To uchebіyu about the internal detachable activity of the thyroid gland under normal and some pathological conditions
- Authors: Osokin N.E.1
-
Affiliations:
- Nikolaevsky University
- Issue: Vol XXII, No 3-4 (1915)
- Pages: 355-401
- Section: Articles
- Submitted: 21.08.2021
- Accepted: 21.08.2021
- Published: 03.03.1915
- URL: https://journals.eco-vector.com/1027-4898/article/view/78669
- DOI: https://doi.org/10.17816/nb78669
- ID: 78669
Cite item
Full Text
Abstract
Despite the fact that the thyroid gland was described by Wharton back in 1664, its biological role for the animal organism became clear only in the second half of the past century. Until that time, the most diverse representations existed about the significance of this organ.
Keywords
Full Text
Не смотря на то, что щитовидная железа была описана Wharton’омъ еще въ 1664 г., біологическая роль ея для животнаго организма выяснилась лишь во второй половинѣ прошлаго столѣтія. До этого времени о значеніи этого органа существовали самыя разнообразныя представленія. То ей приписывалась защитительная роль отъ простуды расположенныхъ подъ ней органовъ шеи, то высказывалось предположеніе объ отношеніи щитовидной железы къ образованію голоса (Lalouette, Erdl, Merckel); разсматривалась она и какъ опора гортани или просто какъ образованіе, служащащее для того только, чтобы придавать шеѣ красивую округлость (Wharton). Изъ всѣхъ теорій того времени наибольшее право на вниманіе имѣетъ такъ называемая регуляторная теорія, впервые предложенная Schreger'oмъ въ концѣ 18-го столѣтія и находящая послѣдователей до послѣдняго времени. Schreyer, указывая на занимаемое железою положеніе между сердцемъ и мозгомъ, съ одной стороны, и на мощные кровеносные сосуды ея, съ другой, сдѣлалъ предположеніе, что назначеніе этой железы состоитъ въ регулированіи кровообращенія мозга, а именно въ предохраненіи мозга отъ излишняго напора крови. Позднѣе эту теорію принимали также Simon, Liebermeister, Meuli, Riсои, Gyon. Waldeyer, а въ новѣйшее время ее высказывалъ Е. Сyоn, который наряду съ секреторной функціей железы приписывалъ ей значеніе защитнаго приспособленія (Schutzvorrichtung) для мозга противъ сильнаго переполненія его кровью.
Тѣсная связь, въ которой находится железа съ большими сосудами, несущими кровь къ мозгу, значительно развитая сѣть сосудовъ въ самой железѣ, дѣлающая ее исключительной, согласно изслѣдованіямъ проф. И. А. Чуевскаго, по кровоснабженію,—все это говоритъ въ пользу разсматриваемой теоріи, но нельзя не признать и силу возраженій, которыя высказываетъ Ewald , что для регуляціи въ распредѣленіи крови по отдѣльнымъ областямъ организмъ обладаетъ достаточными средствами въ видѣ вліянія центральной системы, почему, возможное, незначительное участіе въ немъ щитовидной железы представляется излишнимъ. Общепринятая въ настоящее время секреторная теорія щитовидной железы ведетъ свое начало съ 18-го столѣтія. Впервые она была выражена Моrgаgnі, который предполагалъ, что щитовидная железа выдѣляетъ бѣлковое вещество, по эта теорія затѣмъ была забыта. Та же участь постигла и первую экспериментальную работу Schiff’а, который еще въ 1856-1859 г. сдѣлалъ важное наблюденіе, что полное удаленіе у собакъ щитовидной железы ведетъ къ очень тяжелымъ разстройствамъ (отъ хронической кахексіи до общихъ судорогъ—включительно), оканчивающимся смертью. Толчкомъ, побудившимъ изслѣдователей вновь обратиться къ изученію функціи и значенія щитовидной железы, несомнѣнно были появившіяся въ 1873 г. работы англiйскаго врача Gull'я, а затѣмъ Ord’a и Charoct, давшихъ описанія тяжелой картины болѣзни, которая была названа микседемой и которая, какъ показали аутопсіи, должна была быть поставлена въ зависимость отъ выпаденія функціи щитовидной железы вслѣдствіе исчезновенія специфической ткани въ ней. Еще болѣе вѣское доказательство того, что щитовидная железа является органомъ—важнымъ для жизни, представали наблюденія швейцарскихъ хируговъ I. и. А. Revcrdin и Kocher’a о развивающихся иногда роковыхъ послѣдствіяхъ при экстирпаціи зоба. Болѣзненному состоянію, развивающемуся въ такихъ случаяхъ въ виду его сходства съ миксэдемой I. и А. Reverdin дали названіе Myxoedeme opératoire, а Кocher ту же картину болѣзни назвалъ Cachexia strumipriva, замѣнивъ позднѣе это названіе другимъ—Cachexia thyreopriva, такъ какъ сущность страданія заключается не въ послѣдствіяхъ удаленіи зобной ткани, а въ удаленіи, вмѣстѣ съ нею, здоровой и способной къ функціонированію части щитовидной железы. Въ дальнѣйшемъ область патологіи щитовидной железы быстро расширилась. Къ нарушеніямъ функціи щитовидной железы былъ отнесенъ еще цѣлый рядъ болѣзненныхъ формъ, какъ то: Базедова болѣзнь (Môbius), спорадическій и эндемическій кретинизмъ (Th. Кocher), ожирѣніе, зобное сердце (Кraus, Minnich), прогрессивный тиреотоксическій поліартритъ (академ. Вельяминовъ, Levi и Rotschild), мигрень (Goett, Franz, Gordon), міастенія (d’ Abunds, Meyerstein), отчасти эпилепсія (Paris, Claude, Schmiergeld, Imsehanitzky Ries, Bolten), наслѣдственно-дегенеративныя заболѣванія центральной нервной системы (Rothmann), Dementia рrаесох (Муратовъ) Parhon et Urechia), нѣкоторые виды меланхолическихъ и маніакальныхъ состояній (Parhon, Stransky, Marbé, Antheaumê, LaignelLavasline), склеродермія (Alguier и Touschard, Jeanselme, Singer, Hektoen, Hascoreck, Kornfeld, Krömer, Cassirer) и др. Отсюда понятно, почему, можетъ бытъ, ни одинъ другой органъ не привлекаетъ къ себѣ большаго вниманія, чѣмъ щитовидная железа. Размѣръ настоящей статьи не позволяетъ мнѣ всесторонне разсмотрѣть накопившійся въ литературѣ матеріалъ о функція щитовидной железы, а потому я остановлюсь лишь на работахъ тѣхъ авторовъ, которые, подобно мнѣ, касаются морфологическихъ признаковъ секреторной дѣятельности щитовидной железы.
Съ описаніемъ микроскопическаго строенія щитовидной желозы мы впервые встрѣчаемся въ работѣ у Lalouetteaотносящейся къ 1720 г., который представлялъ ее какъ образованіе, состоящее изъ пузырьковъ, отдѣленныхъ другъ отъ друга тонкой мембраной и наполненныхъ вязкой, тягучей жидкостью. Позднѣе структура ея была изучена болѣе подробно Panagiotides, Перемежко, Poincaré, Baber’омъ, Frеу'емъ, Zeiss'омъ. Всѣ наиболѣе существенныя данныя, полученныя названными изслѣдователями, формулированы въ капитальномъ трудѣ Wölfler'a посвященномъ главнымъ образомъ сравнительной гистологіи и исторіи развитія щитовидной железы у различныхъ животныхъ (теленка, свиньи, собаки, кошки, кролика). Нормальная, законченная въ своемъ развитіи железа, состоитъ изъ замкнутыхъ железистыхъ пузырьковъ, окруженныхъ густою сѣтью капилляровъ и снабженныхъ соединительно тканной оболоч кой, которая отдѣляетъ прилегающіе другъ къ другу пузырьки. 2—3 железистыхъ пузырька образуютъ дольку, питаемую одною общею сосудистою вѣтвью. Форма железистыхъ пузырьковъ зависитъ отъ вида железистыхъ образованій, изъ которыхъ она состоитъ; чѣмъ дальше идетъ секреція, тѣмъ больше они приближаются къ шаровидной формѣ. При развитія секреціи въ вытянутыхъ железистыхъ образованіахъ образуются длинныя полыя трубки, несообщающіяся, или системы каналовъ, если секреція наступала въ развѣтвленныхъ железистыхъ образованіяхъ. Эпителіальныя клѣтки своими периферическими концами прилегаютъ плотно къ стѣнкѣ капилляра, такъ что граница между клѣтками и тонкой капиллярной стѣнкой представляется от видѣ одной свѣтопреломляющей линіи. Тамъ, гдѣ эѣтъ сосудовъ, границы клѣтокъ образуются тонкими соединительно тканными пучками, окружающими ихъ въ видѣ нѣжныхъ петель.
Такъ какъ величина железистыхъ пузырьковъ, высота эпителіальныхъ клѣтокъ и ширина кровеносныхъ сосудовъ чрезвычайно колеблятся и они но мнѣнію автора не имѣютъ никакого значенія.
Дальнѣйшія изслѣдованія по данному вопросу, представляющія большой интересъ съ точки зрѣнія микрофизіологіи щитовидной железы, принадлежитъ Biondi и Langenderffу. Biondi изслѣдовалъ щитовидную железу у амфибій, птицъ и млекопитающихъ. У всѣхъ этихъ животныхъ железа — ацинознаго строенія съ богато развитой соединительной тканью, въ которой располагаются кровеносные, лимфатическіе сосуды и нервы. Каждый железистый пузырекъ замкнутъ и не сообщается съ другими. Содержимое пузырьковъ гомогеннаго характера представляетъ собою продуктъ клѣточной дѣятельности, такъ какъ таже субстанція содержится въ видѣ небольшихъ шариковъ въ протоплазмѣ эпителіальныхъ пузырьковъ. Опорожненіе содержащагося въ нихъ коллоида происходитъ въ лимфатическіе сосуды путемъ разрыва стѣнки, предварительно атрофированной отъ сильнаго давленія скопившагося секрета въ фолликулахъ.
Langendorff въ эпитиліи щитовидной железы, по аналогіи съ клѣтками пищеварительныхъ железъ различаетъ два вида; славныя и коллоидныя клѣтки. Послѣднія при окрашиваніи по Ehrlich-Biondi принимаютъ интесивную окраску отъ тѣхъ красящихъ веществъ, которыя окрашиваютъ также и коллоидъ. Относительно способа опорожненія фолликуловъ Langendorff принимаетъ гипотезу Biondi,—разрывъ фолликуловъ обусловливается измѣненіемъ эпителія „Schmelzug des Epithels“. — Въ основѣ этого измѣненія лежитъ своеобразная дегенерація клѣтки, связанная съ гибелью ядра и коллоиднымъ превращеніемъ протоплазмы.
Вопросъ о секреторной дѣятельности въ щитовидной железѣ неоднократно поднимался и въ патолого-анатомической литературѣ. Въ своей работѣ „Die Krankhaften Geschwülsten“. 3 Bd. Virchow пришелъ къ выводу, что продукты секреціи щитовидной железы являются въ видѣ свѣтлой жидкости и только уже вторично изъ нея выдѣляются капли коллоида постепенно сливающіяся и заполняющія весь фолликулъ.
Другія же изслѣдователи предполагаютъ интрацеллюлярное образованіе коллоида, смотря на него частью какъ на секреторный, а частью какъ на дегенеративный процессъ.
Gutknecht, изслѣдовавшій струмозныя щитовидныя железы человѣка, не могъ подтвердить только что приведеннаго мнѣнія Virchow’a. Внутри эпителіальныхъ клѣтокъ онъ находилъ гіалиновыя, шарообразныя образованія, по своимъ микро-химическимь реакціямъ похожія на коллоидъ. На препаратахъ встрѣчались цѣлыя группы клѣтокъ, нѣсколько вздутыхъ съ ясно очерченнымъ ядромъ, но протоплазмой свѣтлой, гомогенной и сильно блестящей. Мѣстами такое измѣненіе протерпѣваетъ лишь часть клѣтокъ. Коллоидные шары можно видѣть въ просвѣтѣ фолликуловъ. Все это говоритъ за то, что описанныя коллоидныя образованія представляютъ собою продуктъ жизнедѣятельности самихъ клѣточныхъ элементовъ органа.
Langhans, давая картину микроскопическаго строенія струмы, отмѣчаетъ въ капсулѣ струмозныхъ узловъ наличность лимфатическихъ сосудовъ и венъ съ коллоиднымъ содержимымь.
Reinbach при изслѣдованіи зобовъ часто находилъ много фолликуловъ, содержимое которыхъ прядставлялось зернистаго характера. Авторъ разсматриваетъ эту зернистость, какъ одну изъ фазъ въ развитіи гомогеннаго коллоида. Эта зернистость, внутриклѣточнаго происхожденія, находима была авторомъ въ тѣлѣ размножившихся эпителіальныхъ клѣтокъ. По Reinbach’y такое развитіе коллоида наиболѣе часто, но наряду съ нимъ ему приходилось наблюдать готовыя коллоидные капли внутри эпителіальныхъ клѣтокъ.
