Особенности диагностики и лечения пациентов с односторонней ретенцией второго премоляра
- Авторы: Шкарин В.В.1, Дмитриенко Д.С.1, Фомин И.В.2, Дмитриенко Т.Д.1
-
Учреждения:
- Волгоградский государственный медицинский университет
- Первый Московский государственный медицинский университет имени И.М. Сеченова
- Выпуск: Том 20, № 3 (2023)
- Страницы: 67-72
- Раздел: Оригинальные исследования
- URL: https://journals.eco-vector.com/1994-9480/article/view/611001
- DOI: https://doi.org/10.19163/1994-9480-2023-20-3-67-72
- ID: 611001
Цитировать
Полный текст
Аннотация
Лечение пациентов с ретенцией зубов является актуальной задачей ортодонтии.
Цель работы. Определить особенности этиологии, диагностики и лечения пациентов с односторонней ретенцией второго премоляра, обусловленной преждевременным удалением молочных моляров.
Материал и методы. Проведено обследование и лечение 19 пациентов в возрасте 14–19 лет с односторонней ретенцией вторых премоляров после получения информированного согласия, одобренного этическим комитетом. Проводились общепринятые в стоматологии методы клинического обследования с анализом анамнестических, рентгенологических, биометрических данных. Биометрию гипсовых моделей при асимметричной форме дуги проводили на масштабированных (1 : 1) фотографиях с нанесением на них основных ориентиров.
Результаты. Односторонняя ретенция второго премоляра, обусловленная преждевременным удалением второго молочного моляра, как правило, способствует формированию асимметричных зубных дуг с отклонением их основных параметров от индивидуальной нормы. Изменение диагональных размеров обусловлено смещением клыков и первых моляров в сторону дефекта. При этом на стороне ретинированного зуба отмечается нарушение смыкания пар зубов антагонистов и смещение линии эстетического центра в среднем на (2,38 ± 0,61) мм. Этапы лечения включают, во-первых, создание условий для прорезывания ретинированного зуба с последующим восстановлением окклюзионного равновесия.
Заключение. Таким образом, результаты исследования дают нам основание выбора методов диагностики и лечения асимметричных форм зубных дуг, обусловленных ретенцией вторых премоляров, что может быть использовано в клинической ортодонтии.
Ключевые слова
Полный текст
Лечение пациентов с ретенцией (полуретенцией) или задержкой прорезывания зубов, является актуальной задачей ортодонтии [1]. При этом специалисты отмечают, что этиология ретенции зубов многообразна. Среди основных этиологических факторов выделяют аномальное положение ретинированных зубов в челюстных костях, нарушение их формы и размеров, дефицит места в зубной дуге, наличие сверхкомплектных зубов на пути прорезывания комплектного зуба и аномалии врожденного генеза (расщелины губы и нёба) [2].
Особое внимание в клинической ортодонтии уделяется преждевременному удалению молочных зубов и горизонтальным видам деформаций зубных арок в периоде молочного и сменного прикуса. Подобные клинические ситуации, как правило, способствуют смещению зубов, ограничивающих дефект, навстречу друг другу, с частичным или полным закрытием постэкстракционного пространства. С профилактической целью дефект зубного ряда замещают различными конструкциями аппаратов, сохраняющих место. При этом предлагают использовать как съемные, так и несъемные протетические конструкции, обеспечивающие сохранение места до прорезывания замещающего постоянного зуба [3].
Однако данный метод протетического лечения в клинике стоматологии детского возраста весьма ограничен. В связи с этим врачу-ортодонту приходится впоследствии проводить сложное и комплексное лечение, направленное на устранение деформаций в горизонтальном и вертикальном направлении [4, 5].
Перед ортодонтом нередко становится дилемма в выборе экстракционного или неэкстракционного метода лечения. В основе неэкстракционной терапии лежит анализ биометрической диагностики формы и размеров дентальных арок с определением возможностей их нормализации [6, 7]. При этом отмечено, что сложности биометрии асимметричных форм зубных арок обусловлены несовершенством методов исследования гипсовых моделей челюстей, которые до настоящего времени являются хрестоматийными.
Специалисты рекомендуют определять типологические особенности зубных дуг на основе расчета аркадных и дентальных показателей. Проводят графическую репродукцию прогнозируемых форм зубных дуг с определением положения центральной или межрезцовой точки при ее отклонении от нормы. Обращают внимание на соответствие размеров лицевого отдела головы, в частности ее гнатической части, с параметрами зубных дуг, как при физиологическом прикусе, так и при различных аномалиях [8, 9].
