Diagnostics and surgical tactics in case of combined complications of colon cancer in elderly and senile patients
- 作者: Glushkov N.I.1, Gorshenin T.L.1, Dulaeva S.K.1
-
隶属关系:
- North-Western State Medical University named after I.I. Mechnikov
- 期: 卷 10, 编号 2 (2018)
- 页面: 79-86
- 栏目: Articles
- ##submission.dateSubmitted##: 07.08.2018
- ##submission.datePublished##: 15.12.2018
- URL: https://journals.eco-vector.com/vszgmu/article/view/9284
- DOI: https://doi.org/10.17816/mechnikov201810279-86
- ID: 9284
如何引用文章
全文:
详细
The results of diagnostics and surgical treatment of the combined complications of colon cancer in elderly and senile patients are presented. It is established that modern ray methods of research, along with traditional methods, allow to improve the quality of diagnostics of combined complications. The introduction of endovideosurgical technologies helps to reduce the number of postoperative complications and lethality.
全文:
Введение
Рак ободочной кишки (РОК) продолжает оставаться актуальной медико-социальной проблемой. По данным М.И. Давыдова и др. (2012), в России зарегистрировано 34 238 новых случаев РОК. У большинства больных, обращающихся за медицинской помощью, верифицируют III–IV стадии заболевания. В результате запоздалой верификации РОК большинство больных поступают в общехирургические стационары по поводу осложнений этого заболевания [2–4, 10]. Среди больных с осложненными формами рака пациенты пожилого и старческого возраста составляют от 42,5 до 86,2 % [1, 5]. К осложнениям РОК относятся острая кишечная непроходимость (ОКН), перифокальное воспаление (ПФВ) и абсцесс, кровотечение, перфорация опухоли, инвазия опухоли в соседние органы и ткани [6]. Наряду с основными осложнениями РОК встречаются случаи их сочетания. Работы, посвященные лечению сочетанных осложнений РОК, немногочисленны [7–9].
Цель исследования — улучшить диагностику и хирургическое лечение при сочетанных осложнениях рака ободочной кишки у больных пожилого и старческого возраста путем использования современных методов лучевой диагностики и эндовидеохирургических мини-инвазивных вмешательств.
Материалы и методы
Из 545 оперированных нами больных в период с 2008 по 2016 г. по поводу осложнений РОК у 100 (18,3 %) пациентов отмечено сочетание осложнений. Причем у 74 пациентов эти осложнения развивались на фоне местнораспространенного опухолевого процесса (МРП), когда имелась инвазия опухоли в соседние органы и ткани (рис. 1).
Рис. 1. Сочетания осложнений рака ободочной кишки
Fig. 1. Combinations of complications of colon cancer
Возраст больных варьировал от 65 до 96 лет, составив в среднем 85,6 года. Женщин было 70 (70 %), мужчин — 30 (30 %). В экстренном порядке поступили в госпиталь 82 (82 %) пациента. У 18 больных (18 %) осложнения РОК выявлены на смежных отделениях госпиталя. Среди пациентов, доставленных бригадой скорой помощи в сроки 12–24 часа от начала заболевания, были лишь 11 больных (13,4 %). Позже 24 часов поступил 71 пациент (86,6 %). При этом 56 пациентов (68,3 %) — позднее трех суток. Сочетание различных заболеваний со стороны основных органов и систем выявлено у всех больных. Индекс коморбидности Charlson варьировал от 6 до 12, составив в среднем 9,8. Локализация опухоли чаще отмечалась в левой половине толстой кишки — 60 пациентов (60 %) (слепая кишка — 15, восходящая ободочная — 10; печеночный угол — 6; поперечно-ободочная — 9, селезеночный угол — 5, нисходящая ободочная — 6, сигмовидная — 26, ректосигмоидный отдел — 23).
Операционно-анестезиологический риск оценивали согласно классификации состояния физического статуса больного Американского общества анестезиологов (ASA). У большинства больных отмечена III (57 %) и IV (41 %) стадии анестезиологического риска. Вероятность послеоперационной летальности определяли при помощи шкалы Cr POSSUM. Вероятный уровень летальности предстоящего оперативного вмешательства варьировал от 2,56 до 85,95 %, составив в среднем 34,82 %. Стадию онкологического процесса окончательно устанавливали после морфологического исследования удаленного препарата либо при вскрытии трупа. У большинства больных отмечена третья — 52 (52 %) и IV — 29 (29 %) стадии заболевания. У 55 (55 %) больных гистологически верифицирована низкодифференцированная аденокарцинома, у 37 (37 %) — умеренно дифференцированная (37 %), у 14 — высокодифференцированная аденокарцинома, и у 4 пациентов (4 %) гистологически опухоль не была идентифицирована ввиду выполнения симптоматической операции.
