Clinical and laboratory profile of hereditary spherocytosis
- Authors: Asatryan T.T.1, Zenina M.N.2, Chernysh N.Y.3, Gaikovaya L.B.1
-
Affiliations:
- North-Western State Medical University named after I.I. Mechnikov
- Russian Research Institute of Hematology and Transfusiology
- Almazov National Medical Research Center
- Issue: Vol 11, No 1 (2019)
- Pages: 65-72
- Section: Reviews
- Submitted: 17.12.2018
- Accepted: 19.12.2018
- Published: 25.04.2019
- URL: https://journals.eco-vector.com/vszgmu/article/view/10724
- DOI: https://doi.org/10.17816/mechnikov201911165-72
- ID: 10724
Cite item
Full Text
Abstract
Diagnostics of hereditary spherocytosis is usually based on clinical picture, family history and laboratory tests. The list of laboratory tests includes osmotic fragility test, a glycerol lysis test, an eosin-5-maleimide binding test and others. None of the following methods identify all cases of hereditary spherocytosis.
The article discusses the problems of diagnosing congenital microspherocytic anemia and provides the detailed analysis of informational value of various research methods and their significance.
Full Text
Наследственный сфероцитоз (НС, по МКБ 10 — D58.0) — это наследственное заболевание, связанное с дефектом белков мембраны эритроцита, сопровождающееся развитием гемолитической анемии различной степени тяжести [1].
Впервые НС был описан в 1871 г. бельгийскими врачами С. Vanlair и J. Masius как случай гемолитической анемии. У пациента наблюдались желтуха, выраженная спленомегалия, острые боли в верхней части живота, анемия с наличием мелких красных сферичных глобул, которые они назвали «микросфероциты» [2]. O. Minkowski ассоциировал наличие анемии с уробилинурией и спленомегалией и предположил, что усиленное разрушение эритроцитов объясняется поражением селезенки. Таким образом, признание желтухи как процесса, связанного с гемолитической анемией, приписывают O. Minkowski [3]. В начале XX в. немецкий врач A. Chauffard независимо от O. Minkowski описал врожденную гемолитическую анемию и отметил снижение осмотической резистентности эритроцитов, а также наличие уробилинурии и спленомегалии [2]. В первом десятилетии ХХ в. A. Chauffard доказал снижение осмотической резистентности эритроцитов в гипотонических растворах хлорида натрия у пациентов с врожденной желтухой, в то время как у здоровых лиц такого явления не отмечалось. Наблюдения обоих авторов привели к тому, что впоследствии НС был назван анемией Минковского – Шоффара [4].
При НС уменьшается поверхность эритроцита по отношению к его объему, это приводит к тому, что эритроцит становится сферичным и теряет свою деформабельность [5].
НС наследуется по аутосомно-доминантному типу в 75 % случаев (мутации в генах, кодирующих анкирин, спектрин и белок полосы 3). Аутосомно-рецессивно наследуемые мутации в гене, кодирующем альфа-спектрин, либо белок полосы 4.2 и мутации, возникшие de novo, составляют 25 % случаев. Больные с не доминантным НС представляют собой большую проблему при генетическом консультировании [6].
Тяжесть заболевания определяется генетически унаследованным типом повреждения мембраны эритроцитов и количеством микросфероцитов в крови. Макрофаги селезенки селективно захватывают микросфероциты, что приводит к сокращению продолжительности их жизни до 70–80 дней. Степень тяжести гемолиза у различных пациентов варьирует и может осложниться инфекцией [1].
Эпидемиология микросфероцитоза
НС встречается во всех этнических и расовых группах [7]. В Северной Европе НС является самой распространенной причиной наследственной гемолитической анемии и встречается с частотой 1 : 2500, в США — с частотой 1 : 5000 [8]. Частота встречаемости НС среди африканцев и жителей Юго-Восточной Азии особенно низкая [9]. Распространенность НС в других популяциях изучена недостаточно [7].
Патогенез
На билипидном слое цитоплазматической мембраны расположен белковый слой цитоскелета эритроцита, представленный в основном спектрином, который связан с белком 4.1 и актином [10].
