Малакоплакия мочевого пузыря. Клиническое наблюдение
- Авторы: Барышева О.Ю.1,2, Симанов Р.Н.1,2, Букалев А.В.2
-
Учреждения:
- Петрозаводский государственный университет
- Республиканская больница им. В.А. Баранова
- Выпуск: Том 12, № 1 (2022)
- Страницы: 91-98
- Раздел: Клинические наблюдения
- Статья получена: 18.01.2022
- Статья одобрена: 16.03.2022
- Статья опубликована: 26.04.2022
- URL: https://journals.eco-vector.com/uroved/article/view/96740
- DOI: https://doi.org/10.17816/uroved96740
- ID: 96740
Цитировать
Полный текст
Аннотация
В статье представлено клиническое наблюдение малакоплакии мочевого пузыря у женщины 33 лет, клинически проявляющейся дизурией и макрогематурией. Малакоплакия — редкое опухолеподобное гранулематозно-воспалительное заболевание с преимущественным поражением слизистой оболочки мочевого пузыря. В литературе описаны экстравезикальные формы малакоплакии с вовлечением в процесс мочеточников, почечных лоханок и чашечек, предстательной железы, яичек и их придатков, кишечника и других органов. У женщин заболевание встречается в 4 раза чаще, чем у мужчин. Причины развития малакоплакии до конца неясны. Основное значение в ее патогенезе придают инфекционному фактору и иммуносупрессии. Диагностика основана на гистологическом исследовании биоптатов мочевого пузыря и обнаружении клеток Ханземанна и телец Михаэлиса – Гутмана. Лечение пациентов с малакоплакией заключается в резекции пораженных участков мочевого пузыря и антибактериальной терапии.
Ключевые слова
Полный текст
ВВЕДЕНИЕ
Малакоплакия (malacoplakia; греч. malakos — мягкий + plakion — пластинка) — редкое опухолеподобное гранулематозно-воспалительное заболевание с преимущественным поражением слизистой оболочки мочевого пузыря. Клинические проявления разнообразны, наиболее характерные дизурия и гематурия. Необходимо дифференцировать с неопластическими процессами.
КЛИНИЧЕСКОЕ НАБЛЮДЕНИЕ
Пациентка, 33 года, госпитализирована в отделение урологии Республиканской больницы им. В.А. Баранова (Петрозаводск) в плановом порядке по направлению амбулаторного уролога с подозрением по данным цистоскопии на множественные злокачественные поражения мочевого пузыря. При поступлении пациентка предъявляла жалобы на периодическую примесь крови в моче, учащенное до 20 раз в сутки и иногда болезненное мочеиспускание малыми порциями. Из анамнеза известно, что данные симптомы появились впервые в жизни 3 нед. назад. Ранее за медицинской помощью по поводу инфекции мочевых путей не обращалась. Накануне осмотрена гинекологом — патологии не выявлено.
Проведено комплексное обследование. Выполнены стандартные лабораторные анализы, анализ крови на HBsAg (поверхностный антиген вирусного гепатит B), HCV (вирус гепатита С) и микрореакция на сифилис, общий анализ мочи, бактериологический анализ мочи, ультразвуковое исследование почек и органов малого таза, магнитно-резонансная томография (МРТ) органов малого таза и мультиспиральная компьютерная томография (МСКТ) брюшной полости и органов малого таза с контрастным усилением. По данным лабораторных исследований отмечены незначительная гиперфибриногенемия и умеренная лейкоцитурия (до 30 лейкоцитов в поле зрения). При бактериологическом исследовании мочи выявлена Escherichia сoli в титре более 107 КОЕ/мл, чувствительная к основным антибактериальным препаратам и бактериофагам. По данным ультразвукового исследования патологии почек не выявлено, определяется миома матки небольших размеров, мочевой пузырь без патологии, наполнен до 600 мл, остаточной мочи нет.
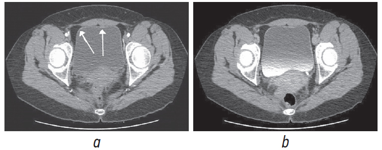
По результатам МРТ малого таза с контрастным усилением патологических изменений мочевого пузыря не выявлено. Но при последующем более тщательном изучении томограмм удалось обнаружить утолщение стенок мочевого пузыря, особенно задней и в области дна мочевого пузыря, максимально до 2 см (рис. 1).
