Morphological assessment of reparative regeneration of experimental bleeding liver wounds in the treatment of hemostatic agent Surgitamp and granular sorbent Molselect G-50
- Authors: Parkhisenko Y.A.1, Vorontsov A.K.2, Cherednikov E.F.1, Barannikov S.V.1, Korsakov A.V.3, Troshin V.P.4
-
Affiliations:
- Voronezh State Medical University named after N.N. Burdenko
- Smolensk State Medical University
- N.I. Pirogov Russian National Research Medical University
- Bryansk City Hospital № 1
- Issue: Vol 20, No 1 (2023)
- Pages: 73-80
- Section: Original Researches
- URL: https://journals.eco-vector.com/1994-9480/article/view/340897
- DOI: https://doi.org/10.19163/1994-9480-2023-20-1-73-80
- ID: 340897
Cite item
Full Text
Abstract
The problem of treating intra-abdominal bleeding in abdominal trauma is one of the most serious in urgent surgery. The most common cause of these hemorrhages is liver damage. For surgical hemostasis, local hemostatics and granular sorbents are becoming increasingly common. The aim of the study was to study in vivo the hemostatic properties and morphological features of the reparative regeneration of simulated bleeding liver wounds during treatment with the hemostatic agent Surgitamp and the sorbent Molselect G-50. The experiments were performed on 30 laboratory animals – Chinchilla rabbits. After reproducing the model of a bleeding liver wound, bleeding was stopped in the experimental group (n = 15) by applying Molselect G-50 (4.0 g) powdered sorbent into the wound, followed by tamponing with Surgitamp hemostatic gauze (4.0 x 2.0 cm). Hemostasis in the control liver wound was carried out by applying a U-shaped suture with a PGA-3.0 thread until the edges of the wound converged. Morphological studies were performed on the 7th, 14th and 28th days of the experiment. Experimental studies have shown that the time to stop bleeding in the experimental group was 280.0 (264.0–308.0) sec, in the control, the time of hemostasis was later – 461.0 (420.0–501.0) sec. Morphological studies have allowed us to establish differences in both the rate and quality of reparative regeneration of experimental simulated liver wounds compared with the control. Experimental studies using Molselect G-50 in combination with Surgistamp for local hemostasis of bleeding liver wounds in rabbits allowed us to conclude that such a combination makes it possible not only to reliably stop bleeding, but also promotes the stimulation of reparative regeneration.
Full Text
Одной из актуальных проблем ургентной хирургии остается травма живота. Наиболее частой причиной летальных исходов при абдоминальной травме являются разрывы печени, осложненные внутрибрюшным кровотечением. Своевременность хирургического лечения, применение эффективных методов гемостаза здесь приобретают значение [1, 2, 3, 4, 5].
В последнее время уточняются морфологические особенности зон повреждения (размеры, локализация, форма и т. д.), что определенно может повлиять на действия хирурга. Остается много неясного в биомеханике травмы печени. Современная хирургия все отчетливее принимает концепцию секторального строения печени, то есть печень лучше представлять как систему сегментов с развернутой древовидной структурой для понимания взаимоотношения зон разрыва, ушиба, размозжения и сохранившейся ткани печени при травме [6].
При остановке кровотечения все шире стали применять гранулированные сорбенты, местные гемостатики, сетчатые импланты и др. Гемостаз при этом происходит за счет местной активации тромбоцитов, формирования устойчивого тромботического барьера и впитывания жидкого компонента крови гидрофильными сорбентами с образованием геля [7, 8].
Важно отметить, что сведений о применении гемостатика сургитамп и сорбента молселект G-50 для остановки кровотечения из ран печени не обнаружено. В этой связи представляется перспективным изучение возможности применения гемостатика в сочетании с гранулированным сорбентом в лечении кровотечений из травматических ран печени.
ЦЕЛЬ РАБОТЫ
Изучить в эксперименте in vivo гемостатические свойства и морфологические особенности репаративной регенерации моделированных кровоточащих ран печени при лечении гемостатическим средством сургитамп и сорбентом молселект G-50.