Молекула белка полосы 3 имеет три домена: N-терминальный домен, гидрофобный трансмембранный домен и С-терминальный домен. В норме N-терминальный домен связан с белком полосы 4.2 и гемоглобином; гидрофобный трансмембранный домен формирует комплекс с RH-ассоциированными белками; С-терминальный домен имеет участок для связывания карбоангидразы II. Гликофорин С и гликофорин А также ассоциированы с белком полосы 3 и участвуют в стабилизации мембраны.
Таким образом, дефицит или дисфункция любого из этих белков приводит к нарушению морфологии эритроцита. Эритроцит превращается в микросфероцит, представляющий собой эритроцит шарообразной формы, имеющий маленький диаметр (6,2–6,7 мкм), при этом объем микросфероцита остается в пределах нормы [11, 12].
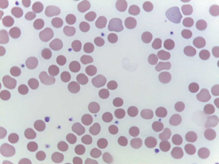
В мазке периферической крови микросфероциты имеют вид мелких клеток без центрального просветления (рис. 1).
Рис. 1. Мазок периферической крови пациента с наследственным сфероцитозом. Окраска по Романовскому – Гимзе (× 1000)
Fig. 1. Peripheral blood smear of the patient with hereditary spherocytosis. Staining according to Romanovsky-Giemsa (× 1000)
Микросфероциты избирательно захватываются и разрушаются селезенкой, что играет ключевую роль в клинических проявлениях этого заболевания [13].
Клинические проявления
Клиническая картина НС очень разнообразна. Заболевание проявляется в любой период жизни, чаще это происходит в детстве или подростковом возрасте под влиянием провоцирующих факторов, таких как перенесенная инфекция, переохлаждение, хирургическое вмешательство, беременность и т. д. [13].
Для НС характерно хроническое течение: периоды ремиссии сменяются периодами гемолитического криза. Отсюда складывается клиническая картина НС — классическая «триада» симптомов: желтуха, спленомегалия и анемия [14, 15]. При тяжелом течении заболевания у пациентов с детства формируются типичные для НС внешние признаки: башенная форма черепа, седловидный нос, изменение расположения зубов, высокое нёбо, микрофтальм, которые не всегда наблюдаются одновременно [16].
Повышенная температура, болезненность селезенки при пальпации и ее увеличение возникают на фоне постоянного гемолиза [17]. Частым осложнением является желчнокаменная болезнь из-за образования билирубиновых камней в желчном пузыре и в желчных протоках.
Выявление микросфероцитов, большого числа ретикулоцитов и билирубинемии за счет фракции непрямого билирубина наводит на мысль о наличие НС. При отсутствии микросфероцитов и ретикулоцитоза в периферической крови нельзя полностью исключить НС с бессимптомным течением [5].
У некоторых детей с НС в младенчестве диагностируют гемолитическую болезнь новорожденных, им показана фототерапия как основной метод лечения [18, 19]. Младенцам, страдающим тяжелой формой НС, при наличии анемии в течение первых нескольких недель жизни может потребоваться переливание крови. Большинство таких детей остаются трансфузионно зависимыми [15, 20].
Чаще всего у пациентов с легкой или средней степенью тяжести НС наблюдается компенсированный гемолиз с легко или умеренно выраженной анемией либо без нее. Пациенты предъявляют жалобы на усталость, быструю утомляемость и бледность [21]. Это могут быть пациенты как с доминантными, так и с рецессивными формами НС. Тяжело болеющие пациенты становятся трансфузионно зависимыми. У них существует высокий риск развития осложнений, связанных с переливанием крови или перенасыщением организма железом [22].
Лабораторная диагностика наследственного сфероцитоза
В классических случаях постановка диагноза НС не вызывает сложностей. Она основывается на клинической картине, данных лабораторных и инструментальных методов диагностики и семейного анамнеза. Необходимо исключить другие причины гемолиза, в частности аутоиммунную гемолитическую анемию, дисэритропоэтическую анемию типа II (CDA II).
Лабораторные данные характеризуются нормохромной микросфероцитарной анемией различной степени выраженности. При просмотре окрашенного мазка периферической крови обнаруживают микросфероциты. Индекс сферичности эритроцитов снижен. Чаще всего сложности в интерпретации результатов возникают при атипичных, вялотекущих, компенсированных формах НС, при сочетании НС с другими заболеваниями, например, с синдромом Жильбера [23–25], гемолитической анемией, вызванной недостаточностью фермента глюкозо-6-фосфатдегидрогеназы [25], и т. д.
