Клинический спектр фронтотемпоральной деменции: шизофреноподобные симптомы и боковой амиотрофический склероз (семейное наблюдение)
- Авторы: Менделевич Е.Г.1
-
Учреждения:
- Казанский государственный медицинский университет
- Выпуск: Том LVI, № 1 (2024)
- Страницы: 73-82
- Раздел: Клинические случаи
- Статья получена: 15.01.2024
- Статья одобрена: 07.02.2024
- Статья опубликована: 30.03.2024
- URL: https://journals.eco-vector.com/1027-4898/article/view/625675
- DOI: https://doi.org/10.17816/nb625675
- ID: 625675
Цитировать
Аннотация
Фронтотемпоральная деменция — гетерогенная патология с различными клиническими, гистологическими и генетическими вариантами. Поведенческий вариант фронтотемпоральной деменции в ряде случаев представляет дифференциально-диагностические трудности при разграничении с первичными психическими расстройствами. В статье приведён случай пациента К., на начальном этапе болезни находившегося под наблюдением с диагнозом «шизофрения». Сопоставление психопатологических и поведенческих симптомов с наличием семейного анамнеза бокового амиотрофического склероза послужило поворотной точкой к иной интерпретации патологии, распознаванию и подтверждению достоверного диагноза «поведенческий вариант фронтотемпоральной деменции».
Ключевые слова
Полный текст
Фронтотемпоральная деменция (ФТД) — одна из наиболее распространённых причин ранней деменции со средним возрастом манифестации симптомов в возрасте 45–60 лет. Представления о патогенезе ФТД и её клиническом спектре совершили значительную научную эволюцию от болезни Пика до различных вариантов фронтотемпоральной долевой дегенерации, включающей более двадцати заболеваний.
Обобщающая черта «семейства фронтотемпоральной долевой дегенерации» — нейрональное повреждение коры и атрофия преимущественно лобной и височной областей головного мозга. Отличительные особенности этих дегенераций определяются гистопатологическими данными с отложением различных вариантов аномальных белков, таких как Tau, TDP-43, FET (FUS, EWS) и других, преимущественно в передних отделах головного мозга [1].
Встречаются семейные и спорадические формы ФТД, при этом 30–50% случаев бывают семейными [2], а 40–70% можно классифицировать как спорадические [3, 4]. Генетические аномалии подтверждаются у 30–40% пациентов с семейным анамнезом ФТД и в 80% объясняются мутацией в трёх основных генах — C9orf72, MAPT (тау) или програнуллина (GRN) [5, 6].
К настоящему моменту распространённость наследственных и спорадических форм остаётся неясной. Это связано, в том числе, и с широким спектром клинических проявлений ФТД, которые могут трактоваться как психические или неврологические патологии.
Генетические исследования являются современной областью, значительно расширившей представления о спектре ФТД, но, в то же время, определившей многозначность данной проблемы. В последние годы исследователи обнаружили изменения также и в других генах, которые приводят к редким семейным типам лобно-височных расстройств, предположительно составляя в целом не более 5%. Большинство спорадических случаев ФТД не имеют известного генетического варианта.
Одним из значимых вопросов остаётся вопрос о том, в какой мере генетические аномалии определяют клиническую картину заболевания. Известно, что у ряда нейродегенеративных заболеваний есть сходство клинических и молекулярных характеристик. С одной стороны, перекрывающиеся генетические факторы могут предполагать развитие различных типов деменций. С другой, одна и та же генетическая мутация может определять различные клинические фенотипы [7].
В частности, ген MAPT (ТАУ) участвует в развитии не только ФТД, но и таких видов нейродегенеративной патологии, как болезнь Альцгеймера, болезнь Паркинсона, боковой амиотрофический склероз (БАС) [7, 8]. Ген програнулина (GRN) также, помимо ФТД, играет роль при болезни Альцгеймера, болезни Паркинсона, паркинсонизме, БАС [9, 10]. И, наконец, аномалии гена C9orf72 являются факторами развития ФТД, БАС, болезни Альцгеймера и паркинсонизма [11]. Подтверждением генетической плейотропии при нейродегенеративных заболеваниях служит тот факт, что у 50% пациентов с ФТД наблюдаются редкие миссенс-мутации генов, ранее ассоциированные с болезнью Альцгеймера, болезнью Паркинсона, БАС, деменцией с тельцами Леви [5].