МЕТОДИКА ИССЛЕДОВАНИЯ
Исследования проведены на базе федерального государственного бюджетного образовательного учреждения высшего образования «Брянский государственный аграрный университет» при строгом соблюдении законодательства в сфере охраны животных, используемых в экспериментальных исследованиях: Европейской конвенции по защите экспериментальных животных 86/609 ЕЕС, Европейской конвенции о защите позвоночных животных, используемых для экспериментов или в иных научных целях (Страсбург, 18.03.1986, ETS № 123), протокол № 8 Этического комитета ФГБОУ ВО ВГМУ им. Н.Н. Бурденко Минздрава России от 28 ноября 2019 года. В исследовании приняли 30 лабораторных животных – кролики породы шиншилла: 15 животных – опытная группа (ОГ), 15 животных – контрольная группа (КГ).
Экспериментальная модель кровоточащей раны печени: под внутривенным обезболиванием (золетил 100 – 0,1 мл/кг массы тела, ксилавет – 0,1 мл/кг массы тела) лабораторным кроликам выполнялась срединная лапаротомия. В рану выводилась правая доля печени, которую помещали на подставку-столик. На расстоянии 20 см от поверхности печени с помощью нити крепился металлический груз в виде треугольной призмы массой 92 г. По готовности нить, фиксирующая груз, пережигалась пламенем газовой горелки, груз падал в вертикальном направлении и ударялся о поверхность правой доли печени, что приводило к формированию экспериментальной кровоточащей раны печени, локализующейся в области правой доли, линейной формы, размером 3,0 × 0,7 см, глубиной 0,6 см, с неровными краями и активным паренхиматозным кровотечением из области краев раны (рис. 1).
Рис. 1. Опыт 14. Экспериментальная кровоточащая рана печени
Остановка кровотечения в ОГ производилась путем аппликации раны сорбентом молселект G-50 (4,0 г) с последующим тампонированием полоской гемостатической марли сургитамп (4,0 × 2,0 см) (рис. 2). Хирургический гемостаз в КГ достигался путем прошивания экспериментальной кровоточащей раны печени п-образным швом (нить ПГА 3.0 на основе полигликолевой кислоты) до сближения краев раны (рис. 3).
Рис. 2. Опыт 14. Остановка кровотечения в ОГ животных путем аппликации сорбента молселект G-50 и тампонированием раны гемостатической марлей сургитамп
Рис. 3. Опыт 14. Остановка кровотечения в КГ животных путем прошивания кровоточащей раны печени п-образным швом
Оценку результатов экспериментального исследования производили по показателям: время остановки кровотечения, изучение морфологических особенностей заживления печени в области экспериментальных кровоточащих ран. В ходе эксперимента осложнений, связанных с обезболиванием, оперативным вмешательством, а также случаев непрогнозируемой гибели животного не наблюдалось.
Выведение животных из эксперимента производили на 7, 14 и 28-е сутки путем передозировки наркоза (по 5 животных ОГ и КГ). При аутопсии производили забор ткани печени из области экспериментальных ран с последующим их погружением в 10%-й раствор формалина. Обезвоживание тканей проводили в этиловом спирте возрастающей концентрации, после чего их заливали в парафин. Срезы ткани печени толщиной 5 мкм окрашивали гематоксилин-эозином и пикрофуксином по Ван-Гизону на выявление коллагеновых волокон. Иммуногистохимическое окрашивание применялось для идентификации пролиферирующих клеток по экспрессии антигена Ki-67 печени экспериментальных животных. Первичное антитело – Purified Mouse Anti-Human Ki-67 (клон В56, разведение 1 : 50, производитель BD Biosciences, USA). Вторичное антитело – Biotine mouse anti-rat IgG2b (разведение 1 : 50, производитель Millipore, USA). Идентификация антигенных детерминант осуществлялась непрямым пероксидазным методом окрашивания.
Статистическую обработку результатов проводили в программном пакете Stata SE 14.2 (StataCorp., TX, USA). Определяли основные показатели описательной статистики: среднее, ошибка среднего, медиана, квартильный размах. Анализ значимости различий производили с использованием критериев: Т-критерия Стьюдента, критерия Вилкоксона, U-критерия Манна – Уитни.
