Clinical analysis of the results of recessions elimination using tunnel technology
- 作者: Yarygina E.N.1, Afanasyeva O.Y.1, Kriventsev A.E.1, Sidoruk A.V.1
-
隶属关系:
- Volgograd State Medical University
- 期: 卷 20, 编号 3 (2023)
- 页面: 73-75
- 栏目: Original Researches
- URL: https://journals.eco-vector.com/1994-9480/article/view/611004
- DOI: https://doi.org/10.19163/1994-9480-2023-20-3-73-75
- ID: 611004
如何引用文章
全文:
详细
In modern plastic surgery of soft tissues of the oral cavity, there is a wide variety of ways to close recessions of the gingival margin and increase the keratinized gum zone, but only a few of them give a well-predicted and effective result. So, one of the most popular techniques is the tunneling technique using a de-epithelized free gingival graft. The prevalence of this method is primarily due to its minimally invasive nature, which allows for accelerated regeneration of the gingival margin and reduces the likelihood of postoperative complications. The analysis of 20 clinical cases of closure of recessions of the gingival margin of the teeth on the upper and lower jaws according to the Miller classification of class I and II, subclasses A and B and the Francesco Cairo classification – type 1 and type 2 with the use of tunnel technology according to Zuhr. The high efficiency of this method of closing recessions has been revealed, including in terms of achieving an optimal long-term forecast and aesthetic result.
全文:
В настоящее время существует большое количество разнообразных методик и способов устранения рецессий десневого края, в том числе, к наиболее распространенным относится – туннельная техника, которая была предложена Отто Цуром в 2007 г. Популярность данного метода обусловлена прежде всего его малоинвазивностью, что позволяет в ускоренные сроки получить регенерацию десневого края и снизить вероятность развития послеоперационных осложнений. Суть туннельной техники сводится к формированию «конвертного» ложа в области приклепленных мягких тканей и последующему помещению в него деэпителизированного свободного десневого трансплантата [1, 2, 3].
ЦЕЛЬ РАБОТЫ
Проанализировать основные особенности и отдаленные результаты устранения рецессий с использованием туннельной методики.
МЕТОДИКА ИССЛЕДОВАНИЯ
Произведен анализ 20 клинических случаев закрытия рецессий десневого края зубов на верхней и нижней челюстях по классификации Miller I и II класса, подкласса А и Б и классификации Francesco Cairo – 1-го и 2-го типа с применением туннельной техники по Zuhr (рис. 1). Операции проводились в период с 2019 по 2020 год. Средний возраст пациентов составил 31 год. Гендерное соотношение составило – 12 (60 %) женщин и 8 (40 %) мужчин, при этом на верхней челюсти произведено 13 (65 %) операций, а на нижней – 7 (35 %). Наличие гиперестезии в области зубов с рецессиями десневого края и эстетического дефекта – основные жалобы, которые предъявляли пациенты. Значение ширины зоны кератинизированной прикрепленной десны было вариабельно во всех клинических случаях и в среднем составляло 3 мм (норма – 4–9 мм). Уровень индивидуальной гигиены у всех обследованных находился на высоком уровне (PI < 20 %). Послеоперационный период наблюдения составлял от 1 года до 3 лет. Оценка эффективности устранения рецессии производилась на контрольных осмотрах через 3 и 6 месяцев, 1, 2 и 3 года путем определения следующих параметров: глубина и ширина рецессий (определение расстояния от цементно-эмалевого соединения до наиболее апикальной границы обнаженной поверхности корня), ширина зоны кератинизированной прикрепленной десны (ЗКПД), наличие или отсутствие рецидива, текстура и цвет мягких тканей в области вмешательства (оценка с помощью визуального контроля).
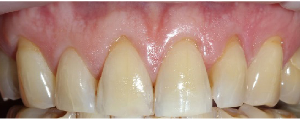
Рис. 1. Рецессия в области фронтальной группы зубов верхней челюсти Miller 1, Cairo Rt 1
РЕЗУЛЬТАТЫ ИССЛЕДОВАНИЯ И ИХ ОБСУЖДЕНИЕ
Все пациенты были проинформированы о предхирургическом протоколе и непосредственно самом вмешательстве, результаты клинического обследования занесены в медицинскую карту, получено информированное добровольное согласие на проведение медицинского вмешательства. На первом этапе выполнялась рутинная традиционная пародонтальная терапия – осуществление профессиональной гигиены полости рта с использованием скейлинга и сглаживания оголенных участков корней зубов, даны рекомендации по соблюдению гигиены полости рта и по применению соответствующих средств и предметов гигиены. Через месяц пациентов приглашали для выполнения хирургического вмешательства.
Протокол устранения рецессии десневого края включал антисептическую подготовку операционного поля раствором антисептика, аппликационную, инфильтрационную анестезию, подготовку принимающего ложа (создание туннельного доступа), подготовку донорской зоны, деэпителизацию свободного десневого трансплантата с неба (ДСДТ), позиционирование и фиксацию трансплантата, наложение оптимального количества направляющих и фиксирующих швов, послеоперационные рекомендации.