Zielinska изучала большой матеріалъ, собранный ею въ Бернѣ, состоявшій изъ нормальныхъ и патологически измѣненныхъ щитовидныхъ железъ и констатировала большое разнообразіе въ содержаніи коллоида, которое, по ея мнѣнію, не стояло въ зависимости отъ возраста, но было замѣчено, что тамъ, гдѣ фолликулы содержали коллоидъ въ большомъ количествѣ, въ тѣхъ же случаяхъ увеличеннымъ было его количество и въ лимфатическихъ сосудахъ. Встрѣчавшійся коллоидъ былъ двухъ видовъ: отъ эозина слабо воспринимающій окраску и сильно окрашиваемый. Однако, строгаго соотвѣтствія въ содержаніи коллоида въ фолликулахъ и лимфатическихъ сосудахъ нельзя было установитъ. Способъ поступленія коллоида изъ железистыхъ пузырьковъ въ лимфатическія пути автору неудалось выяснить, но она могла убѣдиться, что коллоидъ находился не только въ интратиреоидальныхъ лимфатическихъ сосудахъ, но и въ лимфатическихъ сосудахъ окружающей ткани, на нѣкоторомъ разстояніи за предѣлами органа.
Вопросъ объ измѣненіяхъ щитовидной железы у кретиновъ послужилъ темой для изслѣдованій Hanau и de Coulon'a . Измѣненія, нараду съ частичнымъ развитіемъ струмозныхъ узловъ, имѣютъ атрофическій и дегенеративный характеръ, ведущія къ полному исчезновенію эпителіальной ткани. Не вполнѣ атрофированные участки представляются слабо функціонирующими, за что говорить уменьшеніе размѣровъ фолликуловъ, пораженіе эпителія и отсутствіе коллойда въ лимфатическихъ путяхъ. Долекъ вполнѣ нормальнаго типа съ фолликулами, наполненными коллоидомъ почти, не встрѣчается. Преобладаетъ блестящій коллоидъ, который въ силу своей консистенціи труднѣе переводится въ лимфатическіе сосуды. Эпителій въ болѣе крупяныхъ фолликулахъ имѣетъ кубическую форму съ сильно измѣненнымъ ядромъ, а въ мелкихъ пузырькахь принимаетъ плоскій типъ. Въ венахъ открываются небольшія количества коллоида. Также коллоидоподобныя массы обнаружены были въ лимфатическихъ сосудахъ.
Картины измѣненій щитовидной железы при Бадезовой болѣзни представлены въ трудахъ Farner’a, Haemig'a, Askanazy Ehrlich’a, а описывающихъ структурныя измѣненія и разростаніе эпителіальныхъ клѣтокъ, стромы и сопровождающіяся одновременнымъ измѣненіемъ коллоида. Langhans слѣдующимъ образомъ характеризуетъ гистологическую картину. Наблюдается въ большинствѣ случаевъ значительно выраженное новообразованіе фолликуловъ, безпорядочное разращеніе эпитилія, очень часто количественное или качественное измѣненіе коллоида. Среди эпителіальныхъ клѣтокъ, представляющихъ различныя степени измѣненій, внѣ всякаго сомнѣнія, встрѣчаются дегенеративныя формы. Въ виду преобладанія измѣненій пролифераціоннаго характера, авторъ находитъ, что базедовическій зобъ заслуживаетъ названія der wuchernden Struma. Въ позднѣйшее время главнымъ представителемъ ученія, что Бадезову болѣзнь можно идентифицировать съ гипертиреоидизмомъ, является Albert Kecker. По его мнѣнію, плотный коллоидъ, содержащійся внутри фолликуловъ въ нормальной железѣ, является еще незаконченной формой внутренней секреціи и не можетъ всасываться. Для того, чтобы получить возможность циркулировать по организму, онъ долженъ перейти въ растворенномъ состояніи черезъ фолликулярныя клѣтки въ лимфатическіе сосуды. При физіологическихъ условіяхъ этотъ процессъ совершается медленно, причемъ постоянно извѣстное количество коллоида удерживается въ фолликулѣ. Въ Базедовическихъ щитовидныхъ железахъ наблюдается разжиженіе фолликулярнаго содержимаго и усиленное его всасываніе. Фолликулярный эпителій атипически разростается, вдаваясь мѣстами своими сосочковыми разращеніями внутрь пузырьковъ.
Lobenhoffer изучалъ процессъ секреціи въ струмозной щитовидной железѣ, пользуясь окраской Altmann Schridde. Обнаруживаемыя при этомъ методѣ ацидофильныя зернышки, окрашиваемыя интенсивно въ красный цвѣтъ, располагаются въ периферическихъ частяхъ эпителіальныхъ клѣтокъ. При осторожной обработкѣ удавалось находить подобныя зернышки и въ краевыхъ слояхъ коллоида внутри фолликула, гдѣ они окрашивались лишь нѣсколько блѣднѣе. Подобныя и зернышками въ значительной степени представлялось выполненнымъ и интерфолликулярный эпителій. Описываемыя гранули авторъ принимаетъ за компонентъ коллоида. Собственно же коллоидное вещество въ законченномъ видѣ почти всегда гомогенно и окрашивается въ блѣднорозовой цвѣтъ.
Наблюденія, еще немногочисленным, щитовидной железы при разныхъ болѣзненныхъ состояніяхъ показали, что она подобно другимъ органамъ подвергается цѣлому ряду измѣненій, которыя, смотря по роду заболѣванія, бываютъ выражены то болѣе, то менѣе рѣзко. Начало такого рода изслѣдованій, положено было русскимъ авторомъ—Соколовымъ. Во всѣхъ случаяхъ заболѣваній этогь авторъ наблюдалъ жировое перерожденіе эпителія фолликул въ, десквамацію эпителія, при чемъ послѣдняя въ большинствѣ шла параллельно съ жировымъ перерожденіемъ. Кромѣ того вь эпителіи наблюдались паренхиматозное и бѣлковое перерожденія. Степень интенсивности жирового перерожденія была различна, смотря по роду болѣзни. При изслѣдованіи хроническихъ заболѣваній также было найдено жировое перерожденіе, но въ меншей степени, чѣмъ при острыхъ заболѣваніяхъ.
Roger и Garnier—первые обратили вниманіе на измѣненіе межуточной соединительной ткани въ щитовидной железѣ при туберкулезѣ. Эти авторы показали, что при туберкулезѣ часто происходитъ склерозированіе межуточной ткани, собственно же железистая ткань въ однихъ мѣстахъ обнаруживаетъ усиленную дѣятельность съ новообразованіемъ фолликуловъ и солидныхъ клѣточныхъ группъ, въ другихъ мѣстахъ паренхима железы гибнетъ между тяжаме в соединительной ткани. Начальнымъ пунктомъ для развитія склероза слу жатъ обыкновенно стѣнки артеріальныхъ сосудовъ. Въ томъ, же году названные авторы сообщили результаты изслѣдованія о вліяніи тифозныхъ бациллъ на щитовидную железу. При введеніи бациллъ въ железы черезъ щитовидную артерію, железа представлялась сильно наполненной кровью. При болѣе детальномъ разсмотрѣніи обнаруживалась расширеніе капилляровъ, эндоартеріитъ, слущиваніе эндотелія, утолщеніе интимы, мѣстами тромбы и геморрагіи, фолликулярный эпителій частью слущенъ, съ неясными границам в отдѣльныхъ клѣтокъ. Ядра блѣдны и содержали вакуоли. При введеніи небольшого количество бациллъ и при болѣе продолжительной жизни животныхъ замѣтно выступало утолщеніе соединительной ткана. Железистые пузырьки, залегающіе въ склезированной ткани, частью совсѣмъ нормальны, другаи часть выполнена пролиферирующимъ эпителіемъ и наконецъ 3-я часть находилась въ стадіи обратнаго развитія. Со стороны сосудовъ железы было найдено утолшеніе сосудистыхъ стѣнокъ болѣе сильное, чѣмъ при острыхъ заболѣваніяхъ, суженіе или даже закупорка артерій и въ легкой степени періартеріитъ. Далѣе авторы изслѣдовали щитовидную железу людей, умершихъ отъ различныхъ инфекціонныхъ заболѣваній и пришли къ выводу, что щитовидная железа при нихъ подвергается характернымъ измѣненіямъ. Уже микроскопически отмѣчается увеличеніе ихъ и болѣе или менѣе значительное красноватое окрашиваніе. Микроскопическія измѣненія состояли въ расширеніи лимфатическихъ сосудовъ и щелей, въ наполненіи ихъ коллоидомъ, въ значительномъ кровенаполненіи. Фолликулы уменьшены въ своихъ размѣрахъ, многіе совсѣмъ безъ коллоиднаго содержимаго и выполнены свободно лощащими въ нихъ эпителіальными клѣтками; вообще росположеніе клѣтокъ въ железистыхъ пузырькахъ очень неправильное. Въ другихъ пузырькахъ замѣтно измѣненіе коллоида по отношенію къ окрашиванію обычными красками. На основаніи такихъ патологоанатомическихъ находокъ авторы допускаютъ, что щитовидная железа при инфекціонныхъ заболѣваніяхъ сначала обнаруживаетъ гиперсекрецію, затѣмъ происходитъ измѣненіе сецернируемаго матеріала и наконецъ при дальнѣйшемъ дѣйствіи инфекціоннаго агента наступаетъ прекращеніе секреторнаго процесса. Правильность своихъ заключеній Roger и Garnier пытаются доказать экспериментально, путемъ усиленія дѣятельности щитовидной железы инъекціями въ ткань железы пилокарпина и культуръ различныхъ бактерій.
Tоrri на основаніи изслѣдованія трупнаго матеріала и соотвѣтствующихъ экспериментовъ по данному вопросу пришелъ къ слѣдующимъ выводамъ: какъ при острыхъ, такъ и при хроническихъ инфекціонныхъ заболѣваніяхъ наблюдается гиперсекреція коллоида, при чемъ коллоидное вещество не теряетъ обычныхъ своихъ свойствъ. Измѣненія сводятся къ усиленному образованію железистой ткани и разростанію фолликулярнаго эпителія. Уменьшенія или превращенія секреторной дѣятельности железы, вопреки предположеніемъ Roger и Garnier, Torriне наблюдалъ. Kachiwamura, провѣряя данныя Roger и Garnier, Torri, изслѣдовалъ 55 железъ, изъ которыхъ 38 железъ получены отъ страдавшихъ инфекціонными болѣзнями, остальные 7 случаевъ изслѣдованы для сравненія. Гистологическая картина во всѣхъ изслѣдованныхъ авторомъ случаяхъ была очень разнообразна и какихъ либо специфическихъ измѣненій для острыхъ инфекціонныхъ заболѣваній онъ подмѣтить не могъ.
De Quervain изслѣдовалъ значительный трупный матеріалъ, обнимающій 50 случаевъ различныхъ заболѣваній. Авторъ подтверждаетъ положеніе, что острыя инфекціонныя заболѣванія производятъ на щитовидную железу дѣйствіе, заключавшееся въ гипереміи, исчезаніи коллоида и усиленной десквамаціи эпителія. При провѣркѣ экспериментальнымъ путемъ, впрыскивая въ железу культуры или токсины гноеродныхъ микроорганизмовъ, авторъ получилъ данныя, тождественныя съ результатами изслѣдованія секціоннаго матеріала. Вопреки мнѣнію Roger и Garnier, Torri авторъ не рѣшается свои патологоанатомическія находки признять какъ выраженіе измѣненій въ секреторной функціи щитовидной железы, въ виду значительныхъ пробѣловъ въ нашихъ знаніяхъ о нормальной секреціи этого органа.
Sarbаch, продолжая изслѣдованія de Quervain'а, подтвердилъ выводы послѣдняго относительно характера измѣненій, наблюдаемыхъ въ щитовидной железѣ подъ вліяніемъ острыхъ инфекціонныхъ заболѣваній. Измѣненія сводились къ гипереміи, разжиженію и исчезновенію коллоида, а также усиленной десквамаціи эпителіальныхъ клѣтокъ. Разжиженіе коллоида выражается появленіемъ большого количества вакуоль. Обусловливается ли оно пониженіемъ секреціи или повышеннымъ оттокомъ, по мнѣнію автора, рѣшить не представляется возможнымъ. Соединительная ткань при острыхъ инфекціяхъ не подвергается измѣненіямъ. Хроническій алкоголизмъ ведетъ къ подобнымъ же гистологическимъ измѣненіямъ, какъ и при острыхъ инфекціяхъ. Хроническій легочный туберкулезъ чаще, чѣмъ другія заболѣванія обусловливаетъ усиленное разрастаніе соединительной ткани а постепенное исчезновеніе фолликуловъ. Хроническій нефритъ, уремія, раковая кахексія и саркома не сопровождаются измѣненіями въ щитовидной железѣ:
Милевскій на основаніи собственныхъ изслѣдованій пришелъ къ выводу, что щитовидная железа при острыхъ инфекціонныхъ заболѣваніяхъ подвергается цѣлому ряду измѣненій. Наибольшія измѣненія-въ эпителіи и сводятся къ усиленной десквамаціи эпителія и болѣе или менѣе рѣзко выраженной паренхиматозной гиперплазіи. Измѣненіе въ соедини тельной ткани выражается усиленнымъ ея разрастаніемъ. Коллоидъ представляется разжиженнымъ и частью исчезнувшимъ изъ фолликуловъ.
