Biological tissue reaction to the intracorporeally-polymerising implant used in a minimally invasive “puncture-infusion-seal” method of the inguinal canal
- Authors: Trunin E.M.1, Mowlabucus M.J.1, Murt L.L.1, Smirnov A.A.1, Tatarkin V.V.1, Rybakov V.A.1
-
Affiliations:
- North-Western State Medical University named after I.I. Mechnikov
- Issue: Vol 10, No 2 (2018)
- Pages: 99-106
- Section: Articles
- Submitted: 07.08.2018
- Published: 15.12.2018
- URL: https://journals.eco-vector.com/vszgmu/article/view/9287
- DOI: https://doi.org/10.17816/mechnikov201810299-106
- ID: 9287
Cite item
Full Text
Abstract
The article focuses on the study of the biological properties of a synthetic intracorporeally-polymerising implant, designed to be used in a minimally invasive “puncture-infusion-seal” technique under experimental study for the treatment of reducible inguinal hernias. The method is innovative in the field of herniology and surgery in general for its minimal invasiveness. Two types of experiments were conducted to investigate the response of live tissues of the body to the implant as a foreign body (on rats) and the impact of the implant on the male reproductive system of rabbits.
Full Text
Введение
Инъекционный способ консервативного устранения вправимых грыж не получил в настоящее время широкого распространения. Он применяется в некоторых странах Европы и США для лечения начальных форм паховых грыж [1]. Суть метода заключается во введении в ткань грыжевых ворот и в полость грыжевого мешка раздражающих и склерозирующих веществ (спирт, растворы кислот и щелочей), вызывающих ограниченное асептическое воспаление с образованием плотной рубцовой ткани. Этим достигается облитерация грыжевого мешка и рубцевание грыжевого дефекта. Обязательным условием инъекционной терапии является полная вправимость грыжи. Настороженность в применении инъекционных методов связана с описанными осложнениями в виде некроза семенного канатика, повреждения крупных сосудов с образованием обширных гематом, септических абсцессов брюшной полости, гангрены кишки и развития химического перитонита [2].
Цель исследования — доказать безопасность предложенного авторами совместно с сотрудниками кафедры химии высокомолекулярных соединений Института химии СПбГУ д-ром хим. наук, доцентом И.М. Зориным и канд. хим. наук Н.А. Зориной интракорпорально полимеризующегося эндопротеза для устранения вправимой паховой грыжи и отсутствие его отрицательного воздействия на биологические ткани в экспериментах на животных, а также выявить возможные негативные последствия воздействия эксплантата на репродуктивную систему кроликов мужского пола, поскольку предлагаемый способ лечения паховых грыж подразумевает непосредственный контакт эксплантата с семенным канатиком и его элементами.
Материалы и методы
В качестве эксплантата использовали сополимер полиакриламида (N-акрилоилоксисукцинимид с акриламидом) в сшивке с путрецином (1,4-диаминобутан) и янтарной кислотой. Полимеры на основе полиакриламида и его сополимеры используются в пластической хирургии лица, губ, груди и других областей для восполнения дефицита объема ткани или для коррекции различных дефектов. Но следует отметить, что в композиции с путресцином и янтарной кислотой сополимер полиакриламида ранее не использовался. Полимеризация начинается после совмещения компонентов, что проявляется в нарастании вязкости раствора. В течение 5 минут раствор остается достаточно текучим для его введения через шприц. В организме при температуре 37 °С полимеризация эксплантата резко ускоряется. Для введения в состав полимера воздушных микропузырьков, необходимых для увеличения площади поверхности контакта эксплантата с окружающими тканями, где со временем формируется фиксирующая эксплантат соединительная ткань, проводили активное насыщение полученного эксплантата воздухом путем его активного перемешивания в двух стерильных шприцах (один из них заполняли воздухом), соединенных между собой трехходовым краном. Все компоненты, используемые для создания эксплантата, не токсичны и использовались после стерилизации в лабораторных условиях. В литературных данных имеются сведения об отсутствии токсичности сополимера и других составляющих компонентов [4, 5, 11].