Статистическую обработку результатов осуществляли с помощью программ Statistica 8.0 for Windows и Microsoft Excel. Анализ достоверности различия средних величин проведен по критерию Стьюдента (t-критерий), оценку сопряженности качественных признаков проводили с использованием критерия Пирсона χ2. Статистически значимыми считали результаты при значении р < 0,05.
Результаты
Клиническая картина сочетанных осложнений РОК характеризовалась разнообразностью клинических симптомов. Больные предъявляли жалобы на боли в животе, тошноту, рвоту, общую слабость, недомогание, задержку стула и газов. Тем не менее, учитывая, что большинство больных были госпитализированы поздно, в клинической картине на первый план выступали симптомы, характерные для распространенного перитонита, декомпенсированной кишечной непроходимости и интоксикации. В этой связи немаловажную роль в постановке правильного диагноза играл сбор анамнеза заболевания. В случае диастатической перфорации кишки пациенты описывали развивавшуюся клиническую картину обтурационной кишечной непроходимости. При прорыве паратуморозного абсцесса больные указывали на то, что острому ухудшению состояния предшествовали локализованные боли в животе с подъемом температуры тела и общими симптомами интоксикации.
В диагностике осложнений РОК важную роль играли лабораторно-инструментальные методы исследования. Минимальный объем обследования включал в себя лабораторные исследования крови и мочи, обзорную рентгенографию живота и грудной клетки, УЗИ брюшной полости, ЭКГ. В анализах крови у 91 (91 %) больного отмечалась анемия, которая у 68 (68 %) пациентов была легкой степени, у 23 (23 %) — средней степени тяжести. Лейкоцитоз выявлен у 51 (51 %) больного, причем у 17 (17 %) пациентов он превышал 16 г/л. Гипопротеинемия наблюдалась у 93 (93 %) больных, при этом у 17 (17 %) пациентов отмечено значительное снижение общего белка — ниже 50 г/л.
Обзорная рентгенография живота позволила в 4 (23,5 %) случаях выявить свободный газ в брюшной полости при перфорации стенки кишки.
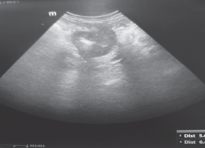
В случае сочетания ОКН с другими осложнениями при рентгенографии брюшной полости определялись признаки, соответствовавшие степени кишечной непроходимости. Ультразвуковое исследование выявляло свободную жидкость в брюшной полости, расширенные петли кишок с переполнением их содержимым при острой толстокишечной непроходимости. При ПФВ определялось утолщение стенок кишки с отеком прилежащих тканей (рис. 2).
Рис. 2. Ультразвуковое исследование. Опухоль сигмовидной кишки, осложненная перифокальным воспалением
Fig. 2. Ultrasound. Swelling of the sigmoid colon complicated by the development of perifocal inflammation
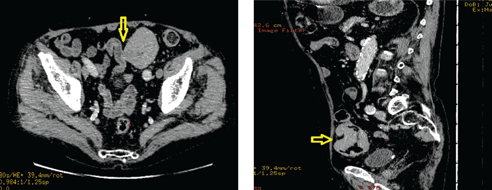
В выявлении ПФВ существенную роль играла спиральная компьютерная томография (СКТ). При СКТ отмечалось утолщение стенки кишки с неравномерным, достаточно часто циркулярным сужением просвета соответствующего участка (рис. 3).
Рис. 3 Спиральная компьютерная томография. Местнораспространенная опухоль сигмовидной кишки, осложненная перифокальным воспалением
Fig. 3. SCT: a locally advanced swelling of the sigmoid colon, complicated by perifocal inflammation
СКТ позволяла определить степень местного распространения опухоли на соседние органы и ткани, наличие воспалительных изменений в окружающей клетчатке. Появление газа в параколярной клетчатке свидетельствовало о формировании параканкрозного абсцесса или перфорации опухоли. Кроме того, СКТ помогала составить представление о поражении лимфатических узлов и отдаленном метастазировании.
В оценке инвазии опухоли в соседние органы и ткани, поражении регионарных лимфатических узлов большое значение имела перфузионная спиральная компьютерная томография (рис. 4).