Рентгенологическая диагностика и, особенно, конусно-лучевая компьютерная томография позволяют не только оценивать особенности ретинированных зубов, но и определять взаимозависимость размеров и положения элементов нижнечелюстного сочленения при различных вариантах трузионного положения резцов [10, 11, 12].
При наличии ретинированных зубов клиницисты отмечают отклонения в положении зубов относительно вертикальной оси, что нарушает физиологические нормы ротации антимеров относительно срединной сагиттали [13]. Лечение подобных клинических случаев требует строгого дозирования ортодонтической нагрузки, с учетом морфологии тканей пародонтального комплекса [14].
Анализ обзора литературных источников позволяет сделать заключение о необходимости разработки методов биометрической диагностики аномалий зубных дуг и определения этапов лечения асимметричных форм, обусловленных ретенцией вторых премоляров.
Все изложенное выше определяет целесообразность проведения настоящего исследования.
ЦЕЛЬ РАБОТЫ
Определить особенности этиологии, диагностики и лечения пациентов с односторонней ретенцией второго премоляра, обусловленной преждевременным удалением молочных моляров.
МЕТОДИКА ИССЛЕДОВАНИЯ
Проведено обследование и лечение 19 пациентов в возрасте 14–19 лет с односторонней ретенцией вторых премоляров после получения информированного согласия, одобренного этическим комитетом. Проводились общепринятые в стоматологии методы клинического обследования с анализом анамнестических, рентгенологических, биометрических данных.
Планирование лечебных мероприятий проводилось после биометрической диагностики формы и параметров зубных дуг. С учетом вариабельности дентальных арок и различий в размерах верхней и нижней челюсти нами оценивались не абсолютные значения, а величина отклонения показателя от индивидуальной нормы, которую оценивали с учетом рекомендаций специалистов.
Длину зубной дуги, как рекомендовано Nance, определяли по сумме ширины коронковых частей зубов, составляющих дентальный ряд. При наличии ретинированного зуба с одной из сторон челюсти измеряли длину каждой стороны арки. На стороне расположения ретинированного зуба измеряли диаметры зубов и величину дефекта между проксимальными поверхностями обращенных друг к другу зубов. Длина полудуги антимерной стороны считалась показателем индивидуальной нормы.
Биометрию гипсовых моделей при асимметричной форме дуги проводили на масштабированных (1 : 1) фотографиях с нанесением на них основных ориентиров. Основной линией была трансверсаль постериальной части дуги, которая соединяла дистальные ориентиры вторых моляров. От середины постериальной трансверсали строили перпендикуляр в переднем направлении. Размер передне-задней диагонали, которая ограничивала центральную (в норме – межрезцовую) точку дуги с дистальным ориентиром второго моляра, рассчитывали как произведение суммарной величины ширины коронок 7 зубов к дентально-диагональному коэффициенту. Указанный коэффициент для верхней челюсти составлял 1,06, для нижней арки – 1,09. Полученную величину откладывали с двух сторон от дистального ориентира, до пересечения с условной срединной сагиттальной линией в переднем отделе. Таким образом, получали прогнозируемое расположение центральной точки, которая соответствовала оптимальному положению медиальных контактных пунктов центральных резцов. Измеряли расстояние от конструируемой точки до фактической в разных направлениях.
Положение клыков и моляров оценивали по расположению ориентиров (рвущий бугор клыка и дистальный одонтомер вестибулярной поверхности моляра) относительно условной сагиттали. Измерения проводили по сагиттали, диагонали и трансверсали и сравнивали с расчетными показателями индивидуальной нормы (рис. 1).
Рис. 1. Гипсовая модель со смещением резцового ориентира (а) и состояние полости рта с ретенцией второго премоляра (б)
Данные измерений были внесены в таблицы программного комплекса Excel персонального компьютера с расчетом статистических показателей и определения достоверности различий между исследуемыми параметрами.
РЕЗУЛЬТАТЫ ИССЛЕДОВАНИЯ И ИХ ОБСУЖДЕНИЕ
Результаты изучения анамнестических данных показали, что причиной односторонней ретенции вторых премоляров, как на верхней, так и нижней челюсти, было преждевременное удаление вторых молочных моляров на одной из сторон, которое отмечались практически у всех обследованных, что способствовало ретенции второго премоляра (рис. 2).