Для лабораторной диагностики НС применяют следующие методы:
1) клинический анализ крови с морфологической оценкой эритроцитов, расчетом эритроцитарных параметров и подсчетом количества ретикулоцитов;
2) расчет морфометрических параметров эритроцитов;
3) биохимический анализ крови (определение уровня билирубина в сыворотке, минимальной и максимальной осмотической резистентности эритроцитов, глицериновый тест на определение скорости лизиса эритроцитов, электрофорез мембранных белков);
4) тест с использованием флуоресцентного красителя эозин-5-малеимида (ЭМА-тест);
5) эктацитометрия.
Клинический анализ крови. При НС почти у всех пациентов выявляют анемию различной степени выраженности. Средний объем эритроцитов (MCV) остается в пределах нормы. У большинства пациентов вследствие клеточной дегидратации показатель средней концентрации гемоглобина в эритроците (MCHC) повышен (≥345 г/л), индекс ширины распределения эритроцитов по объему (RDW) повышен (>14 %) [26]. При изучении расчетных данных, полученных при помощи гематологических анализаторов, можно заподозрить наличие у пациента НС [27, 28]. Некоторые авторы исследовали чувствительность показателей MCHC и RDW [29], а также рассчитанных на их основе соотношений Hb/MCHC, Hb/RDW и MCHC/RDW [30]. Чувствительность и специфичность этих параметров у авторов различаются.
Некоторые автоматические гематологические анализаторы измеряют концентрацию гемоглобина в отдельных эритроцитах. Увеличение числа плотных дегидратированных клеток позволяет идентифицировать всех пациентов с НС без проведения дополнительных лабораторных исследований, особенно когда известно, что один из членов семьи уже болен [27]. Такие анализаторы не доступны большинству лабораторий, поэтому до сих пор для выявления микросфероцитов в периферической крови наиболее часто применяют микроскопию окрашенного мазка.
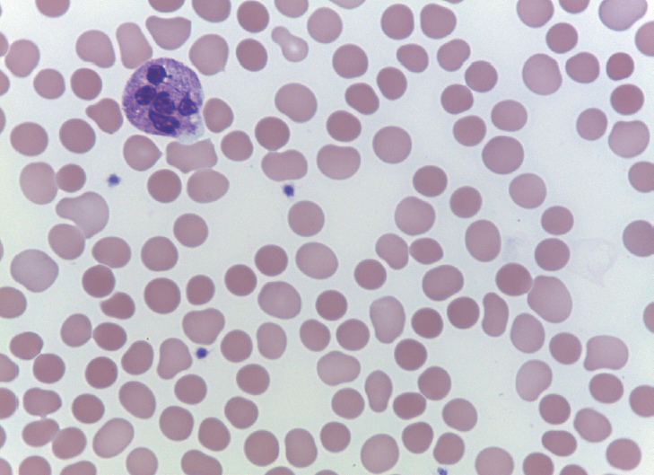
При микроскопии мазка периферической крови у пациентов с НС обнаруживают микросфероциты, которые являются отличительной, но не диагностической чертой данного заболевания (рис. 2). Их количество варьирует от единичных до многочисленных [13]. У некоторых больных со специфической аномалией мембранных белков выявляют шизоциты (дефект белка полосы 3) или акантоциты (дефект β-спектрина). При просмотре мазка периферической крови врач отмечает наличие анизоцитоза в полуколичественной форме: в виде балльной системы (1+, 2+, 3+) или словесного описания (легкий, умеренный или выраженный анизоцитоз эритроцитов), что недостаточно для постановки диагноза. Данный метод описания носит субъективный характер и зависит от опыта врача и качества приготовления мазка [31].
