The effectivnes of Radiesse in dental practice for prevention and non-surgical treatment of gum recession
- Authors: Shalak O.V.1, Satygo E.A.1, Deev R.V.1, Presnyakov E.V.1,2
 - 
							Affiliations: 
							
- North-Western State Medical University named after I.I. Mechnikov
 - Histograft LLC
 
 - Issue: Vol 14, No 4 (2022)
 - Pages: 43-52
 - Section: Original study article
 - Submitted: 31.10.2022
 - Accepted: 03.11.2022
 - Published: 20.01.2023
 - URL: https://journals.eco-vector.com/vszgmu/article/view/112258
 - DOI: https://doi.org/10.17816/mechnikov112258
 - ID: 112258
 
Cite item
Abstract
BACKGROUND: According to clinical and statistical observations, there is the high prevalence of gingival recession in children and adults. Currently, the methods of treating gingival recession are considered as corrective surgical measures. However, all modern corrective techniques are traumatic and force the patient to refuse surgical treatment in the presence of a shallow recession with a depth of no more than 2 mm. The depth of gingival recession in the absence of treatment progresses, which causes clinicians to search for alternative minimally invasive therapy for such patients.
AIM: The aim of our study is to determine the effectiveness of prevention and non-surgical treatment of gum recession using a Radiesse filler (Merz North America, USА).
MATERIAL AND METHODS: 36 patients (men and women) of the young age between 18–44 with thin and intermediate biotype of gums and bones and patients with initial signs of gum recession (not more than 2 mm) have been examined. The state of periodontal tissues and changes in them have been assessed by clinical examination methods; laser Doppler flowmetry and a morphological analysis of tissues have been performed.
RESULTS: Two injections of a Radiess filler have been found to improve the condition of the patients with gum recession compared with the initial values.
CONCLUSIONS: Gingival recession after two injections of a Radiesse filler steadily decreases compared to its initial values. In the absence of treatment, a statistically significant (p < 0.05) increase in the depth of gingival recession has been noted after 12 months from the start of observation. When using a Radiesse dermal filler to support the keratinized zone of the gums, a decrease in microcirculation in the injection zone is observed in the first month, however, after 6 and 12 months, its value significantly increases compared to the initial value and the data of the control group.
Full Text
ОБОСНОВАНИЕ
Клиницисты и исследователи ежегодно отмечают высокую распространенность рецессии десны и у детей, и у взрослых. Глубина рецессии увеличивается с возрастом и составляет 45–50 % у пациентов 18–64 лет, достигая 85 % у лиц пожилого и старческого возрастов [2, 5, 10, 21, 29].
При обследовании 240 пациентов с различными видами аномалий окклюзии, рецессию десны класса I (по классификации Миллера, 1985) выявляли чаще рецессий других классов — в 57 % случаев: в области резцов нижней и верхней челюсти — в 40 %, в области премоляров обеих челюстей — в 17 % [13, 18, 25].
В настоящее время основными методами лечения рецессии десны признаны корригирующие хирургические мероприятия. Восстановление утраченных тканей пародонта при использовании свободного соединительнотканного аутотрансплантата [19, 27, 28] и коронально смещенного десневого лоскута считается золотым стандартом [17, 20, 22, 24] пластической мукогингивальной хирургии, поскольку оно увеличивает объем десны и останавливает прогрессирование рецессии. Все современные корригирующие методики травматичны, включают две раневые зоны и вынуждают пациента при наличии мелких рецессий глубиной не более 2 мм отказываться от предлагаемого хирургического лечения.
Глубина рецессии десны при отсутствии лечения прогрессирует, что побуждает клиницистов к поиску альтернативной малоинвазивной терапии. Применение дермафиллеров в стоматологии находится в самом начале своего развития и базируется на экспериментальных и клинических данных из косметологической практики. Дермафиллеры — это препараты в виде суспензии, различные по составу. Предназначенные для контурной пластики филлеры на основе гиалуроновой кислоты и гидроксиапатита кальция, в частности Radiesse (Merz North America, США), отвечают всем требованиям безопасности. В качестве лечения дефицита тканей зубодесневых сосочков в последнее время используется гиалуроновая кислота, но результаты такой терапии в целом непредсказуемы и в большинстве случаев без улучшений [4, 14, 18, 23]. В экспериментальном исследовании выяснено, что единственный зарегистрированный на территории Российской Федерации филлер Radiesse отличается от аналогов гораздо более высоким поверхностным натяжением, что может способствовать минимальной фагоцитарной активности тканевых макрофагов и воспалительной реакции в целом при инъекционном введении препарата в ткани [3, 4, 11]. Возможно, этим объясняется незначительное количество нежелательных эффектов после применения этого филлера [3].