Экспериментальное исследование выполнено на 36 белых крысах. Для стандартизации группы в исследование отбирали животных мужского пола примерно одинакового веса (150–180 г). Условия их содержания, включая кормление, были одинаковыми в течение всего срока наблюдения. Эксперименты были проведены с соблюдением всех этических норм [3, 9, 12]. Один миллилитр эксплантата в жидкой форме, приготовленный в стерильных условиях непосредственно перед инъекцией, вводили в мышцы правого бедра крыс через иглу диаметром 1,25 мм. Такой диаметр иглы позволяет осуществить свободную имплантацию гелеобразного по консистенции эксплантата. После имплантации наблюдали за поведением подопытных животных, их объективными показателями (частота сердечных сокращений, частота дыхания, температура тела). Также проводили осмотр места инъекции на наличие и выраженность признаков воспаления и инфекции. По три крысы из выборки выводили из эксперимента каждый раз в сроки 3, 7, 14, 21, 28, 60, 90, 120, 150, 180, 270, 360 суток. В эти сроки участок биологических тканей в зоне имплантации полимера вместе с самим эксплантатом иссекали для макроскопической оценки (рис. 1, 2) на наличие признаков воспаления и нагноения. Также оценивали целостность эксплантата и его взаимодействие с окружающими тканями. Кроме того, макроскопически оценивали паренхиматозные органы животных на возможные патологические изменения воспалительного характера или наличие признаков злокачественного роста. Иссеченный участок ткани размером 1,0 × 1,0 × 0,5 см (мышцы, фасции, сосуды, нервы) вместе с эксплантатом помещали в 10 % раствор формалина.
Рис. 1. Иссеченный участок ткани в тесном контакте с эксплантатом: 1 — нерв; 2 — эксплантат; 3 — мышцы
Fig. 1. Excised tissue in firm contact with the implant: 1 — nerve, 2 — implant, 3 — muscle
Рис. 2. Иссеченный участок ткани в тесном контакте с эксплантатом: 1 — эксплантат; 2 — мышца
Fig. 2. Excised tissue in firm contact with the implant: 1 — implant, 2 — muscle
Уплотнение и обезвоживание тканей проводили на аппарате карусельного типа Thermo Scientific Microm STP120 с использованием стандартного протокола гистологической проводки (абсолютизированный изопропиловый спирт), с последующей заливкой в парафин Paraffin Type 9 и формированием гистологических блоков на аппарате Thermo Scientific Microm EC350-2. Гистологические срезы изготавливали на микротоме Thermo Scientific HM325, толщина срезов составила 3–5 мкм. Препараты окрашивали гематоксилином и эозином по стандартной методике [7]. Световую микроскопию проводили на микроскопе Micros MC20 с увеличением ×10, ×20 и ×40. Изучали особенности течения репаративной реакции вокруг полимера, для чего оценивали степень склеротических изменений, выраженность и клеточный состав воспалительного инфильтрата, формирование грануляций.
Для изучения возможного воздействия эксплантата на репродуктивную систему особей мужского пола выполнили исследование на 12 кроликах. Для стандартизации группы в эксперимент включали кроликов породы Советская Шиншилла мужского пола в возрасте 1–1,5 года и весом 2–2,5 кг. Условия их содержания и кормления были одинаковыми. В исследовании соблюдены все необходимые этические нормы [3, 9, 12].