Таким образом, на основании клинических проявлений сложно предсказать генетическую основу заболевания, что связано с высокой степенью перекрытия неврологических фенотипов [1]. Клинико-генетический анализ 509 пациентов с ФТД не обнаружил значимой корреляции между клиническими диагнозами и патологическими генами, что позволило подтвердить результаты прежних исследований и резюмировать правило «любой ген — любая клиническая подгруппа ФТД» [5]. В то же время существует устойчивая ассоциация фенотипа ФТД/БАС с генетической аномалией C9orf72.
ФТД — гетерогенный синдром, объединяющий три клинические формы: поведенческий вариант (повФТД), или «фронтальный» вариант ФТД, и две формы первичной прогрессирующей афазии, включающие вариант «небеглой речи» («аграмматический») и семантический («височный» тип) [12]. Кроме того, в клинической картине ФТД возможны двигательные нарушения в виде синдрома паркинсонизма (прогрессирующий супрануклеарный паралич, кортико-базальная дегенерация), а также болезнь двигательного нейрона-БАС [13]
ПовФТД — наиболее распространённый клинический подтип, составляющий примерно 50% семейных и 69% спорадических случаев ФТД [14]. Характерной чертой повФТД бывают прогрессирующие изменения личности и поведения на ранних стадиях заболевания. В этой связи диагноз повФТД нередко становится предметом дискуссий и может приводить к диагностическим ошибкам. Около 50% пациентов с повФТД получают предварительный психиатрический диагноз, а правильный диагноз устанавливают только через 5–6 лет от момента появления первичных симптомов. Нередким является и обратное, когда пациентам с первичными психическими расстройствами ошибочно диагностируют повФТД [15]. Широкий спектр психических проявлений ФТД, наличие перекрывающихся симптомов с рядом первичных видов психической патологии [16] становятся причиной ложной диагностики биполярного расстройства, депрессии, шизофрении и других психозов [17, 18].
Наиболее распространённые психические феномены повФТД определяются фокусом поражения лобно-височного региона, что проявляется клиническими симптомами расстройств внимания, эмпатии, межличностных отношений, социального поведения, апатии. Данные симптомы нельзя назвать специфичными, и хорошо известен их клинический перекрёст с проявлениями шизофрении. Дифференциация шизофрении и повФТД имеет огромное значение в выборе терапевтической стратегии и определении прогноза в связи с потенциальной излечимостью первичного психического расстройства.
В представленном клиническом наблюдении описана «традиционная» диагностическая дилемма, нашедшая современную генетическую трактовку в рамках семейного анамнеза.
КЛИНИЧЕСКИЙ СЛУЧАЙ
Пациент К. 56 лет. Профессиональный поп-музыкант, в последнее время подрабатывавший таксистом. В течение 8–10 мес до обращения за медицинской помощью нигде не работал. В разводе, имеет трёх детей. Проживает один.
Анамнез. Изменение привычного поведения пациента впервые замечено близкими весной 2021 г. после тяжёлой формы СOVID-19, протекавшей с фебрильной лихорадкой и галлюцинаторным синдромом и поначалу трактовалось как последствия инфекции. Однако «странное поведение» постепенно прогрессировало, в связи с чем в августе 2022 г. отец пациента инициировал обращение к психиатру.
Отмечались следующие изменения в поведении: пациент стал замкнутым, перестал выходить из дома, стал уклоняться от встреч со знакомыми, минимизировал общение с родственниками, целыми днями проводил у телевизора, готовил себе одну и ту же пищу (макароны и сосиски), проявлял мало инициативы в поиске утраченной работы. Настроение казалось сниженным, выглядел подавленным. Была эмоциональная отстранённость, безучастность. Наряду с этим возникали эпизоды снижения памяти — периодически «путался» в именах своих детей, «вдруг забыл о наличии у него дочери», не мог вспомнить какие-то географические названия. Однако в целом, по мнению родственников, память и интеллектуальные функции не были нарушены. Пациент продолжал подрабатывать таксистом, хорошо ориентировался на местности, обслуживал себя.
Летом 2022 г. пациент неоднократно демонстрировал «нелепые высказывания и действия». К примеру, как-то пошёл на якобы назначенное свидание с девушкой в ресторан, но, как оказалось впоследствии, никакого свидания не предполагалось. После напрасного ожидания «девушки» огорчения или недоумения не высказал. В другой раз отказался от переезда на новое место жительства ближе к отцу мотивируя это ожиданием в гости любимой женщины — «солистки из группы «ABBA» с которой, по словам пациента, он «ежедневно разговаривает по мессенджеру на русском языке». Периодически происходили и другие нелепости в поведении, в частности эпизоды общения с фотографией женщины как с реальным человеком.