Рис. 4. Перфузионная СКТ. Признаки инвазии опухоли сигмовидной кишки в петлю тонкой кишки, поражение регионарных лимфатических узлов
Fig. 4. Perfusion CKT: signs of sigmoid tumor invasion in the small intestine loop, regional lymph node involvement
Все больные, в зависимости от характера развившегося осложнения, тяжести состояния, степени выраженности сопутствующей патологии были оперированы в экстренном, срочном или отсроченном порядке. Экстренному оперативному вмешательству подвергались пациенты с клиникой распространенного перитонита и с декомпенсированной кишечной непроходимостью. Предоперационную подготовку этой группы больных осуществляли в условиях хирургической реанимации или на операционном столе. У других больных лечебные мероприятия начинались с комплекса консервативных мероприятий на хирургическом отделении с привлечением врачей-специалистов смежных специальностей. При декомпенсации патологии сердечно-сосудистой, нервной, дыхательной систем лечение пациентов, предоперационную подготовку осуществляли в отделениях специализированной реанимации. С 2009 г. в лечении осложненных форм РОК стали использовать эндовидеохирургические технологии. Противопоказания к проведению операций с помощью эндовидеохирургических технологий мы разделяли на абсолютные и относительные, местные и общие. К местным абсолютным противопоказаниям относили: признаки декомпенсированной кишечной непроходимости с нарушением гомеостаза; наличие множественных послеоперационных рубцов, занимающих более половины площади передней брюшной стенки, или функционирующих каловых свищей; распространенный перитонит давностью более 12 часов; перерастяжение петель кишечника, при котором требовалась назоинтестинальная интубация. Местными относительными противопоказаниями считали: большие невправимые вентральные грыжи; несформированные кишечные свищи; тотальный спаечный процесс брюшной полости. Общие абсолютные противопоказания включали в себя острые сердечно-сосудистые расстройства (острый коронарный синдром, острое нарушение мозгового кровообращения); нарушение основных систем и функций организма в стадии декомпенсации. Общие относительные противопоказания включали нестабильную стенокардию; бронхиальную астму с частыми обострениями; ожирение IV степени; портальную гипертензию; перенесенную массивную лучевую терапию. Виды оперативных вмешательств, выполненных пациентам с сочетанными осложнениями рака ободочной кишки, представлены в табл. 1.
Таблица 1. Виды оперативных вмешательств
Table 1. Types of surgical interventions
Виды операций | Сочетания осложнений рака ободочной кишки | Всего | ||||
МРП + перфорация | ОКН + перфорация | ОКН + ПФВ | МРП + ПФВ | МРП + ОКН | ||
Традиционные | ||||||
Правосторонняя гемиколэктомия | 3 | 3 | 10 | 3 | 3 | 22 |
Левосторонняя гемиколэктомия | – | – | – | 1 | 1 | 2 |
Субтотальная колэктомия | 0 | 1 | – | – | – | 1 |
Операция типа Гартмана | 3 | 1 | 4 | 8 | 6 | 18 |
Обходной анастомоз | – | – | – | – | 5 | 5 |
Колостомия | 2 | 6 | - | 4 | 17 | 29 |
Всего | 8 | 11 | 14 | 16 | 32 | 81 |
Эндовидеохирургические | ||||||
Правосторонняя гемиколэктомия | – | – | 1 | 3 | 2 | 6 |
Операция типа Гартмана | – | – | – | 5 | 1 | 6 |
Обходной анастомоз | – | – | – | – | 4 | 4 |
Колостомия | – | – | – | 1 | 2 | 3 |
Всего | – | – | 1 | 9 | 9 | 19 |
Итого | 8 | 11 | 15 | 25 | 41 | 100 |
Примечание: ОКН — острая кишечная непроходимость; МРП — местнораспространенный опухолевый процесс; ПФВ — перифокальное воспаление.
Как традиционно, так и с использованием эндовидеохирургических технологий выполняли радикальные, паллиативные и симптоматические операции (табл. 2).
Таблица 2. Выполненные оперативные вмешательства в зависимости от степени радикальности
Table 2. Executed surgical interventions depending on the degree of radicality
Виды операций | Сочетание осложнений рака ободочной кишки | Всего | |||||||
МРП + перфорация | ОТКН + перфорация | ОТКН + ПФВ | МРП + ПФВ | МРП + ОТКН | |||||
Тр | Энд | Тр | Энд | Тр | Энд | ||||
Радикальные | 5 | 2 | 13 | 1 | 11 | 7 | 9 | 3 | 51 |
Паллиативные | 1 | 1 | 1 | – | 1 | 1 | 1 | - | 6 |
Симптоматические | 2 | 8 | – | – | 4 | 1 | 22 | 6 | 43 |
Всего | 8 | 11 | 14 | 1 | 16 | 9 | 32 | 9 | 100 |
Примечание: ОТКН — острая толстокишечная непроходимость; ПФВ — перифокальное воспаление; МРП — местнораспространенный опухолевый процесс.