РЕЗУЛЬТАТЫ ИССЛЕДОВАНИЯ И ИХ ОБСУЖДЕНИЕ
Экспериментальные исследования показали, что сразу же после нанесения на кровоточащую рану сорбента молселект G-50, с последующей тампонадой марлей сургитамп, сорбент и гемостатическая марля активно пропитывались кровью. При этом сорбент набухал, значительно увеличиваясь в объеме, и превращался в окрашенный кровью гидрогель, что способствовало механической компрессии кровоточащих сосудов и остановке кровотечения. Тампонирование раны марлей сургитамп способствовало усилению гемостатической активности и достижению стойкого гемостаза. Время остановки кровотечения в ОГ составило 280 (264–308) с
В КГ животных остановка кровотечения происходила значительно P = 0,0001 позже, чем в ОГ. Время гемостаза для КГ составило – 461 (420–501) с. Большая длительность остановки кровотечения была обусловлена более длительным временем проведения основного этапа хирургического гемостаза в КГ и постоянным подтеканием крови из раны и мест вкола иглы в печень, что требовало дополнительного прошивания и сдавления ткани печени.
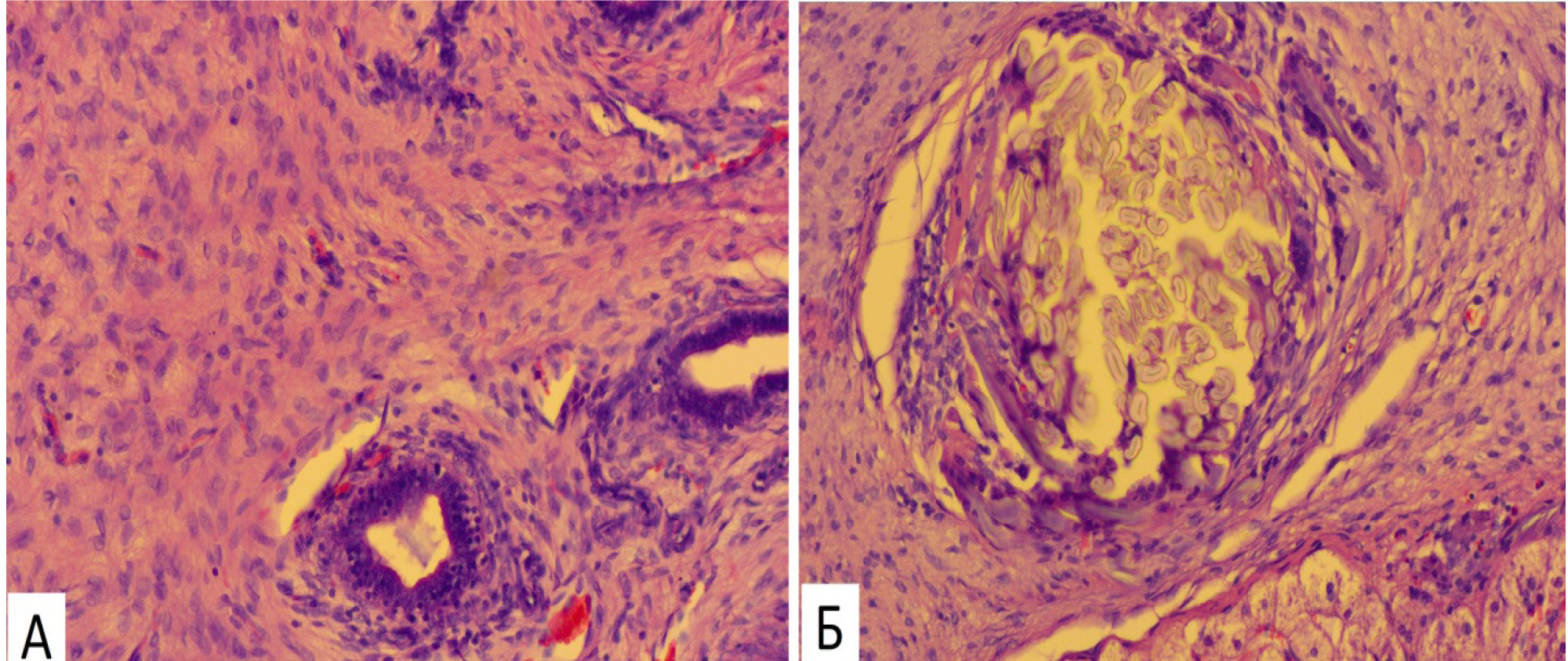
При морфологическом исследовании гистологического материала установлены следующие особенности. На 7-й день эксперимента, в микропрепаратах ОГ наблюдалась выраженная макрофагальная реакция в формирующейся соединительнотканной капсуле, отграничивающая клетки печени от очага повреждения (рис. 4А). В микропрепаратах КГ на 7-й день эксперимента в зоне повреждения печени наблюдались отек, лимфо-гистиоцитарная инфильтрация, скопления макрофагов и развитие грануляционной ткани (рис. 4Б).
