Измѣненія въ спинномъ мозгѣ подъ вліяніемъ сдавленія или перевязки брюшной аорты
- Авторы: Пуссепъ Л.М.
- Выпуск: Том X, № 2 (1902)
- Страницы: 83-147
- Раздел: Оригинальные исследования
- Статья получена: 25.03.2022
- Статья одобрена: 25.03.2022
- Статья опубликована: 15.03.1902
- URL: https://journals.eco-vector.com/1027-4898/article/view/105318
- DOI: https://doi.org/10.17816/nb105318
- ID: 105318
Цитировать
Полный текст
Аннотация
Въ 1667 году вышелъ трудъ Николая Стенсона, подъ заглавіемъ: „Nicolai Stensonis. Elementorum Myologiae Specimen, seu musculi descriptio geometrica; cui accedunt Canis Carchariae dissectum Caput et dissectus piscis ex canum genere“
Въ этомъ трудѣ авторъ описываетъ интересныя явленія, наблюдавшіяся послѣ перевязки брюшной аорты у животнаго, котораго Stenson называетъ Canis Carcharia. Явленія эти состояли въ параличѣ заднихъ конечностей, появлявшемся тотчасъ послѣ перевязки аорты („partium posteriorum omnium motum voluntarium toties cessare"), но съ удаленіемъ перевязки конечности получали опять возможность двигаться (sublato vinculo supervixit canis sine ullo motus incommodo).
Ключевые слова
Полный текст
«Ad veritatem per scientiam».
I.
Краткій историческій обзоръ.
Въ 1667 году вышелъ трудъ Николая Стенсона, подъ заглавіемъ: „Nicolai Stensonis. Elementorum Myologiae Specimen, seu musculi descriptio geometrica; cui accedunt Canis Carchariae dissectum Caput et dissectus piscis ex canum genere“ [1]).
Въ этомъ трудѣ авторъ описываетъ интересныя явленія, наблюдавшіяся послѣ перевязки брюшной аорты [2]) у животнаго, котораго Stenson называетъ Canis Carcharia. Явленія эти состояли въ параличѣ заднихъ конечностей, появлявшемся тотчасъ послѣ перевязки аорты („partium posteriorum omnium motum voluntarium toties cessare"), но съ удаленіемъ перевязки конечности получали опять возможность двигаться (sublato vinculo supervixit canis sine ullo motus incommodo).
Относительно причины подобныхъ явленій Stenson высказывается довольно осторожно, ограничиваясь только предположеніемъ, что главная причина—прекращеніе доступа крови къ спинному мозгу.
Почти черезъ сто лѣтъ въ 1762 году Albert ѵ. Haller выпускаетъ въ свѣтъ обширный трудъ: „Elementa physiologiae corporis humani".
Въ своемъ трудѣ Haller старается произвести оцѣнку опытовъ Stenson’a и приходитъ къ тому выводу, что причину параплегіи заднихъ конечностей слѣдуетъ искать не въ анэміи спинного мозга, а гораздо вѣроятнѣе искать ее въ анэміи мышцъ и окончаній двигательныхъ нервовъ, причемъ авторъ перечисляетъ цѣлый рядъ именъ ученыхъ, которые держатся того же взгляда 3).
Мнѣніе Haller’a господствовало во всѣхъ выходившихъ послѣ его труда сочиненіяхъ и всѣ авторы принимали выводы Haller’a на вѣру, не давая себѣ труда провѣрить ихъ на опытѣ.
Такъ продолжалось до 1824 года, когда вышелъ замѣчательный трудъ Cesar’a la Gallois [4]), который поставилъ себѣ цѣлью изслѣдованіе причины параплегіи заднихъ конечностей. Опыты свои онъ ставилъ такимъ образомъ: послѣ перевязки аорты, спустя 15 мин., Le Gallois, разрушивъ позвоночникъ кролика, пробовалъ раздражительность спинного мозга стилетомъ. Прикосновеніе стилета въ грудной области вызывало сильную реакцію со стороны животнаго, между тѣмъ какъ даже гораздо сильнѣйшее прикосновеніе стилета въ брюшной части спинного мозга не вызывало никакихъ явленій со стороны кролика. На основаніи этого Cesar Le Gallois категорически заявляетъ, что „Іа ligaturr de 1’aorte abdominale en interceptant la circulation dans toute la portion de la moelle épiniere anéantit le sentiment et le mouvement dans toutes les parties, qui regoivent leurs nerfs de cette portion de moelle, laquelle est alors, pour ces parties, comme s’il n’existait pas, ou comme s’il avait été détruite"5).
Этотъ взглядъ вполнѣ раздѣляетъ и нашъ великій ученый Пироговъ въ своемъ трудѣ: Num vinctura aortae abdominalis in aneurysmate inguinali adhibitu facile tutum sit remedium?" [6]).
Пироговымъ въ общемъ поставлено 18 опытовъ:
8 на собакахъ, 4 на телятахъ, 3 на кошкахъ, 3 на баранахъ.
Между прочимъ и Пироговъ употреблялъ раздраженіе спинного мозга стилетомъ и получилъ аналогичные результаты. Вотъ что говоритъ Пироговъ: ...................... „paralyseos, quum
liqata Aorta in extremitatibus observamus, sedes partim in medulla spinali ipsa, partim vero in nervorum finibus in quirenda esse videatur" [7]).
Изъ вышеприведенного отрывка видно, что Пироговъ однако не вполнѣ отрѣшился отъ взглядовъ предшествующихъ писателей и нѣкоторое значеніе приписываетъ и окончаніямъ двигательныхъ нервовъ. 20 лѣтъ спустя, почти въ одинъ и тотъ-же годъ вышли двѣ замѣчательныя работы по данному вопросу Brown-Sequard’a [8]) и Stannius’a [9]). Обѣ эти работы, какъ и предыдущія, разсматриваютъ вопросъ съ физіологической точки зрѣнія. Brown-Sequard и Stannius единогласно приходятъ къ выводамъ, совершенно противоположнымъ выводамъ Le Gallois и Пирогова. По всей вѣроятности эти работы не были даже извѣстны ни Brown-Sequard’y, ни Stannius’y. Интересны опыты Brown-Sequard’a: онъ производилъ вливаніе крови въ аорту кролика, убитаго 13 часовъ предъ опытомъ. Какъ только мышцы инъецировались кровью, такъ тотчасъ онѣ возвращались къ жизни и получали возможность сокращаться. Основываясь на подобныхъ опытахъ, Brown-Sequard приходитъ къ заключенію, что и въ опытѣ Stenson’a повторяется тоже самое: пока притокъ крови къ мышцамъ заднихъ конечностей прекращенъ, они теряютъ свою фунціональную возбудимость, но какъ только перевязка брюшной аорты прекращена, мышцы получаютъ опять достаточное количество крови и возбудимость у нихъ появляется снова 10). Schiff 11), повторяя опыты Stenson’a на собакахъ и кроликахъ, высказываетъ опять новый взглядъ, что параличъ заднихъ конечностей зависитъ отъ прекращенія доступа крови къ нервнымъ стволамъ.
Всѣ послѣдующіе физіологи Budge [12]), Funke[13]), Hermann [14]) согласно утверждаютъ, что параличъ заднихъ конечностей зависитъ отъ прекращенія доступа крови къ конечностямъ и совершенно игнорируютъ мнѣніе Cesar’a Le Gallois и Пирогова.
Наконецъ въ 1869 году появился трудъ Julius Schiffer’a [15]) окончательно положившій конецъ спорамъ и разногласіямъ относительно причины паралича заднихъ конечностей. Въ виду того, что этотъ трудъ имѣлъ такое большое значеніе, я остановлюсь на немъ нѣсколько подробнѣе.
Опыты Schiffer производилъ исключительно на кроликахъ, которымъ онъ въ однихъ случаяхъ зажималъ аорту пинцетомъ, послѣ отсепарированія ея, а въ другихъ случаяхъ прижималъ пелотомъ особаго устройства, предложеннымъ Людвигомъ и Щелковымъ.
У кроликовъ тотчасъ же послѣ зажатія аорты наступалъ параличъ, который исчезалъ черезъ 1 сутки, если зажатіе продолжалось не болѣе 1/2 часа; у тѣхъ кроликовъ, у которыхъ зажатіе аорты производилось болѣе продолжительное время, параличъ уже не исчезалъ.
Перевязка-же art. iliacae на обѣихъ сторонахъ даже на очень продолжительное время не вызывала паралича, а только ослабленіе функцій конечностей, похолодѣніе и тому подобныя явленія, наблюдаемыя при задержкѣ доступа крови къ конечностямъ. Кромѣ того для доказательства, что параличъ зависитъ главнымъ образомъ отъ разстройства кровеобращенія въ спинномъ мозгу Schiffer раздражалъ у животныхъ съ перевязанной аортой n. ischiadicus и получалъ сокращеніе мышцъ; слѣдовательно, окончанія нервныя въ мышцахъ и сами мышцы остаются нормальными.
Раздражая же n. ischiadicus у такихъ животныхъ, у которыхъ наступилъ параличъ отъ перевязки art. iliacarum или аорты у самаго bifurcatio, онъ не получалъ сокращенія мышцъ, что и доказывало разрушеніе двигательныхъ нервныхъ окончаній въ мышцахъ. Кромѣ того бросается въ глаза разница въ наступленіи паралича: въ то время какъ при высокой перевязкѣ брюшной аорты происходитъ параличъ моментально, при низкой—или при перевязкѣ art. iliacarum параличъ наступаетъ очень медленно—только черезъ часъ, а иногда и больше.
Такимъ образомъ Schiffer вполнѣ и окончательно доказалъ зависимость паралича заднихъ конечностей при перевязкѣ или зажитіи аорты отъ разстройства кровеобращенія въ спинномъ мозгу.
Въ 1873 году вышла диссертація Weil’я 16), гдѣ авторъ разбираетъ работы по данному вопросу и приводитъ свои опыты. Мы не станемъ останавливаться на его работѣ, а прямо приведемъ его собственные выводы.
- Весь спинной мозгъ, какъ бы, раздѣленъ на двѣ части, благодаря тому, что въ нижней части, вслѣдствіе прекращенія доступа артеріальной крови, функціи нарушены и даже совершенно уничтожены.
- Съ громадной вѣроятностью можно допустить, что первоначальныя явленія зависятъ отъ спинного мозга, но
- въ короткое время также мышцы и нервы гибнутъ вслѣдствіе анэміи нижнихъ конечностей [17]).
Въ 1880 году появляется трудъ Kast’a 18), имѣющій цѣлью доказать цѣлесообразность операціи перевязки аорты на людяхъ. Въ своемъ трудѣ авторъ разбираетъ 9 описанныхъ въ литературѣ случаевъ перевязки аорты и всѣ съ летальнымъ исходомъ, приводитъ цѣлый рядъ физіологическихъ работъ на животныхъ, затѣмъ для выясненія вопроса о коллятеральныхъ путяхъ онъ описываетъ рядъ своихъ опытовъ.
На основаніи своихъ опытовъ онъ приходитъ къ слѣдующимъ выводамъ.
- Животныя съ болѣе развитыми покровами страдаютъ только короткое время (отъ 4 час. до 4 дней) слабымъ парезомъ нижнихъ (заднихъ) конечностей, пузыря и прямой кишки и переносятъ перевязку аорты безъ всякихъ дурныхъ послѣдствій.
- Давленіе въ art. crurali послѣ операціи падаетъ только на нѣсколько секундъ, но тотчасъ-же опять поднимается и достигаетъ средняго уровня.
- Во всѣхъ частяхъ, лежащихъ ниже лигатуры не происходитъ никакихъ явленій, которыя указывали бы на ишемію.
- Перевязка аорты не вызываетъ переполненія вышележащихъ сосудовъ и поэтому не грозитъ чрезмѣрнымъ приливомъ крови къ мозгу, къ сердцу и къ легкимъ, какъ утверждаютъ противники этой операціи.
Основываясь на разборѣ случаевъ операціи перевязки аорты и на своихъ опытахъ, Kast приходитъ къ убѣжденію, что „перевязка аорты на живомъ человѣкѣ не можетъ считаться операціей опасной для жизни, а поэтому и не должна игнорироваться хирургами. При настоящемъ положеніи оперативной техники эта операція даже имѣетъ несомнѣнное жизненное показаніе и должна занимать подобающее ей мѣсто среди другихъ хирургическихъ мѣропріятій"19).
Къ вышеприведеннымъ работамъ относится еще работа (болѣе) позднѣйшаго времени Fredericq’a [20]): „L’anémie experimentale comme procédé de dissociation des propriétés, mot- rices et sensitives de la moelle épiniére". Авторъ повторилъ перевязку брюшной аорты на собакахъ. Изслѣдуя появляющіяся вслѣдъ за перевязкой явленія, Fredericq нашелъ, что сперва появляется стадій возбужденія, длящійся 10—15 секундъ, который переходитъ затѣмъ въ стадій тоническихъ судорогъ; 30—40 сек. спустя послѣ перевязки аорты наступаетъ параличъ заднихъ конечностей. Спустя 11/2—21/2 минуты послѣ перевязки Fredericq замѣчалъ повышенную чувствительность, а спустя 3 минуты наступала полная анэстезія. Въ нѣкоторыхъ случаяхъ, когда сдавленіе аорты продолжалось 5—10 м., чувствительность возвращалась снова.
Этой работой можно закончить обзоръ работъ, разсматривающихъ вопросъ о перевязкѣ брюшной аорты съ чисто физіологической точки зрѣнія.
Теперь мы перейдемъ къ историческому разсмотрѣнію другой серіи работъ, освѣщающихъ разсматриваемый вопросъ съ патолого-гистологической точки зрѣнія.
Этотъ новый періодъ въ исторіи даннаго вопроса начинается съ 1883 года работой Ehrlich’a и Brieger’a: „Ueber die Ausschaltüng des Ledenmarkgrau“21).
Названные авторы воспользовались съ одной стороны опытомъ Stenson’a а съ другой изслѣдованіями Conheim’a и Litten’a объ ишемическомъ некрозѣ, вполнѣ правильно предполагая, что замѣчаемый при перевязкѣ аорты параличъ заднихъ конечностей зависитъ отъ некроза сѣраго вещества спинного мозга и что при продолжительной перевязкѣ возможно сѣрое вещество совершенно разрушить; такимъ образомъ, пользуясь перевязкой брюшной аорты, они задались цѣлью вылущить,,herausschälen“ сѣрое вещество спинного мозга и, благодаря этому, узнать анатомическое отношеніе его къ окружающимъ частямъ. Для производства зажатія аорты они пользовались способомъ Du Bois-Raymond’a [22]). Зажимали брюшную аорту на 1 часъ. Въ большинствѣ случаевъ авторы наблюдали продолжительный двигательный и чувствительный параличъ задней половины животнаго. Въ спинномъ мозгу животныхъ, жившихъ послѣ перевязки брюшной аорты довольно продолжительное время, авторы нашли очень интересныя измѣненія: сѣрое вещество спинного мозга на всемъ протяженіи сильно съужено, такъ что оно приняло видъ двухъ изогнутыхъ узкихъ полосъ; міэлиновыя волокна сѣраго вещества уже не открываются по методу Weigert’a за исключеніемъ заднихъ роговъ, гдѣ еще остались нѣкоторыя изъ волоконъ; гангліозныя клѣтки исчезли совершенно, между тѣмъ какъ заднія корешки и спинныя гангліи совершенно нормальны.
Въ бѣломъ веществѣ авторы нашли также большія измѣненія: передніе и передне-боковые столбы, за исключеніемъ въ послѣднихъ двухъ узкихъ поясковъ, перерождены; одинъ изъ поясковъ, оставшійся неизмѣненнымъ, соотвѣтствуетъ по- мнѣнію обоихъ авторовъ, по всей вѣроятности, переднимъ пирамиднымъ пучкамъ, второй же соотвѣтствуетъ боковымъ мозжечковымъ пучкамъ человѣка. Такимъ образомъ, согласно изслѣдованію Ehrlich’a и Brieger’a все бѣлое вещество, исключая заднихъ и такъ называемыхъ длинныхъ пучковъ, перерождено.
Спустя 4 года появляется новая работа Singer’a 23): Ueber die Veränderungen am Rückenmark nach Zeitweiler Verschliessung der Bauchaorta".
Singer перевязывалъ аорту по внѣ брюшинномъ способу Stannius’a. Зажимая аорту на часъ, авторъ оставлялъ затѣмъ кроликовъ въ живыхъ различное время, начиная съ 24 час. и 6 недѣль, для того, чтобы имѣть возможность прослѣдить постепенное развитіе перерожденіе въ спинномъ мозгу. При этомъ Singer замѣтилъ, что клѣтки переднихъ роговъ зернисто перерождаются, тѣло клѣтки и ядро сморщиваются, осевые цилиндры вздуваются; наконецъ, клѣтки мало по-малу начинаютъ исчезать, перестаютъ краситься, сѣрое вещество уменьшается въ объемѣ, бѣлое-же перерождается по тому типу, который описали Ehrlich и Brieger.