Рис. 2. Ортопантомограмма у пациентки с ретенцией второго нижнего премоляра слева
В связи с указанным фактом отмечалось перемещение зубов, ограничивающих дефект навстречу друг другу, что способствовало укорочению диагональных, передне-задних и трансверсальных размеров арки и изменению ротационных показателей зубов.
На стороне с ретинированным зубом отмечалось укорочение длины дуги в среднем по группе на (5,24 ± 1,29) мм. В связи с этим, как правило, отмечалось смещение центральной межрезцовой точки в сторону полудуги с ретинированным зубом по диагонали на (2,38 ± 0,61) мм, а по сагиттали, как правило, в язычную сторону – на (1,34 ± 0,57) мм. Отклонение диагональных размеров и смещение ключевых зубов относительно основных ориентиров, представлено в табл.
Отклонение основных параметров зубных дуг у пациентов с односторонней ретенцией второго премоляра от оптимальной нормы
Параметры | Смещение ориентира (в мм) на стороне: | |
ретенции зуба | противоположной | |
Клыковая диагональ | 6,27 ± 1,13 | 1,24 ± 0,93 |
Молярная диагональ | 6,86 ± 1,27 | 0,93 ± 0,84 |
Смещение клыка по сагиттали | 5,19 ± 1,17 | 0,39 ± 0,22 |
Смещение клыка по трансверсали | 1,89 ± 0,64 | 0,51 ± 0,37 |
Смещение второго моляра по сагиттали | 0,97 ± 0,56 | 0,39 ± 0,16 |
Смещение второго моляра по трансверсали | 0,85 ± 0,49 | 0,37 ± 0,25 |
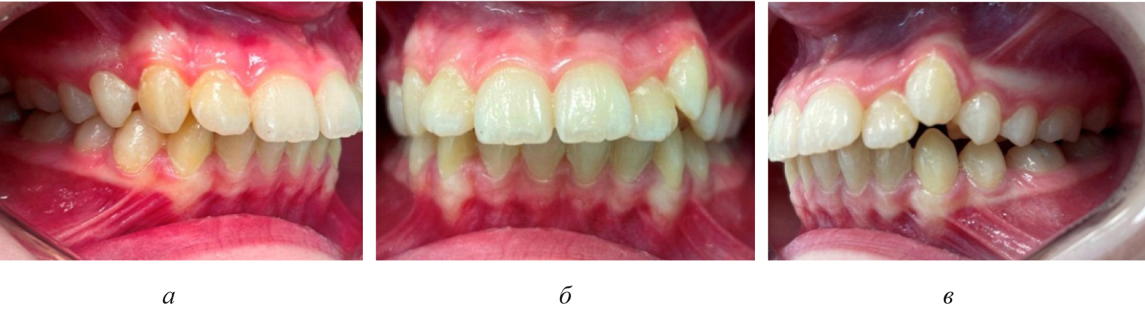
Смещение вторых постоянных моляров, как правило, было в меньшей степени выражено, чем отклонение от нормы других показателей биометрической диагностики. Достоверных различий при оценке положения вторых моляров на стороне ретенции и противоположной ей нами не отмечено (р ˃ 0,05). Смещение центральной точки дуги и изменения диагональных размеров резцово-клыковой и резцово-молярной диагонали способствовало смещению линии эстетического центра и нарушению смыкания пар зубов-антагонистов, которое было более выражено на стороне ретинированного зуба (рис. 3).
Лечение пациентов, как правило, проводилось с использованием несъемной ортодонтической аппаратуры, в частности эджуайс-механикой.