Рис. 2. Морфология микросфероцитов в мазке периферической крови пациента с наследственным сфероцитозом. Окраска по Романовскому – Гимзе (× 1000)
Fig. 2. The morphology of microspherocytes in a peripheral blood smear of the patient with hereditary spherocytosis. Staining according to Romanovsky-Giemsa (× 1000)
Необходимо учитывать, что существуют и другие причины появления микросфероцитов в периферической крови, такие как аутоиммунная гемолитическая анемия, микроангиопатическая гемолитическая анемия, реакция на переливание крови, ожоговая болезнь, некоторые заболевания печени, наследственный пиропойкилоцитоз, клостридиальный сепсис, отравление ядом некоторых змей, пауков и т. д. [32].
Как известно, в период гемолитического криза у больных НС количество ретикулоцитов резко возрастает и может достигать 16 %, а в периоды ремиссии приближается к нормальным значениям. Данные анализа периферической крови и количество ретикулоцитов могут позволить заподозрить диагноз НС, но не подтвердить его. В настоящее время ведется изучение ретикулоцитарных параметров (средний объем ретикулоцитов MRV, незрелая ретикулоцитарная фракция IRF) у пациентов с НС для использования их в качестве скрининг-метода (рис. 3) [33].
Рис. 3. Ретикулоциты пациента с наследственным сфероцитозом, окрашенные суправитальной методикой бриллиантовым крезиловым синим (× 1000)
Fig. 3. Reticulocytes of the patient with hereditary spherocytosis stained with a supravital technique of diamond cresyl blue (× 1000)
Расчет морфометрических параметров эритроцитов. Наиболее информативным методом описания морфологически измененных форм эритроцитов является количественная оценка морфологических параметров эритроцитов: средний диаметр эритроцитов (СДЭ, или Dэр, мкм), толщина эритроцитов (Тэр, мкм) и индекс сферичности (Rсф). Оценка этих параметров эритроцитов классическим микроскопическим методом представляет собой чрезвычайно трудоемкую процедуру, требующую измерения с помощью окуляра-микрометра параметров эритроцитов в окрашенных препаратах крови [31]. Для стандартизации условий измерения используют аппаратно-программный комплекс (АПК), состоящий из микроскопа, цифровой цветной камеры высокого разрешения, компьютера с периферийными устройствами и программного обеспечения с набором методик. На сегодняшний день лаборатории не оснащены подобного типа АПК и данная методика не имеет широкого применения [34].
Исследование уровня билирубина в сыворотке. У больных отмечаются повышение уровня непрямого билирубина, гипогаптоглобулинемия, степень выраженности которых зависит от интенсивности гемолиза. В период гемолитического криза концентрация билирубина в сыворотке крови увеличивается в 5 раз и более по сравнению с нормальными значениями, а в период ремиссии или при компенсированном гемолизе — приближается к референтным значениям [35].
Тест на осмотическую резистентность эритроцитов (ОРЭ), оценивающий лизис эритроцитов в условиях in vitro под действием гипотонических растворов, используют в диагностике НС как дополнительное исследование, помогающее подтвердить диагноз. В связи с уменьшением соотношения площади мембраны эритроцита и его объема микросфероциты не способны выдерживать поступление воды в клетку при воздействии на них гипотоническими солевыми растворами, поэтому подвергаются гемолизу быстрее нормальных эритроцитов в солевых растворах [36].
Примерно у 25 % больных наследственным сфероцитозом ОРЭ свежей крови остается в пределах нормы. Патологические результаты ОРЭ могут определяться при различных физиологических и патологических состояниях организма, например, после хирургических вмешательств, на фоне лечения некоторыми препаратами, при беременности и т. д. [8]. Данный тест обладает низкими чувствительностью и специфичностью, является очень трудоемким, длительным в исполнении и не подходит для использования в лабораториях в качестве рутинного исследования.
Глицериновый тест на определение скорости лизиса эритроцитов. В 1974 г. E. Готфрид и Н. Робертсон предложили количественный метод оценки осмотической резистентности эритроцитов под действием глицеринового буфера. Это однопробирочный тест для определения времени, за которое происходит до 50 % гемолиза образца крови в буферной гипотонической глицериново-солевой смеси. Принцип действия заключается в том, что глицерин, находящийся в гипотоническом буферном солевом растворе, уменьшает скорость вхождения молекул воды в эритроциты. О скорости гемолиза эритроцитов судят по снижению оптической плотности реакционной смеси. Для выполнения данного теста не требуется специального оборудования, достаточно спектрофотометра, оснащенного линейно-логарифмическим самописцем, либо колориметра и секундомера. Данную методику можно применять как у взрослых, так и у новорожденных, так как для ее осуществления необходим небольшой объем крови (20 мкл) [37]. Как и тест на ОРЭ, данное исследование дает возможность отличить сфероциты от нормальных эритроцитов, но не позволяет установить причину сфероцитоза. Укорочение времени гемолиза эритроцитов, так же как сниженная ОРЭ, может наблюдаться при различных физиологических и патологических состояниях, таких как онкологические заболевания, хронические заболевания почек, беременность и т. д. [8].