Цель исследования — определить эффективность профилактики и консервативного лечения рецессии десны при использовании препарата Radiesse.
Задачи исследования:
- изучить морфологические изменения, происходящие в тканях прикрепленной зоны десны после инъекции филлера Radiesse;
 - выявить уровень микрогемоциркуляции в десне при использовании филлера Radiesse;
 - определить эффективность использования филлера Radiesse для устранения начальных форм рецессии десны (глубиной не более 2 мм).
 
МАТЕРИАЛЫ И МЕТОДЫ
До начала набора пациентов данное клиническое исследование было одобрено локальным этическим комитетом СЗГМУ им. И.И. Мечникова. Отобраны и обследованы 36 пациентов на базе Учебно-клинического стоматологического центра СЗГМУ им. И.И. Мечникова.
В ходе исследования пациенты распределены следующим образом. Группу 1 составили 18 человек с тонким или средним биотипом десны и кости и/или начальными признаками рецессии десны (глубиной не более 2 мм), получившие инъекционное введение зарегистрированного на территории России филлера Radiesse. В группу 2 вошли 18 пациентов с тонким или средним биотипом десны и кости, начальными признаками рецессии десны (глубиной не более 2 мм), не получавшие лечение по устранению рецессии десны, но находившиеся под наблюдением врача-стоматолога (исследователя).
Все пациенты исследования прошли обучение правильному использованию подобранных средств (щеток, ершиков) для индивидуальной гигиены. Пациентам обеих групп проведена профессиональная гигиена полости рта перед началом исследования. На всех этапах исследования показатели индекса гигиены не имели достоверных различий у пациентов обеих групп.
Клиническое обследование тканей пародонта осуществляли до начала и в процессе лечения. Оно заключалось в опросе, осмотре полости рта и определении ее гигиенического состояния (по индексу О’Leary, 1972), а также класса рецессии десны (по классификации Миллера) и ее глубины [1, 18, 26]. Глубину рецессии измеряли в области всех зубов в первый визит, далее через 1, 6 и 12 мес.
Объективную регистрацию функционального состояния кровотока в микроциркуляторном русле тканей пародонта проводили при помощи лазерной допплеровской флоуметрии [7–10, 15, 16] с использованием анализатора ЛАКК-01 (НПП «Лазма», Россия). Пациентов обследовали перед началом лечения и через 1, 6 и 12 мес. после терапии в проекции проксимальной поверхности бокового нижнего резца. В области этой зоны во всех случаях обнаруживали рецессию и вводили препарат пациентам группы 1.
Для оценки состояния кровотока исследуемых тканей сравнивали допплерограммы зоны прикрепленной десны без рецессии и зоны с рецессией десны. После регистрации допплерограмм на монитор выводили средние статистические значения флоуметрии (амплитуд сигнала на выходе прибора):
- средняя скорость потока крови (М) отражает уровень тканевого кровотока;
 - среднеквадратичное отклонение (σ) показывает интенсивность кровотока;
 - коэффициент вариации (Кv) характеризует вазомоторную активность микрососудов.
 
Эти параметры позволяют дать общую оценку состояния гемомикроциркуляции.
Для морфологического исследования проведено иссечение участка мягких тканей в области кератинизированной зоны десны. Три образца биоптатов размером 2 × 2 × 2 мм получены от пациентов до введения материала, через 30 сут после введения материала и через 180 сут после введения материала.
