Hemangioma of the major duodenal papilla complicated with bleeding
- Authors: Rayn V.Y.1,2, Ionin V.P.1, Persidskiy MA.2
-
Affiliations:
- Khanty-Mansiysk state medical academy
- District Clinical Hospital of the Khanty-Mansiysk Autonomous Okrug – Ugra
- Issue: Vol 11, No 4 (2019)
- Pages: 81-85
- Section: Case report
- Submitted: 20.11.2019
- Accepted: 20.12.2019
- Published: 27.03.2020
- URL: https://journals.eco-vector.com/vszgmu/article/view/17846
- DOI: https://doi.org/10.17816/mechnikov201911481-85
- ID: 17846
Cite item
Abstract
Herein we report a case of hemangioma with a rare localization in the major duodenal papilla presenting with a recurrent intraluminal bleeding in a 60-years old patient. Late onset, clinical and endoscopic signs suspicious for malignancy and inability to rule out cancer by preoperative biopsy defined an aggressive surgical approach. The patient underwent classical Whipple procedure after failing an attempt of endovascular embolization of the posterior pancreatoduodenal artery with unfavorable surgical outcome. Available preoperative diagnostic modalities and their accuracy levels are discussed.
Full Text
Introduction
Hemangiomas of the small intestine account for 5% to 10% of benign tumors [1] and about 0.3% of all tumors in this region of the gastrointestinal tract (GIT), and those localized in the duodenum are extremely rare (3.4% of all GIT hemangiomas) [2]. These tumors are benign vascular lesions that develop as a result of dysembryoplastic processes in the mesenchymal tissue and represent capillary, cavernous, or structurally mixed formations of the submucosal layer and mucous membranes when localized in a hollow organ [3]. Bleeding, abdominal pain and even intestinal invagination with obstruction and perforation can occur, along with the asymptomatic hemangioma of the upper gastrointestinal tract [1, 3]. Regardless of the diagnostic capabilities, preoperative differential diagnostics is very complicated [4, 5]. An accurate diagnosis can often be established only after surgical removal when a histological examination of the preparation can be performed [6].
Because of the rarity of its localization and epidemiological aspects (onset in old age), we present an overview of a clinical case of hepatopancreatic ampulla hemangioma in a 60-year-old patient, which mimicked a periampullary malignant tumor complicated with recurrent intraluminal bleeding.
Clinical case
Patient D., 60 years old (167 cm, 98 kg, BMI 35.1 kg/m2), was admitted to the surgical department with a relapse of gastrointestinal bleeding with a detailed clinical presentation of melanorrhagia, epigastric pain, severe weakness and dizziness, and hypotension (arterial pressure 90/55 mm Hg). The patient had a history of high-risk hypertension and type 2 diabetes mellitus (without the need for insulin), blood transfusion, which caused no reactions and complications. The patient did not take any drugs, except for basic antihypertensive and antihyperglycemic therapy.
Based on the clinical manifestations of the anemic syndrome, anamnesis of intermittent epigastric pain, and laboratory data (hemoglobin 66 g/l; prothrombin index 60%; activated partial thromboplastin time 24 s; international normalized ratio 1.3), a blood and plasma transfusion was performed, and anti-ulcer and hemostatic therapy were started.
The patient was additionally examined. An ultrasound examination of the abdomen revealed moderate hepatosplenomegaly, signs of chronic pancreatitis, and secondary renal changes. According to fibrogastroduodenoscopy (Fig. 1), a giant major duodenal papilla (MDP) with an altered structure (25 mm in diameter, up to 50 mm in length), with a cyanotic surface, and areas of necrosis over the entire surface were visible in the postbulbar region of the intestine. There was hemorrhage from multiple sections of the altered MDP.
Fig. 1. Endoscopic view of the Vater’s papilla tumor after initiation of treatment with proton pump inhibitors
Рис. 1. Эндоскопическая картина после начала терапии блокаторами протонной помпы. Изъязвленная опухоль большого дуоденального сосочка с признаками состоявшегося кровотечения
A biopsy from the MDP mucosa No. 5 was performed (Fig. 2). Sections of the mucosa were lined with columnar glandular epithelium of the secretory type and had separately located, small fragments of intestinal-type epithelium with Paneth cells, without underlying tissues, and with signs of cellular atypism. It was concluded that the histological pattern could be observed with MDP adenocarcinoma.
