Improvement of diagnostic and surgical treatment of colon cancer complicated with perifocal inflammation in patients of the elderly and senile age
- Authors: Glushkov N.I.1, Kabanov M.Y.1,2, Gorshenin T.L.1,2, Sementsov K.V.1,2, Belikova M.Y.1,2, Sizov Y.A.2, Dulaeva S.K.1,2
-
Affiliations:
- North-Western State Medical University named after I.I. Mechnikov
- Saint Petersburg Hospital for War Veterans
- Issue: Vol 11, No 3 (2019)
- Pages: 41-48
- Section: Original study article
- Submitted: 04.07.2019
- Accepted: 01.09.2019
- Published: 18.11.2019
- URL: https://journals.eco-vector.com/vszgmu/article/view/15213
- DOI: https://doi.org/10.17816/mechnikov201911341-48
- ID: 15213
Cite item
Full Text
Abstract
The article analyzes the treatment of patients in older age groups with colon cancer complicated by perifocal inflammation. It is shown that the treatment modality for this category of patients depends largely on the severity of paracancrosis inflammation. A large number of postoperative complications and a high level of postoperative mortality accompany traditional operations performed for colon cancer complications. The introduction of laparoscopic technology allows improving the treatment results in patients of elderly and senile age.
Full Text
Проблема осложненных форм рака ободочной кишки (РОК) сохраняет свою актуальность. По данным Росстата, при анализе причин смертности в 2017 г. у 23 тыс. человек именно РОК стал причиной смерти, что соответствует третьему месту в онкологической смертности после опухолей желудка и легких [1]. Из-за отсутствия своевременной диагностики, особенно у людей старшей возрастной группы, пациенты, как правило, поступают в стационары общехирургического профиля с запущенными формами по экстренным показаниям с диагнозом направления «острый живот» и часто подлежат оперативному вмешательству в неотложном порядке [2–4]. При этом доля больных пожилого и старческого возраста с осложнениями рака ободочной кишки превышает 70 %. Рак толстой кишки осложняется острой кишечной непроходимостью (20–85 %), перифокальным воспалением (ПФВ) с абсцедированием (5–29,9 %), кровотечением (0,8–14,7 %), перфорацией опухоли (0,4–18 %) [5]. Наибольшее внимание в литературе уделено острой кишечной непроходимости, тогда как описание результатов и тактики лечения больных РОК, осложненным ПФВ и абсцедированием, встречается не так часто [6].
Цель работы — оценить структуру, клиническую картину, а также результаты лечения пациентов пожилого и старческого возраста с РОК, осложненным ПФВ и абсцедированием.
Материалы и методы
В период с 2008 по 2016 г. нами оперировано 545 пациентов с осложнениями РОК, находившимися на лечении в СПбГБУЗ «Госпиталь для ветеранов войн». При этом ПФВ с абсцедированием отмечено у 55 (10,1 %) больных. Возраст пациентов варьировал от 65 до 92 лет. Женщин было 39 (70,9 %), мужчин — 16 (29,1 %).
Для больных РОК, осложненным ПФВ, была характерна поздняя госпитализация: большинство больных — 47 (85,5 %) — поступили в срок более суток от момента начала заболевания, при этом 35 (63,6 %) пациентов поступили позже 6 сут и только 8 (14,5 %) пациентов — в первые сутки от начала заболевания. Ввиду особенности гериатрического контингента госпиталя сопутствующая патология в той или иной степени наблюдалась у всех больных. Наиболее часто встречались заболевания сердечно-сосудистой (98 %), неврологической (97,6 %) и мочевыделительной систем (67,7 %). Нередко на одного пациента приходилось до 6 сопутствующих заболеваний. Влияние полиморбидности на течение периоперационного периода оценивали с помощью возраст-зависимого индекса Charlson, средний показатель которого составил 8,4 при вариации от 5 до 12. Операционно-анестезиологический риск оценивали по шкале АSA. У 32 (58,2 %) пациентов зарегистрирована III степень операционно-анестезиологического риска, у 17 (30,9 %) — IV степень, у 6 (10,9 %) — вторая. Чаще опухоли локализовались в сигмовидной — 21 (38 %) и слепой — 13 (24 %) кишке (рис. 1).