Был дважды консультирован психиатром летом-осенью 2022 г., по результатам консультации был выставлен диагноз «Шизофрения с преимущественно негативной симптоматикой», назначены нейролептические препараты, которые больной не принимал. Осенью 2022 г. пациент осмотрен неврологом, патологии не выявлено, дополнительные обследования не назначены, рекомендовано продолжение лечения у психиатра.
В январе 2023 г. бывшая жена и дети пациента отметили ранее не свойственное пациенту поведение при вождении машины: вёл себя импульсивно, грязно ругался. При встрече с детьми после долгой разлуки проявлял «отстранённость», общался с ними формально и очень коротко — «быстро поел, и без объяснения ушёл в другую комнату». Со слов бывшей жены пациента, он и ранее был «не слишком общительным и разговорчивым», в связи с чем она не придала этому значения.
Несмотря на некоторую отрешённость от внешних событий, пациент смог самостоятельно прилететь к родным на самолёте, хорошо ориентировался в чужом городе, передвигался на различных видах транспорта. Впоследствии оказалось, что примерно за 2 года до «первых» симптомов заболевания пациент стал постепенно «продавать/закладывать» своё имущество, брать кредиты в банках на большие суммы, «связался» с «мошенниками — биржевой компанией в интернете». Сам пациент относился к этому некритично, считая, что деньги ему обязательно вернут, раздражался в ответ на увещевания родственников.
Семейный анамнез. По стечению обстоятельств мать больного находилась в 1986–1987 гг. на обследовании в той же клинике, в которой был обследован пациент, где ей был выставлен диагноз шейно-грудной формы БАС с развитием грубого бульбарно-псевдобульбарного синдрома. В течение двух последующих лет наступила её смерть в возрасте 47 лет. На развёрнутой стадии БАС, возможно, имело место когнитивное снижение и «неадекватно повышенное настроение», которое трудно было точнее квалифицировать из-за грубых проявлений бульбарно-псевдобульбарного синдрома и речевых трудностей. По анамнестическим сведениям заболеванием со схожей с БАС клинической картиной страдали тётя и дед пациента по линии матери.
Данные объективного обследования. Жалобы активно не высказывает, отмечает лишь «возможно небольшое снижение памяти». Одет опрятно и адекватно ситуации. В разговоре активно не участвует, речь монотонная, неэмоциональная. Отвечает на вопросы по существу, но кратко. Речь построена грамматически правильно. Не полностью понимает принадлежность слов к определённой семантической категории, не может определить кардинальные признаки сходства и различия между понятиями (например, между «птицей и самолётом»). Есть небольшое снижение темпа и скорости речи. Апатичен, пассивен.
Патологии черепных нервов не выявлено. Симптомов орального автоматизма нет. Сила в конечностях сохранна. Не обнаружено изменения тонуса мышц и рефлексов. Атрофий и фасцикулляций мышц нет. Гипо/брадикинезии не выявлено. В координаторных пробах патологии нет. Отмечено частое стереотипное потирание ладоней. Визуализируются явления вторичного повреждения кожи (покраснение, сухость, трещины). Проведённое краткое нейропсихологическое исследование выявило снижение по тесту MoCA (от англ. Montreal Cognitive Assessment — Монреальская шкала когнитивной оценки) — 19 баллов, FAB (от англ. Frontal Assessment Battery — комплекс тестов для оценки лобной дисфункции) — 9 баллов.