Операции выполняли в экспериментальной операционной кафедры оперативной и клинической хирургии с топографической анатомией СЗГМУ им. И.И. Мечникова. В качестве премедикации использовали Рометар (2 мг/100 г). Анестезию проводили раствором Золетила(3 мг/100 г, внутримышечно). Миорелаксанты не применяли. После достижения необходимой глубины анестезии сбривали шерсть на животе и в паховых зонах кролика. Затем делали срединный мини-разрез в области передней брюшной стенки с послойным рассечением мягких тканей до поперечной фасции, где обнаруживали семенной канатик, который располагается параллельно срединной линии и на 0,5 см латеральнее. Оперативный прием выполняли только с левой стороны, а правая сторона служила в качестве контроля. Около 1 мл полимера в гелеобразном состоянии вводили в предбрюшинное пространство и 2,5 мл вокруг семенного канатика. Затем рану зашивали послойно и накладывали асептическую повязку. В послеоперационном периоде измеряли температуру тела, частоту сердечных сокращений и частоту дыхания. Проводили локальный осмотр в зоне оперативного вмешательства. Также ежедневно перевязывали рану до полного ее заживления, которое происходило обычно на 6–8-е сутки после операции. Животных из эксперимента выводили путем передозировки анестетического препарата по три кролика из выборки в сроки 30 суток, 90 суток, 6 месяцев и 1 год. Макроскопически оценивали различия семенного канатика и яичка в зоне введения эксплантата и на интактной стороне. Также макроскопически оценивали наличие признаков воспаления и гнойных осложнений в зоне, где эксплантат непосредственно контактировал с семенным канатиком. Комплекс ткани вместе с эксплантатом (мышцы, фасции, семенной канатик, сосуды, нервы) и яичко забирали для гистологического исследования. Комплекс тех же тканей с правой (контрольной) стороны также отправляли на гистологическое исследование для сравнительной оценки. Осматривали и макроскопически оценивали состояние органов брюшной полости. Особенное внимание уделяли паренхиматозным органам (печень, почки), наличию признаков воспаления и злокачественного перерождения.
Результаты
Гибели подопытных животных в период наблюдения отмечено не было. Гнойных процессов в зоне имплантации полимера не возникало. Препарат не вызывал дискомфорта у животных в момент введения, в период непосредственно после введения, в раннем послеоперационном периоде и также на более поздних сроках, плоть до выведения их из эксперимента.
Обнаружено образование лейкоцитарного вала из нейтрофильных гранулоцитов вокруг эндопротеза уже на 3-и сутки после введения полимера (рис. 3). Явления асептического воспаления достигали пика к 21-м суткам (рис. 6), а потом уменьшались, что выражалось в значительном снижении количества клеток острой фазы воспаления (нейтрофилы, лимфоциты, макрофаги). На сроках более 28 суток признаки активного воспаления отсутствовали. Процесс продуктивного воспаления в виде появления скоплений гигантских многоядерных клеток воспаления («гигантских клеток типа инородных тел») [1, 6, 8, 10] определялся к 14-м суткам (рис. 5). Такая реакция типична при имплантации в ткани инородного материала и служит для полного отграничения последнего от окружающих тканей. Начиная с 28-х суток воспалительный процесс экссудативного типа сменялся преобладанием воспаления продуктивного типа (рис. 7–10), и последний достигал максимальной выраженности к 90-м суткам. Затем формировалась соединительнотканная капсула, которая постепенно утолщалась к сроку, соответствующему 180 сут (6 месяцев) нахождения эксплантата in vivo. Последующие 6 месяцев толщина соединительнотканной капсулы не изменялась до конца эксперимента. Изменений гистологической картины от 180 сут (рис. 13–15) до конца нашего наблюдения, составляющего 1 год, не наблюдали.