Фиксация 10 % раствором нейтрального формалина и гистологическая проводка выполнены по стандартному протоколу. Образцы тканей доведены до парафиновых блоков. Произведена микротомия с получением срезов толщиной 3–5 мкм. Реализовано обзорное гистологическое окрашивание гематоксилином и эозином. В препаратах, окрашенных таким образом, выявляли границу между эпителием и подлежащей соединительной тканью, а также оценивали общие патологические процессы, включая признаки воспаления. Для определения выраженности неоколлагеногенеза и фиброзирования соединительной ткани срезы окрашивали по Маллори и импрегнировали нитратом серебра по Гордону. Для идентификации эндотелиальных клеток (в составе сосудов) выполнена иммуногистохимическая реакция с антителами к CD31 (Novus Biologicals, США). Препараты отсканированы при помощи высокопроизводительного сканера Aperio AT2 (Leica Biosystems, Германия) для работы с гистологическими препаратами в автоматическом режиме при увеличении ×20. Количество сосудов подсчитывали в субэпителиальном слое соединительной ткани после постановки иммуногистохимической реакции к белку эндотелиоцитов (CD31) при увеличении ×400 в 5–6 полях зрения.
После обследования тканей пародонта пациенту наносили аппликацию анестетика в виде геля (20 % бензокаина) на область десны альвеолярного отростка, после чего проводили местную инфильтрационную анестезию препаратами артикаинового ряда с вазоконстриктором в отношении1 : 100 000. Инъекцию филлера Radiesse осуществляли в проекции зубов с рецессией десны и тонким фенотипом пародонта супрапериостально. Инъекцию филлера повторяли через 6 мес. Клинический осмотр и нежелательные явления регистрировали через 1, 6, 12, 18 и 24 мес. после первой инъекции препарата.
РЕЗУЛЬТАТЫ И ОБСУЖДЕНИЕ
В результате исследования при контрольном осмотре через 1 мес. после введения дермального филлера Radiesse выявлено, что глубина рецессии десны значительно уменьшилась по сравнению с ее начальными величинами. Однако через 6 мес. после первой инъекции данный показатель у пациентов группы 1 стал увеличиваться. При следующем осмотре через 6 мес. после повторного введения дермального филлера Radiesse отмечена стабилизация цифрового значения глубины рецессии десны. У пациентов группы 1 после двукратного введения дермального филлера Radiesse через 12 мес. от начала лечения выявлено стабильное уменьшение глубины рецессии десны по сравнению с ее начальными значениями. Для контрольной группы было характерно медленное увеличение глубины рецессии десны к 12-му месяцу мониторинга (табл. 1).
Таблица 1. Оценка изменения среднего значения глубины рецессии десны, измеренная в области всех зубов у пациентов до и после введения филлера Radiesse (группа 1) и у лиц, не получающих лечения (группа 2)
Table 1. Assessment of the change in the average value of the depth of gum recession in the patients, measured in the area of all teeth, before and after the introduction of a Radiesse filler (group 1) and not receiving treatment (group 2)
Период обследования  | Средняя глубина рецессии в группе 1, мм  | Средняя глубина рецессии в группе 2, мм  | Статистическая значимость  | 
Первый визит — начало мониторинга  | 1,82 ± 0,10  | 1,79 ± 0,09  | p > 0,1  | 
Через 1 месяц  | 1,09 ± 0,05  | 1,73 ± 0,07  | p < 0,05  | 
Через 6 месяцев  | 1,32 ± 0,06  | 1,78 ± 0,06  | p < 0,05  | 
Через 12 месяцев  | 1,35 ± 0,04  | 1,83 ± 0,08  | p < 0,05  | 
При исследовании кровотока тканей в области прикрепленной десны у всех пациентовгруппы1 выявлена следующая закономерность (табл. 2). Отмечено снижение всех регистрируемых показателей микроциркуляции, в частности уровня тканевого кровотока, интенсивности кровотока и вазомоторной активности сосудов, через 1 мес. после введения препарата относительно их значений вначале мониторинга. Увеличение уровня тканевого кровотока на 12 и 21 % по сравнению с его начальным значением происходило через 6 и 12 мес. после введения филлера Radiesse соответственно. Значения показателей интенсивности кровотока и вазомоторной активности сосудов также увеличивались через 6 и 12 мес. после начала лечения. На всех этапах исследования уровни капиллярного кровотока кератинизированной зоны десны у пациентов группы 2 не показали достоверных различий.