Выполнены 51 (51 %) радикальная (40 (78,4 %) — традиционно, 11 (21,6 %) — лапароскопически), 6 (6 %) паллиативных (5 (83,3 %) — традиционно, 1 (16,7 %) — лапароскопически) и 43 (43 %) симптоматические операции (36 (83,7 %) — традиционно, 7 (16,3 %) — лапароскопически). Объем оперативных вмешательств зависел от тяжести состояния больного, стадии онкологического процесса, распространения опухоли на соседние органы и ткани, квалификации операционной бригады.
Симптоматические операции — колостомы и обходные анастомозы — выполняли в случаях генерализации онкологического процесса: билобарное метастатическое поражение печени, канцероматоз, в случаях значительной инвазии опухоли в соседние органы и ткани, когда объем оперативного вмешательства с учетом тяжести состояния пациента превышал его целесообразность. При локализации опухолей в левой половине толстой кишки формировали проксимальную колостому. В зависимости от локализации опухоли стому формировали или на сигмовидной, или на поперечной ободочной кишке. Всего выполнено 32 (32 %) стомирующие операции, из них 29 (90,6 %) традиционным способом и 3 (9,4 %) лапароскопическим. При декомпенсированной степени ОКН в обязательном порядке выполняли назоинтестинальную интубацию. При локализации опухолей в правой половине толстой кишки формировали илеотрансверзоанастомоз. Всего выполнено 9 (9 %) таких операций, из них 5 (55,6 %) традиционным методом и 4 (44,4) видеоассистированно.
Резекционные вмешательства проведены 57 (57 %) пациентам: 51 (89,5 %) — радикальная и 6 (10,5 %) паллиативных. При локализации опухоли в правой половине толстой кишки выполняли правостороннюю гемиколэктомию с соблюдением основных онкологических принципов. При локализации опухоли в левой половине ободочной кишки одному пациенту выполнена субтотальная колэктомия с формированием илеосигмоанастомоза, двум больным — левосторонняя гемиколэктомия с формированием первичного анастомоза и 24 пациентам — операция типа Гартмана, из них 18 — традиционным способом, 6 — лапароскопическим. С учетом распространения опухоли на соседние органы и ткани в 36 (63,2 %) случаях были выполнены комбинированные резекции, из них 24 (66,7 %) традиционным способом и 12 (33,3 %) с использованием эндовидеохирургических технологий.
Послеоперационные осложнения развились у 49 пациентов (49 %), при этом у 15 (15 %) больных отмечалось сочетание двух и трех осложнений (табл. 3).
Таблица 3. Послеоперационные осложнения в зависимости от вида оперативного вмешательства
Table 3. Postoperative complications, depending on the type of surgical intervention
Виды операций | Осложнения | Всего | |||||||
ИОХВ | Эвентрация | Некроз стомы | Несостоятельность | ОИМ | Пневмония | ААК | ТЭЛА | ||
Традиционные | |||||||||
Пр. гемиколэктомия | 10 | 2 | – | 1 | 1 | 3 | 1 | – | 18 |
Лев. гемиколэктомия | 1 | – | – | – | – | – | – | – | 1 |
Субтотальная колэктомия | 1 | – | – | 1 | – | – | – | 1 | 3 |
Операция типа Гартмана | 7 | 1 | 2 | 1 | 2 | 2 | 1 | – | 16 |
Обходной анастомоз | 2 | – | – | – | – | 1 | – | – | 3 |
Колостомия | 11 | 4 | 2 | – | – | 6 | – | – | 24 |
Всего | 32 | 7 | 4 | 3 | 3 | 12 | 2 | 1 | 64 |
Эндовидеохирургические | |||||||||
Пр. гемиколэктомия | 1 | – | – | – | – | – | – | 1 | 2 |
Операция типа Гартмана | 1 | – | – | – | – | – | – | – | 1 |
Обходной анастомоз | – | – | – | – | – | – | – | – | – |
Колостомия | – | – | – | – | – | – | – | – | – |
Всего | 2 | – | – | – | – | – | – | – | 3 |
Итого | 34 | 7 | 4 | 3 | 3 | 12 | 2 | 2 | 67 |
Примечание: ИОХВ — инфекция в области хирургического вмешательства; ОИМ — острый инфаркт миокарда; ААК — антибиотик-ассоциированный колит; ТЭЛА — тромбоэмболия легочной артерии.
