гигантских кист почек.
КЛИНИЧЕСКИЙ СЛУЧАЙ
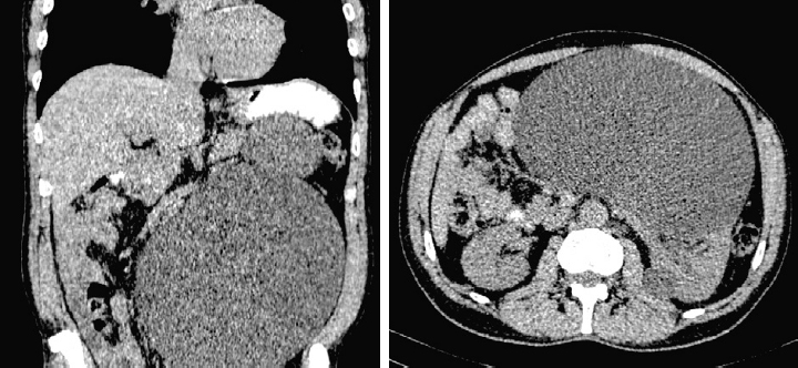
Пациент, 55 лет, был госпитализирован в хирургическое отделение СПбГБУЗ «Городская больница № 15» с жалобами на периодическую боль в животе, увеличение живота в размерах, невозможность похудеть при соблюдении диеты. Из анамнеза известно, что около года назад перенес двустороннюю пневмонию, в связи с чем за неделю до госпитализации выполнил контрольное КТ органов грудной клетки, где на краевых срезах диагностирована киста брюшной полости. Консультирован хирургом поликлиники, выдано направление для госпитализации. Пациенту в стационаре выполнена КТ органов брюшной полости с внутривенным контрастированием: в забрюшинном пространстве слева выявлены два образования жидкостной плотности, неправильно-округлой и округлой формы, четко очерченные, размерами до 224 × 140 × 240 и 84 × 79 × 78 мм соответственно (третий размер по сагиттальным срезам), без признаков накопления контрастного вещества на постконтрастных изображениях. Почки расположены в типичном месте, паренхима не истончена, однородной консистенции. Чашечно-лоханочная система левой почки расширена. Мочеточники с обеих сторон не расширены. Выделительная функция обеих почек своевременная, симметричная. Рентгеноконтрастных конкрементов в проекции мочевыводящих путей не выявлено. По результатам КТ сложилось впечатление, что оба кистозных образования исходят из левой почки. Установлен диагноз: «Кисты левой почки, тип II по классификации Bosniak» (рис. 1).
Рис. 1. Компьютерная томография органов брюшной полости с внутривенным контрастированием до операции.
По результатам лабораторного обследования отклонений от нормы не выявлено. Пациент консультирован урологом, для продолжения лечения переведен в урологическое отделение. Принято решение о проведении оперативного вмешательства — лапароскопического иссечения кист левой почки.
Ход операции
В положении пациента на правом боку установлен оптический троакар 10 мм по методике Хассона, далее под визуальном контролем установлено 3 троакара 5 мм для инструментов в типичном месте. При лапароскопии визуализирована гигантская киста нижнего полюса левой почки (рис. 2). Над ней вскрыта брюшина. Проведена пункция кисты, эвакуировано 5100 мл светло-желтой жидкости. Стенка кисты иссечена в пределах почечной паренхимы и отправлена на гистологическое исследование (рис. 3).
Рис. 2. Интраоперационная картина гигантской кисты левой почки.
Рис. 3. Интраоперационная картина: нижний полюс левой почки после иссечения кисты.
При ревизии левой почки в области верхнего полюса визуализирована киста меньшего размера (до 8 см). Стенки кисты также иссечены и направлены на гистологическое исследование. Выполнен гемостаз. В область левой почки установлен трубчатый дренаж.
Послеоперационный период гладкий. Дренаж из зоны операции удален на вторые сутки после операции. Больной выписан в удовлетворительном состоянии в тот же день (рис. 4, 5).