Аналогичные результаты получилъ и Herter [24]). Однако онъ не ограничился только изслѣдованіемъ спинного мозга, а изслѣдовалъ также нервы и мышцы заднихъ конечностей. Въ нервахъ онъ нашелъ возрастающую дегенерацію, отличающуюся отъ обыкновенной, по его словамъ, тѣмъ что кровяные сосуды расширены, видна повсемѣстно мелкоклѣточковая инфильтрація и въ нѣкоторыхъ случаяхъ геморрагіи въ окружающей нервъ ткани. Въ парализованныхъ мышцахъ видно сперва слабое кровеизліяніе въ межуточную ткань и образованіе вакуолъ въ отдѣльныхъ пучкахъ. Мускулатура мочевого пузыря, по словамъ автора, гипертрофирована, вслѣдствіе сокращенія сфинктера uretrhae и связаннымъ съ этимъ затрудненнымъ опорожненіемъ пузыря.
Основываясь на своихъ наблюденіяхъ, Herter приходитъ къ заключенію, что вслѣдствіе перевязки брюшной аорты наступаетъ воспаленіе спинного мозга съ послѣдовательнымъ некрозомъ сѣраго вещества.
C. Spronck 25) въ своей работѣ: „Contribution а l'etude experimentale des lesions de la moelle épiniere determinées par l’anemie passagére de cet organe", вполнѣ подтверждаетъ опыты Ehrlich’a и Brieger’a и описываетъ наблюдавшіяся измѣненія въ спинномъ мозгу: нервныя волокна сѣраго вещества, за исключеніемъ заднихъ корешковыхъ волоконъ и центральныхъ волоконъ переднихъ и боковыхъ столбовъ перерождаются, Дейтерсовы отростки гангліозныхъ клѣтокъ переднихъ роговъ отдѣляются отъ послѣднихъ и распадаются на 4-й день. Распадъ мякотныхъ волоконъ обыкновенно сопровождается варикозной гипертрофіей осевыхъ цилиндровъ.
Уже 10-минутная задержка крови, по словамъ C.Spronck а достаточна, чтобы вызвать патологическія измѣненія въ поясничной части спинного мозга.
Измѣненія, наблюдаемыя при перевязкѣ аорты въ брюшной части спинного мозга, Arthur Sarbo 26) считаетъ зависящими отъ анэміи спинного мозга и разсматриваетъ какъ острое размягченіе мозга.
Названный авторъ наблюдалъ измѣненіе клѣтокъ, окрашенныхъ метиленовой синькой по способу Nissl’я; клѣточные окрашенные элементы претерпѣваютъ мелко-зернистый распадъ, ядро же становится гомогеннымъ и начинаетъ окрашиваться метиленовой синькой. Изрѣдка встрѣчается однородное разбуханіе клѣтки и особый родъ частичнаго склероза клѣточнаго тѣла.
Nissl, по словамъ автора, сообщилъ ему, что вышеприведенное измѣненіе клѣтки указываетъ на тяжелое заболѣваніе ея. Распаденіе клѣтокъ все прогрессируетъ и прогрессируетъ и въ концѣ концовъ (спустя 9 дней послѣ перевязки аорты), на мѣстѣ переднихъ роговъ образуется ткань, состоящая изъ гліо-эпитіальныхъ клѣтокъ и размножающихся (Wucherungzellen) клѣтокъ неврогліи.
Окрашивая препараты по Weigert’y и Marchi, авторъ вполнѣ подтверждаетъ изслѣдованія предыдущихъ авторовъ.
Münzer и Wiener 27) описываютъ 21 опытъ надъ кроликами, произведенный ими съ цѣлью: 1) узнать состояніе гангліозныхъ клѣтокъ спинного мозга, окрашенныхъ по способу Nissl'я, во 2) изучить вторичное перерожденіе волоконъ, пользуясь способомъ Marchi.
Уже спустя 4 часа послѣ перевязки аорты находили болѣе или менѣе хорошо выраженныя измѣненія въ клѣткахъ: мелко-зернистый распадъ хроматическихъ зернышекъ, выступленіе сѣтчатаго измѣненія въ отдѣльныхъ клѣткахъ среди совершенно нормальной окружающей ихъ среды.
Спустя 6 часовъ послѣ перевязки брюшной аорты измѣненія въ клѣткахъ наблюдались еще явственнѣе: кромѣ мелко-зернистаго распада зернышекъ наблюдался перерывъ въ расположеніи хромотофильнаго вещества, измѣнялось расположеніе зеренъ изъ полосатаго въ сѣтчатое.
Спустя 8 часовъ, кромѣ вышеприведеннымъ образомъ измѣненныхъ клѣтокъ, наблюдаются еще клѣтки гомогенноперерожденныя, съ углубленіями (einbuchtungen) на краяхъ, изрѣдка окруженныя вѣнкомъ изъ темно-синяго вещества.
Спустя 12 часовъ большинство клѣтокъ слабо окрашивается, причемъ характерный рисунокъ нормальныхъ клѣтокъ
исчезаетъ, ядро сжимается и окрашивается въ темно-синій цвѣтъ.
Спустя 24 часа еще встрѣчалась изрѣдка клѣтка съ нормальными зернышками, всѣ остальныя такъ или иначе перерождены. Съ этого момента начинается рядъ викарныхъ измѣненій: появленіе клѣточной инфильтраціи, увеличеніе числа сосудовъ, дѣленіе невроглійныхъ клѣтокъ. За гибелью клѣтокъ непосредственно слѣдуетъ дегенерація тѣхъ волоконъ, осевые цилиндры которыхъ берутъ начало изъ разрушившихся клѣтокъ.
Въ самомъ дѣлѣ, спустя 6—8 дней послѣ перевязки брюшной аорты способъ Marchi указываетъ на диффузную тонко разсѣянную дегенерацію, которая не подходитъ подъ извѣстныя системы. Дегенерація главнымъ образомъ охватываетъ боковые пучки, гдѣ перерождена масса отдѣльныхъ волоконъ, узкую полоску на наружномъ краѣ переднихъ пучковъ, задніе пучки, гдѣ перерожденіе также тонко разсѣянное, далѣе дегенерація распространяется на медіальную часть Годлевскихъ пучковъ.
Авторы не ограничились опытами надъ кроликами, а ставили ихъ и на собакахъ, но паралича не получали.
Prof. Gilbert Ballet и Dr. A. Dutil 28) въ своемъ докладѣ на международномъ съѣздѣ, указываютъ на измѣненія клѣтокъ спинного мозга послѣ кратковременнаго зажитія брюшной аорты у морскихъ свинокъ. Зажитія аорты производилось ими послѣдовательно три раза: первый разъ 5 мин., затѣмъ, когда параплегія прекращалась, опять на 6—7 мин. и наконецъ третій разъ тоже на 5—6 минутъ. Выждавъ прекращеніе параплегіи, животное убивали и затѣмъ изслѣдовали нервныя клѣтки по Nissl’ю. Оказалось, что клѣтки частью теряютъ хроматическое вещество: клѣточныя тѣла разбухаютъ; ядра не измѣнены.
При болѣе продолжительномъ зажитіи хроматолизъ охватываетъ иногда все тѣло клѣтки, она вздута, ядро придвинуто къ краю.
Авторы констатируютъ фактъ, что животныя, у которыхъ оказывались клѣтки болѣе измѣненными, не отличались ни быстротой, ни силой своихъ движеній отъ тѣхъ, у которыхъ оказывалось очень слабое измѣненіе клѣтокъ. На основаніи этого авторы предполагаютъ, что хроматическія зернышки вовсе не представляютъ необходимаго агента въ двигательной функціи. Измѣненія въ клѣткахъ, по заключенію авторовъ, напоминаютъ при продолжительномъ зажитіи брюшной аорты первичныя, а при кратковременномъ—вторичныя перерожденія спинного мозга.
Henry Lamy 29), чтобы избѣжать грубыхъ манипуляцій, неизбѣжныхъ при Stenson’oвской перевязкѣ аорты, вызывалъ анэмію спинного мозга инымъ способомъ. Онъ впрыскивалъ въ art. spinales ant. тончайшій порошокъ ликоподія и получалъ такимъ способомъ артеріальныя эмболіи, вызывавшія въ спинномъ мозгу некротическія инфаркты, расположенные частью въ сѣромъ, частью въ бѣломъ веществѣ. Процессъ переходилъ постепенно въ стадію краснаго размягченія, затѣмъ наступало разсасываніе размягченнаго отдѣла, послѣ чего перерожденныя зернистыя клѣтки выступаютъ гораздо яснѣе. Мѣстами и въ бѣломъ веществѣ авторъ находилъ подобное же скопленіе размягченныхъ массъ (детрита), въ такомъ случаѣ эти размягченныя массы напоминаютъ таковыя, происшедшія отъ перевязки брюшной аорты.
Авторъ указываетъ на то, что подобныя же патологическія измѣненія зернистой натуры замѣчаются при различныхъ заболѣваніяхъ спинного мозга (polyomyelitis ant., myelitis syphilit.). Поэтому авторъ склоненъ и въ послѣднемъ случаѣ считать главной причиной заболѣванія облитерацію
артерій, что несомнѣнно лежитъ въ основѣ myelitis infectiosa, который начинается зернистымъ размягченіемъ.
Заканчивая историческій обзоръ работъ по интересующему насъ вопросу, я приведу еще единственное изслѣдованіе человѣческаго спинного мозга, послѣ тромбоза брюшной аорты. Изслѣдованіе это было произведено Helbing'омъ 30).
При вскрытіи 37-лѣтняго больного, внезапно заболѣвшаго пораженіемъ нижнихъ конечностей и умершаго спустя 39 дней послѣ появленія первыхъ припадковъ паралича, осложнившагося омертвѣніемъ обѣихъ голеней и правой сѣдалищной области, авторомъ былъ найденъ тромбъ, заполнявшій обѣ art. iliacae и просвѣтъ аорты вверхъ на 5 ст. надъ дѣленіемъ ея. Сѣдалищный нервъ, лежавшій обнаженнымъ въ глубинѣ омертвѣвшихъ частей правой сѣдалищной области былъ найденъ перерожденнымъ.
Въ поясничномъ утолщеніи спинного мозга авторомъ найдены слѣдующія патологическія измѣненія:
- перерожденіе переднихъ и заднихъ корешковыхъ волоконъ;
- перерожденіе тѣхъ по преимуществу волоконъ сѣраго вещества, которыя являются продолженіемъ корешковыхъ волоконъ;
- зернистое перерожденіе нервныхъ клѣтокъ въ обоихъ переднихъ рогахъ,
- рѣзкое перерожденіе обоихъ заднихъ столбовъ, но особенно праваго;
- незначительное диффузное перерожденіе обоихъ передне-боковыхъ столбовъ.
Въ другихъ отдѣлахъ спинного мозга констатировано авторомъ только восходящее перерожденіе праваго Голлева столба.
Нѣкоторыя изъ вышеприведенныхъ измѣненій спинного мозга авторъ ставитъ въ зависимость отъ омертвѣнія праваго сѣдалищнаго нерва, напр. перерожденіе переднихъ и заднихъ корешковыхъ волоконъ и перерожденіе праваго Голлева столба, и только перерожденіе клѣтокъ переднихъ роговъ и волоконъ передне-боковыхъ столбовъ онъ ставитъ въ зависимость отъ анэміи. Однако авторъ не отрицаетъ возможности и другого объясненія, хотя бы существованіемъ у больного нефрита.
II.
Отъ выбора метода, отъ болѣе или менѣе умѣлой постановки опыта зависитъ, по большей части, успѣхъ или неуспѣхъ работы; вотъ почему я не перехожу прямо къ изложенію полученныхъ результатовъ и къ описанію своихъ опытовъ, а считаю своимъ прямымъ долгомъ выяснить, почему я пользовался тѣмъ, а не другимъ методомъ.
Въ литературѣ можно найти описаніе нѣсколькихъ способовъ перевязки или зажитія брюшной аорты. Самый старый изъ нихъ это способъ Stenson’a 31): разрѣзъ по lineam albam ведется черезъ кожу, мышцы, peritoneum, дойдя до кишекъ и сальника, ихъ отворачиваютъ въ сторону, нѣсколько отсепаровываютъ аорту и затѣмъ перевязываютъ ее; послѣ этого всѣ внутренности укладываются на мѣсто и рана зашивается. Stannius [32]) предложилъ другой способъ—внѣбрюшиный: на спинѣ животнаго проводится разрѣзъ съ дѣвой стороны позвоночнаго столба, начиная съ послѣдняго грудного позвонка и вдоль поясничной части позвоночника до 6—7 брюшного позвонка. Кожа оттягивается крючками, затѣмъ разрѣзается m. sacrolumbalis; слѣдующія затѣмъ мышцы quadratus lumborum и psoas major оттягиваются тупыми крючками и такимъ образомъ открывается доступъ къ аортѣ безъ поврежденія брюшины.
Наконецъ профессоромъ Du Bois-Raymond’омъ 33) предложенъ довольно простой безкровный способъ. Состоитъ онъ въ томъ, что на уровнѣ 4 брюшного позвонка производится небольшой надрѣзъ кожи. Черезъ этотъ разрѣзъ пропускаютъ особо устроенную иглу па подобіе троакара, толщиною 60— 80 mm. Игла эта заключена въ трубочку, стѣнки которой толщиною 2—3 mm.; въ имѣющееся въ иглѣ ушко продѣвается крѣпкій и толстый шелковый шнурокъ. Передъ опытомъ иглу и трубочку намасливаютъ. Въ сдѣланный въ кожѣ разрѣзъ проводятъ этотъ инструментъ съ открытымъ острымъ концемъ иглы; когда игла уже пройдетъ толщу мышцъ, то острый конецъ иглы прячется въ трубочку и дальше продвигается уже тупая трубка до тѣхъ поръ, пока она не дойдетъ до противоположныхъ мышечныхъ покрововъ, гдѣ остріе опять высовывается и прокалываетъ мышцы и кожу; послѣ чего игла съ трубочкой свободно проходятъ на другую сторону кролика, а вмѣстѣ съ ней протягивается и шнурокъ, который и завязывается плотно надъ 4 поясничнымъ позвонкомъ.
Этотъ способъ очень удобенъ, благодаря своей простотѣ и скорости исполненія.
Затѣмъ были предложены для зажатія аорты у кроликовъ еще цѣлый рядъ пелотовъ, которыхъ я не касаюсь, такъ какъ всѣ они не достигаютъ цѣли.
Выбирая между вышеопасанными тремя способами, я оставился на второмъ способѣ, какъ наиболѣе подходящемъ.
Отъ перваго способа я отказался уже а priori, такъ какъ наносимая травма—вскрытіе брюшной полости—не можетъ остаться безъ вліянія на спинной мозгъ; не говоря уже о томъ, что въ смыслѣ заживленія раны, этотъ способъ даетъ очень неутѣшительное предсказаніе.
Третій же способъ, хотя и подкупаетъ экспериментатора своей простотой и чистотой исполненія, но уступаетъ второму способу тѣмъ, что въ послѣднемъ случаѣ я зажимаю аорту, не задѣвая окружающихъ или соприкасающихся съ ней областей, между тѣмъ, какъ въ третьемъ способѣ перевязкой стягиваются vena cava inf., цѣлый рядъ нервовъ, самъ позвоночникъ, а это все такія моменты, которые можетъ быть и не вліяютъ на грубыя физіологическія отправленія, но при изслѣдованіи микроскопическомъ они могутъ дать рядъ совершенно не желательныхъ побочныхъ измѣненій въ клѣткахъ и этимъ затруднить наше изслѣдованіе. Къ тому же второй способъ можетъ быть произведенъ тоже скоро, чисто со сравнительно небольшой травмой и даже съ незначительной кровепотерей. Въ смыслѣ предсказанія онъ также даетъ очень утѣшительные результаты, въ чемъ я и убѣдился на своихъ опытахъ.
Руководствуясь такими соображеніями, я остановился на второмъ способѣ, какъ наиболѣе подходящемъ и цѣлесообразномъ, не смотря на то, что онъ болѣе кропотливъ, хлопотливъ и требуетъ большой осторожности и навыка 34).
Постановка опыта заключалась въ слѣдующемъ: послѣ открытія доступа къ аортѣ, по правиламъ, предложеннымъ Stannіus'омъ, я зажималъ ее маленькимъ кровеостанавливающимъ пинцетомъ съ очень мелкими и слабыми зазубринами на лапкахъ. Продержавъ аорту зажатой необходимое время, я снималъ пинцетъ, обмывалъ рану слабымъ растворомъ сулемы, накладывалъ швы на мышцы и кожу и, присыпавъ рану іодоформомъ, накладывалъ коллодійную повязку. При такой постановкѣ опыта отъ нагноенія погибло только 2 кролика и 2 отъ случайнаго пораненія брюшины, вслѣдствіе чего развился гнойный перитонитъ.
Какъ до операціи, такъ и послѣ операціи производилось изслѣдованіе чувствительности, двигательной способности и рефлексовъ заднихъ конечностей.
Такое изслѣдованіе производилось въ теченіе всей жизни кролика и всѣ измѣненія въ ту или другую сторону вносились въ протоколъ.
У нѣкоторыхъ кроликовъ производилось еще изслѣдованіе на реакцію перерожденія.
Сейчасъ же послѣ операціи за кроликами устанавливался тщательный и строгій надзоръ и уходъ: ежедневно 2 раза въ день производилось выпусканіе мочи, часто смѣнялась солома, тщательно высушивались чистой ватой замоченныя части; только благодаря тщательному уходу, мнѣ удалось продержать одного изъ мохъ кроликовъ 98 сутокъ, что ни одному автору раньше не удалось. Въ виду того, что я задался цѣлью изучить постепенное развитіе дегенераціи вещества спинного мозга, я оставлялъ кроликовъ послѣ 1-часового зажатія аорты въ живыхъ различное время, начиная съ 1 час. и до 98 сутокъ.