Послѣ того какъ Kocher и братья Reverdin ознакомили медицинскій міръ съ опасностями удаленія всего аппарата щитовидной железы и операція эта была оставлена, въ связи съ возбужденіемъ интереса къ частичной экстирпаціи ея, появились экспериментальныя работы, преслѣдовавшія цѣль изученіл развитія компенсаціонной гипертрофіи въ остающейся ткани железы, давшіе слѣдующіе результаты.
Neumeister наблюдалъ у животныхъ уже очень скоро, черезъ 3 дня послѣ частичной экстирпаціи железы образованіе альвеолъ о черезъ 8 дней уже дефекта представлялась замѣщенной новообразованной тканью.
Ribbert, подробно изучившій пропессъ регенераціи щитовидной железы у кролика и собаки, пришелъ къ заключенію, что быстрота развитія этого пропеcса здѣсь можетъ быть поставлена наравнѣ съ печенью. Уже по истеченіи 48 часовъ съ момента резекціи нѣкоторыя клѣтки въ альвеолахъ представляются вздутыми и выступаютъ въ просвѣтъ фолликула. Черезъ 3 дня наблюдается значительно выраженное новообразованіе эпителія, при чемъ мѣстами въ альвеолахъ встрѣчаются эпителіальныя клѣтки съ фигурами дѣленія ядра. Въ фолликулахъ лежащихъ ближе къ дефекту, пролиферація идетъ столь интенсивно, что они кажутся выстланными многослойнымъ эпителіемъ, и разрастаніе доходить даже до того что вся полость фолликула выполняется клѣтками. Съ 11-го дня примѣшивается еще разрастаніе соединительной ткани. На 13—18 день регенерація подходитъ къ концу и новообразованная ткань уже не легко отличается отъ обыкновенной ткани железы и распознается лишь но меньшей величинѣ фолликулъ. неправильности ихъ формы и интенсивности окраски.
Березовскій въ лабораторіи проф. Zіеylеr'а произвелъ рядъ опытовъ на собакахъ съ частичной экстирпаціей (2/3) железы и также видѣлъ быстрое наступленіе компенсаторной гипертрофіи. Первые признаки регенераціи въ видѣ митодическихъ фигуръ въ эпителіальныхъ и соединительнотканныхъ кл. констатированы на 5-й день. На 8—14 день онъ находилъ живую и очень распространенную пролиферацію эпителія, при чемъ пролиферирующій эпителій представляется увеличеннымъ въ 2—3 раза. Для наблюденія за структурными измѣненіями щитовидной железы при различныхъ условіяхъ ея секреторной дѣятельности многіе изслѣдователи прибѣгали къ обычнымъ возбудителямъ, служащимъ для вызыванія дѣятельности въ другихъ железахъ.
Романовъ наблюдалъ измѣненія щитовидной железы у собакъ и крысъ при длительномъ употребленіи йодистаго калія и натрія. У растущихъ животныхъ железа отстаетъ въ своемъ развитіи, при чемъ въ замѣну железистыхъ пузырьковъ происходитъ развитіе либо жировой, либо волокнистой ткани, у взрослыхъ же это наблюдается обильное накопленіе коллоидныхъ массъ въ пузырькахъ, ведущее къ атрофіи эпителія, то выступаютъ на сцену воспалительныя измѣненія, ведущія къ образованію соединительной ткани: въ меньшинствѣ случаевъ болѣе или менѣе безспорныхъ измѣненій въ щитовидной железѣ подмѣтить не удается.
Wyss изслѣдовалъ щитовидныя железы у собакъ, кошекъ, крысъ, вводя имъ подъ кожу пилокарпинъ. Несмотря на отсутствіе выводного протока, въ нихъ отмѣчалась истинная секреція, усиливающаяся въ значительной степени отъ пилокярпияа и выражавшаяся въ морфологическомъ отношеніи признаками, вполнѣ аналогичными тѣмъ, какіе наблюдаются при секреціи слюнныхъ железъ. Железы представлялись увеличенными, наполненными кровью, напряженными. Клѣтки железы увеличивались, ядра неясно выступали. На сторонѣ, обращенной отъ сосудовъ въ противоположную сторону, отъ клѣтокъ отходятъ отростки, соединяющіеся съ центральной массой коллоида Промежутки между отростками выполнены блестящими, свѣтлыми шарами, очевидно жидкой консистенціи. Вь центральной части коллоидной массы, въ общемъ свѣтлой окраски, находится старое коллоидное ядро, красящееся сафраниномъ въ темпокрасный цвѣтъ.
Andersson, подобно предыдущему автору, впрыскивалъ молодымъ кроликамъ и кошкамъ но нѣскольку шприцовъ (8—10 mg.) цилокарнина, и по истеченіи часа животныя убивались. Наблюдалось слѣдующее; при покоѣ эпителій фоллику ловъ рѣзко ограничивался отъ содержимаго. Филарное вещество располагается въ продольномъ направленіи, параллельными рядами. При секреціи подъ вліяніемъ пилокарпина клѣтки становятся выше, правильность расположенія въ клѣткахъ филярнаго вещества исчезаетъ, вслѣдствіе накопленія пузырьковъ неокрашеннаго (хромофобнаго) секрета. Протоплазма принимаетъ сѣтчатый видъ. Ядра передвигаются по направленію къ просвѣту и располагаются въ этомъ періодѣ секреціи по сере динѣ клѣтки. Въ тоже время въ центральной части клѣтокъ образуются сильно окрашенныя зернышки хромофильнаго с крета. Какъ хромофильный, такъ и хромофобный секретъ выдѣляется въ просвѣтъ фолликула и, сливаясь вмѣстѣ, образуютъ гомогенный, гіалиновый секретъ. По выдѣленіи секрета железистыя клѣтки постепенно возвращаются въ покойную фазу.
Hurthle задачей своего изслѣдованія поставилъ выясне ніе слѣдующихъ вопросовъ: можно ли доказать измѣненія эпителія щитовидной железы, которыя указывали бы на секреторную ея дѣятельность, является ли содержимое фолликуловъ секретомъ эпителія (Wandrepitels) и какими путями секретъ железы проникаетъ въ тѣло. Говоря о нормальномъ строеніи железы, авторъ подчеркиваетъ ея богатство кровеносными и лимфатическими сосудами. Повышеніе секреціи при экспериментальныхъ условіяхъ было достигнуто при резекціи значительной части */г (ткани) щитовидной железы, а также при перевязкѣ ducti choledoch. Послѣдній экспериментъ показываетъ, что секреція коллоида можетъ быть обусловлена задержкой выдѣленія желчи. Продолжительное раздраженіе гортанныхъ нервовъ оказывалось безрезультатнымъ. Морфологически секреторная дѣятельность выражается въ двухъ формахъ, а именно, какъ чистое образованіе коллоида съ сохраненіемъ эпителія и въ формѣ растворенія (Schmelzung) эпителія съ переходомъ остатковъ клѣтокъ во внутрь фолликула. Авторъ различаетъ коллоидныя клѣтки отъ главныхъ на томъ основаніи, что содержимое тѣхъ фолликуловъ, стѣнки которыхъ состоятъ исключительно изъ главныхъ клѣтокъ, отличается другой окраской по сравненію съ фолликулами, въ стѣнкахъ которыхъ имѣются и коллоидныя клѣтки. При образованіи секрета черезъ раствореніе эпителія измѣненіи раньше всего обнаруживаются въ ядрѣ, которое теряеть правильность своихъ очертаній, сильнѣе воспринимаетъ окраску, позднѣе присоединяются измѣненія тѣла клѣтки. Содержимое фолликуловъ опорожняется въ явтерфоллякулярныя лимфатическія пространства, при чемъ способъ перехода неодинаковъ: для коллоиднаго секрета въ истинномъ смыслѣ путями служатъ межклѣточные ходы, а для секрета, образующагося черезъ раствореніе эпителія, переходъ осуществляется черезъ разрывъ фолликулярныхъ стѣнокъ. Принимаютъ ли участіе въ резорбціи скопившагося въ фолликулѣ секрета и кровеносные сосуды, — по этому поводу авторъ не высказывается опредѣленно, но на нѣкоторыхъ препаратахъ онъ видѣлъ, что мѣстами вены содержали субстанцію, имѣющую сходство съ коллоидомъ.
Воzzi въ обширной работѣ сообщаетъ результаты своихъ изслѣдованій щитовидной железы у различныхъ видовъ позвоночныхъ животныхъ и при различныхъ экспериментальныхъ условіяхъ. Вопреки Wolfler’y авторъ нашелъ, что различіе въ строеніи наружныхъ и внутреннихъ слоевъ непостоянно. Отдѣльныя дольки железы снабжены membrana propria. Кровеносные и лимфатическіе сосуды сильно развиты и мелкіе сосуды тѣсно прилегаютъ къ эпителію фолликуловъ. Предложенное дѣленіе Langendorff'омъ клѣтокъ ссцернирующаго эпителія на нѣсколько типовъ вполнѣ не можетъ быть проведено, но очень удобно для обозначенія различныхъ фазъ клѣточной дѣятельности. Составляющія большинство, главныя клѣтки отличаются слабо окрашенной зернистой протоплазмой Нѣкоторыя зернышки, расположенныя главнымъ образомъ па сторонѣ, обращенной къ просвѣту, сильно преломляютъ свѣтъ, похожи на коллоидъ, принимая характерную для послѣдняго окраску. Другія зернышки, собирающіяся въ той же части клѣтокъ, —болѣе мелки. Значеніе этой 2-й зернистости еще не вполнѣ выяснено. Собственно коллоидныя клѣтки представляютъ по виду большое разнообразіе. Въ начальной фазѣ своего развитія онѣ сохраняютъ форму и размѣръ главныхъ, отличаясь отъ послѣднихъ только большей интенсивностью окраски. Въ болѣе позднихъ стадіяхъ онѣ принимаютъ овалъ ную или круглую форму, при чемъ ядро смѣшается на периферію. Въ конечной стадіи развитія вся центральная часть клѣтки занята коллоидомъ, зернистая протоплазма образуетъ только кольцо вокругъ ея. На препаратахъ щитовидныхъ железъ отъ холоднокровныхъ удавалось видѣть отдѣльныя коллоидныя зернышки и внутри фолликуловъ. Скопившійся внутри фолликула секретъ поступаетъ затѣмъ черезъ разрывъ стѣнки въ лимфатическіе сосуды. Усиленіе секреціи и блюда ется при частичной резекціи щитовидной железы. Перевязка dnct choledoch., и впрыскиваніе Toluylеndiamin’a не повышали ее. Пилокарпинъ остался неиспробаваннымъ. При усиленіи отдѣлительной дѣятельности фолликулы увеличиваются, наблюдается усиленное образованіе новыхъ, клѣтки становятся богаче зернышками.
Müller въ своей работѣ, повторивъ въ отношеніи строенія щитовидной железа въ значительной части выводы предшественниковъ, обращаетъ особенное вниманіе на относительно большую величину щитовидной железы у новорожденныхъ и паденіе вѣсовыхъ отношеній щитовидной железы къ вѣсу тѣла въ старшемъ возрастѣ. Ткань дѣтской железы болѣе богата сосудами, что указываетъ на большее ея значеніе въ дѣтскомъ возрастѣ. Въ молодомъ возрастѣ содержимое фолликуловъ, являющееся продуктомъ секреціи железистаго эпителія жидко, позднѣе изъ жидкой субстанціи выдѣляются твердыя коллоидныя зерна. Образованіе коллоида въ эпителіальныхъ клѣткахъ не наблюдалъ. Эксперименты на животныхъ сь перевязкой желчнаго протока и впрыскиваніемъ Toluylendiamin а дали результаты, не вполнѣ согласные съ тѣмъ, что описано Hürthle, при чемъ Müller не могъ также подтвердить перехода фолликулярнаго содержимаго въ лимфатическіе пути ни черезъ разрывъ стѣнокъ, ни по интерцеллюларнымъ ходамъ.
Царскій, прослѣдивъ измѣненія щитовидной железы по возрастамъ, пришелъ къ выводу, что щитовидная железа достаточно развита для функціонированія уже у 6-ти мѣсячнаго плода; къ 8—9 мѣсяцу внутриутробной жизни развитіе железы уже окончено, въ дальнѣйшіе возрасты она лишь продолжаетъ свой ростъ; выработка коллоида замѣтно увеличивается съ возрастомъ ребенка и слабѣе всего бываетъ выражена въ первые мѣсяцы жизни; ростъ железы во всѣхъ размѣрахъ продолжается до старости, по особенно сильно развивается железа въ періодъ половой зрѣлости.