Рис. 1. Локализация опухолей, осложненных перифокальным воспалением и абсцедированием
Fig. 1. Localization of tumors complicated by perifocal inflammation and abscess formation
Стадию онкологического процесса оценивали после патоморфологического исследования удаленного препарата. У большинства больных — 28 (50,9 %) — отмечена третья стадия заболевания, вторая стадия выявлена у 17 (30,9 %), четвертая — у восьми (14,6 %) пациентов. У двух (3,6 %) больных стадия онкологического процесса не была установлена ввиду выполнения симптоматической операции при отсутствии признаков отдаленного метастазирования.
Клиническая картина РОК, осложненного ПФВ, зависела в первую очередь от степени выраженности воспалительного процесса, локализации опухоли, наличия и степени выраженности сопутствующей патологии. Наиболее часто наблюдались боли в животе и общие симптомы интоксикации. В соответствии с выраженностью воспалительного процесса клиническая картина варьировала от едва заметной при небольших воспалительных процессах, до яркой при развитии флегмон, абсцедирования и прорывов абсцессов в свободную брюшную полость. Пациенты предъявляли жалобы на боли в животе с локализацией, соответствующей расположению опухоли в ободочной кишке, на общее недомогание, слабость. Лихорадка отмечалась не всегда и чаще носила субфебрильный характер. Фебрильная лихорадка косвенно указывала на сформированный параколярный абсцесс. Тем не менее у 19 (34,5 %) пациентов с ПФВ, у которых подъема температуры тела не наблюдалось, интраоперационно были обнаружены паратуморозные абсцессы. При пальпации живота выявлялась локальная болезненность соответственно расположению опухоли. Инфильтрат определялся у 36 (65,5 %) больных. В случаях абсцедирования проявления интоксикации были более выражены. При клиническом исследовании больного отмечено локальное напряжение мышц передней брюшной стенки с положительным симптомом Щеткина – Блюмберга. При прорыве абсцесса в брюшную полость развивалась картина перитонита.
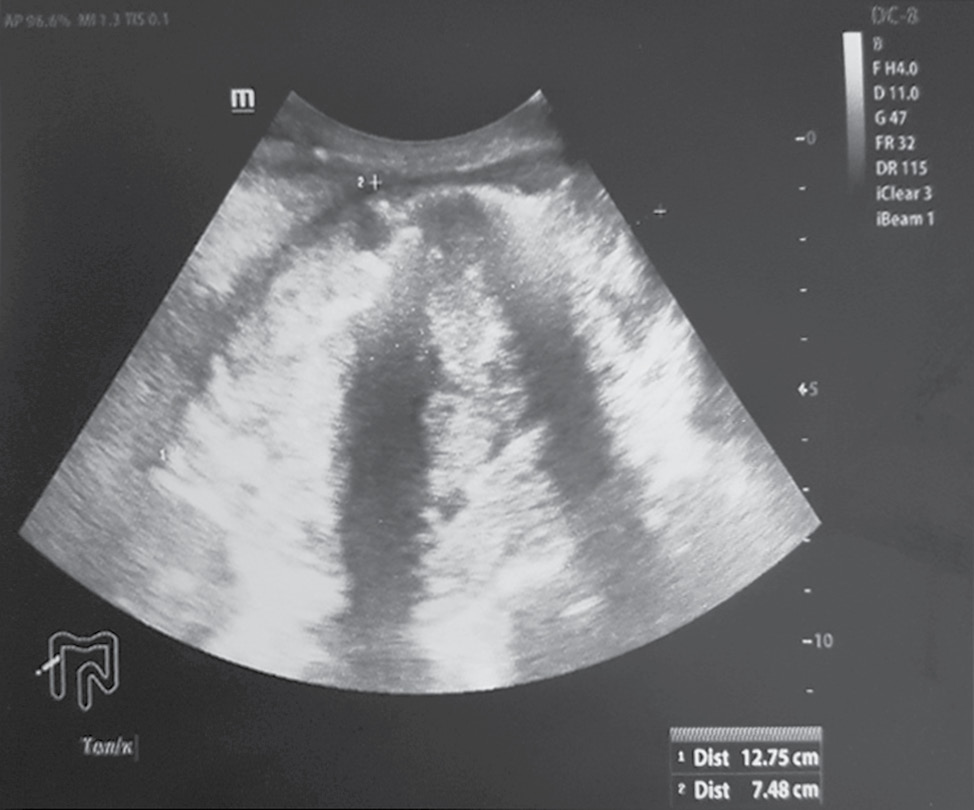
Всем больным в обязательном порядке в течение двух часов от момента поступления проводили обследования в минимальном объеме, включавшие обзорную рентгенографию живота и грудной клети, ЭКГ, УЗИ органов брюшной полости и почек, клинический анализ крови, биохимический анализ крови, общий анализ мочи, осмотр терапевта. При рентгенографии живота, как правило, наблюдался пневматоз толстой кишки, реже пневматоз тонкой кишки. Рентгенологическая картина менялась при развитии распространенного перитонита — появлялись тонко- и толстокишечные уровни, кишечные арки. Ультразвуковое исследование играло вспомогательную роль в постановке правильного диагноза с определением тактики дальнейшего лечения. Параколярный инфильтрат в виде местного уплотнения ткани в проекции предполагаемой опухоли по данным УЗИ был выявлен у 16 (65,5 %) больных (рис. 2).