Fig. 2. Tumor of the major duodenal papilla obtained via endoscopic biopsy at ×40 magnification. H&E
Рис. 2. Биоптат опухоли большого дуоденального сосочка. Окраска гематоксилином и эозином. Увеличение ×40
A multidisciplinary team meeting was held. Considering the patient’s age, medical history, endoscopic presentation, and microscopic examination of biopsy specimens from the MDP tumor with suspected adenocarcinoma, embolization of the pancreaticoduodenal artery was recommended as temporary hemostasis in preparation for radical surgery. In the case of the recurrence of hemorrhage, surgical treatment was indicated. The amount of intervention was determined intraoperatively, namely pancreatoduodenal resection in the case of resectability, or performing hemostasis in the case of non-resectability.
The patient underwent abdominal aortography, celiacography, and embolization of the posterior pancreatoduodenal arcade. An optimal angiographic result was obtained (there was no extravasation of the contrast agent).
With endoscopic control, a relapse of the hemorrhage from the MDP tumor was diagnosed after 24 hours. Hemodynamics tended to hypotension, and the hemoglobin level was 82 g/l.
An emergency laparotomy was performed on the patient. During the revision, a dense tuberous mass up to 3–4 cm in diameter was palpated in the projection of the pancreatic head and the duodenal lumen. The surgery was performed at night, without the possibility of an urgent histological examination. Therefore, the decision on the amount of intervention was made based on clinical data and the results of previous studies. The tumor was considered resectable. The patient underwent a gastropancreatoduodenal resection, as shown in the photo of the organ complex in Fig. 3.
Fig. 3. Specimen section: whitish dense tumor in the head of the pancreas
Рис. 3. Макропрепарат. На разрезе опухоль в головке поджелудочной железы
In connection with the findings (soft stump of the pancreas, the duct of Wirsung of 1 mm in diameter), the two-loop reconstruction option was chosen. A pancreatic-fistula-enteric anastomosis was performed on the short loop with the Felker drainage. The hepatic enteroanastomosis was superimposed with the short loop isolated according to Roux with the Felker drainage and was performed retrocolically. The gastroenteroanastomosis was a double-row retrocolical. The enteroenteroanastomosis was located between the main and isolated loops. The surgery was complicated by hemorrhage from the portal vein because of difficulties in isolation in the presence of the infiltrative and inflammatory processes along the posterior surface of the pancreatic head. The total blood loss was two liters. The collection was performed in the CellSaver apparatus, and reinfusion was 1300 ml.
Treatment in the intensive care unit was performed for three days. The patient was transferred to the specialized department with positive clinical and laboratory changes, where complex infusion and analgesic therapy was continued, which included prevention of stress ulcers, postoperative pancreatitis of the stump (Sandostatin at a dose of 0.1 mg subcutaneously three times a day), thromboembolic and infectious complications, nutritional support, care of drains and catheters.
The course of the postoperative period was complicated by a prolonged gastrointestinal paresis (three weeks of nasogastric intubation), the formation of subaponeurotic abscess, postoperative purulent pancreatitis of the stump, incomplete external biliary intestinal fistula (day 26 after surgery. Treatment included opening, drainage of the abscess, sealing the fistula with a Foley catheter), hospital-acquired right-sided pneumonia with the aspiration of bile (day 28 after surgery. Treatment included therapeutic bronchoscopy, antibiotic therapy, oxygen support through supported artificial pulmonary ventilation modes), sepsis with multiple organ failure syndrome (renal replacement therapy and inotropic support were required). On day 41, after pancreatoduodenal resection, the patient died in the presence of increasing multiple organ failure syndrome.
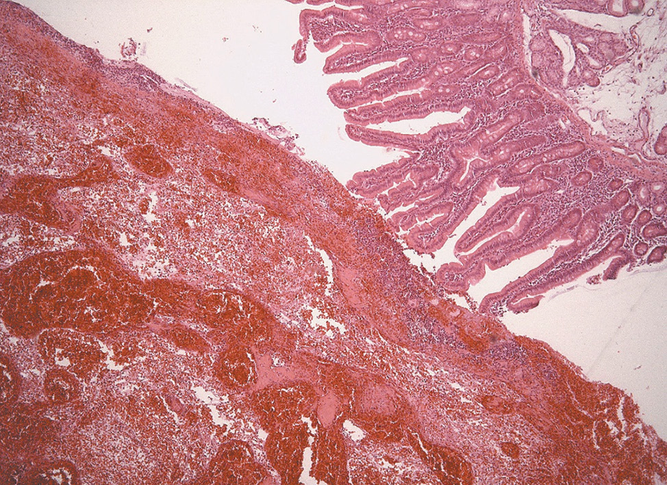
The histology results revealed chronic sclerosing pancreatitis with foci of purulent inflammation. This included hemangioma of the MDP with hemorrhage and lymphangioma of the pancreatic head. A malformation of the blood vessels of the gastric wall was also found (Fig. 4).