Объектомъ для этихъ опытовъ мнѣ служили кролики и собаки. 25 опытовъ поставленныхъ на кроликахъ по роду перевязки дѣлятся на двѣ категоріи:
- Опыты, въ которыхъ произведена постоянная перевязка аорты на уровнѣ 3-го поясничнаго позвонка, числомъ 3.
- Опыты, гдѣ произведено только зажатіе брюшной аорты на 1 часъ, числомъ 18; 4 кролика контрольныхъ.
Опытовъ на собакахъ 5.
III.
Тотчасъ-же послѣ наложенія перевязки или зажима на брюшную аорту выступаетъ на сцену рядъ очень интересныхъ явленій, описанію которыхъ я и посвящаю эту главу.
У кроликовъ совершенно нормальныхъ съ полной подвижностью всѣхъ лапокъ, съ прекрасно выраженными рефлексами, съ вполнѣ хорошей нормальной чувствительностью, вдругъ, послѣ наложенія зажима на брюшную аорту, наступаетъ параплегія заднихъ конечностей; чувствительность и рефлексы колѣнный и Ахиловый исчезаютъ.
Анэстезія заднихъ конечностей полная; даже сильнымъ фарадическимъ токомъ, уколомъ или прижиганіемъ раскаленной иглой, не удавалось получить реакціи со стороны кролика. Замѣчалось недержаніе мочи и кала; у самцовъ набухалъ penis и происходила неполная эрекція. Всѣ эти явленія ограничивались только задней половиной тѣла, въ передней же половинѣ тѣла нельзя было замѣтить никакихъ измѣненій ни функціональныхъ, ни въ сферѣ чувствительности, ни со стороны рефлексовъ.
Такія рѣзкія и эффектныя измѣненія въ задней половинѣ тѣла кролика наступали почти моментально, по крайней мѣрѣ, услѣдить переходъ отъ полнаго пользованія всѣми функціями къ такому жалкому состоянію не удалось не только мнѣ, но и другимъ, работавшемъ до меня.
Параличъ заднихъ конечностей проходитъ три стадіи: въ первый моментъ по наложеніи зажима на брюшную аорту, заднія лапки подтягиваются и мускулатура напрягивается; такое состояніе продолжается минутъ 5—20. Затѣмъ слѣдуетъ разслабленіе мускулатуры, получается вялый параличъ; спустя 6—8 дней этотъ вялый параличъ начинаетъ мало-по-малу переходить въ позднюю контрактуру, которая достигаетъ своего maximum на 20 день и остается такъ до конца жизни кролика.
Начиная съ момента зажатія аорты и въ теченіе всей послѣдующей жизни кролика, анэстезія оставалась безъ измѣненія, сухожильные рефлексы продолжали неизмѣнно отсутствовалъ, атрофія же мышцъ съ каждымъ днемъ прогрессировала и доходила до чудовищныхъ размѣровъ, какъ напр. у кролика прожившаго 98 дней послѣ зажатія, аорты мышечные элементы исчезли на ¾ своего объема а остались одни тонкіе мышечные тяжи и соединит. тканныя пленки.
Изслѣдованіе реакціи перерожденія мною производилось у 4-хъ кроликовъ по общимъ клиническимъ правиламъ изслѣдованія ея. Одинъ электродъ ставился на затылокъ кролика, а другой на заднюю конечность. Мѣста приложенія электродовъ были предварительно обриты. Токъ брался во всѣхъ случаяхъ отъ аппарата М. Walden'а: для слабаго тока бралось 12 элементовъ, а для сильнаго 23. Изслѣдованіе производилось въ теченіе 20 дней. У всѣхъ кроликовъ результаты такъ мало разнились, что я ограничился здѣсь приведеніемъ лишь одной таблицы.
Дни по порядку. | 1 | 2 | 3 | 4 | 5 | 6 | 7 | 8 | 9 | 10 | 11 | 12 | 13 | 14 | 15 | 16 | 17 |
Слабый токъ35) | |||||||||||||||||
Ка За С | +36) | + | + | + | + | + | + | + | + | — | 0 | 0 | 0 | 0 | 0 | 0 | 0 |
Ка Ра С | 0 | 0 | + | + | + | + | 0 | + | + | + | + | — | 0 | 0 | 0 | 0 | 0 |
Ан. За С | + | + | + | + | + | + | + | + | + | + | — | — | — | — | — | 0 | 0 |
Ан. Ра С | + | — | + | + | + | 0 | 0 | 0 | 0 | 0 | 0 | 0 | 0 | 0 | 0 | 0 | 0 |
Фарад. токъ | — | 0 | 0 | 0 | 0 | 0 | 0 | 0 | 0 | 0 | 0 | 0 | 0 | 0 | 0 | 0 | 0 |
Ка За С | ++ | + | + | + | + | + | + | + | — | — | — | — | — | — | — | — | 0 |
Ка За С | + | + | + | + | + | + | + | + | + | + | — | — | — | — | 0 | 0 | 0 |
Ан. 3. С | + | + | + | + | + | + | + | + | + | + | + | + | + | + | + | + | — |
Ан. Р. С | + | + | — | — | — | — | — | — | — | — | — | — | — | — | — | 0 | 0 |
— | 0 | 0 | 0 | 0 | 0 | 0 | 0 | С | 0 | 0 | 0 | 0 | 0 | — | — | — | |
Изъ приведенной таблицы можно заключить, что реакція перерожденія появляется очень скоро и затѣмъ возбудимость постепенно начинаетъ исчезать до 10 дня, съ этого- же дня можно констатировать видимую атрофію мышцъ.
Кромѣ того заслуживаютъ вниманія измѣненія функцій мочевого пузыря и recti. Сфинктеры мочевого пузыря и recti парализуются настолько, что истеченіе мочи и испражненія происходятъ непроизвольно и въ концѣ концевъ происходитъ выпаденіе прямой кишки, а у самокъ кромѣ того еще влагалища и даже матки.
Несмотря однако на параличъ сфинктера мочевого пузыря, все-же на 2—3 день моча въ немъ скопляется и, если не принять своевременно мѣръ, то животное гибнетъ отъ уреміи. Объясняется это скопленіе мочи тѣмъ, что detrusor urinae также парализованъ и поэтому моча не въ состояніи преодолѣть препятствіе даже со стороны парализованнаго сфинтера, чтобы вытекать тотчасъ-же по поступленіи изъ мочеточниковъ; ей нужно скопиться и только тогда она можетъ преодолѣть препятствіе и выливается, но не вся, а только извѣстный излишекъ; остающаяся моча разлагается; благодаря этому у кроликовъ развиваются cystites. Для предупрежденія скопленія мочи рекомендуется выжимать ее, по крайней мѣрѣ, 2 раза въ сутки.
Препятствіе-же со стороны сфинтера мочевого пузыря объяснится, по моему мнѣнію, очень просто, если мы вспомнимъ 3 стадіи паралича заднихъ конечностей: контрактура, дряблость и опять контрактура. Вотъ почему первые дни моча вытекаетъ довольно свободно, а дальше ей уже нужно преодолѣть извѣстное препятствіе со стороны сокращеннаго сфинктера, которое является довольно сильнымъ препятствіемъ. Поэтому съ 3—4 дня необходимо мочу выдавливать обязательно; хотя слѣдуетъ выдавливать и въ первые дни послѣ операціи, такъ какъ она застаивается вслѣдствіе паралича.
Со сфинктеромъ recti происходитъ тоже самое, но въ виду того, что онъ сильнѣе сфинктера мочевого пузыря и больше по объему, отверстіе послѣ его атрофіи увеличивается, и поэтому образуется выпаденіе прямой кишки, несмотря на то, что мышца сокращена.
Herter указываетъ въ своей статьѣ также на задержку мочи, но ставитъ это въ зависимость отъ не единовременнаго наступленія паралича musc. detrusoris urinae и sphin. vesicae urinariae, т. e. параличъ detrusoris urinae уже наступилъ въ то время, какъ sph. vesicae функціонируетъ еще вполнѣ нормально. Однако такое предположеніе не имѣетъ подъ собой никакой фактической подкладки.
Начиная съ 20 дня моча начинаетъ вытекать довольно свободно, потому что сфинктеръ мочевого пузыря атрофировался, т. е. повторяется то же, что и съ сфинктеромъ прямой кишки, (см. выше). Шерсть мѣстами на нижнихъ конечностяхъ выпала, что можно объяснить мацераціей, такъ какъ на той конечности, которая лежала выше и такимъ образомъ не подвергалась дѣйствію влажности, шерсть вполнѣ сохранялась.
У кроликовъ съ постоянной лигатурой аорты, наблюдались тѣ-же явленія и кромѣ того наступало рѣзкое охлажденіе заднихъ конечностей.
Вскрытіе кроликовъ, убитыхъ спустя 1 — 24 часовъ, не давало никакихъ макроскопическихъ измѣненій ни во внутреннихъ органахъ, ни въ спинномъ мозгѣ, исключая нѣкоторой анэміи его въ поясничной и крестцовой областяхъ.
Кролики, убитые спустя 2—4 сутокъ послѣ операціи, также не дали никакихъ измѣненій во внутреннихъ органахъ, только нѣкоторое скопленіе гноя въ подбрюшной клѣтчаткѣ; у одного изъ кроликовъ спинной мозгъ немного размягченъ въ крестцевой части.
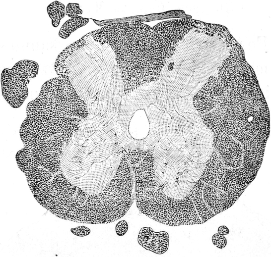
У жившихъ 11—14 сутокъ то-же самое во внутреннихъ органахъ и крестцевая нижняя часть спинного мозга совершенно размягчена, такъ что при выниманіи мозга, этотъ участокъ мозга расплывался. Въ поясничной области размягченіе выражено нѣсколько слабѣе, въ грудной же части спинной мозгъ по консистеціи нормаленъ. Замѣтна мышечная атрофія заднихъ конечностей (см. рис. 5) и такая-же атрофія въ стѣнкахъ мочевого пузыря.
У кроликовъ, прожившихъ свыше 30 дней эта атрофія достигла большихъ размѣровъ. Костный скелетъ заднихъ конечностей также представляетъ нѣкоторую особенность:
- Кости истончены 39).
- Они сдѣлались гораздо хрупче, достаточно легкаго нажатія пальцами, чтобы сломать длинную кость.
- Губчатое вещество длинныхъ костей исчезло почти совершенно, такъ что длинныя кости стали совершенно полыми, какъ напр. у кролика № 21.
- У нѣкоторыхъ кроликовъ замѣтны самопроизвольные переломы и затѣмъ сростаніе, причемъ мозоль разросталась вокругъ кости и занимала у одного кролика почти всю длинную бедренную кость.
Высшей степени эти измѣненія достигли въ костяхъ кролика, жившаго 98 дней [40]).
Протоколы опытовъ.
Опытъ № 1.
Крѣпкій упитанный кроликъ бѣлой масти, самецъ; вѣсъ 2100 грам. Перевязка аорты произведена по способу Stannius’a—внѣбрюшиннымъ путемъ—на уровнѣ 4-го брюшного позвонка. Тотчасъ-же послѣ перевязки аорты обнаружился цѣлый рядъ симптомовъ: во-первыхъ, наступила полная параплегія заднихъ конечностей; во-вторыхъ, чувствительность отсутствовала, рефлексы ни колѣнный, ни Ахилловъ не получались. Зрачки расширены. Моча, наполнявшая до операціи мочевой пузырь, стала выливаться совершенно свободно, такъ какъ произошелъ, по всей вѣроятности, параличъ сфинктера. Penis эректированъ. Таковы измѣненія и симптомы въ задней половинѣ кролика, въ передней половинѣ спереди отъ перевязки аорты не замѣчалось никакихъ ненормальныхъ явленій: рефлексы переднихъ конечностей вполнѣ сохранены, функція ихъ нисколько не нарушена, въ сферѣ чуствительности никакихъ нарушеній не обнаружено.
Кроликъ убитъ спустя 5 часовъ послѣ перевязки. Вскрытіе не обнаружило никакихъ патологическихъ измѣненій во внутреннихъ органахъ, только на aorta въ мѣстѣ перевязки нѣкоторая гиперемія.
Головной мозгъ не представлялъ никакихъ ненормальныхъ измѣненій. Спинной мозгъ при макроскопическомъ осмотрѣ въ верхней своей части выше 3-го брюшного (корешка) нерва совершенно нормаленъ, а ниже этого мѣста замѣтна незначительная анемія. Однако консистенція и блескъ поверхности спинного мозга вполнѣ нормальны. Спинной мозгъ разрѣзанъ на отдѣльные кусочки и положенъ для уплотненія въ формалинъ.
Окраска спинного мозга была произведена по Nissl’ю и сверхъ того нѣкоторые срѣзы окрашены гематоксилиномъ и эозиномъ.
Опытъ № 2.
Крѣпкій кроликъ—самецъ сѣрой масти, вѣсомъ 2000 grin.
Произведено зажатіе аорты на уровнѣ 4 брюшн. позвонка. Операція произведена по Stannuis’y. Анэстезія эфиромъ. Тотчасъ послѣ зажатія аорты-параличъ заднихъ конечностей, нарушеніе чувствительности, исчезаніе рефлексовъ, Моча и калъ не задерживаются, вслѣдствіе паралича сфинктеровъ.
Никакихъ явленій со стороны переднихъ конечностей и вообще всей передней половины не замѣчалось.
Кроликъ убитъ уколомъ въ сердце спустя 1 часъ послѣ зажатія аорты.
Вскрытіе никакихъ измѣненій во внутреннихъ органахъ не обнаружило.
Головной мозгъ и передняя часть спинного почти нормальны, задняя часть спинного мозга нѣсколько анемична, но консистенція и плотность вполнѣ нормальны.
Спинной мозгъ разрѣзанъ на кусочки и часть ихъ уплотнена въ формалинѣ, а другая въ 96% спиртѣ.
Опытъ № 3.
Кѣпкій кроликъ—самка сѣрой масти, вѣсомъ 2120 gram.
Операція произведена безъ наркоза по способу Stannius’a. Зажатіе аорты производилось зажимомъ съ очень мелкими нарѣзками на лапкахъ,, чтобы не поранить аорту.
Тотчасъ-же послѣ перевязки аорты параличъ заднихъ конечностей, исчезаніе въ нихъ сухожильныхъ рефлексовъ, нарушеніе чувствительности. Недержаніе мочи и кала. Функція и рефлексы переднихъ конечностей не нарушены. Спустя 2 часа послѣ зажатія аорты кроликъ былъ убитъ. Вскрытіе не обнаружило никакихъ измѣненій во внутреннихъ органахъ.
Головной и передняя часть спинного мозга вполнѣ нормальны, задняя же часть спинного мозга анемична.
Спинной мозгъ разрѣзанъ на отдѣльные кусочки и положенъ для уплотненія частью въ формалинъ, а частью въ спиртъ 96%.
Окраска по Nissl’ю.
Опытъ № 4.
Кроликъ—самецъ бѣлой масти вѣсомъ въ 1798 grm
Операція по Stannius’y, зажатіе аорты на уровнѣ 4 брюшного позвонка. Убитъ спустя 4 часа. Послѣ зажатія наблюдались тѣ-же явленія, что и въ предыдущихъ случаяхъ.
Вскрытіе не дало никакихъ измѣненій во внутреннихъ органахъ.
Головной мозгъ нормаленъ.
Спинной мозгъ въ передней части нормаленъ, а въ задней анэмиченъ.
Спинной мозгъ разрѣзанъ на кусочки и положенъ для уплотненія въ формалинъ и въ спиртъ 96%.
Окраска по Nissl’ю, а также гематоксилиномъ и эозиномъ.
Опытъ № 5 (по прот. 18).
13/III. Крѣпкій кроликъ—самецъ, сѣрый, вѣсомъ 1475 grm.
Операція произведена по способу Du-Bois Raymond’a. Аорта оставалась зажатой 1 часъ, а затѣмъ зажатіе прекращено и кроликъ оставленъ жить 5 часовъ послѣ зажатія. Явленія послѣ зажатія тѣ-же что и въ предыдущихъ. Послѣ снятія стягивающаго аорту снурка, параличъ, анэстезія и отсутствіе рефлексовъ продолжались неизмѣнно до конца жизни. Убитъ спустя 5 час. по снятію снурка уколомъ въ сердце.
На вскрытіи обнаружено, что игла прошла, не задѣвъ внутреннихъ органовъ, черезъ брюшную полость. Мѣсто зажатія соотвѣтствовало 4 брюшному позвонку.
Спинной мозгъ нормаленъ въ верхней своей части и нѣсколько анемиченъ въ нижней части.
Уплотненъ въ формалинѣ и спиртѣ 96%.
Окраска по способу Nissl’я.
Опытъ № 6 (по прот. 19).
13/III. Бѣлый съ черной спиной кроликъ, вѣсомъ 1515 grm.
Операція произведена по способу Du-Bois Raymond’a. Явленія получились такія-же какъ и въ предыдущемъ случаѣ. Кроликъ жилъ съ момента снятія перевязки аорты 7 час. Параличъ нижнихъ конечностей, анэстезія задней половины тѣла, отсутствіе рефлексовъ недержаніе мочи и кала оставались безъ измѣненія до конца жизни. Кроликъ издохъ отъ внутренняго кровотеченія.
