Morphological features of the synovial membrane in patients with osteoarthritis after knee arthroplasty
- Authors: Tkachenko A.N.1, Deev R.V.1,2, Spichko A.A.1, Mansurov D.S.3, Urazovskaya I.L.1, Melchenko D.S.2, Presnyakov E.V.2, Galkov S.S.1, Gladyshev N.S.1, Magdalinov V.V.4, Savitski V.D.5
-
Affiliations:
- North-Western State Medical University named after I.I. Mechnikov
- Petrovsky National Research Centre of Surgery
- Samarkand State Medical University
- City Clinic No. 96
- Saint Petersburg State University
- Issue: Vol 16, No 2 (2024)
- Pages: 87-96
- Section: Original study article
- Submitted: 02.04.2024
- Accepted: 11.04.2024
- Published: 03.07.2024
- URL: https://journals.eco-vector.com/vszgmu/article/view/629870
- DOI: https://doi.org/10.17816/mechnikov629870
- ID: 629870
Cite item
Abstract
BACKGROUND: Inflammation of the synovial membrane is a common manifestation in osteoarthritis which plays a role in complex pathophysiology of osteoarthritis. Synovitis leads to complications during knee replacement.
AIM: To give clinical and morphological characteristics of the knee joint condition by histological assessment of the synovial membrane.
MATERIALS AND METHODS: In the clinic of traumatology and orthopedics of North-Western State Medical University named after I.I. Mechnikov in 2022, 187 total knee arthroplasty operations were performed in patients with osteoarthritis. For morphological study of the synovial membrane of the knee joint biopsy specimens were taken from 30 patients (19 women and 11 men) by randomized sampling method. The age of patients: from 40 to 76 years, the average age was 59,3 ± 6,7 years. Immunohistochemical reactions were performed to characterize the cellular composition of the inflammatory infiltrate; antibodies to CD68, CD3, CD20, CD138, Ki-67 were used. Morphometry was performed at ×400 magnification.
RESULTS: Only 48 (25.7%) patients had at least one course of inpatient conservative or minimally invasive surgical treatment for osteoarthritis of the knee joint before total knee arthroplasty. 18 (9.6%) patients had intraoperative and postoperative complications. Among 30 morphological studies conducted, 3 (10%) patients had verified stage I osteoarthritis of the knee joint, 8 (26.7%) were diagnosed with stage II osteoarthritis, and 19 (63.3%) — stage III osteoarthritis. Significant correlation was obtained between cells stained with antibodies to CD3 and CD20 (r = 0.69; p < 0.05), CD68 and CD138 (r = 0.66; p < 0.05). Cluster analysis identified three groups of patients with severe (10%), moderate (30%) and weak/absent infiltration (60%).
CONCLUSIONS: To correct the treatment strategy for patients with osteoarthritis of the knee joint, it is advisable to strengthen the role of arthroscopic methods in the diagnostic and treatment processes.
Full Text
ОБОСНОВАНИЕ
Остеоартрит — одно из самых распространенных заболеваний. Во всем мире эта патология верифицирована более чем у 300 млн человек [1–3]. В Российской Федерации остеоартрит наиболее часто диагностируют у пациентов старших возрастных групп, при этом в последние годы сохраняется тенденция к росту заболеваемости [4–6]. Только в Санкт-Петербурге зарегистрировано более 250 тыс. людей с данной патологией [7]. Коленный сустав — одна из самых частых локализаций остеоартрита.
Лечением остеоартрита коленного сустава занимаются специалисты разного профиля: терапевты, ортопеды-травматологи, ревматологи, реабилитологи и др. Эндопротезирование (артропластика) коленного сустава на сегодняшний день является операцией выбора при лечении остеоартрита в далеко зашедших стадиях. Вместе с тем его результаты далеко не всегда можно считать положительными [8].
