Клинический случай раннего выявления воспалительного варианта церебральной амилоидной ангиопатии
- Авторы: Клочева Е.Г.1, Голдобин В.В.1, Тертышная Н.М.1, Осипова М.Ю.2
-
Учреждения:
- Северо-Западный государственный медицинский университет им. И.И. Мечникова
- Северо-Западный государственный медицинский университет им. И.И. Мечникова
- Выпуск: Том LI, № 4 (2019)
- Страницы: 83-87
- Раздел: Клинические случаи
- Статья получена: 22.10.2019
- Статья одобрена: 01.11.2019
- Статья опубликована: 11.02.2020
- URL: https://journals.eco-vector.com/1027-4898/article/view/16539
- DOI: https://doi.org/10.17816/nb16539
- ID: 16539
Цитировать
Полный текст
Аннотация
Представлен клинический случай раннего выявления воспалительного варианта церебральной амилоидной ангиопатии у пациентки с жалобами на интенсивные головные боли диффузного характера, плохо купирующиеся анальгетиками, с признаками пирамидно-мозжечковой недостаточности. Клинические и нейровизуализационные данные позволили поставить диагноз воспалительной формы церебральной амилоидной ангиопатии. Проведена пульс-терапия метилпреднизолоном с улучшением клинических проявлений и нейровизуализационных данных. Через 4 мес произошёл рецидив цефалгий после перенесённой вирусной инфекции. Повторно проведена пульс-терапия с отчётливым клиническим эффектом.
Полный текст
Церебральная амилоидная ангиопатия (ЦАА) — заболевание малых артерий (лептоменингеальных, корковых) и капилляров головного мозга, характеризующееся отложением β-амилоида в сосудистой стенке. Патоморфологические изменения в сосудах характеризуются относительной интактностью эндотелия артерий и редким вовлечением в процесс церебральных вен [1–3].
Частота ЦАА увеличивается с возрастом, у пожилых заболевание может протекать бессимптомно (23–57%), при гистологическом исследовании ЦАА выявляют у 55–59% больных с деменцией и у 24–47% пациентов без деменции [4]. В литературе отмечена коморбидность ЦАА и болезни Альцгеймера1, что может отражать тесную патогенетическую связь указанных состояний [5].
Один из вариантов этого заболевания — ЦАА, связанная с воспалением, обусловленная отложением амилоида с развитием вторичных воспалительных изменений. В литературе для названия данного синдрома применяли различные термины: амилоидная ангиопатия с гранулематозным ангиитом центральной нервной системы (ЦНС), церебральный амилоидный ангиит, первичный ангиит ЦНС, ассоциированный с ЦАА, церебральная амилоидная воспалительная васкулопатия, ЦАА, ассоциированная с гигантоклеточным артериитом, амилоидный β-связанный ангиит [6, 7].
Воспалительная форма ЦАА (вЦАА), как правило, встречается у пожилых пациентов. Средний возраст дебюта заболевания обычно меньше, чем при невоспалительных формах ЦАА (67 лет по сравнению с 76 годами), но больше по сравнению с первичным ангиитом ЦНС (67 лет по сравнению с 45 годами).
Факторами риска, предрасполагающими к развитию данного состояния, считают возраст старше 40 лет и наличие полиморфизма аполипопротеина Е4/Е4. Патогенез вЦАА окончательно не изучен и требует уточнения. Известно, что у пациентов присутствует специ-фическая аутоиммунная реакция на периваскулярные Аβ-депозиты [6], кроме того, у больных с гистологически верифицированной вЦАА отмечено повышение популяции СD4+ Т-лимфоцитов в крови [8].
Клинические проявления вЦАА характеризуются прогрессирующими когнитивными расстройствами и поведенческими нарушениями (у 76%), судорожными пароксизмами (у 31%), головной болью (у 41%). Течение заболевания может быть острым, подострым и хроническим. В неврологическом статусе при вЦАА выявляют афазии (у 26%), нарушения полей зрения (у 17%), моно- и гемипарезы (у 17%), мозжечковую атаксию (у 9%), синдром неглекта (игнорирование половины пространства, у 7%) [9, 10].