Для постановки диагноза в нетипично протекающих случаях НС используют количественное определение мембранных белков эритроцитов при помощи SDS-PAGE электрофореза по Лэммли. Электрофорез помогает выявить аномалии эритроцитов в 70–80 % случаев. Метод доступен лишь специализированным лабораториям, так как он требует высокой точности исполнения, а интерпретация результатов может вызывать сложности [5].
Тест на связывание красителя эозин-5-малеимида (метод проточной цитометрии) на сегодняшний день является наиболее информативным. Он основан на оценке интенсивности флюоресценции, которую определяют по количеству связанных с красителем эозин-5-малеимидом мембранных белков: белка полосы 3 и RH-ассоциированных белков. Дефицит белка полосы 3 и связанных с ним мембранных белков приводит к уменьшению флюоресценции, как правило, до 65 % от нормы. Несмотря на то что дефект белка полосы 3 обнаруживают у 25 % больных наследственным сфероцитозом, уменьшение флюоресценции наблюдается также в случаях с дефицитом анкирина и спектрина за счет нарушения передачи сигнала через мембрану, что влияет на связывание эозин-5-малеимида с белком полосы 3. ЭМА-тест обладает достаточными специфичностью и чувствительностью в качестве дополнительного метода диагностики НС (97 и 98 % соответственно). Данный тест не коррелирует со степенью тяжести заболевания [38]. Однако интенсивность свечения красителя эозин-5-малеимида может быть снижена и при других заболеваниях, которые сопровождаются наличием морфологически измененных эритроцитов, например при серповидноклеточной анемии и т. д.
Наиболее точно определить степень деформабельности эритроцитов можно при помощи метода эктацитометрии, в основе которого лежит измерение степени деформации эритроцита под действием силы трения, возникающей при сдвиговом потоке жидкости. Суть метода состоит в следующем: между стенками двух стаканов эктацитометра заливают суспензию эритроцитов. Один из этих стаканов остается неподвижным, а второй вращается с заданной скоростью, и вследствие создающегося трения эритроциты вытягиваются [39]. Суспензию просвечивают лазерным пучком и наблюдают картину рассеяния света на эритроцитах [40]. Этот метод используют лишь в специализированных лабораториях, так как он трудоемок и для проведения анализа необходимо специальное оборудование.
Несмотря на совершенствование различных методов оценки эритроцитов, трудности в диагностике НС по-прежнему сохраняются, о чем свидетельствует большое количество недавно появившихся публикаций, посвященных разработке алгоритмов и подходов к выявлению НС [23].
Заключение
НС служит самой распространенной причиной гемолиза у пациентов в Северной Европе и США [8]. При латентном течении НС возникают трудности в диагностике, поскольку результаты исследований могут находиться в пределах возрастной нормы либо попадать в интервал между нормальными и типичными для НС значениями. Существующие лабораторные методы не обладают необходимыми чувствительностью и специфичностью. По этой причине одним из перспективных направлений в изучении НС является исследование новых чувствительных и специфичных методов и разработка клинико-лабораторного алгоритма его диагностики. До сих пор не определен общий подход к диагностике микросфероцитозов и отсутствуют программы скрининга, что затрудняет раннюю диагностику и лечение этой категории пациентов.
Увеличение доли пациентов с микросфероцитозами, недостаточное знакомство практикующих врачей с данной проблемой, сложности, возникающие при дифференциальной диагностике, а также отсутствие руководств по выявлению НС обусловливают необходимость изучения данной проблемы с целью разработки новых лабораторных подходов к раннему выявлению пациентов с аномалиями белкового состава мембран эритроцитов.