Рис. 2. Опухоль восходящей ободочной кишки с перифокальным воспалением
Fig. 2. Ascending colon tumor with perifocal inflammation
Отграниченное скопление жидкости в области инфильтрата визуализировано у 3 (5,5 %) пациентов, свободная жидкость в брюшной полости обнаружена у 2 (3,6 %) больных. Кроме того, УЗИ позволяло выявить метастатическое поражение печени, стадировать процесс, что в некоторой степени также влияло на тактику ведения пациентов. Существенную роль в выявлении перифокального воспаления при отсутствии клинической картины играла спиральная компьютерная томография. Утолщение стенки кишки с неравномерным, достаточно часто циркулярным сужением просвета в сочетании с тяжистостью, уплотнением окружающей ткани позволяли достаточно достоверно диагностировать ПФВ. Появление газа в параколярной клетчатке свидетельствовало о формировании параканкрозного абсцесса или перфорации опухоли (рис. 3).
Рис. 3. Опухоль ректосигмоидного отдела толстой кишки, осложненная перифокальным воспалением с формированием паратуморозного абсцесса
Fig. 3. Colorectal rectosigmoid tumor complicated by perifocal inflammation with the formation of pratumor abscess
Фиброколоноскопию выполняли в том случае, когда не требовалось экстренного оперативного вмешательства. Лабораторная диагностика также имела немаловажное значение. Как правило, в анализах крови отмечалось снижение уровня гемоглобина, выявленное у 52 (94,5 %) пациентов. Легкая степень анемии зафиксирована у 18 (32,7 %) больных, средней степени тяжести — у 28 (50,9 %), тяжелая — у 6 (10,9 %). Анемия средней и тяжелой степеней была более характерна для пациентов с правосторонней локализацией опухоли, что говорило о развитии токсико-анемического синдрома. В случаях тяжелой степени анемии обязательно проводили гемотрансфузию в предоперационном периоде. Лейкоцитоз выявлен у 43 (78,18 %) пациентов. У 39 (70,9 %) больных уровень лейкоцитов варьировал в пределах 9–16 · 109/л, у 4 (7,27 %) превышал 16 · 109/л. У 12 (21,8 %) пациентов повышения уровня лейкоцитов крови не наблюдалось, несмотря на явные признаки макро- и микроскопического воспаления, подтвержденные как интраоперационно, так и при патоморфологическом исследовании. Для большинства больных — 51 (92,72 %) РОК, осложненным ПФВ, было характерно снижение общего белка крови. У 9 (16,36 %) пациентов отмечена значительная гипопротеинемия — ниже 50 г/л. Уменьшение количества белка являлось предиктором неблагоприятного течения послеоперационного периода.
Статистическую обработку результатов осуществляли с помощью программ Statistica 8.0 for Windows и Microsoft Excel. Статистически значимыми считали результаты при значении p < 0,05.