Fig. 4. Haemangioma located in the papilla of Vater at ×200 magnification. H&E
Рис. 4. Фрагмент микропрепаратов панкреатодуоденального комплекса. В большом дуоденальном сосочке склеротические изменения, структуры гемангиомы смешанного типа, выраженные кровоизлияния. Окраска гематоксилином и эозином, увеличение ×200
Discussion
Gastropancreatoduodenal resection is a standard treatment variant for malignant tumors of the pancreatic head and periampullary zone. It is less commonly performed for benign processes of this localization [6]. Hemangiomas with periampullary localization are rare [7, 8]. They can be clinically manifested by recurring pain in the upper abdomen, nausea, and vomiting [6], palpable asymptomatic masses, hydronephrosis [9] or, as in the presented case, manifest with gastrointestinal hemorrhage [10]. A routine diagnostic search is started with general clinical tests, an ultrasound examination of the abdominal cavity and retroperitoneal space, and fiber-esophagogastroduodenoscopy. These tests are usually supplemented with a biopsy. However, these studies are not always sufficiently informative, which prevents performing accurate preoperative diagnostics [6]. Several authors indicate that the diagnostic accuracy of endoscopy with biopsy is 67.3% [11]. Contrast computed tomography or magnetic resonance imaging of the abdomen used for clarifying the diagnosis, endoscopic ultrasonography, and fine-needle aspiration biopsy under EUS (endoscopic ultrasonography) navigation are not available in all clinics. However, the diagnostic accuracy of EUS is estimated in some studies as 62%–85% [12]. In this regard, there is every reason to consider an MDP tumor, complicated by recurrent hemorrhage, with onset in elderly age, as malignant. Because of the absence of an unambiguous histological conclusion on the tumor biopsy sample at the diagnostic stage and the impossibility of express biopsy intraoperatively, radical surgery was performed on a patient with an unfavorable comorbid presentation. Massive blood loss during surgery in a patient who was older, initially anemic, with risk factors led to several complications with an unfavorable outcome. Even though Whipple surgery still has high rates of postoperative complications and mortality [13–15], along with low rates of long-term survival [16, 17], pancreatoduodenal resection is indicated for any suspicious tumor-like lesions of the periampullar zone [6]. The unexpected results of the final histological examination emphasize that in doubtful cases of the differential diagnosis, the surgical method remains the gold standard [6].
Conclusion
Based on the analysis of this clinical case, we can conclude that it is necessary to predict all risks and maximize patient preconditioning before high-risk surgery. If urgent major surgery is unavoidable and express biopsy is possible, we recommend performing a duodenotomy, papillectomy, or a scalpel biopsy of the MDP tumor and/or a core biopsy from the head of the pancreas.
Conflict of interests. The authors declare no conflict of interest.
About the authors
Vasilisa Yu. Rayn
Khanty-Mansiysk state medical academy; District Clinical Hospital of the Khanty-Mansiysk Autonomous Okrug – Ugra
Author for correspondence.
Email: raynvu@okbhmao.ru
ORCID iD: 0000-0003-2406-0000
SPIN-code: 9455-8350
graduate student (department for general surgery, Khanty-Mansiysk State medical academy), surgeon (department for general surgery № 2 of the District Clinical Hospital of Khanty-Mansiysk, Russia
Russian Federation, 628011, Khanty-Mansiysk, Mira 40; 628012, Khanty-Mansiysk, Kalinina 40Vladimir P. Ionin
Khanty-Mansiysk state medical academy
Email: ionin.55@mail.ru
Doctor of Medical Sciences, Professor, Head of the Department of General and Faculty Surgery
Russian Federation, 628011, Khanty-Mansiysk, Mira 40M A. Persidskiy
District Clinical Hospital of the Khanty-Mansiysk Autonomous Okrug – Ugra
Email: mixajich@mail.ru
doctor of the first category of the pathoanatomical department
Russian Federation, 628012, Khanty-Mansiysk, Kalinina 40References
- Kuo LW, Chuang HW, Chen YC. Small bowel cavernous hemangioma complicated with intussusception: report of an extremely rare case and review of literature. Indian J Surg. 2015;77(Suppl 1):123-124. https://doi.org/10.1007/s12262-014-1194-3.