Течение остеоартрита коленного сустава нередко сопровождается воспалением синовиальной оболочки. По мнению ряда исследователей, реактивный синовит с одной стороны неблагоприятно влияет на течение послеоперационного периода при эндопротезировании коленного сустава [9–11], а с другой — сам может быть осложнением после артропластики коленного сустава в отдаленные после операции сроки [12]. Некоторые исследователи считают такое осложнение прогностически неблагоприятным фактором развития перипротезной инфекции [13, 14]. Изучение состояния синовиальной оболочки при планировании хирургического лечения остеоартрита коленного сустава ряд авторов считают целесообразным [15]. При планировании артропластики коленного сустава как метода выбора лечения остеоартрита учитывают клиническую картину заболевания, его клинико-рентгенологическая стадию, характер и степень выраженности патологии, пожелания пациента и ряд других критериев. Вместе с тем вопросы определения степени развития синовита на момент операции практически остаются без внимания.
Цель исследования — дать клинико-морфологическую характеристику коленного сустава с применением гистологической оценки синовиальной оболочки.
МАТЕРИАЛЫ И МЕТОДЫ
В клинике травматологии и ортопедии СЗГМУ им. И.И. Мечникова в 2022 г. проведено 187 хирургических вмешательств первичного тотального эндопротезирования сустава в связи с остеоартритом. Методом рандомизированной выборки для прижизненного патологоанатомического исследования взяты материалы синовиальной оболочки удаленного коленного сустава у 30 пациентов в возрасте от 40 до 76 лет (19 женщин и 11 мужчин). У всех пациентов получено информационное согласие на участие в исследовании. Этические стандарты, изложенные в Хельсинкской декларации, соблюдены в полном объеме.
Фрагменты синовиальной оболочки фиксировали в 10 % растворе забуференного формалина не менее суток. Гистологическую проводку, заливку и микротомию осуществляли по стандартной методике [16, 17], толщина срезов составляла 3 мкм. Препараты окрашивали гематоксилином и эозином. Для иммуногистохимических реакций применяли антитела к CD68 (168M-95, мышиные моноклональные антитела), CD3 (103-R94, кроличьи моноклональные антитела, США), CD20 (PBM-5C3, мышиные моноклональные антитела), CD138 (138М-14, кроличьи моноклональные антитела, США), Ki-67 (мышиные моноклональные антитела, клон GM0010, США). Морфометрию осуществляли с использованием световой микроскопии при увеличении ×400, площадь поля зрения составила 0,25 мм2. Оценивали тканевый состав синовиальной оболочки, состояние кровеносных сосудов, иммунофенотипический состав воспалительного лейкоцитарного инфильтрата. Статистический анализ и визуализацию данных выполняли с использованием программы R версии 4.2.2 и пакетов ggplot2, GGally, corrplot, rcorr.
РЕЗУЛЬТАТЫ
Клиническая характеристика включенных пациентов
Проанализированы данные, касающиеся 187 пациентов, перенесших в 2022 г. первичное тотальное эндопротезирование коленного сустава в связи с остеоартритом в клинике травматологии и ортопедии СЗГМУ им. И.И. Мечникова. Средний возраст пациентов констатирован на уровне 59,3 ± 6,7 года (от 40 до 76 лет).
Сведения о возрасте и гендерной принадлежности пациентов, выписанных после эндопротезирования коленного сустава из клиники, представлены в таблице.
Таблица. Распределение пациентов, перенесших первичное тотальное эндопротезирования коленного сустава в связи с остеоартритом с учетом их возраста и половой принадлежности
Table. Distribution of the patients who underwent primary total knee arthroplasty in connection with osteoarthritis, taking into account their age and gender
Возраст | Mужчины, n (%) | Женщины, n (%) | Всего, n (%) |
18–44 | 8 (4,3) | 15 (8,0) | 23 (12,3) |
45–64 | 32 (17,1) | 57 (30,5) | 89 (47,6) |
65 и более | 22 (11,8) | 53 (28,3) | 75 (40,1) |
Всего | 62 (33,2) | 125 (66,8) | 187 (100) |
Как следует из данных таблицы, среди пациентов молодого возраста преобладали женщины — 15 (8 %) против 8 (4,3 %) мужчин. В группах больных среднего и старшего возраста также преобладали женщины. При этом среди пациентов молодого и пожилого возраста соотношение количества мужчин и женщин составило 1 : 2, а в группе среднего возраста (от 45 до 64 лет) — 1 : 3 (11,8 и 28,3 % соответственно).