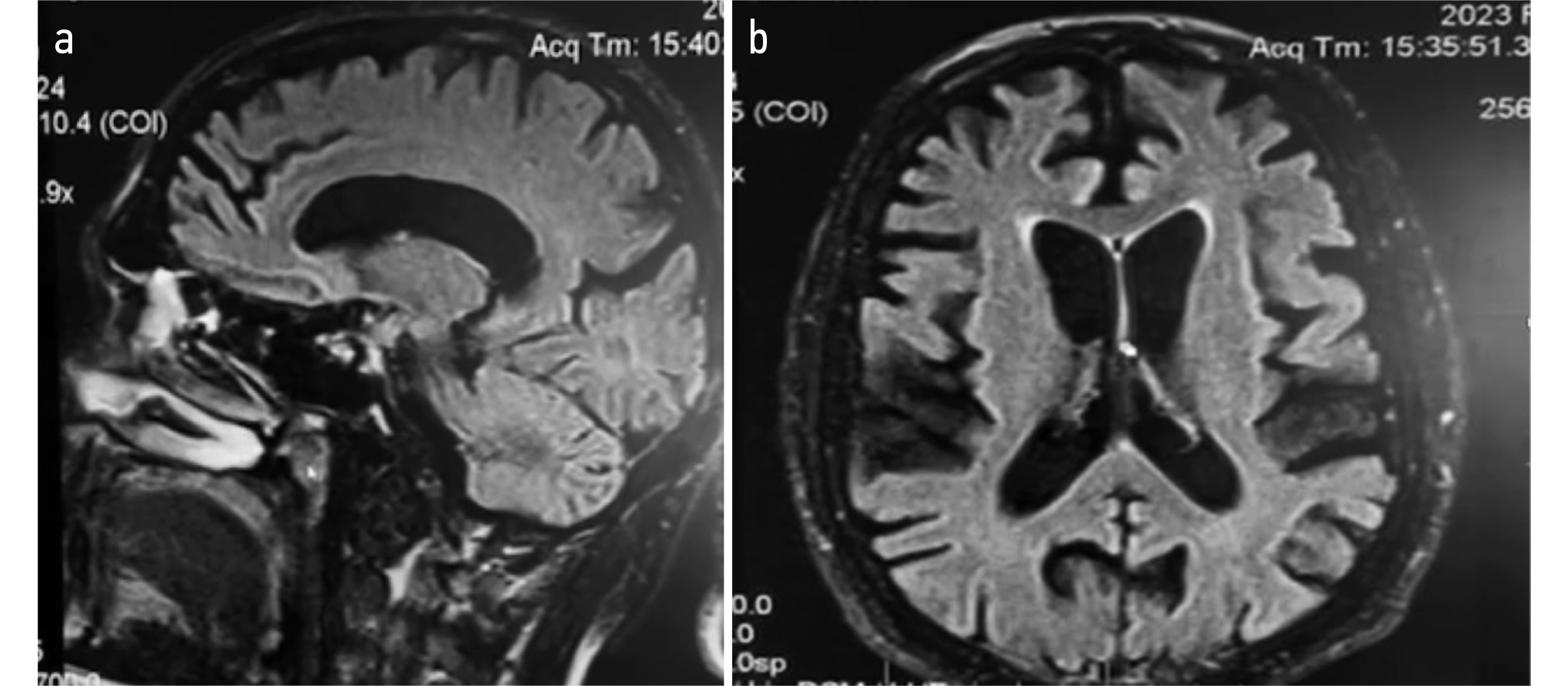
Магнитно-резонансная томография (МРТ) головного мозга (рис. 1): признаки выраженной атрофии головного мозга, преимущественно лобной и височной областей. Электронейромиография мышц верхних конечностей: проводящая функция моторных и сенсорных волокон нервов рук не нарушена. По результатам игольчатой миографии — признаков текущего денервационного поражения в руках и ногах нет. При тестировании мышечной силы — признаков мышечной слабости нет. Тесты на скрытую слабость — отрицательные. Заключение: данных за наличие болезни двигательного нейрона нет.
Рис. 1. Магнитно-резонансная томография головного мозга в сагиттальной плоскости (a) и аксиальной плоскости (b): признаки выраженной атрофии (преимущественно-лобной и височной).
Fig. 1. Magnetic resonance imaging of the brain in the sagittal plane (a) and axial plane (b): signs of marked atrophy (predominantly frontal and temporal).
Генетическое исследование: в результате анализа дезоксирибонуклеиновой кислоты (ДНК) в одной из хромосом выявлено увеличенное число копий GGGGCC-повтора, локализованного в гене C9orf72, ответственного за развитие БАС и/или ФТД.
Диагноз: «Достоверная лобно-височная дегенерация, ассоциированная с мутацией в гене C9orf72 (преимущественно поведенческий вариант, в меньшей прогрессирующая афазия)».