На наш взгляд, для формирования современного подхода к диагностике НС необходимо решить ряд задач, в том числе оценить чувствительность и специфичность основных лабораторных маркеров НС, изучить возможности современных систем для выявления этого заболевания на этапе первичного скрининга.
Не вызывает сомнений, что разработка алгоритма диагностики НС с использованием набора современных лабораторных маркеров позволит обогатить как теоретическую, так и практическую медицину.
About the authors
Tatevik T. Asatryan
North-Western State Medical University named after I.I. Mechnikov
Author for correspondence.
Email: tatevik.asatryan@szgmu.ru
ORCID iD: 0000-0002-9146-3080
SPIN-code: 5587-1360
postgraduate student, Department of Clinical Laboratory Diafnosis
Russian Federation, 41, Kirochnaya street, Saint-Petersburg, 191015Marina N. Zenina
Russian Research Institute of Hematology and Transfusiology
Email: mari_ng@bk.ru
SPIN-code: 3580-9167
assistant of the department Nataliya Yu. Chernysh
Almazov National Medical Research Center
Email: nycher@mail.ru
ORCID iD: 0000-0002-3800-2680
SPIN-code: 6801-3813
PhD., Associate Professor of the Department of Clinical Laboratory Diafnosis
Russian Federation, 197341, St. Petersburg Akkuratova str. 2Larisa B. Gaikovaya
North-Western State Medical University named after I.I. Mechnikov
Email: largaykovaya@yandex.ru
ORCID iD: 0000-0003-1000-1114
SPIN-code: 9424-1076
Scopus Author ID: 57195760287
Professor, Head of the Department of Biological and General ChemistryRussian Federation, 41, Kirochnaya street, Saint-Petersburg, 191015
References
- Gallagher PG. Abnormalities of the erythrocyte membrane. Pediatr Clin North Am. 2013;60(6):1349-62. https://doi.org/10.1016/j.pcl.2013.09.001.
- Vanlair CF, Masius JB. De la microcythémie. Bull Acad R Méd Belg. 1871;5(3):515-613.
- Petz LD, Garratty G. Immune Hemolytic Anemias. 2nd ed. Philadelphia: Churchill Livingstone; 2004. P. 1-31.
- Kar R, Rao S, Srinivas U, et al. Clinico-hematological profile of hereditary spherocytosis: experience from a tertiary care center in North India. Hematology. 2009;14(3):164-167. https://doi.org/10.1179/102453309X402278.
- King MJ, Zanella A. Hereditary red cell membrane disorders and laboratory diagnostic testing. International Journal of Laboratory Hematology. 2013;35:237-43. https://doi.org/10.1111/ijlh.12070.
- de Alarcón PA, Werner EJ, Christensen RD, et al. Al. Neonatal Hematology. 2nd ed. Cambridge: Cambridge University Press; 2005. P. 132-62. https://doi.org/10.1017/CBO9780511545306.
- Мицура Е.Ф. Наследственный сфероцитоз у детей: современные представления (обзор литературы) // Проблемы здоровья и экологии. – 2011. – Т. 28. – № 2. – С. 39–44. [Mitsura EF. Hereditary spherocytosis in children: modern conception (literature review). Problemy zdorovya i ekologii. 2011;28(2):39-44. (In Russ.)]
- Bolton-Maggs PH, Langer JC, Iolascon A, et al. Guidelines for the diagnosis and management of hereditary spherocytosis. Br J Haematol. 2011;156:37-49. https://doi.org/10.1111/j.1365-2141.2011.08921.
- Gallagher PG. Abnormalities of the erythrocyte membrane. Pediatr Clin North Am. 2013;60(6):1349-62. https://doi.org/10.1016/j.pcl.2013.09.001.
- Anong WA, Franco T, Chu H, et al. Adducin forms a bridge between the erythrocyte membrane and its cytoskeleton and regulates membrane cohesion. Blood. 2009;114:1904-1912. https://doi.org/10.1182/blood-2009-02-203216.
- Кассирский И.А., Алексеев Г.А. Клиническая гематология. – М.: Медицина, 1970. [Kassirskiy IA, Alekseev GA. Klinicheskaya gematologiya. Moscow: Meditsina; 1970. (In Russ.)]