Вскрытіе обнаружило въ брюшной полости небольшихъ размѣровъ кровяной сгустокъ и довольно большое количество полужидкой крови.
Головной и спинной мозгъ ничѣмъ не отличались отъ таковыхъ № 5-го.
Со спиннымъ мозгомъ поступлено, какъ въ № 5.
Опытъ № 7 (по прот. № 20).
Бѣлый лохматый кроликъ—самка вѣсомъ 1335 grm.
Операція и явленія тѣ-же, что и въ предыдущихъ опытахъ.
Оставленъ на дожитіе, но издохъ спустя 9 час. послѣ снятія шнурка, вслѣдствіе маточнаго кровотеченія.
Вскрытіе обнаружило сильную гиперемію матки, сгустки крови во влагалищѣ, а другихъ явленій не найдено.
Головной и спинной мозгъ нѣсколько анемичны, но нижняя половина спинного мозга анемична.
Со спиннымъ мозгомъ поступлено также, какъ въ № 5.
Опытъ № 8 (по прот. 16).
Сѣрый кроликъ—самецъ вѣсомъ въ 1280 grm.
Операція произведена по способу Stannius’a. Явленія со стороны нижнихъ конечностей такія-же какъ и въ предыдущихъ случаяхъ. Кроликъ оставленъ на дожитіе. Черезъ 6 час. послѣ снятія зажима, который оставался на аортѣ только 1 час, вялый параличъ, анэстезія, отсутствіе рефлексовъ.
Черезъ 12 час. никакихъ другихъ измѣненій. Затѣмъ изслѣдованія не производилось, а утромъ кроликъ былъ найденъ мертвымъ.
Вскрытіе не обнаружило никакихъ измѣненій во внутреннихъ органахъ; мочевой пузырь наполненъ ad maximum мочей, что позволяло заключите, что кроликъ погибъ отъ уреміи. Головной и спинной мозгъ никакихъ особенностей не представляли.
Со спиннымъ мозгомъ поступлено, какъ въ № 5.
Опытъ № 9 (по прот. 6).
Сѣрый кроликъ—самецъ, вѣсомъ 1180 grm.
Операція произведена по способу Stannius’a. Зажатіе аорты пинцетомъ на уровнѣ 4 брюшного позвонка производилось въ теченіе 1 часа. По снятіи зажима кроликъ оставленъ на дожитіе. Послѣ операціи наблюдались явленія, вполнѣ подобныя предшествующимъ опытамъ.
Черезъ 6 час. не замѣчено никакихъ измѣненій въ измѣненіяхъ и симптомахъ, только параличъ заднихъ конечностей сталъ какъ будто вялѣе.
Черезъ 18 час. Тоже. Вѣсъ уменш. до 1110.
Черезъ 30 час. Кроликъ обнаружилъ нѣкоторые симптомы, заставляющіе заподозрить воспаленіе брюшины. Вялость, вздутіе области живота, поносъ, моча кровяниста. Вѣсъ упалъ еще до 1090 gr.
Черезъ 49 ч. Кроликъ погибъ.
Вскрытіе обнаружило воспаленіе брюшины, происшедшее, по всей вѣроятности, отъ пораненія ея во время операціи.
Головной и спинной мозгъ не представляли ничего особеннаго.
Спинной мозгъ уплотненъ въ формалинѣ и въ Мюллеровской жидкости для окрашиванія по Marchi.
Опытъ № 10 (по прот. 13).
Крѣпкій, здоровый кроликъ—-самецъ—вѣсомъ 1470 grm.
Операція произведена по способу Stannius’a. На аорту наложена лигатура на уровнѣ 4 брюшного позвонка. Рана зашита и такимъ образомъ кроликъ былъ оставленъ на дожитіе съ полной перевязкой аорты. Первыя явленія вполнѣ одинаковы съ таковыми, наблюдавшимися въ предыдущихъ опытахъ.
Черезъ 6 час. послѣ наложенія лигатуры никакого измѣненія въ общемъ состояніи кролика. Черезъ 12 час. Разстройство чувствительности въ переднихъ лапкахъ, но больше никакихъ явленій.
Черезъ 30 час. слабая контрактура переднихъ лапокъ. Во всемъ остальномъ безъ измѣненій. Черезъ 48 час. — смерть. Передъ смертью контрактура нѣсколько усилилась.
Вскрытіе не обнаружило никакихъ измѣненій во внутреннихъ органахъ.
Головной и верхняя часть спинного мозга сильно гиперемированы, нижняя часть спинного мозга анемична.
Спинной мозгъ уплотненъ также, какъ и № 9.
Опытъ № 11 (по прот. 7).
Крѣпкій, неупитанный кроликъ, сѣрой масти, вѣс. 1340 grm.
Операція произведена по способу Stannius’a. Аорта зажата пинцетомъ на 1 часъ. Наблюдавшіеся симптомы и патологическія явленія ничѣмъ не отличались отъ явленій, наблюдавшихся у предыдущихъ кроликовъ. Убитъ спустя 4 сутокъ уколомъ въ сердце. За все время своей жизни кроликъ никакихъ особенныхъ явленій не обнаружилъ.
Вскрытіе указало на вполнѣ нормальное состояніе внутреннихъ органовъ.
Концевая часть спинного мозга нѣсколько размягчена.
Со спиннымъ мозгомъ поступлено, какъ и съ мозгомъ № 9-го. Окраска главнымъ образомъ по Nissl’ю.
Опытъ № 12 (по прот. 21).
Крѣпкій кроликъ—самецъ, бѣлой масти, вѣсомъ 1360 grm.
Операція произведена по способу Du-Bois Raymond’a. На аорту наложенъ зажимъ, который спустя 1 часъ снятъ. Всѣ наблюдавшіяся явленія вполнѣ напоминаютъ таковыя предыдущихъ кроликовъ. Во все время жизни 4 сутокъ параличъ заднихъ конечностей не прекращался и вообще разстройство въ сферѣ чувствительной, равно какъ и въ функціональной оставалось стойкимъ.
Вскрытіе указало па раненіе брюшины, но это обстоятельство не вызвало peritonit’a.
Головной и спинной мозгъ нѣсколько гиперемичны; нижняя часть спинного мозга скорѣе анэмична и нѣсколько размягчена.
Спинной мозгъ уплотненъ въ формалинѣ и въ Мюллеровской жидкости.
Головной мозгъ положенъ въ March’овскую жидкость.
Опытъ № 13 (по прот. 8).
Бѣлый кроликъ—самецъ, вѣсомъ 1220 grm.
Операція произведена по способу Stannius’a. Зажимъ наложенъ на аорту на уровнѣ 4-го брюшного позвонка и снятъ черезъ 1 часъ. Тотчасъ по наложеніи на аорту зажима, появился параличъ заднихъ конечностей, анэстезія, начиная съ пояса и дальше назадъ, захватывала почти половину кролика, недержаніе мочи и кала однимъ словомъ, тѣ-же характерныя для перевязки аорты явленія, которыя наблюдались и въ предыдущихъ опытахъ.
Во все время жизни кроликъ не представлялъ никакихъ другихъ симптомовъ. Изслѣдованіе на реакцію перерожденія дало почти отрицательные результаты въ первыя и вторыя сутки, на третьи сутки фарадическая возбудимость нѣсколько ослабѣла, на 4-я и 5-я сутки получилась неполная реакція перерожденія. На 5-я сутки кроликъ издохъ отъ небрежнаго въ этотъ день ухода за нимъ: моча не была выдавлена во время. Вскрытіе не указывало на какія-либо измѣненія внутреннихъ органовъ.
Головной мозгъ нормально окрашенъ; спинной мозгъ въ своей нижней (задней) части нѣсколько размягченъ.
Часть спинного мозга уплотнена въ формалинѣ, а другая часть въ Маrсh’овской жидкости.
Опытъ № 14.
Большой хорошо упитанный кроликъ бѣлой шерсти вѣсомъ 1850 grm.
Операція произведена по способу Stannius’a. Зажимъ наложенъ на аорту на уровнѣ 4-го брюшного позвонка и спустя часъ снятъ. Результаты получились одинаковые съ результатами другихъ опытовъ.
Во все время жизни производилось ежедневно тщательнымъ образомъ изслѣдованіе реакціи перерожденія, причемъ оказалось, что на 9-й, послѣдній день жизни кролика, появилась реакція перерожденія.
На 9-й день жизни послѣ зажатія аорты кроликъ погибъ отъ перитонита, происшедшаго по всей вѣроятности отъ того, что нарывъ, образовавшійся на мѣстѣ операціи, проложилъ себѣ ходъ черезъ брюшину въ брюшную полость.
На вскрытіи обнаружился гнойный перитонитъ. Спинной мозгъ въ нижней (задней) части размягченъ довольно сильно, но все-же его удалось вынуть цѣликомъ. Для уплотненія онъ положенъ въ формалинъ и въ Маrch’овскую жидкость.
Опытъ № 15 (по прот. 5).
Хорошо упитанный крѣпкій кроликъ сѣрой масти—самецъ, вѣсомъ въ 1940 grm.
Операція произведена по способу Stannius’a. Зажимъ наложенъ на аорту на уровнѣ 4 брюшного позвонка. Спустя 1 часъ зажимъ снятъ. Въ этомъ опытѣ повторились всѣ явленія, наблюдавшійся въ предыдущихъ опытахъ. Во все время жизни, кроликъ подвергался ежедневно тщательному изслѣдованію.
Въ ночь на 22 ноября кроликъ погибъ отъ неизвѣстной причины.
Даже вскрытіе не дало никакихъ измѣненій во внутреннихъ органахъ, которымъ можно-бы было приписать причину смерти.
Спинной мозгъ вообще, начиная съ мѣста, соотвѣтствующаго мѣсту перевязки аорты, нѣсколько размягченъ, крестцевая же часть его совершенно размягчена, такъ что ее не удалось вынуть изъ канала: она расползлась.
Головной мозгъ никакихъ измѣненій, по крайней мѣрѣ, макроскопическихъ не обнаружилъ. Спинной мозгъ заключенъ частью въ формалинъ, а частью въ жидкость Marchi.
Опытъ № 16 (по прот. 3. 10).
Кроликъ—самецъ—сѣрой масти, вѣсомъ 1350 grm.
Операція произведена по способу Stannius’a. Постановка опыта такая- же, какъ и въ предыдущемъ случаѣ. Наблюдавшіяся явленія одинаковыя съ таковыми предыдущихъ случаевъ.
Реакція перерожденія все время становилась яснѣй и яснѣй и, наконецъ, на 9 день получилась полная реакція перерожденія, которая на 10 и 11 стала уже очень ясной.
На 12-й день кроликъ былъ убитъ уколомъ въ сердце.
Вскрытіе обнаружило прекрасное заживленіе раны; гноя не было. Внутренніе органы вполнѣ нормальны. Стѣнки мочевого пузыря нѣсколько дряблы, пузырь наполненъ мочей.
Головной мозгъ положенъ въ жидкость Marchi.
Спинной мозгъ нѣсколько размягченный въ брюшной части, совершенно разжижился въ кресцевой. Для его уплотненія употребленъ формалинъ и жидкость Marchi. Нѣсколько кусочковъ изъ брюшной части спинного мозга положены въ Мюллерову жидкость.
Опытъ № 17 (по прот. 3. 17).
Кроликъ—самецъ сѣрой масти вѣсомъ 1275 grm.
Постановка опыта та-же, что и въ опытѣ № 16. Такой-же параличъ заднихъ конечностей и разстройства чувствительности мочевыхъ органовъ, какъ и въ № 16.
Ежедневно въ теченіе всей его жизни послѣ операціи производилось изслѣдованіе, при чемъ не обнаруживалось никакихъ особыхъ измѣненій: реакція перерожденія усиливалась съ каждымъ днемъ, а начиная съ 6-го дня стала даже очень характерной и ясно выраженной, на 10 день—полная реакція, 18 дней спустя послѣ операціи кроликъ былъ убитъ.
Вскрытіе не обнаружило никакихъ измѣненій во внутреннихъ органахъ. Мочевой пузырь растянутъ и заключаетъ незначительное количество мочи. Стѣнки дряблы и утолщены. Въ мышцахъ замѣтна нѣкоторая атрофія.
Головной мозгъ не представлялъ никакихъ макроскопическихъ измѣненій.
Спинной мозгъ въ поясничной части нѣсколько болѣе размягченъ, чѣмъ въ предыдущемъ случаѣ, но крестцовая часть размягчена нѣсколько меньше, что объясняется тѣмъ, что въ крестцовой части начала уже образовываться соединительная ткань.
Спинной мозгъ уплотненъ въ формалинѣ и Мюллеровской жидкости. Головной положенъ цѣликомъ въ Мюллеровскую жидкость.
Опытъ № 18 (но прот. 3. 15).
Бѣлый кроликъ—самка, вѣсомъ 1280 grm.
Постановка опыта та-же, что и въ предыдущихъ случаяхъ. Наблюдавшіяся явленія вполнѣ напоминаютъ таковыя въ другихъ опытахъ.
Ежедневно до 20-го дня его жизни производилось изслѣдованіе состоянія кролика.
Съ 20-го дня изслѣдованіе производилось черезъ каждые два дня, причемъ никакихъ измѣненій со стороны чувствительности или функцій заднихъ конечностей не замѣчено.
Атрофія мышцъ съ каждымъ днемъ увеличивалась и, наконецъ, дошла до очень замѣтной величины. Реакція перерожденія также стала интенсивной къ 10-му дню, а дальше гальваническая возбудимость стала уменьшаться. Кроликъ издохъ отъ неизвѣстной причины, спустя 38 дней послѣ зажатія аорты.
Вскрытіе не обнаружило никакихъ измѣненій во внутреннихъ органахъ, исключая мочевого пузыря—растянутаго и съ дряблыми стѣнками, нѣсколько утолщенными. При вскрытіи было обнаружено выпаденіе прямой кишки, наблюдавшееся при жизни, и выпаденіе влагалища. Головной мозгъ положенъ въ жидкость Marchi; спинной мозгъ, нижняя часть котораго нѣсколько болѣе блѣдна, чѣмъ верхняя и размягчена только самая верхняя часть поясничной области спинного мозга, отъ мѣста выхода 3 нерва и до 5 брюшн. нерва, ниже же мозгъ твердъ—нѣсколько тверже нормальнаго.
Уплотненъ спинной мозгъ въ Мюллеровской жидкости и въ жидкости Marchi.
Опытъ № 19 (по прот. 3. 14).
Бѣлый кроликъ—самецъ, вѣсомъ 1560 grm.
Постановка опыта та-же, что и въ предыдущихъ случаяхъ. Наблюдавшіяся явленія вполнѣ напоминаютъ таковыя въ другихъ опытахъ.
Ежедневно производилось до 20-го дня жизни кролика изслѣдованіе общаго состоянія его.
Съ 20-го дня изслѣдованіе производилось черезъ каждые два дня, причемъ уже никакихъ измѣненій въ общемъ состояніи кролика не наблюдалось.
Съ 25-го дня замѣчено было незначительное выпаденіе прямой кишки, которое съ этого времени начало увеличиваться, не смотря на принятыя мѣры.
Атрофія мышцъ также, какъ и у предыдущаго кролика увеличивалась съ каждымъ днемъ и достигла нѣсколько большей интенсивности, чѣмъ у предыдущаго. Реакція перерожденія, получавшаяся до 40-го дня, на 42-й день почти не получалась.
На 42-й день послѣ зажатія аорты кроликъ погибъ отъ неизвѣстной причины.
Вскрытіе обнаружило нѣкоторое истонченіе стѣнокъ пузыря и выпаденіе прямой кишки.
Головной и спинной мозгъ по консистенціи и окраскѣ вполнѣ были похожіе на мозгъ № 18. Поступлено съ ними, какъ въ № 18.
Опытъ № 20 (по прот. 3. 22).
Бѣлый упитанный кроликъ—самецъ, вѣсомъ 1565 grm.
8-го мая. Постановка опыта одинакова съ предыдущими опытами. Результаты получились одинаковые съ предыдущими. Полная реакція перерожденія получилась на 10 день и дальше въ теченіе всей жизни до 16 дня усиливалась, а на 16 день полная реакція перерожденія. Никакихъ измѣненій въ общемъ состояніи кролика не замѣчено. Кроликъ убитъ на 16 день послѣ зажатія аорты.
Вскрытіе не дало никакихъ особыхъ измѣненій во внутреннихъ органахъ. Мочевой пузырь наполненъ ночей, стѣнки дряблы. Головной и спинной мозгъ (верхняя часть) не представляли никакой особенности, нижняя- же часть спинного мозга (крестцевый отдѣлъ) нѣсколько размягченъ. Головной и спинной мозгъ уплотненъ въ жидкости Marchi.
Опытъ № 21 (по прот. 3. 12).
Черный кроликъ—самецъ—вѣсомъ въ 1500 grm.
Операція произведена по способу Stannins’a 19-го января 1898 года. Зажимъ наложенъ на аорту на уровнѣ 4-го брюшного позвонка.
При наложеніи зажима появился вялый параличъ заднихъ конечностей, анэстезія всей задней половины тѣла кролика, полная нечувствительность къ возбужденію фарадическимъ токомъ изъ катушки Du-Bois Raymond’a, даже при 0. Недержаніе мочи и кала обнаружилось сейчасъ по наложеніи зажима на аорту.