Наиболее часто развивались осложнения со стороны операционной раны — 41 (41 %). Это осложнение значительно чаще возникало после операций, выполненных традиционными методами — 39 (48,1 %). После видеоассистированных операций это осложнение отмечено в 2 (10,5 %) случаях. Вторым по частоте осложнением явилась пневмония — 12 пациентов (12 %). Все случаи пневмонии отмечены после операций, выполненных традиционным методом. Основная причина этого заключается в том, что после эндовидеохирургических операций пациенты, ввиду значительно менее выраженного болевого синдрома и нарушений биомеханики дыхания, более быстро возвращаются к обычному двигательному режиму. В лечении пневмонии привлекались пульмонологи, клинические фармакологи. Несостоятельность анастомозов отмечена только после традиционных операций в трех случаях (3,7 %). Все они закончились летальным исходом. В двух случаях (2,5 %) мы наблюдали развитие антибиотик-ассоциированного колита. Лечение этого осложнения проводили совместно с врачом-гастроэнтерологом.
После традиционных операций, выполненных по поводу сочетанных осложнений рака ободочной кишки, умерло 33 (40,7 %) пациента, после эндовидеохирургических вмешательств — один больной после правосторонней гемиколэктомии. Причиной смерти явилась тромбоэмболия легочной артерии. Послеоперационная летальность составила 5,3 %.
На уровень послеоперационной летальности влияли такие факторы, как возраст больных, тяжесть состояния, стадия онкологического процесса, сроки поступления в стационар от момента начала заболевания. Тем не менее наибольшая летальность и более высокий уровень послеоперационных осложнений наблюдались в случае сочетания осложнений, приведших к развитию распространенного перитонита вследствие перфорации кишки (табл. 4).
Таблица 4. Уровень послеоперационных осложнений и летальности в зависимости от сочетания осложнений рака ободочной кишки
Table 4. The level of postoperative complications and lethality, depending on the combination of complications of colon cancer
Сочетания осложнений | n | Осложнения | Умерло | ||
Абс. | % | Абс. | % | ||
МРП + перфорация | 8 | 5 | 62,5 | 7 | 87,5 |
ОКН + перфорация | 11 | 8 | 72,7 | 7 | 63,6 |
ОКН + ПФВ | 15 | 9 | 60 | 4 | 26,7 |
МРП + ПФВ | 25 | 13 | 52 | 6 | 24,0 |
МРП + ОКН | 41 | 14 | 34,1 | 10 | 24,39 |
Всего | 100 | 49 | 49 | 34 | 34 |
Примечание: ОКН — острая кишечная непроходимость; ПФВ — перифокальное воспаление; МРП — местнораспространенный опухолевый процесс.
Так, перфорация опухоли ободочной кишки с признаками инвазии в соседние органы и ткани сопровождалась развитием осложнений в 62,5 % случаях и уровнем послеоперационной летальности 87,5 %, а развитие диастатической перфорации стенки кишки на фоне декомпенсированной кишечной непроходимости сопровождалось летальностью в 63,6 %. Сочетание осложнений свидетельствует о запущенности процесса, как онкологического, так и развившегося осложнения. Эти обстоятельства обусловливают неудовлетворительные результаты лечения этой категории больных, большой удельный вес симптоматических операций, высокую послеоперационную летальность. Особенно сочетание осложнений РОК тяжело и трагично протекает у пациентов пожилого и старческого возраста, когда на фоне имеющихся сопутствующих заболеваний развивается феномен взаимного отягощения. Все это делает лечение этой когорты больных трудноразрешимой задачей, требующей индивидуального подхода в каждом конкретном случае.
Заключение
Таким образом, при осложненном течении рака ободочной кишки у больных пожилого и старческого возраста в 18,3 % имеется сочетание осложнений, что значительно затрудняет диагностику и ухудшает прогноз оперативного вмешательства. Современные методы лучевого исследования, наряду с традиционными, значительно повышают качество диагностики осложненного рака ободочной кишки. Использование эндовидеохирургических технологий в лечении осложненного рака ободочной кишки с учетом показаний и противопоказаний в каждом конкретном случае позволяет снизить частоту послеоперационных осложнений с 56,8 до 15,8 % и летальность с 40,7 до 5,3 %.
