Морфоиммуногистохимические изменения коронарных артерий в ранние сроки после стентирования
- Авторы: Тодоров C.С.1, Тодоров C.С.1, Дерибас В.Ю.1, Казьмин А.А.1
-
Учреждения:
- Ростовский государственный медицинский университет
- Выпуск: Том 20, № 2 (2023)
- Страницы: 109-115
- Раздел: Оригинальные исследования
- URL: https://journals.eco-vector.com/1994-9480/article/view/567862
- DOI: https://doi.org/10.19163/1994-9480-2023-20-2-109-115
- ID: 567862
Цитировать
Полный текст
Аннотация
Введение. Современные методы хирургического лечения при ишемической болезни сердца включают стентирующие и шунтирующие операции. В этой связи морфоиммуногистохимическое изучение состояния коронарных артерий в ранние сроки после стентирования позволит прогнозировать послеоперационные осложнения. Материалы и методы. Изучены протоколы вскрытий 20 умерших (10 мужчин, средний возраст – 64,7 лет, 10 женщин, средний возраст – 76,9 года). В 85 % отмечен прогрессирующий стенозирующий атеросклероз устья левой коронарной артерии (КА) и передней межжелудочковой ветви. С учетом развития осложнений после стентирования были выделены три хронологические группы: 1) до 3 суток; 2) 3–7 суток; 3) 7–15 суток. Использовалась компьютерная программа ImageJ (US National Institutes of Health, США) для морфометрии КА. Статистическую обработку полученных результатов осуществляли на персональном компьютере с применением статистических инструментов программы Statistica 10. Результаты. Было показано, что в течение первых 3 дней после стентирования КА в их стенках наблюдаются острые повреждения клеток эндотелия в виде десквамации, дистрофических и некробиотических процессов, внутристеночные геморрагии в зонах локализации атером. Через 3–7 суток и позднее, спустя 7–15 суток после стентирования КА, в просветах КА отмечаются пристеночные смешанные (фибриново-лейкоцитарные), фибриновые тромбы с признаками организации, что сочетается с явлениями неоангиогенеза стенки артерии.Выводы. Повреждение клеток эндотелия и связанные с ними нарушения реологических свойств крови за счет экспрессии фактора Виллебранда могут инициировать эндотелиальную дисфункцию с развитием тромбозов, тромбоэмболий мелкий ветвей КА, которые могут служить причиной перфузионных расстройств миокарда с развитием острого инфаркта.
Ключевые слова
Полный текст
В настоящее время хирургическое лечение ишемической болезни сердца (ИБС) представлено стентирующими и шунтирующими операциями. Достигнуты определенные успехи в лечении таких больных. Однако при выполнении чрескожного коронарного вмешательства (ЧКВ) могут возникать как ранние, так и поздние осложнения. К их числу относятся тромбозы стентов, рестенозы сосудов в области установки стентов, неоатеросклероз [1, 2, 3, 4, 5]. Морфологическое изучение состояния коронарных артерий после имплантации стентов, в основном, посвящено поздним осложнениям ЧКВ, в то время как ранние изменения, возникающие в первые несколько дней после операций в коронарных артериях, мало описаны [3].
Известно, что непосредственно после имплантации стента в стенке коронарной артерии (КА) развивается воспалительная реакция и тромбоз в ответ на повреждение клеток эндотелия. В основном ЧКВ выполняются при прогрессирующем атеросклерозе коронарных артерий сердца, что характеризуется наличием атером с разрывом или надрывом фиброзной атеросклеротической бляшки [3, 6].
По мнению некоторых исследователей, в местах стентирования коронарных артерий последовательно возникают изменения, связанные с формированием тромба и воспалительной реакции в местах повреждения интимы. В последующем в участках альтерации эндотелиоцитов стенок КА возникает пролиферация, миграция гладкомышечных клеток, формирование внеклеточного матрикса [3].
Считают, что повреждение клеток эндотелия и тромбоцитарный тромб в просвете стента являются важными факторами для активации полиморфно-ядерных лейкоцитов (нейтрофилов), что запускает каскад воспалительной реакции. В воспалительный ответ включаются С3а, С5а, Тh1, Th2, моноциты, нейтрофилы, которые секретируют фактор некроза опухоли (ФНО-а), компоненты комплемента, интерлейкины 1, 3, 33 [7, 8, 9].