Рис. 1. Магнитно-резонансная томография органов малого таза с внутривенным контрастированием: а — саггитальная проекция; b — аксиальная проекция. Стрелками указаны утолщения стенки мочевого пузыря
Fig. 1. Contrast-enhanced magnetic resonance image of the pelvis: а – sagittal projection; b – axial projection. The arrows indicate the thickening of the bladder wall
Выполнена МСКТ брюшной полости и органов малого таза с контрастным усилением. Отмечено количественное увеличение мезентериальных лимфатических узлов без их увеличения в размерах. Патологических изменений со стороны мочевого пузыря, мочеточников, почек и тазовой жировой клетчатки не установлено. После тщательного изучения снимков удалось выявить наличие утолщения стенок мочевого пузыря с незначительными, едва заметными плоскими бляшками со стороны слизистой оболочки (рис. 2). Данные образования не накапливают контраст ни при МРТ, ни при МСКТ.
Рис. 2. Мультиспиральная компьютерная томография органов малого таза. Аксиальная проекция: а — нативная, b — с контрастным усилением. Стрелками указаны утолщения стенки мочевого пузыря
Fig. 2. Multislice computed tomography of the pelvis. Axial projection: а – native, b – with contrast enhancement. The arrow indicates the thickening of the bladder wall
Учитывая множественное поражение стенки мочевого пузыря и подозрение на опухоль мочевого пузыря, принято решение о проведении оперативного вмешательства — трансуретральной резекции стенки мочевого пузыря с забором материала для гистологического исследования. Во время операции отмечена цистоскопическая картина множественных образований мочевого пузыря, покрывающих практически всю слизистую оболочку. Выявлены возвышающиеся над поверхностью местами неизмененной слизистой оболочки разной величины округлые и продолговатые плоские бляшки, желтовато-коричневого цвета, с венчиком гиперемии, центральной вогнутостью и характерными мохнатыми желтыми массами. Контактно данные образования кровоточили, некоторые из них легко снимались с оставлением грубого изменения подслизистой основы. В шейке мочевого пузыря выявлено изменение слизистой оболочки с наличием белесоватой пленки по типу «тающего снега», которая также легко снималась и кровоточила. По задней стенке обнаружено округлое экзофитное образование размерами 2 × 1 см, на широкой ножке, вдающееся в полость мочевого пузыря прямо из самого центра бляшки (рис. 3).
Рис. 3. Цистоскопическая картина малакоплакии мочевого пузыря во время операции: а — Левая боковая стенка, b — задняя стенка
Fig. 3. Cystoscopic picture of malacoplakia of the bladder during surgery: а – left side wall, b – back wall
Выполнена трансуретральная резекция стенки мочевого пузыря с образованиями, получен достаточный объем ткани для гистологического исследования.
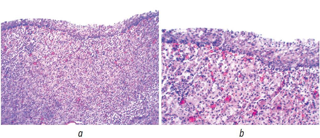
Ранний послеоперационный период протекал без осложнений. Уретральный катетер удален на первые сутки после операции. По результатам гистологического исследования во всех образцах ткани мочевого пузыря, доставленных на исследование, выявлены схожие патоморфологические изменения: в слизистой оболочке диффузно-очаговая инфильтрация крупными клетками типа гистиоцитов округлой, овальной и полигональной формы с пузырьковидными, центрально расположенными ядрами и пенистой цитоплазмой (клетки Ханземанна), с примесью немногочисленных лимфоцитов и гигантских многоядерных клеток. В цитоплазме клеток Ханземанна определяются внутриклеточные базофильные включения (тельца Михаэлиса – Гутмана), которые дают положительную реакцию PAS (Periodic Acid Schiff) при окраске реактивом Шиффа. Со стороны переходного эпителия слизистой оболочки отмечается от умеренной до выраженной атрофия. В целом описанная картина характерна для псевдоопухолевого процесса в слизистой оболочке, редкой формы хронического гранулематозного воспаления — малакоплакии мочевого пузыря. Злокачественного опухолевого роста не выявлено (рис. 4, 5).