Рис. 4. Передняя брюшная стенка пациента до (а) и после (b) операции в передней проекции.
Рис. 5. Передняя брюшная стенка пациента до (а) и после (b) операции в боковой проекции.
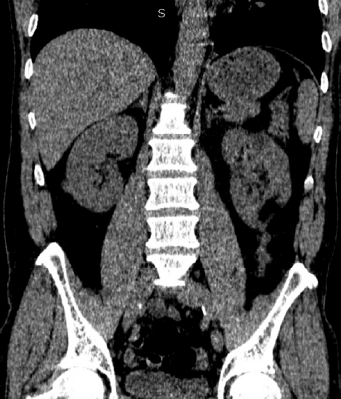
Через 3 мес. после операции пациент приглашен для проведения контрольного обследования. Выполнена КТ мочевыводящих путей с внутривенным контрастированием: почки расположены в типичном месте, в размерах не увеличены, паренхима не истончена, однородная. На границе нижней и средней трети левой почки определяется участок послеоперационных изменений. На месте ранее визуализируемого кистозного образования левой почки определяется дефект кортикального слоя. Чашечно-лоханочная система почек не расширена. Выделительная функция обеих почек своевременная, симметричная. Рентгеноконтрастных конкрементов в проекции мочевыводящих путей не выявлено. При лабораторном обследовании отклонений нет (рис. 6).
Рис. 6. Компьютерная томография мочевыводящих путей с внутривенным контрастированием через 3 мес. после операции.
Представленный клинический случай демонстрирует несколько значимых практических аспектов диагностики и лечения гигантской кисты почки. Во-первых, подтверждена важность точной предоперационной диагностики с использованием современных методов визуализации для оценки анатомических особенностей кисты и планирования хирургической тактики. Во-вторых, результаты оперативного вмешательства подтверждают, что лапароскопическое иссечение остается методом выбора даже при гигантских кистах, обеспечивая минимальную инвазивность при сохранении эффективности вмешательства. Особое внимание при подобных операциях следует уделять тщательному гемостазу, предотвращению интраоперационного разрыва кисты и максимально полному удалению ее стенок.
ЗАКЛЮЧЕНИЕ
Лапароскопическое иссечение можно успешно применять при хирургическом лечении гигантских кист почки, обеспечивая хорошие ближайшие и отдаленные результаты операции. Совершенствование малоинвазивных технологий, включая робот-ассистированные системы и новые методы абляции, открывает возможности для повышения эффективности лечения подобных пациентов.
ДОПОЛНИТЕЛЬНАЯ ИНФОРМАЦИЯ
Вклад авторов: Н.Ю. Костенков — концепция и дизайн исследования, сбор и обработка материалов, анализ полученных данных, написание текста, обзор литературы, хирургическое лечение пациента; Е.С. Невирович — концепция и дизайн исследования, сбор и обработка материалов, написание текста; И.В. Кузьмин — анализ полученных данных, обзор литературы, внесение окончательной правки; Р.М. Аммо — анализ полученных данных, хирургическое лечение пациента; О.М. Мосийчук — общее руководство работой; И.Н. Ткачук, В.В. Михеев, К.В. Кривокорытов — анализ полученных данных, написание текста. Все авторы одобрили рукопись (версию для публикации), а также согласились нести ответственность за все аспекты работы, гарантируя надлежащее рассмотрение и решение вопросов, связанных с точностью и добросовестностью любой ее части.
Источники финансирования. Отсутствуют.
Этическая экспертиза. Одобрение этического комитета не требуется.
Согласие на публикацию. Авторы получили письменное информированное добровольное согласие пациента на публикацию персональных данных, в том числе фотографий, в научном журнале, включая его электронную версию (дата подписания 30.06.2025). Объем публикуемых данных с пациентом согласован. Все представленные сведения обезличены.
Раскрытие интересов. Авторы заявляют об отсутствии отношений, деятельности и интересов за последние три года, связанных с третьими лицами (коммерческими и некоммерческими), интересы которых могут быть затронуты содержанием статьи.