ОБСУЖДЕНИЕ
В подавляющем большинстве случаев, преобладание в клинической картине заболевания психических и поведенческих расстройств при отсутствии явных неврологических изменений склоняет в пользу диагноза первичной психиатрической патологии, что и произошло с пациентом К. На протяжении длительного времени пациента рассматривали как больного шизофренией, и тактика терапии была направлена на купирование негативной психопатологической симптоматики. Данный диагноз был обоснован нелепостями поведения, изменениями личности, апатией и «эмоциональным огрубением». Вопрос о необходимости пересмотра диагноза, иной интерпретации психопатологии и назначения дополнительных исследований возник позднее и был обусловлен обнаружением семейного анамнеза БАС. Именно это послужило поворотной точкой в диагностическом процессе.
Анализ клинических данных позволяет предположить, что симптомы болезни появились у пациента более чем за 3–4 года до обращения к врачам. Первые признаки поведенческих расстройств проявились в том, что К. стал вести себя крайне легкомысленно — совершил рискованные финансовые операции на большую сумму. При этом он явно некритично относился к этому и в дальнейшем также не признал собственную ошибку. Значительная экзацербация клинических проявлений произошла на фоне COVID-19, когда появились явные признаки, характерные для текущего дементирующего процесса. Клинический дебют заболевания характеризовался отчётливыми психопатологическими проявлениями с преимущественно негативными симптомами (социальная и эмоциональная изоляция, апатия, абулия), а также бредовыми и галлюцинаторными эпизодами.
Негативные психопатологические симптомы, превалировавшие в картине заболевания пациента, часто становятся диагностически неоднозначными и приводят к необходимости дифференцировать шизофрению и повФТД. У части пациентов с ФТД психотические/поведенческие симптомы проявляются до начала снижения когнитивных функций. Это нередко приводит к отсроченности процесса истинной диагностики и неадекватному назначению антипсихотических препаратов. Среди предикторов психотических симптомов в нескольких исследованиях сообщают о роли большего вовлечения определённых анатомических областей, таких как правая лобно-височная доля [18].
Спектр клинических симптомов при повФТД, помимо негативных, включает агрессивное поведение, раздражительность, расторможённость, реже — утрату навыков межличностного общения, социально неприемлемые действия. Бред, галлюцинаторное поведение и подозрительность считаются значительно более редкими вариантами и присутствуют лишь у пятой части пациентов [19, 20]. Есть данные о динамике психических симптомов при прогрессировании заболевания, когда проявления расторможённости и компульсивного поведения редуцируются, а апатия нарастает, что связано с продолженной дегенерацией медиальной лобной коры [21].
Трудности разграничения повФТД и шизофрении, особенно при развитии нейродегенеративного процесса в более молодом возрасте, усугубляются тем, что ни один когнитивный тест чётко не отличает повФТД от первичных психических расстройств [22]. Сопоставление диагностических критериев этих заболеваний показывает, что 41% пациентов с шизофренией соответствовали критериям классификатора для повФТД [23].
По этой причине международным нейропсихиатрическим консорциумом (NIC-FTD) предложены согласованные рекомендации по оценке взрослых с впервые возникшими поведенческими изменениями в среднем и пожилом возрасте, которые могут быть отражением повФТ. Разработан список контрольных вопросов в диагностике повФТД против первичного психического расстройства, а также рекомендации по сбору анамнеза, клиническим тестам, нейропсихологическим и физическим обследованиям, тестам социального познания, нейровизуализации, анализам крови и спинномозговой жидкости, генетическому тестированию [24].
Важными пунктами дифференциации являются следующие позиции, характерные для повФТД: прогрессирование в течение 1–2 лет, патология по данным МРТ и/или позитронно-эмиссионной томографии головного мозга, снижение социального интеллекта (распознавания эмоций, «теория разума»/«понимание чужого сознания», моральные рассуждения и эмпатия), наличие генетической мутации (ген C9orf72), наличие новых биомаркёров — лёгкой цепи нейрофиламентов в сыворотке крови или спинномозговой жидкости [24].
Современные международные критерии повФТД предполагают диагноз возможной, вероятной и достоверной повФТД [25]. Диагноз возможной повФТД требует наличия трёх из шести критериев: расторможённость, апатия или инертность, потеря симпатии или эмпатии, персеверации/стереотипии/компульсии, гипероральность и диетические изменения, наличие исполнительного дефицита с относительной сохранностью памяти и зрительно- пространственных функций.