Рис. 4. Гистологическая картина малакоплакии мочевого пузыря. Клетки Ханземанна с тельцами Михаэлиса – Гутмана. Окраска гематоксилином и эозином. Увел. ×200 (а), ×400 (b)
Fig. 4. Histological pattern of the malacoplakia of the bladder. Hansemann cells with Michaelis–Gutman bodies. Staining with hematoxylin and eosin. Magnification ×200 (а), ×400 (b)
Рис. 5. Малакоплакия мочевого пузыря. Тельца Михаэлиса – Гутмана. Окраска реактивом Шиффа, ШИК-реакция. Увел. ×400
Fig. 5. Malacoplakia of the bladder. Michaelis–Gutman bodies. Staining with Schiff reagent, PAS-reaction. Magnification ×400
После верификации диагноза проведен трехнедельный курс антибактериальной терапии с назначением препаратов фторхинолонового ряда в малых дозах. Учитывая, что вторым по частоте органом, который поражается малакоплакией, становится кишечник, принято решение о выполнении фиброколоноскопии. По результатам исследования патологии выявлено не было. Пациентка выписана. Проводится динамическое наблюдение.
ОБСУЖДЕНИЕ
Впервые малакоплакия была описана в 1901 г. немецким патологом Давидом Паулем фон Ханземанном, а в следующем году Леонор Михаэлис и Карл Гутман исследовали ее морфологическое строение [1]. Сам термин малакоплакия был предложен в 1903 г. Д.П. фон Ханземанном [2]. В нашей стране первая публикация с описанием малакоплакии мочевого пузыря датирована 1928 г.
Малакоплакию примерно в 4 раза чаще выявляют у женщин, чем у мужчин. Заболеванию подвержены люди разного возраста. Описаны случаи малакоплакии у пациентов в возрасте от 6 нед. до 85 лет [3], однако у детей данное поражение регистрируют крайне редко [4]. В среднем к моменту появления клинических симптомов малакоплакии возраст пациентов составляет 50 лет. Отсутствуют данные о какой-либо расовой предрасположенности к данному заболеванию. Малакоплакия чаще всего поражает мочевыводящие пути. По данным литературы, в 40–44 % случаев малакоплакию выявляют в мочевом пузыре, 12 % — в почках, 8 % — в мочеточнике, 7,5 % — в почечной лоханке, 1,75 % — в лоханочно-мочеточниковом сегменте, 1,5 % — в уретре [5, 6]. Малакоплакия вне мочевыводящих путей впервые была описана в 1958 г. [7]. К настоящему времени имеются сообщения об обнаружении малакоплакии в самых разных органах, чаще всего в желудочно-кишечном тракте. Описаны поражения толстой кишки, желудка, прямой кишки, желчного пузыря, печени, поджелудочной железы, языка, миндалин, кожи, мягких тканей шеи и лица, конъюнктивы, костей скелета, щитовидной железы, трахей, легких, лимфатических узлов, предстательной железы, яичек, вульвы, шейки матки, надпочечников, околоушных желез, брюшины. Есть также сообщения о нескольких случаях поражения структур центральной нервной системы. Большинство из них приходится на младенцев с герпесвирусной инфекцией [8]. У взрослых зарегистрированы 3 случая малакоплакии у пациентов с ишемическим поражением головного мозга.
Этиология, патогенез и патоморфология малакоплакии
Причины развития малакоплакии до конца неясны. Поскольку морфологические характеристики малакоплакии в разных органах сходны, считается, что независимо от локализации патогенез малакоплакии может быть одинаковым. Предложено несколько гипотез патогенеза заболевания. Первая и наиболее распространенная из них — инфекционная, согласно которой определяющая роль в развитии малакоплакии принадлежит бактериальным агентам [9]. Вызванные ими инфекционно-воспалительные процессы способствуют морфологическим изменениям пораженных тканей. В 80 % случаев у пациентов с малакоплакией выявляют Escherichia coli, реже Klebsiella pneumoniae, Rhodococcus equi, Pseudomonas aeruginosa, Staphylococcus aureus, Aerobacter aerogenes, Mycobacterium bovis, Mycobacterium intracellulare, Corynebacterium sp., Proteus spp., Acinetobacter spp., Streptococcus spp. и Enterococcus spp. У больных, получающих химиотерапию, обычно обнаруживают E. coli, а у пациентов с синдромом приобретенного иммунодефицита — R. equi. Согласно второй гипотезе основное значение в патогенезе малакоплакии принадлежит аномальной реакции макрофагов вследствие нарушения лизосомальной функции и снижения бактерицидной активности [10]. Проведенные исследования показали низкое содержание циклического гуанозинмонофосфата (цГМФ) и уменьшение активности β-глюкуронидазы [11]. Эти субстраты влияют на функциональное состояние микротрубочек, которые необходимы для бактериального фагоцитоза и слияния лизосом. Предполагается, что макрофаги при малакоплакии способны к фагоцитозу, но утрачивают способность переваривать бактерии [12]. В результате фаголизосомы с частично лизированными бактериями накапливаются в макрофагах в виде PAS-позитивных гранул, что приводит к образованию так называемых клеток Ханземанна — увеличенных пенистых гистиоцитов с эксцентрическим гиперхроматическим ядром и эозинофильными гранулами. Вышеупомянутые непереваренные бактерии приводят к отложению кальция и железа на остаточном бактериальном гликолипиде. Полученные базофильные структуры, или тельца Михаэлиса – Гутмана, считаются патогномоничными для малакоплакии. Тельца имеют шаровидную форму и небольшое ядро. Цитоплазма телец содержит различные включения: лейкоциты, эритроциты, бактерии и слоистые образования с отложением извести. Исследования ультраструктуры телец показали, что они содержат пластинчатые образования разнообразного кристаллического строения. Гистохимический анализ позволил установить, что полисахаридные и жировые компоненты телец являются производными распавшихся бактериальных клеток. Было доказано, что их состав на 94,6 % органический и на 5,4 % неорганический, причем неорганические компоненты — это кальций, фосфор и железо [13].