Результаты и их обсуждение
Все больные в зависимости от степени выраженности ПФВ, тяжести состояния, степени выраженности сопутствующей патологии были оперированы в экстренном, срочном или отсроченном порядке. В экстренном порядке после предоперационной подготовки в условиях реанимационного отделения были оперированы пациенты с клинической картиной распространенного перитонита. Больные, у которых опухоль ободочной кишки осложнилась ПФВ с абсцедированием, оперированы в срочном порядке. Параканкрозное воспаление без признаков абсцедирования давало возможность для более тщательного обследования, проведения полноценной предоперационной подготовки и выполнения вмешательства в отсроченном порядке. Операции проводили как традиционным методом, так и с использованием эндовидеохирургических технологий. Виды оперативных вмешательств, выполненных пациентам с опухолями ободочной кишки, осложненными ПФВ, представлены в табл. 1.
Таблица 1 / Table 1
Виды оперативных вмешательств при раке ободочной кишки, осложненном перифокальным воспалением
Types of surgical interventions for colon cancer complicated by perifocal inflammation
Вид операции | Способ оперативного вмешательства | Всего | |
традиционный | мини-инвазивный | ||
Правосторонняя гемиколэктомия | 9 | 13 | 22 |
Резекция поперечной ободочной кишки | 1 | 0 | 1 |
Резекция сигмовидной кишки | 1 | 1 | 2 |
Операция типа Гартмана | 19 | 2 | 21 |
Колостомия | 8 | 1 | 9 |
Всего | 38 | 17 | 55 |
Как традиционным способом, так и с использованием эндовидеохирургических технологий выполняли радикальные, паллиативные и симптоматические операции. Традиционным способом проведено 27 (49,1 %) радикальных, 3 (5,5 %) паллиативных и 8 (14,5 %) симптоматических операций; с помощью эндовидеохирургических технологий — 15 (7,3 %) радикальных, 1 (1,8 %) паллиативная и 1 (1,8 %) симптоматическая.
Объем радикальных и паллиативных оперативных вмешательств соответствовал стандартному при соответствующей локализации опухоли. Как традиционные, так и лапароскопические операции выполняли с соблюдением принципов no touch, CME и СVL. Объем лимфодиссекции был не мене D2, а в ряде случаев, по показаниям, расширялся до D3.
У 27 (49,1 %) больных выявлен параканкрозный инфильтрат, у 25 (45,5 %) пациентов — абсцедирование инфильтрата, у 2 (3,6 %) — абсцедирование инфильтрата с местным неотграниченным перитонитом и у 1 (1,8 %) пациента — прорыв паратуморозного абсцесса в свободную брюшную полость с развитием распространенного гнойного перитонита. В формировании паратуморозного инфильтрата были задействованы петли тонкой кишки, большой сальник, стенки живота, органы малого таза. Инфильтрат тупо разделяли. В случае формирования параколярного абсцесса при разделении инфильтрата происходило его опорожнение. Гной эвакуировали электроотсосом и забирали материал для бактериологического исследования.
При локализации опухоли в правой половине толстой кишки выполняли правостороннюю гемиколэктомию с формированием первичного анастомоза. Всего проведено 22 правосторонние гемиколэктомии, из них 9 — традиционным способом и 13 — лапароскопически. В одном случае, при локализации опухоли в поперечной ободочной кишке, выполнена ее резекция с формированием первичного анастомоза. В случае левосторонней локализации опухоли с формированием параканкрозного абсцесса осуществление первичного толсто-толстокишечного анастомоза считали противопоказанным, поэтому предпочтение отдавали обструктивным резекциям по Гартману. Такие операции были проведены 21 пациенту, 19 — традиционным способом и 2 — лапароскопически. В двух случаях при резекции сигмовидной кишки мы закончили операции формированием первичного анастомоза вследствие невыраженных паратуморозных воспалительных изменений. При выраженных изменениях органов, вовлеченных в формирование стенок абсцесса, выполняли их резекцию.
Симптоматические операции (колостомии) осуществляли тяжелым больным в тех случаях, когда расширение объема было невозможно вследствие нестабильной гемодинамики. По сути, это были операции отчаяния. Колостомию сочетали со вскрытием и дренированием параколярного абсцесса. Из 9 оперированных в таком объеме пациентов все умерли в раннем послеоперационном периоде. Преобладание симптоматических операций, выполненных традиционно, над мини-инвазивными объясняется наличием абсолютных противопоказаний к выполнению операций в условиях напряженного карбоксиперитонеума, таких как крайне тяжелое состояние пациентов, распространенный гнойный перитонит. В этих случаях всегда производили срединную лапаротомию.