У наблюдаемого нами больного было выявлено четыре из перечисленных выше признака: апатия, потеря эмпатии, компульсии в виде потирания рук, исполнительная дисфункция. Диагноз вероятной повФТД дополняется симптомами прогрессирующего ухудшения поведения/когнитивных функций и МРТ-признаками атрофии коры лобно-височного региона [25]. В этой связи существуют различные представления о чувствительности и специфичности клинических критериев диагностики вероятной повФТД. Одни авторы предполагают высокую специфичность (99%) [26] и чувствительность (85%) [27]. Другие определяют критерии как имеющие «приемлемую чувствительность» (76%) и неясную специфичность. На более поздних стадиях повФТД возможна редукция симптомов расторможённости и компульсивного поведения, но возрастание апатии, что, как считается, отражает дальнейшую дегенерацию коры [21]. Характерна сохранность памяти и зрительно-пространственных функций. Ложное впечатление о нарушении памяти в некоторых случаях может быть обусловлено дисфункцией лобных долей, связанными с этим персеверациями и нарушением внимания [21].
Также для ранних стадий повФТД характерна относительная сохранность исполнительных функций, которые расстраиваются по мере прогрессирования дегенерации дорсолатеральной префронтальной коры [28, 29]. Диссоциация поведенческих и когнитивных симптомов на ранних стадиях повФТД создаёт значительные сложности разграничения с первичными психическими заболеваниями. Традиционная скрининговая диагностика с применением шкал МоСА и MMSE (от англ. Mini-Mental State Examination — краткая шкала оценки психического статуса) при подозрении на повФТД оказывается малоинформативной, а наличие апатии может вносит значительные погрешности в результаты тестирования. Существующие клинические критерии повФТД позволяют в большинстве случаев с высокой вероятностью отграничить этот вариант деменции от болезни Альцгеймера. В то же время обеспечение надёжной дифференциации с их помощью от первичной психической патологии сомнительно [30]. Однако следует заметить, что на ранних стадиях заболевания признаки атрофии вещества мозга по данным МРТ могут отсутствовать [31].
Диагноз достоверной повФТД установлен у пациента на основании совокупных клинико-нейровизуализационных критериев и выявления известной генетической аномалии — C9orf72. Расширение повторов C9ORF72 объясняет почти 50% семейных и 30% всех лобно-височных долевых дегенераций. Недавнее обширное генетическое исследование подтверждённой повФТД продемонстрировало преобладание в данной группе мужчин — 61% [5].
Аномалия гена C9orf72 определяет также и развитие БАС, выявляемого примерно в 15% случаев при повФТД [32], или комбинации повФТД и БАС. Пациенты с повФТД в сочетании с БАС, скорее всего, имеют наследственное заболевание. В описанном случае клиническое распределение было различным в семейной истории: не обнаружено признаков БАС у пациента К. с повФТД, но у его матери диагностирован БАС без признаков повФТД, как минимум, на раннем этапе болезни, а также, возможно, БАС был у тёти и деда больного по линии матери.
Таким образом, представленное клиническое наблюдение служит типичным примером диагностической ошибки, обусловленной использованием психопатологических и поведенческих симптомов как опорных пунктов диагностики. Настораживающими «знаками» у пациентов с психической патологией в отношении наличия повФТД могут быть поздний (относительно первичной психопатологии) возраст манифестации заболевания, сравнительно более высокая скорость прогрессирования симптоматики, наличие положительного семейного анамнеза деменции или БАС. Эти пункты становятся определяющими для проведения генетического тестирования на C9orf72. Выявление ключевых мутаций является требованием диагноза достоверной повФТД и определяет необходимость использования метода генотипирования в широкой клинической практике во избежание диагностических ошибок.
ДОПОЛНИТЕЛЬНАЯ ИНФОРМАЦИЯ
Источник финансирования. Автор заявляет об отсутствии внешнего финансирования при написании статьи.
Конфликт интересов. Автор декларирует отсутствие явных и потенциальных конфликтов интересов, связанных с публикацией настоящей статьи.
ADDITIONAL INFORMATION
Funding source. This article was not supported by any external sources of funding.
Competing interests. The author declares that they have no competing interests.
Об авторах
Елена Геннадьевна Менделевич
Казанский государственный медицинский университет
Автор, ответственный за переписку.