Wanner изучалъ измѣненія съ щитовидной железѣ у кроликовъ и собакъ послѣ одного и многократныхъ кровопусканіи. Изменения сводились къ уплощенію плоскихъ клѣтокъ, увеличенію большихъ, свѣтлыхъ, какъ бы разбухшихъ клѣтокъ, часто—къ образованію коллоидоподобныхь, гомогенныхъ шаровъ въ протоллазмѣ этихъ мѣтокъ, увеличенію числа собственно коллоидныхъ клѣтокъ, усиленію процесса расправленія эпителіальныхъ клѣтокъ, расширенію железистыхъ пузырьковъ, выполненныхъ коллоидомъ. Сопоставляя результаты своихъ изслѣдованій съ наблюденіями Hürthle, авторъ относитъ отмѣченныя имъ измѣненія къ повышенію секреціи.
Schmidt, изучая гистофизіологію щитовидной железы, сдѣлалъ слѣдующія наблюденія: Фолликулярное содержимое представляетъ однородный секретъ, вакуоли въ немъ обусловливаются сморщиваніемъ, вслѣдствіе неправильной фиксаціи. Пилокарпинъ не дѣйствуетъ возбуждающимъ образомъ на выдѣленіе секрета щитовидной железы. Коллоидные шарики въ эпителіальныхъ клѣткахъ весьма рѣдко встрѣчаются у млекопитающихъ и не увеличиваются въ числѣ при повышеніи секреціи ея. Межклѣточные ходы, соединяющіе внутренность фолликула съ лимфатическими пространствами, не были обнаружены. Коллоидныя клѣтки представляютъ изъ себя фазу сецернирующихъ главныхъ клѣтокъ. Секреція происходитъ путемъ превращенія главныхъ клѣтокъ въ коллоидныя и, вѣроятно, путемъ выталкиванія содержимаго послѣднихъ внутрь фолликула, а отсюда переходъ секрета въ лимфатическіе сосуды совершается благодаря растворенію эпителіальной стѣнки.
Galeotti, при впрыскиваніи въ брюшную полость различнымъ животнымъ продуктовъ обмѣна: растворовъ мочевины, лейцина, ксантина, кейрина и т. д., нашелъ у нихъ слѣдующія измѣненія въ структурѣ щитовидной железы. Коллоидныя массы въ самомъ фолликулѣ измѣняютъ свой цвѣтъ. Фуксинофильныя зерна, обнаруживаемыя [при окраскѣ по способу автора, описанномъ имъ ранѣе въ двухъ работахъ[1]] теперѣ, во время усиленія секреціи проникаюсь сквозь ядерную оболочку въ протоплазму и въ послѣдней продвигаются къ свободному краю. Попадая въ фолликулъ, зерня растворяются. Кромѣ того, въ клѣткахъ имѣются большія глыбки, окраши ваемыя по способу автора въ зеленый цвѣтъ, которыя, очевидно, соотвѣтствуютъ тиреоидеальному секрету Andersson’а, или колоидныя глыбки, описанныя Нurthl'емъ. Эти глыбки образуются этѣ ядра и выталкиваются изъ клѣтокъ лишь по достиженіи извѣстной величины. Коллоидная субстанція представляетъ смѣсь обоихъ секреторныхъ продуктовъ.
Briaи, сдѣлавъ сводку всѣмъ ранѣе появившимся работамъ по микрофиэіологіи щитовидной железы в на основанія собственныхъ изслѣдованій преходитъ къ заключенію, что пи одно изъ описываемыхъ измѣненій не можетъ, само по себѣ, указывать на степень секреторной дѣя тельности и что вообще, по его мнѣнію, секреторный про цессъ щидовидиой железы въ виду ея физіологическихъ особенностей, не можетъ бытъ доступенъ обыкновенному гистологическому анализу. Опыты автора съ раздраженіемъ шейнаго симпатическаго нерва и нижнегортаннаго нерва въ морфологическомъ отношеніи не дали никакихъ результатовъ.
Изслѣдованія щидовидной железы послѣ перерѣзки верхняго и нижняго гортанныхъ нервовъ различныхъ авторовъ дали противорѣчивые результаты: такъ Katzenstein отмѣчаетъ перерожденіе значительнаго числа эпителіальныхъ клѣтокъ съ превращеніемъ ихъ въ коллоидъ. Biagi при повтореніи опытовъ Katzenstein'аподтвердилъ результатъ послѣдняго. Поврежденіе же Ganglion cervicale sup u mod. симпатическаго нерва, а также nn. pharyngei sup. и infer, не оказывало вліянія на щитовидную железу. Напротивъ, Martini не обнаруживалъ при подобныхъ перерѣзкахъ гортанныхъ нервовъ никакой разницы отъ нормальной ткани щитовидной железы. Lubckeтакже скептически относится къ находкамъ Katzenstein'a и полагаетъ, что происходятъ измѣненія только сосудистаго характера—артеріальная гиперемія съ трансудатойъ, разжижающимъ коллоидное содержимое. Гистологическіе признаки секреціи щидовидной железы вообще по мнѣнію автора не доказаны. Missiroliизслѣдовалъ щитовидныя железы послѣ перерѣзокъ нервныхъ стволовъ и находилъ измѣненія, характерныя для усиленной секреторной дѣятельности, выражавшіяся въ усиленномъ образованіи зеренъ въ эпителіальныхъ клѣткахъ съ послѣдующимъ накопленіемъ коллоида въ фолликулахъ, при чемъ наблюдалось и перерожденіе эпителія.
Wiener продолжилъ изслѣдованіе Hürthle съ цѣлью выясненія указанной послѣднимъ зависимости секреторной дѣятельности щитовидной железы отъ желчеотдѣленія, по примѣнилъ вмѣсто перевязки желчныхъ протоковъ наложеніе постоянной желчной фистулы. Оказалось, что эта операція вызвала совершенно иныя измѣненія, по сравненію съ тѣми, какія наблюдались Hürlhle при экспериментальномъ застоѣ желчи. Величина фолликуловъ увеличивается, мѣстами происходитъ соединеніе ихъ вслѣдствіе растворенія (Auslösung) раздѣляющихъ ихъ стѣнокъ. Сморщиваніе и образованіе вакуоль на границѣ коллоида и эпителія гораздо слабѣе выражено, чѣмъ въ нормальныхъ железахъ, или совершенно отсутствуетъ. Окрашиваемость коллоида значительно уменьшается. Клѣточное тѣло и ядро сецерпирующаго эпителія уменьшаются въ высоту и кажутся сплющенными, нормальная структура клѣтокъ исчезаетъ и окрашиваемость уменьшается.
Lewandowsky, изслѣдовавшій щитовидныя железы многочисленныхъ животныхъ (собаки, кошки, кролика, обезьяны, барана, рыбы), пришелъ къ заключенію, что эпителіальныя клѣтки фолликуловъ претерпѣваютъ такія измѣненія, какія вообще наблюдаются въ сецернирующихъ клѣткахъ истинныхъ железъ. Но секретъ въ моментъ выдѣленія его не имѣетъ свойства коллоида, предшествующаго ему состоянія, которое отличается легкою текучестью и постепенно внутри фолликуловъ пріобрѣтаетъ присущія ему физикохимическія свойства. Точно также и въ лимфатическихъ путяхъ коллоидъ образуется изъ преколлоида. Переходъ готоваго коллоида изъ фолликула въ лимфатич сосуды не могъ быть доказанъ. Какія силы дѣйствуютъ при этомъ преобразованіи секрета въ коллоидъ и обратномъ переходѣ въ секретъ авторъ не разъяснетъ.
Barbera и Ricci наблюдали у кроликовъ и собакъ при голоданіи уменьшеніе клѣтокъ и ядеръ, при чемъ субстанція, тѣла клѣтки больше редуцируется, чѣмъ ядра. Несмотря на голоданіе, клѣтки продолжаютъ продуцировать коллоидъ, хотя и въ меньшемъ количествѣ, чѣмъ и объясняется можетъ быть отсутствіе до самой смерти у голодающаго животнаго признаковъ прекращенія функціи щитовидной железы. Missiroli, изслѣдовавшій щитовидную железу при тѣхъ же условіяхъ, т. е. при голоданіи констатировалъ при прекращеніи кормленія остановку въ выдѣленіи коллоида и накопленіе его въ фолликулахъ. По возобновленій кормленія железа сначала приходитъ въ состояніе секреторной гиперфункціи.
Erdheim занимался подробнымъ изученіемъ содержащихся въ щитовидныхъ железахъ зернышекъ, имѣющихъ жировой характеръ, о чемъ ранѣе имѣлись въ литературѣ лишь весьма скудныя и противорѣчивыя указанія. По даннымъ автора эти зерна имѣются во всякой щитовидной железѣ, въ ея эпителіальныхъ клѣткахъ, прилегающихъ къ просвѣту фолликуловъ. Зернышки отсутствуютъ у плода и появляются только послѣ рожденія, что указываетъ на связь ихъ съ функціей (внутренней секреціи) железы, но съ образованіемъ коллоида онѣ не имѣютъ ничего общаго.
Рeiser опредѣлялъ измѣненія въ железахъ у животныхъ (летучей мыши и ежа) въ концѣ зимней спячки и сравнивалъ ихъ съ состояніемъ щитовидныхъ железъ у того же вида животнаго въ теченіе лѣтняго періода. Были получены слѣдующія данные: во время зимней спячки въ щитовидныхъ железахъ содержится мало коллоида, эпителій имѣетъ плоскій видъ съ нѣжной протоплазмой, чаще съ ядромъ въ лежачемъ положеніи (häufiger liegend), коллоидныя клѣтки и клѣтки въ состояніи растворенія отсутствуютъ. Въ теченіе лѣта въ железахъ коллоида много, эпителій кубическій съ зернистой протоплазмой, круглымъ ядромъ, принимающимъ стоячее (häufiger rund und stehend) положеніе. Изъ этого сравненія ясно видно, что функція щитовидной железы находится въ прямомъ отношеніи съ общимь обмѣномъ веществъ, и при ослабленіи его во время зимней спячки секреторная дѣятельность железы уменьшается.
Часовниковъ секреторный процессъ въ щитовидной же лезѣ описываетъ слѣдующимъ образомъ; щитовидная железа функціонируетъ постоянно, по напряженность ея работы под вержена весьма значительнымъ колебаніямъ. Уже при обыч нихъ условіяхъ, даже у животныхъ одного и того же вида и возраста, эпитеіальныя клѣтки фолликуловъ имѣютъ неодинаковую величину и форму, въ однихъ случаяхъ являясь низкими, кубическими, въ другихъ были высокими, цилиндрическими. Въ сталіи умѣренной дѣятельности во внутренней части главныхъ клѣтокъ, среди обычной мелкозернистой и разрыхленной протоплазмы, обнаруживаются глыбки секрета. Въ железахъ, работающихъ особенно энергично, напр., послѣ частичной тиреоидектоміи, клѣтки заключаютъ въ своемъ внутреннемъ отдѣлѣ большое число секреторныхъ зеренъ, при чемъ наряду съ мелкими гранулами встѣчаются и крупныя глыбки, которыя въ формѣ небольшихъ капель опорожняются въ просвѣтъ фолликуловъ. Накопляясь затѣмъ въ просвѣтѣ фолликуловъ, коллоидъ выдѣляется наружу и воспринимается лимфатическими путями. Но автору никогда не приходилось видѣть разрыва фолликуловъ, а также и того, чтобы коллоидъ при своемъ выдѣленіи раздвигалъ железистыя клѣтки на сколько-нибудь значительно разстояніе. Изъ этого авторъ дѣлаетъ предположеніе, что коллоидъ выдѣляется въ эмфатическую систему не въ формѣ плотной массы, а просачивается черезъ стѣнки въ видѣ жидкости.
Я намѣренно до сихъ поръ не касался довольно многочисленныхъ, хотя и несистематическихъ изслѣдованій, объ измѣненіяхъ щитовидной железы при экспериментальномъ гипертиреоидизмѣ, считая болѣе удобнымъ разсмотрѣть ихъ теперь, поставивъ рядомъ съ ними и работы, трактующія объ гипотиреоидизмѣ йодъ вліяніемъ тереотоксической сыворотки.
Ballet и Enriquez производили свои изслѣдованія на собакахъ дѣлая однимъ изъ нихъ подкожныя имплатаціи железъ отъ другой собаки, другихъ кормили бараньими щитовидными железами и, наконецъ, третьимъ вводили подъ кожу экстрактъ бараньихъ щитовидныхъ железъ. Наибольшій эффектъ они получили при впрыскиваніи экстракта, наименьшій при прививкѣ железы. Изъ 12 собакъ, которымъ сдѣлано было впрыскиваніе экстракта, 5 погибло. При вскрытіи у 2-хъ найдено было увеличеніе щитовидной железы, а гистологическое изслѣдованіе показало исчезновеніе альвеолъ и сильное разростаніе юныхъ элементовъ, уменьшеніе проходимости лимфатическихъ путей, у 3-й собаки железа была въ состояніи атрофіи съ участками склеротическихъ измѣненій, но такъ какъ случай этотъ касался стараго животнаго, то авторъ ставитъ описанную картину въ зависимость отъ возраста; наконецъ, у двухъ собакъ констатировано утолщеніе артеріальныхъ стѣнокъ и разращеніе мелкихъ альвеолъ, изъ которыхъ только очень немногія подверглись коллоидной дегенераціи.