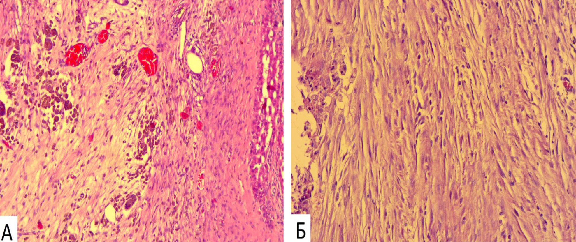
На 14-е сутки эксперимента (ОГ) в формирующейся рубцовой ткани вокруг молселекта G-50 отмечались многочисленные многоядерные гигантские клетки инородных тел (рис. 5А). В это же время в КГ формирующаяся соединительнотканная капсула имела незначительное количество гигантских клеток на рассасывание инородных тел (рис. 5Б).
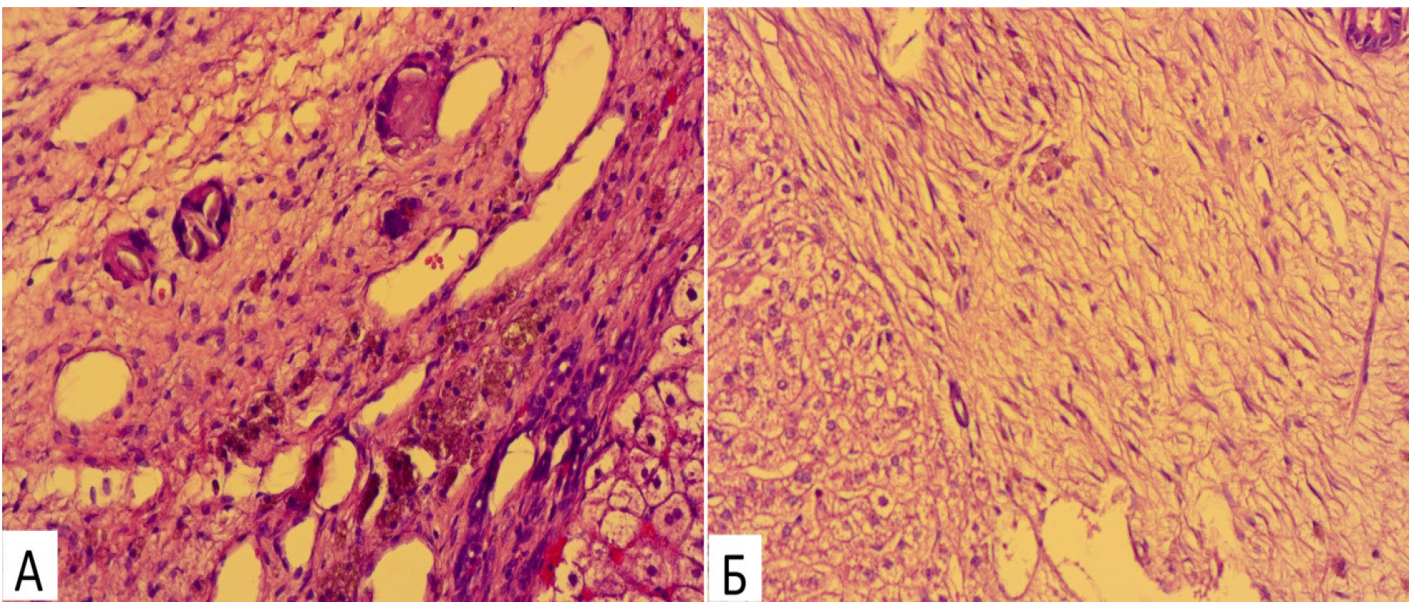
На 28-й день эксперимента при анализе морфологических особенностей заживления экспериментальных ран печени наблюдались следующие особенности. В ОГ животных дно раны («зона некроза») было представлено зрелой грануляционной тканью с врастающими печеночными ходами и сосудами. В прилежащих к ране зонах отмечались очаги пролиферирующих молодых гепатоцитов (рис. 6А). В КГ «зона некроза» представляла собой молодую грануляционную ткань с густой лимфо-гистиоцитарной инфильтрацией, отграниченной зрелой соединительно-тканной капсулой. Капсула отделяла ткань печени от очага повреждения. В зоне шовного материала ПГА наблюдалась выраженная гигантоклеточная реакция (рис. 6Б).