По мнению некоторых авторов, при этом может наблюдаться высокий уровень экспрессии лейкоцитарного интегрина MAC-1, что усиливает вторичную адгезию лейкоцитов к поврежденной сосудистой стенке, поддерживая тем самым в ней воспалительную реакцию [4, 9]. Несомненно, эти процессы затрудняют репарацию стенки артерии с дальнейшим развитием рестеноза. Кроме того, в литературе имеются разноречивые данные о роли некоторых факторов эндотелиальной дисфункции – CD31, фактор Виллебранда (ФВ) – в инициации тромбообразования в ранние сроки после стентирования КА.
ЦЕЛЬ РАБОТЫ
Выявить морфоиммуногистохимические изменения коронарных артерий в ранние сроки после стентирования.
МЕТОДИКА ИССЛЕДОВАНИЯ
Проведено морфологическое исследование КА, полученных во время выполнения аутопсий 20 умерших после проведения стентирования. Среди умерших было 10 мужчин и 10 женщин, средний возраст женщин составил 76,9 лет, средний возраст мужчин 64,7 года.
Из истории болезни умерших было известно, что больные поступали в кардиологическое отделение клиники РостГМУ с признаками острого инфаркта миокарда. Во всех случаях пациентам выполнялась коронарография с последующим выполнением стентирования инфаркт-зависимой артерии. В 85 % наблюдений наблюдался стенозирующий резковыраженный атеросклероз устья левой КА и передней межжелудочковой ветви, в остальных 15 % – стенозирующий атеросклероз правой КА. Анализ историй болезни умерших пациентов с ИБС позволил выявить наличие коморбидной патологии: сахарный диабет (35 %), артериальная гипертензия (58 %), ожирение (7 %).
При вскрытии коронарных артерий обращали внимание на топографию атеросклеротического поражения, топику стентов, их проходимость. Вскрытие коронарных артерий, содержащих стенты, осуществлялось в соответствии с запатентованной методикой [10].
Для гистологического исследования вырезали участок КА в области установки стента и после фиксировали в забуференном 10%-м растворе формалина. Проводка проходила в микроволновом гистопроцессоре закрытого типа Milestone Logos (Италия), с использованием в качестве реагентов спирта изопропилового абсолютированного 99,8 %, орто-ксилола и последующей заливкой в парафиновую смесь «Гистомикс». Гистологические срезы выполняли на автоматизированном ротационном микротоме фирмы Leica (Германия) с предустановленной толщиной срезов 3 мкм. Микропрепараты окрашивали гематоксилином-эозином, заключали под покровное стекло с использованием монтирующей среды «Витрогель». Микроскопия и микрофотографирование осуществлялись на микроскопе Leica DM 1000 (Германия) со встроенной фотокамерой.
Иммуногистохимическое исследование КА проводилось с использованием антител к CD31, фактору Виллебранда (vWF) (табл.).
Таблица антител
Название антитела | Прозводитель (фирма) | Клон | Происхождение антитела | Разведение |
CD31 | Cell Marque | клон JC70 | mouse moclonal antibody | rtu |
Фактор Виллебранда | Cell Marque | factor VIII-R Ag | rabbit polyclonal antibody | rtu |
Непосредственной причиной смерти больных после стентирования коронарных артерий были: отек легких (65 %), тромбоз стента с развитием острого инфаркта миокарда (15 %), нарушение ритма сердца (20 %).
С учетом клинической картины развития осложнений после стентирования КА при ИБС, мы разделили умерших пациентов на следующие хронологические группы: 1) до 3 суток; 2) 3–7 суток; 3) 7–15 суток. Для определения степени поражений КА сердца оценивали состояние просвета, выраженное в процентах.
Проводился морфометрический анализ состояния КА с использованием компьютерной программы ImageJ (US National Institutes of Health, США), морфометрии и фотографии препаратов с увеличением объектива ×20 или ×40.
Статистическую обработку полученных результатов осуществляли на персональном компьютере с применением статистических инструментов программы Statistica 10. Значения всех выборок подвергли проверке на характер распределения с помощью W-критерия Шапиро – Уилка. Нулевую гипотезу отвергали при пороговом значении p < 0,05.