Георгіевскій при аналогичныхъ опытахъ ниразу не отмѣчалъ увеличенія щитовидныхъ железъ; наоборотъ, сравнительно съ железами контрольныхъ собакъ того же возраста и вѣса, онѣ часто были ио вѣсу и по размѣрамъ значительно меньшими, фолликулы представлялись значительно большими и переполненными содержимымъ, дающимъ микрохимическія реакціи на коллоидъ. Эпителій, выстилающій фолликулы, вмѣсто обычной цилиндрической формы рѣзко уплотенъ какъ бы сдавленъ, имѣлъ почти видъ эндотелія. Протоплазмы очень мало, ядра интенсивно окрашены. Мѣстами, вслѣдствіе разрыва стѣнокъ, отдѣляющихъ два сосѣдніе фолликула, наблюдалось ихъ сліяніе. Капилляры и лифатическія пространства между фоллакуллами не видны, повидимому были сдавлены. Описсанныя измѣненія опредѣляются авторомъ, какъ функціональная атрофія железъ, идущая по типу физіологический инволюціи при старости.
Сinnungham въ 3-хъ опытахъ на собакахъ послѣ подвижнаго введенія экстракта щитовидной железы наблюдалъ въ железѣ поверхностныя и интерстиціальныя кровоизліянія, въ другихъ опытахъ при всѣхъ способахъ введенія препарата щитовидной железы онъ не замѣчалъ вообще никакого измѣненія органа.
Гончаруковъ, приготовляя специфизическую сыворотку, изслѣдовалъ также щитовидную железу у иммунизируемаго животнаго (барана) и нашелъ значительное разрастаніе интрафолликулярной соединительной ткани, загустѣваніе многихъ фолликулъ, отсутствіе коллоидной субстанціи въ лимфатическихъ пространствахъ, а также мутное напуханіе и хроматолизъ железистаго эпителія.
Ghеdіnі поставивъ цѣлью изучение дѣйствія экстрактовъ различныхъ органовъ на животный организмъ другого вида, у животныхъ, получавшихъ въ теченіе 2—3 мѣсяцевъ экстрактъ щитовидной железы, находилъ увеличеніе железы а при микроскопическомъ изслѣдованіи: увеличеніе многихъ железистыхъ долекъ, большія въ нихъ скопленія коллоидной субстанціи, мѣстами слущиваніе эпителія и смѣшеніе его въ коллоидномъ веществѣ лимфоцитами. Иногда выступало на видъ значительное новообразованіе пузырьковъ со слѣдами коллоиднаго вещества. Расширеніе сосудовъ, мелкоклѣточная инфильтрація и соединительнотканная реакція отсутствовали.
Реіsеr провелъ 18 опытовъ на крысахъ, вводя имъ подъ кожу и съ пищей вещество щитовидной железы. У ряда его животныхъ были констатированы глубокія измѣненія въ структурѣ фолликулярнаго эпителіи по типу аутолиза, заключавшіяся въ увеличеніи тѣла клѣтокъ, слабомъ окрашиваніи ихъ. Ядра такихъ клѣтокъ или мало отличаются отъ нормальной формы и представляютъ лишь утолшеніе своей оболочки, другія сильно уменьшены, имѣютъ видъ круглыхъ точекъ, залегающихъ въ совершенно безцвѣтномъ клѣточномъ тѣлѣ. Всѣ описанныя измѣненіи авторъ не считаетъ специфическими, свойственными гипертиреоиіизму и относитъ ихъ къ послѣдствіямъ общаго разстройства обмѣна веществъ, индивидуально различнымъ. Весьма похожія измѣненія авторъ наблюдалъ и при другихъ экспериментальныхъ условіяхъ, какъ напр., послѣ введенія подъ кожу сыворотки животнаго другого вида, при голоданіи, при однообразномъ питаніи—исключительно бѣлковомъ, жировомъ и углеводномъ.
Вслѣдъ за открытіемъ Bordet первой цитолитической сыворотки къ краевымъ кровянымъ тѣльцамъ, вполнѣ аналогичной по своему дѣйствію со специфическими бактеріолиіическими иммунными сыворотками, появился цѣлый рядъ изслѣдованій надъ полученіемъ цитолитическихъ сыворотокъ къ другимъ клѣткамъ животнаго организма. Тиреолитическая сыворотка впервые былъ получена проф. Маньковскимъ въ 1902 г., которой съ интервалами въ 15 дней впрыскивалъ кошкамъ въ брюшную полость эмульсію изъ щитовидныхъ железъ собаки, растертыхъ въ 0,85% растворѣ повареной соли. Полученная уже послѣ 3-хъ впрыскиваній специфическая сыворотка проявляла свое токсическое дѣйствіе для клѣтокъ щитовидной железы. При введеніи этой сыворотки въ кровь, брюшную полость или паренхиму щитовидной железы собаки у послѣдней развиваются явленія, подобныя тѣмъ, какія наблюдаются вслѣдъ за экстирпаціей щитовидной железы. Въ нѣкоторыхъ опытахъ сыворотка оказалась очень токсической для собакъ, такъ что при дозѣ 8—10 к. с. на кило вѣса послѣднія погибали иногда очень скоро послѣ введенiя въ кровь сыворотка. Микроскопическія измѣненія въ щитовидной железѣ наиболѣе сильно выражены при интрагландулярномъ, непосредственно въ толщу железы. Введеніи сыворотки и состоятъ въ уменьшеніи коллоида въ долькахъ, превращеніи его въ нѣкоторыхъ долькахъ въ аморфную, мелкозернистую массу и рѣзкомъ нарушеніи строеніи самыхъ доллекъ. Ядра представляются сморщенными и даже нѣсколько уменьшенными. При интравенозномъ введеніи специфической сывортки измѣненія въ щитовидной железѣ были не столь интенсивны, представляли расширеніе кровеносныхъ сосудовъ, уплощеніе клѣтокъ и растворенія хроматина ядра. Гончаруковъ подобнымъ образомъ иммунизировалъ барана эмульсіей щитовидной железы собаки. Клиническія симптомы и посмертныя измѣненія щитовидныхъ железъ отъ дѣйствія этой сыворотки у собаки получились вполнѣ согласныя съ результатами Манъковскаго.
Sartirana работалъ на курахъ и собакахъ, обрабатывая первыхъ экстрактомъ собачьихъ щитовидныхъ железъ спустя нѣкоторое время получалъ сыворотку, обладавшую сильнымъ токсическимъ дѣйствіемъ на собачьи щитовидныя железы. Токсическое дѣйствіе на нервную систему проявляющееся въ извѣстныхъ клиническихъ симптомахъ, удавалось вызвать не только у собакъ, но и у морскихъ свинокъ.
Mac Callum, иммунизаровавшій гусей собачьими щитовидными железами, не получилъ столъ благопріятныхъ результатовъ. какія приведены только что цитированными авторами.
Lиdcke испробовалъ различныя комбинаціи животныхъ, впрыскивая кроликамъ экстрактъ изъ щитовидныхъ железъ быка или морскимъ свинкамъ—щитовидныя железы кролика и собаки. Многія животныя очень тяжело переносили иммунизацію и черезъ 8 —10 дней погибали при явленіяхъ прогрессирующаго упадка питанія. Наиболѣе ярко клиническіе симптомы отъ дѣйствія тиреотоксической сыворотки получены были у собаки и представлялись похожими на проявленія cachexiae strumiprivae. Животныя послѣ 2—3 недѣльнаго наблюденія убивались. Патологоанатомическія находки носили случайный характеръ и представлялись вообще очень скудными, но авторъ полагаетъ, что при болѣе продолжительномъ наблюденіи деструктивный процессъ могъ бы быть сильнѣе выраженъ, достигнувъ степени тѣхъ измѣненій, какія описан приведенными выше авторами.
Demoor и Lint при помощи эмульсіи собачьихъ щитовидныхъ железъ производили интраперитонеально иммунизацію морской свинки, кролика и голубей. Наиболѣе токсическая сыворотка получена была отъ морскихъ свинокъ. Сыворотка не теряла своихъ свойствъ въ теченіе 24—48 часовъ. При впрыскиваніи этой сыворотки собакамъ у послѣднихъ вызывается сиптомокоплексъ, сходный съ тѣмъ, какой наблюдается при прогрессивной атрофіи железы, съ рѣзко ослабленною секреторною дѣятельностью. Животное принимало подавленный видъ, дрожало, наблюдалось слезотеченіе, носовой катарръ, разстройство дыханія выпаденіе волосъ. Заднія конечности дѣлались очень ригидными. Смерть наступала черезъ 15-30 дней. Подъ микроскопомъ авторъ констатировалъ глубокія измѣненія секреторныхъ клѣтокъ въ щитовидной железѣ. Не было ни однаго фолликула съ нормальнымъ плоскими, эпителіемъ. Наиболѣе часто встрѣчались цилиндрическія клѣтки съ протоплазмой зернистой или гіалиновой. Въ клѣточной территоріи, прилегающей къ просвѣту фолликула, основное вещество богато большими зернами, сильно красящимися отъ эозина, ст. неправильной формой ядеръ, бѣдныхъ нуклеиномъ и расположенныхъ эксцентрично. Въ другихъ фолликулахъ. эпителій во многихъ мѣстахъ представляется поврежденнымъ. Отторгнутые эпителіальные элементы въ разныхъ фазахъ регрессивныхъ измѣненій находятся внутри желестыхъ пузырьковъ. Мѣстами полости фолликуловъ почти не содержатъ коллоида, но наполнены большимъ количествомъ клѣтокъ, повидимому, пролиферирующаго эпителія. На ряду съ описанными измѣненіями наблюдается также гипертрофія соединительной интерфолликулярной ткани, дающей внутрь фолликуловъ отростки. Здѣсь же встрѣчаются и лейкоциты, и нѣсколько крупныхъ клѣтокъ—макрофаговъ. На основаніи приведеннаго описанія авторъ приходитъ къ заключенію, что подъ вліяніемъ антитиреоидеальной сыворотки клѣточныя измѣненія вдутъ въ двухъ направленіяхъ: однѣ клѣтки достигаютъ, повидимому, максимальнаго истощенія, что стоить въ связи къ развивающимся гипотиреоидизмомъ, другія клѣтки представляютъ въ тоже время картину повышенія дѣятельности. Такая двой ственность дѣйствія, по мнѣнію автора, зависитъ оттого, что сыворотка, помимо прямого истощающаго дѣйствія на клѣтки щитовидной железы, оказываетъ возбуждающее вліяніе на общій обмѣнъ всего организма.
Изъ обзора приведенныхъ литературныхъ данныхъ видно, что въ щитовидной железѣ, подобно другимъ железамъ, въ различные моменты и при различныхъ условіяхъ ихъ секреторной дѣятельности происходятъ соотвѣтствующія морфологическія измѣненія. Лишь Briаи и Ludckе, на основаніи отрицательнаго результата своихъ опытовъ съ раздраженіемъ и перерѣзками симпатическаго нерва приходятъ въ заключенію, что секреторный процессъ щитовидной железы не доступенъ обыкновенному гистологическому анализу. Слѣдуетъ замѣтить, что раздраженіе нервовъ щитовидной железы осталось также безъ результата у Нurthlе, въ то время какъ при примѣненіи другихъ способовъ воздѣйствія на железу тѣмъ же авторомь были уловлены болѣе или менѣе глубокія структурныя измѣненія щитовидной железы. Относительно деталей въ развитіи этихъ структурныхъ измѣненій данныя, полученныя различными изслѣдователями, довольно разнорѣчивы, что уже само по себѣ оправдываетъ нашу попытку представить свои наблюденія.
Собственныя наблюдения
Поставивъ одной изъ цѣлей своего изслѣдованія изученіе микроскопическихъ измѣненій въ строеніи паренхиматозныхъ элементовъ щитовидной железы у млекопитающихъ въ зависимости отъ тѣхъ или иныхъ условій ихъ физіологической дѣятельности, я считалъ необходимымъ прежде всего предпринять нѣсколько повѣрочныхъ экспериментовъ для полученія личнаго впечатлѣнія о тѣхъ измѣненіяхъ, которыя совершаются въ щитовидной железѣ подъ вліяніемъ различныхъ воздѣйствій, разсмотрѣнныхъ въ литературномъ очеркѣ. Само собой разумѣется, что для установленія критерія при сужденіи о нормальномъ состояніи железы предварительно были изучены щитовидныя железы у нормальныхъ животныхъ, не подвергавшихся никакимъ экспериментамъ в выдержанныхъ болѣе или менѣе продолжительное время на однообразномъ лабораторномъ режимѣ. Только послѣ этого было приступлено къ изученію собственно экспериментальнаго матеріала, при чемъ въ качествѣ агентовъ для вызыванія измѣненій въ секреторной дѣятельности щитовидной железы были испытаны: подкожныя впрыскиванія пилокарпина, раздраженіе индукціоннымъ токомъ верхнихъ гортанныхъ нервовъ, частичная экстирпація щитовидной железы и наконецъ, тиреолитическая сыворотка, а также паралельно съ нею были произведены опыты съ гипофизеолитической сывороткой.