По анамнестическим данным только 48 (25,7 %) больных до эндопротезирования хотя бы один раз находились на курсе стационарного консервативного или малоинвазивного хирургического лечения по поводу остеоартрита коленного сустава. В большинстве случаев [в 139 (74,3 %) наблюдениях] имело место только амбулаторное лечение.
У всех 187 пациентов перед операцией выполняли рентгенологическое исследование коленного сустава. Магниторезонансную томографию проводили в 84 (44,9 %) случаях. После стандартного обследования перед артропластикой диагноз «остеоартрит коленного сустава III стадии» был поставлен 123 (65,8 %) больным. В 64 (34,2 %) наблюдениях констатирован остеоартрит коленного сустава II или III стадии.
Во время эндопротезирования коленного сустава и в раннем послеоперационном периоде после артропластики были верифицированы местные и общие осложнения. В подавляющем большинстве случаев результаты артропластики были расценены как положительные. Вместе с тем у 18 (9,6 %) пациентов отмечены интраоперационные и послеоперационные осложнения. Среди интраоперационных осложнений отмечали местные нарушения связочного аппарата коленного сустава [в 4 (2,1 %) случаях] — 2 повреждения боковых связок и 2 травмы четырехглавой мышцы бедра. При анализе послеоперационных осложнений отмечено 2 (1,1 %) случая поверхностной инфекции области хирургического вмешательства. В структуре общих осложнений превалировали нарушения со стороны сердечной деятельности [в 4 (2,1 %) наблюдениях]. Летальные исходы во время операции и в раннем послеоперационном периоде не зафиксированы.
Патогистологическая характеристика биоптатов синовиальных оболочек
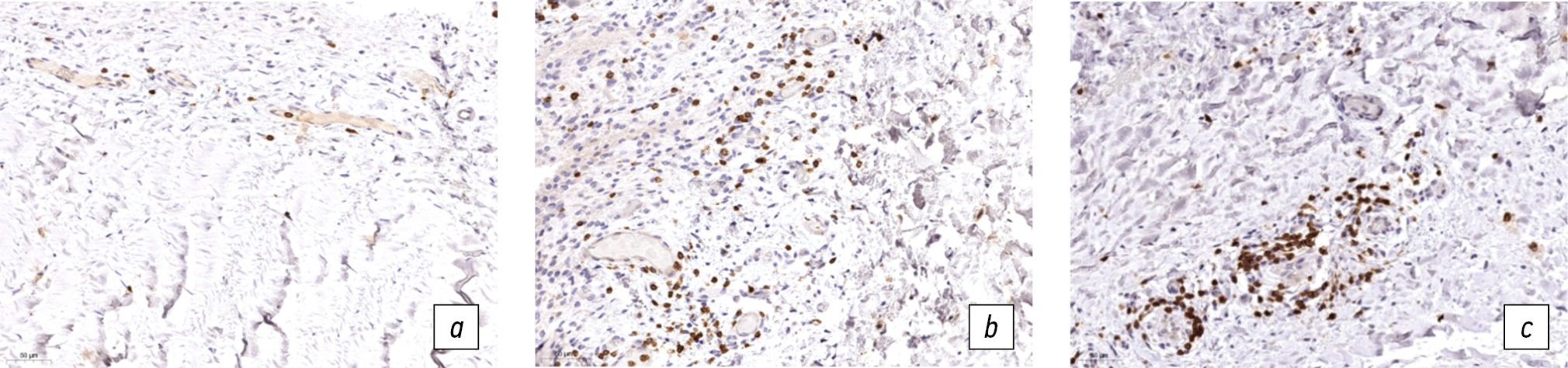
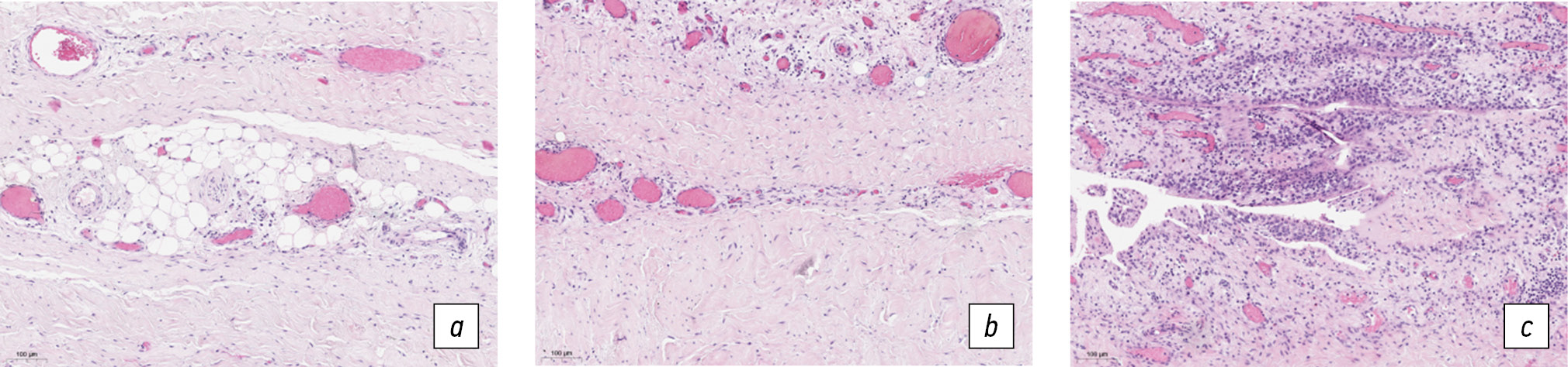
Установлено, что длительность заболевания влечет за собой уплотнение структуры волокнистой соединительной ткани. Следует отметить, что среди 30 морфологических исследований у 8 (26,7 %) пациентов полуколичественно (по всем клеткам в составе воспалительного инфильтрата) верифицирована слабая воспалительная инфильтрация в синовии (рис. 1, a), в 12 (40 %) случаях — умеренная (рис. 1, b) и в 10 (33,3 %) — выраженная (рис. 1, c). Аналогичную картину наблюдали при иммуногистохимической реакции с антителами (рис. 2, a, b, c).