Оригинальность. При создании настоящей работы авторы не использовали ранее опубликованные сведения (текст, данные, фотографии).
Доступ к данным. Все данные, полученные в настоящем исследовании, доступны в статье.
Генеративный искусственный интеллект. При создании настоящей статьи технологии генеративного искусственного интеллекта не использовали.
Рассмотрение и рецензирование. Настоящая работа подана в журнал в инициативном порядке и рассмотрена по обычной процедуре. В рецензировании участвовал один рецензент (член редакционной коллегии, член редакционного совета или внешний рецензент), рецензирование двойное слепое.
ADDITIONAL INFO
Author contributions: N.Yu. Kostenkov: conceptualization, methodology, investigation, formal analysis, writing — original draft; E.S. Nevirovich: conceptualization, methodology, investigation, formal analysis, writing — original draft; I.V. Kuzmin: investigation, formal analysis, writing — review & editing; R.M. Ammo: formal analysis, investigation; O.M. Mosiychuk: supervision; I.N. Tkachuk, V.V. Mikheev, K.V. Krivokorytov: formal analysis, writing — original draft. All authors have approved the publication version and also agreed to be responsible for all aspects of the each part of the work and ensured reliable consideration of the issues related to the accuracy and integrity.
Funding sources: No funding.
Ethics approval: Approval from the ethics committee is not required.
Consent for publication: The authors obtained written informed voluntary consent from the patient for the publication of personal data, including images, in a scientific journal, including its electronic version (date of signing Jun 30, 2025). The scope of the data to be published has been agreed upon with the patient. All information presented is anonymized.
Disclosure of interest: The authors declare the absence of relations, activities and interests over the past three years related to third parties (commercial and non-commercial), whose interests may be affected by the content of the article.
Statement of originality: When creating this work, the authors did not use previously published information (text, data, photos).
Data availability statement: All the data obtained in this study is available in the article.
Generative AI: No generative artificial intelligence technologies were used in the creation of this article.
Provenance and peer-review: This paper was submitted unsolicited and reviewed following the standard procedure. The peer review process involved one reviewer (a member of the editorial board, a member of the editorial council, or an external reviewer), and the review was double-blind.
About the authors
Nikolay Yu. Kostenkov
City Hospital No. 15, Saint Petersburg
Email: drkostenkov@yandex.ru
ORCID iD: 0000-0001-8246-8798
SPIN-code: 5455-1516
MD, Cand. Sci. (Medicine)
Russian Federation, Saint PetersburgEvgeny S. Nevirovich
City Hospital No. 15, Saint Petersburg; Academician I.P. Pavlov First St. Petersburg State Medical University
Email: enevirovich@gmail.com
ORCID iD: 0000-0001-8427-5092
SPIN-code: 9362-4145
MD, Dr. Sci. (Medicine)
Russian Federation, Saint Petersburg; Saint PetersburgIgor V. Kuzmin
Academician I.P. Pavlov First St. Petersburg State Medical University
Email: kuzminigor@mail.ru
ORCID iD: 0000-0002-7724-7832
SPIN-code: 2684-4070
Scopus Author ID: 56878681300
MD, Dr. Sci. (Medicine), Professor
Russian Federation, Saint PetersburgRizan M. Ammo
City Hospital No. 15, Saint Petersburg
Email: rezan_ammo@hotmail.com
ORCID iD: 0000-0002-9056-3389
MD, Cand. Sci. (Medicine)
Russian Federation, Saint PetersburgOleg M. Mosiychuk
City Hospital No. 15, Saint Petersburg
Email: oleg.mosichuk@yandex.ru
ORCID iD: 0009-0003-7979-1086
SPIN-code: 5116-2894
Russian Federation, Saint Petersburg
Ilya N. Tkachuk
City Hospital No. 15, Saint Petersburg; Academician I.P. Pavlov First St. Petersburg State Medical University
Email: tkachukin@yandex.ru
ORCID iD: 0009-0002-1622-8045
MD, Cand. Sci. (Medicine)
Russian Federation, Saint Petersburg; Saint PetersburgVladimir V. Mikheev
City Hospital No. 15, Saint Petersburg
Email: miheich@yandex.ru
ORCID iD: 0009-0006-2203-7025
Russian Federation, Saint Petersburg
Kirill V. Krivokorytov
City Hospital No. 15, Saint Petersburg
Author for correspondence.