作者简介
N. Glushkov
North-Western State Medical University named after I.I. Mechnikov
编辑信件的主要联系方式.
Email: sosmann888@mail.ru
俄罗斯联邦, Saint Petersburg
T. Gorshenin
North-Western State Medical University named after I.I. Mechnikov
Email: sosmann888@mail.ru
俄罗斯联邦, Saint Petersburg
S. Dulaeva
North-Western State Medical University named after I.I. Mechnikov
Email: sosmann888@mail.ru
俄罗斯联邦, Saint Petersburg
参考
- Статистика злокачественных новообразований в России и странах СНГ в 2012 г. / Под ред. М.И. Давыдова, Е.М. Аксель. - М.: РОНЦ, 2014. [Statistics of malignant neoplasms in Russia and CIS countries in 2012. Ed by M.I. Davydov, E.M. Axel. Moscow: Publishing Group of the Russian Cancer Research Center; 2014. (In Russ.)]
- Teixeira F, Akaishi EH, Ushinohama AZ, et al. Can we respect the principles of oncologic resection in an emergency surgery to treat colon cancer? World J Emerg Surg. 2015;10:5. doi: 10.1186/1749-7922-10-5.
- Merkel S, Meyer C, Paradopoulos T, et al. Urgent surgery in colon carcinoma. Zetrabl Chir. 2007;132(1):16-25. doi: 10.1055/s-2006-958708.
- Milojkovic B, Mihajlovic D, Ignjatovic N, et al. Surgical treatment of acute intestinal obstruction caused by colorectal cancer. Acta Medica Medianae. 2015;54(4):18-22. doi: 10.5633/amm.2015.0403.
- Денисенко В.Л., Гаин Ю.М. Осложнения колоректального рака: проблемы и перспективы // Новости хирургии. - 2011. - Т. 19. - № 1. - С. 103-111. [Denisenko VL, Gain YuM. Complications of colorectal cancer: problems and prospects. News of Surgery. 2011;19(1):103-111. (In Russ.)]
- Сингаевский А.Б., Цикоридзе М.Ю. Совершенствование хирургической тактики при осложненном раке ободочной кишки в многопрофильном стационаре // Вестник Северо-Западного государственного медицинского университета им. И.И. Мечникова. - 2014. - Т. 6. - № 1. - С. 59-65. [Singayevsky AB, Tsikoridze MYu. Optimization of surgical tactics in case of complicated colon cancer in multidisciplinare hospital. Herald of North-Westen State Medical University named after I.I. Mechnikov. 2014;6(1):59-65. (In Russ.)]
- Шевченко Ю.Л., Стойко Ю.М., Левчук А.Л., и др. Сочетание осложненных форм рака толстой кишки: клиника, диагностика, хирургическая тактика // Вестник экспериментальной и клинической хирургии. - 2011. - Т. IV. - № 4. - С. 641-646. [Shevchenko YuL, Stoyko YuM, Levchuk AL. The combination of complicated forms of colon cancer: a clinic, diagnostics, surgical tactics. Vestnik of Experimental and Clinical Surgery. 2011;IV(4):641-646. (In Russ.)]
- Патютко Ю.И., Кудашкин Н.Е., Котельников А.Г. Хирургическое лечение местнораспространенного рака правой половины ободочной кишки // Онкологическая колопроктология. - 2014. - № 2. - С. 28-32. [Patyutko YI, Kudashkin NE, Kotelnikov AG. Surgical treatment of locally advanced cancer of the right side of the colon. Oncological Coloproctology. 2014;(2):28-32. (In Russ.)]
- Давыдов М.И., Патютко Ю.И., Расулов А.О., и др. Стратегия хирургического лечения местнораспространенного рака правой половины ободочной кишки // Хирургия. - 2017. - № 4. - С. 30-35. [Davydov MI, Patyutko AO, Rasulov, et al. The strategy of surgical treatment of locally advanced cancer of the right half of the colon. Surgery. 2017;(4):30-35. (In Russ.)]
- Глушков Н.И., Горшенин Т.Л. Выбор метода хирургического лечения обтурационной кишечной непроходимости у больных пожилого и старческого возраста // Успехи геронтологии. - 2016. - № 1. - С. 93-96. [Glushkov NI, Gorshenin TL. Choice of the method of surgical treatment of obstructive intestinal obstruction in elderly and senile patients. Successes of gerontology. 2016;(1):93-96. (In Russ.)]
补充文件