Рис. 1. Биоптаты синовиальных оболочек. Инфильтрация соединительной ткани синовиальной оболочки: слабая (a), умеренная (b) и интенсивная (c). Масштабный отрезок 100 мкм. Окраска гематоксилином и эозином. Увеличение: ×100
Fig. 1. Biopsies of synovial membranes. Infiltration of the connective tissue of the synovial membrane: weak (a), moderate (b) and intensive (c). The scale segment is 100 microns. Staining: hematoxylin and eosin. Magnification: ×100
Рис. 2. Биоптаты синовиальных оболочек. Иммуногистохимическая реакция с антителами: a — к CD3 (Т-лимфоциты); b — к CD20 (B-лимфоциты); c — к CD68 (макрофаги), продукт реакции коричневого цвета. Инфильтрация соединительной ткани синовиальной оболочки: слабая (a) умеренная (b) и выраженная (c). Масштабный отрезок 50 мкм. Докраска гематоксилином Майера
Fig. 2. Biopsies of synovial membranes. Immunohistochemical reaction with antibodies: a, to CD3 (T-lymphocytes); b, to CD20 (B-lymphocytes); c, to CD68 (macrophages), a brown reaction product. The severity of infiltration of the connective tissue of the synovial membrane: weak (a), moderate (b), pronounced infiltration (c). The scale segment is 50 microns. Staining with Mayer’s hematoxylin
Клеточный инфильтрат в основном однотипен и обладает гистиоцитарно-лимфоцитарным характером.
График, отображающий корреляции между иммуногистохимически окрашенными клетками в 10 полях зрения при увеличении ×400 (площадь поля зрения составила 0,25 мм2), представлен на рис. 3.
Рис. 3. Корреляционная матрица. Зачеркнуты коэффициенты корреляций c p > 0,05
Fig. 3. Correlation matrix. Correlation coefficients with p > 0.05 are crossed out
Как следует из рис. 3, количество T-лимфоцитов (CD3+) коррелирует с уровнем B-лимфоцитов (CD20+) (r = 0,69; p < 0,05), а М1-макрофаги (CD68+) — с уровнем плазмоцитов (CD138+) (r = 0,66; p < 0,05). Несмотря на значимость корреляций, данный анализ не передает выраженность воспалительной инфильтрации и ее специфику. Для классификации синовиальных оболочек по степени выраженности воспалительного инфильтрата и описания его особенностей построена тепловая карта (рис. 4).