РЕЗУЛЬТАТЫ ИССЛЕДОВАНИЯ И ИХ ОБСУЖДЕНИЕ
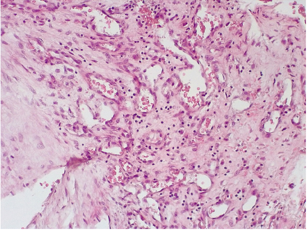
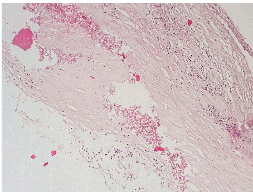
Патоморфологическое исследование стенок КА в ранние сроки после стентирования выявило характерные особенности. В течение первых 3 дней после стентирования в стенке КА имелась атерома с признаками геморрагий. Эндотелий был на большем протяжении разрушен, с признаками десквамации, с окружающей очаговой лейкоцитарной инфильтрацией. Вокруг атеромы, со стороны медии и адвентициальной оболочки, отмечалась умеренновыраженная лимфоцитарная инфильтрация (рис. 1).
Рис. 1. В стенке атеромы КА – геморрагии, умеренновыраженная лимфоцитарная инфильтрация медии и адвентиции. Десквамация эндотелия с очаговой лейкоцитарной инфильтрацией (1–3-и сутки). Окраска гематоксилином-эозином. Ув. ×100
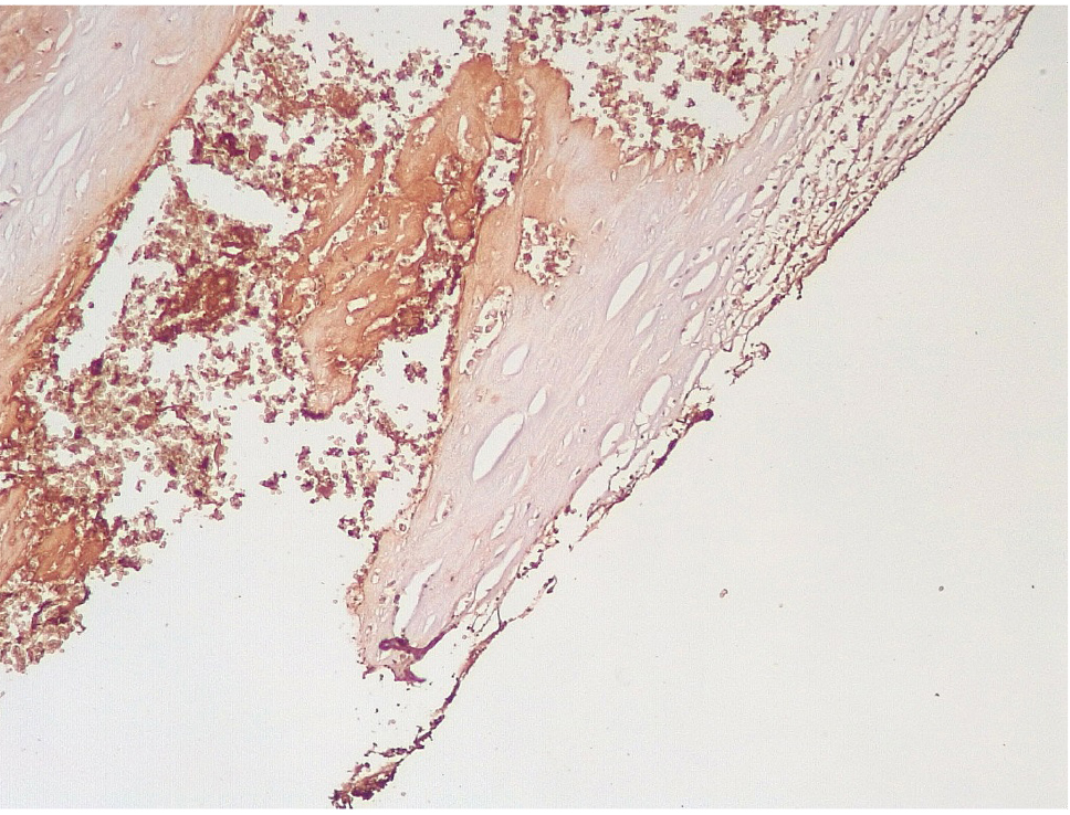
Обращало внимание, что в местах «оголенного» эндотелия КА отмечалась слабая экспрессия белка CD31, что указывало на выраженные дистрофические и некробиотические изменения клеток (рис. 2). При этом экспрессия ФВ была яркой, выраженной на всем протяжении интимы КА (рис. 3).