При сопоставимой продолжительности (табл. 2) операции, выполненные с помощью эндовидеохирургических технологий, сопровождались меньшим объемом интраоперационной кровопотери (табл. 3).
Таблица 2 / Table 2
Средняя продолжительность операций
Mean duration of operations
Вид операции | Способ оперативного вмешательства | |
традиционный | мини-инвазивный | |
Правосторонняя гемиколэктомия | 140 | 130 |
Резекция поперечной ободочной кишки | 145 | – |
Резекция сигмовидной кишки | 140 | 130 |
Операция типа Гартмана | 130 | 120 |
Колостомия | 85 | 50 |
Таблица 3 / Table 3
Средняя величина интраоперационной кровопотери
The mean value of intraoperative blood loss
Вид операции | Способ оперативного вмешательства | |
традиционный | мини-инвазивный | |
Правосторонняя гемиколэктомия | 280 | 75 |
Резекция поперечной ободочной кишки | 210 | – |
Резекция сигмовидной кишки | 200 | 40 |
Операция типа Гартмана | 220 | 45 |
Колостомия | 60 | 20 |
Течение послеоперационного периода у больных, оперированных с помощью эндовидеохирургических технологий, было более благоприятным по сравнению с группой пациентов, оперированных традиционными методами: более быстро купировался болевой синдром, на 1–2 сут раньше восстанавливалась перистальтика кишечника.
Послеоперационные осложнения развились у 14 (36,8 %) пациентов, оперированных традиционным способом, из них 12 (31,6 %) случаев послеоперационных абдоминальных осложнений и 10 (26,3 %) случаев экстраабдоминальных. Другие осложнения представлены в табл. 4.
Таблица 4 / Table 4
Послеоперационные осложнения в зависимости от вида оперативного вмешательства у пациентов с раком ободочной кишки, осложненным перифокальным воспалением
Postoperative complications depending on the type of surgical intervention in patients with colon cancer complicated by perifocal inflammation
Осложнения | Вид операции | Всего | |
традиционный | мини-инвазивный | ||
ИОХВ-I | 7 | 2 | 9 |
Эвентрация | 1 | 0 | 1 |
Несостоятельность анастомоза | 1 | 0 | 1 |
Некроз стомы | 2 | 0 | 2 |
Внутрибрюшное кровотечение | 1 | 0 | 1 |
Пневмония | 8 | 1 | 9 |
ОНМК | 0 | 1 | 1 |
ТЭЛА | 1 | 1 | 2 |
ААК | 1 | 0 | 1 |
Всего | 22 | 5 | 27 |
Примечание. ИОХВ-I — инфекция области хирургического вмешательства; ОНМК — острое нарушение мозгового кровообращения; ТЭЛА — тромбоэмболия легочной артерии.
Наиболее часто послеоперационный период осложнялся инфекциями области хирургического вмешательства (ИОХВ-I) — 7 (18,4 %). У одного пациента после правосторонней гемиколэктомии (11,1 %) развилась несостоятельность анастомоза, что стало причиной летального исхода. В одном случае после правосторонней гемиколэктомии течение послеоперационного периода осложнилось внутрибрюшным кровотечением. Была выполнена релапаротомия, осуществлен гемостаз. Тем не менее пациент умер в раннем послеоперационном периоде от нарастающей сердечно-сосудистой недостаточности. У двух больных после операции типа Гартмана отмечен некроз колостомы, потребовавший реконструкции стомы. Оба случая имели летальный исход.
Среди экстраабдоминальных осложнений наиболее частым была пневмония, которая развилась у 8 пациентов (21,1 %). У одного пациента (11,1 %) течение послеоперационного периода осложнилось тромбоэмболией легочной артерии (ТЭЛА) и инфаркт-пневмонией с летальным исходом. В одном случае на фоне стандартной антибактериальной терапии отмечено развитие антибиотик-ассоциированного колита, но вовремя проведенная терапия позволила купировать это грозное осложнение. Сочетание осложнений в группе больных, оперированных традиционными методами, отмечено у 4 больных. После традиционных операций умерло 13 больных. Послеоперационная летальность в этой группе составила 34,2 %.