Рис. 4. Тепловая карта, отражающая кластеры инфильтрации (выраженная, умеренная, слабая/отсутствует)
Fig. 4. Heat map reflecting infiltration clusters (pronounced, moderate, weak/absent)
Выраженной воспалительной инфильтрацией характеризовались 10 % синовиальных оболочек, умеренной — 30 % и слабой/отсутствующей — 60 %. Отмечена также взаимосвязь между T-лимфоцитами (CD3+) и B-лимфоцитами (CD20+), плазмоцитами (CD138+) и М1-макрофагами (CD68+), что согласуется с данными корреляционного анализа. В то же время инфильтрация М2-макрофагами (CD163+) была менее зависима от других клеток воспалительного инфильтрата.
Для анализа влияния клеток воспалительного инфильтрата на выраженность воспаления использован метод главных компонент (рис. 5).
Рис. 5. Метод главных компонент. Стрелками указано влияние количества окрашенных клеток на положение точек на координатах
Fig. 5. Principal component analysis. The arrows indicate the effect of the number of colored cells on the position of the points on the coordinates
Из графика видно, что большую долю в случае 34сс вносят Т-лимфоциты (CD3+), B-лимфоциты (CD20+), плазмоциты (CD138+) и М1-макрофаги (CD68+). В свою очередь структура инфильтрата в случае умеренной инфильтрации (35сс) отличается от показателей при 32сс и 33сс, где большее влияние оказывают М2-макрофаги (CD163+). Большим количеством М1-макрофагов (CD68+) из кластера со слабой/отсутствующей инфильтрацией обладали случаи 36сс и 38сс. Оставшиеся синовиальные оболочки характеризовались минимальной воспалительной инфильтрацией.
Измерен также индекс пролиферативной активности клеток синовиальных оболочек (рис. 6).
Рис. 6. Столбчатая диаграмма, отражающая индекс пролиферативной активности в синовиальных оболочках
Fig. 6. A bar chart showing the index of proliferative activity in synovial membranes
Из всех исследуемых образцов Ki-67-положительная окраска выявлена в 30 % случаев, причем входящих в кластер со слабой/отсутствующей инфильтрацией. Однако наибольшим индексом пролиферативной активности обладал случай 36cc, где в составе воспалительного инфильтрата обнаруживали плазмоциты (CD138+) и М1-макрофаги (CD68+). Случай с похожим составом воспалительного инфильтрата (38сс) не окрашивали Ki-67.
ОБСУЖДЕНИЕ
Вне всякого сомнения, при артропластике коленного сустава ортопеды-травматологи руководствовались не только данными рентгенологических или томографических методов исследования и предполагаемой стадией остеоартрита. Они учитывали также особенности клинической картины (интенсивность болевого синдрома, эффективность консервативного лечения, длительность заболевания), результаты исследования стабильности коленного сустава и данные о состоянии связочного аппарата и др. Однако интраоперационные находки в виде выраженного реактивного синовита приводили к коррекции хирургического и медикаментозного лечения пациентов.
В целом у всех 30 пациентов интраоперационных осложнений не было. Самым частым ранним послеоперационным осложнением была лимфорея — в 6 (20 %) случаях. При этом у 8 пациентов с верифицированной слабой инфильтрацией синовиальной оболочки такое осложнение не отмечено. В 12 случаях умеренных инфильтративных изменений в синовии лимфорея диагностирована у 2 (16,7 %) пациентов. Наиболее часто длительное истечение серозного отделяемого по дренажам констатировали у больных с выраженными инфильтрационными изменениями в синовиальной оболочке коленного сустава — в 4 (40 %) наблюдениях.
Эндопротезирование коленного сустава — операция высокой категории сложности. Артропластику могут сопровождать интра- или послеоперационные осложнения, вплоть до летального исхода. Пациенты далеко не всегда соблюдают рекомендации врача по ограничению движений в оперированном суставе и соблюдению особого режима, что также ведет к разного рода осложнениям. Срок жизни импланта не безграничен, а результаты реэндопротезирования оставляют желать лучшего. К тому же показания к эндопротезированию несовершенны и постоянно подвержены уточнениям в сторону ограничения. С другой стороны, в структуре здравоохранения Российской Федерации не предусмотрена система диспансеризации пациентов с остеоартритом. Стационарное лечение таких больных в рамках обязательного медицинского страхования осуществляют по самым дешевым тарифам, а взаимодействие терапевтов, ортопедов, ревматологов, реабилитологов и специалистов по восстановительной медицине не регламентировано жестким алгоритмом. Аналогичная ситуация отмечена в США, странах Евросоюза и Азии.