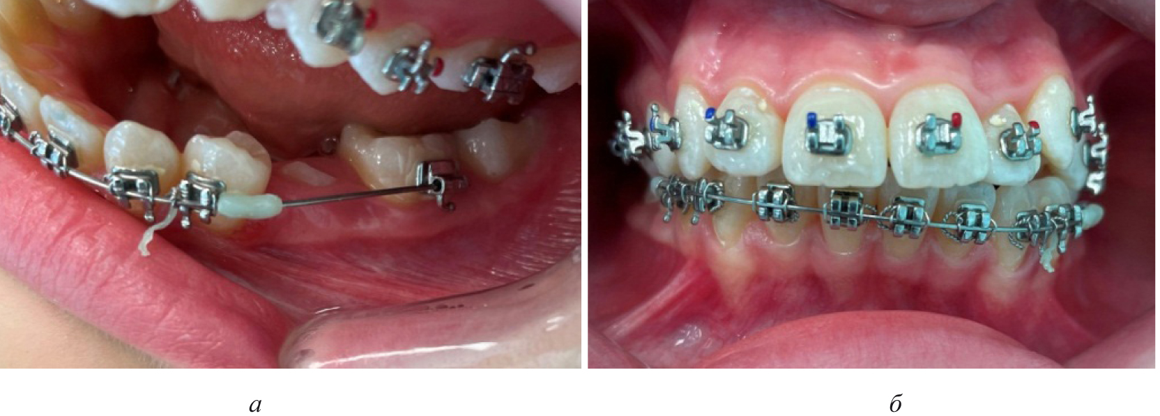
На первом этапе проводилось раскрытие пространства в области ретенированного зуба и создания условий для его прорезывания. После этого устанавливались элементы аппарата на противоположной челюсти (рис. 4).
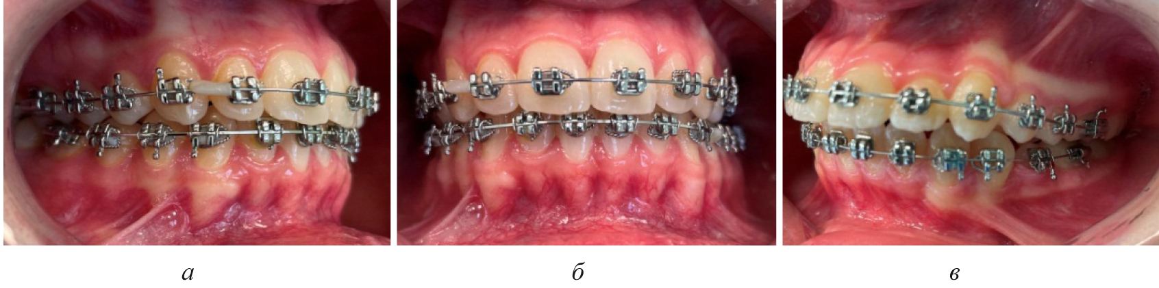
Последующие этапы ортодонтического лечения техникой эджуайс проводились с учетом общепринятого протокола и этапности смены металлических дуг, что способствовало нормализации окклюзионных взаимоотношений (рис. 5).
Рис. 3. Окклюзионные взаимоотношения справа (а), спереди (б) и слева (в) у пациента с односторонней ретенцией второго премоляра
Рис. 4. Создано место для прорезывания премоляра (а), установлена аппаратура на верхнюю челюсть (б)
Рис. 5. Окклюзионные взаимоотношения справа (а), спереди (б) и слева (в) на завершающем этапе лечения
Обращали внимание на расположение центральной точки дуги и ее расположения относительно линии эстетического центра.
Лечение считалось законченным после полной нормализации основных параметров зубных дуг и завершения ретенционного периода.
ЗАКЛЮЧЕНИЕ
Таким образом, одностороння ретенция второго премоляра, обусловленная преждевременным удалением второго молочного моляра, как правило, способствует формированию асимметричных зубных дуг с отклонением их основных параметров от индивидуальной нормы. Изменение диагональных размеров обусловлено смещением клыков и первых моляров в сторону дефекта. При этом на стороне ретинированного зуба отмечается нарушение смыкания пар зубов антагонистов и смещение линии эстетического центра в среднем на (2,38 ± 0,61) мм. Этапы лечения включают, во-первых, создание условий для прорезывания ретинированного зуба с последующим восстановлением окклюзионного равновесия.
Об авторах
Владимир Вячеславович Шкарин
Волгоградский государственный медицинский университет
Email: vlshkarin@mail.ru
ORCID iD: 0000-0001-7158-0282
доктор медицинских наук, заведующий кафедрой общественного здоровья и здравоохранения ИНМФО
Россия, ВолгоградДмитрий Сергеевич Дмитриенко
Волгоградский государственный медицинский университет
Автор, ответственный за переписку.