Изслѣдованіе на реакцію перерожденія не дало никакихъ результатовъ.
20 янв. Кроликъ въ общемъ представляетъ тѣ-же явленія. Реакція перерожденія—фарадическая возбудимость уменьшена.
21 янв. Тоже. Произведено выдавливаніе мочи 2 раза утромъ и вечеромъ. Кроликъ вполнѣ свободно двигаетъ передними лапками и пользуется ими для передвиженія. Реакція перерожденія: фарадическая возбудимость уменьшена по прежнему.
22 янв. Тоже.
23 янв. Тоже. Реакція перерожденія: фарадическая возбудимость исчезла; гальваническая возбудимость немного извращена.
24 янв. Тоже.
25 янв. Тоже. Реакція перерожд., замѣтно нѣкотор. извращеніе. Аn.Р.С. сравнялся почти съ Ка.РС. К.ЗС. все еще вызываетъ большее сокращеніе, чѣмъ Аn.3. С.
20 янв. Тоже. Реак. перерожденія: КаЗС=Ап.ЗС.
21 янв. Тоже. Рана начала гранулировать и подживать. Р. Пер.: Ка3С <Аn.3. С.
28 янв. Тоже. Атрофія мышцъ впервые выступаетъ очень ясно. Появляется нѣкоторая ригидность въ парализованныхъ членахъ. Р. п. Тоже.
29 янв. Тоже.
31 янв. Атрофія мышцъ становится еще рѣзче. Ригидность увеличивается. Р. П. Тоже.
29 янв. Тоже.
1 февраля. Тоже.
2 февраля. Тоже. Реак. пер. гальванич. возбудимость, оставаясь извращенной, нѣсколько ослабѣла.
3 февраля. Тоже.
4 февраля. Тоже. Р. пер. Гальванич. возбудимость мышцъ парализ. членовъ сильно ослабѣла, хотя можно констатировать полное извращеніе.
5 февр. Тоже.
6 февр. Тоже.
7 февр. Тоже. Атрофія мышцъ сильно увеличилась.
8 февр. Атрофія мышцъ увеличилась.
Р. пер. нѣсколько ослабла.
9 февр. Тоже.
10 февр. Тоже.
11 февр. Парализов. конечности сведены, такъ что нѣтъ возможности ихъ разогнуть. Атрофія мышцъ очень замѣтна и распространена на периферическія мышцы, а не ограничивается центральными: glnteus и quadriceps.
Р. пер. ослабѣла и получаются слабыя сокращенія отъ сильныхъ токовъ. Полное извращеніе.
12 февр. Тоже.
13 февр. Тоже.
14 февр. Контрактура заднихъ конечностей. Атрофіи мышцъ. Р. пер. Сокращеніе получается только отъ сильныхъ токовъ и то Аn.3.С., а остальные не получаются.
15 февр. Тоже. Выпаденіе recti.
16 февр. Тоже.
17 февр. Тоже.
Сокращенія отъ тока не получается. Атрофія мышцъ очень значительна.
Начиная съ 18 февраля атрофія все прогрессировала; возбудимость къ току исчезла совершенно; контрактура оставалась во все время жизни кролика, а поэтому я не стану описывать дальше изо дня въ день наблюдавшихся явленій, такъ какъ это будетъ повтореніе одного и того-же. Прожилъ кроликъ до 26 апрѣля 1898 года, т. е. 98 дней.
Атрофія въ концѣ концевъ достигла очень большихъ размѣровъ, такъ что на вскрытіи обнаружены не мышцы, а соединительтканные тяжи и перепонки. Кости очень ломки и хрупки. Суставные отростки у костей измѣнены; кости очень истончены и деформированы.
Тазовыя кости тоже хрупки и деформированы, и благодаря тому, что кролику приходилось лежать все на одной сторонѣ, они искривлены. Стѣнки мочевого пузыря истончены и лишены мускульнаго слоя. Прямая кишка выпала. Выпаденіе это довольно значительныхъ размѣровъ. Другихъ измѣненій во внутреннихъ органахъ не найдено.
Головной мозгъ не представляетъ никакихъ макроскопическихъ измѣненій. Спинной мозгъ въ верхнею своей части (шейной и грудной) нѣсколько мягче, чѣмъ въ нижней брюшной и крестцевой. Крестцевая часть даже довольно тверда.
Для уплотненія головного и спинного мозга употреблена Мюллерова жидкость и жидкость Marchi.
Опытъ № 22 (по прот. 9).
Бѣлый хорошо упитанный кроликъ вѣсомъ 1490 grm.
Операція произведена по Stannius’y. Аорта не зажималась, а только зашита рана, и кроликъ спустя 2 дня былъ убитъ. Никакихъ измѣненій во внутреннихъ органахъ на вскрытіи не обнаружено. Головной и спинной мозгъ вполнѣ нормальны.
Спинной мозгъ уплотненъ въ формалинѣ и частью въ Мюллеровой. жидкости.
Контроль для опытовъ 9, 11, 12, 13 и 16.
Опытъ № 23 (по прот. 3. 23).
Бѣлый кроликъ, хорошо упитанный—самка, вѣсомъ 1280 grm.
Контроль.
Убитъ въ сердце.
Вскрытіе никакихъ измѣненій во внутреннихъ органахъ не обнаружило.
Головной мозгъ уплотненъ въ Мюллеровой жидкости. Спинной мозгъ уплотнялся по кусочкамъ въ формалинѣ, спиртѣ 96%, Мюллеровой жидкости и въ жидкости Marchi.
Опыты № 24 и 25.
2 кролика бѣлый и сѣрый вѣсомъ 1-й въ 1475 grm., а второй въ 1860 grm. — самцы—употреблены для контрольныхъ опытовъ.
Убиты въ сердце ножемъ.
Вскрытіе показало, что всѣ органы нормальны.
Для изслѣдованія взятъ спинной мозгъ.
IV.
Не ограничиваясь опытами на кроликахъ, я поставилъ нѣсколько опытовъ на собакахъ и получилъ совершенно другіе результаты, чѣмъ въ вышеприведенныхъ опытахъ на кроликахъ.
Постановка опытовъ на собакахъ ничѣмъ не отличалась отъ вышеописанной постановки ихъ на кроликахъ.
Послѣ одно-часоваго зажатія брюшной аорты на уровнѣ 2-го поясничнаго позвонка, паралича не наблюдалось, измѣненій въ сферѣ чувствительности также не замѣчено. Органы мочеиспусканія и испражненія функціонируютъ вполнѣ нормально. Если зажатіе брюшной аорты совершалось 2 часа, то наблюдался нѣкоторый парезъ заднихъ конечностей, который въ скоромъ времени исчезалъ. Всѣ остальныя функціи, страдающія обыкновенно въ такомъ случаѣ у кроликовъ, оставались у собакъ совершенно нормальными.
Наконецъ только у тѣхъ собакъ появлялся параличъ, хотя и слабо выраженный, у которыхъ на брюшную аорту была наложена постоянная лигатура. Параличъ продолжался сутки, рефлексы нѣсколько запаздывали и были вялы въ первыя сутки, а затѣмъ появились—совершенно неизмѣненными. Черезъ 5—6 дней собака до того оправлялась, что никто никогда даже не заподозрилъ бы, что надъ ней было учинено такое жестокое насиліе.
Вскрытіе собакъ не дало никакихъ измѣненій во внутреннихъ органахъ; спинной мозгъ равномѣренъ по консистенціи и по кровенаполненію; головной мозгъ вполнѣ нормаленъ.
Вскрытіе собаки, убитой спустя двѣ недѣли послѣ полной перевязки аорты (перевязка оставалась все время ея жизни) также не указывало ни на какія измѣненія во внутреннихъ органахъ, а также и въ мозгу спинномъ и головномъ. Одна изъ стѣнокъ аорты была разрушена и черезъ образовавшееся такимъ образомъ отверстіе въ стѣнкѣ аорты были видны нижній и верхній отрѣзокъ аорты, въ которыхъ торчало по тромбу.
Однимъ словомъ вызвать такія же измѣненія и явленія у собакъ, какія наблюдались у кроликовъ, мнѣ не удалось. Эти опыты главнымъ образомъ подтверждаютъ изслѣдованія цѣлаго ряда авторовъ (Luigi Porta, Пироговъ, Kast, Singer, Münzer и Wiener и др.), которые получили такіе же результаты, Въ противоположность первымъ, другіе авторы, основываясь на своихъ опытахъ, описываютъ параплегію заднихъ конечностей у собакъ послѣ перевязки аорты (Langrish, Lawrenee, Scatieten и др.).
Чѣмъ можно объяснить подобное разногласіе, тѣмъ ли, что нѣкоторые авторы производили перевязку аорты очень высоко или-же причина лежитъ въ индивидуальныхъ особенностяхъ данныхъ животныхъ, я не стану на этомъ останавливаться, а ограничусь констатированіемъ факта.
Причина болѣе легкаго отношенія собакъ, по сравненію съ кроликами, къ перевязкѣ аорты, лежитъ, по всей вѣроятности, въ большемъ у первыхъ, въ сравненіи со вторыми, развитіи анастомозовъ и коллатеральныхъ путей, которые, по словамъ Пирогова: „trunco aortae obliterato semper circulationi adjuvandae suppetunt".
Изученію коллатеральныхъ путей и анастомозовъ при перевязкѣ брюшной аорты у собакъ, кошекъ Luigi Porta41) посвятилъ обширный трудъ, гдѣ собраны различные виды коллатеральнаго кровеобращенія и, основываясь на очень скоромъ и большемъ развитіи боковыхъ путей, онъ приходитъ къ заключенію, что операція перевязки брюшной аорты, даже на людяхъ, не представляетъ большой опасности.
Sonnenburg [42]) въ своей очень интересной работѣ доказываетъ, что благодаря анастомозамъ и коллатеральнымъ путямъ кровеобращеніе въ заднихъ конечностяхъ очень быстро возобновляется и давленіе крови достигаетъ очень скоро прежней высоты.
Постановка его опытовъ заключалась въ слѣдующемъ: art. cruralis соединялась съ кимографомъ; высота ртути 110 mm; послѣ перевязки аорты высота ртути упала до 66 mm; спустя 300 сек. ртуть начала опять подниматься, а спустя 700 сек. поднялась почти до нормы и появился пульсъ.
Sonnenburg резюмируетъ свои опыты такимъ образомъ: „не смотря на благопріятныя условія, которыя представляетъ перевязка аорты, коллатеральное кровеобращеніе можетъ возстановиться въ очень короткое время, благодаря чему опасность гангрены сводится до minimum’a“.
Несмотря на такіе благопріятные результаты опытовъ надъ животными, операціи на людяхъ дали самые неутѣшительные результаты: всѣ собранные Kast'омъ 9 случаевъ и найденный въ литературѣ мною десятый случай, описанный Мильтономъ 43), окончились летально. Такіе печальные результаты Kast приписываетъ несовершенству техники или позднему исполненію операцію и считаетъ ее вполнѣ раціональной и исполнимой.
Во всякомъ случаѣ зажатіе аорты у человѣка на 1—2 часа не влечетъ за собою никакихъ постоянныхъ функціональныхъ измѣненій въ нижнихъ конечностяхъ, на что указываютъ описанные случаи зажатія аорты для излѣченія аневризмъ аорты. Въ этихъ случаяхъ зажатіе аорты совершалось безнаказно до 4 часовъ подрядъ. Прижатіе брюшной аорты на короткое время практикуется и въ гинекологіи и почти всегда безъ какихъ-бы то ни было серьезныхъ разстройствъ двигательныхъ функцій или чувствительной сферы нижнихъ конечностей.
Что-же лежитъ въ основѣ подобнаго различія отношеній къ перевязкѣ и къ зажитію брюшной аорты у собакъ и кроликовъ. Съ одной стороны можно предположить большую устойчивость спинного мозга у первыхъ, съ другой—различіе въ расположеніи сосудовъ. Для выясненія этого послѣдняго вопроса мною были налиты сосуды кролика и собаки. Причемъ оказалось, что, если брюшная аорта перевязана и налитіе сосудовъ совершается черезъ грудную аорту, то у кроликовъ поясничная часть спинного мозга почти не наливается, или, если наливается, то очень слабо, между тѣмъ какъ у собакъ она наливается, хотя и нѣсколько слабѣе, чѣмъ у собакъ безъ перевязки аорты. Если-же наливать сосуды черезъ брюшную аорту, то налитіе сосудовъ происходитъ и у собакъ и у кроликовъ очень хорошо, именно въ нижней части спинного мозга.
Не будетъ ли это обстоятельство доказательствомъ, что у собакъ существуетъ многочисленные анастомозы, которые связываютъ сосуды питающіе нижній отдѣлъ спинного мозга съ сосудами питающими верхній отдѣлъ его, и кромѣ того, артеріи, выходящія изъ art. basilaris гораздо лучше развиты у собакъ, поэтому кровь находитъ себѣ по другимъ путямъ доступъ къ спинному мозгу, который не чувствуетъ благодаря этому такого недостатка въ питаніи, какъ у кроликовъ.
Приписывая такимъ образомъ большую роль распредѣленію и величинѣ просвѣта кровеносныхъ сосудовъ, я этимъ вовсе не желаю отвергать значеніе нѣжности спинного мозга, которая играетъ повидимому тоже нѣкоторую роль.
Въ человѣческомъ спинномъ мозгу сосуды также переплетены между собой и образуютъ какъ-бы сосудистую сѣть, въ которую заключенъ спинной мозгъ 44).
Вотъ чѣмъ можно объяснить, что при временномъ прижатіи брюшной аорты не наступаютъ явленія, зависящія отъ анеміи спинного мозга. Само собой разумѣется, что въ человѣческомъ мозгу нѣжность его также можетъ играть большую роль.
1889.
Протоколы опытовъ.
Опытъ №26 (по копт. 3 на соб. 1).
5 дек. 1897 года. Кобель черной шерсти, довольно хорошо упитанный, вѣсомъ въ 29 фун. Анестезія хлороформомъ.
Произведена операція внѣбрюшиннымъ способомъ по Stannius’y съ принятіемъ всѣхъ асептическихъ и антисептическихъ мѣръ. Зажимъ наложенъ па аорту на уровнѣ 2 поясн. позв. на 1 часъ, послѣ чего снятъ. Рана зашита и наложена коллодійная повязка.
Во время наложенія зажима были замѣтны нѣкоторое время судороги, затѣмъ черезъ 2—3 минуты онѣ исчезли и появился незначительный парезъ, который спустя 1—2 часа исчезъ безслѣдно. Спустя 12 часовъ никакихъ явленій пареза не замѣчено, собака чувствуетъ себя вполнѣ хорошо и если-бы не рана, то нельзя было-бы даже заподозрить, что надъ ней было совершено такое насиліе. Никакихъ разстройствъ со стороны мочеполового аппарата также не было констатировано.
Произведенное изслѣдованіе собаки черезъ 36 часовъ также не дало никакихъ положительныхъ данныхъ. Черезъ 2 недѣли рана совершенно зажила и собака была убита.
Вскрытіе обнаружило прекрасное теченіе раны: образовался нѣжный рубецъ на кожѣ, а внутри образовалось рубцевое сращеніе пораненныхъ тканей. Вокругъ аорты въ мѣстѣ зажатія ея образовалась масса срощеній. Всѣ органы были вполнѣ нормальны.
Головной и спинной мозгъ также никакихъ патологическихъ измѣненій не представляли.
Уплотненіе въ формалинѣ и Мюллеровской жидкости.
Опытъ № 27 (прот. 3. Соб. № 2).
Кобель бѣлой шерсти, упитанный, дворняжка вѣсомъ 31 фунтъ.
Постановка опыта, что и у № 26, только зажатіе аорты совершено на 2 часа, на уровнѣ 2 поясн. п. Послѣ перевязки раны при ходьбѣ обнаружился незначительный парезъ, исчезнувшій совершенно спустя 24 часа.
Спустя 2-е сутокъ убитъ въ сердце.
Вскрытіе не обнаружило никакихъ патологическихъ измѣненій во внутреннихъ органахъ; на аортѣ замѣтна небольшая гиперемія на мѣстѣ зажатія.
Мочевой пузырь пустъ, прямая и толстыя кишки также.
Головной мозгъ нормаленъ.
Спинной мозгъ блестящъ, равномѣрно плотенъ.
Уплотненіе въ формалинѣ.
Опытъ № 28 (прот. 3. собака № 3).
6 дек. 98 г. Малаго роста дворняжка, сука бѣлой шерсти, вѣсомъ 11/2 фунт.
Постановка опыта таже, что и въ № 26.
Паралича не было, мочевые органы вполнѣ нормальны; сфинктеры, какъ anus’a, такъ и мочевого пузыря нормально функціонируютъ.
Рефлексы остались попрежнему, чувствительность не нарушена, только на сторонѣ раны нѣсколько понижена.
Спустя 24 часа убита въ сердце.
Вскрытіе не обнаружило ничего патологическаго во внутреннихъ органахъ.
Головной и спинной мозгъ нормальны и положены для уплотненія въ формалинъ.
Опыт № 29 (по прот. 3. соб. № 5).
Кобель рыжей шерсти, дворняжка, вѣсомъ 22 фун. Хлороформъ.