По данным морфологического исследования можно предположить, что в целом у 6 (20 %) пациентов с подтвержденным повышенным выделением серозной жидкости есть высокий риск развития инфекции в области хирургического вмешательства. Вероятно, морфологическое исследование синовиальной оболочки перед эндопротезированием коленного сустава будет целесообразно для определения риска развития перипротезной инфекции и коррекции предоперационной подготовки в плане лечения синовита. Санационно-диагностическая артроскопия могла бы быть в этом случае операцией выбора, так как она позволяет санировать полость коленного сустава, что ведет к снижению выраженности явлений синовита, и осуществить биопсию синовии для гистологического исследования.
Представленные результаты побуждают провести специальное исследование, посвященное коррекции стратегии лечения пациентов с остеоартритом коленного сустава и направленное на усиление роли артроскопических (органосохраняющих) способов терапии данного заболевания. Статья носит информационно-описательный характер. Результаты исследования следует считать исходными и использовать при статистическом анализе в качестве контрольных показателей после разработки и внедрения алгоритма комплексного лечения остеоартрита коленного сустава.
ЗАКЛЮЧЕНИЕ
Как в России, так и во всем мире растет количество публикаций, посвященных преждевременному эндопротезированию коленного сустава при остеоартрите вместо использования потенциала малоинвазивных хирургических методик [18–20].
Для коррекции стратегии лечения больных остеоартритом коленного сустава целесообразно усилить роль артроскопических методов в диагностическом и лечебном процессах.
Выявлены значимые корреляции между Т-лимфоцитами и B-лимфоцитами, а также М1-макрофагами и плазмоцитами.
По степени выраженности воспалительной инфильтрации выделены три кластера. Наибольшее влияние на выраженное воспаление оказывали Т-лимфоциты (CD3+), B-лимфоциты (CD20+), плазмоциты (CD138+) и М1-макрофаги (CD68+). М2-макрофаги были описаны в части случаев слабой инфильтрации и характеризовали высокий индекс пролиферативной активности. В 33,3 % случаев умеренной инфильтрации наибольший вклад в ее структуру вносили плазмоциты, Т-лимфоциты и М2-макрофаги.
ДОПОЛНИТЕЛЬНАЯ ИНФОРМАЦИЯ
Источник финансирования. Исследование проведено без спонсорской поддержки.
Конфликт интересов. Авторы декларируют отсутствие явных и потенциальных конфликтов интересов, связанных с публикацией настоящей статьи.
Вклад авторов. Все авторы внесли существенный вклад в разработку концепции, проведение исследования и подготовку статьи, прочли и одобрили финальную версию перед публикацией.
Наибольший вклад распределен следующим образом: А.Н. Ткаченко — идеологическая концепция работы, написание текста; Р.В. Деев — идеологическая концепция работы, написание текста, редактирование; А.А. Спичко, Д.Ш. Мансуров, И.Л. Уразовская — написание текста, редактирование; Д.С. Мельченко, Н.С. Гладышев, В.В. Магдалинов, В.Д. Савицкий — сбор и обработка материалов; Е.В. Пресняков, С.С. Гальков — анализ полученных данных.
Этический комитет. Протокол исследования был одобрен локальным этическим комитетом СЗГМУ им. И.И. Мечникова (№ 2 от 07.02.2024).
ADDITIONAL INFORMATION
Funding source. The study had no external funding.
Competing interests. The authors declare that they have no competing interests.
Author contribution. All the authors have made a significant contribution to the development of the concept, research, and preparation of the article as well as read and approved the final version before its publication.
Personal contribution of the authors: A.A. Tkachenko — the ideological concept of the paper, text writing; R.V. Deev — the ideological concept of the paper, text writing, editing; A.A. Spichko, D.Sh. Mansurov, I.L. Urazovskaya — text writing, editing; D.S. Melchenko, N.S. Gladyshev, V.V. Magdalinov, V.D. Savitsky — collection and processing of materials; E.V. Presnyakov, S.S. Galkov — analysis of the obtained data.