Рис. 3. Срок — 3 сут. Острое воспаление. Реакция организма на инородное тело: 1 — мышцы; 2 — лейкоцитарный вал вокруг эксплантата; 3 — эксплантат. Увеличение ×40. Окраска гематоксилином и эозином
Fig. 3. Period of 3 days. Acute inflammation: 1 — muscle; 2 — leucocyte margin around the implant; 3 — implant. Magnification ×40. Hematoxilin-Eozin stain
Рис. 4. Срок — 7 сут (1 нед.). Наличие полосы продуктивного воспаления (в зоне непосредственного контакта ткани с эксплантатом): 1 — эксплантат; 2 — полоса продуктивного воспаления; 3 — клетки острой фазы воспаления (нейтрофилы, лимфоциты, макрофаги); 4 — мышцы. Увеличение ×40. Окраска гематоксилином и эозином
Fig. 4. Period of 7 days (1 week). Presence of productive inflammation belt (within the zone of contact between tissue and implant): 1 — implant, 2 — productive inflammation belt, 3 — acute inflammatory response cells (neutrophils, lymphocytes, macrophages), 4 — muscle. Magnification ×40. Hematoxilin-Eozin stain
Рис. 5. Срок — 14 сут (2 нед.). Появление гигантских клеток инородных тел: 1 — нейтрофилы и лимфоциты; 2 — эксплантат; 3 — гигантские клетки типа инородных тел; 4 — мышцы. Увеличение ×40. Окраска гематоксилином и эозином
Fig. 5. Period of 14 days (2 weeks). Appearance of giant foreign body cells: 1 — Neutrophils and lymphocytes; 2 — implant; 3 — giant foreign body cells; 4 — muscle. Magnification ×40. Hematoxilin-Eozin stain
Рис. 6. Срок — 21 сут (3 нед.). Активная асептическая воспалительная реакция: 1 — фасция (активная асептическая воспалительная реакция на поверхности фасциального листка в соприкосновении с эндопротезом); 2 — клетки острой фазы воспаления (нейтрофилы, лимфоциты, макрофаги); 3 — эксплантат; 4 — полоса контакта тканей с инородным телом (слияние органического субстрата с неорганическим за счет ковалентных связей, инфильтрация эндопротеза клетками острой фазы воспаления); 5 — мышцы. Увеличение ×20. Окраска гематоксилином и эозином
Fig. 6. Period of 21 days (3 weeks). Аctive aseptic inflammatory reaction: 1 — fascia (active aseptic inflammatory reaction over the surface of fascia in contact with the implant), 2 — acute inflammatory response cells (neutrophils, lymphocytes, macrophages), 3 — implant, 4 — belt within the zone of contact between tissue and foreign body (fusion between organic and nonorganic substrate as a result of covalent bond formation and invasion of the implant by acute inflammatory response cells), 5 — muscle. Magnification ×20. Hematoxilin-Eozin stain
Рис. 7. Срок — 28 сут (1 мес.). Ответ организма на инородное тело: 1 — эксплантат; 2 — клетки острой фазы воспаления; 3 — фасция; 4 — мышцы. Увеличение ×40. Окраска гематоксилином и эозином
Fig. 7. Period of 28 days (1 month). Response of the organism to foreign body: 1 — implant, 2 — acute inflammatory response cells, 3 — fascia, 4 — muscle. Magnification ×40. Hematoxilin-Eozin stain
Рис. 8. Срок — 60 сут (2 мес.). Отсутствие воспалительного процесса экссудативного типа. Фаза образования грануляционной ткани (продуктивное воспаление — фибробласты и сосуды) с образованием тонкой фиброзной оболочки, которая ограничивает ткани от эксплантата: 1 — эксплантат; 2 — мышцы; 3 — умеренное продуктивное воспаление; 4 — более выраженное продуктивное воспаление. Увеличение ×10. Окраска гематоксилином и эозином