Email: kkrivokorytov@gmail.com
ORCID iD: 0009-0007-8128-607X
Russian Federation, Saint Petersburg
References
- Simonov PA, Firsov MA, Laletin DI, et al. Features of surgical treatment of renal cysts depending on the risk of malignancy. Urologiia. 2022;(4):23–26. doi: 10.18565/urology.2022.4.23-26 EDN: ACWSKV
- Kanauchi Y, Hashimoto M, Toda N, et al. Automatic detection and measurement of renal cysts in ultrasound images: A deep learning approach. Healthcare (Basel). 2023;11(4):484. doi: 10.3390/healthcare11040484
- Wu Q, Ju C, Deng M, et al. Prevalence, risk factors and clinical characteristics of renal dysfunction in Chinese outpatients with growth simple renal cysts. Int Urol Nephrol. 2022l;54(7):1733–1740. doi: 10.1007/s11255-021-03065-5
- Zhu M, Chu X, Liu C. Effects of renal cysts on renal function. Arch Iran Med. 2022;25(3):155–160. doi: 10.34172/aim.2022.26
- Han X, Yuan G, Zhu X, et al. A comparative study of mini- versus standard laparoscopy in the treatment of renal cysts. Minim Invasive Ther Allied Technol. 2021;30(3):179–186. doi: 10.1080/13645706.2019.1699835
- Khoder WY, Grabbert M, Sigle A, et al. Retrospective evaluation of the clinical values of minimally invasive marsupialization of symptomatic giant renal cysts. J Laparoendosc Adv Surg Tech A. 2021;31(3):279–283. doi: 10.1089/lap.2020.0415
- Fernández-de la Varga M, Pérez Valle I, Ordieres Díaz C, et al. Large bowel obstruction secondary to a simple renal cyst: an exceptional complication. Rev Esp Enferm Dig. 2022;114(6):366–367. doi: 10.17235/reed.2022.8623/2022
- Maugeri A, Fanciulli G, Barchitta M, et al. Comparison of aspiration with sclerotherapy and laparoscopic deroofing for the treatment of symptomatic simple renal cysts: a systematic review and meta-analysis. Updates Surg. 2021;73(5):1691–1698. doi: 10.1007/s13304-021-01042-2
- Nicolau C, Antunes N, Paño B, Sebastia C. Imaging characterization of renal masses. Medicina (Kaunas). 2021;57(1):51. doi: 10.3390/medicina57010051
- Brandi N, Mosconi C, Giampalma E, Renzulli M. Bosniak classification of cystic renal masses: Looking back, looking forward. Acad Radiol. 2024;31(8):3237–3247. doi: 10.1016/j.acra.2023.12.019
- All-Russian Public Organization “Russian Society of Urologists”. Kidney Cyst. Clinical Guidelines of the Ministry of Health of the Russian Federation. Ministry of Health of the Russian Federation; 2024. (In Russ.)
- Akkoç A, Aydın C. How safe and effective is laparoscopic decortication of simple renal cysts in elderly patients? Aging Male. 2020;23(3):227–231. doi: 10.1080/13685538.2020.1741542
- Tang Z, Lu B, Zhang Y, et al. Comparison of the mid-term outcomes of laparoscopic and percutaneous nephroscopic laser unroofing for the treatment of single renal cyst: a single-center retrospective study. Int Urol Nephrol. 2025;57(7):2119–2126. doi: 10.1007/s11255-025-04382-9
- Mohammed KMG, Zarm A, Velez JCQ, Mohamed MMB. Massive renal cyst displacing intra-abdominal structures. Ochsner J. 2023l;23(3):262–265. doi: 10.31486/toj.23.0036
Supplementary files