После операций, выполненных с помощью эндовидеохирургических технологий, осложнения в раннем послеоперационном периоде развились у трех больных (17,6 %). В двух случаях (11,8 %) после видеоассистированной правосторонней гемиколэктомии отмечено нагноение послеоперационной раны. У двух (11,8 %) больных зарегистрированы экстраабдоминальные осложнения. В одном случае после видеоассистированной правосторонней гемиколэктомии на фоне благоприятно протекающего послеоперационного периода у больной появилась острая неврологическая симптоматика. Это осложнение было своевременно распознано. Пациентка была переведена в отделение нейрореанимации. Затем проводилось этапное лечение в неврологическом отделении и отделении реабилитации. Больная была выписана с минимальным неврологическим дефицитом. В другом случае пациентке на фоне общего тяжелого состояния и IV стадии рака восходящей ободочной кишки была выполнена симптоматическая операция: формирование илеостомы эндовидеохирургическим методом. Течение послеоперационного периода осложнилось ТЭЛА и инфаркт-пневмонией, что в итоге, несмотря на проводимое лечение, привело к летальному исходу (см. табл. 4).
Таким образом, осложнения в послеоперационном периоде возникли у трех больных, оперированных эндовидеохирургическими методами (17,6 %), при этом у двоих пациентов наблюдалось сочетание осложнений (ИОХВ + + острое нарушение мозгового кровообращения; ТЭЛА + инфаркт-пневмония). В этой группе зафиксирован один летальный исход — после лапароскопической илеостомии. Послеоперационная летальность составила 5,9 %, общая послеоперационная летальность — 25,5 %.
Более благоприятное течение послеоперационного периода в случае выполнения операций с помощью малоинвазивных технологий привело к сокращению пребывания больных в стационаре: средний послеоперационный койко-день после традиционных операций составил 16,8, после видеоассистированных — 11,4.
Заключение
Таким образом, ПФВ опухоли ободочной кишки у больных пожилого и старческого возраста, по нашим данным, встречается в 10,1 % случаев в виде инфильтрата либо абсцедирования с развитием перитонита. Современные методы лучевой диагностики позволяют получить достоверные данные о локализации и распространенности опухоли в ободочной кишке, наличии и выраженности воспалительного процесса. Традиционные оперативные вмешательства при опухолях ободочной кишки сопровождаются значительным числом послеоперационных осложнений (36,8 %) и высокой послеоперационной летальностью (34,2 %). Улучшение результатов лечения этой категории пациентов возможно при использовании эндовидеохирургических технологий, при которых отмечены менее выраженный болевой синдром, ранняя активизация больных, уменьшение послеоперационных осложнений (17,6 %) и летальности (5,9 %).
About the authors
Nikolay I. Glushkov
North-Western State Medical University named after I.I. Mechnikov
Email: nikolay.glushkov@szgmu.ru
doctor of medical Sciences, Professor, head of the Department of General surgery
Russian Federation, 191015, Saint-Petersburg, Kirochnaya street, 41Maksim Yu. Kabanov
North-Western State Medical University named after I.I. Mechnikov; Saint Petersburg Hospital for War Veterans
Email: makskabanov@gmail.com
doctor of medical Sciences, Professor, head of the Hospital
Russian Federation, 191015, Saint-Petersburg, Kirochnaya street, 41; 193079, Saint-Petersburg, Narodnaya street 21, k.2Timofey L. Gorshenin
North-Western State Medical University named after I.I. Mechnikov; Saint Petersburg Hospital for War Veterans
Author for correspondence.