Таким образом, в типичных случаях вЦАА проявляется остро или подостро развивающимися когнитивными расстройствами, головной болью, эпилептическими припадками. Очаговые симптомы становятся причиной обращения реже, полиморфны и включают расстройства функций коры больших полушарий и двигательные, зрительные нарушения. В нейропсихологическом профиле доминируют прогрессирующие когнитивные нарушения по альцгеймеровскому типу [11].
Окончательную верификацию диагноза осуществляют после проведения патоморфологического исследования.
При постановке клинического диагноза вЦАА в настоящее время используют комплекс клинико-радиологических критериев [12].
Вероятная вЦАА (с 82% чувствительностью и 97% специфичностью) может быть выставлена при соответствии следующим признакам:
– возраст пациента не менее 40 лет;
– наличие не менее двух из следующих клинических признаков: головная боль, нарушение сознания, очаговая неврологическая симптоматика, судорожный пароксизм, возникновение которых не связанно с развитием острого внутримозгового кровоизлияния;
– выявление при магнитно-резонансной томографии (МРТ) головного мозга очагов лейкоарайоза (корково-подкорковых или глубоких): обязательно асимметричных, с распространением на прилежащую подкорковую область, при этом асимметрия не должна быть следствием перенесённого внутримозгового кровоизлияния;
– наличие не менее одного корково-подкоркового геморрагического очага: перенесённые лобарные кровоизлияния, микрокровоизлияния, корковый поверхностный сидероз;
– отсутствие данных за опухолевый, инфекционный или иной генез выявленных изменений.
На основании представленных диагностических критериев данные МРТ головного мозга имеют большое значение в постановке диагноза вЦАА. Также при проведении МРТ головного мозга в режиме DWI (от англ. diffusion weight imaging — диффузионно-взвешенное изображение) у пациентов с любыми формами ЦАА могут быть выявлены церебральные микроинфаркты (лакунарные, корковые) и другие ишемические острые повреждения [12].
Дифференциальную диагностику вЦАА следует проводить с синдромом задней обратимой лейкоэнцефалопатии, острым диссеминированным энцефаломиелитом, нейросаркоидозом, первичной лимфомой ЦНС, первичным ангиитом ЦНС, аутоиммунным энцефалитом, карциноматозом оболочек, онкологическими и инфекционными заболеваниями ЦНС, прогрессирующей мультифокальной лейкоэнцефалопатией [13].
Лечение вЦАА подразумевает назначение иммуносупрессивной терапии: наиболее часто проводят пульс-терапию глюкокортикоидами с последующим длительным пероральным приёмом, также возможно назначение цитостатиков (циклофосфамида, метотрексата), моноклональных антител (бапинезумаба) и внутривенного введения иммуноглобулинов. Согласно литературным данным, указанная терапия сопровождается положительным ответом у 72% пациентов, улучшение клинических показателей наступает раньше улучшения патологических изменений на МРТ головного мозга [14].
При отсутствии положительной динамики в течение 3 нед лечения для уточнения диагноза рекомендовано проведение стереотаксической биопсии [6].
Под нашим наблюдением находилась пациентка Н. 66 лет, обратившаяся в клинику неврологии СЗГМУ им. И.И. Мечникова в январе 2018 г. с жалобами на интенсивные головные боли (8 баллов по визуальной аналоговой шкале) диффузного характера, плохо купирующиеся анальгетиками, затрудняющие трудовую деятельность.
Из анамнеза заболевания выяснено, что цефалгии появились около 6 мес назад, пациентка нерегулярно принимала анальгетики и нестероидные противовоспалительные препараты.
Из перенесённых заболеваний: страдает гипертонической болезнью, принимает ингибиторы ангиотензин-превращающего фермента, антагонисты кальциевых каналов с контролем повседневного артериального давления на цифрах нормотензии. Из сопутствующих заболеваний: мочекаменная болезнь с хроническим пиелонефритом, вне обострения на момент обращения в клинику, а также дивертикулёз толстой кишки.
При госпитализации состояние пациентки стабильное, относительно удовлетворительное. В общесоматическом статусе без отклонений от возрастной нормы.