Fig. 8. Period of 60 days (2 months). Absence of exudative inflammation. Formation of granulation tissue (productive inflammation – fibroblasts and blood vessels) resulting in the formation of a thin fibrous capsule, which forms a border between tissue and implant: 1 — implant, 2 — muscle, 3 — moderate productive inflammation, 4 — more significant productive inflammation. Magnification ×10. Hematoxilin-Eozin stain
Рис. 9. Срок — 60 сут (2 мес.). Разрастание соединительной ткани в ячеистой структуре эксплантата (возникают за счет микропузырьков воздуха на этапе смешивания основных компонентов эксплантата): 1 — соединительная ткань; 2 — эксплантат. Увеличение ×20. Окраска гематоксилином и эозином
Fig. 9. Period of 60 days (2 months). Growth of connective tissue into the porous structure of the implant (occurs as a result of micro air bubbles, which are formed during the mixing process of the main components of the implant): 1 — connective tissue, 2 — implant. Magnification ×20. Hematoxilin-Eozin stain
Рис. 10. Срок — 90 сут (3 мес.). Образование тонкой соединительнотканной капсулы, которая ограничивает эксплантат от окружающих тканей: 1 — мышцы; 2 — соединительнотканная капсула; 3 — эксплантат. Увеличение ×40. Окраска гематоксилином и эозином
Fig. 10. Period of 90 days (3 months). Formation of a thin connective tissue capsule, which forms a border between implant and surrounding tissue: 1 — muscle, 2 — connective tissue capsule, 3 — implant. Magnification ×40. Hematoxilin-Eozin stain
Рис. 11. Срок — 120 дней (4 мес.). Четкое отграничение эксплантата от прилежащей ткани: 1 — мышцы; 2 — фасция; 3 — соединительнотканная капсула; 4 — эксплантат. Увеличение ×10. Окраска гематоксилином и эозином
Fig. 11. Period of 120 days (4 months). Demarcation of implant from tissues in contact: 1 — muscle, 2 — fascia, 3 — connective tissue capsule, 4 — implant. Magnification ×10. Hematoxilin-Eozin stain
Рис. 12. Срок — 150 дней (5 мес.). Эксплантат инкапсулирован: 1 — соединительнотканная капсула; 2 — эксплантат; 3 — мышцы. Увеличение ×20. Окраска гематоксилином и эозином
Fig. 12. Period of 150 days (5 months). Encapsulation of the implant: 1 — connective tissue capsule, 2 — implant, 3 — muscle. Magnification ×20. Hematoxilin-Eozin stain
Рис. 13. Срок — 180 дней (6 мес.). Зрелая фиброзно-тканная капсула: 1 — эксплантат; 2 — полоса слияния фиброзной ткани и полимера; 3 — зрелая фиброзно-тканная капсула. Увеличение ×40. Окраска гематоксилином и эозином
Fig. 13. Period of 180 days (6 months). Mature fibrous tissue capsule: 1 — implant, 2 — fusion of fibrous tissue and polymer, 3 — mature fibrous tissue capsule. Magnification ×40. Hematoxilin-Eozin stain
Гистологическое исследование образцов биологических тканей крыс с имплантированным полимером
В сроки 180 сут (6 мес.) и 270 сут (9 мес.) изучено взаимодействие эксплантата с нервами. Патологических изменений со стороны нервной ткани выявлено не было (рис. 14). По истечении 12 месяцев признаков деструкции, фрагментации или миграции эксплантата в соседние области не отмечали. При макроскопическом (рис. 16, 17) и микроскопическом (рис. 18, 19) исследованиях левые семенной канатик и яички не отличались от контрольного (правого) органокомплекса.