Таблица 2. Оценка состояния кровотока микроциркуляторного русла прикрепленной зоны десны (в области 42/32 зуба) у пациентов до и после введения филлера Radiesse (группа 1) и у лиц, не получающих лечения (группа 2)
Table 2. Assessment of the state of blood flow of the microcirculatory bed of the attached gum zone (in the area of 42/32 teeth) in the patients, before and after the introduction of a Radiesse filler (group 1) and not receiving treatment (group 2)
Период обследования  | Показатель  | Группа 1  | Группа 2  | Статистическая значимость  | 
Первый визит — начало мониторинга  | М, перф. ед.  | 14,56 ± 1,21  | 13,11 ± 1,28  | p > 0,1  | 
σ, перф. ед.  | 1,34 ± 0,06  | 1,56 ± 0,05  | p > 0,1  | |
Кv, %  | 12,45 ± 1,27  | 12,41 ± 1,19  | p > 0,1  | |
Через 1 месяц после инъекции (группа 1) / через 1 месяц от начала мониторинга (группа 2)  | М, перф. ед.  | 12,34 ± 1,24  | 12,45 ± 1,08  | p > 0,1  | 
σ, перф. ед.  | 1,12 ± 0,06  | 1,08 ± 0,05  | p > 0,1  | |
Кv, %  | 11,43 ± 1,19  | 11,72 ± 1,08  | p > 0,1  | |
Через 6 месяцев после инъекции (группа 1) / через 6 месяцев от начала мониторинга (группа 2)  | М, перф. ед.  | 16,34 ± 1,27  | 13,21 ± 1,08  | p < 0,05  | 
σ, перф. ед.  | 1,98 ± 0,05  | 1,58 ± 0,04  | p < 0,05  | |
Кv, %  | 15,32 ± 1,06  | 12,18 ± 1,23  | p < 0,05  | |
Через 12 месяцев от начала мониторинга  | М, перф. ед.  | 17,65 ± 1,38  | 12,22 ± 1,19  | p < 0,05  | 
σ, перф. ед.  | 2,23 ± 0,04  | 1,53 ± 0,05  | p < 0,05  | |
Кv, %  | 15,12 ± 1,32  | 12,27 ± 1,26  | p < 0,05  | 
Примечание. М — уровень тканевого кровотока; σ — интенсивность кровотока; Кv — вазомоторная активность сосудов; перф. ед. — перфузионные единицы.
Морфологическое исследование
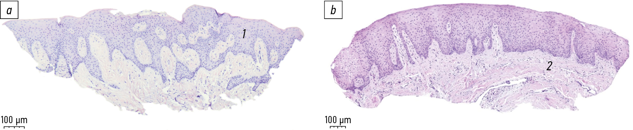
В начале исследования состояние у пациентов групп 1 и 2 было сходным. Многослойный плоский эпителий формирует типичные структуры слизистой оболочки данной локализации. Выраженных признаков патологического избыточного ороговения, дефектов эпителиального пласта нет. Эпителио-соединительнотканная граница чаще петлистая, широкие анастомозирующие извитые сосочки на большую глубину вдаются в эпителиальный слой. Однако у разных пациентов есть отличия по этому признаку. Соединительная ткань содержит умеренное количество мощных коллагеновых волокон. Признаков воспаления нет (рис. 1).
Рис. 1. Структура биоптата десны до (а) и через 30 суток после (b) процедуры. 1 — многослойный плоский эпителий; 2 — плотная волокнистая соединительная ткань дермы. Окраска: гематоксилин и эозин
Морфологическое состояние тканей десны у пациентов группы 1 через 1 мес. (30 сут). Эпителий приобрел базофилию, кератиноциты меньшего размера, что создает картину повышенной клеточности эпителиального массива. В базальных участках их расположение кучное. Соединительнотканные сосочки преимущественно вытянутой формы, узкие, глубоко вдаются в эпителий, что, с одной стороны, типично для слизистой оболочки данной локализации, с другой — не свойственно исходной архитектуре эпителио-соединительнотканного комплекса тканей.
Соединительнотканная пластинка характеризуется повышенной клеточностью за счет выраженного развития сосудов. Значимой воспалительной инфильтрации нет. Тонкостенные кровеносные сосуды находятся непосредственно под основным объемом эпителия, а также снабжают кровью каждый сосочек. В некоторых участках их расположение настолько кучное, что они создают структуру «созревающей» грануляционной ткани (рис. 2). Вместе с тем тучных клеток, тканевых базофилов и широкого развития гистиоцитов не выявлено.