Постановка опыта та же, что и въ № 26, только уровень перевязки нѣсколько выше, а именно на 1 поясничн. позвонкѣ. Соб. жила 2-е сутки. Появившійся сейчасъ-же послѣ прижатія аорты парезъ продолжался часа 3—4,. а затѣмъ исчезъ и собака стала бѣгать и ходить, какъ ни въ чемъ не бывало. Рефлексы сохранены и не задержаны. Отправленіе органовъ мочевыхъ и recti вполнѣ нормально. Чувствительность нисколько не нарушена.
Головной и спинной мозгъ уплотнены въ формалинѣ.
Опытъ №30 (соб. № 4).
Сука черная съ бѣлыми пятнами, вѣсомъ 96 фун. Хлороформъ.
Постановка опыта таже, что и въ № 29, только совершена перевязка аорты навсегда. При наложеніи перевязки—слабыя судороги, затѣмъ онѣ прекратились. Рана зашита. У собаки при ходьбѣ обнаружилось заплетаніе заднихъ конечностей. Чувствительность сохранена, рефлексы тоже. Пульса нѣтъ. Черезъ 6 часовъ послѣ опыта—тоже, но заплетаніе не такъ замѣтно.
9/I.Черезъ сутки въ заднихъ конечностяхъ появился слабый пульсъ въ art. cruralis.
10 янв. Пульсъ нѣсколько яснѣе. Собака прекрасно ходитъ, не проявляетъ никакого безпокойства и вполнѣ свободно владѣетъ задними конечностями.
11 янв. Тоже.
12 янв. Пульсъ сталъ еще явственнѣе.
13 янв. Пульсъ слышенъ очень ясно въ art. cruralis. Общее состояніе собаки прекрасное. Черезъ 10 сутокъ послѣ операціи (18 янв.) собака была убита. При вскрытіи обнаружилось около аорты въ мѣстѣ перевязки скопленіе гноя въ вполнѣ ограниченномъ пространствѣ. Стѣнки аорты бывшія подъ перевязкой омертвѣли и перевязка найдена свободной, а въ аортѣ тромбъ, какъ въ верхнемъ, такъ и въ нижнемъ ея отрѣзкѣ.
Между тѣмъ часть аорты, лежащая ниже перевязки, имѣла вполнѣ свободный просвѣтъ. При болѣе тщательномъ изслѣдованіи обнаружилось, что кровь поступала въ нижній отрѣзокъ аорты (у bifurcatio) по коллатеральнымъ путямъ и по анастомозамъ: art. mesenterica sup. съ art. mesent. inf. Въ art. cruralis кромѣ того поступала кровь изъ art. mammaria extern, анастомозирующей съ art. epigastrica infer. На это обстоятельство указыв. Luigi Porta 1) и Kast 2).
Всѣ остальные внутренніе органы найдены вполнѣ нормальными.
Головной и спинной мозгъ взятъ для изслѣдованія и уплотненъ въ формалинѣ и часть его въ Мюллеровской жидкости.
V.
Приступая къ микроскопическому изслѣдованію спинного мозга послѣ зажатія и перевязки брюшной аорты, я задался цѣлью изучить главнымъ образомъ:
- измѣненія нервныхъ клѣтокъ, пользуясь для этого способомъ окраски по Nisl’ю и окраской гематоксилиномъ съ эозиномъ;
- перерожденіе волоконъ, окрашивая ихъ по Weigert- Pahl’ю и Marchi.
Вотъ вопросы, разрѣшеніе которыхъ входило главнымъ образомъ въ мою задачу; по числу ихъ для большаго удобства разсмотрѣнія измѣненій спинного мозга, я разобью свое изслѣдованіе на два отдѣла.
I. Измѣненіе нервныхъ клѣтокъ.
Прежде чѣмъ перейти къ разбору патологическихъ измѣненій нервной клѣтки, я считаю своей обязанностью предпослать краткое описаніе нормальной нервной клѣтки, руководству с послѣдними изслѣдованіями Nissl'я, Münzer’а и Wiener’а, Sarbo, Goldscheider и Flatau, Догеля, Marinesco, Van- Gehuchten’a, Lenhosseck’a и др.
Разсматривая нервную клѣтку, окрашенную по способу Nissl'я, мы замѣтимъ, что она состоитъ изъ клѣточнаго тѣла и отростковъ—протоплазмотическихъ и осевоцилиндрическихъ.
Въ клѣточномъ тѣлѣ привлекаетъ наше вниманіе рядъ болѣе или менѣе правильно расположенныхъ синеокрашенныхъ зернышекъ. Эти зернышки, которыя были замѣчены еще Flemming’oмъ, Бендой и др., а окончательно и подробно были описаны Nissl’eмъ, состоятъ изъ „хроматина"45) и называютъ „тѣльцами" Nissl’я.
Относительно происхожденія этихъ тѣлецъ существуютъ два различныхъ мнѣнія: одни (Nissl, Marinesco) видятъ въ нихъ реальныя образованія живой клѣтки; въ то время какъ другіе, (Held, Догель) относятъ ихъ къ преформированнымъ образованіямъ, происшедшимъ въ мертвой клѣткѣ.
Эти зернышкѣ постоянно присутствуютъ въ нормальной клѣткѣ и расположеніе ихъ въ однихъ клѣткахъ болѣе или менѣе постоянно, въ другихъ же нѣтъ никакого порядка и правильности въ ихъ размѣщеніи.
При большихъ увеличеніяхъ тѣльца Nissl’я оказываются не однородными: они состоятъ изъ нѣсколькихъ мелкихъ зернышекъ, склеенныхъ между собой основнымъ веществомъ.
Форма тѣлецъ Nissl'я далеко не однообразна; то они представляютъ видъ глыбокъ, то круглаго, то продолговатаго образованія, а то зубчатой безформенной массы.
Nissl предложилъ классифицировать клѣтки по расположенію и по формѣ зернышекъ, но такая классификація, по мнѣнію Marinesco, страдаетъ неточностью и односторонностью. Нельзя не согласиться съ Marinesco, что вообще всякая классификація нервныхъ клѣтокъ преждевременна.
Относительно физіологическаго значенія хроматическихъ зеренъ существуютъ 2 взгляда: одинъ, предложенный и поддерживаемый Marinesco, что хроматическія зернышки служатъ для проведенія нервныхъ импульсовъ въ клѣткѣ и другой—что они представляютъ изъ себя питательный матеріалъ, который потребляется клѣткой по мѣрѣ надобности. Противъ перваго мнѣнія говорятъ тѣ изслѣдованія, гдѣ нервныя импульсы нисколько не страдали, между тѣмъ какъ хроматиновое вещество подвергалось разрушенію (Goldscheider und Flatau 46), Муравьевъ 47), Ballet et Dutil 48).
Кромѣ того въ клѣткѣ содержится черный и желтый пигментъ (Pilcz [49]). Послѣдній даетъ черное окрашиваніе отъ осміевой кислоты и поэтому относится къ жирамъ; въ патологическомъ состояніи въ клѣткѣ его скопляется очень много.
Кромѣ хроматическихъ зернышекъ нервныя клѣтки содержатъ еще neurosom’ы, окрашивающіяся въ фіолетовый цвѣтъ, послѣ извѣстной обработки. Располагаются онѣ параллельными рядами въ клѣткѣ и въ отросткахъ.
Не окрашенную—ахроматическую субстанцію клѣтки— одни считаютъ за сѣть (Held, Ramon у Cajal, Lenhosseck), другіе за фибриллы (Schultze, Flemming, Nissl, Догель). Marinesco [50]) считаетъ ее за сѣть, состоящую изъ фибриллъ, переходящихъ въ отростки.
Marinesco и Van-Gehuchten [51]) упоминаютъ еще о существованіи недифференцированной протоплазмы; но о ней ничего опредѣленнаго до сихъ поръ неизвѣстно.
Ядро въ клѣткѣ, окрашенной метиленовой синькой, не окрашивается, но за то окрашивается эозиномъ. Оно большихъ размѣровъ пузырьковидное, круглое и содержитъ внутри себя ядрышко, обыкновенно болѣе интенсивно окрашенное метиленовой синькой, круглой формы.
Осевоцилиндрическіе отростки не содержатъ тѣлецъ Nissl’я, но содержатъ neurosom’ы. Нѣкоторые изслѣдователи считаютъ ихъ гомогенными, большинство же приписываетъ имъ одинаковую съ клѣточнымъ тѣломъ структуру.
Дендриты построены также, какъ и клѣточное тѣло, только хроматическія зернышки здѣсь удлиненной формы.
Вотъ какой шагъ впередъ сдѣлало изученіе нервной клѣтки, благодаря очень тонкому и прекрасному способу окрашиванія, предложенному Nissl’емъ. Изученіе нормальной и патологической анатоміи и физіологіи клѣтки съ каждымъ днемъ быстрыми шагами идетъ впередъ.
Правда, мы еще не можемъ сказать, что мы хорошо знаемъ нормальное устройство, значеніе отдѣльныхъ элементовъ нервной клѣтки, но все-же и то, чего удалось достичь до сего дня, есть уже "нѣчто", съ чѣмъ мы можемъ смѣло приступить къ изученію различныхъ патологическихъ измѣненій въ нервной клѣткѣ, происшедшихъ въ данномъ случаѣ отъ анэміи, вызванной перевязкой или зажатіемъ брюшной аорты.
Для изслѣдованія спинного мозга я пользовался способомъ окрашиванія по Nissl’ю, упрощенномъ докторомъ Телятникомъ изъ анатомо-физіологической лабораторіи проф. В. М. Бехтерева 52).
Разрѣзавъ спинной мозгъ на части такъ, чтобы въ каждой части было по 2 межпозвоночныхъ узла, я затѣмъ уплотнялъ его въ спиртѣ (какъ совѣтуетъ Ф. Телятникъ), или въ формалинѣ, а затѣмъ уже переносилъ въ спиртъ на 1 сутки; затѣмъ заключалъ въ парафинъ по общимъ правиламъ; послѣ чего дѣлалъ срѣзы не толще 0,0075 mm. Срѣзы погружаются въ ксилолъ для удаленія параффина, затѣмъ оттуда въ 96% спиртъ для отмыванія ксилола. Изъ 96% спирта переносятся постепенно все въ болѣе и болѣе слабый спиртъ и наконецъ въ воду; послѣ того онѣ переносятся въ красящую жидкость:
Метиленовой синьки В... 3,75 гр.
Венеціанскаго мыла........ 1,75 гр.
Перегнанной воды........... 1000,0.
Здѣсь срѣзы остаются около 15 м., но я оставлялъ ихъ до 6—7 час. и получалъ гораздо лучшую окраску.
Затѣмъ краску сливаютъ и промываютъ срѣзы въ водѣ, послѣ промывки они переносятся для дифференцировки въ растворъ анилиноваго масла въ такомъ отношеніи:
Анилиноваго масла…………….1 часть.
96% спирта……………………...9 часть
Отсюда срѣзы переносятся для просвѣтлѣнія въ оригановое масло и наконецъ заключаются въ канадскій бальзамъ.
Въ послѣднее время мною употреблялся для двойной окраски эозинъ, растворенный до 5% въ спиртѣ 96%. Въ такомъ случаѣ я переношу срѣзы изъ анилиноваго масла въ эозинъ, на 1/2 мин., а затѣмъ промываю 1—2 минуты въ 96% спирту и дальше въ оригановое масло и канадскій бальзамъ. Благодаря этому способу окрашиванія получались довольно эффектныя препараты и я ее могу предложить, если не для замѣны ординарной окраски по Nissl’ю, то во всякомъ, случаѣ, какъ дополненіе къ первому способу; какъ окраску болѣе удобную для изученія отношенія клѣтокъ къ подлежащимъ частямъ.
Владѣя такими двумя способами окраски, я приступилъ къ изслѣдованію постепеннаго разрушенія клѣтки, въ зависимости отъ меньшей или большей продолжительности анэміи спинного мозга.
Приступая къ разсмотрѣнію найденныхъ мною измѣненій въ нервныхъ клѣткахъ, я рѣшилъ придерживаться извѣстнаго плана, чтобы имѣть возможность провести системное описаніе измѣненій; плана этого уже держался до нѣкоторой степени Муравьевъ53). Онъ предлагаетъ обратить вниманіе на слѣдующіе пункты:
- Не измѣнилась ли клѣтка въ объемѣ?
- Насколько ясно она видна, имѣетъ ли она опредѣленные контуры?
- Сохранились ли отростки, ясно-ли видны они и не представляютъ ли измѣненій въ непрерывности.
- Содержитъ ли нервная клѣтка тѣльца Nissl’я, достаточно ли они окрашены, имѣютъ ди они характерное расположеніе?
- Въ какомъ состояніи находится окрашенная субстанція? Не пріобрѣла ли она способности окрашиваться основными анилиновыми окрасками?
- Есть ли ядро въ клѣткѣ? Сохранило ли оно свое центральное положеніе и шаровидную форму? Содержитъ ли оно ядрышко? Нѣтъ ли „гомогенизаціи“ ядра?
- Въ какомъ положеніи находится окружающая клѣтку ткань, и прежде всего невролгія?
Придерживаясь этого плана, я и приступлю къ описанею измѣненій у кроликовъ, прожившихъ 1 часъ, 2 часа, 4 часа и 5 час. и т. д. до 98 сутокъ послѣ 1 часовой перевязки брюшной аорты.
Спустя часъ послѣ 1 часов. зажатія брюшной аорты, нервныя клѣтки переднихъ роговъ уже оказываются нѣсколько измѣненными: у нѣкоторыхъ клѣтокъ отростки не окрашены, 1—2 клѣтки въ полѣ зрѣнія съ периферически расположенными ядрами, въ окружающей клѣтку ткани масса невроглійныхъ клѣтокъ и лейкоцитовъ.
Спустя 2 часа послѣ зажатія аорты измѣненія становятся нѣсколько рѣзче: кромѣ вышеописанныхъ измѣненій клѣтокъ переднихъ роговъ, которыя здѣсь выражены интенсивнѣе, наблюдается въ нѣкоторыхъ клѣткахъ периферическій слабо выраженный хроматолизъ; въ отросткахъ нѣкоторыхъ клѣтокъ нарушена непрерывность, зернышки расположены въ безпорядкѣ, собраны кучками.
Спустя 4 часа послѣ зажатія брюшной аорты: клѣтки увеличены въ объемѣ, какъ бы набухли, отростки у большинства клѣтокъ не окрашены; распредѣленіе зернышекъ хроматическаго вещества неравномѣрно, замѣтно стремленіе ихъ скучиться къ ядру, которое расположено у нѣкоторыхъ клѣтокъ на периферіи; клѣтки распадаются какъ бы на двѣ половинки: одна—окрашена, а другая—нѣтъ. Количество невроглійныхъ клѣтокъ и лейкоцитовъ гораздо больше, чѣмъ въ первыхъ случаяхъ.
Спустя 5 часовъ послѣ зажатія аорты, всѣ вышеизложенныя измѣненія нервныхъ клѣтокъ переднихъ роговъ гораздо интенсивнѣе; кромѣ того мѣстами попадаются клѣтки, гдѣ зернышки пылеобразны, очень измельчены и разбросаны въ безпорядкѣ.
Спустя 7 часовъ—клѣтки также увеличены въ объемѣ, у нѣкоторыхъ клѣтокъ рѣзкая контурность ихъ нарушается углубленіями; въ нѣкоторыхъ клѣткахъ замѣчается тонкій мелкозернистый распадъ протоплазмы. Отростки или неокрашены или окрашены очень слабо; въ нѣкоторыхъ случаяхъ тонкій мелкозернистый распадъ продолжается и на отростокъ, который иногда представляется даже отщепленнымъ отъ клѣтки; попадались клѣтки, окрашенныя почти диффузно, а у нѣкоторыхъ окрашивалась только периферія. Ядро начало обнаруживать наклонность къ окрашиванію, такъ какъ въ немъ стали появляться отдѣльныя мелкія окрашенныя частицы. Однако рядомъ съ такъ измѣненными клѣтками попадались клѣтки совершенно нормальныя.
Спустя 9 час. — измѣненія клѣтокъ выражены гораздо болѣе, клѣтки нѣсколько уменьшены, контуры ихъ нарушаются рядомъ углубленій, мелко зернистый распадъ занимаетъ всю клѣтку сплошь, у нѣкоторыхъ наоборотъ гомогенная диффузная окраска. Ядро хотя и слабо, но все-же ясно диффузно окрашено. Нѣкоторыя клѣтки слабо окрашены.
Ядрышко ясно и хорошо видно. Невроглійныя клѣтки и лейкоциты умножились.
Спустя 19 часовъ послѣ зажатія брюшной аорты, измѣненіе клѣтокъ въ брюшномъ утолщеніи спинного мозга достигло очень высокихъ степеней: клѣтки уменьшены въ объемѣ, диффузно окрашены, перицеллюлярное пространство увечено, очень много клѣтокъ содержатъ свѣтлыя, круглой формы пространства, которыя представляютъ изъ себя вакуоли; эти вакуоли расположены на периферіи клѣтки и обыкновенно въ противоположной отъ ядра сторонѣ ея. Измѣненія клѣтокъ ограничивается, какъ и въ предыдущихъ случаяхъ, только передними рогами, не переходя на задніе. Въ нижней грудной части спинного мозга, которая въ предыдущихъ случаяхъ не обнаруживала никакихъ измѣненій, стали также оказываться измѣненныя клѣтки; измѣненіе это вполнѣ соотвѣтствовало начальному измѣненію нервныхъ клѣтокъ, которое мы наблюдали въ брюшной части послѣ 1-часовой анэміи.