Email: tgorshenin@mail.ru
candidate of medical Sciences, associate Professor of General surgery, head of surgical Department
Russian Federation, 191015, Saint-Petersburg, Kirochnaya street, 41; 193079, Saint-Petersburg, Narodnaya street 21, k.2Konstantin V. Sementsov
North-Western State Medical University named after I.I. Mechnikov; Saint Petersburg Hospital for War Veterans
Email: konstantinsementsov@gmail.com
Russian Federation, 191015, Saint-Petersburg, Kirochnaya street, 41; 193079, Saint-Petersburg, Narodnaya street 21, k.2
Maria Ya. Belikova
North-Western State Medical University named after I.I. Mechnikov; Saint Petersburg Hospital for War Veterans
Email: belikova.mariya@mail.ru
Russian Federation, 191015, Saint-Petersburg, Kirochnaya street, 41; 193079, Saint-Petersburg, Narodnaya street 21, k.2
Yuriy A. Sizov
Saint Petersburg Hospital for War Veterans
Email: sizov_yuri@mail.ru
Russian Federation, 193079, Saint-Petersburg, Narodnaya street 21, k.2
Sabina K. Dulaeva
North-Western State Medical University named after I.I. Mechnikov; Saint Petersburg Hospital for War Veterans
Email: dulaevaskszgmu@mail.ru
Russian Federation, 191015, Saint-Petersburg, Kirochnaya street, 41; 193079, Saint-Petersburg, Narodnaya street 21, k.2
References
- Щаева С.Н. Тактические аспекты хирургического лечения осложненного колоректального рака (обзор литературы) // Онкологическая колопроктология. − 2017 – Т. 7. − № 1. − С. 63−65. [Shchaeva SN. Surgical treatment of complicated colorectal cancer: tactical aspects (a literature review). Colorectal oncology. 2017;7(1):63-65. (In Russ.)]. https://doi.org/10.17650/2220-3478-2017-7-1-57-68.
- Злокачественные новообразования в России в 2013 году (заболеваемость и смертность) / под ред. А.Д. Каприна, В.В. Старинского, Г.В. Петровой. – М.: Московский научно-исследовательский онкологический институт имени П.А. Герцена, 2015. – 250 с. [Zlokachestvennye novoobrazovaniya v Rossii v 2013 godu (zabolevaemost’ i smertnost’). Ed. by A.D. Kaprin, V.V. Starinskiy, G.V. Petrova. Moscow: Moskovskiy nauchno-issledovatel’skiy onkologicheskiy institut imeni P.A. Gertsena; 2015. 250 р. (In Russ.)]
- Шевченко Ю.Л., Стойко Ю.М., Левчук А.Л., и др. Сочетание осложненных форм рака толстой кишки: клиника, диагностика, хирургическая тактика // Вестник экспериментальной и клинической хирургии. − 2011. – Т. 4. − № 4. – С. 641–646. [Shevchenko YuL, Stoyko YuM, Levchuk AL, i dr. Sochetanie oslozhnennykh form raka tolstoy kishki: klinika, diagnostika, khirurgicheskaya taktika. Vestnik eksperimental’noy i klinicheskoy khirurgii. 2011;4(4):641-646. (In Russ).]
- Смертность населения по причинам смерти в 2018 году. Российская Федерация [электронный ресурс]. [Smertnost’ naseleniya po prichinam smerti v 2018 godu. Rossiyskaya Federatsiya (elektronnyy resurs)]. Доступно по: http://www.gks.ru/free_doc/new_site/population/demo/demo24-2.xls. Ссылка активна на 12.08.2019.
- Глушков Н.И., Горшенин Т.Л., Дулаева С.К. Непосредственные результаты хирургического лечения осложненного рака ободочной кишки у больных пожилого и старческого возраста // Успехи геронтологии. − 2018. – Т. 31. − № 4. − С. 574−578. [Glushkov NI, Gorshenin TL, Dulaeva SK. Immediate results of surgical treatment of complicated colorectal cancer in elderly and senile patients. Uspekhi gerontologii. 2018;31(4):574-578. (In Russ.)]
- Бобков О.В., Рудаков Д.А., Луфт В.М., и др. Нутриционная поддержка больных колоректальным раком, осложненным перифокальным инфильтратом и абсцессом [электронный ресурс] // www.medline.ru Онкология. – 2014. – Т. 15. – С. 1−7. [Bobkov OV, Rudakov DA, Luft VM, i dr. Nutritsionnaya podderzhka bol’nykh kolorektal’nym rakom, oslozhnennym perifokal’nym infil’tratom i abstsessom [elektronnyy resurs]. www.medline.ru Onkologiya. 2014;15:1-7. (In Russ.)]. Доступно по: https://onkoklinik.ru/nauch_raboty/ %D0 %BF %D0 %B8 %D1 %82 %D0 %B0 %D0 %BD %D0 %B8 %D0 %B5.pdf. Ссылка активна на 12.08.2019.
Supplementary files