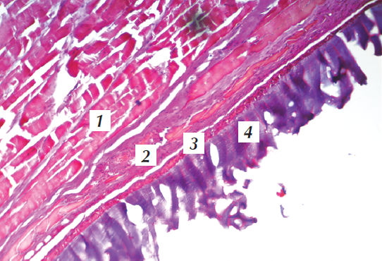
Рис. 14. Срок — 270 сут (9 мес.). Фиброзно-тканная прослойка надежно соединяет эксплантат с прилежащей фасцией: 1 — эксплантат; 2 — соединительная ткань (фасция); 3 — нерв; 4 — фибринозно-тканная прослойка. Увеличение ×40. Окраска гематоксилином и эозином
Fig. 14. Period of 270 days (9 months). Fibrous tissue layer firmly attaches the implant to tissue in contact: 1 — implant, 2 — connective tissue (fascia), 3 — nerve, 4 — fibrous tissue layer. Magnification ×40. Hematoxilin-Eozin stain
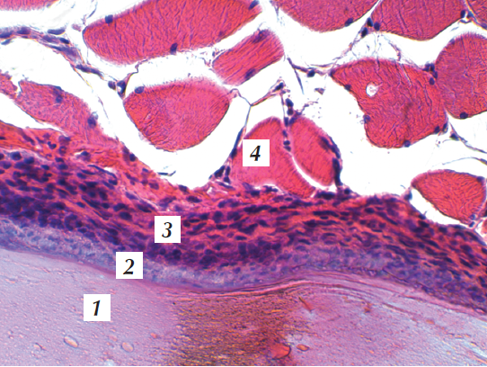
Рис. 15. Срок — 360 сут (12 мес.). Тесная связь между эксплантатом и подлежащими тканями: 1 — эксплантат; 2 — фиброзно-тканная капсула; 3 — мышцы; 4 — фасция. Увеличение ×40. Окраска гематоксилином и эозином
Fig. 15. Period of 360 days (12 months). Firm contact between implant and sub-lying tissue: 1 — implant, 2 — fibrous tissue capsule, 3 — muscle, 4 — fascia. Magnification ×40. Hematoxilin-Eozin stain
Рис. 16. Измерение длины органокомплекса, состоящего из яичек и семенных канатиков (эксплантат вокруг левого семенного канатика)
Fig. 16. Measurement of the length of the organo-complex consisting of testicles and spermatic cords. (Implant around the left spermatic cord)
Рис. 17. Измерение ширины органокомплекса, состоящего из яичек и семенных канатиков (эксплантат вокруг левого семенного канатика)
Fig. 17. Measurement of the width of the organo-complex consisting of testicles and spermatic cords. (Implant around the left spermatic cord)
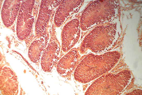
Рис. 18. Ткань правого яичка (контроль). Увеличение ×10. Окраска гематоксилином и эозином
Fig. 18. Tissue of the right testicle (control). Magnification ×10. Hematoxilin-Eozin stain
Рис. 19. Ткань левого яичка без признаков воспаления, некроза, фиброза. Увеличение ×10. Окраска гематоксилином и эозином
Fig. 19. Tissue of the left testicle without signs of inflammation, necrosis, fibrosis. Magnification ×10. Hematoxilin-Eozin stain
Выводы
- В результате эксперимента прямого отрицательного воздействия эксплантата на биологические объекты не выявлено.
- В сроки наблюдения до 1 года отмечено сохранение целостности эксплантата, отсутствие признаков его деградации и фрагментации.
- После имплантации предложенный нами интракорпорально полимеризующийся эндопротез вызывает умеренную воспалительную реакцию, а затем продуктивное воспаление с формированием вокруг него тонкой соединительнотканной капсулы. Соединительная ткань активно формируется в зоне контакта с развитой поверхностью эксплантата (сформированной за счет микропузырьков воздуха). Это способствует надежной фиксации эксплантата в зоне имплантации и устраняет грыжевой дефект.
- Отсутствие макро- и микроскопических признаков отрицательного воздействия эксплантата при контакте с элементами семенного канатика указывает на безопасность эксплантата для репродуктивной системы животных мужского пола.
- Отсутствие макроскопических признаков злокачественного роста дает возможность предположить отсутствие у эксплантата канцерогенных свойств.
About the authors
E. M. Trunin
North-Western State Medical University named after I.I. Mechnikov
Author for correspondence.