В неврологическом статусе: в сознании, ориентирована правильно. Обоняние не нарушено. Возрастная пресбиопия, цветоощущение и поля зрения не изменены. Окулодинамика грубо не ограничена, двусторонний нистагм в крайних отведениях глазных яблок. Зрачки D=S, округлой формы, фотореакции сохранены, равномерны. Диплопию отрицает. Предъявляет гипестезию левой половины лица, пальпация точек выхода ветвей тройничного нерва безболезненна. Лицевая мускулатура без грубой асимметрии. Кохлеовестибулярных расстройств нет, бульбарных расстройств не выявлено, язык по средней линии. Слабо положительные симптомы орального автоматизма.
Силовых расстройств не выявлено. Мышечный тонус физиологичен, D >S, глубокие рефлексы средней живости, D >S, брюшные рефлексы не вызываются с двух сторон. Определяется двусторонний симптом Россолимо–Вендеровича, больше выраженный справа.
При исследовании поверхностной и глубокой чувствительности предъявляет полиневропатический вариант расстройства с уровня середины голеней.
Координаторные пробы выполняет неуверенно, без явной интенции, в позе Ромберга неустойчива. Выявлена асинергия Бабинского.
Вегетативно-трофических расстройств не определено. Менингеальные симптомы отрицательные.
Высшие корковые функции не нарушены, при исследовании по краткой шкале оценки психического статуса MMSE (от англ. Mini-Mental State Examination) — 29 баллов.
Пациентке выполнены рутинные лабораторные исследования, не выявившие выраженных изменений. При исследовании липидограммы — гиперхолестеринемия за счёт увеличения содержания липопротеидов низкой плотности и триглицеридов. Уровень высокочувствительного С-реактивного белка в пределах референсных значений.
По данным электрокардиографического исследования: ритм синусовый, частота сердечных сокращений 72 в минуту, признаки полной блокады правой ножки пучка Гиса.
При ультразвуковом исследовании брахиоцефальных артерий гемодинамически значимого стенозирования, паттернов аневризм и артериовенозных мальформаций не выявлено.
При выполнении электроэнцефалографии получены данные о гиперсинхронной электроэнцефалограмме с поверхности коры головного мозга. В височно-теменно-затылочной области обоих полушарий мозга определялась специфическая эпилептиформная активность «острая-медленная волна» с билатерально-синхронными пароксизмальными вспышками.
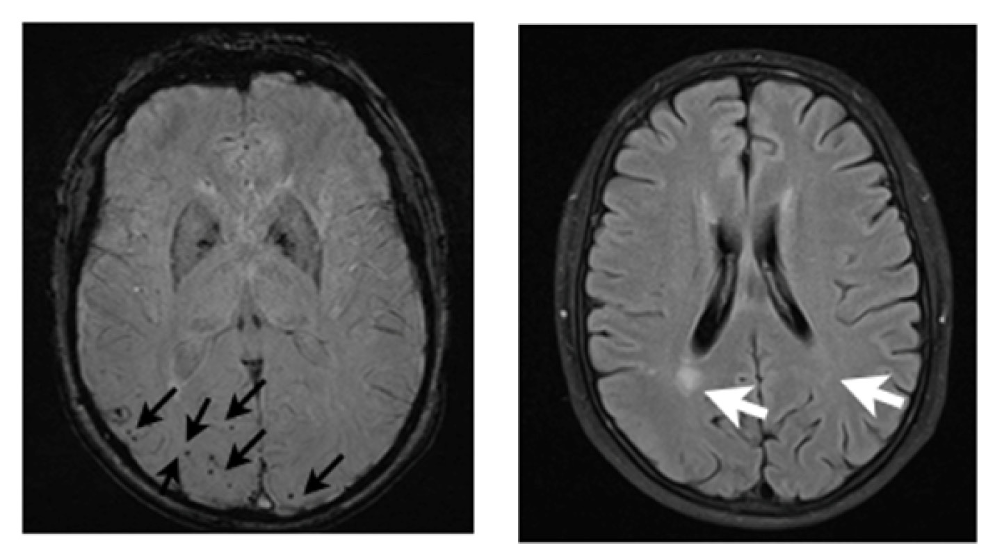
Рис. 1. Результаты магнитно-резонансной томографии головного мозга пациентки при первом обращении в клинику. Представлены результаты исследования в режимах SWI (А, Б) и FLAIR (В). Стрелками указаны очаги множественных микрокровоизлияний и асимметричные зоны лейкоарайоза
Проведённое нейровизуализационное исследование (МРТ головного мозга, рис. 1) выявило множественные микрокровоизлияния, преимущественно расположенные в правой теменной доле. Также отмечен асимметричный лейкоарайоз — выраженные изменения в правой теменной доле, в значительно меньшей степени в левой теменной доле.