- Safeukui I, Buffet PA, Deplaine G, et al. Quantitative assessment of sensing and sequestration of spherocytic erythrocytes by the human spleen. Blood. 2012;120:424-30. https://doi.org/10.1182/blood-2012-01-404103.
- Mariani M, Barcellini W, Vercellati C, et al. Clinical and hematologic features of 300 patients affected by hereditary spherocytosis grouped according to the type of the membrane protein defect. Haematologica. 2008;93(9):1310-7. https://doi.org/10.3324/haematol.12546.
- Eber S, Lux SE. Hereditary spherocytosis — defects in proteins that connect the membrane skeleton to the lipid bilayer. Semin Hematol. 2004;41:118-41.
- Кувшинников В.А., Захаревич В.И. Диагностика и современные подходы к лечению наследственной сфероцитарной гемолитической анемии Минковского – Шоффара у детей // Медицинский журнал. – 2013. – № 4. – С. 17–21. [Kuvshinnikov VA, Zakharevich VI. diagnostics and modern approaches to the treatment hereditary spherocytosis in children. Medical Journal. 2013;(4):17-21. (In Russ.)]
- Луговская С.А, Почтарь М.Е. Гематологический атлас. – М.: Триада, 2004. [Lugovskaya SA, Pochtar’ ME. Gematologicheskiy atlas. Moscow: Triada; 2004. (In Russ).]
- Tamary H, Aviner S, Freud E, et al. High incidence of early cholelithiasis detected by ultrasonography in children and young adults with hereditary spherocytosis. J Pediatr Hematol Oncol. 2003;25:952-954. https://doi.org/10.1007/s12288-014-0379-z.
- Delhommeau F, Cynober T, Schischmanoff PO, et al. Natural history of hereditary spherocytosis during the first year of life. Blood. 2000;95:393-7.
- Christensen RD, Henry E. Hereditary spherocytosis in neonates with hyperbilirubinemia. Pediatrics. 2010;125:120-5. https://doi.org/10.1542/peds.2009-0864
- Delaunay J, Nouyrigat V, Proust A, et al. Different impacts of alleles alphaLEPRA and alphaLELY as assessed versus a novel, virtually null allele of the SPTA1 gene in trans. Br J Haematol. 2004;127:118-22. https://doi.org/10.1182/blood-2005-05-1813.
- Ribeiro ML, Alloisio N, Almeida H, et al. Severe hereditary spherocytosis and distal renal tubular acidosis associated with the total absence of band 3. Blood. 2000;96:1602-4.
- Rocha S, Costa E, Catarino C, et al. Erythropoietin levels in the different clinical forms of hereditary spherocytosis. Br J Haematol. 2005;131:534-42. https://doi.org/10.1111/j.1365-2141.2005.05802.x.
- Lee JH, Moon KR. Coexistence of gilbert syndrome and hereditary spherocytosis in a child presenting with extreme jaundice. Pediatr Gastroenterol Hepatol Nutr. 2014;17(4):266-269. https://doi.org/10.3350/kjhep.2010.16.3.321.
- Rawa K, Adamowicz-Salach A, Matysiak M, et al. Coexistence of Gilbert syndrome with hereditary haemolytic anaemias. J Clin Pathol. 2012;65. https://doi.org/10.1136/jclinpath-2011-200580(7):663- 665.
- Prabhakar S, Kedar Roshan B, Colah Kanjaksha Ghosh Dipika Mohanty. Hereditary spherocytosis in association with severe G6PD deficiency: report of an unusual case. Clinica Chimica Acta. 2004;344(1-2):221-224. https://doi.org/10.1016/j.cccn.2004.02.021.
- Brugnara C, Mohandas N. Red cell indices in classification and treatment of anemias: from M.M. Wintrobes’s original 1934 classification to the third millennium. Curr Opin Hematol. 2013; 20:222-30. https://doi.org/10.1097/MOH.0b013e32835f5933.
- Kutter D, Coulon N, Stirn F, et al. Demonstration and quantification of “hyperchromic” erythrocytes by haematological analysers. Clin Lab. 2002;48:163-170.