Рис. 2. Слабая экспрессия белка CD31+ в клетках эндотелия КА в зоне десквамированного эндотелия (1–3-и сутки). Иммуногистохимическая реакция к CD31. Ув. ×200
Рис. 3. Гиперэкспрессия ФВ в клетках эндотелия КА (1–3-и сутки). Иммуногистохимическое исследование с антителами к vWF. Ув. ×200
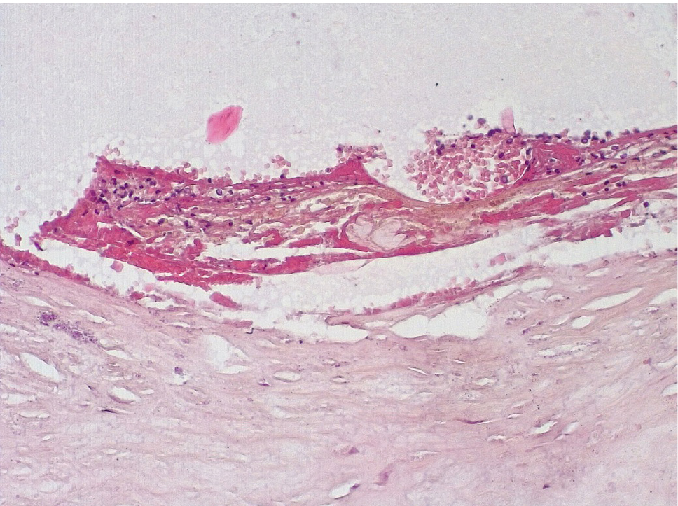
Позднее, спустя 3–7 суток после стентирования КА в просветах имелись пристеночные смешанные фибриново-лейкоцитарные тромбы, которые могли служить источником развития тромбоэмболических осложнений мелких дистальных ветвей коронарного кровотока и развитием острого инфаркта миокарда (рис. 4).
Рис. 4. Пристеночный смешанный (фибриново-лейкоцитарный) тромб в просвете КА (3–7-е сутки). Окраска гематоксилином-эозином. Ув. ×200
Маркер эндотелиальной дисфункции – фактор Виллебранда (ФВ) ярко экспрессировался в клетках эндотелия КА и субинтимально, что могло свидетельствовать о выраженной дисрегуляции коагуляционных свойств крови (рис. 5). В то же время экспрессия белка CD31 в указанные сроки после стентирования была слабовыраженной, что могло указывать на выраженные дистрофические изменения эндотелиальных клеток КА.
Рис. 5. Яркая экспрессия белка ФВ в клетках эндотелия, субинтимальных отделах КА (3–7-е сутки). Иммуногистохимическое исследование с антителами к vWF. Ув. ×200
В течение 7–15 суток после стентирования КА наряду с формированием пристеночных фибриновых тромбов с признаками организации в стенках атером наблюдались репаративные процессы, связанные с неоангиогенезом в виде образования мелких тонкостенных кровеносных сосудов капиллярного типа, окруженных мелкими лимфоцитарными, гистиоцитарными клеточными инфильтратами (рис. 6, 7).
Рис. 6. Пристеночный фибриновый тромб в просвете КА с началом организации на фоне атеромы стенки (7–15-е сутки). Окраска гематоксилином-эозином. Ув. ×200
Рис. 7. Неоангигенез в стенке КА в месте стентирования с окружающей умеренновыраженной лимфо-гистиоцитарной инфильтрацией (7–15-е сутки). Окраска гематоксилином-эозином. Ув. ×200
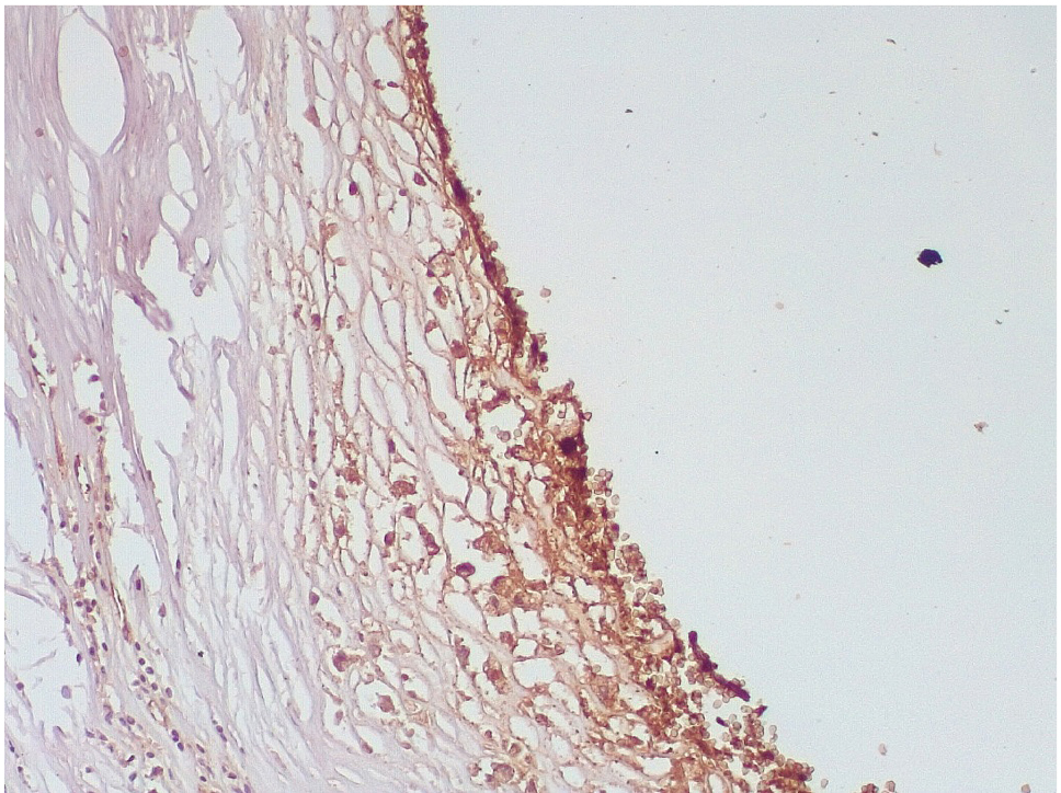
Сохранялась резковыраженная яркая экспрессия ФВ как со стороны интимы, так и субинтимально, в участках альтерации атером (рис. 8). В то же время экспрессия белка CD31 была негативной на всем протяжении стенок КА.
Рис. 8. Яркая экспрессия ФВ в интиме и субинтимально в местах разрушения атером КА. Иммуногистохимическое исследование с антителами к vWF. Ув. ×200