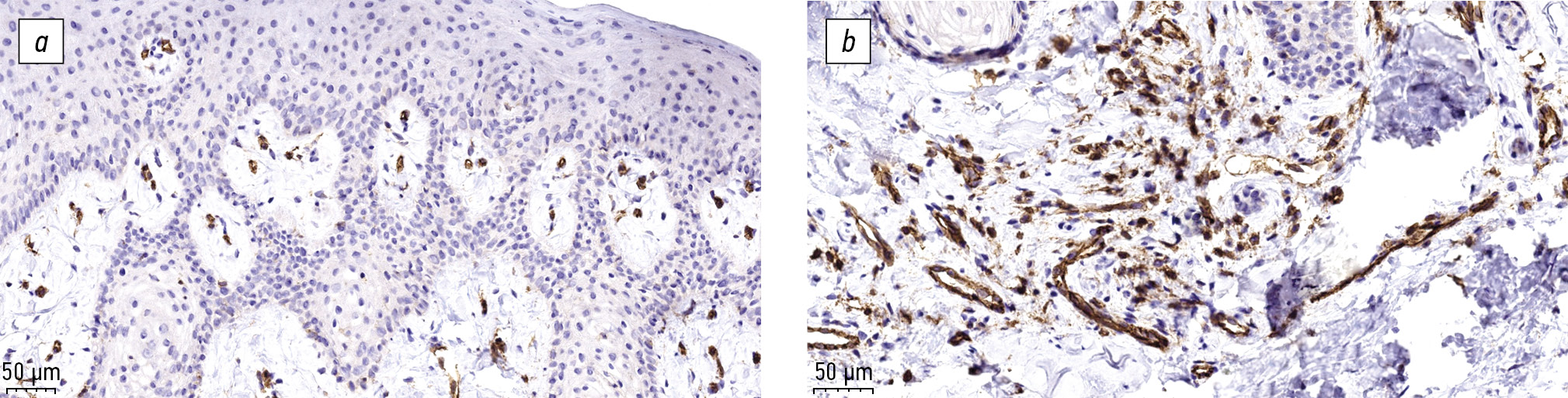
Рис. 2. Кровеносные сосуды десны через 30 суток после инъекции: а — в поперечно срезанных сосочках дермы; b — в глубоком слое дермы. Иммуногистохимическая реакция с антителами к CD31. Докраска: гематоксилин Майера
Единичные гранулы гидроксиапатита размером 20–70 мкм могут быть обнаружены в удаленном от поверхности (глубоком) слое соединительнотканной пластинки, при этом воспалительной инфильтрации и лимфоцитарной клеточной реакции вблизи нет. Вокруг них отмечено формирование относительно рыхло расположенных соединительнотканных волокон. Часть клеток этой соединительной ткани — гистиоциты. Гигантских многоядерных клеток инородных тел нет. В случаях, если гранулы материала расположены в тканях группами, отмечено развитие единичных гигантских многоядерных клеток (рис. 3). Участки ангиогенеза являются зонами формирования аргирофильных («молодых») коллагеновых волокон.
Рис. 3. Гранулы гидроксиапатита материала Radiesse (*) в тканях десны через 30 суток после введения препарата: а — в толще глубокого слоя волокнистой соединительной ткани десны; b — расположенные субэпителиально; c, d — расположенные периостально (** костная ткань). Окраска: а, b — гематоксилин и эозин; c — по Маллори; d — импрегнация по Гордону
Морфологическое состояние тканей десны у пациентов группы 1 через 6 мес. (180 сут). Многослойный плоский эпителий формирует типичные структуры слизистой оболочки исследуемой локализации. Соединительнотканные сосочки умеренно инфильтрированы гистиоцитами. Подлежащая соединительная ткань фиброзирована, представлена мощными пучками коллагеновых волокон, богато васкуляризирована, причем часть сосудов имеют хорошо сформированную стенку и окружены рыхлой волокнистой соединительной тканью. Участки неоколлагеногенеза выявлены вблизи участков массированной лейкоцитарной инфильтрации и расположены периваскулярно, в том числе в сосочках. Иммуногистохимическая реакция на эндотелиоциты демонстрирует богато развитую кровеносную сеть, включающую все звенья микроциркуляторного русла от артериол до венул и более крупных сосудов.