Email: s.v.dmitrienko@pmedpharm.ru
ORCID iD: 0000-0002-9555-6612
доктор медицинских наук, профессор, заведующий кафедрой ортопедической стоматологии и ортодонтии ИНМФО
Россия, ВолгоградИгорь Викторович Фомин
Первый Московский государственный медицинский университет имени И.М. Сеченова
Email: fominiv67@mail.ru
ORCID iD: 0000-0002-5228-5816
кандидат медицинских наук, доцент кафедры ортопедической стоматологии
Россия, МоскваТатьяна Дмитриевна Дмитриенко
Волгоградский государственный медицинский университет
Email: s.v.dmitrienko@pmedpharm.ru
ORCID iD: 0000-0002-0935-5575
кандидат медицинских наук, доцент кафедры ортопедической стоматологии и ортодонтии ИНМФО
Россия, ВолгоградСписок литературы
- Ягупова В.Т., Дмитриенко Т.Д., Ягупов П.П. и др. Особенности диагностики и лечения аномалий положения полуретенированных зубов мудрости нижней челюсти. Вестник Волгоградского государственного медицинского университета. 2022;19(1):62–67. doi: 10.19163/1994-9480-2022-19-1-62-67.
- Dmitrienko S.V., Porfiriadis M.P., Domenyuk D.A., Budaychiev G.M-A. Dentoalveolar specifics in children with cleft palate during primary occlusion period. Archiv EuroMedica. 2018;8(1);33–34.
- Дмитриенко С.В., Иванов Л.П., Миликевич В.Ю. Поражаемость молочных зубов кариесом и нуждаемость в профилактическом протезировании дошкольников с функциональным расстройством желудка. Стоматоло-гия. 1999;78(3);37.
- Lepilin А.V., Dmitrienko S.V., Domenyuk D.A. et al. Dependence of stress strain hard tissues and periodont on horizontal deformation degree. Archiv EuroMedica. 2019;9(1)173–174.
- Domenyuk D.A., Vedeshina E.G., Dmitrienko S.V. Efficiency evaluation for integrated approach to choice of orthodontic and prosthetic treatments in patients with reduced gnathic region. Archiv EuroMedica. 2015;5(2);6–12.
- Шкарин В.В., Дмитриенко Т.Д., Кочконян Т.С. и др. Анализ классических и современных методов биометрического исследования зубочелюстных дуг в периоде прикуса постоянных зубов. Вестник Волгоградского государственного медицинского университета. 2022;19(1):9–16. doi: 10.19163/1994-9480-2022-19-1-9-16.
- Шкарин В.В., Дмитриенко Т.Д., Кочконян Т.С. и др. Современные представления о форме и размерах зубочелюстных дуг человека. Вестник Волгоградского государственного медицинского университета. 2021;80(4):12–19. doi: 10.19163/1994-9480-2021-4(80)-12-19.
- Fischev S.B., Puzdyryova M.N., Dmitrienko S.V. et al. Morphological features of dentofacial area in peoples with dental arch issues combined with occlusion anomalies. Archiv EuroMedica. 2019;9(1):162–163.
- Domenyuk D.A., Vedeshina E G., Dmitrienko S.V. Correlation of dental arch major linear parameters and odon-tometric indices given physiological occlusion of permanent teeth in various face types. Archiv EuroMedica. 2016;6(2):18–22.
- Dmitrienko S.V., Domenyuk D.A., Tefova K. et al. Modern X-ray diagnostics potential in studying morphological features of the temporal bone mandibular fossa. Archiv EuroMedica. 2020;10(1):118–127.
- Domenyuk D.A., Dmitrienko S.V., Domenyuk S.D., Kharatyunyan Yu. Structural arrangement of the temporamandibular joint in view of the constitutional anatomy. Archiv EuroMedica. 2020;10(1);128–138.
- Доменюк Д.А., Коробкеев А.А., Дмитриенко Т.Д. и др. Анатомо-топографические особенности височно-нижнечелюстных суставов при различных типах нижнечелюстных дуг. Медицинский вестник Северного Кавказа. 2019;14(2):363–367.
- Shkarin V.V., Grinin V.M., Halfin R.A. et al. Specific features of grinder teeth rotation at physiological occlusion of various gnathic dental arches. Archiv EuroMedica. 2019;9(2):168–173.
- Доменюк Д.А., Давыдов Б.Н., Дмитриенко С.В. и др. Изменение морфологического состояния тканей пародонталь- ного комплекса в динамике ортодонтического перемещения зубов. Пародонтология. 2018;23(1);69–78. doi: 10.25636/PMP.1.2018.1.15.
Дополнительные файлы