Проведенное морфоиммуногистохимическое исследование КА после стентирования в ранние сроки показало определенные закономерности их поражения. Было показано, что в течение первых 3 дней после стентирования КА в их стенках наблюдаются острые повреждения клеток эндотелия в виде десквамации, дистрофических и некробиотических процессов, внутристеночные геморрагии в зонах локализации атером.
Через 3–7 суток и позднее, спустя 7–15 суток после стентирования КА, в просветах КА отмечаются пристеночные смешанные (фибриново-лейкоцитарные), фибриновые тромбы с признаками организации, что сочетается с явлениями неоангиогенеза стенки артерии. Данный патологический процесс ремоделирования стенки КА после стентирования может отражать, с одной стороны, необратимые повреждения клеток эндотелия, ведущие к микротромбообразованию, а с другой – отражать репаративные процессы в исходе воспаления.
Наиболее значимым маркером эндотелиальной дисфункции, отражающим нарушение коагуляционных свойств крови, является белок фактор Виллебранда, экспрессия которого была резко выраженной во всех группах умерших после стентирования КА.
Результаты компьютерной морфометрии и статистической обработки экспрессии CD31, ФВ представлены на рис. 9.
Рис. 9. Экспрессия белков ФВ, CD31 в ранние сроки после стентирования КА при ИБС
ЗАКЛЮЧЕНИЕ
Морфоиммуногистохимическое исследование КА после стентирования позволяет по-новому взглянуть на проблему ранних послеоперационных осложнений данных высокотехнологичных операций. Прежде всего, это касается оценки выраженности воспалительных, репаративных и тромботических процессов в течение первых дней после стентирования, так как данная проблема является крайне важной для оценки прогнозирования сосудистых рисков у больных с ИБС.
Проведенное исследование показало, что в большинстве случаев (85 %) в КА имелись признаки резковыраженного прогрессирующего стенозирующего атеросклероза, с преимущественным поражением устья левой КА и ее передней межжелудочковой ветви.
Показано, что после стентирования в течение первых 3 суток в стенках КА вокруг атером встречаются геморрагии, мелкие лейкоцитарные инфильтраты, повреждение клеток эндотелия, что наряду с экспрессией фактора Виллебранда является предиктором для формирования пристеночных тромбов.
Позднее, спустя 3–7 суток, возникают пристеночные смешанные тромбы, которые через 7–15 суток имеют признаки организации, что сопровождается резкой яркой экспрессией белка фактора Виллебранда.