Пациентка осмотрена офтальмологом — выявлены признаки ангиопатии сетчатки обоих глаз, начальная возрастная катаракта.
Таким образом, пациентка по возрасту, клинико-неврологическим данным (головная боль, очаговые неврологические симптомы, изменения на электроэнцефалограмме), результатам МРТ (асимметричный лейкоарайоз и множественные микрокровоизлияния), а также в связи с невозможностью объяснить выявленные изменения опухолевым, травматическим или воспалительным генезом соответствовала критериям вероятной вЦАА.
Особенность данного клинического случая — обращение пациентки в клинику до развития типичных когнитивных и поведенческих расстройств, наиболее часто приводящих больных за медицинской помощью, а также судорожных приступов — выявлены лишь изменения на электроэнцефалограмме, предрасполагающие к формированию пароксизмов.
С учётом выявленных изменений базовая терапия хронической цереброваскулярной патологии (антигипертензивная терапия, антиагрегантные препараты, гипохолестериновые средства), а также нейропротективная терапия была дополнена курсом пульс-терапии глюкокортикоидами.
В доступной литературе нам не встретилось упоминания об оптимальной дозе глюкокортикоидов, преимуществах определённого режима введения и пролонгированного приёма глюкокортикоидов.
В данном наблюдении было выполнено трёхкратное ведение метилпреднизолона по 250 мг/сут через день. После второй инъекции отмечено улучшение самочувствия — регрессировали головные боли.
Больная была выписана на амбулаторный этап лечения с рекомендацией базовой (гипотензивной, гиполипидемической, антиагрегантной) терапии, курсового приёма нейропротекторов, без поддерживающей дозы глюкокортикоидов.
В течение 4 мес пациентка отмечала стабильно хорошее самочувствие, головные боли не беспокоили, ограничений в выполнении физической и психоэмоциональной нагрузки, в том числе связанных с выполняемой работой, не отмечала.
Ухудшение состояния связывает с перенесённой в апреле-мае 2018 г. острой респираторной вирусной инфекцией, когда в периоде реконвалесценции вновь стали беспокоить головные боли, меньшей выраженности по сравнению со ставшими изначальной причиной обращения в клинику неврологии.
При повторном наблюдении в неврологическом статусе отмечено уменьшение выраженности статико-локомоторных расстройств — регресс неустойчивости в позе Ромберга, в остальном — без динамики.
Были выполнены рутинные лабораторные исследования, не выявившие выраженных изменений. По данным исследования липидограммы сохранялась гиперхолестеринемия за счёт увеличения содержания липопротеидов низкой плотности и триглицеридов, что стало поводом для коррекции дозы гиполипидемических препаратов.
При выполнении электроэнцефалографии по сравнению с предыдущим осмотром отмечено усиление синхронизации биоэлектрической активности.
Ультразвуковое исследование брахиоцефальных артерий в динамике не показало гемодинамически значимых стенозов, а также аневризм и артериовенозных мальформаций.
При офтальмологическом осмотре изменений в динамике не выявлено.