- Urrechaga E, Borque L, Escanero JF. The role of automated measurement of RBC subpopulations in differential diagnosis of microcytic anemia and β-thalassemia screening. Am J Clin Pathol. 2011;135:374-379. https://doi.org/10.1309/AJCPJRH1I0XTNFGA.
- Eberle SE, Sciuccati G, Bonduel M, et al. Erythrocyte indexes in hereditary spherocytosis. Medicina (B Aires). 2007;67:698-700. (In Spanish).
- Rocha S, Costa E, Rocha-Pereira P, et al. Complementary markers for the clinical severity classification of hereditary spherocytosis in unsplenectomized patients. Blood Cells Mol Dis. 2011;46:166-70. https://doi.org/10.1016/j.bcmd.2010.11.001.
- Зенина М.Н., Козлов А.В., Бессмельцев С.С., Котова Т.Н. Морфометрический анализ в диагностике врожденных микросфероцитозов // www.medline.ru. – 2011. – Т. 12. [Zenina MN, Kozlov AV, Bessmeltsev SS, Kotova TN. morphometric analysis in the diagnosis of congenital microspherocytosis. www.medline.ru. 2011;12. (In Russ.)]
- Yawata Y, Kanzaki A, Yawata A, et al. Characteristic features of the genotype and phenotype of hereditary spherocytosis in the Japanese population. Int J Hematol. 2000;71:118-135.
- Lazarova E, Pradier O, Cotton F, et al. Automated reticulocyte parameters for hereditary spherocytosis screening. Ann Hematol. 2014;93(11):1809-18. https://doi.org/10.1007/s00277-014-2127-8.
- Зенина М.Н., Бессмельцев С.С., Козлов А.В, Черныш Н.Ю. Морфометрические показатели эритроцитов // www.medline.ru. – 2015 – Т. 16. [Zenina MN, Bessmeltsev SS, Kozlov AV, Chernysh NY. Morphometric parameters of erythrocytes. www.medline.ru. 2015;16. (In Russ.)]
- Колоколов Г.Р., Герасина Е.В., Ананьев О.Л., и др. Анализы. Полный справочник. – М.: Эксмо, 2008. – C. 497–499. [Kolokolov GR, Gerasina EV, Anan’ev OL, et al. Analizy. Polnyy spravochnik. Moscow: Eksmo; 2008. (In Russ.)]
- Кишкун А.А. Руководство по лабораторным методам диагностики. – М.: ГЭОТАР-Медиа, 2007. – C. 468–680. [Kishkun AA. Rukovodstvo po laboratornym metodam diagnostiki. Moscow: GEOTAR-Media; 2008. (In Russ.)]
- Zanella A, Izzo C, Rebulla P, et al. Acidified glycerol lysis test: a screening test for spherocytosis. Br J Haematol. 1980;45(3):481-6.
- Peng GX, Yang WR, Jing LP, et al. Correlation of the degree of band 3 protein absence on erythrocyte membrane by eosin-5’-maleimide binding test and clinical phenotype in hereditary spherocytosis. Zhonghua Xue Ye Xue Za Zhi. 2017;38(6):537-541. https://doi.org/10.3760/cma.j.issn.0253-2727.2017.06.014. (In Chinese).
- Фирсов Н.Н., Приезжев А.В., Климова Н.В., Тюрина А.Ю. Основные закономерности деформационного поведения эритроцитов в сдвиговом потоке // Инженерно-физический журнал. – 2006. – Т. 79. – № 1. – С. 114–120. [Firsov NN, Priezzhev AV, Klimova NV, Tyurina AYu. Osnovnye zakonomernosti deformacionnogo povedeniya ehritrocitov v sdvigovom potoke. Inzhenerno-fizicheskij zhurnal. 2006;79(1):114-120. (In Russ.)]
- Vialiat A, Abkarian M. Red blood cell: from its mechanics to its motion in shear flow. International Journal of Laboratory Hematology. 2014;36:237-243. https://doi.org/10.1111/ijlh.12233.
- Shibuya A, Kawashima H, Tanaka M. Analysis of erythrocyte membrane proteins in patients with hereditary spherocytosis and other types of haemolytic anaemia. Hematology. 2018;23(9):669-675. https://doi.org/10.1080/10245332.2018.1455278.
Supplementary files