Третья возможная причина развития малакоплакии состоит в аномальном или резко измененном иммунном ответе. Описаны случаи малакоплакии у пациентов с аутоиммунными расстройствами, миелодиспластическими синдромами, различными новообразованиями, иммунодефицитными состояниями или при лечении иммуномодулирующими препаратами, чаще всего после трансплантации органов [14]. Также есть сообщения об ассоциации малакоплакии с туберкулезом, саркоидозом, аллергией, цитотоксической химиотерапией, использованием стероидов, злоупотреблением алкоголем, неконтролируемым сахарным диабетом, язвенным колитом и алиментарной недостаточностью [3, 11]. Кроме того, тельца Михаэлиса – Гутмана могут быть обнаружены в моноцитах периферической крови, что предполагает системную проблему, лежащую в основе этого состояния [15]. Подтверждено сосуществование малакоплакии со злокачественными новообразованиями, включая аденокарциному предстательной железы и толстой кишки, папиллярную уротелиальную карциному мочевого пузыря, хронический миелоидный лейкоз и лимфому экстранодальной маргинальной зоны лимфоидной ткани, ассоциированной со слизистой оболочкой — MALT (Mucosa-Associated Lymphoid Tissue), — лимфому мочевого пузыря [16]. Описан только один случай малакоплакии у здорового молодого пациента без каких-либо других сопутствующих заболеваний [11].
В начальной стадии малакоплакия мочевого пузыря представляет собой мягкую, желтовато-коричневую бляшку на слизистой оболочке. Она может медленно, в течение нескольких месяцев, подвергаться обратному развитию. На поздней стадии — приподнятое, от серого до коричневого цвета поражение, различных размеров и форм, чаще от 0,5 до 4,0 см, с центральной вогнутостью по типу «лунного кратера» и периферическим венчиком гиперемии. Могут появляться желтоватые ворсинчатые образования, имитирующие злокачественные или кистозные поражения, заполненные кровяными сгустками и некротическими массами [17]. Иногда они сливаются между собой и изъязвляются. Малакоплакические образования могут быть покрыты неизмененной слизистой, но нередко она атрофична или с признаками воспалительной пролиферации переходного эпителия. Границы этих образований часто нечеткие [18]. Иногда опухолевидное разрастание напоминает ксантогранулему или эктопию коры надпочечника.
Во время цистоскопии бляшки чаще всего распознаются на поздних стадиях. До этого малакоплакические узелки полусферической формы могут имитировать цистоскопическую картину кистозного цистита, а по мере того, как бляшки увеличиваются в размерах, — буллезного цистита. Одиночные бляшки больших размеров могут напоминать опухоль или эндометриоз. Грубый внешний вид зависит от местоположения и в некоторых органах может иметь несколько иные особенности. При правильном лечении заживление завершается без формирования рубцов [19].
Клинические проявления малакоплакии мочевого пузыря
Симптоматика малакоплакии мочевого пузыря неспецифична. Могут иметь место рецидивирующие циститы, эпизодическая макро- и микрогематурия, ургентные позывы к мочеиспусканию, болезненное и учащенное мочеиспускание малыми порциями, боли внизу живота. Заболевание характеризуется упорным хроническим течением.