Таким образом, следует констатировать ряд закономерностей. Введение дермального филлера Radiesse не приводит к развитию выраженных воспалительных деструктивных изменений в тканях десны. Наличие единичных гранул гидроксиапатита в мягких тканях не ведет за собой патологического остеогенеза и развития гигантоклеточной реакции, но, по-видимому, индуцирует формирование микрофокусов грануляционной ткани в области имплантации с присущим ей транзиторным ангиогенезом и неоколлагеногенезом. К поздним срокам наблюдений избыточная сеть микрососудов резорбируется, соединительная ткань демонстрирует признаки увеличенного объема плотных коллагеновых волокон. Вместе с тем следует учесть, что групповое расположение гранул гидроксиапатита может индуцировать тканевую реакцию на инородное тело.
ЗАКЛЮЧЕНИЕ
Увеличение количества коллагеновых волокон, выявляемое при морфологическом исследовании образцов десны через 6 мес. после инъекции дермального филлера Radiesse, приводит к активизации механизмов, сопровождающихся усилением трофики и активным увеличением степени васкуляризации ткани. Возрастание перфузии тканей прикрепленной зоны десны у пациентов группы 1 через 6 и 12 мес. происходит в результате развития выраженной кровеносной сети микроциркуляторного русла, включающей все звенья от артериол до венул и более крупных сосудов.
Полученные данные согласуются с результатами исследования Я.А. Юцковской, согласно которому введение филлера Radiesse сопровождается увеличением выработки коллагена типов I и III, а также CD34 — эндотелиального маркера новообразованных кровеносных сосудов.
ВЫВОДЫ
- Рецессия десны после двукратного введения филлера Radiesse стабильно уменьшается по сравнению с ее начальными значениями. При отсутствии лечения отмечено статистически достоверное (р < 0,05) увеличение глубины рецессии десны через 12 мес. от начала наблюдения.
 - При использовании дермального филлера Radiesse для поддержки кератинизированной зоны десны в первый месяц наблюдается снижение микрогемоциркуляции в зоне инъекции, однако через 6 и 12 мес. ее значение достоверно увеличивается по сравнению с начальной величиной и данными группы контроля.
 
ДОПОЛНИТЕЛЬНАЯ ИНФОРМАЦИЯ
Источник финансирования. Исследование не имело финансового обеспечения или спонсорской поддержки.
Конфликт интересов. Авторы декларируют отсутствие явных и потенциальных конфликтов интересов, связанных с публикацией настоящей статьи.
Этика исследования. Исследования были одобрены этическим комитетом СЗГМУ им. И.И. Мечникова и проводились в соответствии с этическими стандартами, изложенными в Хельсинкской декларации. У всех пациентов получено информационное согласие на проведение исследования.
Вклад авторов. О.В. Шалак — сбор и анализ источников литературы, написание текста, хирургическое лечение, диагностические исследования; Е.А. Сатыго — идеологическая концепция работы, редактирование статьи; Р.В. Деев — идеологическая концепция работы, редактирование статьи; Е.В. Пресняков — диагностические исследования, сбор и обработка материалов, анализ полученных данных, написание текста.
Все авторы внесли существенный вклад в проведение исследования и подготовку статьи, прочли и одобрили финальную версию перед публикацией.
ADDITIONAL INFORMATION
Funding. The study has no external funding
Conflict of interest. The authors declare no conflict of interest.
Ethical approval. The research was approved by the Ethics Committee of the I.I. Mechnikov NWSMU and conducted in accordance with the ethical standards set out in the Helsinki Declaration. All patients received informational consent to conduct the study.
Author сontributions. O.V. Shalak — collection and analysis of literature sources, writing the text, surgical treatment, diagnostic studies; E.A. Satygo — ideological concept of the work, editing the article; R.V. Deev — ideological concept of the work, editing the article; E.V. Presnyakov — diagnostic studies, collection and analysis of literature sources, writing the text.
All authors made a significant contribution to the study and preparation of the article and read and approved the final version before its publication.
About the authors
Oksana V. Shalak
North-Western State Medical University named after I.I. Mechnikov
														Email: oxana.shalak@yandex.ru
				                	ORCID iD: 0000-0001-6851-7557
				                	SPIN-code: 2770-6357
																		                								
MD, Cand. Sci. (Med.)