Полученные разультаты послужили базисомъ для сужденія о морфологическихъ признакахъ дѣятельнаго состоянія секреторныхъ элементовъ щитовидной железы. Въ основу дальнѣйшихъ изслѣдованій легло доказываемое новѣйшими физіологическими наблюденіями положеніе о физіологической согласованности (корреляціи) между щитовидной железой и другими органами, обладающими внутренней секреціей. Какъ извѣстно, интересъ изслѣдователей пока сосредоточился главнымъ образомъ на вопросѣ о корреляціи щитовидной железы, надпочечниковъ и поджелудочной железы. На основаніи физіологическихъ наблюденій Eppinger'a, Falta и Rudinger'a выяснилось, что надпочечники и щитовидная железа взаимно содѣйствуютъ другъ другу, работаютъ какъ синергисты, а на панкреатическую железу они оказываютъ тормозящее вліяніе, т. е. дѣйствуютъ какъ антагонисты. Руководясь этими данными я и включилъ въ кругъ своего изслѣдованія изученіе дѣйствія на щитовидную железу гормона надпочечниковъ—адреналина.
Подвергая животныхъ въ теченіе болѣе или менѣе продолжительнаго времени дѣйствію адреналина, можно было надѣяться вызвать морфологическія измѣненія въ ткани щитовидной железы, позволяющія судить о томъ или иномъ состояніи секреторнаго процесса. Такая постановка опытовъ представлялась особенно интересной, такъ какъ, насколько намъ извѣстно, систематично никто еще не пытался съ помощью адреналина изучать секреторный процессъ въ щитовидной железѣ.
То же обстоятельство, что Liсіnі, руководствуясь, очевидно, тѣми же данными о корреляціи органовъ, получилъ усиленіе секреторной дѣятельности щитовидной железы послѣ экстирпаціи pancreas, подавало мнѣ надежду, что намѣченные опыты съ адреналиномъ не будутъ безплодными.
Всего было произведено 34 опыта, для чего было взято 25 кошекъ и 9 кроликовъ. Изъ этихъ животныхъ двумъ кошкамъ вводился подъ кожу водный растворъ пилокарпина (0,01 — 0,02 grm) до полученія яснаго слюнотеченія. У трехъ кошекъ была произведена односторонняя тирсовдектомія (у кошекъ щитовидная железа состоитъ изъ двухъ вполнѣ отдѣльныхъ половинъ съ включенной въ каждую изъ нихъ и анатомически связанной съ ними парой —наружнаго и внутренняго эпителіальныхъ тѣлецъ. На двухъ кошкахъ, находившихся въ состояніи эфирно уретаннаго наркоза, были поставлены наблюденія съ раздраженіемъ n-vі laryngei sup. Шести кишкамъ вводилась тиреолитическая сыворотка. Для полученія послѣдней производилась иммунизація собакъ щитовидными железами кошекъ. Съ этой цѣлью собакамъ въ теченіе 10 — 15 недѣль впрыскивалась съ промежутками въ 7 —10 дней эмульсія, приготовленная изъ растертыхъ 2-3 кошачьихъ щитовидныхъ железъ сь небольшимъ количествомъ обезпложеннаго изогоническаоо раствора повареной (NaCl) соли. При приготовленія эмульсіи ткань щитовидной жалезы тщательно освобождалась отъ соединенныхъ съ нею эпителіальныхъ тѣлецъ, въ виду указаній на существующій между ними антагонизмъ. Это условіе, судя но даннымъ литературы, не принималось въ расчетъ другими изслѣдователями, работавшими съ тиреолитическими сыворотками. У иммунизированныхъ тякимъ образомъ собакъ съ помощью кровопусканія изъ art. carotis бралась кровь, сыворотка которой и служила потомъ для опытовъ. Одновременно съ изученіемъ гистологи ческахъ измѣненій въ щитовидной железѣ, наступающихъ подъ вліяніемъ тиреолитической сыворотки, попутно были поставлены опыты съ кимографомъ для изученія дѣйствія сыворотки на кровообращеніе.
Гипофизеолитическая сыворотка вводилась интравенозно 4-мъ кошкамъ. Техника изготовленія ея была изложена мною раньше въ отдѣльной статьѣ,[2] а потому, во избѣжаніе повтореній не буду на ней здѣсь останавливаться. Отмѣчу только, что иммунизація животныхъ производилась не цѣлымъ органомъ, а отдѣльными его долями: передней и задней, такъ какъ, согласно нѣкоторымъ физіологическимъ наблюденіямъ, обѣ эти дольки должны быть признаны до извѣстной степени самостоятельными железами съ внутренней секреціей.
Остальные 16 опытовъ были поставлены съ адреналиномъ, при чемъ мною примѣнялся исключительно adrеnalinum hydrochloricum Tacamine (Parke, Davis et Со). Эти опыты я раздѣлилъ на двѣ категоріи: одни, въ которыхъ впрыскивалась сразу или съ промежутками въ нѣсколько минутъ большая доза адреналина и которые были предназначены для выясненія мѣстнаго вліянія адреналина; другіе опыты, для которыхъ были взяты 4 кошки и 9 кроликовъ предназначались для выясненія измѣненій въ щитовидной железѣ при введеніи въ организмъ животнаго адреналина въ теченіе болѣе или менѣе продолжительнаго времени, въ постепенно возрастающихъ дозахъ. Въ опытахъ второй категоріи кроликамъ, инъекціи дѣлались въ ушныя вены, а кошкамъ подъ кожу. Продолжительность наблюденія и количество впрыснутаго адреналина въ каждомъ отдѣльномъ случаѣ указаны ниже въ протоколахъ вскрытій. Животныя, за исключеніемъ случаевъ, гдѣ животное погибло въ теченіе опыта, всегда убивались уколомъ въ продолговатый мозгъ. Вскрытіе производилось во всѣхъ случаяхъ тотчасъ послѣ смерти.
Кусочки щитовидной железы фиксировались въ смѣсяхъ Flemming'а Кульчицкаго и Bouin'а, а также въ 10% формалинѣ, уплотнялись въ алкоголѣ возрастающей крѣпости, послѣ чего часть кусочковъ заключалась въ параффинъ, а другая въ целлоидинъ. Срѣзы изъ препаратовъ, фиксированныхъ въ формалинѣ или жидкости Кульчицкаго, окрашивалась гематоксилиномъ Böhmer'a или Ehrlich'а съ дополнительной окраской эозиномъ или микро-фуксиномъ (по van Gieson'y) для препаратовъ, фиксированныхъ въ смѣси Flemming’a, примѣнялась окраска сафраниномъ съ послѣдующей обработкой микро-индиг-карминомъ. Для просвѣтленія срѣзовъ употреблялось главнымъ образомъ бергамотовое масло; заключались они обычномъ образомъ вь канадскій бальзамъ. Кусочки, фиксированные въ жидкости Böhmer'a красилисъ въ срѣзахъ по способу бельгійскаго изслѣдователя Joris'а, впервые примененному имъ для изученія подробностей строенія железистой доли въ мозговомъ придаткѣ, и на преимущества котораго указывалъ въ своей работѣ о мозговомъ придаткѣ другой бельгійскій изслѣдователь Masay. Окрашиваніе по этому способу производилось такъ: сначала срѣзы окрашивались гематоксилиномъBöhmer’а и Ehrlich’a, затѣмъ она послѣдовательно переносились въ алкоголь, въ хлороформъ и наконецъ, въ смѣсь, содержащую 30 частей хлороформа 30 частей насыщеннаго алкогольнаго раствора aurantiae, 6—7 капель насыщеннаго воднаго раствора rubini S—и двѣ капли liq. ammonii caustici. Пробывшіе въ этой смѣси 8—10 минутъ срѣзы опять переносились въ хлороформъ и затѣмъ за ключа лись въ канадскій бальзамъ. При этомъ способѣ ядра кажутся синими, нѣжная волокнистая соединительная ткань пурпурно-красной, красныя кровавыя тѣльца являются блѣдно-желтыми. Протоплазма железистыхъ клѣтокъ окрашивалась въ свѣтло оранжевый, а содержащаяся въ ней зернистость и коллоидное вещество въ красный цвѣтъ.
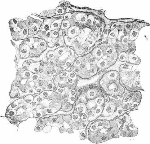
Переходя къ описанію своихъ наблюденіи, я позволяю себѣ прежде всего изложить строеніе нормальной щитовидной железы у тѣхъ видовъ животныхъ, надъ которыми производились наши опыты (кроликъ, кошка). Въ общемъ, на нашихъ препаратахъ оно представляется въ слѣдующемъ видѣ; щитовидная железа состоитъ изъ конгломерата множества железистыхъ пузырьковъ, заложенныхъ въ соединительно—тканную строму, богатоснабженную кровеносными сосудами и лимфатическими путями (см. табл. 1, рис. 1). Мѣстами между фолликулами заложены такъ называемыя солидныя скопленія эпи теліальныхъ элементовъ, представляющія, по-видимому, болѣе молодыя железистыя клѣтки, изъ которыхъ лишь со временемъ развиваются фолликулы. Форма фолликуловъ по большей части круглая, яйцевидная, мѣстами неправильно угловатая. Величина ихъ колеблется: есть очень маленькіе, стѣнка которыхъ въ разрѣзѣ представляется ограниченной всего 4—5 эпителиальними клѣтками, и наряду съ ними встрѣчаются очень большіе, ограниченные большимъ количествомъ клѣтокъ, причемъ распредѣленіе большихъ и малыхъ фолликуловъ между собой, повидимому, не подчиняется никакимъ особымъ законамъ. Намъ никогда не приходилось находить признаваемой нѣкоторыми авторами, по аналогіи съ другими железами, membranam рrорrіаm фолликуловъ. Эпителіальныя клѣтки фолликуловъ располагаюсъ или непосредственно на кровеносныхъ капиллярахъ и лимфатическихъ путяхъ, или на окружающихъ фолликулы соединительно-тканныхъ волокнахъ, что въ особенности легко удается доказать при окраскѣ по способу Joris’а. Пузырьки содержатъ коллоидную массу, представляющую двѣ разновидности, а именно, болѣе темную, легче воспринимающую красящія вещества, и свѣтлую, менѣе окрашиваемую. Эта коллоидная масса то вплотную прилегаетъ къ выстилающему фолликулъ эпителію, то, повидимому, въ зависимости отъ свертыванія подъ вліяніемъ фиксажа, отстаетъ отъ стѣнокъ фолликула, сохраняя лишь кое-гдѣ связь съ фолликулярными клѣтками въ видѣ тонкихъ мостиковъ. Въ лимфатическихъ сосудахъ, окружающихъ фолликулы, попадаются массы, похожія на только-что описанное коллоидное содержимое фолликуловъ. Фолликулярное содержимое не всегда является чистымъ и свободнымъ отъ примѣси; встрѣчаются въ разныхъ мѣстахъ препарата въ небольшомъ количествѣ десквамированныя эпителіальныя клѣтки, распавшіяся ядра клѣтокъ и красныя кровяныя тѣльца. Эпителіальныя клѣтки имѣютъ то нѣсколько уплощенную, то кубическую форму съ очень ясно различаемыми границами. Протоплазма клѣтки зерниста, при чемъ въ части, обращенной къ просвѣту фолликула, часто зернистость представляется рѣзче выраженной, и потому, клѣтка въ этомъ отдѣлѣ интенсивнѣе окрашивается. Въ кубическихъ клѣткахъ ядро лежитъ нѣсколько эксцентрично, въ наружной половинѣ клѣтки съ ясно выраженной хроматиновой сѣтью и отчетливо выступающими ядрышками. Ядра имѣютъ сферическую или нѣсколько вытянутую форму. Описываемыя клѣтки составляютъ большинство и, на первый взглядъ, кажутся единственными клѣтками фолликуловъ, почему и получили названіе главныхъ клѣтокъ. Въ перемежку съ ними, но въ меньшемъ количествѣ расположены такъ называемыя коллоидныя клѣтки, которыхъ у кролика очень мало. Эти клѣтки отличаются болѣе интенсивной окраской и гомогенной протоплазмой. Между обоими видами клѣтокъ существуетъ цѣлый рядъ переходныхъ формъ, протоплазма которыхъ также сильнѣе окрашивается, чѣмъ обыкновенныя главныя клѣтки, но въ значительной степени сохраняютъ зернистое строеніе.
Мѣстами въ изслѣдованныхъ нами нормальныхъ щитовидныхъ железахъ встрѣчались клѣтки съ сильно вакуолизированной, какъ бы разрѣженной и расплавленной протоплазмой, изъ которыхъ нѣкоторыя въ нѣсколько разъ превосходятъ своими размѣрами описанныя выше клѣтки. Тамъ, гдѣ дѣло доходитъ до полной гибели извѣстнаго числа измѣненныхъ такимъ образомъ клѣтокъ, случалось находить разрывы стѣнокъ фолликула, ведущіе или къ сліянію сосѣднихъ железистыхъ пузырьковъ, или опорожненію содержимаго въ лимфатическое пространство.