Рис. 4. Опыт 14. Морфологическая картина печени кролика в области опытной (А) и контрольной (Б) кровоточащих ран печени. 7-е сутки. Окраска гематоксилин-эозином. Ув. ×100
Рис. 5. Опыт 14. Морфологическая картина печени кролика в области опытной (А) и контрольной (Б) кровоточащих ран печени. 14-е сутки. Окраска гематоксилин-эозином. Ув. ×100
Рис. 6. Опыт 14. Морфологическая картина печени кролика в области опытной (А) и контрольной (Б) кровоточащих ран печени. 28-е сутки. Окраска гематоксилин-эозином. Ув. ×100
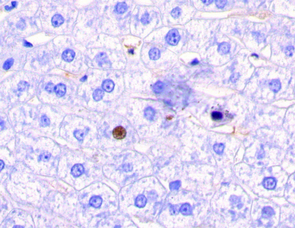
Пролиферативная активность клеток печени кроликов определялись с помощью иммуногистохимического метода с использованием антитела Ki-67 и p53. Ki-67 – ядерный антиген, выраженный в клетках на всех стадиях клеточного цикла кроме Go, что позволяет использовать его в качестве маркера пролиферации. По количеству Ki-67-позитивных клеток в 1 мм2 на срезах печени оценивали течение регенеративных процессов с помощью индекса пролиферативной активности (ИПА).При повреждении печени определяли количество Ki-67-позитивных гепатоцитов в единице пло- щади (рис. 7). Как известно, репарация печени осуществляется как за счет внутриклеточной регенерации, что проявляется в увеличении размеров гепатоцитов, их ядер и росте числа двуядерных клеток, так и за счет клеточной регенерации, на что указывает увеличение количества Ki-67 положительных гепатоцитов [9, 10]. В условиях эксперимента, после нанесения травмы в паренхиме печени, наблюдаются диаметрально противоположные процессы, которые характеризуются увеличением числа пролиферирующих клеток (Ki-67 положительных) и уменьшением индекса апоптоза (снижение запрограммированной гибели клеток).
Всего в опытной группе животных на 7-й день изучили 107 случайных полей зрения (пз), на 14-й день – 100 пз, на 28-й – 99 пз. В группе контрольных животных изучили: на 7-й день – 99 пз, на 14-й день – 99 пз, на 28-й – 103 пз. Динамика показателя ИПА в ОГ и КГ представлена на рис. 8.
Как видно из рис. 8, ИПА гепатоцитов в печени кроликов достоверно не отличался на 7-й день в опытной и контрольной группах и составил 6,35 и 6,32 % (Ме) соответственно при P > 0,05. На 14-й день ИПА в ОГ был достоверно (P = 0,00001) выше – 19,36 %, чем в КГ – 4,52 %. На 28-й день ИПА гепатоцитов в ОГ снижался до уровня 12,49 %, а в контроле нарастал до 14,78 % (P = 0,02).