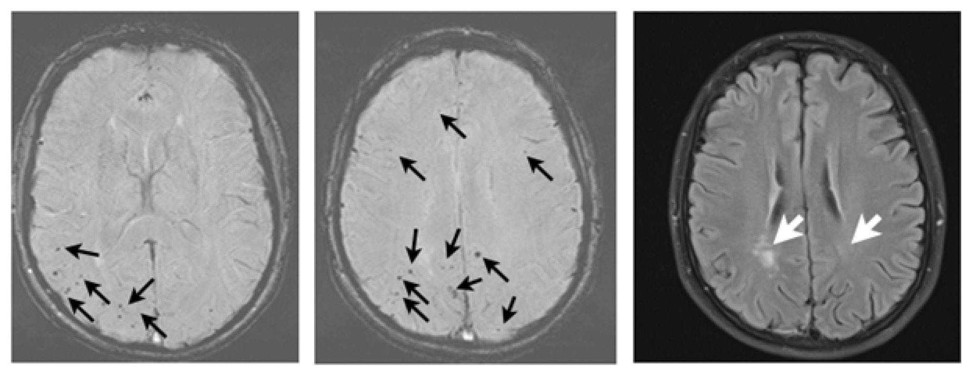
Рис. 2. Результаты магнитно-резонансной томографии головного мозга при повторном обращении в клинику. Представлены результаты исследования в режимах SWI (А) и FLAIR (Б). Стрелками указаны очаги множественных микрокровоизлияний и асимметричные зоны лейкоарайоза
Данные повторной МРТ головного мозга (через 6 мес) представлены на рис. 2. По сравнению с предыдущим исследованием — множественные церебральные микрокровоизлияния без увеличения их количества, зоны лейкоарайоза — с уменьшением в размерах.
Было выполнено пятикратное ведение метилпреднизолона по 250 мг/сут через день. Клинически после первой инъекции отмечено значительное уменьшение, а после второй — регресс головных болей. Зафиксирован однократный эпизод повышения артериального давления, потребовавший увеличения дозы гипотензивных препаратов.
По завершении пульс-терапии пациентка была выписана на амбулаторный этап лечения с рекомендациями постоянной гипотензивной, гиполипидемической и антиагрегантной терапии, курсового приёма нейропротекторов, без поддерживающей дозы глюкокортикоидов.
вЦАА — редкая разновидность ЦАА. Несмотря на возможность верифицировать диагноз данного состояния лишь на основании патоморфологического исследования, в настоящее время разработаны клинико-инструментальные критерии, позволяющие говорить о вероятной воспалительной форме ЦАА (с высокими показателями чувствительности и специфичности). Клинические проявления данной патологии в подавляющем большинстве случаев определяются когнитивными и поведенческими расстройствами, однако возможно раннее выявление данных пациентов, до развития у них развёрнутых тяжёлых проявлений заболевания.
Уникальность вЦАА заключается в возможности эффективно уменьшать выраженность клинических, а в последующем и нейровизуализационных проявлений заболевания назначением иммуносупрессивной терапии, в первую очередь применением глюкокортикоидов, несмотря на то обстоятельство, что единое мнение в отношении выбора препаратов, режимов назначения, длительность их применения в настоящее время окончательно не определено. Указанная особенность объясняет необходимость диагностической насторожённости, раннего выявления указанных форм и своевременного проведения патогенетической терапии.
Авторы заявляют об отсутствии конфликта интересов по данной статье
1Примечание редакции. Альцхаймер (Aloise Alzheimer, 1864–1915), немецкий врач. В русскоязычной литературе устоялось написание Альцгеймер, что не совсем верно.
Об авторах
Елена Георгиевна Клочева
Северо-Западный государственный медицинский университет им. И.И. Мечникова
Email: klocheva@mail.ru
доктор медицинских наук профессор кафедры неврологии им. акад. С.Н. Давиденкова
Россия, 195067, г. Санкт-Петербург, Пискарёвский проспект, 47, павильон 12Виталий Витальевич Голдобин
Северо-Западный государственный медицинский университет им. И.И. Мечникова
Автор, ответственный за переписку.
Email: vgoldobin@inbox.ru
д.м.н. доцент кафедры неврологии им. акад. С.Н. Давиденкова
Россия, 195067, г. Санкт-Петербург, Пискарёвский проспект, 47, павильон 12Наталия Михайловна Тертышная
Северо-Западный государственный медицинский университет им. И.И. Мечникова
Email: nataliyatertishnaia@gmail.com
аспирант кафедры неврологии им. акад. С.Н. Давиденкова
Россия, 195067, г. Санкт-Петербург, Пискарёвский проспект, 47, павильон 12Марина Юрьевна Осипова
Северо-Западный государственный медицинский университет им. И.И. Мечникова
Email: mebsen@mail.ru
аспирант кафедры неврологии им. акад. С.Н. Давиденкова
Россия, 195067, г. Санкт-Петербург, Пискарёвский проспект, 47, павильон 12Список литературы
- Макотрова Т.А., Левин О.С., Араблинский А.В. Церебральная амилоидная ангиопатия. Ж. неврол. и психиатрии. 2014; 6 (2): 87–93. [Makotrova T.A., Levin O.S., Arablinskiy A.V. Cerebral amyloid angiopathy. Zhurnal nevrologii i psychiatrii. 2014; 6 (2): 87–93. (In Russ.)]