Email: mjaweed10@hotmail.com
Department of Operative and Clinical Surgery with Topographical Anatomy
Russian Federation, Saint PetersburgM. J. Mowlabucus
North-Western State Medical University named after I.I. Mechnikov
Email: mjaweed10@hotmail.com
Department of Operative and Clinical Surgery with Topographical Anatomy
Russian Federation, Saint PetersburgL. L. Murt
North-Western State Medical University named after I.I. Mechnikov
Email: mjaweed10@hotmail.com
Department of Operative and Clinical Surgery with Topographical Anatomy
Russian Federation, Saint PetersburgA. A. Smirnov
North-Western State Medical University named after I.I. Mechnikov
Email: mjaweed10@hotmail.com
Department of Operative and Clinical Surgery with Topographical Anatomy
Russian Federation, Saint PetersburgV. V. Tatarkin
North-Western State Medical University named after I.I. Mechnikov
Email: mjaweed10@hotmail.com
Department of Operative and Clinical Surgery with Topographical Anatomy
Russian Federation, Saint PetersburgV. A. Rybakov
North-Western State Medical University named after I.I. Mechnikov
Email: mjaweed10@hotmail.com
Department of Operative and Clinical Surgery with Topographical Anatomy
Russian Federation, Saint PetersburgReferences
- Должиков А.А., Колпаков А.Я., Ярош А.Л., и др. Гигантские клетки инородных тел и тканевые реакции на поверхности имплантатов // Курский научно-практический вестник «Человек и его здоровье». - 2017. - Т. 3. - C. 86-94. [Dolzhikov AA, Kolpakov AY, Yarosh AL, et al. Giant foreign body cells and tissue reactions on the surface of implants. Kurskii nauchno-prakticheskii vestnik “Chelovek i ego zdorov’e”. 2017;(3):86-94. (In Russ.)]. doi: 10.21626/vestnik/2017-3/15.
- Жебровский В.В. Общие принципы лечения грыж живота [Электронный ресурс]. URL: http://www.medlinks.ru/article.php. [Zhebrovskiy VV. Obshie principi lechenia grizh zhivota. (In Russ.)]
- Касаткина Т.Б., Капланский А.С. Этика экспериментальных исследований на животных в космической биологии и медицине // Авиакосмическая и экологическая медицина. - 2000. - Т. 34. - № 2. - C. 17-21. [Kasatkina TB, Kaplansky AS. Ethics of space life sciences research with animals. Aviakocmicheskaya i ekologicheskaya meditsina. 2000;34(2):17-21. (In Russ.)]
- Резниченко Н.Ю., Резниченко Ю.Г., Веретельник А.В., и др. Коррекция проявлений физиологического и фотостарения с использованием янтарной кислоты в составе инъекционного имплантата «гиалуаль» // Украинский журнал дерматологии, венерологии, косметологии. - 2010. - № 36 (1). - C. 64-69. [Reznichenko NYu, Reznichenko YuG, Veretelnik AV, et al. The correction of physiologic and photoaging with the use of amber acid in injective implant Hyalual. Ukrainian Journal of Dermatology, Venerology, Cosmetology. 2010;36(1):64-69. (In Russ.)]
- Anderson FA. Amended final report on the safety assessment of polyacrylamide and acrylamide residues in cosmetics. Int J Toxicol. 2005;24Suppl 2:21-50.
- Anderson JM, Rodriguez A, Chang DT. Foreign body reaction to biomaterials. Seminars in Immunology. 2008;20(2):86-100. doi: 10.1016/j.smim.2007.11.004.
- Feldman AT, Wolfe D. Tissue Processing and Hematoxylin and Eosin Staining. In: Day C. (eds) Histopathology. Methods in Molecular Biology (Methods and Protocols). Vol. 1180. New York: Humana Press; 2014.
- Kastellorizios M, Tipnis N, Burgess DJ. Foreign body reaction to subcutaneous implants. Advances in Experimental Medicine and Biology. 2015;865:93-108. doi: 10.1007/978-3-319-18603-0_6.
- Liliana MR, Daniela ED, Eleonora AD. Bioethical dilemmas in using animal in medical research. Challenges and opportunities. Rom J Morphol Embryol. 2015;56(3):1227-1231.
- Punchard NA, Whelan CJ, Adcock I. The Journal of Inflammation. Journal of Inflammation (London, England). 2004;1:1. doi: 10.1186/1476-9255-1-1.
- Til HP, Falke HE, Prinsen MK, Willems MI. Acute and subacute toxicity of tyramine, spermidine, spermine, putrescine and cadaverine in rats. Food and Chemical Toxicology. 1997;3-4(35):337-348.
- Valanzo A. Rules of good practice in the care of laboratory animals used in biomedical research. Ann 1st Super Sanità. 2004;40(2):201-203.
Supplementary files






