Постановка диагноза малакоплакии мочевого пузыря весьма затруднена, поскольку заболевание встречается крайне редко, по своей клинической картине сходно с другими распространенными заболеваниями мочевыводящих путей и способно имитировать злокачественную опухоль мочевого пузыря или эндометриоз [20]. Диагностика осуществляется урологом и предполагает проведение комплексного обследования с применением лабораторных и инструментальных методов и обязательного гистологического исследования. Окончательный диагноз малакоплакии может быть поставлен только на основании морфологического исследования, материал для которого может быть получен путем биопсии или резекции стенки мочевого пузыря [21].
В настоящее время нет единых клинических рекомендаций по лечению малакоплакии мочевого пузыря. Ряд авторов используют при малакоплакии антибактериальные препараты фторхинолонового ряда в малых дозах, сульфаниламиды (ко-тримоксазол) и препараты, усиливающие фагоцитоз [22]. При этом отсутствуют данные относительно длительности лечения и ее эффективности.
ЗАКЛЮЧЕНИЕ
Малакоплакия мочевого пузыря, несмотря на свою редкость, представляет интерес для практикующих врачей-урологов, поскольку ее клиническая картина сходна с опухолями мочевого пузыря. Верификация диагноза возможна только по результатам гистологического исследования. Патогномоничными признаками малакоплакии мочевого пузыря считается наличие клеток Ханземанна с тельцами Михаэлиса – Гутмана. В настоящее время отсутствуют клинические рекомендации по лечению данного заболевания. Представленное клиническое наблюдение свидетельствует о необходимости тщательного обследования пациентов с подозрением на опухоли мочевого пузыря с использованием всего арсенала диагностических возможностей.
ДОПОЛНИТЕЛЬНАЯ ИНФОРМАЦИЯ
Вклад авторов. Все авторы внесли существенный вклад в разработку концепции, проведение исследования и подготовку статьи, прочли и одобрили финальную версию перед публикацией.
Конфликт интересов. Авторы декларируют отсутствие явных и потенциальных конфликтов интересов, связанных с публикацией настоящей статьи.
Источник финансирования. Авторы заявляют об отсутствии внешнего финансирования при проведении исследования.
Информированное согласие на публикацию. Авторы получили письменное согласие пациента на публикацию медицинских данных и фотографий.
Об авторах
Ольга Юрьевна Барышева
Петрозаводский государственный университет; Республиканская больница им. В.А. Баранова
Email: hosptherapy@mail.ru
ORCID iD: 0000-0002-2133-4849
SPIN-код: 4896-5434
д-р мед. наук, профессор кафедры госпитальной терапии, заведующая нефрологическим отделением
Россия, 185019, Республика Карелия, Петрозаводск, ул. Пирогова, д. 3; ПетрозаводскРуслан Николаевич Симанов
Петрозаводский государственный университет; Республиканская больница им. В.А. Баранова
Email: Ruslansimanov@yandex.ru
ORCID iD: 0000-0003-1246-7233
SPIN-код: 3747-8245
аспирант кафедры госпитальной терапии, врач-уролог
Россия, 185019, Республика Карелия, Петрозаводск, ул. Пирогова, д. 3; ПетрозаводскАндрей Викторович Букалев
Республиканская больница им. В.А. Баранова
Автор, ответственный за переписку.
Email: Dr.max-andy@yandex.ru
ORCID iD: 0000-0003-2080-3057
SPIN-код: 1230-2277
канд. мед. наук, врач-патологоанатом
Россия, 185019, Республика Карелия, Петрозаводск, ул. Пирогова, д. 3Список литературы
- Michaelis I., Gutmann C. Uber Einschlusse in Blasentumoren // Z Klin Med. 1902. No. 47. P. 208–215.
- Лелявин К.Б., Зайцева Л.В., Раевская Л.Ю., Лелявина А.К. Малакоплакия мочевого пузыря, имитирующая опухоль: клинический случай и обзор литературы // Медико-фармацевтический журнал «Пульс». 2021. Т. 23, № 7. С. 121–128. doi: 10.26787/nydha-2686-6838-2021-23-7-121-128
- Yousef G.M., Naghibi B. Malakoplakia outside the urinary tract // Arch Pathol Lab Med. 2007. Vol. 131, No. 2. P. 297–300. doi: 10.5858/2007-131-297-MOTUT
- Minor L., Lindgren B.W. Malacoplakia of the bladder in a 16-year-old girl // J Urol. 2003. Vol. 170, No. 2. P. 568–589. doi: 10.1097/01.ju.0000071475.79104.98
- Wielenberg A.J., Demos T.C., Rangachari B., Turk T. Malacoplakia presenting as a solitary renal mass // AJR Am J Roentgenol. 2004. Vol. 183, No. 6. P. 1703–1705. doi: 10.2214/ajr.183.6.01831703
- Sloane B.B., Figueroa T.E., Ferguson D., Moon T.D. Malacoplakia of the urethra // J Urol. 1988. Vol. 139, No. 6. P. 1300–1301. doi: 10.1016/s0022-5347(17)42900-4
- Scott E.V., Scott W.F. Jr. A fatal case of malakoplakia of the urinary tract // J Urol. 1958. Vol. 79, No. 1. P. 52–56. doi: 10.1016/s0022-5347(17)66233-5
- Volk E., Parker J.C. Jr., Tepper S. Cerebral malakoplakia associated with neonatal herpes virus infection // Ann Clin Lab Sci. 1992. Vol. 22, No. 5. P. 300–306.