Спустя 2-е сутокъ послѣ зажатія аорты, клѣтки уменьшены въ объемѣ, нѣкоторыя изъ клѣтокъ на половину обезцвѣчены, другія окрашены менѣе ясно, очень многія диффузно; контуры нѣкоторыхъ клѣтокъ неясны и очень неправильны съ массою углубленій. Отростки видны неясно и неокрашены; у диффузно окрашенныхъ клѣтокъ отростки также окрашены диффузно. Ахроматическая субстанція окрашивается метиленовой синькой; ядра клѣтокъ очень интенсивно окрашены и занимаютъ периферическое положеніе, въ нѣкоторыхъ клѣткахъ вся она вмѣстѣ съ ядромъ сильно окрашена и ядра многихъ измѣненныхъ клѣтокъ нельзя различить. Однако среди клѣтокъ попадаются еще сравнительно мало измѣненныя. Въ заднемъ рогѣ начинаютъ попадаться измѣненныя клѣтки: неправильное расположеніе тѣлецъ Nissl’я, собраніе ихъ вокругъ ядра; у нѣкоторыхъ клѣтокъ ядра на периферіи. Въ нижней грудной области спинного мозга также незначительныя измѣненія въ нервныхъ клѣткахъ. Выше 6 грудного нерва перерожденныхъ клѣтокъ нѣтъ.
Спустя 5 сутокъ измѣненія въ клѣткахъ уже достигаютъ очень большой интенсивности. Клѣтки переднихъ роговъ брюшного утолщенія всѣ перерождены: онѣ сжаты и перицеллюлярное пространство увеличено. Типичные контуры у нѣкоторыхъ клѣтокъ совершенно исчезли, такъ какъ въ клѣточномъ тѣлѣ образовалось нѣсколько углубленій. Отростки клѣтокъ сильно дегенерированы и у нѣкоторыхъ клѣтокъ отъ нихъ не осталось и слѣда. Въ тѣлѣ большинства клѣтокъ находятся вакуоли, въ нѣкоторыхъ клѣткахъ ихъ содержится по 2 и больше; находятся эти вакуоли на периферіи и окружены синимъ вѣнчикомъ. Ядра сморщены, окрашенныя эозиномъ кажутся зернистыми, вокругъ ядра расположены комки хроматическаго вещества. Въ полѣ зрѣнія масса пустыхъ пространствъ—ячеекъ; при большемъ увеличеніи оказывается въ серединѣ этой ячейки круглое образованіе, отъ котораго къ периферіи—къ стѣнкамъ ячейки отходятъ тонкія нити. Ячейки—мѣста атрофированныхъ клѣтокъ, а круглое образованіе—это сморщенное ядро, тонкія же нити—это по всей вѣроятности остатки стромы клѣточнаго тѣла. Всѣ эти образованія прекрасно красятся эозиномъ. Въ другихъ мѣстахъ встрѣчаются прямо скопленія мелкозернистаго распада клѣтокъ, слабо окрашеннаго метиленовой синькой. Окрашенные, по примѣненному мной вышеописанному способу, эти препараты очень эффектны и удается только при этомъ способѣ окраски различить слѣдующую за обезцвѣчиваніемъ клѣтокъ стадію перерожденія. Вслѣдъ за обезцвѣчиваніемъ нервной клѣтки и неокрашиваніемъ ея метиленовой синькой, она начинаетъ краситься очень интенсивно и диффузно эозиномъ. Все поле зрѣнія усѣяно лейкоцитами и клѣтками неврогліи. Въ клѣткахъ неврогліи и лейкоцитахъ можно при сильномъ увеличеніи замѣтить каріокинетическія фигуры. Задніе рога сѣраго вещества также не пощажены; клѣтки нервныя окрашены диффузно; въ нѣкоторыхъ изъ нихъ встрѣчаются вышеописанныя вакуоли. Хотя встрѣчаются и мало затронутыя клѣтки.
Въ нижней грудной части также замѣтно слабое перерожденіе клѣтокъ: клѣтки сильно увеличены въ объемѣ, ядро на периферіи; хроматическія зерна собраны вокругъ ядра; попадаются диффузно окрашенныя клѣтки.
Спустя 9 сутокъ послѣ зажатія брюшной аорты, сѣрое вещество сильно атрофировано въ брюшномъ утолщеніи. Въ полѣ зрѣнія масса полостей—ячеекъ, гдѣ раньше были клѣтки; оставшіяся клѣтки сильно атрофированы: состоятъ изъ ядра, вокругъ котораго только тоненькій бордюръ протоплазмы. Ядрышко сохранено. Много клѣтокъ обезцвѣченныхъ—не окрашивающихся ни метиленовой синькой, ни эозиномъ. Нѣкоторыя клѣтки удлинены и лежатъ въ огромныхъ ячейкахъ, упираясь въ стѣнки ея своими отростками, другія лежатъ на периферіи у самыхъ стѣнокъ, диффузно окрашены, источнены и изогнуты. Ядра въ нихъ различить нельзя. Мѣстами въ ячейкахъ встрѣчаются вышеописанныя образованія. Сосуды развиты очень сильно, лейкоциты и невроглійныя клѣтки усѣиваютъ все пространство, не только переднихъ, но и заднихъ роговъ сѣраго вещества.
Въ заднихъ рогахъ перерожденіе также двигается впередъ, хотя и не такъ интенсивно.
Въ верхней грудной части спинного мозга нѣтъ большихъ измѣненій, между тѣмъ какъ въ нижней количество перерожденныхъ клѣтокъ увеличено.
Спустя 11 сутокъ послѣ зажатія аорты, измѣненія въ общемъ похожи на вышеописанныя, только число пустыхъ пространствъ увеличилось и наоборотъ остатковъ нервныхъ клѣтокъ, которыя еще хоть сколько нибудь были-бы похожи на нервныя клѣтки, уменьшилось. Повидимому процессъ разрушенія прогрессируетъ и распространяется и на задніе рога, гдѣ также количество перерожденныхъ клѣтокъ увеличивается. Сосуды умножаются, невроглія разростается.
Въ нижней грудной части спинного мозга также сплошь и рядомъ встрѣчаются перерожденныя клѣтки: встрѣчаются уже клѣтки съ углубленіями.
Спустя 12 дней. Процессъ, повидимому, мало подвинулся впередъ и поэтому микроскопическая картина вполнѣ походитъ на предыдущую.
Спустя 18 сутокъ только въ наружно-передней части передняго рога сѣраго вещества еще сохранились образованія, которыя можно назвать клѣтками, всѣ же остальныя нервныя клѣтки разрушены: одни, распавшись, представляютъ детритообразную массу, другія совсѣмъ не окрашиваются метиленовой синькой, а окрашиваются эозиномъ диффузно и ядро красится нѣсколько интенсивнѣй, наконецъ отъ третьихъ осталось только сильно сморщенное ядро и нѣсколько волоконъ изъ стромы. Невроглійныя клѣтки и лейкоциты сильно размножаются, на что указываютъ найденныя каріокинетическія фигуры. Число сосудовъ еще болѣе увеличилось и вокругъ нихъ масса лейкоцитовъ.
Спустя 38 сутокъ уже нельзя замѣтить ни одной нормальной клѣтки: все поле зрѣнія занято неврогліей, „ячейками", сосудами и лейкоцитами и только кое-гдѣ еще встрѣчается клѣточка, разрушенная, со сморщеннымъ ядромъ, съ протоплазмой окружающей его въ видѣ вѣнчика.
Въ заднихъ рогахъ также часть клѣтокъ окончательно перерождена, а другая часть ихъ находится на пути къ перерожденію.
Въ грудной области спинного мозга на уровнѣ 10 нерва замѣтна довольно далеко зашедшая дегенерація клѣтокъ: вакуолизація ихъ, отщепленіе отростковъ, сморщиваніе ядра и самой клѣтки.
Выше, до 6 грудного нерва, эти измѣненія становятся меньше и меньше, и начиная съ 6 грудного нерва вверхъ измѣненныхъ клѣтокъ очень мало.
Спустя 42 сутокъ всѣ клѣтки находятся въ послѣдней стадіи разрушенія: не окрашиваются метиленовой синькой, а эозиномъ окрашиваются, хотя нужно сказать, что и такихъ клѣтокъ очень немного; большинство же клѣтокъ совершенно разрушено, и отъ нихъ остались только „ячейки".
Невроглія, сосуды и лейкоциты заняли весь передній рогъ и переднюю часть задняго рога.
Выше поясничнаго утолщенія измѣненія становятся все незначительнѣе и незначительнѣе, а выше 4 грудного нерва нельзя уже найти ни одной измѣненной клѣтки.
Измѣненія въ клѣткахъ послѣ временнаго сдавленія аорты вполнѣ соотвѣтствуютъ измѣненіямъ, наблюдавшимся послѣ постоянной перевязки, которая произведена на 2 ч., 5 ч., 48 ч. То же мутное набуханіе клѣтокъ, та же вакуолизація ихъ и распаденіе, такое же зернистое перерожденіе.
Принимая во вниманіе вышеописанное измѣненіе клѣтокъ, мы замѣчаемъ постепенное развитіе перерожденія ихъ.
Первое измѣненіе, указывающее на заболѣваніе клѣтки— это расположеніе хроматиновыхъ зеренъ, которыя въ такихъ клѣткахъ располагаются ближе къ центру вокругъ ядра, а периферія клѣтки почти свободна и спустя нѣкоторое время этотъ свободный край протоплазмы начинаетъ окрашиваться метиленовой синькой, затѣмъ ядро также начинаетъ краситься и переходить на периферію. Хроматиновыя зерна начинаютъ распадаться и вся клѣтка наполняется пылеобразными окрашенными частицами распавшихся хроматиновыхъ зеренъ. Все это время клѣтка по величинѣ остается почти нормальной или-же только нѣсколько набухшей; по всей вѣроятности мы имѣемъ дѣло съ мутнымъ набуханіемъ. Отростки въ этомъ первомъ періодѣ представляются, какъ-бы отщепленными отъ клѣтки и кромѣ того имѣютъ одну или нѣсколько такихъ-же поперечныхъ полосокъ на своемъ протяженіи, такъ что кажется какъ-будто онъ распался по длинѣ на нѣсколько частей.
Вслѣдъ за этой стадіей наступаетъ стадія набуханія и диффузнаго окрашиванія: клѣтка начинаетъ окрашиваться диффузно (часть отростка прилежащая къ клѣткѣ также), на видъ она увеличена и представляется сочной и набухшей.
Далѣе слѣдуетъ стадія обезцвѣчиванія и сморщиванія: обезцвѣчиваніе начинается съ периферіи, постепенно приближаясь къ ядру, одновременно образуются въ клѣткѣ углубленія—начало неправильнаго сморщиванія, или-же клѣтка сморщивается равномѣрно со всѣхъ концевъ; мало по малу клѣтка совершенно обезцвѣчивается и только иногда мѣстами остаются скопленія хроматина. Исчезаніе хроматина можно приписать вымыванію его изъ клѣтки паренхиматозной жидкостью что еще болѣе подтверждается одновременно наступающимъ сморщиваніемъ клѣтки. Ядрышко остается окрашеннымъ.
Стадія полнаго уничтоженія клѣтки заключаются въ томъ, что она или разрушается, образуя зернистую массу, или же сморщивается до минимума и наконецъ исчезаетъ; мѣсто клѣтки указываетъ только оставшаяся ячейка.
Такъ проходитъ перерожденіе клѣтокъ, которое можно сравнить съ мутнымъ бѣлковымъ набуханіемъ.
Другое происходитъ въ тѣхъ клѣткахъ, которыя подверглись развитію вакуолярнаго процесса.
Въ такомъ случаѣ въ клѣтки появляются вакуоли, которыя постепенно увеличиваются. Вакуоли располагаются обыкновенно на периферіи клѣтки, противоположной той, гдѣ расположено ядро. Наконецъ клѣточная протоплазма окружаетъ сморщенное и окрашенное ядро только тонкимъ бордюрчикомъ; отростки уничтожены, остающаяся часть клѣтки располагается на периферіи ячейки и выпускаетъ отъ себя только узкія и тонкія нити протоплазмы, раздѣляющей ячейку на нѣсколько отдѣльныхъ вакуолъ. Нѣкоторыя клѣтки лежатъ въ центрѣ ячейки и выпускаютъ отъ себя звѣздообразныя къ периферіи ячейки вышеупомянутыя нити, разбивая такимъ образомъ ячейку на 5—6 вакуоль. Въ этомъ періодѣ перерожденія, клѣтки уже не окрашиваются метиленовой синькой, но хорошо окрашиваются эозиномъ.
Наконецъ встрѣчается еще третій родъ перерожденія, — жировое перерожденіе, хотя надо сознаться, что этотъ родъ перерожденія встрѣчается въ нервныхъ клѣткахъ послѣ перевязки брюшной аорты гораздо рѣже первыхъ двухъ. Состоитъ онъ въ томъ, что жировыя частицы, содержащіяся въ нервной клѣткѣ, начинаютъ увеличиваться и въ концѣ концевъ занимаютъ всю клѣтку. Жировое перерожденіе начинается всегда съ одной стороны, противоположной ядру и продолжается затѣмъ прогрессивно, переходя послѣдовательно на ядро, и послѣднимъ погибаетъ ядрышко.
Такимъ образомъ оказывается, что и послѣ превязки брюшной аорты, нервныя клѣтки спинного мозга претерпѣваютъ такіе процессы, которые можно подвести подъ 3 категоріи перерожденія: бѣлковое, вакуолярное и жировое. Послѣднее, впрочемъ, встрѣчается въ данномъ случаѣ гораздо рѣже первыхъ двухъ.
Параллельно съ уменьшеніемъ количества клѣтокъ, съ разрушеніемъ ихъ число сосудовъ увеличивается и въ концѣ концевъ они переплетаются по всему сѣрому веществу, которое представляется въ видѣ гомогенной массы, испещренной сосудами, лейкоцитами и разростающимися гліозными клѣтками. Сѣрое вещество, въ особенности переднихъ роговъ, атрофируется. Отверстіе спинно-мозгового канала изъ круглого становится неправильнымъ и длинникомъ своимъ располагается вкось или поперекъ. Внутри канала находится масса лейкоцитовъ. Къ 42 дню каналъ суживается и сильно уменьшается. Задніе рога тоже принимаютъ участіе въ перерожденіи и также уменьшены въ объемѣ.
II. Окраска по Weigert-Pahl’ю и по Marchi.
Вслѣдъ за перерожденіемъ клѣтокъ, само собой разумѣется, наступаетъ перерожденіе волоконъ, такъ какъ послѣднія находятся въ связи съ первыми. Перерожденіе это становится очевиднымъ только спустя 4 дня послѣ зажатія брюшной аорты. Волокна переднихъ роговъ варикозны, міэлиновыя глыбки встрѣчаются мѣстами, даже отдѣльно. Осевые цилиндры, мѣстами, очень утолщены и обложены міэлиновой оболочкой. Въ нѣкоторыхъ варикозныхъ узлахъ нервныхъ волоконъ встрѣчаются круглыя образованія, оказавшіяся при болѣе подробномъ изученіи глыбками міэлина. Нѣкоторыя волокна окрашены только частью, а на остальномъ пространствѣ неокрашены по способу Weigert-Pahl’я, т. е. лишились міэлиновой обкладки.
Спустя 8 дней послѣ зажатія брюшной аорты, міэлиновое вещество волоконъ распадается еще больше; сѣрое вещество измѣняетъ свою форму. Волокна переднихъ роговъ слабѣе окрашиваются, чѣмъ въ 1-мъ случаѣ. Количество расширенныхъ волоконъ, содержащихъ глыбки міэлина, увеличивается. Волокна заднихъ роговъ также обнаруживаютъ незначительное перерожденіе.
Спустя 16 дней. Измѣненія становятся еще яснѣе, въ сѣромъ веществѣ переднихъ роговъ встрѣчается больше волоконъ, лишенныхъ міэлина, варикозныхъ. Въ заднихъ рогахъ перерожденныхъ волоконъ очень мало.
Спустя 6 недѣль, въ переднихъ рогахъ сѣраго вещества волокна почти всѣ перерождены, перерожденіе переходитъ и на бѣлое вещество: передніе столбы обнаруживаютъ очень много перерожденныхъ волоконъ, не только въ поясничной части, но и въ нижней грудной. Волокна заднихъ роговъ сѣраго вещества обнаруживаютъ нѣсколько перерожденныхъ волоконъ, лишенныхъ на нѣкоторомъ протяженіи міэлина.
Спустя 98 дней. Передніе рога сѣраго вещества представляются въ поясничной части гомогенными, ни одного волокна сѣраго вещества не уцѣлѣло, въ переднемъ и передне-боковомъ столбахъ—также. Окрашивается вообще весь препаратъ по Weigert-Pahl’ю нѣсколько слабѣе нормальнаго, причемъ къ периферіи окраска становится нѣсколько интенсивнѣе, а въ центрѣ и въ особенности сѣрое вещество (даже задніе рога) бѣлаго цвѣта.