Вначале проводилась антисептическая обработка полости рта 0,05%-м раствором хлоргексидина биглюконата, аппликационная и инфильтрационная анестезии. Затем выполнялись разрезы в области десневой борозды (сулькулярные) через каждую зону рецессии микрохирургическим лезвием с сохранением кончиков десневых сосочков (рис. 2), отслаивание полнослойных лоскутов с помощью микрохирургического распатора. Далее производился забор свободного десневого трансплантата с неба с последующей его внеротовой деэпителизацией и наложением на зону забора параллельных и перекрестных горизонтальных обвивных швов (рис. 3). Позиционирование и фиксация трансплантата в принимающем ложе, ушивание раневой поверхности швами Аллена (рис. 4). Даны рекомендации по послеоперационному ведению: полоскания 0,05%-м раствором хлоргексидина биглюконата 2 раза в день в течение 2 недель, назначены противовоспалительные и обезболивающие лекарственные препараты (НПВС). Повторная явка через день. Швы снимались на 7–10-е сутки. Контрольные осмотры проводились через 3 и 6 месяцев, 1, 2 и 3 года соответственно, оценивалось состояние мягких тканей в области хирургического вмешательства и степень закрытия рецессий десневого края.
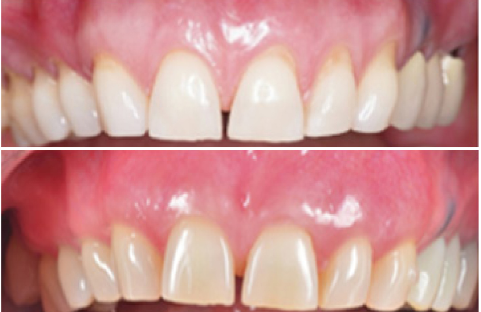
Во всех, без исключения, 20 клинических случаях было получено полное закрытие ранее выявленных рецессий [у 17 пациентов закрытие в пределах 3–4 мм (85 %), у 3 пациентов в пределах 2–3 мм (15 %)], причем данный результат был сохранен и в отдаленной перспективе – через 1, 2 и 3 года у всех пациентов отсутствовало рецидивирование рецессий, текстура и цвет мягких тканей не претерпели каких-либо изменений в сравнении с таковыми в области соседних зубов, где вмешательство не проводилось, ширина зоны кератинизированной прикрепленной десны в 14 случаях (70 %) увеличилась на 1,5 мм и в среднем составила 4,5 мм, в 6 случаях (30 %) увеличение произошло на 2,5 мм, а среднее значение ширины ЗКПД у данной группы пациентов – 5 мм (рис. 5).
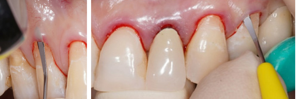
Рис. 2. Внутрибороздковые разрезы микрохирургическим лезвием
Рис. 3. Забор свободного десневого трансплантата с нёба (а) и его деэпителизация (б)
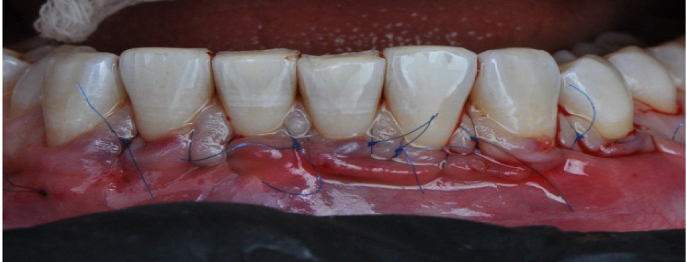
Рис. 4. Наложение швов Аллена
Рис. 5. Отдаленный результат устранения рецессий на верхней челюсти
ЗАКЛЮЧЕНИЕ
Современные научные и клинические данные позволяют считать туннельную технику с использованием ДСДТ наиболее эффективной методикой устранения рецессий, в том числе с точки зрения достижения оптимального долгосрочного прогноза и эстетического результата.
作者简介
Elena Yarygina
Volgograd State Medical University
Email: elyarygina@yandex.ru
Candidate of Medical Sciences, Associate Professor, Head of the Department of Surgical Dentistry and Maxillofacial Surgery
俄罗斯联邦, VolgogradOlga Afanasyeva
Volgograd State Medical University
Email: afanaseva-olga75@mail.ru
Candidate of Medical Sciences, Associate Professor
俄罗斯联邦, VolgogradAndrey Kriventsev
Volgograd State Medical University
编辑信件的主要联系方式.
Email: kriventsev17@yandex.ru
Clinical Resident of the Department of Dentistry of the NMFO Institute
俄罗斯联邦, VolgogradAnatoly Sidoruk
Volgograd State Medical University
Email: sid.anatol65@yandex.ru
Candidate of Medical Sciences, Associate Professor
俄罗斯联邦, Volgograd参考
- Zur O., Hürzeler M. Plastic and aesthetic surgery in perio-dontology and implantology. Moscow; Azbuka Publ, 2014. 847 p. (In Russ.).
- Smirnova S.S. Optimization of gingival recession treatment (experimental clinical study). Dissertation of the Candidate of Medi-cal Sciences. Yekaterinburg, 2010. 111 p. (In Russ.).
- Fefraleva A.Yu., Davidyan A.L. Elimination of the gum recession. Planning, current treatments, prognosis. Moscow; Poly Media Press, 2007. 152 p. (In Russ.).