Рис. 7. Микрофотографии иммуногистохимического исследовании экспрессии Ki-67 антигена в ткани печени кроликов
Рис. 8. График динамики показателя индекса пролиферативной активности
Таким образом, пролиферативная активность гепатоцитов в ОГ нарастала с 7 суток и достигала максимума уже на 14-е сутки исследования, после чего темп регенерации ткани печени снижался, в то время как в КГ пролиферация печени снижалась с 7-го к 14-му дню, возможно, за счет ишемии в области зоны повреждения, вызванной сдавлением сосудов шовным материалом, а рост пролиферативной активности и восстановление ткани печени происходил лишь к 28-м суткам.
Количество клеток, подвергшихся апоптозу, подсчитывали в 100 полях зрения в окрашенных гематоксилином и эозином срезах печени кроликов. Результаты подсчета выводили в виде процента апоптозных клеток – индекса апоптоза (ИА). ИА характеризует количество погибающих естественным путем клеток (запрограммированная гибель клеток). Мы использовали иммуногистохимический маркер p53. Чем меньше ИА, тем выше пролиферативная активность клеток и наоборот. Графическое представление ИА представлено на рис. 9.
Рис. 9. График динамики показателя индекса апоптоза
При сравнении этих показателей выявлено статистически достоверное различие ИА на 7-й день экспериментального исследования: ИА в ОГ составил 3,96 ± 1,21, в КГ – 8,39 ± 2,46 (P < 0,05). Наиболее вероятно ИА в КГ на 7-й день был выше из-за ишемических процессов в области контрольных ран, что связано со сдавлением шовным материалом кровоснабжающих зону повреждения сосудов. В ОГ на 14-е сутки ИА находился на уровне 7 дня – 3,83 ± 1,22 (P < 0,05), а к 28-му дню происходило его значительное снижение до уровня 1,92 ± 0,78. В КГ к 14-му дню ИА снижался с 8,39 ± 2,46 до 5,49 ± 1,61 (P < 0,05), а к 28-му дню ИА продолжил снижение и составил 3,78 ± 0,88. Значимость различий ИА в сравниваемых группах на 28-е сутки составила P = 0,001.
Таким образом, ИА в ОГ и КГ имел максимальные значения на 7-е сутки и к 28-му дню постепенно снижался в обеих группах. Однако ИА в контрольной КГ на 7-е сутки исследования был более выражен в связи с развивающейся ишемией ткани печени в зоне ушивания, где погибает большее количество гепатоцитов, тогда как в ОГ интенсивной гибели клеток не происходило, и ИА практически оставался на одном уровне. Начиная с 14 дня и в ОГ, и КГ происходило постепенное снижение ИА гепатоцитов, при этом лучшие характеристики наблюдались в ОГ, что объясняется меньшим повреждением ткани печени за счет отсутствия вторичных ишемических изменений.
ЗАКЛЮЧЕНИЕ
Таким образом, использование технологии хирургического гемостаза экспериментальных кровоточащих ран печени путем аппликации сорбента молселект G-50 с последующей тампонадой гемостатической марлей сургитамп позволяет обеспечить надежный гемостаз моделированных кровоточащих ран печени, сокращая время остановки кровотечения с 461 (420–501) с до 280 (264–308) с при P = 0,0001. Применение гемостатического средства сургитамп и гранулированного сорбента молселект G-50 способствует ускорению сроков и улучшению качества репаративной регенерации при отсутствии повреждающего действия на печеночную ткань, что позволяет использовать разработанные методики хирургического гемостаза для остановки кровотечений из ран печени в клинической практике.
Конфликт интересов. Авторы декларируют отсутствие явных и потенциальных конфликтов интересов, связанных с публикацией настоящей статьи.
Competing interests. The authors declare that they have no competing interests.
About the authors
Yuri A. Parkhisenko
Voronezh State Medical University named after N.N. Burdenko
Email: parkhisenko46@mail.ru
ORCID iD: 0000-0002-6486-9405
Professor, PhD, ScD, Professor of the Department of Specialized Surgical Disciplines
Russian Federation, VoronezhAlexey K. Vorontsov
Smolensk State Medical University
Author for correspondence.