Масса перерожденныхъ волоконъ въ бѣломъ веществѣ распредѣляется главнымъ образомъ такъ: въ передне-боковыхъ и переднихъ столбахъ—разсѣянное перерожденіе, въ заднихъ столбахъ только Годлевскій пучекъ и мозжечковый въ боковыхъ; такая локализація перерожденія простирается и вверхъ.
Способъ окраски по Marchi далъ слѣдующіе результаты.
Спустя 10 дней послѣ перевязки аорты получается уже характерное перерожденіе переднихъ и передне-боковыхъ столбовъ и слегка мозжечковаго пучка; причемъ перерожденіе это болѣе или менѣе разсѣяно.
Рис. 1-й.
Грудная часть спинного мозга кролика, жившаго 16 дней, на уровнѣ 5-го грудн. нерва. Окр. по Marchi.
Нужно замѣтить, что и до этого времени уже спустя 5—6 дней получается также перерожденіе тѣхъ-же частей, но очень незначительное.
Рис. 2-й.
Грудная область (10 грудн. нервъ) тотъ-же, кроликъ. Окр. по Marchi.
Спустя 16 дней—перерожденіе становится нѣсколько болѣе выраженнымъ. Въ поясничной области, въ утолщеніи— главнымъ образомъ перерожденіе захватываетъ передній столбъ, отчасти передне-боковые столбы, и слабѣе мозжечковые. Въ заднихъ столбахъ пучки Бурдаха почти не перерождены, за то въ пучкахъ Голля замѣчается разсѣянное перерожденіе волоконъ, расположенныхъ медіально.
Рис. 3-й.
Поясничная область спинного мозга (2-й поясн. нервъ) кролика жившаго 16 дней. Окр. по Marchi.
Въ Кларковыхъ столбахъ перерожденіемъ поражены только нѣсколько волоконъ и клѣтокъ. Передніе рога представляютъ также массу волоконъ перерожденныхъ.
Рис. 4-й.
Поясничная область спин. мозга (7 поясн. нервъ) кролика, жившаго послѣ перев. брюшной аорты 16 дней. Окр. по Marchi.
Въ нѣкоторыхъ мѣстахъ, даже въ клѣткахъ, встрѣчаются зернышки, окрашенныя въ черный цвѣтъ, что указываетъ на присутствіе въ нихъ жировыхъ капель. Задніе рога не представляютъ замѣтныхъ измѣненій.
Въ такомъ положеніи находится дегенерація поясничнаго утолщенія спинного мозга. Ниже, эта дегенерація нѣсколько яснѣй и хотя пораженіе не распространяется на другія области, но за то оно нѣсколько больше: большее количество волоконъ вовлечено въ этотъ процессъ.
Рис. 5-й.
Крестцевая часть мозга кролика жившаго послѣ перевязки аорты 16 дней. Окр. по Marchi
Выше поясничнаго утолщенія, мѣсто пораженія съуживается и количество пораженныхъ волоконъ уменьшается. Въ грудной части спинного мозга, пораженіе захватываетъ только слегка передній пучекъ, незначительную часть переднебоковыхъ столбовъ и столбы Голля. Еще выше, на уровнѣ 5 грудного нерва уже пораженіе ограничивается только передними столбами и пучками Голля и локализируется на периферіи передне-боковыхъ столбовъ.
Такимъ образомъ мы видимъ, что перерожденіе не ограничивается одной поясничной областью спинного мозга, а поднимается и вверхъ.
Спустя 42 дня—пораженіе локализируется въ тѣхъ же пучкахъ, что и выше, но интенсивнѣе. Въ грудной части спинного мозга, пораженіе нѣсколько болѣе интенсивно на периферіи. Повидимому часть волоконъ уже успѣла переродиться и поэтому не окрашивается по способу Marchi.
Разсматривая препараты спинного мозга, полученные отъ кролика прожившаго 98 дней, мы уже не получаемъ окраски но способу Marchi, такъ какъ спинно-мозговыя волокна поясничной области претерпѣли уже полное перерожденіе.
Ehrlich и Brieger, Singer, Münzer и Wiener, Hérter и Arth. Sarbo 54), описывая измѣненія спинного мозга послѣ перевязки аорты указываютъ на локализацію перерожденія бѣлого вещества, главнымъ образомъ въ пучкахъ Голля, въ мозжечковыхъ пучкахъ и на разсѣянное перерожденіе переднихъ и передне-боковыхъ столбовъ. Это перерожденіе не ограничивается только поясничнымъ утолщеніемъ спинного мозга, а подвигается еще вверхъ, т. е. получается восходящее перерожденіе бѣлаго вещества.
Мои изслѣдованія нисколько не противорѣчатъ изслѣдованіямъ вышеуказанныхъ авторовъ; я также нашелъ вторичное перерожденіе волоконъ съ такой же локализаціей, какъ и предыдущіе авторы.
Разсматривая все вышесказанное я прихожу къ слѣдующимъ выводамъ:
- Даже непродолжительная анэмія спинного мозга вызываетъ ясныя измѣненія въ нервныхъ клѣткахъ переднихъ роговъ.
- Эти измѣненія нервныхъ клѣтокъ, разъ начавшись, съ каждымъ часомъ жизни животнаго прогрессируетъ, пока не наступитъ наконецъ полное разрушеніе клѣтки, причемъ
- Разрушеніе клѣтки влечетъ за собой разрушеніе тѣхъ волоконъ, съ которыми она связана.
- Волокна начинаютъ разрушаться съ 5 дня послѣ начала опыта; разрушеніе это выражается сперва въ распаденіи міэлина, а затѣмъ и полной дегенераціей волокна.
- Распаденіе волоконъ происходитъ главнымъ образомъ въ переднихъ рогахъ сѣрого вещества и въ переднихъ, передне-боковыхъ столбахъ, въ мозжечковыхъ пучкахъ и пучкахъ Голля бѣлаго вещества.
- Перерожденіе бѣлаго вещества не ограничивается поясничнымъ отдѣломъ спинного мозга, а простирается и выше въ грудную и шейную область, гдѣ оно занимаетъ самый периферическій отдѣлъ.
- Сѣрое вещество мало-по малу атрофируется, невроглійная ткань разростается и замѣняетъ нормальное сѣрое вещество.
- Спинно-мозговой каналъ изъ правильно круглого измѣняетъ свою форму въ продолговатый или-же совершенно неправильный.
- Эти измѣненія въ спинномъ мозгу связаны съ параличемъ заднихъ конечностей, съ нарушеніемъ функціи мочевого пузыря и recti, съ атрофіей мускулатуры заднихъ конечностей и съ измѣненіемъ костей.
VI.
Заключеніе.
Познакомившись съ тѣми измѣненіями спинного мозга, которыя вызваны перевязкой или зажатіемъ брюшной аорты, теперь намъ остается заняться разрѣшеніемъ вопроса: какая- же главнѣйшая причина лежитъ въ основѣ такого глубокого пораженія спинного мозга?
Этотъ вопросъ разрѣшался предыдущими авторами двояко: одни видѣли причину пораженія въ анэміи спинного мозга, другіе (Herter 55) объясняютъ это тѣмъ, что происшедшая задержка крови на 1 часъ, а затѣмъ опять прекращеніе зажатія вызываетъ воспаленіе спинного мозга—міэлитъ.
Слѣдовательно, первые авторы видѣли въ измѣненіи спинного мозга простой некрозъ его, а вторые склоны считать его за болѣе сложное страданіе—міэлитъ.
Для подтвержденія своего мнѣнія Herter указываетъ на измѣненіе мышцъ и нервовъ, на пролиферацію лейкоцитовъ, на расширеніе и размноженіе сосудовъ.
Основываясь на полученныхъ данныхъ, я прихожу нѣсколько къ другому выводу.
Прежде всего разсматривая препараты спустя 4—5 часовъ послѣ перевязки брюшной аорты, мы замѣчаемъ увеличеніе числа бѣлыхъ кровяныхъ шариковъ, которые располагаются главнымъ образомъ около сосудовъ.
Характерный ихъ видъ при окрашиваніи гематоксилиномъ, расположеніе вблизи сосудовъ—все это указываетъ на то, что эти образованія не невроглійныя клѣтки, а лейкоциты. Кромѣ того такое быстрое увеличеніе ихъ въ числѣ, спустя 3—4 часа послѣ перевязки аорты, также говоритъ за то, что это лейкоциты, вышедшіе изъ сосудовъ. Конечно, нельзя отрицать, что въ спинномъ мозгу наступаетъ острая анэмія, а какъ слѣдствіе ея некрозъ сѣраго вещества спинного мозга. Однако спустя нѣкоторое время эта некротизированная часть спинного мозга вызываетъ воспаленіе со всѣми характерными явленіями: развитіемъ сосудовъ, расширеніемъ ихъ, пролифераціей бѣлыхъ кровяныхъ тѣлецъ, разростаніемъ неврогліи, другими словами—получается картина очень похожая на міэлитъ; правда, при міэлитѣ количество сосудовъ гораздо больше, они лучше развиты, но нельзя упускать изъ виду, что въ нашемъ случаѣ подвозъ питательнаго матеріала былъ затрудненъ и поэтому развитіе сосудовъ не могло совершаться такъ успѣшно, какъ при настоящемъ міэлитѣ.
Вспомнимъ работу Henry Lamy 56), который, впрыскивая порошокъ ликоподія, наблюдалъ некрозъ сѣраго вещества, а затѣмъ явленія напоминающія міэлитъ. Отсюда онъ дѣлаетъ даже предположеніе, что не служитъ ли причиной Polymyelitis ant., Myelitis Syphiliticae облитерація артерій, другими словами некротизированный участокъ вызываетъ вокругъ себя реактивное воспаленіе, которое распространяется затѣмъ и на него.
Только такимъ образомъ можно объяснить увеличеніе количества сосудовъ и пролиферацію бѣлыхъ тѣлецъ. Основываясь на этомъ, я прихожу къ заключенію, что сперва развивается острое размягченіе поясничной части спинного мозга, которое переходитъ въ воспаленіе.
Исходомъ послѣдняго уже будетъ развитіе невроглійной ткани и уничтоженіе нервныхъ клѣточныхъ элементовъ спинного мозга. Это уничтоженіе клѣточныхъ элементовъ связано съ атрофіей мышцъ нижнихъ конечностей, съ дегенераціей нервныхъ стволовъ и, что въ особенности замѣчательно, съ атрофіей костей.
Эти явленія повидимому зависятъ исключительно отъ гибели нервныхъ клѣтокъ, такъ какъ кровеобращеніе въ нижнихъ конечностяхъ не нарушается. Если-же перевязать бедренную артерію, то въ такомъ случаѣ, если только спинной мозгъ совершенно не задѣтъ, получится простое омертвѣніе всей конечности, но такихъ характерныхъ измѣненій не получится. Слѣдовательно, эти атрофіи можно всецѣло приписать нервнымъ явленіямъ. Уже давно существуетъ указаніе на то, что и кости подчиняются нервнымъ явленіямъ, извѣстна напр., ломкость костей у табетиковъ и т. п.; такимъ образомъ этотъ случай есть экспериментальное подтвержденіе зависимости роста костей отъ нервныхъ явленій.
Дегенерація нервовъ можетъ зависѣть, по всей вѣроятности отъ перехода перерожденія со спинного мозга.
Основываясь на вышеуказанныхъ положеніяхъ, я прихожу къ убѣжденію, что въ данномъ случаѣ мы имѣли некробіотическій міэлитъ.
Считаю своимъ пріятнѣйшимъ долгомъ принести глубокую благодарность многоуважаемому учителю академику Владиміру Михайловичу Бехтереву, какъ за постоянное руководство настоящей работой, такъ и за истинно отеческое отношеніе къ своему ученику.
Къ статье д-ра Л. М. Пуссепа. Объясненіе рисунковъ.
1. Диффузно окрашенная нервная клѣтка спинного мозга кролика убитаго спустя 7 часовъ послѣ перевязки брюшной аорты. Увел. 330.
2. Начавшая уже обезцвѣчиваться клѣтка кролика прожившаго 19 часовъ послѣ перевязки аорты. Увел. 330.
3. Развитіе вакуолъ въ клѣткахъ спинного мозга на уровнѣ 6 поясничн. позвонка у кролика, жившаго 12 дней.
4. Нервная клѣтка переднихъ роговъ спинного мозга кролика убитаго спустя 7 часовъ послѣ сдавленія брюшной аорты. Увелич. 600.
5. Нервная клѣтка того же кролика нѣсколько болѣе измѣненная. Увелич. 600.
6. Спинной мозгъ (поясничная часть) передніе рога; кроликъ жилъ 5 сутокъ послѣ перевязки брюшной аорты.
1 Изъ диссертаціи Weil’я: Der Stenson’sche Versuch
2 Работа закончена въ настоящемъ видѣ въ 1898 г., когда и была награждена Конференціей Императорской Военно - Медицинской Академіи золотой медалью, но по независящимъ отъ автора обстоятельствамъ не была напечатана. Доложено въ засѣданіяхъ Собранія врачей клиники душ. и нервн. болѣзней въ 1899 г. 25 апрѣля.
3 J. Swammerdam, С. Bartholinus, Brunner, Vieussens, König, Bohn, King, Cowper, Courten, Astrue, Eaauw, Pascoli, B. Langrish, la Mure, Hingaut le Cat, Lorry.
4 Oeuvres de Cesar Le Gallois avec des notes de M. Pariset, T. 1— «Experiences sur le principe de la vie». Paris. 1824 г.
5 L. c.
6 Dis. inaug. Dorpati 1832 г.
7 L. c.
8 Comptes rendus T. XXXII, pag. 855 и 897.
9 Arch. f. Physiol. Heilkunde 1852 г. XI.
10 Считаемъ нужнымъ замѣтить, что перевязка аорты у кролика на время менѣе 1/2 часа, даетъ такіе результаты, между тѣмъ какъ послѣ перевязки аорты на часъ параличъ уже никогда не пропадаетъ.
11 Lehrbuch der Phys. d. Menschen 1859 г.
12 Budge. Lehrb. d. Phys. d. Mensch. Leipzig 1862, 625 стр.
13 Funke. Lehrb. d. Phys. d. Mensch. В. I. Leipz. 1863 г. стр. 776.
14 Hermann, Grundriss d. Phys. d. Mensch. 1870. Berlin, стр. 233.
15 Cent. f. Med. Wissenschaft. 1869. S. 579, 593.
16 Der Stensonsche Versuch, Inaug. Dis. Strassbürg 1873 г.
17 Это происходитъ, когда ligatura Aortae продолжится болѣе 2—3 ч. прим, автора.
18 Dent. Zeit. f. Chirurgie 1880 г. H. 4—5 (стр. 405).
19 L. с. 436 стр.
20 Arch, de Biologie 1890 г.
21 Zeit. f. klin. Medicin. 1883. В. 7. H. 1.
22 Объ этомъ способѣ см. ниже.
23 Sitzung. der Rais. Akad. d. Wissenschaft. III Abt. XCVIB. 1887 г.
24 Journal of Ment. and nerv. deseases.
25 Arch. de Phys. Norm, et Pathol. 1888, I, 1.
26 Neur. Centralb. 1895 № 15.
27 Arch. f. Exper. Path, und Pharmak. 1895 г. B. 35.
28 О нѣкоторыхъ экспериментальныхъ и патологическихъ измѣненіяхъ нервной клѣтки. Реф. Невр. Обозрѣніе 1897 г.
29 Arch. de phyriol. 1897, р. 184.
30 Dent. Med. Wochenschrift 1896. № 42.
31 1. с.
32 1. с.
33 Arch. f. Anat. und Physiol. 1860.
34 Считаю нужнымъ упомянуть, что и но 3-му способу мною поставлено нѣсколько опытовъ.
35 12 элементовъ но аппарату Walden’a.
36 X — сильное, + слабѣе,— ... еще слабѣе и 0—отсутствіе сокращенія мышцъ.
37 23 элем. по Walden’y.
38 0 по катушкѣ Du Bois-Kaymond’a.
39 Сравнительная толщина стѣнокъ бедренныхъ костей выразится въ слѣдующихъ цифрахъ:
40 Къ сожалѣнію недостатокъ времени не позволилъ мнѣ заняться болѣе детальной разработкой этого вопроса.
41 Delle alterazioni patol. delle art. per la ligat. e la torzione esperienze ed observazioni. Milano 1845 г.
42. Cent. f. Chirurgie 1876 № 44 S. 689
43 Lancet 1891, January.
44 Kadyi. Ueber die Blutgetässe des mensch. Rückenmarkes. Lemberg
45 Не смѣшивать съ ядернымъ хроматиномъ, который не окрашивается основными красками по способу Nissl’я.
46 Arb. aus dem Instit. f. Anatomie von Obersteiner. 1895 г. H. 3.
47 Fortschritte d. Medicin. 1897. B. 15. № 16.
48 Ref. Neur. Centralblat 1897 г. № 16.
49 См. выше.
50 Pathologie de la cellule nerveuse. Paris. 1897.
51 L’anatomie fine de la cellule nerveuse. 1897.
52 Обозрѣніе психіатріи 1896 г. № 9.
53 Архивъ патол. за 1898 г.
54 1. с. см. выше.
55 Journal of Nerv. and Mend, desease 1889, April.
56 Arch, de physiol. 1897. р. 184.
Об авторах
Людвигъ Мартыновичъ Пуссепъ
Автор, ответственный за переписку.
Email: info@eco-vector.com
Докторъ, нейрохирург
РоссияСписок литературы
Дополнительные файлы