Результаты экспериментовъ
Наибольшія измѣненія въ щитовидной железѣ наступали подъ вліяніемъ тиреолитической сыворотки и адреналина, при чемъ подъ вліяніемъ этихъ агентовъ они развивались не съ одинаковой быстротой и не съ одной и той же интенсивностью. Скорѣе всего измѣненія щитовидной железы обнаруживались въ опытахъ съ тиреолитической сывороткой. Въ одномъ рядѣ случаевъ ихъ можно было наблюдать уже спустя 1 часъ послѣ впрыскиванія въ v. jugubaris 30 куб. цен. сыворотки. Въ это время удавалось констатировать умѣренное расширеніе сосудовъ, появленіе значительнаго количества большихъ эпителіальныхъ клѣтокъ въ стѣвкахъ фолликуловъ съ свѣтлой протоплазмой. Еще болѣе рѣзкія измѣненія приходилось встрѣчать при изслѣдованіи железы черезъ 6—24 часа (см. табл. II. рис. 3) послѣ впрыскиванія тиреолитической сыворотки. Протоплазма железистыхъ клѣтокъ представляется крайне набухшей, разрыхленной и пронизанной вакуолями, нѣкоторыя клѣтки превращались прямо въ сѣтку, въ которой виднѣлись довольно хорошо сохранившіяся ядра. Количество коллоидныхъ клѣтокъ въ одномъ рядѣ случаевъ казалось увеличеннымъ въ числѣ, въ другомъ оставалось въ предѣлахъ нормы. Величина фолликуловъ и степень растяженія ихъ коллоидомъ непостоянно, также постоянно измѣненіе калибра кровеносныхъ сосудовъ, непредставляющихся то болѣе, то менѣе широкими. Дальнѣйшія измѣненія щитовидной железы, насколько позволяютъ судить наши препараты, сводятся къ постепенному возвращенію органа къ нормальному состоянію. Протоплазма славныхъ железистыхъ клѣтокъ принимаетъ вновь зернистый видъ. Вакуоли занимаютъ только небольшую частъ клѣтки. Этотъ процессъ возстановленія обычной структуры клѣточнаго тѣла происходитъ въ однихъ случаяхъ довольно быстро, такъ что по истеченіи уже 24 часовъ щитовидной железѣ наблюдается картина, почти соотвѣт ствующая уже той, которая встрѣчалась у нормальныхъ животныхъ. (См. табл. III. рис. 5). Въ другихъ случаяхъ тотъ же процессъ идетъ гораздо медленнѣе и по истеченіи 48 часовъ на препаратахъ изъ щитовидной железы можно было встрѣтить еще глубокія измѣненія строенія въ фолликулахъ съ преобладаніемъ сильно разбухшихъ, безцвѣтныхъ, лишенныхъ нормальной зернистости протоплазмы клѣтокъ, ядра которыхъ частью были смѣщены и окрашивались диффузно. (См. табл. II, рис. 4).
Само собою напрашивается вопросъ, слѣдуетъ ли принять только-что разсмотрѣнныя измѣненія щитовидной железы за различныя фазы физіологическаго состоянія иди они должны быть отнесены къ процессамъ дегенеративнаго характера. Если принятъ во вниманіе то, что въ контрольныхъ препаратахъ хотя и въ ограниченномъ количествѣ, также отмѣчалось присутствіе измѣненныхъ клѣтокъ, что явленій полнаго разрушенія паренхиматозныхъ элементовъ въ нашихъ опытахъ почти не наблюдалось, ядра измѣнялись не во всѣхъ случаяхъ и наконецъ способность отмѣчалась у измѣненныхъ клѣтокъ къ быстрому возстановленію, то можно прийти къ заключенію, что здѣсь дѣло идетъ лишь о физіологическомъ состояніи. Сравнивая полученныя мною данныя съ гистологическими измѣненіями, констатированными Маньковскимъ, Гончаруковымъ и находя между ними разницу, приходится допустить, что причина такого неодинаковаго отношенія къ примѣнявшемуся агенту лежитъ въ способѣ иммунизаціи животныхъ. Какъ уже сказано было, въ нашихъ случаяхъ, взятая для этой цѣли ткань щитовидной железы тщательно отдѣлялась отъ эпителіальныхъ тѣлецъ, каковое условіе не было соблюдено Маньковскимъ, что не можетъ считаться безразличнымъ для щитовидной железы. Та же причина могла лежать въ основѣ различія результатовъ моихъ наблюденій съ данными Demoor и Lint’а, и кромѣ того не могло оставаться безразличнымъ то обстоятельство, что опыты этихъ авторовъ длились большіе сроки, чѣмъ мои, антиреолитическая сыворотка вводилась въ организмъ животнаго повторно. Ближе всего отмѣченныя нами гистологическія измѣненія стоятъ къ этимъ измѣненіямъ, которыя находилъ въ корковомъ веществѣ надпочечниковъ npоф. Богомолецъ, вводя въ организмъ животныхь супререполитическую сыворотку.
Что касается поставленыхь мною наблюденій съ кимографомъ, то онѣ показали, что тиреолитическая сыворотка, при внутривенознмъ введеніи въ организмъ вызываетъ небольшое и быстрое выравнивающееся паденіе кровя иного давленія; дать объясненіе этому факту въ настоящее время представляется еще затруднительнымъ.
Измѣненія щитовидной железы, полученныя подъ вліяніемъ адреналина въ острыхъ опытахъ (впрыскиваніе въ ait. thyreoid. 0,4—0,6 mgrm. адреналина) сводятся къ слѣдующему: эпителіальныя клѣтки фолликуловъ являются хотя и зернистыми, но эта зернистость представляется очень неравномѣрной, отчего протоплазма кажется какъ бы разрыхленной и нѣсколько вакуолизированной. Ядра въ нѣкоторыхъ клѣткахъ—съ неровными контурами, блѣдны и иногда диффузно окрашивались. Въ очень небольшомъ количествѣ встрѣчались клѣтки съ сильно поврежденной протоплазмой и лишены ядеръ. Мѣстами замѣчалась десквамація измѣненнаго эпителія отъ стѣнокъ фолликуловъ. Наиболѣе рѣзкія измѣненія въ щитовидной железѣ были достигнуты при впрыскиваніи адреналина беременной кошкѣ. На контрольныхъ препаратахъ щитовидной железы, взятыхъ отъ беременной кошки, но не подвергавшейся никакимъ экспериментамъ, особенно замѣтныхъ измѣненій я не могъ подмѣтить. Такимъ образомъ, подъ вліяніемъ адреналина измѣненія въ эпителіи щитовидной железы наступаютъ довольно скоро, со преобладающими среди нихъ все же являются клѣтки съ измѣненіями не патологическаго характера, а скорѣе секреторнаго. Въ пользу такого заключенія говорятъ два наблюденія, указывающія на возможность уже черезъ сутки возстановленія нормальнаго строенія щитовидной железы при однократномъ введеніи адреналина въ тѣхъ дозахъ, которыя обыкновенно вскорѣ послѣ впрыскиванія проявляли значительную силу дѣйствія.
Измѣненія въ щитовидной железѣ у животныхъ, подвергавшихся многократнымъ впрыскиваніямъ адреналина (въ постепенно возрастающихъ дозахъ, начиная отъ 0,04—1,6 mgrm. для кролика и 0,4—5,0 mgrm. для кошки) являются дальнѣйшимъ развитіемъ только что описанныхъ. Щитовидныя железы въ большинствѣ случаевъ представляются уменьшенными. Эпителіальныя клѣтки фолликуловъ однихъ случаяхъ высока, съ протоплазмой въ состояніи разрѣженія. Въ нѣкоторыхъ клѣткахъ случалось видѣть большія глыбки коллоиднаго вещества. Ядра были смѣщены къ просвѣту фолликуловъ. (См. табл. 1, рис. 2). Въ другихъ случаяхъ эпителій фолликуловъ очень низкій, съ плохо различимой зернистой протоплазмой, съ вытянутыми ядрами. Соединительная ткань мѣстами увеличена. (См. табл. 111, рис 6). Измѣненія этого типа говорятъ о наступленіи глубокаго функціональнаго истощенія. О состояніи истощенія можно вывести заключеніе также на основаніи прекращенія у нѣкоторыхъ нашихъ животныхъ гликозуріи, которая въ началѣ каждаго наблюденія у такихъ животныхъ наступала послѣ впрыскиваній адреналина, что можетъ быть сопоставлено съ аналогичнымъ наблюденіемъ Eppinger'a, Falta и Rudinger’a надъ дѣйствіемъ адреналина на животныхъ, лишенныхъ щитовидной железы.
Только-что приведенные факты, указывая на взаимодѣйствіе щитовидной железы и гормона надпочечниковъ, важны и интересны потому, что даютъ возможность лишній разъ заглянуть въ очень сложный механизмъ корреляціи железъ съ внутренней секреціей и такимъ образомъ подтверждаютъ, можетъ быть, мнѣніе, высказанное въ работѣ Цитовича, что намѣчающаяся теперь стройная система о взаимоотношеніяхъ органовъ съ внутренней секреціей представляетъ изъ себя— не плодъ фантазіи, а огромной важности теорію новаго ученія, покоящагося на экспериментальныхъ данныхъ. При свѣтѣ этихъ данныхъ мало-по-малу измѣняются и клиническіе представленія о сущности дистиреозовъ. Тамъ, гдѣ до сихъ поръ видѣли лишь послѣдствія нарушенія функціи аппарата щитовидной железы, клиницисты уже начинаютъ признавать, что эти нарушенія въ свою очередь являются лишь слѣдствіемъ болѣе глубокихъ разстройствъ въ различныхъ отдѣлахъ гормонопотической системы. (Kraus, Даркшевичъ и др.).
Эти же данныя позволяютъ выдвинуть еще одинъ вопросъ и практическаго характера, именно, вопросъ о примѣненіи вещества надпочечниковъ въ качествѣ лечебнаго средства при дистиреозахъ вообще и въ частности при Базедовой болѣзни. Не спѣша дѣлать въ этомъ направленіи опредѣленныхъ выводовъ, слѣдуетъ, тѣмъ не менѣе указать, что нѣкоторые авторы, какъ напр. Hascovèc, Richardson, Sainton сообщали о достигнутыхъ ими благопріятныхъ результатахъ мри такомъ леченіи Базедовой болѣзни.
Обращаясь къ своимъ опытамъ съ гипофизеолитической сывороткой, долженъ отмѣтитъ, что положительный результатъ, въ смыслѣ усиленія секреторныхъ явленій въ щитовидной железѣ, получился только въ той серіи, въ которой бралась сыворотка отъ животныхъ, иммунизируемыхъ эмульсіей изъ передней железистой доли придатка. Сыворотка специфическая для задней доли придатка оказалась недѣятельной по отношенію къ щитовидной железѣ. Этотъ фактъ неодинакового отношенія къ щитовидной железѣ специфическихъ сыворотокъ для задней и переднихъ долекъ придатка даетъ нѣкоторую точку опори для пониманія взаимной связи, которая, повидимому, существуетъ между передней долей мозгового придатка и щитовидной железой. За эту связь до сихъ поръ говорило сходство, обнаруживаемое ими въ строеніи и нѣкоторые факты изъ патологіи человѣка, указывающіе на сходство ихъ и по своему физіологическому дѣйствію. Констатированный нами фактъ такимъ образомъ не противорѣчитъ этимъ даннымъ. Заканчивая обзоръ полученныхъ мною результатовъ, остается сказать, что найденныя измѣненія секреторнаго характера при другихъ условіяхъ эксперимента, а именно—при частичной экстирпаціи щитовидной железы, раздраженіи верхнихъ гортанныхъ нервовъ, отличаясь лишь незначительными частностями, въ общемъ, по своему качеству подходили въ большей или меньшей степени къ тѣмъ, о которыхъ уже преходилось говорить. Какъ на особенность укажу только на 2 случая экстирпацій щитовидной железы, въ которыхъ оставшіяся части железъ обнаруживали измѣненія не только секреторнаго, но и регенеративнаго характера. Наименѣе измѣненія железистыхъ клѣтокъ выражены были при введеніи пилокарпина, что является вполнѣ согласнымъ съ указаніемъ Schmidt'а. и противорѣчатъ даннымъ Roger и Саrniеr, Wyss’а и Andersson’a.
Остается отвѣтить еще па два вопроса, которые ставили себѣ и другіе авторы, изслѣдовавшіе подобно мнѣ секреторный процессъ въ щитовидной железѣ, а именно: 1) представляетъ ли коллоидъ продуктъ секреторной дѣятельности эпителія, или результатъ вторичнаго превращенія жидкости, выдѣляемой внутрь фолликула эпителіальными клѣтками и 2) какимъ способомъ коллоидъ поступаетъ въ организмъ. Какъ мы видѣли мнѣнія различныхъ изслѣдователей по этимъ вопросамъ довольно разнорѣчивы. Изученіе нашихъ препаратовъ, въ особенности сдѣланныхъ по методу Joris, позволяетъ мнѣ утверждать, что коллоидъ первично появляется въ видѣ зернышекъ внутри эпителіальныхъ клѣтокъ; зернышки, по мѣрѣ увеличенія ихъ числа, сливаются въ шары и, наконецъ, выталкиваются въ. просвѣтъ фолликула. Что касается 2-го вопроса, то мнѣ никогда не приходилось находить на своихъ препаратахъ межклѣточныхъ ходовъ, описанныхъ Bürthle; разрывы въ стѣнкахъ фолликуловъ встрѣчались далеко не часто, даже въ случаяхъ, гдѣ клѣтки обнаруживали явленія усиленной функціи, чтобы служить исключительнымъ путемъ для поступленія коллоида въ организмъ. Въ виду этого и принимая во вниманіе большую близость фолликулярнаго эпителія къ кровеноснымъ сосудамъ, можно допустить, согласно съ мнѣніемъ de Querѵаіn'a, Милевскаго и Часовникова, возможность непосредственнаго поступленія коллоида въ кровеносную и лимфатеческую систему въ силу процессовъ физико-химическаго характера.