- Gustavo L.C., Robert M.E., Lamps L.W., et al. Isolated gastric malakoplakia: a case report and review of the literature // Arch Pathol Lab Med. 2004. Vol. 128, No. 11. P. e153–156. doi: 10.5858/2004-128-e153-IGMACR
- Graves A.L., Texler M., Manning L., Kulkarni H. Successful treatment of renal allograft and bladder malakoplakia with minimization of immunosuppression and prolonged antibiotic therapy // Nephrology (Carlton). 2014. Vol. 19, No. S1. P. 18–21. doi: 10.1111/nep.12194
- Hyun K.H., Shin H.D., Kim D.H. Malakoplakia in a healthy young female patient // Korean J Intern Med. 2013. Vol. 28, No. 4. P. 475–480. doi: 10.3904/kjim.2013.28.4.475
- Lou T.Y., Teplitz C. Malakoplakia: pathogenesis and ultrastructural morphogenesis. A problem of altered macrophage (phagolysosomal) response // Hum Pathol. 1974. Vol. 5, No. 2. P. 191–207. doi: 10.1016/s0046-8177(74)80066-3
- Govender D., Essa A.S. Malakoplakia and tuberculosis // Pathology. 1999. Vol. 31, No. 3. P. 280–283. doi: 10.1080/003130299105160
- Puerto I.M., Mojarrieta J.C., Martinez I.B., Navarro S. Renal malakoplakia as a pseudotumoral lesion in a renal transplant patient: a case report // Int J Urol. 2007. Vol. 14, No. 7. P. 655–657. doi: 10.1111/j.1442-2042.2007.01804.x
- Leão C.A., Duarte M.I., Gamba C., et al. Malakoplakia after renal transplantation in the current era of immunosuppressive therapy: case report and literature review // Transpl Infect Dis. 2012. Vol. 14, No. 6. P. E137–E141. doi: 10.1111/tid.12012
- Darvishian F., Teichberg S., Meyersfield S., Urmacher C.D. Concurrent malakoplakia and papillary urothelial carcinoma of the urinary bladder // Ann Clin Lab Sci. 2001. Vol. 31, No. 2. P. 147–150.
- Purnell S.D., Davis B., Burch-Smith R., Coleman P. Renal malakoplakia mimicking a malignant renal carcinoma: a patient case with literature review // BMJ Case Rep. 2015. Vol. 2015. ID bcr2014208652. doi: 10.1136/bcr-2014-208652
- Esparza A.R., McKay D.B., Cronan J.J., Chazan J.A. Renal parenchymal malakoplakia. Histologic spectrum and its relationship to megalocytic interstitial nephritis and xanthogranulomatous pyelonephritis // Am J Surg Pathol. 1989. Vol. 13, No. 3. P. 225–236. doi: 10.1097/00000478-198903000-00008
- Самсонов В.А. Опухоли мочевого пузыря. Патологическая анатомия и гистологическая диагностика. Москва: Медицина, 1978. 170 с.
- Dong H., Dawes S., Philip J., et al. Malakoplakia of the Urogenital Tract // Urol Case Rep. 2014. Vol. 3, No. 1. P. 6–8. doi: 10.1016/j.eucr.2014.10.002
- Cięszczyk K., Puderecki M., Wronecki L., et al. Malakoplakia of the urinary system // Folia Med Cracov. 2019. Vol. 59. No. 2. P. 67–74.
- Kayembe B., Sohawon S., Duttmann R., et al. Coexistence of renal malakoplakia and myelodysplastic syndrome // Intern Med J. 2012. Vol. 42, No. 4. P. e27–e29. doi: 10.1111/j.1445-5994.2011.02692.x
Дополнительные файлы