Email: ale92112855@yandex.ru
ORCID iD: 0000-0002-3730-1005
PhD, Assistant of the Department of Hospital Surgery
Russian Federation, SmolenskEvgeniy F. Cherednikov
Voronezh State Medical University named after N.N. Burdenko
Email: facult-surg.vsmuburdenko@yandex.ru
ORCID iD: 0000-0001-7521-0211
Professor, PhD, ScD, Head of the Department of Urgent and Faculty Surgery
Russian Federation, VoronezhSergey V. Barannikov
Voronezh State Medical University named after N.N. Burdenko
Email: svbarannikov@rambler.ru
ORCID iD: 0000-0002-2620-9836
PhD, Associate Professor at the Department of Urgent and Faculty Surgery
Russian Federation, VoronezhAnton V. Korsakov
N.I. Pirogov Russian National Research Medical University
Email: korsakov_anton@mail.ru
ORCID iD: 0000-0002-4609-0246
PhD, ScD, Associate Professor, Professor of the Department of Disaster Medicine
Russian Federation, MoscowVladislav P. Troshin
Bryansk City Hospital № 1
Email: vptbr32@mail.ru
ORCID iD: 0000-0003-1675-7553
PhD, ScD, Head of the Pathology Department
Russian Federation, BryanskReferences
- Sigua B.V., Zemlyanoi V.P., Dyukov A.K. Closed abdominal trauma with liver damage (literature review). Vestnik Severo-Zapadnogo gosudarstvennogo meditsinskogo universiteta im. I.I. Mechnikova = Herald of North-Western State Medical University named after I.I. Mechnikov. 2014;6(3):93–98. (In Russ.).
- Evtikhov A.V., Lyubivy E.D., Kim V.L. Clinical observations of severe traumatic liver injuries. Khirurgiya. Zhurnal im. N.I. Pirogova = Pirogov russian journal of surgery. 2020;7:89–92. doi: 10.17116/hirurgia202007189. (In Russ.).
- Lipatov V.A., Ershov M.P., Sotnikov K.A. et al. Modern trends in the use of local applicative hemostatic agents. Innova. 2016;2(3):64–69. doi: 10.21626/innova/2016.2/07. (In Russ.).
- Styazhkina S.N., Pelina N.A., Khabibulina L.I. et al. The place of videolaparoscopy in urgent surgery for organ injury abdominal cavity. Sovremennye problemy nauki i obrazovaniya = Modern problems of science and education. 2017;3:63. (In Russ.).
- Timoshenkova A.V., Kuzmin M.V., Katanov E.S. Evaluation of the biliostatic properties of modern topical hemostatic agents used in liver surgery. Permskii meditsinskii zhurnal = Perm Medical Journal. 2018;35(1):102–107. doi: 10.17816/pmj351102-107. (In Russ.).
- Lyzikov A.N., Skuratov A.G., Osipov B.B. Mechanisms of liver regeneration in normal and pathological conditions. Problemy zdorov’ya i ekologii = Problems of health and ecology. 2015; 1(43):4–9. (In Russ.).
- Cherednikov E.F., Barannikov S.V., Yuzefovich I.S. et al. Innovative Endoscopic Technologies in the Complex Treatment of Patients with Unstable Stopped Gastroduodenal Bleeding. International Journal of Biomedicine. 2021;11(1):24–28. doi: 10.21103/Article11(1)_OA4.
- Cherednikov E.F., Glukhov A.A., Romantsov M.N. et al. Hemostatic agents in combination with diovine for local treatment of simulated bleeding gastric ulcers. International journal of biomedicine. 2020;10(2):138–141. https://doi.org/10.21103/Article10(2)_OA10.
- Skuratov A.G., Lyzikov A.N., Zinovkin D.A. et al. Morphometric parameters of liver regeneration during partial hepatectomy and transplantation of mesenchymal stem cells in an experiment. Izvestiya Natsional’noi akademii nauk Belarusi. Seriya meditsinskikh nauk = Proceedings of the National Academy of Sciences of Belarus. Series of Medical sciences. 2016;4:57–65. (In Russ.).
- Plekhanov A.N., Tovarshinov A.I. Liver regeneration: solved and problematic issues (Message 2). Khirurgiya. Zhurnal im. N.I. Pirogova = Surgery. Pirogov russian journal of surgery. 2021;2:88–93. (In Russ.) doi: 10.17116/hirurgia202102188.
Supplementary files