Ethics approval. The present study protocol was approved by the local Ethics Committee of the North-Western State Medical University named after I.I. Mechnikov (No. 2 dated 02.07.2024).
About the authors
Aleksandr N. Tkachenko
North-Western State Medical University named after I.I. Mechnikov
Author for correspondence.
Email: altkachenko@mail.ru
ORCID iD: 0000-0003-4585-5160
SPIN-code: 2658-0405
MD, Dr. Sci. (Med.), Professor
Russian Federation, Saint PetersburgRoman V. Deev
North-Western State Medical University named after I.I. Mechnikov; Petrovsky National Research Centre of Surgery
Email: roman.deev@szgmu.ru
ORCID iD: 0000-0001-8389-3841
SPIN-code: 2957-1687
MD, Cand. Sci. (Med.), Assistant Professor
Russian Federation, Saint Petersburg; MoscowAlexander A. Spichko
North-Western State Medical University named after I.I. Mechnikov
Email: dr.nl@mail.ru
ORCID iD: 0000-0002-9355-1068
SPIN-code: 3476-8212
врач-травматолог
Russian Federation, Saint PetersburgDjalolidin Sh. Mansurov
Samarkand State Medical University
Email: jalolmedic511@gmail.com
ORCID iD: 0000-0002-1799-641X
SPIN-code: 1330-6583
MD, Cand. Sci. (Med.)
Uzbekistan, SamarkandIrina L. Urazovskaya
North-Western State Medical University named after I.I. Mechnikov
Email: doc.urazovskaya@gmail.com
ORCID iD: 0000-0003-4165-4599
SPIN-code: 9263-4316
MD, Cand. Sci. (Med.)
Russian Federation, Saint PetersburgDmitry S. Melchenko
Petrovsky National Research Centre of Surgery
Email: d-melchenko@rambler.ru
ORCID iD: 0000-0003-1394-8004
SPIN-code: 5519-8991
Russian Federation, Moscow
Evgeny V. Presnyakov
Petrovsky National Research Centre of Surgery
Email: uvpres@gmail.com
ORCID iD: 0000-0003-1546-5129
SPIN-code: 4001-4715
Russian Federation, Moscow
Stanislav S. Galkov
North-Western State Medical University named after I.I. Mechnikov
Email: stas.galkoff@yandex.ru
ORCID iD: 0009-0006-5714-906X
SPIN-code: 5745-8524
MD, resident of the department
Russian Federation, Saint PetersburgNikita S. Gladyshev
North-Western State Medical University named after I.I. Mechnikov
Email: krinege@mail.ru
ORCID iD: 0000-0003-2732-5676
SPIN-code: 1852-6469
MD, resident of the department
Russian Federation, Saint PetersburgVadim V. Magdalinov
City Clinic No. 96
Email: magdalinov97@list.ru
ORCID iD: 0009-0005-2786-513X
Russian Federation, Saint Petersburg
Viachaslav D. Savitski
Saint Petersburg State University
Email: slava_savitski@mail.ru
ORCID iD: 0000-0002-7367-7528
SPIN-code: 4602-6404
Russian Federation, Saint Petersburg
References
- Xu Y, Wu Q. Trends and disparities in osteoarthritis prevalence among US adults, 2005-2018. Sci Rep. 2021;11(1):218–245. doi: 10.1038/s41598-021-01339-7
- Blanco FJ, Silva-Díaz M, Vila VQ, et al. Prevalence of symptomatic osteoarthritis in Spain: EPISER2016 study. Reumatol Clin (Engl Ed). 2021;17(8):461–470. doi: 10.1016/j.reuma.2020.01.008
- Allen KD, Thoma LM, Golightly YM. Epidemiology of osteoarthritis. Osteoarthritis Cartilage. 2022;30(2):184–195. doi: 10.1016/j.joca.2021.04.020
- Balabanova RM, Dubinina TV. Dynamics of five-year incidence of diseases of the musculoskeletal system and their prevalence among the adult population of Russia for 2013–2017. Modern Rheumatology. 2019;13(4):11–17. EDN: VFVQEE doi: 10.14412/1996-7012-2019-4-11-17