Russian Federation, Saint PetersburgElena A. Satygo
North-Western State Medical University named after I.I. Mechnikov
							Author for correspondence.
							Email: Elena.Satygo@szgmu.ru
				                	ORCID iD: 0000-0001-9801-503X
				                	SPIN-code: 8776-0513
							Scopus Author ID: 56499362600
							ResearcherId: O-7619-2014
				                								
MD, Dr. Sci. (Med.)
Russian Federation, Saint PetersburgRoman V. Deev
North-Western State Medical University named after I.I. Mechnikov
														Email: Roman.Deev@szgmu.ru
				                	ORCID iD: 0000-0001-8389-3841
				                	SPIN-code: 2957-1687
														ResearcherId: L-1658-2015
				                								
MD, Cand. Sci. (Med.), Assistant Professor
Russian Federation, Saint PetersburgEvgeny V. Presnyakov
North-Western State Medical University named after I.I. Mechnikov; Histograft LLC
														Email: uvpres@gmail.com
				                	ORCID iD: 0000-0003-1546-5129
				                	SPIN-code: 4001-4715
							Scopus Author ID: 57208386507
											                								
MD
Russian Federation, Saint Petersburg; Saint PetersburgReferences
- Arsenina OI, Grudyanov AI, Nadtochiy AG, et al. Orthodontic treatment of apatient with a thing in gival biotype and malocclusion. Stomatologiya. 2020;99(1):89–94. (In Russ.). doi: 10.17116/stomat20209901189
 - Artyushkevich AS. Zabolevaniya parodonta: rukovodstvo dlya vrachei-stomatologov. Moscow: Meditsinskaya literature; 2006. 328 p. (In Russ.)
 - Bagnenko ES, Povzun SA. Anizomorfnost’ chastits gidroksiapatita kal’tsiya v nekotorykh fillerakh kak vozmozhnyi factor nestabil’nosti rezul’tatov ikh primeneniya: svetoopticheskoe issledovanie. In’ektsionnye metody v kosmetologii. 2018;(1):9–14. (In Russ.)
 - Bagnenko ES, Povzun SA. Sravnitel’noe eksperimental’noe issledovanie poverkhnostno-aktivnykh svoistv razlichnykh fillerov. I’ektsionnyemetody v kosmetologii. 2017;(4):30–34. (InRuss.)
 - Gorbatova EA. Vliyanie topografii otdelov desny, preddveriya polosti rta, prikrepleniya uzdechek gub na formirovanie patologicheskikh izmenenii v parodonte [dissertation]. Moscow; 2004. 25 p. (In Russ.)
 - Davidian OM, Davreshyan GK, Kodzhakova FR, et al. Assessment of microcirculation of intact periodontal tissues in children using laser Doppler flowmetry. Endodontics Today. 2020;18(1):70–73. (In Russ.). doi: 10.36377/1683-2981-2020-18-1-70-73
 - Kozlov VI, Korsi LV, Sokolov VG. Lazernaya dopplerovsekaya floumetriya I analiz kollektivnykh protsessov v sisteme mikrotsirkulyatsii. Fiziologiyacheloveka. 1998;24(6):112. (In Russ.)
 - Krechina EK, Maslova VV, Rakhimova EN, Shidova AV. Opredelenie gemomikrotsirkulyatsii v tkanyakh parodonta s ispol’zovaniem metodov lazernoi I ul’trazvukovoi dopplerografii. Novaya meditsinskaya tekhnologiya. Moscow; 2008. 20 p. (In Russ.)
 - Krechina EK, Smirnova TN. Modern approaches to periodontal microcirculatory parameters assessment. Stomatologiya. 2017;96(1):28–32. (In Russ.). doi: 10.17116/stomat201796128-32
 - Modina TN, Salekhov LI. Risk factors for gingival recession in children and adolescents. Pediatric dentistry and prophylaxis. 2012;11(3(42)):14–18. (In Russ.)
 - Povzun SA. Poverkhnostnoe natyazhenie — klyuchevoimekhanizmfagotsitoza. Prooceedings of the conference posvyashchennoi 155-letiyu kafedry patologicheskoi anatomii Voenno-meditsinskoi akademii im. S.M. Kirova. Saint Petersburg; 2014. P. 180–184. (In Russ.)