Email: emendel@mail.ru
ORCID iD: 0000-0002-6829-7942
SPIN-код: 5970-6926
д-р мед. наук, профессор, профессор кафедры
Россия, КазаньСписок литературы
- Neumann M., MacKenzie I. Review: Neuropathology of non-tau frontotemporal lobar degeneration // Neuropathol. Appl. Neurobiol. 2019. Vol. 45. Р. 19–40. doi: 10.1111/nan.12526
- Caporozzo R., Sassi C., Hammer M. et al. Clinical and genetic analyses of familial and sporadic frontotemporal dementia patients in Southern Italy // Alzheimers Dement. 2017. Vol. 13. N. 8. Р. 858–869. doi: 10.1016/j.jalz.2017.01.011
- Wood E., Falcone D., Suh E. et al. Development and validation of pedigree classification criteria for frontotemporal lobar degeneration // JAMA Neurol. 2013. Vol. 70. Р. 1411–1417.
- Fostinelli S., Ciani M., Zanardini R. et al. The heritability of frontotemporal lobar degeneration: Validation of pedigree classification criteria in a Northern Italy cohort // J. Alzheimers Dis. 2018. Vol. 61. Р. 753–760. doi: 10.3233/JAD-170661
- Wagner M., Lorenz G., Volk A. et al. Clinico-genetic findings in 509 frontotemporal dementia patients // Molecular Psychiatry. 2021. Vol. 26. Р. 5824–5832. doi: 10.1038/s41380-021-01271-2
- Ciani M., Bonvicini C., Scassellati C. et.al. The missing heritability of sporadic frontotemporal dementia: New insights from rare variants in neurodegenerative candidate genes // Int. J. Mol. Sci. 2019. Vol. 20. N. 16. Р. 3903. doi: 10.3390/ijms20163903
- Origone P., Geroldi A., Lamp M. et al. Role of MAPT in pure motor neuron disease: Report of a recurrent mutation in Italian patients // Neurodegener. Dis. 2018. Vol. 18. Р. 310–314. doi: 10.1159/000497820
- Maeda S., Sato Y., Takashima A. Frontotemporal dementia with Parkinsonism linked to chromosome-17 mutations enhance tau oligomer formation // Neurobiol. Aging. 2018. Vol. 69. Р. 26–32. doi: 10.1111/j.1750-3639.1998.tb00162.x
- Le Ber I., van der Zee J., Hannequin D. et al. Progranulin null mutations in both sporadic and familial frontotemporal dementia // Hum. Mutat. 2007. Vol. 9. Р. 846–855. doi: 10.1002/humu.20520
- Benussi L., Binetti G., Sina E. et al. A novel deletion in progranulin gene is associated with FTDP-17 and CBS // Neurobiol. Aging. 2008. Vol. 29. Р. 427–435. doi: 10.1016/j.neurobiolaging.2006.10.028
- Marogianni C., Rikos D., Provatas A. et al. The role of C9orf72 in neurodegenerative disorders: A systematic review, an updated meta-analysis, and the creation of an online database // Neurobiol. Aging. 2019. Vol. 24. Р. 238.e25–238.e34. doi: 10.1016/j.neurobiolaging.2019.04.012
- Gorno-Tempini M., Hillis A., Weintraub S. et al. Classification of primary progressive aphasia and its variants // Neurology. 2011. Vol. 76. Р. 1006–1014. doi: 10.1212/WNL.0b013e31821103e6
- Lee S. Frontotemporal dementia: Clinical features and diagnosis. https://www.uptodate.com/contents/frontotemporal-dementia-clinical-features-and-diagnosis/print 1/29 (access date: 07.01.2024).
- Ducharme S., Dols A., Laforce R. et al. Recommendations to distinguish behavioural variant frontotemporal dementia from psychiatric disorders // Brain. 2020. Vol. 143. N. 6. Р. 1632–1650. doi: 10.1093/brain/awaa018
- Galimberti D., Dell'Osso B., Altamura A. et al. Psychiatric symptoms in frontotemporal dementia: Epidemiology, phenotypes, and differential diagnosis // Biol. Psychiatry. 2015. Vol. 5. N. 78 (10). Р. 684–692. doi: 10.1016/j.biopsych.2015.03.028
- Nathani M., Jaleel V., Turner A. et al. When you hear hoofbeats, think horses and zebras: The importance of a wide differential when it comes to frontotemporal lobar egeneration // Asian J. Psychiatr. 2020. Vol. 47. Р. 101875. doi: 10.1016/j.ajp.2019.101875
- Reischle E., Sturm K., Schuierer G., Ibach B. A case of schizophreniform disorder in frontotemporal dementia (FTD) // Psychiatr. Prax. 2003. Vol. 30. N. 2. Р. 78–82.