Не касаясь другихъ подробностей своихъ изслѣдованій, я перечислю главнѣйшіе выводы, къ которымъ они привели.
1. При нормальномъ состояніи щитовидной железы въ ней всегда встрѣчается нѣкоторое количество клѣтокъ, обнаруживающихъ усиленную функцію.
2. Строгое различіе между главными и коллоидными клѣтками невозможно, въ виду существованія между ними ряда переходныхъ формъ.
3. Морфологическимъ субстратомъ усиленной отдѣлительной функціи слѣдуетъ считать увеличеніе числа клѣтокъ съ разрыхленной, вакуолизированной протоплазмой при сравнительно маломъ измѣненіи ядеръ и отсутствіи микроскопіи ческахъ реакцій, указывающихъ на какіе-либо дегенеративные процессы въ эпителіальныхъ клѣткахъ.
4. Обнаруживаемыя внутри железистыхъ клѣтокъ зерна и глыбки представляютъ изъ себя коллоидное вещество.
5. Адреналинъ сначала усиливаетъ секреторную дѣятельность щитовидной железы, а при длительномъ примѣненіи вызываетъ въ ней состояніе физіологическаго истощенія и явленія простой атрофіи клѣточныхъ элементовъ.
6. Тиреолитическая, гипофизеолитическая сыворотка, частичная экстирпація щитовидной железы, раздраженіе гортанныхъ нервовъ могутъ усиливать секреторный процессъ въ щитовидной железѣ.
7. Пилокарпинъ не оказываетъ существеннаго дѣйствія на секреторную дѣятельность щитовидной железы.
Объясненіе рисунковъ
Таблица I
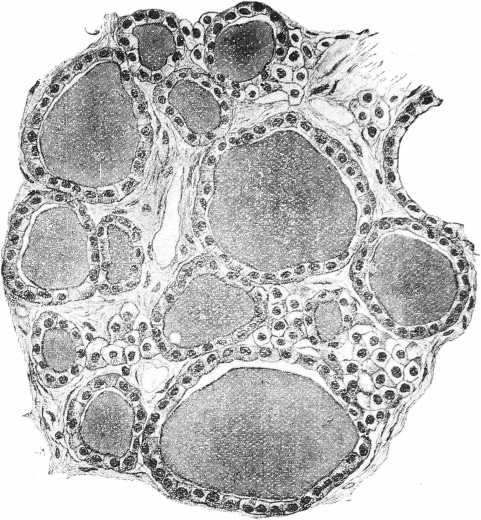
Рис. 1. Срѣзъ изъ щитовидной железы нормальной кошки. Фиксація въ 10% формалинѣ, окраска по vаn Gіеsоn’y. Увеличеніе: Leitz. Осniar 4. Objest. 6.
Рис. 2. Фолликулъ щитовидной железы кошки въ состояніи секреціи, подъ вліяніемъ адреналина. Фиксація въ жидкости Bouimа. Окраска по способу Jоrіs’a. Увеличеніе: Zens. Ocular 4. Object, homog. immers.
Таблица II
Рис. 3. Срѣзъ изъ щитовидной железы кошки спусти 24 часа послѣ впрыскиванія тиреолитической сыворотки. Фиксація въ 10% формалинѣ. Окраска гематоксилиномъ и эозиномъ. Увеличеніе: Leitz. Ocular 4, Object 6.
Рис. 4. Срѣзъ изъ щитовидной железы кошки спустя 48 часовъ послѣ впрыскиванія тиреолитическій сыворотки. Фиксація въ 10% формалинѣ, окраска гематоксилиномъ и эозиномъ Увеличеніе: Leitz. Ocular 4, Object. 6.
Таблица III
Рис. 5. Срѣзъ изъ щитовидной железы кошки спустя 24 часа послѣ впрыскиванія тиреолитической сыворотки. Фиксація въ 10% формалинѣ, окраска гематоксилиномъ и эозиномъ. Увеличеніе: Leitz, Ocular 5. Object. 7.
Рис. 6. Срѣзъ изъ щитовидной железы кролика послѣ многократныхъ впрыскиваній адреналина. Фиксація въ 10% формалинѣ, окраска по van-Gieson’y. Увеличеніе: Loitz. Ocular 1, Object. 7.
Рис. 1
Рис. 2
Рис. 3
Рис. 4
Рис. 5
Рис. 6
[1] Galeotti. Sülle grannlazione cellulari nee carcinosis. II Policlinico, vol. II. 1895.
[2] W. Е. Осокинъ. Къ вопросу о гипофизиолязнянахъ. Извѣстія Императорскаго Николаевскаго Университета т. IV, вып. 4.
Онъ же. Zot Frage der Нypophyseolyslues. Zentralblait for Physiologie ХХVIII. № 2.
About the authors
N. E. Osokin
Nikolaevsky University
Author for correspondence.
Email: info@eco-vector.com
Professor
Russian Federation, SaratovReferences
- Alquier et Touchard.—Arch. de med. exper et d’anatom. path. 1907.
- Andersson. Arch. f. Anat. und Etvieklungsgeschichte. Bd. 65. 1894.
- Ascanazy. Цит. пo Falta.
- Baber. Цит. пo Wölfler'y.
- Ballet et Enriquez. Sem. med. 1894 и 1895.
- Barbera et Ricci. Zentr f. Physiol. 1902.
- Березовскій. Zigl. Beitr. Bd. 12, 1892.
- Biedl. Innere Sekretion. Wien, 1913.
- Biondi. Berl. klin. Woehenschr., 1888.
- Богомолецъ. Диссертація. 1909.
- Bolten. Deutsch. Zeitchr. f. Nervenhcilk. Bd. 53.
- Bozzi. Ziegl. Beitr. Bd. 18. 1895.
- Briau. These, Paris, 1898.
- Mac Callum. Bioch. Zentralbl., 1904.
- Charcot. Цит. пo Evald'y.
- Cassirer. Die vasomot. troph. Neuroen. Berlin. 1912.
- De Coulon. Virch. Arch. Bd. 147.
- Cunningham. Zentralbl f. Physiol., 1899.
- Cyan. Die Gefässdrüsen als régulât. Sckutzorgane d. Nervensystems, Berlin, 1910.
- Цитовичъ. Новыя идеи въ медицинѣ, Сб, 319 1914.
- Проф. Даркшевичъ. Курсъ нервныхъ болѣзней Т. 3. 1914.
- Demoor et Lint. Le serum antithyroid, et son mode d’action.
- Bruxelle, 1903.
- Ehrich. Beitr. zur klin. Chirurgie, 1900.
- Eppinger, Falta und Rudinger. Zeitschr, f. klin. med. Bd. 66. und 67, 1908.
- Erdheim. Ziegl, Beitr. Bd. 33, 1903.
- Ewald. Die Erkrank, der Schilddrüse, Wien 1909.
- Earner. Virchow's Arch, 1886.
- Franz. Americ. Journ of Physiol v. 19, 1907.
- Galeotti. Arch. f. mikroscop. Anat. und Entvieclungsgeschichte Bd. 48 1897.
- Георгіевскій. Петр. дисс. 1896.
- Goett. цит. по Levi et Rothshild'у.
- Гончаруковъ. Centr. f. allgemeine Pathol, und pathol. Anat. 1902.
- Gordon. Therapeut Gazete. 1907.
- Gull. цит. по Vincent’y.
- Gutknecht. Virch. Arch. Bd 91, 1885.
- Hectoen. Centr. f. allgem Path, u Pathol. Anat. 1897.
- Haskovez. Revue neurol. 1900.
- Hertoghe. Nouv. Icon, de la Salpeter. 1899.
- Hüthle. Deutshe. med. Wochenshr. 1894 и Physiol. Arch. Bd 56.
- Jeanselme. Цит. пo Cassirer'у.
- Joris, цит пo Masay.
- Kaschhvamura. Virchows Arch. Bd. 166.
- Katzenstein. Arch. f. Anat. und Pbysiol, 1897.
- Kocher. Th. Arch. f. Klin. Chirurg, ßd. 29, 1883.
- Kocher A. Mitteilungen aus der Grenzgebieten der Mediz. und Chirurg. Bd. 9.
- Онъ же. Virch. Arch. Bd. 208, 1912.
- Kornfeld. Wien, mediz. presse, 1906.
- Krömer. Deutsche med. Wuchenschr. 1903.
- Laignel-Lavastine. Revue de Psychiatr. v. 12, 1908.
- Langendorff. Biol. Zentralbl. Bd. 9, 1899.
- Онъ же. Arch. f. Anat und Physiol 1899.
- Langhans. Virch Arch Bd. 206, 1911.
- Онъ же. Virch. Arch. Bd. 128, 1892.
- Lewandowsky. Festsehr f. v. Leyden, 1902.
- Levi et de Rothschild. Revue neurol, 1909.
- Lieber meist er. Цит. пo Ewald’y.
- Lobenhoffer. Mitteil aus dem Grenzdebit t. der Mediz. und Chirurg Bd. 20, 1909.
- Lübcke. Virch Arch Bd. 162, 1902.
- Ludke. München, med. Wochenschr, 1905.
- Манъковскiй. Русск. Арх. патолог., клинич. медиц., и бактеріол. т. 14, 1902.
- Massay. L’IIupophyse, Brüxelle, 1908.
- Meuli. Pflüger s. Arch. 1884, Bd. 83.
- МилевскійПетроградск, дисеерт. 1907.
- Müller. Zieglr’s Beitr. Bd. 19, 1896.
- Муратовъ. Медиц. Обозрѣн., 1907.
- Nemeister. Цит. по Березовскому.
- Ord and Witte Brit. med. Journ 1893. цит. по Vincent'y.
- Panagiotides. Цит. по Wölfler’y.
- Paris. Arch, de neurol. 1904.
- Parhon. Revue neurol. 1906.
- Pathon et Urechia. Revue neurol. 1908.
- Peiser. Zeitschr. f. experim. Pathol, und Therap. Bd 3, 1906.
- Онъ же. Zeitschr. f. Biolog. Bd. 48, 1906.
- Перемежко. Цит. пo Wolfler’y.
- Poineare. Journ. de l’anatom. et physiol, 1875.
- de Quervaine. Mitteil. aus den Grenzgebit. der Mediz. und Chirurg. 1904.
- Reinbach. Ziegler’s. Beitr. Bd. 16, 1894.
- Reverdin. Revue med. de la Suisse romande 1883.
- Ribbert. Virch. Arch. Bd. 117, 1889.
- Richardson. Revue neurol. 1902.
- Roger Garnier. Virch. Arch. Bd. 171.
- Романовъ Петроградец. Диссерт. 1889.
- Rothmann. Berlin, med. Wochenschr. 1915.
- Sainton. Congr. Français de med. 1907.
- Sarbach. Mitteil. aus den Grenzgebiet, der Mediz. und Chirurg. Bd. 15, 1905.
- Sartirana. Biochem. Zentr. 1903.
- Schiff. Revue med. de la Suisse romande, 1884.
- Онъ же. Arch. f. experim. Pathol, und Pharmacol. Bd. 18, 1884.
- Schmidt. Arch. f. Microsc. Anal, und Entvieckiungsgeschichte. Bd. 47, 1884.
- Singer. Berlin, med. Wochenschr. 1895.
- Соколовъ. Больничн. газ. Боткина. 1895.
- Stransky. Lehrbuch, der allgemeinen und speziellen Psychiatrie. Leipzig, 1914.
- Пpoф. Чуевскій. Кровораспредѣленіе въ живомъ организмѣ и кровоснабженіе отдѣльныхъ его органовъ. Харьковъ, 1906.
- Часовниковъ. Къ вопросу о микрофизіологіи щитовидной железы и объ отношеніи этого органа къ эпителіальнымъ тѣльцамъ. Томскъ, 1914.
- Virchow. Die Krankhaften Geschwülsten. Berlin, 1867.
- Waldeyer. Berlin, klin. Wochenschr., 1887.
- Wanner. Virch. Arch. Bd. 158.
- Wiener. Zenttalbl. f. Physiol. 1900.
- Wharton. Цит. пo Vincent’y.
- Wolfler Uber die Entwieklungund den Bau der Schilddrüse, Berlin, 1880.
- Wuss. Correspondenzblatt. seweizer Arzte. 1889.
- Zielinska. Virchows Arch. Bd. 136. 1894.
Supplementary files