 - Chuyan EN, Tribrat NS. Methodical aspects of application of method of laser Doppler Flowmetry. Uchenyezapiski Krymskogo federal’nogo universiteta imeni V.I. Vernadskogo. Biologiya. Khimiya. 2008;21(60)(2):156–171. (In Russ.)
 - Shalak OV, Popov SA, Fadeev RA, Kovalenko KU. Parodontal status in patients with tooth and jaw anomalies before orthodontic tearment. Clinical Dentistry (Russia). 2021;24(2):88–95. (In Russ.). doi: 10.37988/1811-153X_2021_2_88
 - Awartani FA, Tatakis DN. Interdental papilla loss: treatment by hyaluronic acid gel injection: a case series. Clin Oral Investig. 2016;20(7):1775–1780. doi: 10.1007/s00784-015-1677-z
 - Bonner RF, Nossal R. Modal for Laser Doppler measurements of blood flow in tissue microcirculation. Appl Opt. 1981;20(12):2097–2107. doi: 10.1364/AO.20.002097
 - Nilsson GE. Signal processor for Laser Doppler tissue flowmeters. Med Biol Eng Comput. 1984;22(4):343–348. doi: 10.1007/BF02442104
 - Bassetti RG, Stähli A, Bassetti MA, Sculean A.Soft tissue augmentation procedures at second-stage surgery: a systematic review. Clin Oral Investig. 2016;20(7):1369–1387.doi: 10.1007/s00784-016-1815-2
 - Becker W, Gabitov I, Stepanov M, et al. Minimally invasive treatment for papillae deficiencies in the esthetic zone: a pilot study. Clin Implant Dent Relat Res. 2010;12(1):1–8. doi: 10.1111/j.1708-8208.2009.00247x
 - Bjorn H. Free transplantation of gingiva propria. Odontol Revy. 1963.
 - Cairo F. Periodontal plastic surgery of gingival recessions at single and multiple teeth. Periodontol 2000. 2017;75(1):296–316. doi: 10.1111/prd.12186
 - Kassab MM, Badawi H, Dentino AR. Treatment of gingival recession. Dent Clin North Am. 2010;54(1):129–140. doi: 10.1016/j.cden.2009.08.009
 - Kim DM, Neiva R. Periodontal soft tissue non-root coverage procedures: a systematic review from the AAP regeneration workshop. J Periodontol. 2015;86(2 Suppl):S56–72. doi: 10.1902/jop.2015.130684
 - Mansouri SS, Ghasemi M, Salmani Z, Shams N. Clinical application of hyaluronic acid gel for reconstruction of interdental papilla at the esthetic zone. J Iran Dent Assoc. 2013;25(3):208–213.
 - Matouk M, Sclar AG. Oral connective tissue grafting: evidence-based principles for predictable success. Oral Maxillofac Surg Clin North Am. 2002;14(2):241–257. doi: 10.1016/s1042-3699(02)00008-0
 - Miller PD. A classification of marginal tissue recession. Int J Periodontics Restorative Dent. 1985;5(2):8–13.
 - Rateitschak KH, Rateitschak EM, Wolf H.F. Color Atlas of Dental Medicine: Periodontology. Thieme Medical Pub, 2012. 544 p.
 - Sallivan H, Atkins J. Free autogenous gingival grafts I. Principles of successful grafting. Periodontics. 1968;6(3):121–129.
 - Sallivan H, Atkins J. Free autogenous gingival grafts 3. Utilization of grafts in the treatment of gingival recessions. Periodontics. 1968;6(4):152–160.
 - Yared KF, Zenobio EG, Pacheco W. Periodontal status of mandibular central incisors after orthodontic proclination in adults. Am J Orthod Dentofacial Orthop. 2006;130(1):6e1–8. doi: 10.1016/j.ajodo.2006.01.015
 - Yutskovskaya YA, Sergeeva AD, Kogan EA. Combination of calcium hydroxylapatite diluted with normal saline and microfocused ultrasound with visualization for skin tightening. J Drugs Dermatol. 2020;19(4):405–411. doi: 10.36849/JDD.2020.4625
 
Supplementary files
				
			
					
						
						
									