- Новосадова О.А., Григорьева В.Н. Церебральная амилоидная ангиопатия и гипертензивная церебральная микроангиопатия. Дифференциальный диагноз. Неврол. вестн. им. В.М. Бехтерева. 2019; LI (2): 72–79. [Novosadova O.A., Grigorjeva V.N. Cerebal amyloid angiopathy and hypertensive cerebral microangiopathy. Differential diagnosis. Nevrologicheskiy vestnik im. V.M. Bekhtereva. 2019; LI (2): 72–79. (In Russ.)]
- Vonsattel J.P., Myers R.H., Hedley-Whyte E.T. et al. Cerebral amyloid angiopathy without and with cerebral hemorrhages: a comparative histological study. Ann. Neurol. 1991; 30: 637–649.
- Coria F., Rubio I. Cerebral amyloid angiopathies. Neuropathol. Appl. Neurobiol. 1996; 22: 216e27.
- Yamada M. Predicting cerebral amyloid angiopathy-related intracerebralhemorrhages and other cerebrovascular disorders in Alzheimer’s disease. Front. Neurol. Stroke. 2012; 3: 1–7. doi: 10.3389/fneur.2012.00064.
- Chung K.K., Anderson N.E., Hutchinson D. et al. Cerebral amyloid angiopathy related inflammation: three case reports and a review. J. Neurol. Neurosurg. Psychiatry. 2011; 82 (1): 20–26. doi: 10.1136/jnnp.2009.204180.
- Scolding N.J., Joseph F., Kirby P.A. et al. Abeta-related angiitis: primary angiitis of the central nervous system associated with cerebral amyloid angiopathy. Brain. 2005; 128: 500–515.
- Melzer N., Harder A., Gross C.C. et al. CD41 T cells predominate in cerebrospinal fluid and leptomeningeal and parenchymal infiltrates in cerebral amyloid beta-related angiitis. Arch. Neurol. 2012; 69: 773–777. doi: 10.1001/archneurol.2011.2441.
- Eng J.A., Frosch M.P., Choi K. et al. Clinical manifestations of cerebral amyloid angiopathy-related inflammation. Ann. Neurol. 2004; 55 (2): 250–256. doi: 10.1002/ana.10810.
- DiFrancesco J.C., Brioschi M., Brighina L. et al. Anti-Abeta autoantibodies in the CSF of a patient with CAA-related inflammation: a case report. Neurology. 2011; 76 (9): 842–844. doi: 10.1212/WNL.0b013e31820e773c.
- Martucci M., Sarria S., Toledo M. et al. Cerebral amyloid angiopathy-related inflammation: imaging findings and clinical outcome. Neuroradiology. 2014; 56 (4): 283–289. doi: 10.1007/s00234-014-1330-6.
- Auriel E., Charidimou A., Gurol M.E. et. al. Validation of clinicoradiological criteria for the diagnosis of cerebral amyloid angiopathy-related inflammation. JAMA Neurol. 2016; 73 (2): 197–202. doi: 10.1001/jamaneurol.2015.4078.
- Kirshner H.S., Bradshaw M. The inflammatory form of cerebral amyloid angiopathy or “Cerebral Amyloid Angiopathy-Related Inflammation” (CAARI). Curr. Neurol. Neurosci. Rep. 2015; 15: 54–60. doi: 10.1007/s11910-015-0572-y.
- Piazza F., Greenberg S.M., Savoiardo M. et al. Anti-amyloid beta autoantibodies in cerebral amyloid angiopathy-related inflammation: implications for amyloid-modifying therapies. Ann. Neurol. 2013; 73 (4): 449–458. doi: 10.1002/ana.23857.
Дополнительные файлы