- Shanker S., Mukku R., Jagtap N. et al. Psychotic symptoms in frontotemporal dementia with right frontotemporal atrophy // Asian J. Psychiatr. 2020. Vol. 52. Р. 102040. doi: 0.1016/j.ajp.2020.102040.
- Gossink F., Vijverberg E., Krudop W. et al. Psychosis in behavioral variant frontotemporal dementia // Neuropsychiatr. Dis. Treat. 2017. Vol. 13. Р. 1099–1106. doi: 10.2147/NDT.S127863
- Schwertner E., Pereira J., Xu H. et al. Behavioral and psychological symptoms of dementia in different dementia disorders: A large-scale study of 10,000 individuals // J. Alzheimers Dis. 2022. Vol. 87. N. 3. Р. 1307–1318. doi: 10.3233/JAD-215198
- Rosen H., Allison S., Schauer G. et al. Neuroanatomical correlates of behavioural disorders in dementia // Brain. 2005. Vol. 128. Р. 2612 // Journal of Alzheimer's Disease. doi: 10.1093/brain/awh628
- Ducharme S., Pearl-Dowler L., Gossink F. et al. The frontotemporal dementia versus primary psychiatric disorder (FTD versus PPD) checklist: A bedside clinical tool to identify behavioral variant FTD in patients with late-onset behavioral changes // Journal of Alzheimer’s disease: JAD. 2019. Vol. 67. Р. 113–124. doi: 10.3233/JAD-180839
- Koutsouleris N., Pantelis C., Velakoulis D. et al. Exploring links between psychosis and frontotemporal dementia using multimodal machine learning dementia praecox revisited // JAMA Psychiatry. 2022. Vol. 79. N. 9. P. 907–919. doi: 10.1001/jamapsychiatry.2022.2075
- Pressman P., Matlock D., Ducharme S. Distinguishing behavioral variant frontotemporal dementia from primary psychiatric disorders: A review of recently published consensus recommendations from the neuropsychiatric international consortium for frontotemporal dementia // J. Neuropsychiatry Clin. Neurosci. 2021. Vol. 33. N. 2. P. 152–156. doi: 10.1176/appi.neuropsych.20090238
- Rascovsky K., Grossman M. Clinical diagnostic criteria and classification controversies in frontotemporal lobar degeneration // Int. Rev. Psychiatry. 2013. Vol. 25. N. 2. Р. 145–158. doi: 10.3109/09540261.2013.763341
- Knopman D., Boeve B., Parisi J. et al. Antemortem diagnosis of frontotemporal lobar degeneration // Ann. Neurol. 2005. Vol. 57. Р. 480. doi: 10.1002/ana.20425.
- Rascovsky K., Hodges J., Knopman D. et al. Sensitivity of revised diagnostic criteria for the behavioural variant of frontotemporal dementia // Brain. 2011. Vol. 134. Р. 2456. doi: 10.1093/brain/awr179
- Hornberger M., Piguet O., Graham J. et al. How preserved is episodic memory in behavioral variant frontotemporal dementia? // Neurology. 2010. Vol. 74. Р. 472. doi: 10.1212/WNL.0b013e3181cef85d
- Devenney E., Bartley L., Hoon C. et al. Progression in behavioral variant frontotemporal dementia: A longitudinal study // JAMA Neurol. 2015. Vol. 72. Р. 1501. doi: 10.1001/jamaneurol.2015.2061
- Krudop W., Dols A., Kerssens C. et al. The pitfall of behavioral variant frontotemporal dementia mimics despite multidisciplinary application of the FTDC criteria // Journal of Alzheimer’s disease: JAD. 2017. Vol. 60. P. 959–975. doi: 10.3233/JAD-170608.
- Piguet O., Hornberger M., Mioshi E., Hodges J. Behavioural-variant frontotemporal dementia: Diagnosis, clinical staging, and management // Lancet Neurol. 2011. Vol. 10. P. 162. doi: 10.1016/S1474-4422(10)70299-4
- Ji A., Zhang X., Chen W., Huang W. Genetics insight into the amyotrophic lateral sclerosis/frontotemporal dementia spectrum // J. Med. Genet. 2017. Vol. 54 . P. 145–54. doi: 10.1136/jmedgenet-2016-104271
Дополнительные файлы