- Watanabe N, Nenohi K, Takeuchi K, et al. A case of duodenal epithelioid hemangioma causing gastrointestinal bleeding. Nihon Shokakibyo Gakkai Zasshi. 2012;109(12):2058-2065.
- Hu PF, Chen H, Wang XH, et al. Small intestinal hemangioma: endoscopic or surgical intervention? A case report and review of literature. World J Gastrointest Oncol. 2018;10(12):516-521. https://doi.org/10.4251/wjgo.v10.i12.516.
- Talaiezadeh A, Ranjbari N, Bakhtiari M. Pancreatic lymphangioma as a rare pancreatic mass: a case report. Iran J Cancer Prev. 2016;9(1):e3505. https://doi.org/10.17795/ijcp-3505.
- Lee HS, Jang JS, Lee S, et al. Diagnostic accuracy of the initial endoscopy for ampullary tumors. Clin Endosc. 2015;48(3):239-246. https://doi.org/10.5946/ce.2015.48.3.239.
- Lehwald N, Cupisti K, Baldus SE, et al. Unusual histological findings after partial pancreaticoduodenectomy including benign multicystic mesothelioma, adenomyoma of the ampulla of vater, and undifferentiated carcinoma, sarcomatoid variant: a case series. J Med Case Rep. 2010;4:402. https://doi.org/10.1186/1752-1947-4-402.
- Terada T. Pathologic observations of the duodenum in 615 consecutive duodenal specimens: I. benign lesions. Int J Clin Exp Pathol. 2012;5(1):46-51.
- Stolte M, Lux G. The duodenum and vater’s papilla: tumors and tumor-like lesions – a clinico-pathologic discussion. Leber Magen Darm. 1983;13(6):227-241.
- Fujii M, Saito H, Yoshioka M, Shiode J. Rare case of pancreatic cystic lymphangioma. Intern Med. 2018;57(6):813-817. https://doi.org/10.2169/internalmedicine.9445-17.
- Kanaji S, Nakamura T, Nishi M, et al. Laparoscopic partial resection for hemangioma in the third portion of the duodenum. World J Gastroenterol. 2014;20(34):12341-12345. https://doi.org/10.3748/wjg.v20.i34.12341.
- Lee HS, Jang JS, Lee S, et al. Diagnostic accuracy of the initial endoscopy for ampullary tumors. Clin Endosc. 2015;48(3):239-246. https://doi.org/10.5946/ce.2015.48.3.239.
- Ogura T, Hara K, Hijioka S, et al. Can endoscopic ultrasound-guided fine needle aspiration offer clinical benefit for tumors of the ampulla of vater? – An Initial Study. Endosc Ultrasound. 2012;1(2):84-89. https://doi.org/10.7178/eus.02.006.
- Pugalenthi A, Protic M, Gonen M, et al. Postoperative complications and overall survival after pancreaticoduodenectomy for pancreatic ductal adenocarcinoma. J Surg Oncol. 2016;113(2):188-193. https://doi.org/10.1002/jso.24125.
- Yang DJ, Xiong JJ, Liu XT, et al. Total pancreatectomy compared with pancreaticoduodenectomy: a systematic review and meta-analysis. Cancer Manag Res. 2019;11:3899-3908. https://doi.org/10.2147/CMAR.S195726.
- Lessing Y, Pencovich N, Nevo N, et al. Early reoperation following pancreaticoduodenectomy: impact on morbidity, mortality, and long-term survival. World J Surg Oncol. 2019;17(1):26. https://doi.org/10.1186/s12957-019-1569-9.
- Sandini M, Ruscic KJ, Ferrone CR, et al. Intraoperative dexamethasone decreases infectious complications after pancreaticoduodenectomy and is associated with long-term survival in pancreatic cancer. Ann Surg Oncol. 2018;25(13):4020-4026. https://doi.org/10.1245/s10434-018-6827-5.
- Chen K, Zhou Y, Jin W, et al. Laparoscopic pancreaticoduodenectomy versus open pancreaticoduodenectomy for pancreatic ductal adenocarcinoma: oncologic outcomes and long-term survival. Surg Endosc. 2019. https://doi.org/10.1007/s00464-019-06968-8.
Supplementary files