- Naumov AV, Khovasova NO, Moroz VI, Tkacheva O.N. Osteoarthritis and geriatric syndromes. S.S. Korsakov Journal of Neurology and Psychiatry. 2019;119(9–2):90–98. EDN: YCAAII doi: 10.17116/jnevro201911909290
- Portyannikova OO, Zwinger SM, Govorin AV, Romanova EN. Analysis of the prevalence and risk factors for the development of osteoarthritis in the population. Modern rheumatology. 2019;13(2):105–111. EDN: QJHMIG doi: 10.14412/1996-7012-2019-2-105-111
- Mazurov VI, Sayganov SA, Tkachenko AN, et al. Prevalence of osteoarthritis and problems of its statistical recording. Zdorov’e — osnova chelovecheskogo potenciala: problemy i puti ih resheniya. 2021;16(2):764–770. EDN: DBYYAJ
- Harding P, Holland AE, Delany C, Hinman RS. Do activity levels increase after total hip and knee arthroplasty? Clin Orthop Relat Res. 2014;472(5):1502–1511. doi: 10.1007/s11999-013-3427-3
- Klyushin NM, Ababkov YuV, Ermakov AM. Paraprosthetic infection as a cause of revision interventions after total knee replacement: etiology, diagnosis, treatment. Transbaikalian Medical Bulletin. 2015;2:189–197. EDN: TWEMST
- Kosareva MA, Mikhailov IN, Tishkov NV. Modern principles and approaches to the treatment of gonarthrosis. Modern problems of science and education. 2018;6:69–69. EDN: PNLADH doi: 10.17513/spno.28292
- Marchand RC, Sodhi N, Khlopas A, et al. Coronal correction for severe deformity using robotic-assisted total knee arthroplasty. J Knee Surg. 2018;31(1):2–5. doi: 10.1055/s-0037-1608840
- Yamanaka H, Goto K, Suzuki M. Clinical results of Hi-tech Knee II total knee arthroplasty in patients with rheumatoid athritis: 5- to 12-year follow-up. J Orthop Surg Res. 2012;7(1):9. doi: 10.1186/1749-799x-7-9
- Kim SG, Kim JG, Jang KM, et al. Value of synovial white blood cell count and serum C-reactive protein for acute periprosthetic joint infection after knee arthroplasty. J Arthroplasty. 2017;32(12):3724–3728. doi: 10.1016/j.arth.2017.07.013
- Blanco JF, Díaz A, Melchor FR, et al. Risk factors for periprosthetic joint infection after total knee arthroplasty. Arch Orthop Trauma Surg. 2020;140(2):239–245. doi: 10.1007/s00402-019-03304-6
- Mayr H, Stoehr A. Complications of knee arthroscopy. Orthopäde. 2016;45(1):4–12. (In German) doi: 10.1007/s00132-015-3182-0
- Sarkisov DS, Perov YuL. Microscopic technique. Moscow, Meditsina; 1996. 544 p. (In Russ.)
- Custers RJ, Creemers LB, Verbout AJ, et al. Reliability, reproducibility and variability of the traditional Histologic/Histochemical Grading System vs the new OARSI Osteoarthritis Cartilage Histopathology Assessment System. Osteoarthritis Cartilage. 2007;15(11):1241–1248. doi: 10.1016/j.joca.2007.04.017
- Riddle DL, Jiranek WA, Hayes CW. Use of a validated algorithm to judge the appropriateness of total knee arthroplasty in the United States: a multicenter longitudinal cohort study. Arthritis Rheumatol. 2014;66(8):2134–2143. doi: 10.1002/art.38685
- Ghomrawi HM, Alexiades M, Pavlov H, et al. An evaluation of two appropriateness criteria for total knee replacement. Arthritis Care Res (Hoboken). 2014;66(11):1749–1753. doi: 10.1002/acr.22390
- Franklin P, Nguyen U, Ayers D, et al. Improving the criteria for appropriateness of total joint replacement surgery: comment on the article by Riddle et al. Arthritis Rheumatol. 2015;67(2):585. doi: 10.1002/art.38926
Supplementary files