Мы считаем, что повреждение клеток эндотелия и связанные с ними нарушения реологических свойств крови могут инициировать эндотелиальную дисфункцию с развитием тромбозов, тромбоэмболий мелкий ветвей КА, которые могут служить причиной перфузионных расстройств миокарда с развитием острого инфаркта [1].
Об авторах
Cергей Сергеевич Тодоров
Ростовский государственный медицинский университет
Автор, ответственный за переписку.
Email: sertodorov@gmail.com
ORCID iD: 0000-0001-8476-5606
доктор медицинских наук, профессор кафедры патологической анатомии, руководитель морфологического отдела, врач-патологоанатом высшей квалификационной категории
Россия, Ростов-на-ДонуCергей Сергеевич Тодоров
Ростовский государственный медицинский университет
Email: todorov-00@inbox.ru
ORCID iD: 0000-0003-4787-4031
студент лечебно-профилактического факультета
Россия, Ростов-на-ДонуВиктория Юрьевна Дерибас
Ростовский государственный медицинский университет
Email: deribas_vu@rostgmu.ru
ORCID iD: 0000-0003-4541-6707
заведующая патологоанатомическим отделением, врач-патологоанатом высшей квалификационной категории, ассистент кафедры патологической анатомии
Россия, Ростов-на-ДонуАртем Андреевич Казьмин
Ростовский государственный медицинский университет
Email: go.525.net@gmail.com
ORCID iD: 0000-0002-6055-860X
студент лечебно-профилактического факультета
Россия, Ростов-на-ДонуСписок литературы
- Алимов Д.А., Жалалов Б.З., Ганиев У.Ш. Рестеноз стента с точки зрения эндотелиальной дисфункции. Вестник экстренной медицины. 2017;3:109-112.
- Бузиашвили Ю.И., Асумбекова Э.У., Мацкеплиш-вили С.Т. и др. Кардиоинтервенционное лечение больных сахарным диабетом 2 типа с ИБС. Сахарный диабет. 2008; 11(1):35–39. URL: https://doi.org/10.14341/2072-0351-5943.
- Столяров А.П., Федорова М.Г., Харитонов Е.А., Аверкин Н.С. Патофизиологические и морфологические данные об изменениях стенок сосудов после операции стентирования. Известия вузов. Поволжский регион. Медицинские науки. 2018;2:131–143.
- Тодоров С.С., Дерибас В.Ю., Казьмин А.С., Тодоров С.С. (мл.) Морфологические и молекулярно-биологические изменения в коронарных артериях после стентирования. Кардиология. 2021;61(7):79–84. URL: https://doi.org/ 10.18087/cardio.2021.7.n1211.
- Тодоров С.С., Сидоров Р.В., Березовский Д.П. и др. Патент № 2725858 C1 Российская Федерация, МПК A61B 16/00. Способ патологоанатомического вскрытия коронарных артерий после стентирования. № 2020106337. Заявл. 10.02.2020. Опубл. 06.07.2020.
- Юдина В.А., Мельничникова О.С., Карпенко М.А. и др. Моделирование прогностических значений параметров теста генерации тромбина у больных, перенесших стентирование коронарных артерий. Медицинский алфавит. 2018; 1;4(341):22–27.
- Finn A.V., Kolodgie F.D., Harnek J. Differential response of delayed healing and persistent inflammation at sites of overlapping sirolimus- or paclitaxel-eluting stents. Circulation. 2005;112(2):270–278. doi: 10.1161/CIRCULATIONAHA.104.508937.
- Li J.J., Ren Y., Chen K.J. et al. Impact of C-reactive protein on in-stent restenosis: a meta-analysis. Texas Heart Institute Journal. 2010;37(1):49–57. PMID: 20200627. PMCID: PMC2829784.
- Otsuka F., Byrne R.A., Yahagi K. et al. Neo-atherosclerosis: overview of histopathologic findings and implications for intravascular imaging assessment. European Heart Journal. 2015;36(32):2147–2159. doi: 10.1093/eurheartj/ehv205.
- Simon D.I., Chen Z., Xu H. et al. Platelet glycoprotein ibalpha is a counterreceptor for the leukocyte integrin Mac-1 (CD11b/CD18). Journal of Experimental Medicine. 2004;192 (2):193–120. doi: 10.1084/jem.192.2.193
Дополнительные файлы












